Long-Term Complications of Proctectomy for Refractory Perianal Crohn’s Disease: A Narrative Review
Abstract
1. Introduction
2. Materials and Methods
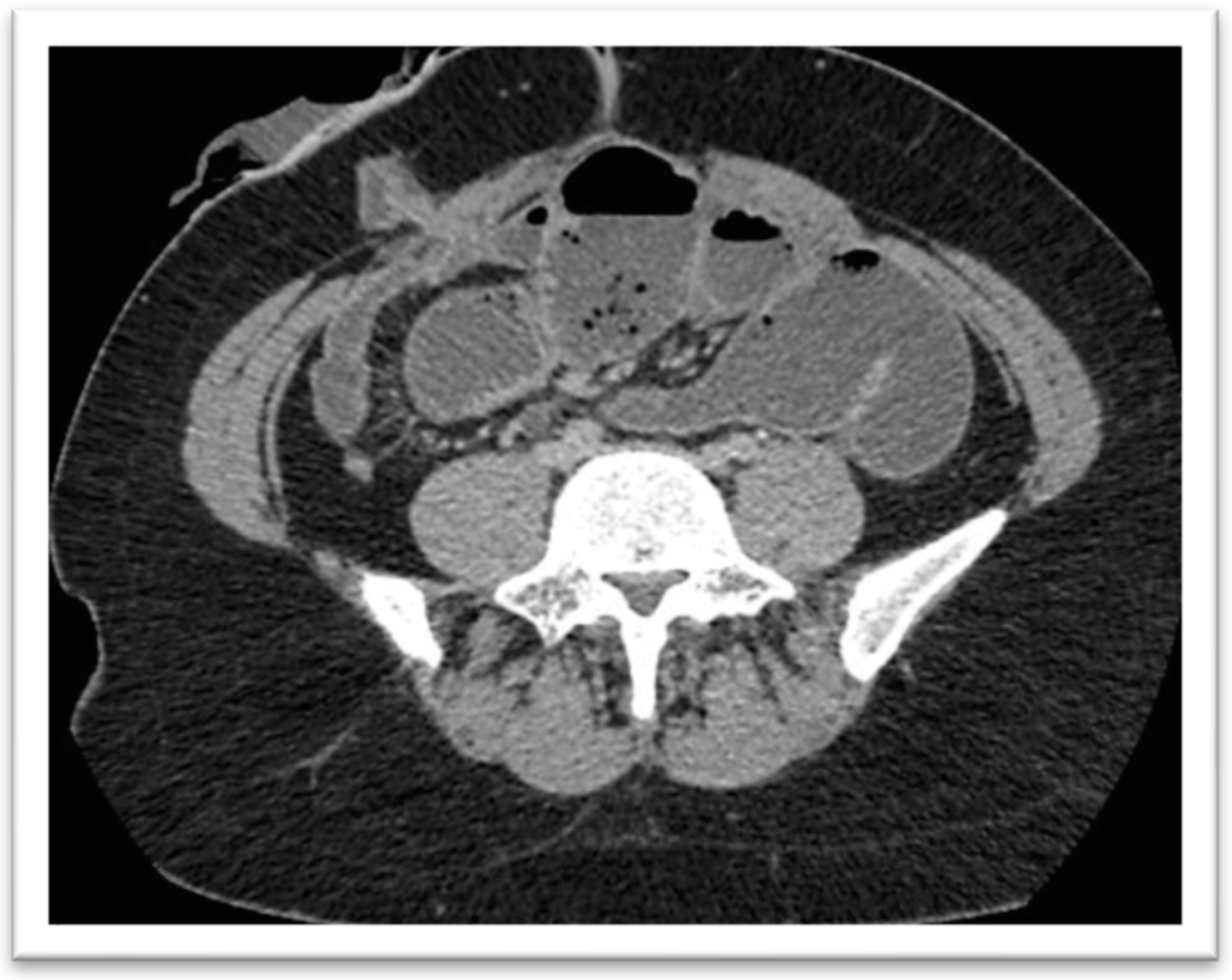
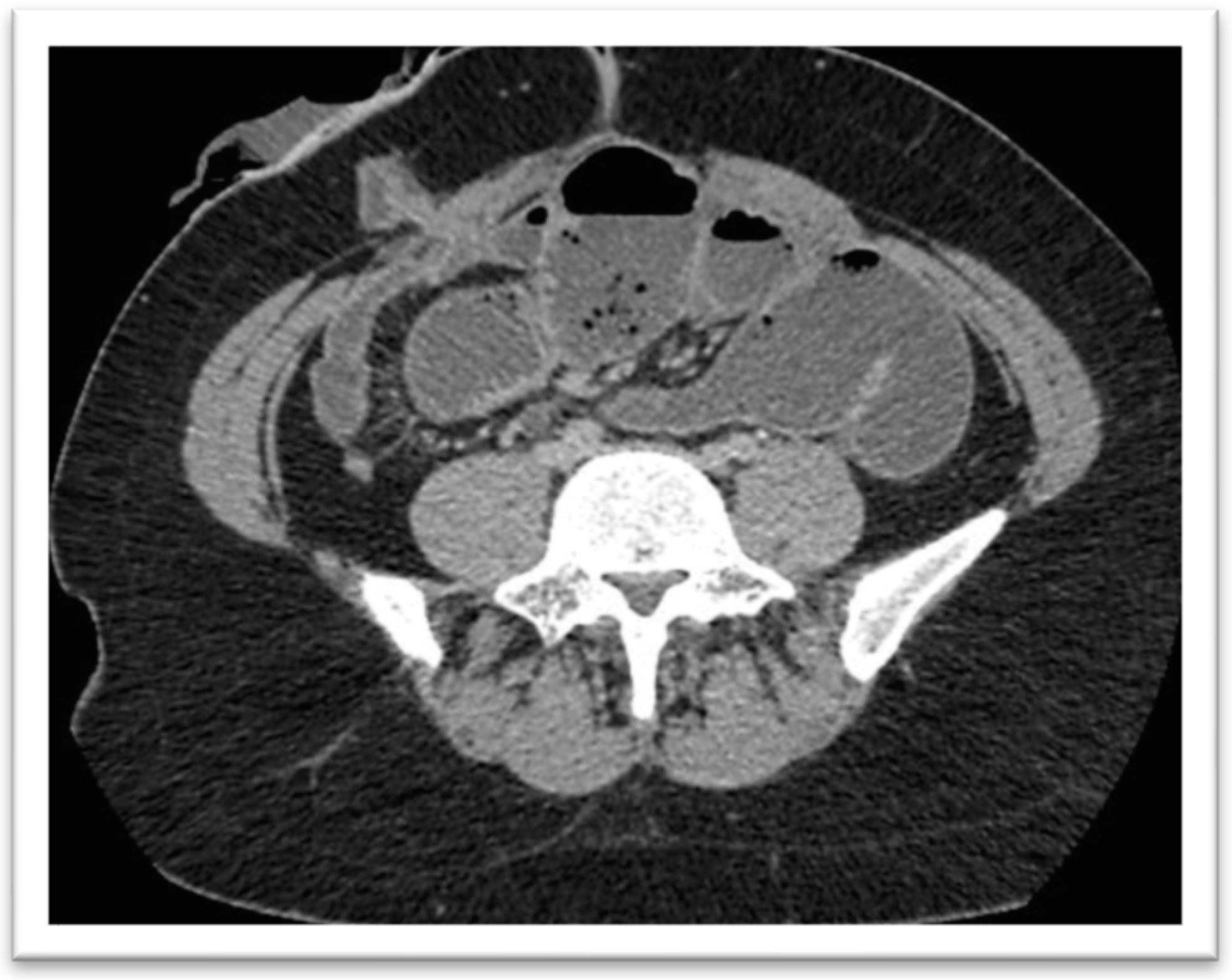
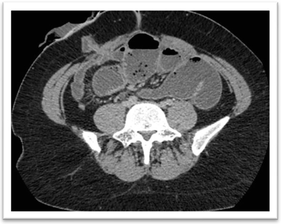
3. Perineal Wound Complications
4. Stoma-Related Complications
5. Small Bowel Obstructions
6. Sexual and Urinary Dysfunction
7. CD Recurrence
8. Conclusions
9. Future Directions
Author Contributions
Funding
Institutional Review Board Statement
Informed Consent Statement
Data Availability Statement
Conflicts of Interest
References
- Torres, J.; Mehandru, S.; Colombel, J.-F.; Peyrin-Biroulet, L. Crohn’s disease. Lancet 2017, 389, 1741–1755. [Google Scholar] [CrossRef] [PubMed]
- Eglinton, T.W.; Barclay, M.L.; Gearry, R.B.; Frizelle, F.A. The Spectrum of Perianal Crohn’s Disease in a Population-Based Cohort. Dis. Colon Rectum 2012, 55, 773–777. [Google Scholar] [CrossRef] [PubMed]
- Atia, O.; Asayag, N.; Focht, G.; Lujan, R.; Ledder, O.; Greenfeld, S.; Kariv, R.; Dotan, I.; Gabay, H.; Balicer, R.; et al. Perianal Crohn’s Disease Is Associated With Poor Disease Outcome: A Nationwide Study From the epiIIRN Cohort. Clin. Gastroenterol. Hepatol. 2022, 20, e484–e495. [Google Scholar] [CrossRef] [PubMed]
- Geldof, J.; Iqbal, N.; LeBlanc, J.-F.; Anandabaskaran, S.; Sawyer, R.; Buskens, C.; Bemelman, W.; Gecse, K.; Lundby, L.; Lightner, A.L.; et al. Classifying perianal fistulising Crohn’s disease: An expert consensus to guide decision-making in daily practice and clinical trials. Lancet Gastroenterol. Hepatol. 2022, 7, 576–584. [Google Scholar] [CrossRef]
- Lightner, A.L. Perianal Crohn’s Disease. Dis. Colon Rectum 2020, 63, 1023–1026. [Google Scholar] [CrossRef]
- Singh, B.; McC Mortensen, N.J.; Jewell, D.P.; George, B. Perianal Crohn’s disease. Br. J. Surg. 2004, 91, 801–814. [Google Scholar] [CrossRef]
- Hart, A.L.; Lomer, M.; Verjee, A.; Kemp, K.; Faiz, O.; Daly, A.; Solomon, J.; McLaughlin, J. What Are the Top 10 Research Questions in the Treatment of Inflammatory Bowel Disease? A Priority Setting Partnership with the James Lind Alliance. J. Crohns Colitis 2017, 11, 204–211. [Google Scholar] [CrossRef]
- Papasotiriou, S.D.; Dumanian, G.A.; Strong, S.A.; Hanauer, S.B. Persistent perineal sinus following proctocolectomy in the inflammatory bowel disease patient. JGH Open 2023, 7, 740–747. [Google Scholar] [CrossRef]
