The Role of Megakaryocyte Assessment in Bone Marrow Cytology
Abstract
1. Introduction
2. Materials and Methods
3. Megakaryopoiesis
4. Morphology of Normal Megakaryocytes
5. Megakaryocyte Differentiation and Maturation
6. Megakaryocytes in Peripheral Blood
7. Quantitative and Qualitative Changes
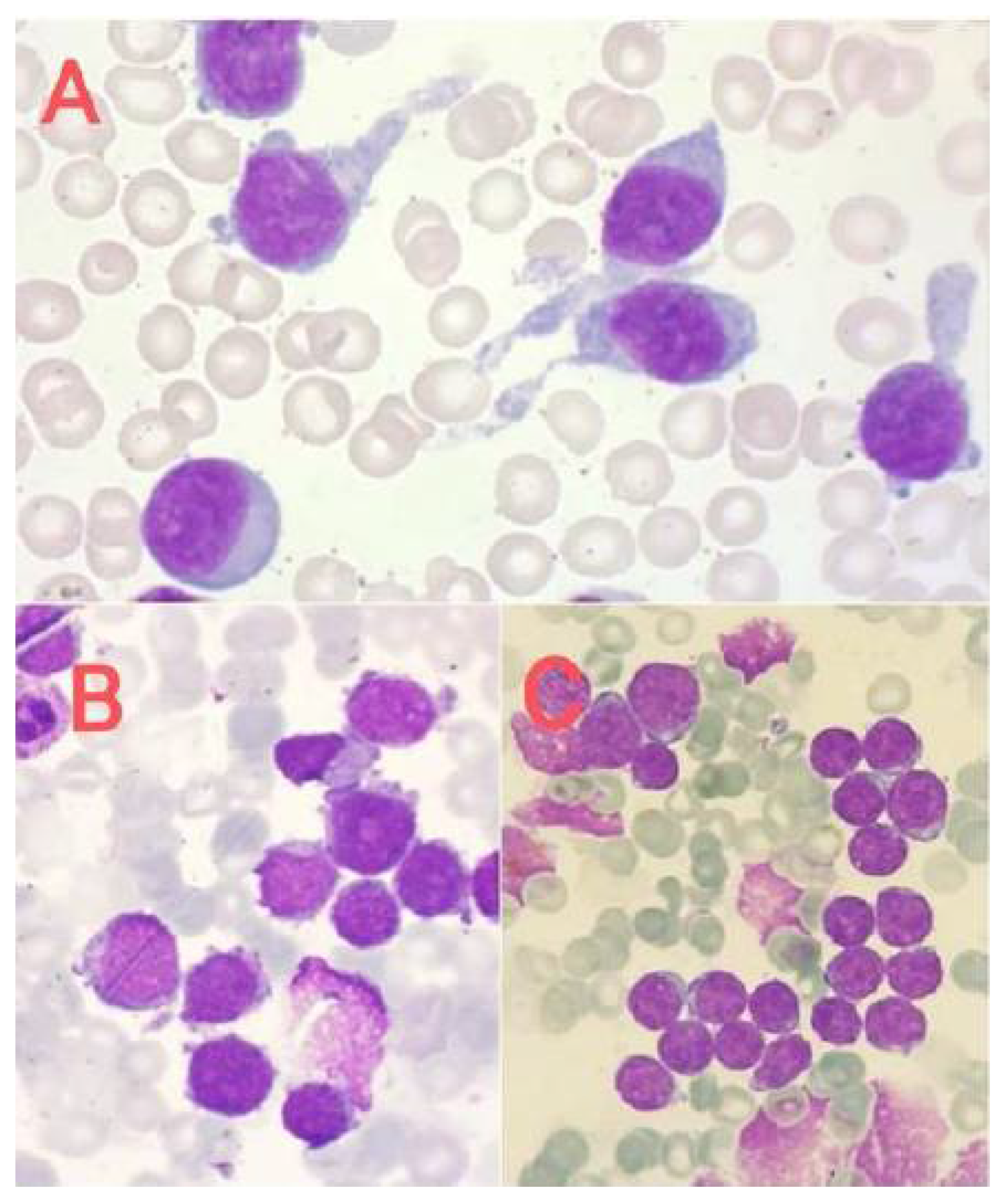
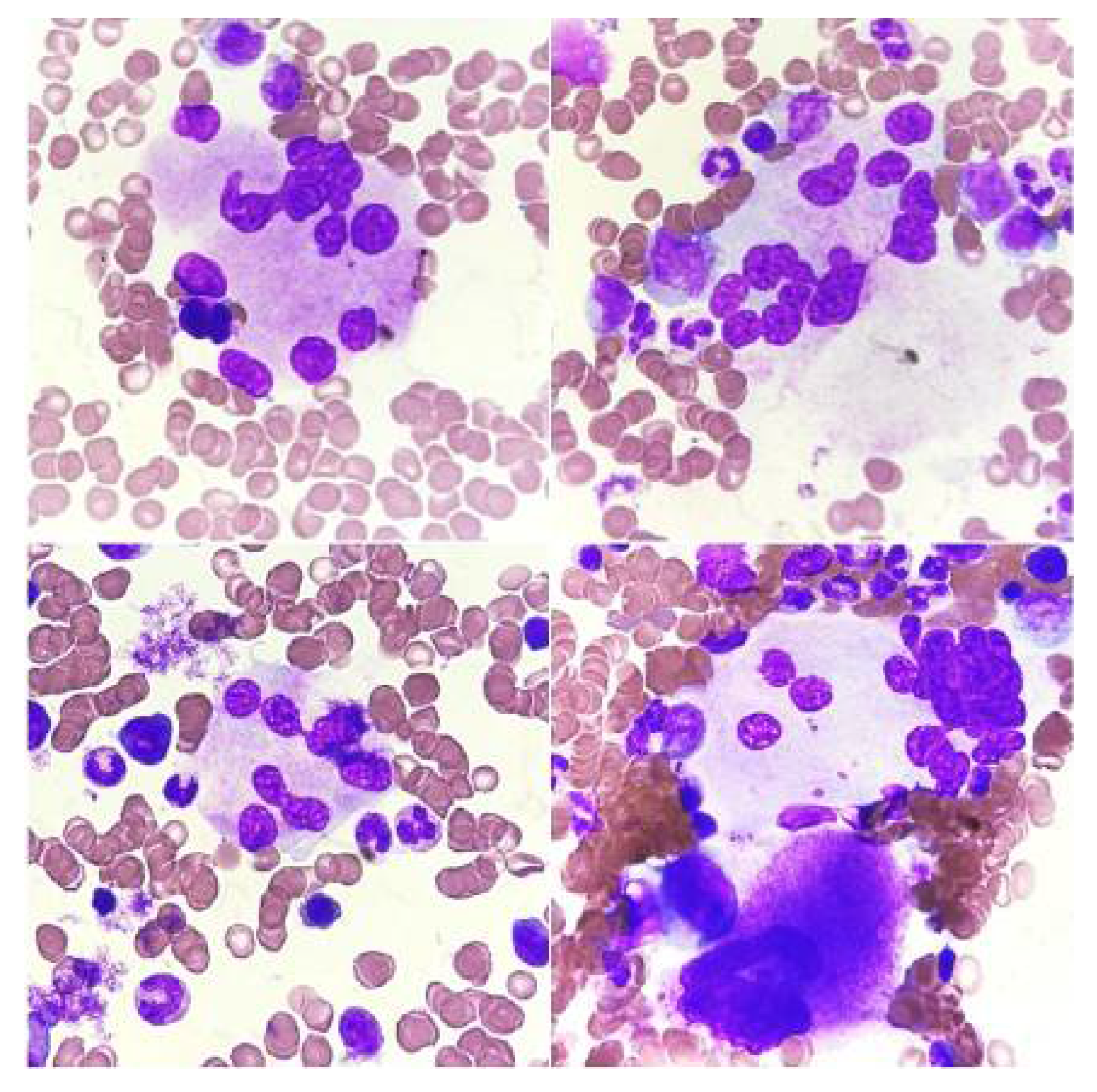
8. Dysmegakaryopoiesis
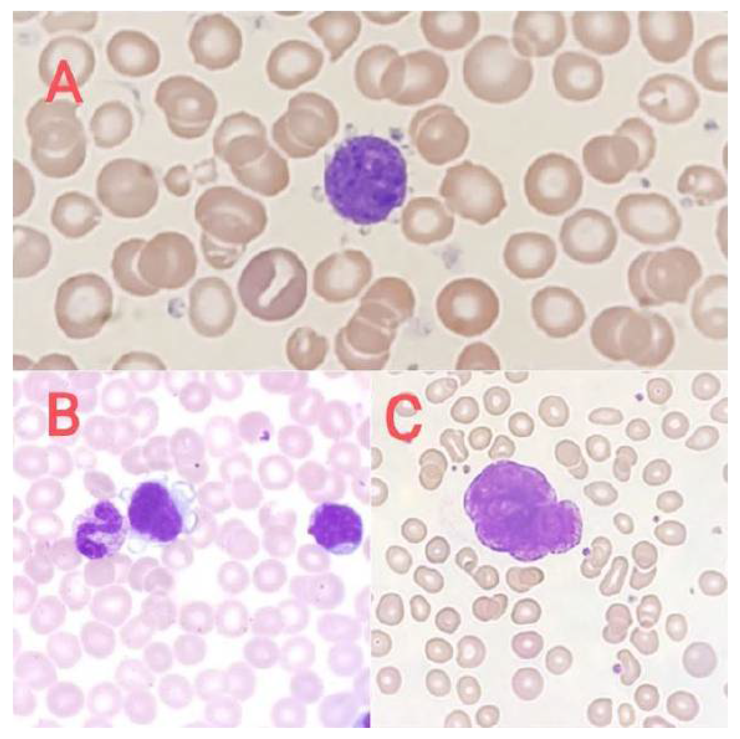
9. Micromegakaryocytes
10. Megakaryocytes
11. Megakaryocytic Dysplasia
12. Dysmegakaryopoiesis in Healthy Donors
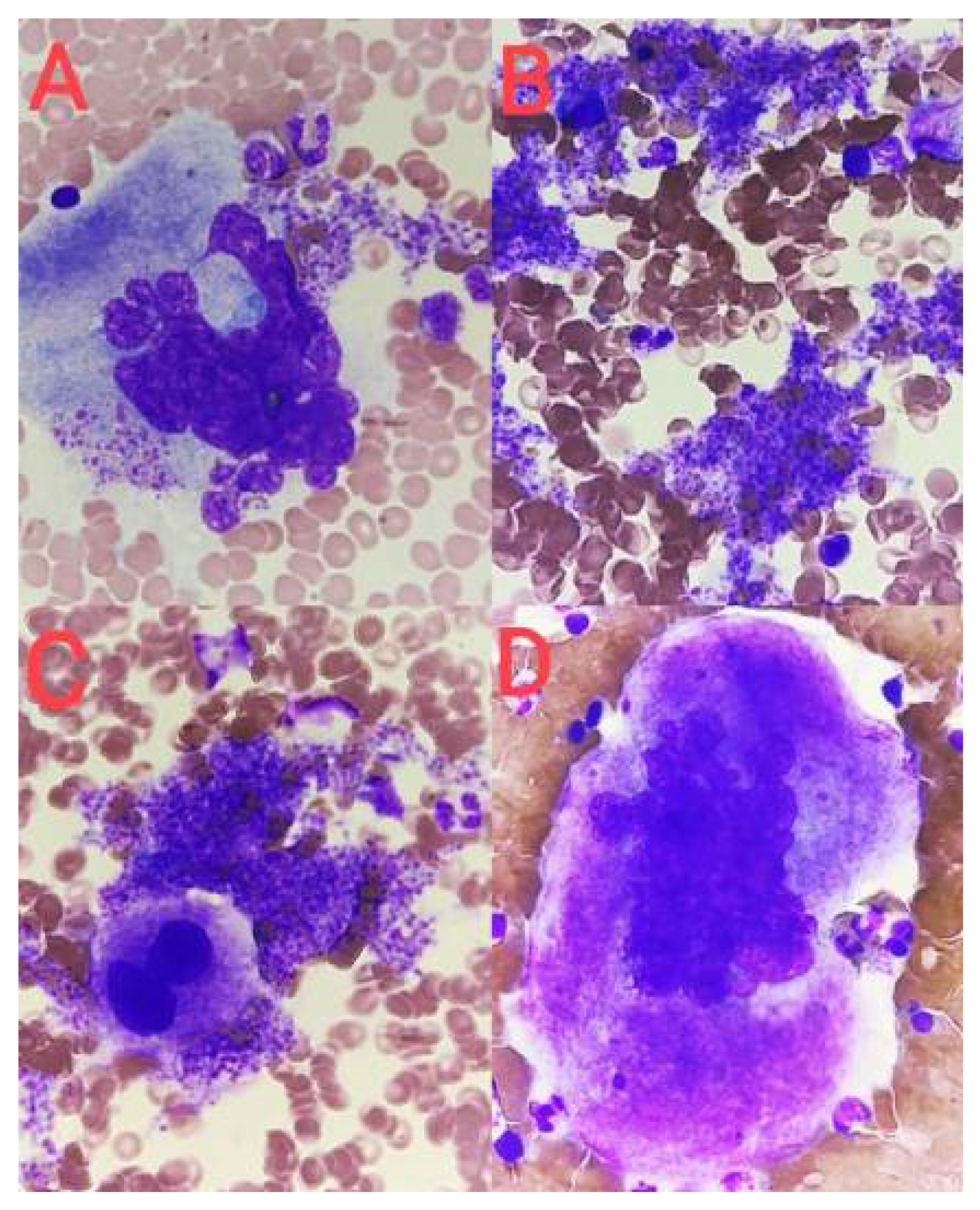
13. Emperipolesis
14. Basic Principles of Assessing Megakaryocytes in Bone Marrow Aspirate
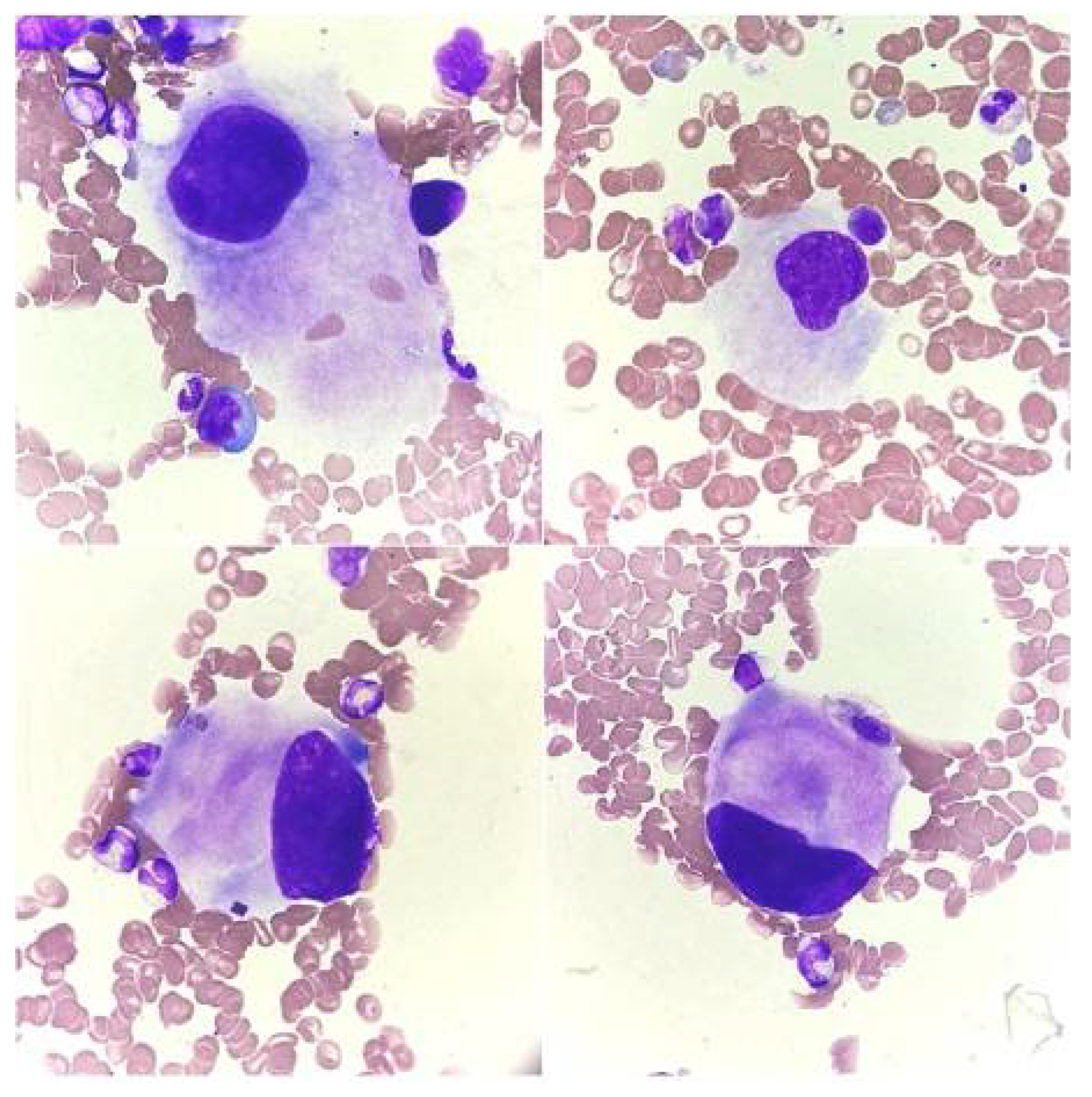
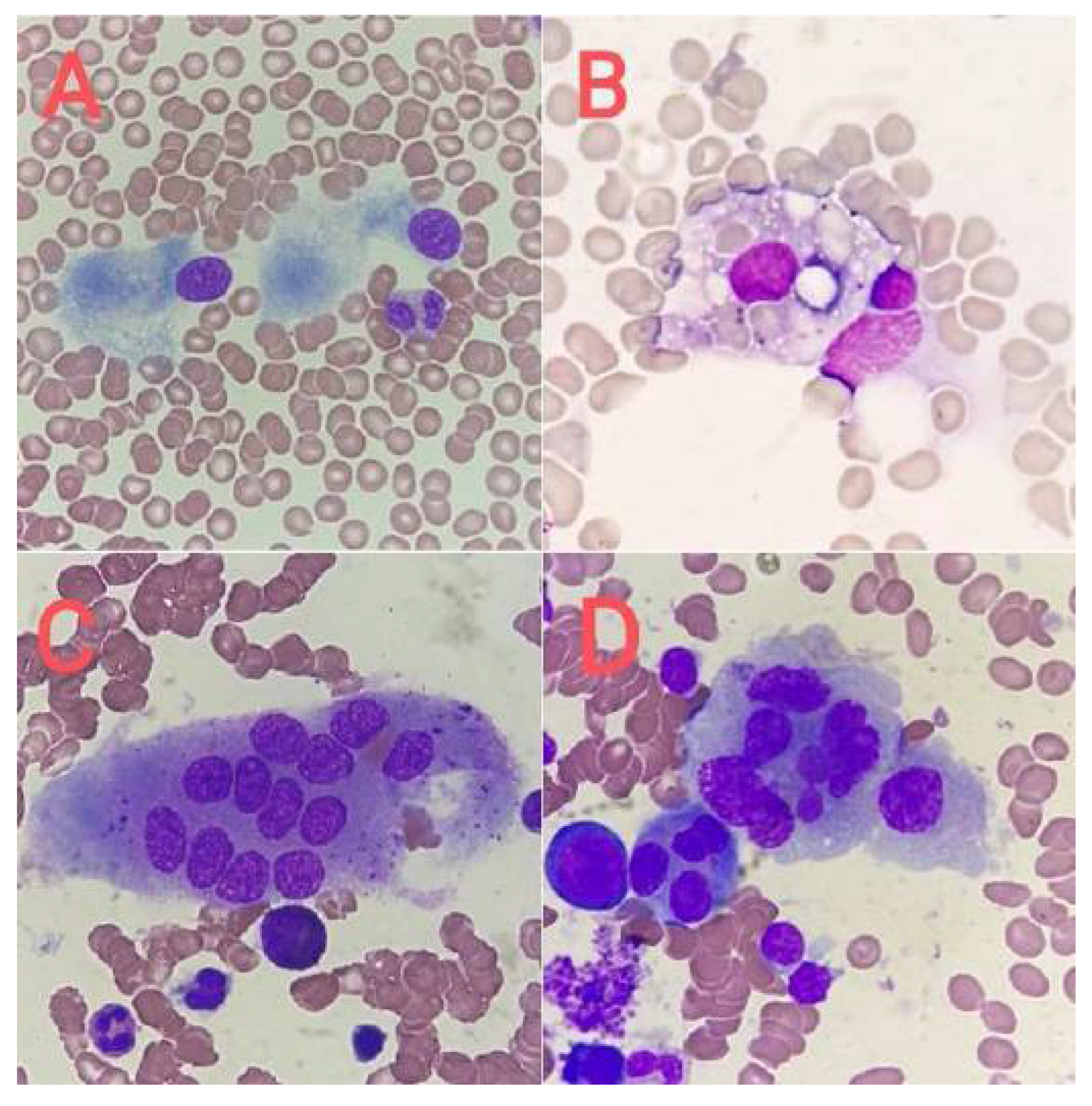
15. Differentiation of Megakaryocytes from Cells with Similar Morphology
- Osteoblasts (Figure 12A) incorrectly classified as megakaryocytes with hypolobulation of the nucleus;
- Osteoclasts (Figure 12C) classified as dysplastic megakaryocytes with separated nuclear lobes;
- Multinucleated, atypical plasma cells (Figure 12D) classified as dysplastic megakaryocytes;
- Macrophages with hemophagocytosis (Figure 12B) described as the phenomenon of emperipolesis;
- Metastatic cells or myeloblasts counted as megakaryoblasts [12].
16. Conclusions
Funding
Institutional Review Board Statement
Informed Consent Statement
Data Availability Statement
Conflicts of Interest
References
- Ivanovna Gabrilchak, A.; Anatolievna Gusyakova, O.; Aleksandrovich Antipov, V.; Alekseevna Medvedeva, E.; Leonidovna Tukshumskaya, L. A Modern Overview of the Process of Platelet Formation (Thrombocytopoiesis) and Its Dependence on Several Factors. Biochem. Medica 2024, 34, 030503. [Google Scholar] [CrossRef] [PubMed]
