Mesotherapy with HA and Choline Against Facial Skin Aging: An Open-Label Uncontrolled, Monocentric Study
Abstract
1. Introduction
2. Material and Methods
2.1. Scientific Assessment Scale of Skin Quality
- •
- Question 1: How would you judge the change in your appearance after treatment. Very much improved, much improved, slightly improved, no change, worsened.
- •
- Question 2: How satisfied are you with the treatment, very satisfied, satisfied, not satisfied.
2.2. Statistical and Determination of Sample Size
3. Results
3.1. Global Aesthetic Improvement Scale
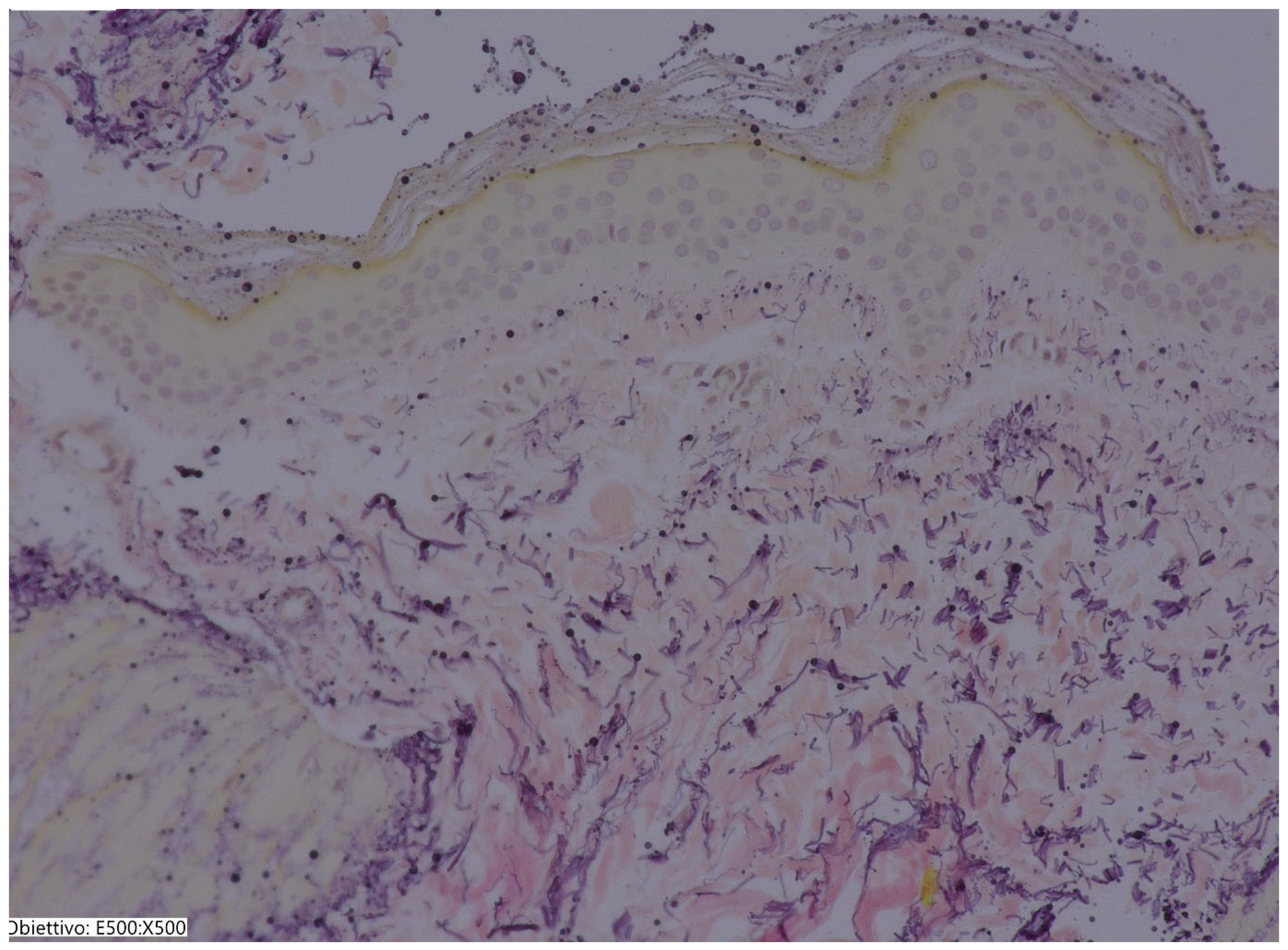
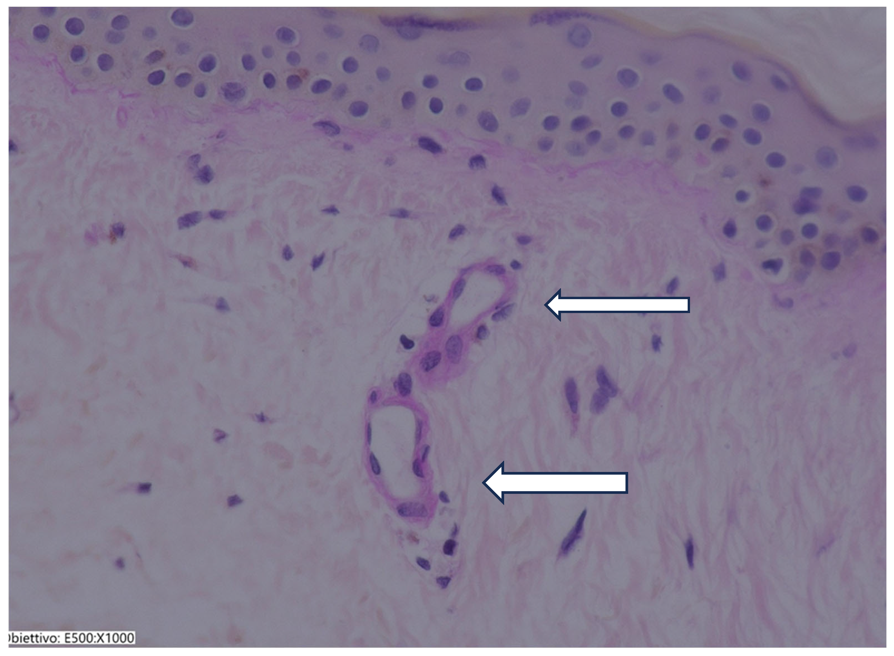
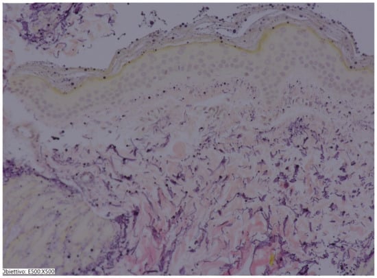
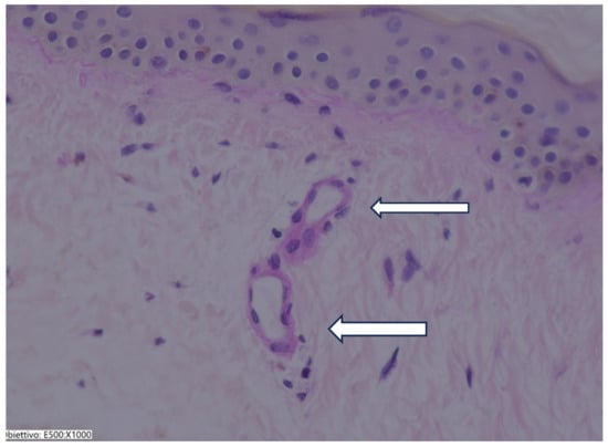
3.2. Histological Results
4. Discussion
Author Contributions
Funding
Institutional Review Board Statement
Informed Consent Statement
Data Availability Statement
Acknowledgments
Conflicts of Interest
References
- Marcos-Pérez, D.; Saenz-Antoñanzas, A.; Matheu, A. Centenarians as Models of Healthy Aging: Example of REST. Ageing Res. Rev. 2021, 70, 101392. [Google Scholar] [CrossRef] [PubMed]
- Verdier-Sévrain, S.; Bonté, F.; Gilchrest, B. Biology of Estrogens in Skin: Implications for Skin Aging. Exp. Dermatol. 2006, 15, 83–94. [Google Scholar] [CrossRef] [PubMed]
- Schmuth, M.; Watson, R.E.; Deplewski, D.; Dubrac, S.; Zouboulis, C.C.; Griffiths, C.E. Nuclear Hormone Receptors in Human Skin. Horm. Metab. Res. 2007, 39, 96–105. [Google Scholar] [PubMed]
- Liang, Y.; Su, W.; Wang, F. Skin Ageing: A Progressive, Multi-Factorial Condition Demanding an Integrated, Multilayer-Targeted Remedy. Clin. Cosmet. Investig. Dermatol. 2023, 16, 1215–1229. [Google Scholar] [CrossRef]
- Zargaran, D.; Zoller, F.; Zargaran, A.; Weyrich, T.; Mosahebi, A. Facial Skin Ageing: Key Concepts and Overview of Processes. Intern. J. Cosmet. Sci. 2022, 44, 414–420. [Google Scholar] [CrossRef]