- Li, W.; Stocchi, L.; Elagili, F.; Kiran, R.P.; Strong, S.A. Healing of the perineal wound after proctectomy in Crohn’s disease patients: Only preoperative perineal sepsis predicts poor outcome. Tech. Coloproctol. 2017, 21, 715–720. [Google Scholar] [CrossRef]
- Holubar, S.D. Expert Commentary on Chronic Perineal Sinus After Proctectomy for Crohn’s Disease: Risk Reduction Strategies and Management. Dis. Colon Rectum 2022, 65, 472. [Google Scholar] [CrossRef]
- Fuschillo, G.; Pellino, G. Chronic Perineal Sinus After Proctectomy for Crohn’s Disease: Risk Reduction Strategies and Management. Dis. Colon Rectum 2022, 65, 468–471. [Google Scholar] [CrossRef] [PubMed]
- Alipouriani, A.; Erozkan, K.; Schabl, L.; Sancheti, H.; Sebastian, S.; Wong, S.-Y.; Tozer, P.; Cohen, B.L.; Holubar, S.D. TOpClass Class 4 Perineal Crohn’s Disease: A Systematic Review and Meta-analysis of Perineal Wound Complication After Proctectomy in Crohn’s Patients. Inflamm. Bowel Dis. 2025, 31, 1150–1157. [Google Scholar] [CrossRef] [PubMed]
- Grant, R.K.; Elosua-González, A.; Bouri, S.; Sahnan, K.; Brindle, W.M.; Dilke, S.M.; Vincent, M.L.M.; Adegbola, S.O.A.; Warusavitarne, J.H.; Tozer, P.J.; et al. Prognostic factors associated with unhealed perineal wounds post-proctectomy for perianal Crohn’s disease: A two-centre study. Color. Dis. 2021, 23, 2091–2099. [Google Scholar] [CrossRef]
- Yamamoto, T.; Bain, I.M.; Allan, R.N.; Keighley, M.R.B. Persistent perineal sinus after proctocolectomy for Crohn’s disease. Dis. Colon Rectum 1999, 42, 96–101. [Google Scholar] [CrossRef]
- De Groof, E.J.; Van Der Meer, J.H.M.; Tanis, P.J.; De Bruyn, J.R.; Van Ruler, O.; D’Haens, G.R.A.M.; Van Den Brink, G.R.; Bemelman, W.A.; Wildenberg, M.E.; Buskens, C.J. Persistent Mesorectal Inflammatory Activity is Associated With Complications After Proctectomy in Crohn’s Disease. J. Crohns Colitis 2019, 13, 285–293. [Google Scholar] [CrossRef] [PubMed]
- Slooter, M.D.; Blok, R.D.; De Krom, M.A.; Buskens, C.J.; Bemelman, W.A.; Tanis, P.J.; Hompes, R. Optimizing omentoplasty for management of chronic pelvic sepsis by intra-operative fluorescence angiography: A comparative cohort study. Color. Dis. 2020, 22, 2252–2259. [Google Scholar] [CrossRef]
- Rius, J.; Nessim, A.; Nogueras, J.J.; Wexner, S.D. Gracilis Transposition in Complicated Perianal Fistula and Unhealed Perineal Wounds in Crohn’s Disease. Eur. J. Surg. 2000, 166, 218–222. [Google Scholar] [CrossRef]
