Clinical Significance and Prognosis of Prenatal Diagnosis of Large Umbilical Cord Cysts—A Review Triggered by a Clinical Case
Abstract
1. Introduction
2. Materials and Methods
3. Results
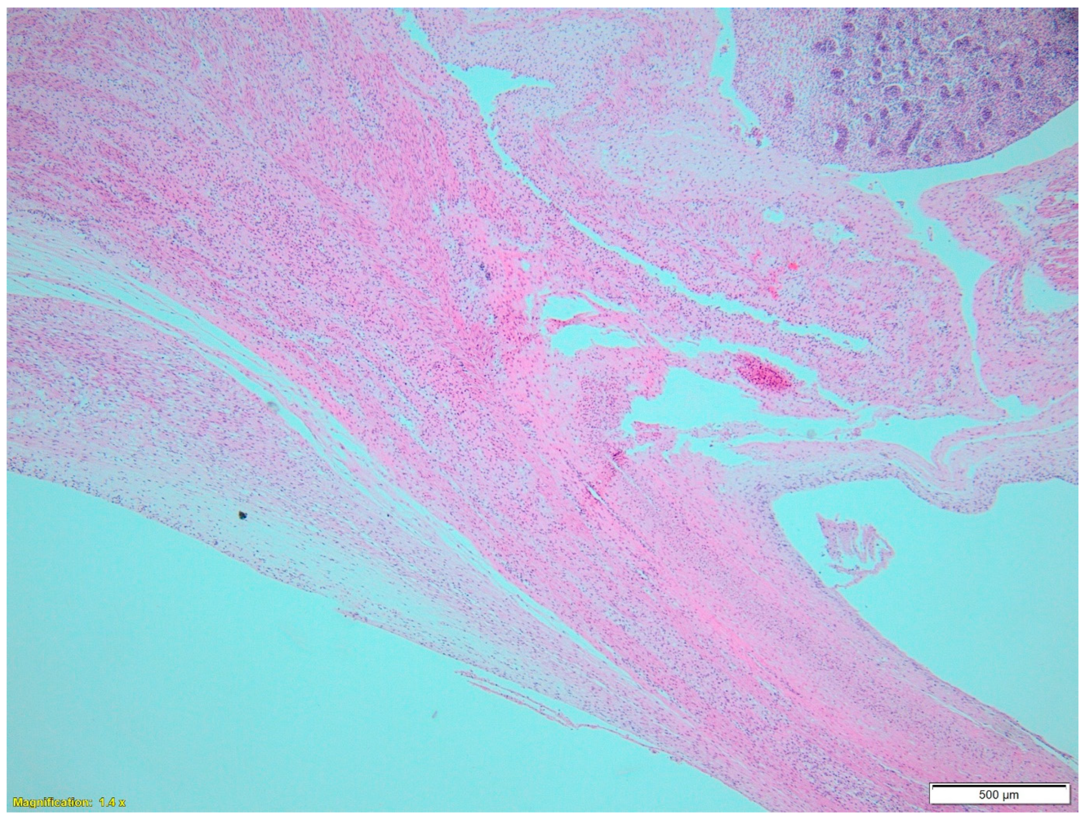
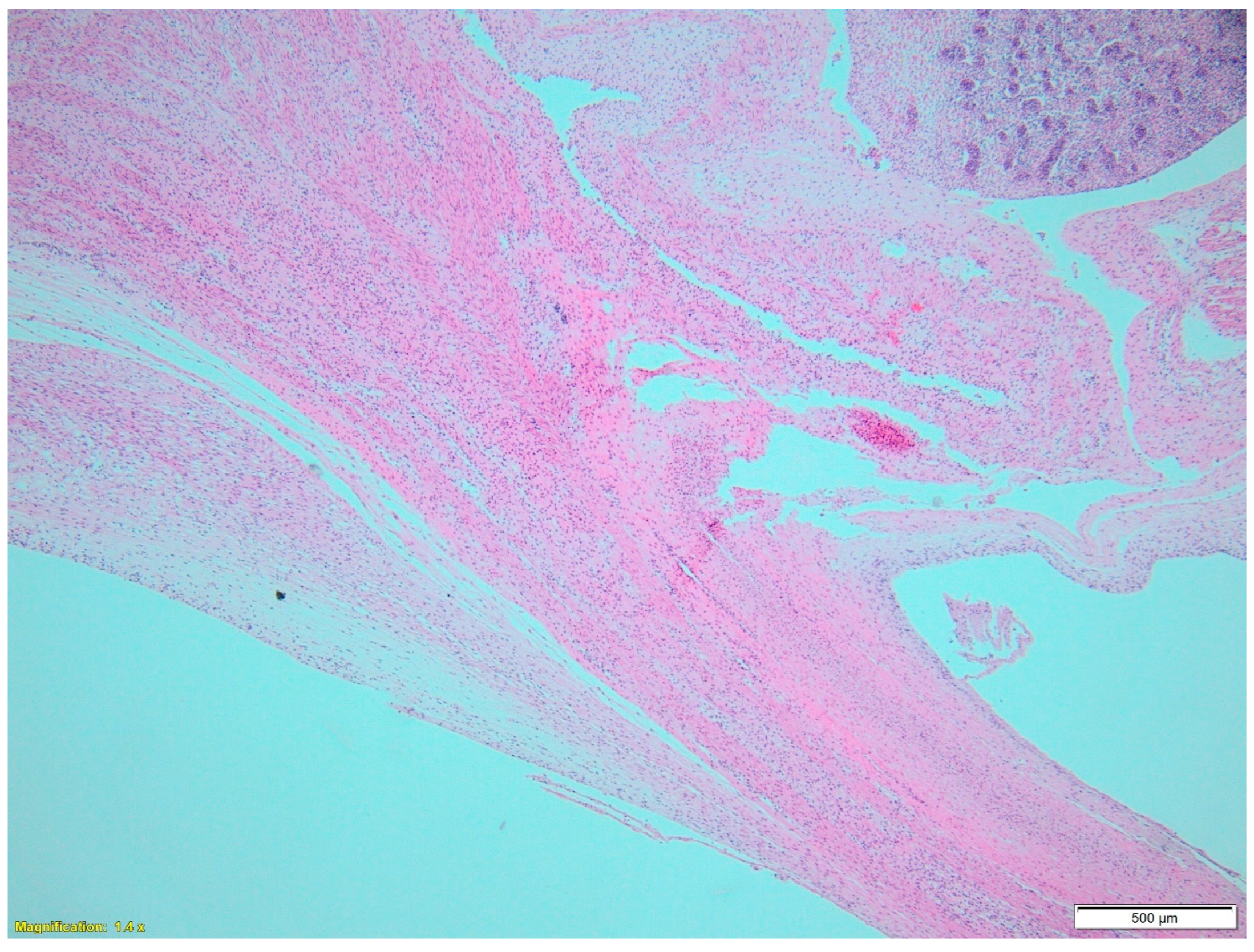
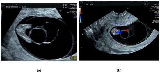
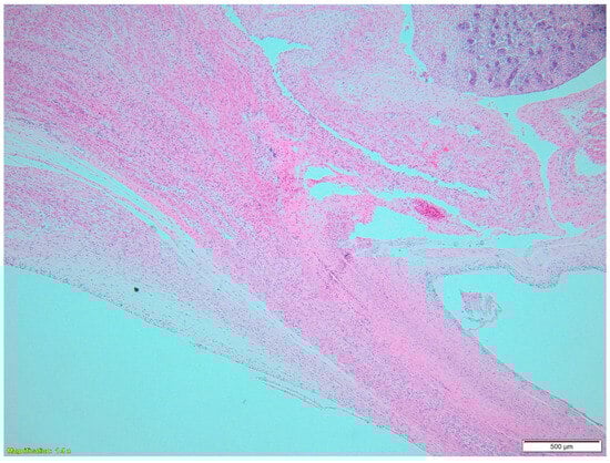
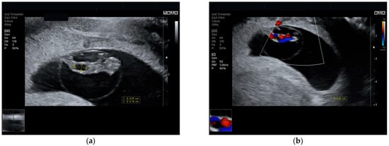
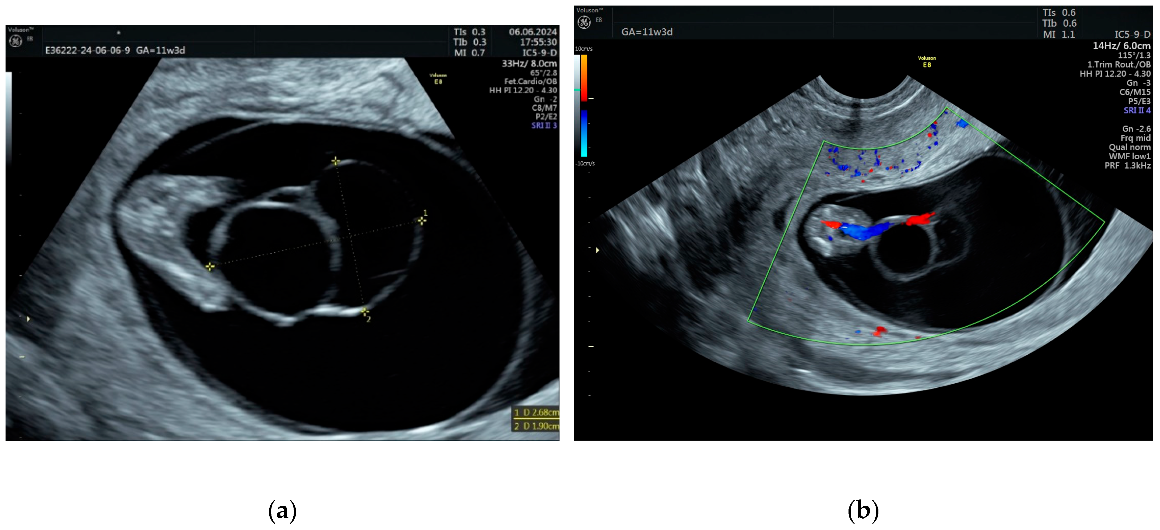
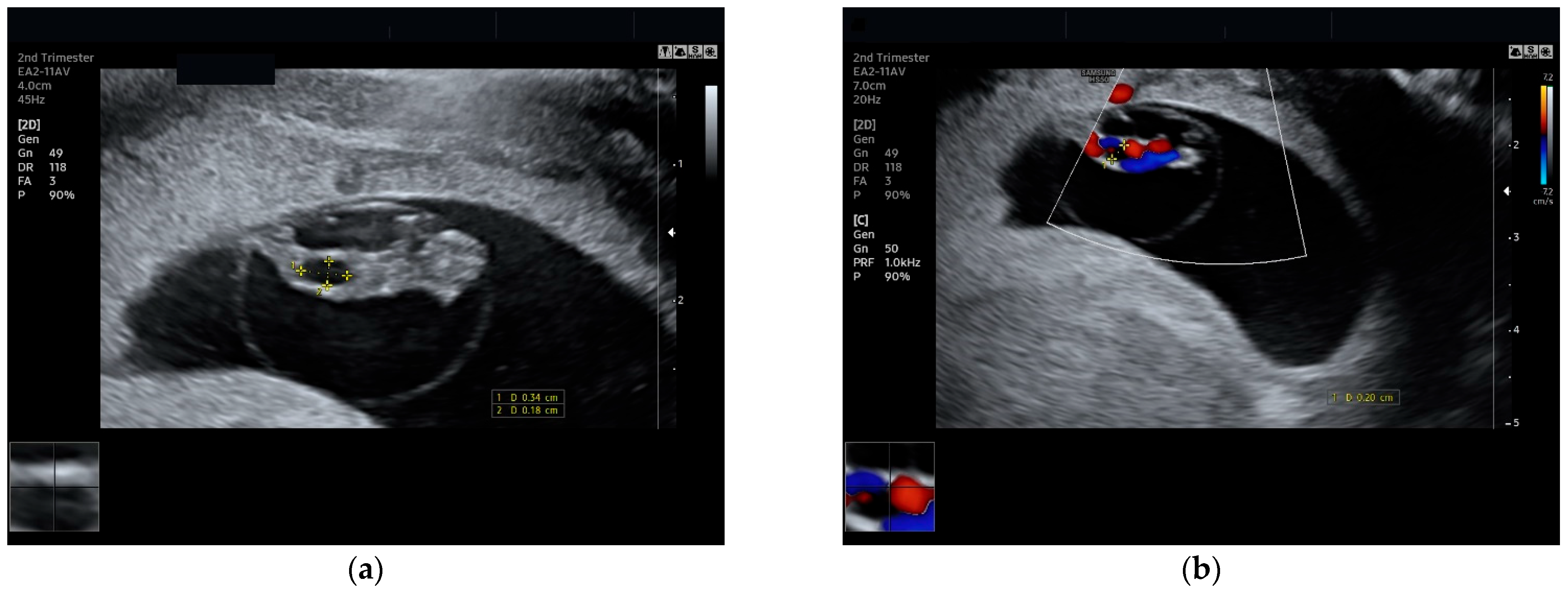
3.1. Case Report
3.2. Narrative Systematic Review
4. Discussion
4.1. Number
4.2. Location
4.3. Dimension
4.4. Time of Detection
4.4.1. Umbilical Cord Cysts Were Detected in the First Trimesters
4.4.2. Umbilical Cord Cysts Were Detected in the Second and Third Trimesters
4.5. Pathological Structure
4.6. Additional Findings
4.7. Follow-Up
5. Conclusions
Author Contributions
Funding
Institutional Review Board Statement
Informed Consent Statement
Acknowledgments
Conflicts of Interest
Appendix A
| No. | Study | Total Number of Cases Diagnosed During Pregnancy | Number of Cysts | Location | Dimension | Gestational Age at Detection | Other Findings on Ultrasound | Genetic Test | Genetic Test Findings | Follow-Up |
|---|---|---|---|---|---|---|---|---|---|---|
| 1 | Campo et al., 2017 [1] | 27 | 21 single cysts 6 multiple cysts | Not reported | Not reported | 16 weeks (median) | -Omphalocel -ARSA -Pyelectasis bilateral -Megabladder -Multiple structural anomalies: spinal muscular atrophy, arthrogryposis, atrial septal, dysplastic hands, polyhydramnios, bilateral cryptorchiism, brachycephaly -Holoprosencephaly semilobar, HLHS, Omphalocele, single umbilical artery, IUGR severe and early | Fetal karyotyping by invasive technique | -Trisomy 18 in 2 cases -2 cases with partial mole -Edwards syndrome 1 case | 15 vaginal deliveries 2 cesarean sections 10 terminations of pregnancy or miscarriages |