- Low, E.; Alimohammadiha, G.; Smith, L.A.; Costello, L.F.; Przyborski, S.A.; von Zglinicki, T.; Miwa, S. How Good Is the Evidence That Cellular Senescence Causes Skin Ageing? Ageing Res. Rev. 2021, 71, 101456. [Google Scholar] [CrossRef]
- Makrantonaki, E.; Zouboulis, C.C. Characteristics and Pathomechanisms of Endogenously Aged Skin. Dermatology 2007, 214, 352–360. [Google Scholar]
- Makrantonaki, E.; Zouboulis, C.C. Molecular Mechanisms of Skin Aging: State of the Art. Proc. Ann. N. Y. Acad. Sci. 2007, 1119, 40–50. [Google Scholar]
- Lock-Andersen, J.; Therkildsen, P.; De Fine Olivarius, F.; Gniadecka, M.; Dahlstrøm, K.; Poulsen, T.; Wulf, H.C. Epidermal Thickness, Skin Pigmentation and Constitutive Photosensitivity. Photodermatol. Photoimmunol. Photomed. 1997, 13, 153–158. [Google Scholar] [CrossRef]
- El-Domyati, M.; Attia, S.; Saleh, F.; Brown, D.; Birk, D.E.; Gasparro, F.; Ahmad, H.; Uitto, J. Intrinsic Aging vs. Photoaging: A Comparative Histopathological, Immunohistochemical, and Ultrastructural Study of Skin. Exp. Dermatol. 2002, 11, 398–405. [Google Scholar] [CrossRef]
- Kligman, L.H. Photoaging. Dermatol. Clin. 1986, 4, 517–528. [Google Scholar] [CrossRef] [PubMed]
- Escoffier, C.; de Rigal, J.; Rochefort, A.; Vasselet, R.; Léveque, J.-L.; Agache, P.G. Age-Related Mechanical Properties of Human Skin: An in Vivo Study. J. Investig. Dermatol. 1989, 93, 353–357. [Google Scholar] [CrossRef] [PubMed]
- Scarano, A.; Qorri, E.; Sbarbati, A.; Gehrke, S.A.; Frisone, A.; Amuso, D.; Tari, S.R. The Efficacy of Hyaluronic Acid Fragments with Amino Acid in Combating Facial Skin Aging: An Ultrasound and Histological Study. J. Ultrasound 2024, 27, 689–697. [Google Scholar] [CrossRef] [PubMed]
- Svolacchia, F.; Svolacchia, L.; Marchetti, M.; Prisco, C.; Inchingolo, F.; Amuso, D.; Giuzio, F.; Scarano, A. Evaluation of the Efficacy and Safety of Hyaluronic Acid and Supplemented with Amino Acids, and Glutathione or Colin, for the Prevention and Treatment of Wrinkles on the Face, Neck, Décolleté and Hands. Eur. Rev. Med. Pharmacol. Sci. 2023, 27, 99–108. [Google Scholar] [CrossRef]