- Au, S.; Moyes, L.H.; Telfer, J.R.C.; Anderson, J.H. Karydakis flap for post-proctectomy perineal sinus: A case series and review. Int. J. Surg. Case Rep. 2016, 23, 157–159. [Google Scholar] [CrossRef]
- Hurst, R.D.; Gottlieb, L.J.; Crucitti, P.; Melis, M.; Rubin, M.; Michelassi, F. Primary closure of complicated perineal wounds with myocutaneous and fasciocutaneous flaps after proctectomy for Crohn’s disease. Surgery 2001, 130, 767–773. [Google Scholar] [CrossRef]
- Yamamoto, T.; Mylonakis, E.; Keighley, M.R.B. Omentoplasty for persistent perineal sinus after proctectomy for Crohn’s disease. Am. J. Surg. 2001, 181, 265–267. [Google Scholar] [CrossRef]
- Schaden, D.; Schauer, G.; Haas, F.; Berger, A. Myocutaneous flaps and proctocolectomy in severe perianal Crohn’s disease—A single stage procedure. Int. J. Color. Dis. 2007, 22, 1453–1457. [Google Scholar] [CrossRef] [PubMed]
- Collie, M.H.S.; Potter, M.A.; Bartolo, D.C.C. Myocutaneous flaps promote perineal healing in inflammatory bowel disease. Br. J. Surg. 2005, 92, 740–741. [Google Scholar] [CrossRef] [PubMed]
- Branagan, G.; Thompson, M.R.; Senapati, A. Cleft closure for the treatment of unhealed perineal sinus. Color. Dis. 2006, 8, 314–317. [Google Scholar] [CrossRef]
- Chan, X.H.S.; Koh, C.E.; Glover, M.; Bryson, P.; Travis, S.P.L.; Mortensen, N.J. Healing under pressure: Hyperbaric oxygen and myocutaneous flap repair for extreme persistent perineal sinus after proctectomy for inflammatory bowel disease. Color. Dis. 2014, 16, 186–190. [Google Scholar] [CrossRef] [PubMed]
- Uzun, O.; Dincer, M.; Senger, A.S.; Deger, K.C.; Duman, M. Closure of non-healing perianal Crohn’s disease with surgery and vacuum-assisted closure (VAC) system. Turk. J. Gastroenterol. 2018, 29, 367–369. [Google Scholar] [CrossRef]
- Lansdorp, C.A.; Buskens, C.J.; Gecse, K.B.; D’Haens, G.R.; Van Hulst, R.A. Wound healing of metastatic perineal Crohn’s disease using hyperbaric oxygen therapy: A case series. United Eur. Gastroenterol. J. 2020, 8, 820–827. [Google Scholar] [CrossRef]
- Brady, C.E.; Cooley, B.J.; Davis, J.C. Healing of severe perineal and cutaneous Crohn’s disease with hyperbaric oxygen. Gastroenterology 1989, 97, 756–760. [Google Scholar] [CrossRef]
