Long-Term Shape and Volume Retention of Acellular Dermal Matrix in Oncoplastic Breast-Conserving Surgery: A 2-Year Retrospective Study
Abstract
1. Introduction
2. Materials and Methods
2.1. Patient Selection
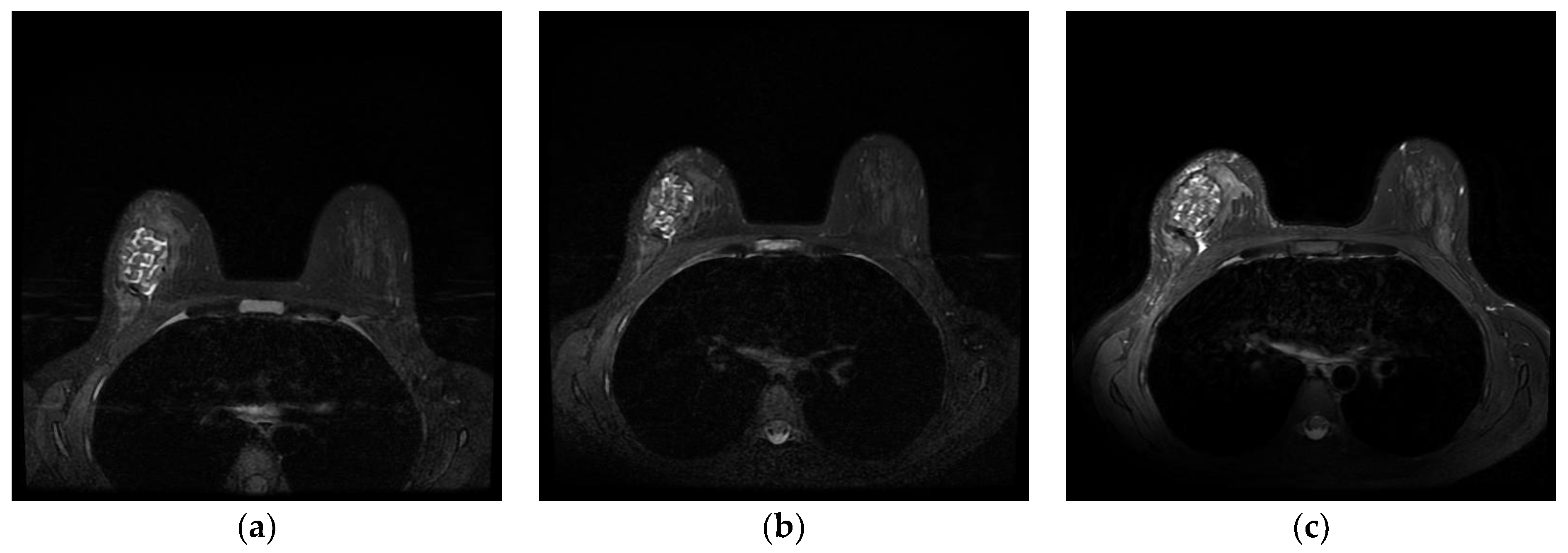
2.2. MRI Protocol and Volumetric Analysis
- Axial, sagittal, and coronal turbo spin-echo T2-weighted imaging (T2WI).
- Echo-planar diffusion-weighted imaging (DWI).
- Spoiled gradient echo dynamic contrast-enhanced (DCE) sequences.
- Sagittal T2WI: 5 mm slice thickness (4 mm with 1 mm gap).
- Axial T2WI and T1-weighted imaging (T1WI): 7 mm slice thickness (5 mm with 2 mm gap).