| 2 | Turkmen et al., 2016 [7] | 1 | Multiple | Not reported | 50 × 40 mm | 13 weeks | Without other findings | Not specified | Normal results after amniocentesis | Vaginal delivery at 39 weeks |
| 3 | Hsiung et al., 2024 [8] | 1 | Single cyst | Fetal pole | 80 × 60 mm | 36 weeks | -Tetralogy of Fallot (TOF) -Large ventricular septal defect (VSD) | Not reported | Not reported | Vaginal delivery at 36 weeks |
| 4 | Liu et al., 2022 [9] | 49 | Not reported | Not reported | Not reported | 25.2 weeks (median) | -Hydramnios -Scalp edema -Lateral ventricle broadening -IUGR -Edema of the umbilical cord | G-banding karyotype analysis -Chromosomal microarray analysis -Medical exome sequencing. | -Isolated group: 1 case showed 17p12 microduplication -Non-isolated group: chromosomal abnormalities: 7 cases of trisomy 18, 2 cases of trisomy 13 and 3 microdeletions -Fetus with 15q11.2q13.3 deletion was diagnosed with Prader–Willi syndrome postpartum | Alive births 33 Termiantions 16 |
| 5 | Ghezzi et al., 2003 [6] | 24 | 18 single cysts 6 multiple cysts | Fetal pole 8 Placental pole 6 Central 7 Entire umbilical cord 3 | 3.8 mm (for single) 3.05 mm (for multiple) | 7–14 weeks | Not described | Not specified | -Karyotype in 3 cases -2 cases with trisomy 18 | 19 live births 5 terminations of pregnancy |
| 6 | Chien et al., 2021 [10] | 1 | Single cyst | Fetal pole | 30 mm (48 × 45 mm at 22 weeks, disappeared at 28 weeks) | 14 weeks | -Patent urachal fistula with continuous urine flow at birth -Bladder herniated out of the fistula | Not reported | Fetal karyotyping was declined | Vaginal delivery at 39 weeks |