- Bouguen, G.; Trouilloud, I.; Siproudhis, L.; Oussalah, A.; Bigard, M.-A.; Bretagne, J.-F.; Peyrin-Biroulet, L. Long-term outcome of non-fistulizing (ulcers, stricture) perianal Crohn’s disease in patients treated with infliximab. Aliment. Pharmacol. Ther. 2009, 30, 749–756. [Google Scholar] [CrossRef]
- Bouchard, D.; Brochard, C.; Vinson-Bonnet, B.; Staumont, G.; Abramowitz, L.; Benfredj, P.; Fathallah, N.; Faucheron, J.-L.; Higuero, T.; Panis, Y.; et al. How to manage anal ulcerations and anorectal stenosis in Crohn’s disease: Algorithm-based decision making: French National Working Group Consensus 2018. Tech. Coloproctol. 2019, 23, 353–360. [Google Scholar] [CrossRef]
- Bouguen, G.; Siproudhis, L.; Bretagne, J.-F.; Bigard, M.-A.; Peyrin-Biroulet, L. Nonfistulizing perianal Crohnʼs disease: Clinical features, epidemiology, and treatment. Inflamm. Bowel Dis. 2010, 16, 1431–1442. [Google Scholar] [CrossRef]
- Van Dullemen, H.M.; De Jong, E.; Slors, F.; Tytgat, G.N.J.; Van Deventer, S.J.H. Treatment of therapy-resistant perineal metastatic Crohn’s disease after proctectomy using anti-tumor necrosis factor chimeric monoclonal antibody, cA2: Report of two cases. Dis. Colon Rectum 1998, 41, 98–102. [Google Scholar] [CrossRef]
- Guest, G.D.; Fink, R.L.W. Metastatic crohn’s disease: Case report of an unusual variant and review of the literature. Dis. Colon Rectum 2000, 43, 1764–1766. [Google Scholar] [CrossRef] [PubMed]
- Moyes, L.H.; Glen, P.; Pickford, I.R. Perineal metastatic Crohn’s disease: A case report and review of the literature. Ann. R. Coll. Surg. Engl. 2007, 89, W1–W3. [Google Scholar] [CrossRef]
- Konrad, A.; Seibold, F. Response of cutaneous Crohn’s disease to infliximab and methotrexate. Dig. Liver Dis. 2003, 35, 351–356. [Google Scholar] [CrossRef] [PubMed]
- Naffouj, S. Cutaneous Crohn’s disease after proctocolectomy for medically refractory colonic Crohn’s disease: A case series and review of the literature. Ann. Gastroenterol. 2023, 36, 466–476. [Google Scholar] [CrossRef]
- Williams, N.; Scott, N.A.; Watson, J.S.; Irving, M.H. Surgical management of perineal and metastatic cutaneous Crohn’s disease. J. Br. Surg. 1993, 80, 1596–1598. [Google Scholar] [CrossRef] [PubMed]
- Shwaartz, C.; Munger, J.A.; Deliz, J.R.; Bornstein, J.E.; Gorfine, S.R.; Chessin, D.B.; Popowich, D.A.; Bauer, J.J. Fistula-Associated Anorectal Cancer in the Setting of Crohn’s Disease. Dis. Colon Rectum 2016, 59, 1168–1173. [Google Scholar] [CrossRef]