2.3. Volumetric Analysis of ADM
2.4. Operation Procedure
2.5. Postoperative Management
2.6. Statistical Analysis
3. Results
3.1. Patient Characteristics
3.2. Surgical Complications
3.3. Volume Retention Analysis
3.4. Impact of Radiotherapy
3.5. Aesthetic Assessment
4. Discussion
5. Conclusions
Author Contributions
Funding
Institutional Review Board Statement
Informed Consent Statement
Data Availability Statement
Acknowledgments
Conflicts of Interest
References
- Veronesi, U.; Cascinelli, N.; Mariani, L.; Greco, M.; Saccozzi, R.; Luini, A.; Aguilar, M.; Marubini, E. Twenty-year follow-up of a randomized study comparing breast-conserving surgery with radical mastectomy for early breast cancer. N. Engl. J. Med. 2002, 347, 1227–1232. [Google Scholar] [CrossRef] [PubMed]
- Fisher, B.; Anderson, S.; Bryant, J.; Margolese, R.G.; Deutsch, M.; Fisher, E.R.; Jeong, J.-H.; Wolmark, N. Twenty-year follow-up of a randomized trial comparing total mastectomy, lumpectomy, and lumpectomy plus irradiation for the treatment of invasive breast cancer. N. Engl. J. Med. 2002, 347, 1233–1241. [Google Scholar] [CrossRef]
- Cochrane, R.A.; Valasiadou, P.; Wilson, A.R.; Al-Ghazal, S.K.; Macmillan, R.D. Cosmesis and satisfaction after breast-conserving surgery correlates with the percentage of breast volume excised. Br. J. Surg. 2003, 90, 1505–1509. [Google Scholar] [CrossRef]
- Clough, K.B.; Kaufman, G.J.; Nos, C.; Buccimazza, I.; Sarfati, I.M. Improving breast cancer surgery: A classification and quadrant per quadrant atlas for oncoplastic surgery. Ann. Surg. Oncol. 2010, 17, 1375–1391. [Google Scholar] [CrossRef] [PubMed]
- Rose, M.; Svensson, H.; Handler, J.; Hoyer, U.; Ringberg, A.; Manjer, J. Oncoplastic breast surgery compared to conventional breast-conserving surgery with regard to oncologic outcome. Clin. Breast Cancer 2019, 19, 423–432.e5. [Google Scholar] [CrossRef] [PubMed]
- Makineli, S.; Strijbis, R.; Tsehaie, J.; Schellekens, P.P.A.; Moman, M.R.; Veenendaal, L.M.; Ferdinandus, P.I.; Witkamp, A.J.; Richir, M.C.; Maarse, W. Predictors of Lumpectomy Size after Breast-Conserving Surgery in Patients with Breast Cancer: A Retrospective Cohort Study. Plast. Reconstr. Surg. 2024, 154, 503–510. [Google Scholar] [CrossRef]
- Huemer, G.M.; Schrenk, P.; Moser, F.; Wagner, E.; Wayand, W. Oncoplastic techniques allow breast-conserving treatment in centrally located breast cancers. Plast. Reconstr. Surg. 2007, 120, 390–398. [Google Scholar] [CrossRef]
- Cabalag, M.S.; Rostek, M.; Miller, G.S.; Chae, M.P.; Quinn, T.; Rozen, W.M.; Hunter-Smith, D.J. Alloplastic adjuncts in breast reconstruction. Gland Surg. 2016, 5, 158–173. [Google Scholar]
- Sorkin, M.; Qi, J.; Kim, H.M.; Hamill, J.B.; Kozlow, J.H.; Pusic, A.L.; Wilkins, E.G. Acellular Dermal Matrix in Immediate Expander/Implant Breast Reconstruction: A Multicenter Assessment of Risks and Benefits. Plast. Reconstr. Surg. 2017, 140, 1091–1100. [Google Scholar] [CrossRef]