| 7 | Ilhan et al., 2018 [11] | 1 | Single cyst | Fetal pole | 64 × 54 mm | 34 weeks | Polyhydramnios | Refused invasive procedures | Postmortem genetic analysis revealed 46, XY karyotype | Cesarean section delivery (fetal distress) Newborn died at 3 days due to perinatal asphyxia |
| 8 | Svigos et al., 2022 [12] | 1 | Single cyst | Fetal pole | 17 mm × 16 mm × 18 mm (49 × 45 × 47 mm at 35 weeks) | 16 weeks | -Homogeneous echogenicity of the cord developed in the third trimester -Umbilical cord edema | Not specified | Normal XX karyotype | Cesarean section delivery Laparoscopic excision of the urachus performed at 11 weeks after delivery |
| 9 | Zaigui Wu et al., 2020 [13] | 23 | 16 single cysts, 6 multiple Cysts (the rest not described) | Fetal pole 9 Placental pole 9 Central 3 Fetal and central 1 | 150 mm (1 case) 50 mm (7 cases) | 12–38 weeks | -6 cases with multiple malformations -Single umbilical artery -Acromphalus -Kidney absence -Fetal arrhythmia -Fetal cardiac malformation, aortic span -The mitral and tricuspid valves at the same level | Not specified | 3 cases with karyotype analysis | 6 vaginal deliveries 17 cesarean deliveries |
| 10 | Bohâlțea et al., 2014 [14] | 12 | 9 single cysts 3 multiple cysts | Fetal pole 2 Placental pole 1 Central 9 | 3 mm (mean) | 11–13 weeks | Absent nasal bone and abnormal ductus venosus | Not specified | 1 case of trisomy 18 | 9 live births with normal fetuses 1 with postnatal surgery |
| 11 | Zangen et al., 2010 [15] | 10 | Single cyst | Placental pole 8 Central 2 | 39 mm (mean) | 25 weeks (median) | -Heart malformations and intrauterine growth -Restriction -Polyhydramnios -VSD | Not specified | -4 cases with karyotype -1 case of trisomy 18 -3 normal karyotypes | 8 live births 2 terminations of pregnancy |