- Keese, M.; Back, W.; Dinter, D.; Gladisch, R.; Joos, A.; Palma, P. Case report: Late perianal mucinous adenocarcinoma after Crohn’s disease proctectomy: An oncological rarity. World J. Surg. Oncol. 2005, 3, 42. [Google Scholar] [CrossRef]
- Chen, J.; De Robles, M.S.; Still, A. Perineal squamous cell carcinoma arising in a chronic unhealed wound after proctocolectomy in an immunosuppressed patient. ANZ J. Surg. 2021, 91, E668–E669. [Google Scholar] [CrossRef]
- Sarani, B.; Orkin, B.A. Squamous Cell Carcinoma Arising in an Unhealed Wound in Crohn’s Disease. South. Med. J. 1997, 90, 940–942. [Google Scholar] [CrossRef]
- Aboulian, A. Ostomy Complications in Crohn’s Disease. Clin. Colon Rectal Surg. 2019, 32, 314–322. [Google Scholar] [CrossRef] [PubMed]
- Krishnamurty, D.; Blatnik, J.; Mutch, M. Stoma Complications. Clin. Colon Rectal Surg. 2017, 30, 193–200. [Google Scholar] [CrossRef]
- Murken, D.; Bleier, J. Ostomy-Related Complications. Clin. Colon Rectal Surg. 2019, 32, 176–182. [Google Scholar] [CrossRef]
- Angriman, I.; Buzzi, G.; Giorato, E.; Barbierato, M.; Cavallin, F.; Ruffolo, C.; Degasperi, S.; Mari, V.; De Simoni, O.; Campi, M.; et al. Crohn’s Disease-Related Stoma Complications and Their Impact on Postsurgical Course. Dig. Surg. 2022, 39, 83–91. [Google Scholar] [CrossRef] [PubMed]
- Hoentjen, F.; Colwell, J.C.; Hanauer, S.B. Complications of Peristomal Recurrence of Crohn’s Disease: A Case Report and a Review of Literature. J. Wound. Ostomy Continence Nurs. 2012, 39, 297–301. [Google Scholar] [CrossRef] [PubMed]
- Lightner, A.L.; Steele, S.R.; Delaney, C.P.; Lavryk, O.; Vaidya, P.; McMichael, J.; Jia, X.; De Buck Van Overstraeten, A.; Brar, M.S. Colonic disease recurrence following proctectomy with end colostomy for anorectal Crohn’s disease. Color. Dis. 2021, 23, 2425–2435. [Google Scholar] [CrossRef]
- De Buck Van Overstraeten, A.; Wolthuis, A.M.; Vermeire, S.; Van Assche, G.; Rutgeerts, P.; Penninckx, F.; D’Hoore, A. Intersphincteric proctectomy with end-colostomy for anorectal Crohn’s disease results in early and severe proximal colonic recurrence. J. Crohns Colitis 2013, 7, e227–e231. [Google Scholar] [CrossRef]
- Mihes, Y.; Hogan, N.M.; Egan, L.; Joyce, M.R. Completion Proctectomy for Crohn’s Colitis: Lessons Learned. J. Crohns Colitis 2017, 11, 894–897. [Google Scholar] [CrossRef]