- Tefferi, A.; Vannucchi, A.M.; Barbui, T. Essential Thrombocythemia: 2024 Update on Diagnosis, Risk Stratification, and Management. Am. J. Hematol. 2024, 99, 697–718. [Google Scholar] [CrossRef] [PubMed]
- Yang, F.; Lai, J.; Deng, J.; Du, J.; Du, X.; Zhang, X.; Wang, Y.; Huang, Q.; Xu, Q.; Yang, G.; et al. The Application of Ethnomedicine in Modulating Megakaryocyte Differentiation and Platelet Counts. Int. J. Mol. Sci. 2023, 24, 3168. [Google Scholar] [CrossRef] [PubMed]
- Guo, T.; Wang, X.; Qu, Y.; Yin, Y.; Jing, T.; Zhang, Q. Megakaryopoiesis and Platelet Production: Insight into Hematopoietic Stem Cell Proliferation and Differentiation. Stem Cell Investig. 2015, 2, 3. [Google Scholar] [CrossRef]
- Hesseldahl, H.; Falck Larsen, J. Hemopoiesis and Blood Vessels in Human Yolk Sac. An Electron Microscopic Study. Acta Anat. 1971, 78, 274–294. [Google Scholar] [CrossRef]
- Greer, J.P. Wintrobe’s Clinical Hematology; Lippincott Williams & Wilkins: Philadelphia, PA, USA, 2008; ISBN 978-0-7817-6507-7. [Google Scholar]
- Malara, A.; Abbonante, V.; Di Buduo, C.A.; Tozzi, L.; Currao, M.; Balduini, A. The Secret Life of a Megakaryocyte: Emerging Roles in Bone Marrow Homeostasis Control. Cell. Mol. Life Sci. CMLS 2015, 72, 1517–1536. [Google Scholar] [CrossRef]
- Kłoczko, J.; Szumowska, A.; Galar, M. Małopłytkowość–Wskazania Do Zastosowania Cytokin Płytkotwórczych. Acta Haematol. Pol. 2013, 44, 130–134. [Google Scholar] [CrossRef]
- Puhm, F.; Laroche, A.; Boilard, E. Diversity of Megakaryocytes. Arterioscler. Thromb. Vasc. Biol. 2023, 43, 2088–2098. [Google Scholar] [CrossRef]
- Zini, G.; Viscovo, M. Cytomorphology of Normal, Reactive, Dysmorphic, and Dysplastic Megakaryocytes in Bone Marrow Aspirates. Int. J. Lab. Hematol. 2021, 43 (Suppl. 1), 23–28. [Google Scholar] [CrossRef]