- Kim, H.I.; Kim, B.S.; Kim, Y.S.; Yi, H.S.; Park, J.H.; Choi, J.H.; Jung, S.U.; Kim, H.Y. Review of 107 oncoplastic surgeries using an acellular dermal matrix with the round block technique. J. Clin. Med. 2022, 11, 3005. [Google Scholar] [CrossRef]
- Yang, J.D.; Kim, M.C.; Lee, J.W.; Cho, Y.K.; Choi, K.Y.; Chung, H.Y.; Cho, B.C.; Park, H.Y. Usefulness of oncoplastic volume replacement techniques after breast conserving surgery in small to moderate-sized breasts. Arch. Plast. Surg. 2012, 39, 489–496. [Google Scholar] [CrossRef] [PubMed]
- Basu, C.B.; Leong, M.; Hicks, M.J. Acellular cadaveric dermis decreases the inflammatory response in capsule formation in reconstructive breast surgery. Plast. Reconstr. Surg. 2010, 126, 1842–1847. [Google Scholar] [CrossRef] [PubMed]
- Omidi, E.; Fuetterer, L.; Reza Mousavi, S.; Armstrong, R.C.; Flynn, L.E.; Samani, A. Characterization and assessment of hyperelastic and elastic properties of decellularized human adipose tissues. J. Biomech. 2014, 47, 3657–3663. [Google Scholar] [CrossRef]
- Lanier, S.T.; Wang, E.D.; Chen, J.J.; Arora, B.P.; Katz, S.M.; Gelfand, M.A.; Khan, S.U.; Dagum, A.B.; Bui, D.T. The effect of acellular dermal matrix use on complication rates in tissue expander/implant breast reconstruction. Ann. Plast. Surg. 2010, 64, 674–678. [Google Scholar] [CrossRef]
- Gwak, H.; Jeon, Y.W.; Lim, S.T.; Park, S.Y.; Suh, Y.J. Volume replacement with diced acellular dermal matrix in oncoplastic breast-conserving surgery: A prospective single-center experience. World J. Surg. Oncol. 2020, 18, 60. [Google Scholar] [CrossRef] [PubMed]
- Schwartz, J.D. New approach to oncoplastic breast conservation: Combining autologous volume replacement and the wise-pattern mammaplasty. Plast. Reconstr. Surg. Glob. Open 2018, 6, e1987. [Google Scholar] [CrossRef]
- An, J.; Kwon, H.; Lim, W.; Moon, B.I.; Paik, N.S. The Comparison of Breast Reconstruction Using Two Types of Acellular Dermal Matrix after Breast-Conserving Surgery. J. Clin. Med. 2021, 10, 3430. [Google Scholar] [CrossRef]
- Yoon, J.J.; Green, W.R.; Kim, S.; Kearney, T.; Eladoumikdachi, F.; Goyal, S.; Chatterjee, A.; Guo, L. Oncoplastic breast surgery in the setting of breast-conserving therapy: A systematic review. Adv. Radiat. Oncol. 2016, 1, 205–215. [Google Scholar] [CrossRef]
- Franceschini, G.; Masetti, R. Acellular dermal matrix as filler in breast-conserving surgery: Warnings for a careful use. World J. Surg. Oncol. 2021, 19, 1. [Google Scholar] [CrossRef]
- Lee, J.H.; Kim, H.G.; Lee, W.J. Characterization and tissue incorporation of cross-linked human acellular dermal matrix. Biomaterials 2015, 44, 195–205. [Google Scholar] [CrossRef]
- Losken, A.; Dugal, C.S.; Styblo, T.M.; Carlson, G.W. A meta-analysis comparing breast conservation therapy alone to the oncoplastic technique. Ann. Plast. Surg. 2014, 72, 145–149. [Google Scholar] [CrossRef]
- Straub, J.M.; New, J.; Hamilton, C.D.; Lominska, C.; Shnayder, Y.; Thomas, S.M. Radiation-induced fibrosis: Mechanisms and implications for therapy. J. Cancer Res. Clin. Oncol. 2015, 141, 1985–1994. [Google Scholar] [CrossRef] [PubMed]