- Iesalnieks, I. Biologic treatment does not reduce the risk of postoperative peristomal pyoderma gangrenosum in Crohn’s Disease patients. J. Crohns Colitis 2022, 16, i082. [Google Scholar] [CrossRef]
- Tan, M.G.; Tolkachjov, S.N. Treatment of Pyoderma Gangrenosum. Dermatol. Clin. 2024, 42, 183–192. [Google Scholar] [CrossRef]
- Wu, X.-R.; Shen, B. Diagnosis and management of parastomal pyoderma gangrenosum. Gastroenterol. Rep. 2013, 1, 1–8. [Google Scholar] [CrossRef]
- Ha, G.W.; Lee, M.R.; Kim, J.H. Adhesive small bowel obstruction after laparoscopic and open colorectal surgery: A systematic review and meta-analysis. Am. J. Surg. 2016, 212, 527–536. [Google Scholar] [CrossRef] [PubMed]
- Smolarek, S.; Shalaby, M.; Paolo Angelucci, G.; Missori, G.; Capuano, I.; Franceschilli, L.; Quaresima, S.; Di Lorenzo, N.; Sileri, P. Small-Bowel Obstruction Secondary to Adhesions After Open or Laparoscopic Colorectal Surgery. J. Soc. Laparoendosc. Surg. 2016, 20, e2016.00073. [Google Scholar] [CrossRef]
- Ecker, K.W.; Gierend, M.; Kreissler-Haag, D.; Feifel, G. Reoperations at the ileostomy in Crohn’s disease reflect inflammatory activity rather than surgical stoma complications alone. Int. J. Colorectal Dis. 2001, 16, 76–80. [Google Scholar] [CrossRef] [PubMed]
- O’Toole, A.; Winter, D.; Friedman, S. Review article: The psychosexual impact of inflammatory bowel disease in male patients. Aliment. Pharmacol. Ther. 2014, 39, 1085–1094. [Google Scholar] [CrossRef]
- Sanders, J.N.; Gawron, L.M.; Friedman, S. Sexual satisfaction and inflammatory bowel diseases: An interdisciplinary clinical challenge. Am. J. Obstet. Gynecol. 2016, 215, 58–62. [Google Scholar] [CrossRef] [PubMed]
- Gklavas, A.; Kyprianou, C.; Exarchos, G.; Metaxa, L.; Dellis, A.; Papaconstantinou, I. Sexual function after proctectomy in patients with inflammatory bowel disease: A prospective study. Turk. J. Gastroenterol. 2019, 30, 943–950. [Google Scholar] [CrossRef]
- Nardone, O.M.; Calabrese, G.; Bertin, L.; Ford, A.C.; Castiglione, F.; Zingone, F.; Savarino, E.; Barberio, B. Prevalence of Sexual Dysfunction in Inflammatory Bowel Disease: Systematic Review and Meta-analysis. J. Crohns Colitis 2025, 19, jjae133. [Google Scholar] [CrossRef]
- Boudiaf, R.; Bouchard, D.; Rivière, P.; Brochard, C.; Laharie, D.; Abramowitz, L.; Pigot, F.; the GREP members (Groupe de Recherche en Proctologie). Assessment of sexual dysfunction in patients with perianal Crohn’s disease. Color. Dis. 2021, 23, 114–122. [Google Scholar] [CrossRef]