- Michelson, A.D.; Cattaneo, M.; Frelinger, A.; Newman, P. (Eds.) Platelets; Academic Press: Cambridge, MA, USA, 2019; ISBN 978-0-12-813456-6. [Google Scholar]
- Lee, S.-H.; Erber, W.N.; Porwit, A.; Tomonaga, M.; Peterson, L.C.; International Council for Standardization In Hematology. ICSH Guidelines for the Standardization of Bone Marrow Specimens and Reports. Int. J. Lab. Hematol. 2008, 30, 349–364. [Google Scholar] [CrossRef]
- Hoffman, R.; Briddell, R.; Bruno, E. Numerous Growth Factors Can Influence in Vitro Megakaryocytopoiesis. Yale J. Biol. Med. 1990, 63, 411–418. [Google Scholar] [PubMed]
- Kaushansky, K. Thrombopoietin, the Primary Regulator of Platelet Production: From Mythos to Logos, a Thirty-Year Journey. Biomolecules 2024, 14, 489. [Google Scholar] [CrossRef] [PubMed]
- Komor, M.; Güller, S.; Baldus, C.D.; de Vos, S.; Hoelzer, D.; Ottmann, O.G.; Hofmann, W.-K. Transcriptional Profiling of Human Hematopoiesis during in Vitro Lineage-Specific Differentiation. Stem Cells 2005, 23, 1154–1169. [Google Scholar] [CrossRef] [PubMed]
- Behrens, K.; Alexander, W.S. Cytokine Control of Megakaryopoiesis. Growth Factors 2018, 36, 89–103. [Google Scholar] [CrossRef]
- Cunin, P.; Nigrovic, P.A. Megakaryocyte Emperipolesis: A New Frontier in Cell-in-Cell Interaction. Platelets 2020, 31, 700–706. [Google Scholar] [CrossRef]
- Megakaryopoiesis—An Overview|ScienceDirect Topics. Available online: https://www.sciencedirect.com/topics/medicine-and-dentistry/megakaryopoiesis (accessed on 20 February 2025).
- Noetzli, L.J.; French, S.L.; Machlus, K.R. New Insights Into the Differentiation of Megakaryocytes From Hematopoietic Progenitors. Arterioscler. Thromb. Vasc. Biol. 2019, 39, 1288–1300. [Google Scholar] [CrossRef]