| 12 | Aayushi et al., 2018 [16] | 1 | Single cyst | Placental pole | 50 ×50 mm | 26 weeks | -Polyhydramnios -No gross congenital malformations | Not reported | The karyotype was not performed due to lack of consent | Cesarean section at 39 weeks |
| 13 | Gilboa et al., 2011 [17] | 8 | 6 single cysts 2 multiple cysts | Central 4 cases Fetal pole 3 cases Placental pole 1 case | 19 mm (between 10 and 38 mm) | 11 weeks 6 days | -Hypoplastic left heart -Patent urachus (cystic formation that protruded into the umbilical cord), multiple umbilical cord cysts, crossed ectopic kidney. -Short long bones, atrioventricular canal, echogenic kidneys, clenched hands, single umbilical artery | Not specified | -1 case trisomy 18 -3 cases with normal karyotype; in 4 cases it was not performed | 5 healthy neonates 1 surgery for umbilical cord hernia 2 terminations of pregnancy |
| 14 | Haino et al., 2010 [18] | 1 | Single cyst | Fetal pole | 50 mm (106/47/67 cm at 33 weeks) | 21 weeks | -Normal anatomy -Single umbilical artery | Not reported | Parents refused amniocentesis | Cesarean section delivery at 37 weeks |
| 15 | Hannaford et al., 2013 [19] | 45 | 39 single cysts 6 multiple cysts | Fetal pole 13 Placental pole 8 Central 15 Uncategorized 9 | 3 ± 2.1 mm (range 0.9 to 5 mm) | 8 weeks 3 days | -5 sonographic fetal abnormalities were found in the umbilical cord cyst cohort -1 case local edema over the lower thoracic and lumbar region (resorbed) | Not performed | -On autopsy in the one case with fetal edema—karyotype 46,XY -On the case with fetal demise at 38 weeks, with karyotype 46,XY | 45 live births |