- Asztèly, M.; Palmblad, S.; Wikland, M.; Hultén, L. Radiological study of changes in the pelvis in women following proctocolectomy. Int. J. Color. Dis. 1991, 6, 103–107. [Google Scholar] [CrossRef]
- Druvefors, E.; Myrelid, P.; Andersson, R.E.; Landerholm, K. Female and Male Fertility after Colectomy and Reconstructive Surgery in Inflammatory Bowel Disease: A National Cohort Study from Sweden. J. Crohns Colitis 2023, 17, 1631–1638. [Google Scholar] [CrossRef] [PubMed]
- Delacroix, S.; Winters, J.C. Voiding Dysfunction after Pelvic Colorectal Surgery. Clin. Colon Rectal Surg. 2010, 23, 119–127. [Google Scholar] [CrossRef]
- Giglia, M.; Stein, S. Overlooked Long-Term Complications of Colorectal Surgery. Clin. Colon Rectal Surg. 2019, 32, 204–211. [Google Scholar] [CrossRef] [PubMed]
- Neal, D.E.; Parker, A.J.; Williams, N.S.; Johnston, D. The long term effects of proctectomy on bladder function in patients with inflammatory bowel disease. J. Br. Surg. 1982, 69, 349–352. [Google Scholar] [CrossRef] [PubMed]
- Koriche, D.; Gower-Rousseau, C.; Chater, C.; Duhamel, A.; Salleron, J.; Tavernier, N.; Colombel, J.-F.; Pariente, B.; Cortot, A.; Zerbib, P. Post-operative recurrence of Crohn’s disease after definitive stoma: An underestimated risk. Int. J. Color. Dis. 2017, 32, 453–458. [Google Scholar] [CrossRef]
- Ho, I.; Greenstein, A.J.; Bodian, C.A.; Janowitz, H.D. Recurrence of Crohnʼs Disease in End Ileostomies. Inflamm. Bowel Dis. 1995, 1, 173–178. [Google Scholar] [CrossRef]
- Yamamoto, T.; Allan, R.N.; Keighley, M.R.B. Audit of single-stage proctocolectomy for Crohn’s disease: Postoperative complications and recurrence. Dis. Colon Rectum 2000, 43, 249–256. [Google Scholar] [CrossRef]
- Calvo, M.; Alonso, I.; Villa, K.; Matallana, V.; González Lama, Y.; Vera, M.I.; Sanchez Movilla, A.; Calvo, P.; Royuela, A.; Abreu, L. Incidence and risk factors associated to Crohn’s disease recurrence after total proctocolectomy with definitive ileostomy: A long-term single-centre experience. J. Crohns Colitis 2018, 12, S307. [Google Scholar] [CrossRef]
- Hollis, R.H.; Smith, N.; Sapci, I.; Click, B.; Regueiro, M.; Hull, T.L.; Lightner, A.L. Small Bowel Crohn’s Disease Recurrence is Common After Total Proctocolectomy for Crohn’s Colitis. Dis. Colon Rectum 2022, 65, 390–398. [Google Scholar] [CrossRef]