- Jackson, C.W.; Steward, S.A.; Hutson, N.K.; McDonald, T.P. Genetic and Physiological Variations in Megakaryocyte DNA Content Distributions. Int. J. Cell Cloning 1990, 8, 260–266. [Google Scholar] [CrossRef]
- Fuchs, D.A.; McGinn, S.G.; Cantu, C.L.; Klein, R.R.; Sola-Visner, M.C.; Rimsza, L.M. Developmental Differences in Megakaryocyte Size in Infants and Children. Am. J. Clin. Pathol. 2012, 138, 140–145. [Google Scholar] [CrossRef]
- Geddis, A.E. Megakaryopoiesis. Semin. Hematol. 2010, 47, 212–219. [Google Scholar] [CrossRef]
- Zhu, J.; Guo, W.; Wang, B. Megakaryocytes in Peripheral Blood Smears of Non-Hematological Diseases. Int. J. Hematol. 2020, 112, 128–130. [Google Scholar] [CrossRef]
- Zheng, G.; He, R.; Reichard, K.K.; Peterson, J.F.; Olteanu, H.; Oliveira, J.L.; Rangan, A.; Chen, D.; Shi, M. Genetic and Clinical Studies of Patients With Increased Multinucleated Megakaryocytes in Bone Marrow as an Isolated Finding: A Diagnostic Pitfall for Myelodysplastic Syndrome. Am. J. Surg. Pathol. 2021, 45, 1534–1540. [Google Scholar] [CrossRef] [PubMed]
- Assinger, A. Platelets and Infection—An Emerging Role of Platelets in Viral Infection. Front. Immunol. 2014, 5, 649. [Google Scholar] [CrossRef]
- Sun, L.; Hwang, W.Y.K.; Aw, S.E. Biological Characteristics of Megakaryocytes: Specific Lineage Commitment and Associated Disorders. Int. J. Biochem. Cell Biol. 2006, 38, 1821–1826. [Google Scholar] [CrossRef]
- Ohshima, K.; Kikuchi, M.; Takeshita, M. A Megakaryocyte Analysis of the Bone Marrow in Patients with Myelodysplastic Syndrome, Myeloproliferative Disorder and Allied Disorders. J. Pathol. 1995, 177, 181–189. [Google Scholar] [CrossRef]
- Senegaglia, A.C.; Paula de Azambuja, A. Chapter 14—Bone Marrow–Resident Stem Cells. In Resident Stem Cells and Regenerative Therapy, 2nd ed.; Coeli dos Santos Goldenberg, R., Campos de Carvalho, A., Eds.; Academic Press: San Diego, CA, USA, 2024; pp. 357–379. ISBN 978-0-443-15289-4. [Google Scholar]