- Momoh, A.O.; Ahmed, R.; Kelley, B.P.; Aliu, O.; Kidwell, K.M.; Kozlow, J.H.; Chung, K.C. A systematic review of complications of implant-based breast reconstruction with prereconstruction and postreconstruction radiotherapy. Ann. Surg. Oncol. 2014, 21, 118–124. [Google Scholar] [CrossRef] [PubMed]
- Chatterjee, A.; Nydick, J.A.; Rodriguez-Feo, C.L.; Scheer, J.H. Understanding the Timing of Radiation in Prosthetic Breast Reconstruction. Plast. Reconstr. Surg. 2022, 150, 33–41. [Google Scholar]
- Lee, K.T.; Mun, G.H. Effects of radiation on acellular dermal matrix and capsule formation in breast reconstruction: A systematic review and meta-analysis. Ann. Surg. Oncol. 2020, 27, 4379–4389. [Google Scholar]
- Kim, K.H.; Kim, H.Y.; Jung, S.Y.; Choi, J.H.; Yi, H.S.; Park, J.H.; Park, J.J.; Kim, Y.S. Clinical progression following acellular dermal matrix use for volume replacement after breast-conserving surgery. J. Clin. Med. 2024, 13, 13. [Google Scholar] [PubMed]
- Azzena, G.; Salgarello, M.; Barone-Adesi, L.; Ruggiero, M.; De Vita, R.; Visconti, G. Incidence of capsular contracture on irradiated acellular dermal matrices (ADMs)-assisted prepectoral breast reconstructions: A comparative study. Ann. Breast Surg. 2024, 9, 8. [Google Scholar]
- Mennie, C.L.; Horowitz, P.M.; Zhou, C.; Pawlowska, M.E.; Mukhopadhyay, S.; Bota-Rabassedas, N.; Murphy, K.J.; Einck, J.P.; Mell, L.K.; Wallace, A.M.; et al. Five-Year Longitudinal Analysis of Breast Volume Changes After Breast-Conserving Therapy. Plast. Reconstr. Surg. 2025, 155, 539–547. [Google Scholar]
- Kim, J.Y.; Davila, A.A.; Persing, S.; Connor, C.; Jovanovic, B.; Khan, S.A.; Fine, N.; Rawlani, V. A meta-analysis of human acellular dermis and submuscular tissue expander breast reconstruction. Plast. Reconstr. Surg. 2012, 129, 28–41. [Google Scholar] [CrossRef]
- Yi, H.S.; Park, J.J.; Park, J.H.; Jung, S.U.; Choi, J.H.; Kim, K.S.; Kim, Y.S. Impact of Tumor Location on Aesthetic Outcomes in Oncoplastic Breast-Conserving Surgery: A Retrospective Comparison of Three Acellular Dermal Matrix Techniques. Cancers 2025, 17, 1293. [Google Scholar] [CrossRef]
- Fischer, J.P.; Ponticorvo, A.; Nelson, J.A.; Kovach, S.J.; Serletti, J.M.; Wu, L.C. Impact of Adjuvant Radiotherapy on Free Flap Volume in Autologous Breast Reconstruction: A Scoping Review. J. Clin. Med. 2023, 13, 217. [Google Scholar] [CrossRef]
- Crown, A.; Wechter, D.G.; Grumley, J.W. Oncoplastic breast-conserving surgery reduces mastectomy and postoperative re-excision rates. Ann. Surg. Oncol. 2015, 22, 3363–3368. [Google Scholar] [CrossRef] [PubMed]
- Lee, J.H.; Kim, H.G.; Lee, W.J.; Lee, D.W.; Chung, K.Y. Volume replacement in tumor plastic surgery and breast-conserving surgery using 3D grid and strip-shaped acellular dermal matrix: Two case reports. Exp. Ther. Med. 2024, 28, 561. [Google Scholar]
- Piper, M.; Peled, A.W.; Foster, R.D.; Moore, D.H.; Esserman, L.J. Total skin-sparing mastectomy: A systematic review of oncologic outcomes and postoperative complications. Ann. Plast. Surg. 2013, 70, 435–437. [Google Scholar] [CrossRef]