- Amiot, A.; Gornet, J.-M.; Baudry, C.; Munoz-Bongrand, N.; Auger, M.; Simon, M.; Allez, M.; Cattan, P.; Sarfati, E.; Lémann, M. Crohn’s disease recurrence after total proctocolectomy with definitive ileostomy. Dig. Liver Dis. 2011, 43, 698–702. [Google Scholar] [CrossRef]
- Lopez, J.; Konijeti, G.G.; Nguyen, D.D.; Sauk, J.; Yajnik, V.; Ananthakrishnan, A.N. Natural History of Crohn’s Disease Following Total Colectomy and End Ileostomy. Inflamm. Bowel Dis. 2014, 20, 1236–1241. [Google Scholar] [CrossRef] [PubMed]


Disclaimer/Publisher’s Note: The statements, opinions and data contained in all publications are solely those of the individual author(s) and contributor(s) and not of MDPI and/or the editor(s). MDPI and/or the editor(s) disclaim responsibility for any injury to people or property resulting from any ideas, methods, instructions or products referred to in the content. |
© 2025 by the authors. Licensee MDPI, Basel, Switzerland. This article is an open access article distributed under the terms and conditions of the Creative Commons Attribution (CC BY) license (https://creativecommons.org/licenses/by/4.0/).
Share and Cite
Alves Martins, B.A.; Villar, M.T.; Ferreira, L.V.G.; Ramos de Carvalho, B.d.C.R.; Avellaneda, N.; de Sousa, J.B. Long-Term Complications of Proctectomy for Refractory Perianal Crohn’s Disease: A Narrative Review. J. Clin. Med. 2025, 14, 2802. https://doi.org/10.3390/jcm14082802
Alves Martins BA, Villar MT, Ferreira LVG, Ramos de Carvalho BdCR, Avellaneda N, de Sousa JB. Long-Term Complications of Proctectomy for Refractory Perianal Crohn’s Disease: A Narrative Review. Journal of Clinical Medicine. 2025; 14(8):2802. https://doi.org/10.3390/jcm14082802
Chicago/Turabian StyleAlves Martins, Bruno Augusto, Mariana Trotta Villar, Luna Vitória Gondim Ferreira, Beatriz da Costa Rossi Ramos de Carvalho, Nicolas Avellaneda, and João Batista de Sousa. 2025. "Long-Term Complications of Proctectomy for Refractory Perianal Crohn’s Disease: A Narrative Review" Journal of Clinical Medicine 14, no. 8: 2802. https://doi.org/10.3390/jcm14082802
APA StyleAlves Martins, B. A., Villar, M. T., Ferreira, L. V. G., Ramos de Carvalho, B. d. C. R., Avellaneda, N., & de Sousa, J. B. (2025). Long-Term Complications of Proctectomy for Refractory Perianal Crohn’s Disease: A Narrative Review. Journal of Clinical Medicine, 14(8), 2802. https://doi.org/10.3390/jcm14082802