- Khoury, J.D.; Solary, E.; Abla, O.; Akkari, Y.; Alaggio, R.; Apperley, J.F.; Bejar, R.; Berti, E.; Busque, L.; Chan, J.K.C.; et al. The 5th Edition of the World Health Organization Classification of Haematolymphoid Tumours: Myeloid and Histiocytic/Dendritic Neoplasms. Leukemia 2022, 36, 1703–1719. [Google Scholar] [CrossRef]
- Feng, G.; Gale, R.P.; Cui, W.; Cai, W.; Huang, G.; Xu, Z.; Qin, T.; Zhang, Y.; Li, B.; Fang, L.; et al. A Systematic Classification of Megakaryocytic Dysplasia and Its Impact on Prognosis for Patients with Myelodysplastic Syndromes. Exp. Hematol. Oncol. 2015, 5, 12. [Google Scholar] [CrossRef]
- Wong, K.F.; Chan, J.K. Are “dysplastic” and Hypogranular Megakaryocytes Specific Markers for Myelodysplastic Syndrome? Br. J. Haematol. 1991, 77, 509–514. [Google Scholar] [CrossRef]
- Jawad, M.D.; Go, R.S.; Reichard, K.K.; Shi, M. Increased Multinucleated Megakaryocytes as an Isolated Finding in Bone Marrow: A Rare Finding and Its Clinical Significance. Am. J. Clin. Pathol. 2016, 146, 561–566. [Google Scholar] [CrossRef]
- Alaggio, R.; Amador, C.; Anagnostopoulos, I.; Attygalle, A.D.; Araujo, I.B.D.O.; Berti, E.; Bhagat, G.; Borges, A.M.; Boyer, D.; Calaminici, M.; et al. The 5th Edition of the World Health Organization Classification of Haematolymphoid Tumours: Lymphoid Neoplasms. Leukemia 2022, 36, 1720–1748. [Google Scholar] [CrossRef]
- Bain, B.J. The Bone Marrow Aspirate of Healthy Subjects. Br. J. Haematol. 1996, 94, 206–209. [Google Scholar] [CrossRef]
- Rastogi, V.; Sharma, R.; Misra, S.R.; Yadav, L.; Sharma, V. Emperipolesis—A Review. J. Clin. Diagn. Res. JCDR 2014, 8, ZM01–ZM02. [Google Scholar] [CrossRef] [PubMed]