- Urban, C.; Lima, R.; Schunemann, E.; Spautz, C.; Rabinovich, I.; Anselmi, K. Oncoplastic principles in breast conserving surgery. Breast 2011, 20, S92–S95. [Google Scholar] [CrossRef] [PubMed]
- Holmes, D.R.; Schooler, W.; Smith, R. Oncoplastic approaches to breast conservation. Int. J. Breast Cancer 2011, 2011, 303879. [Google Scholar] [CrossRef] [PubMed]
- Yoon, T.I.; Lee, J.W.; Lee, S.B.; Jung, Y.J.; Kim, H.J.; Kim, H.G.; Lee, K.E.; Kim, S.W. Predictors of volumetric change of the latissimus dorsi muscle after breast reconstruction with latissimus dorsi flap in breast cancer patients. Ann. Surg. Treat. Res. 2018, 94, 187–193. [Google Scholar]
- O’Connell, R.L.; DiMicco, R.; Khabra, K.; O’Flynn, E.A.; de Souza, N.; Roche, N.; Barry, P.A.; Kirby, A.M. Initial experience of the BREAST-Q breast-conserving therapy module. Breast Cancer Res. Treat. 2016, 160, 79–89. [Google Scholar] [CrossRef]
- Losken, A.; Pinell, X.A.; Sicilia, M. The benefits of partial versus total breast reconstruction for women with macromastia. Plast. Reconstr. Surg. 2010, 125, 1051–1056. [Google Scholar] [CrossRef]
- Waljee, J.F.; Hu, E.S.; Ubel, P.A.; Smith, D.M.; Newman, L.A.; Alderman, A.K. Effect of esthetic outcome after breast-conserving surgery on psychosocial functioning and quality of life. J. Clin. Oncol. 2008, 26, 3331–3337. [Google Scholar] [CrossRef]







| Variables | Total (n = 172) | Diced ADM and Sheet-Type ADM (n = 102) | Diced ADM and Paste-Type ADM (n = 70) | p-Value |
|---|---|---|---|---|
| Reconstruction side | 0.68 | |||
| Right | 92 (53%) | 56 (55%) | 36 (51%) | |
| Left | 80 (47%) | 46 (45%) | 34 (49%) | |
| Age (years) | 49.3 ± 9.2 | 50.1 ± 8.7 | 48.1 ± 9.8 | 0.18 |
| BMI (kg/m2) | 23.7 ± 3.2 | 23.9 ± 3.1 | 23.4 ± 3.4 | 0.32 |
| Location | 0.41 | |||
| Superomedial | 48 (28%) | 30 (29%) | 18 (26%) | |
| Superolateral | 72 (42%) | 45 (44%) | 27 (39%) | |
| Inferomedial | 19 (11%) | 9 (9%) | 10 (14%) | |
| Inferolateral | 33 (19%) | 18 (18%) | 15 (21%) | |
| Radiotherapy | 170 (98.7%) | 100 (98.0%) | 70 (100%) | 0.24 |
| Chemotherapy | 130 (75%) | 79 (77%) | 51 (73%) | 0.49 |
| Neoadjuvant chemotherapy | 39 (23%) | 22 (22%) | 17 (24%) | 0.68 |
| Adjuvant chemotherapy | 109 (63%) | 65 (64%) | 44 (63%) | 0.92 |
| Histological type | 0.39 | |||
| Invasive ductal carcinoma | 123 (72%) | 76 (75%) | 47 (67%) | |
| Ductal carcinoma in situ | 37 (22%) | 19 (19%) | 18 (26%) | |
| Invasive lobular carcinoma | 6 (3%) | 4 (4%) | 2 (3%) | |
| Others | 6 (3%) | 3 (3%) | 3 (4%) | |
| Mean resected weight (g) | 21.5 ± 8.8 | 22.6 ± 7.9 | 20.3 ± 9.6 | 0.09 |
| Mean resected volume (cm3) | 20.9 ± 8.8 | 20.8 ± 7.8 | 21.1 ± 10.5 | 0.83 |
| Mean ADM volume (cm3) | 23.7 ± 6.2 | 25.2 ± 6.6 | 21.6 ± 4.8 | <0.001 |
| Complications | Diced ADM and Sheet-Type ADM (n = 102) | Diced ADM and Paste-Type ADM (n = 70) | p-Value |
|---|---|---|---|
| Seroma | 3 (2.9%) | 1 (1.4%) | 0.49 |
| Hematoma | 3 (2.9%) | 4 (5.7%) | 0.36 |
| Infection | 0 | 0 | - |