| 16 | Qian et al., 2023 [20] | 45 | Not specified | Fetal pole 13 Placental pole 22 Central 10 | 20 mm (mean) | 25 weeks 3 days | -Fetal growth restriction -Polyhydramnios/oligohydramnios -Systemic edema and abnormal posture of both lower limbs -Mild left lateral ventriculomegaly and fetal growth restriction | CMA analysis and prenatal whole exome sequencing (WES) | -All patients were tested -5 cases with chromosomal abnormalities -1 case of Trosomy 18 -1 case of 47, XXX -Monosomy of the short arm of chromosome 9 -1 case of pCNV overlapping with 17p12 recurrent region-1 case of X chromosome short arm terminal duplication and chromosome 4 short arm terminal microdeletion (VUS) -3 cases of CNVs of unknown significance | 34 live births (4 neonates with postnatal surgery and good prognosis) 11 terminations of pregnancy |
References
- Campo, L.R.; Cornudella, R.S.; Alderete, F.G.; Martínez-Payo, C.; Pérez, P.P.; Fernández, P.G.; Puertas, D.L. Prenatal diagnosis of umbilical cord cyst: Clinical significance and prognosis. Taiwan. J. Obstet. Gynecol. 2017, 56, 622–627. [Google Scholar] [CrossRef] [PubMed]
- Ross, J.A.; Jurkovic, D.; Zosmer, N.; Jauniaux, E.; Hacket, E.; Nicolaides, K.H. Umbilical cord cysts in early pregnancy. Obstet. Gynecol. 1997, 89, 442–445. [Google Scholar] [CrossRef] [PubMed]
- Sepulveda, W.; Gutierrez, J.; Sanchez, J.; Be, C.; Schnapp, C. Pseudocyst of the umbilical cord: Prenatal sonographic appearance and clinical significance. Obstet. Gynecol. 1999, 93, 377–381. [Google Scholar] [CrossRef] [PubMed]
- Available online: https://www.isuog.org/resource/updated-isuog-practice-guidelines-performance-of-11-14-week-ultrasound-scan.html (accessed on 5 January 2025).