- Sable, M.N.; Sehgal, K.; Gadage, V.S.; Subramanian, P.G.; Gujral, S. Megakaryocytic Emperipolesis: A Histological Finding in Myelodysplastic Syndrome. Indian J. Pathol. Microbiol. 2009, 52, 599–600. [Google Scholar] [CrossRef] [PubMed]
- Varma, N.; Dash, S.; Sarode, R.; Marwaha, N. Relative Efficacy of Bone Marrow Trephine Biopsy Sections as Compared to Trephine Imprints and Aspiration Smears in Routine Hematological Practice. Indian J. Pathol. Microbiol. 1993, 36, 215–226. [Google Scholar] [PubMed]
- Ahmad, S.Q.; Yusuf, R.; Zafar, N.; Ali, N. Dry tap: A diagnostic alert for underlying bone marrow pathology. J. Ayub Med. Coll. Abbottabad 2015, 27, 120–123. [Google Scholar]
- Jain, S.; Sharma, R. Laboratory Evaluation of Bone Marrow. In StatPearls; StatPearls Publishing: Treasure Island, FL, USA, 2025. [Google Scholar]
- Wang, X.; Wang, Y.; Qi, C.; Qiao, S.; Yang, S.; Wang, R.; Jin, H.; Zhang, J. The Application of Morphogo in the Detection of Megakaryocytes from Bone Marrow Digital Images with Convolutional Neural Networks. Technol. Cancer Res. Treat. 2023, 22, 15330338221150069. [Google Scholar] [CrossRef]
- Brück, O.E.; Lallukka-Brück, S.E.; Hohtari, H.R.; Ianevski, A.; Ebeling, F.T.; Kovanen, P.E.; Kytölä, S.I.; Aittokallio, T.A.; Ramos, P.M.; Porkka, K.V.; et al. Machine Learning of Bone Marrow Histopathology Identifies Genetic and Clinical Determinants in Patients with MDS. Blood Cancer Discov. 2021, 2, 238–249. [Google Scholar] [CrossRef]












| Decreased Megakaryocyte Count | Increased Megakaryocyte Count |
|---|---|
|
|
| Disease Entity | Morphological Features |
|---|---|
| Thrombotic thrombocytopenic purpura (TTP) | Increased number of normal megakaryocytes, often younger forms |
| Primary immune thrombocytopenia (ITP) | Increased number of megakaryocytes, often younger forms; numerous giant megakaryocytes and with hypolobulation of the nucleus; present clusters of megakaryocytes |