| Flap necrosis | 0 | 0 | - |
| ADM non-incorporation | 0 | 0 | - |
| Total | 6 (5.9%) | 5 (7.1%) | 0.74 |
| Group | Postoperative Duration | Median Volume (cm3) | Volume Change (%) | p-Value | |
|---|---|---|---|---|---|
| Diameter-based | ROI-based | ROI-based | |||
| Diced ADM and Sheet-type ADM (n = 102) | 6 months | 21.78 ± 8.53 | 23.21 ± 8.64 | −0.4% | <0.001 |
| 12 months | 20.86 ± 8.16 | 22.50 ± 8.55 | −3.1% | <0.001 | |
| 24 months | 20.79 ± 8.19 | 22.22 ± 8.54 | −4.3% | <0.001 | |
| Diced ADM and Paste-type ADM (n = 70) | 6 months | 18.35 ± 5.43 | 19.53 ± 5.97 | −0.5% | <0.001 |
| 12 months | 17.91 ± 5.75 | 19.10 ± 5.98 | −2.2% | <0.001 | |
| 24 months | 17.80 ± 5.40 | 18.81 ± 5.96 | −3.7% | <0.001 |
| Aesthetic Complications | Diced ADM and Sheet-Type ADM (n = 102) | Diced ADM and Paste-Type ADM (n = 70) | p-Value |
|---|---|---|---|
| Depression deformity | 6 (5.8%) | 5 (7.1%) | 0.73 |
| Bulging deformity | 11 (10.7%) | 6 (8.5%) | 0.63 |
| Dermal irregularity | 0 | 2 (2.8%) | 0.09 |
| Total | 17 (16.7%) | 13 (18.6%) | 0.74 |
Disclaimer/Publisher’s Note: The statements, opinions and data contained in all publications are solely those of the individual author(s) and contributor(s) and not of MDPI and/or the editor(s). MDPI and/or the editor(s) disclaim responsibility for any injury to people or property resulting from any ideas, methods, instructions or products referred to in the content. |
© 2025 by the authors. Licensee MDPI, Basel, Switzerland. This article is an open access article distributed under the terms and conditions of the Creative Commons Attribution (CC BY) license (https://creativecommons.org/licenses/by/4.0/).
Share and Cite
Yi, H.-s.; Park, J.-j.; Park, J.-h.; Kim, H.-I.; Yun, J.-H.; Jung, S.-u.; Choi, J.-h.; Kim, K.-s.; Kim, Y.-s. Long-Term Shape and Volume Retention of Acellular Dermal Matrix in Oncoplastic Breast-Conserving Surgery: A 2-Year Retrospective Study. J. Clin. Med. 2025, 14, 3002. https://doi.org/10.3390/jcm14093002
Yi H-s, Park J-j, Park J-h, Kim H-I, Yun J-H, Jung S-u, Choi J-h, Kim K-s, Kim Y-s. Long-Term Shape and Volume Retention of Acellular Dermal Matrix in Oncoplastic Breast-Conserving Surgery: A 2-Year Retrospective Study. Journal of Clinical Medicine. 2025; 14(9):3002. https://doi.org/10.3390/jcm14093002
Chicago/Turabian StyleYi, Hyung-suk, Jeong-jin Park, Jin-hyung Park, Hong-Il Kim, Jong-Hyouk Yun, Sung-ui Jung, Jin-hyuk Choi, Ku-sang Kim, and Yoon-soo Kim. 2025. "Long-Term Shape and Volume Retention of Acellular Dermal Matrix in Oncoplastic Breast-Conserving Surgery: A 2-Year Retrospective Study" Journal of Clinical Medicine 14, no. 9: 3002. https://doi.org/10.3390/jcm14093002
APA StyleYi, H.-s., Park, J.-j., Park, J.-h., Kim, H.-I., Yun, J.-H., Jung, S.-u., Choi, J.-h., Kim, K.-s., & Kim, Y.-s. (2025). Long-Term Shape and Volume Retention of Acellular Dermal Matrix in Oncoplastic Breast-Conserving Surgery: A 2-Year Retrospective Study. Journal of Clinical Medicine, 14(9), 3002. https://doi.org/10.3390/jcm14093002