- Page, M.J.; McKenzie, J.E.; Bossuyt, P.M.; Boutron, I.; Hoffmann, T.C.; Mulrow, C.D.; Shamseer, L.; Tetzlaff, J.M.; Akl, E.A.; Brennan, S.E.; et al. The PRISMA 2020 statement: An updated guideline for reporting systematic reviews. BMJ 2021, 372, n71. [Google Scholar] [CrossRef] [PubMed]
- Ghezzi, F.; Raio, L.; Di Naro, E.; Franchi, M.; Cromi, A.; Dürig, P. Single and multiple umbilical cord cysts in early gestation: Two different entities. Ultrasound Obstet. Gynecol. 2003, 21, 215–219. [Google Scholar] [CrossRef] [PubMed]
- Yılmaz, Z.; Türkmen, G.; Sanhal, C.; Kırbaş, A.; Uygur, D. A case of an umbilical cord cyst in first trimester. In Proceedings of the 15th World Congress in Fetal Medicine, Palma de Mallorca, Spain, 26–30 June 2016. [Google Scholar]
- Hospital, P.J.E.; Hsiung, J.-C.; Balasubramanian, R.; Schutzman, D.; Salvador, A. A unique presentation of umbilical cordpseudocyst. Consultant 2024, 64, e2. [Google Scholar] [CrossRef]
- Liu, Q.; Wei, R.; Lu, J.; Ding, H.; Yi, H.; Guo, L.; Wu, J. A Retrospective Cohort Analysis of the Genetic Assay Results of Foetuses with Isolated and Nonisolated Umbilical Cord Cyst. Int. J. Gen. Med. 2022, 15, 5775–5784. [Google Scholar] [CrossRef] [PubMed] [PubMed Central]
- Chien, C.-W.; Chen, K.-J.; Lai, J.-Y.; Chao, A.-S. Patent urachus or bladder exstrophy occulta? A case of prenatally disappeared umbilical cord cyst. Urol. Case Rep. 2021, 39, 101772. [Google Scholar] [CrossRef] [PubMed] [PubMed Central]
- İlhan, G.; Yildiz, E.; Küçükyurt, A.K.; Atmaca, F.F.V. Perinatal Outcome of a Fetus Presenting with an Isolated Umbilical Cyst. Duzce Med. J. 2018, 20, 23–25. [Google Scholar] [CrossRef][Green Version]
- Svigos, J.; Khurana, S.; Munt, C.; Sinhal, S. Presentation of an umbilical cord cyst with a surprising jet: Acase report of a patent urachus [version 1; peer review: 2 approved]. F1000Research 2013, 2, 38. [Google Scholar] [CrossRef] [PubMed]
- Wu, Z.; Dong, M. Clinical experience of Umbilical Cord cysts from a Chinese single centre. Res. Sq. 2020. [Google Scholar] [CrossRef]
- Roxana, B.; Radoi, V.; Bohiltea, L. Umbilical cord cysts in first trimester pregnancy. Ultrasound Obstet. Gynecol. 2014, 44 (Suppl. S1), 181–369. [Google Scholar]
- Zangen, R.; Boldes, R.; Yaffe, H.; Schwed, P.; Weiner, Z. Umbilical cord cysts in the second and third trimesters: Significance and prenatal approach. Ultrasound Obstet. Gynecol. 2010, 36, 296–301. [Google Scholar] [CrossRef] [PubMed]
- Kaushal, A.; Mehra, R.; Dubey, S.; Goel, P.; Sheokand, S.; Kaur, N. Umbilical cord cyst: A diagnostic dilemma. Int. J. Reprod. Contraception, Obstet. Gynecol. 2019, 8, 1207–1210. [Google Scholar] [CrossRef]
- Gilboa, Y.; Kivilevitch, Z.; Katorza, E.; Leshem, Y.; Borokovski, T.; Spira, M.; Achiron, R. Outcomes of fetuses with umbilical cord cysts diagnosed during nuchal translucency examination. J. Ultrasound Med. 2011, 30, 1547–1551. [Google Scholar] [CrossRef] [PubMed]