| Acquired hemolytic anemia | Small clusters of megakaryocytes with normal morphology |
| Iron deficiency anemia (IDA) | Normal megakaryocytes, sometimes increased platelet function |
| Megaloblastic anemia | Often reduced number of megakaryocytes; hypersegmentation of the nucleus; reduced granularity of the cytoplasm; present fragments of cytoplasm; naked nuclei of megakaryocytes |
| Chronic myeloid leukemia (CML) | Usually increased number of megakaryocytes; micromegakaryocytes present; intermediate N/C ratio |
| Essential thrombocythemia (ET) | Increased number of megakaryocytes; present giant forms with hypersegmented nucleus and abundant cytoplasm; present clusters of megakaryocytes, often forms with antler-shaped nuclei, so-called “staghorn”; numerous platelet clusters and cytoplasmic fragments, often megakaryocytes surrounded by platelet shoals; emperipolesis |
| Polycythemia vera (PV) | Increased number of megakaryocytes, distinct polymorphism (present forms of normal size and giant hypersegmented forms with abundant cytoplasm, less frequently megakaryocytes with hypolobulation of the nucleus, and blurred chromatin structure, so-called “cloud-like”) |
| Primary myelofibrosis (prefibrotic phase) | Megakaryocyte proliferation and atypia; small and large forms present with abnormal N/C ratio and hyperchromatic; megakaryocytes form dense clusters |
| Myelodysplastic neoplasms | Megakaryocyte count decreased, normal, or increased; micromegakaryocytes present, megakaryocytes with multiple separated nuclear lobes or nuclear hypolobulation; abnormal maturation of the nucleus in relation to the cytoplasm; cytoplasmic hypogranulation MDS with monosomy 7 (micromegakaryocytes) MDS with del(5q) (megakaryocytes with nuclear hypolobulation) |
| Acute megakaryoblastic leukemia | Blast cells with a high N/C ratio, tending to form clusters, which may suggest metastatic cells; morphologically, we distinguish megakaryoblasts resembling lymphoblasts, megakaryoblasts with basophilic cytoplasm forming small projections, and megakaryoblasts with cytoplasm in the form of long projections |
Disclaimer/Publisher’s Note: The statements, opinions and data contained in all publications are solely those of the individual author(s) and contributor(s) and not of MDPI and/or the editor(s). MDPI and/or the editor(s) disclaim responsibility for any injury to people or property resulting from any ideas, methods, instructions or products referred to in the content. |
© 2025 by the authors. Licensee MDPI, Basel, Switzerland. This article is an open access article distributed under the terms and conditions of the Creative Commons Attribution (CC BY) license (https://creativecommons.org/licenses/by/4.0/).
Share and Cite
Błocka-Gumowska, M.; Hus, I.; Szymczyk, A. The Role of Megakaryocyte Assessment in Bone Marrow Cytology. J. Clin. Med. 2025, 14, 2681. https://doi.org/10.3390/jcm14082681
Błocka-Gumowska M, Hus I, Szymczyk A. The Role of Megakaryocyte Assessment in Bone Marrow Cytology. Journal of Clinical Medicine. 2025; 14(8):2681. https://doi.org/10.3390/jcm14082681
Chicago/Turabian StyleBłocka-Gumowska, Monika, Iwona Hus, and Agnieszka Szymczyk. 2025. "The Role of Megakaryocyte Assessment in Bone Marrow Cytology" Journal of Clinical Medicine 14, no. 8: 2681. https://doi.org/10.3390/jcm14082681
APA StyleBłocka-Gumowska, M., Hus, I., & Szymczyk, A. (2025). The Role of Megakaryocyte Assessment in Bone Marrow Cytology. Journal of Clinical Medicine, 14(8), 2681. https://doi.org/10.3390/jcm14082681