- Haino, K.; Serikawa, T.; Itsukaichi, M.; Numata, M.; Kikuchi, A.; Kojima, K.; Matsunaga, M.; Takakuwa, K.; Tanaka, K. Large pseudocyst of the umbilical cord detected in the second trimester. J. Med. Ultrason. 2010, 37, 213–215. [Google Scholar] [CrossRef] [PubMed]
- Hannaford, K.; Reeves, S.; Wegner, E. Umbilical Cord Cysts in the First Trimester. J. Ultrasound Med. 2013, 32, 801–806. [Google Scholar] [CrossRef] [PubMed]
- Qian, Y.; Hu, T.; Zhang, Z.; Xiao, L.; Wang, J.; Hu, R.; Liao, N.; Liu, Z.; Wang, H.; Liu, S. Prenatal diagnosis with chromosome microarray analysis and pregnancy outcomes of fetuses with umbilical cord cysts. J. Matern. Neonatal Med. 2023, 36, 2203793. [Google Scholar] [CrossRef] [PubMed]
- Chen, C.P.; Jan, S.W.; Liu, F.F.; Chiang, S.; Huang, S.H.; Sheu, J.C.; Wang, K.; Lan, C.C. Prenatal diagnosis of omphalocele associated with umbilical cord cyst. Acta Obstet. Gynecol. Scand. 1995, 74, 832–835. [Google Scholar] [CrossRef] [PubMed]






Disclaimer/Publisher’s Note: The statements, opinions and data contained in all publications are solely those of the individual author(s) and contributor(s) and not of MDPI and/or the editor(s). MDPI and/or the editor(s) disclaim responsibility for any injury to people or property resulting from any ideas, methods, instructions or products referred to in the content. |
© 2025 by the authors. Licensee MDPI, Basel, Switzerland. This article is an open access article distributed under the terms and conditions of the Creative Commons Attribution (CC BY) license (https://creativecommons.org/licenses/by/4.0/).
Share and Cite
Nastasia, Ș.; Nenciu, A.E.; Russu, M.C.; Neacșu, A.V.; Ceaușu, I.; Achim, N.A. Clinical Significance and Prognosis of Prenatal Diagnosis of Large Umbilical Cord Cysts—A Review Triggered by a Clinical Case. J. Clin. Med. 2025, 14, 2564. https://doi.org/10.3390/jcm14082564
Nastasia Ș, Nenciu AE, Russu MC, Neacșu AV, Ceaușu I, Achim NA. Clinical Significance and Prognosis of Prenatal Diagnosis of Large Umbilical Cord Cysts—A Review Triggered by a Clinical Case. Journal of Clinical Medicine. 2025; 14(8):2564. https://doi.org/10.3390/jcm14082564
Chicago/Turabian StyleNastasia, Șerban, Adina Elena Nenciu, Manuela Cristina Russu, Adrian Valeriu Neacșu, Iuliana Ceaușu, and Nicoleta Adelina Achim. 2025. "Clinical Significance and Prognosis of Prenatal Diagnosis of Large Umbilical Cord Cysts—A Review Triggered by a Clinical Case" Journal of Clinical Medicine 14, no. 8: 2564. https://doi.org/10.3390/jcm14082564
APA StyleNastasia, Ș., Nenciu, A. E., Russu, M. C., Neacșu, A. V., Ceaușu, I., & Achim, N. A. (2025). Clinical Significance and Prognosis of Prenatal Diagnosis of Large Umbilical Cord Cysts—A Review Triggered by a Clinical Case. Journal of Clinical Medicine, 14(8), 2564. https://doi.org/10.3390/jcm14082564