- Scarano, A.; Sbarbati, A.; Amore, R.; Iorio, E.L.; Ferraro, G.; Marchetti, M.; Amuso, D.; Tari, S.R. A Clinical Investigation of Hyaluronic Acid Fortified with Amino Acids for Addressing Facial Aging. Eur. J. Musculoskelet. Dis. 2024, 13, 11–16. [Google Scholar]
- Jäger, R.; Purpura, M.; Kingsley, M. Phospholipids and Sports Performance. J. Int. Soc. Sports Nutr. 2007, 4, 5. [Google Scholar] [CrossRef]
- Wurtman, R.J.; Cansev, M.; Ulus, I.H. Choline and Its Products Acetylcholine and Phosphatidylcholine. In Handbook of Neurochemistry and Molecular Neurobiology: Neural Lipids; Lajtha, A., Tettamanti, G., Goracci, G., Eds.; Springer: Boston, MA, USA, 2009; pp. 443–501. ISBN 978-0-387-30378-9. [Google Scholar]
- Rocha, S.; Ratés, S.G.; Moswete, T.; Kalleberg, K.; Villa, A.; Harcup, J.P.; Greenfield, S.A. A Novel Peptide ‘T14’ Reflects Age and Photo-Aging in Human Skin. Aging 2023, 15, 5279. [Google Scholar] [CrossRef]
- Feifei, W.; Wenrou, S.; Jinyue, S.; Qiaochu, D.; Jingjing, L.; Jin, L.; Junxiang, L.; Xuhui, L.; Xiao, L.; Congfen, H. Anti-Ageing Mechanism of Topical Bioactive Ingredient Composition on Skin Based on Network Pharmacology. Int. J. Cosmet. Sci. 2025, 47, 134–154. [Google Scholar] [CrossRef]
- Ewurum, A.; Alur, A.A.; Glenn, M.; Schnepf, A.; Borchman, D. Hyaluronic Acid–Lipid Binding. BMC Chem. 2021, 15, 36. [Google Scholar] [CrossRef]
- Eiben-Nielson, C.; Kerscher, M. Development and Validation of a Global Photonumeric Scale for Evaluating Skin Quality of Aged Female Facial Skin. J. Cosmet. Dermatol. 2021, 20, 4032–4039. [Google Scholar] [CrossRef]
- von Elm, E.; Altman, D.G.; Egger, M.; Pocock, S.J.; Gøtzsche, P.C.; Vandenbroucke, J.P. The Strengthening the Reporting of Observational Studies in Epidemiology (STROBE) Statement: Guidelines for Reporting Observational Studies. Int. J. Surg. 2014, 12, 1495–1499. [Google Scholar] [CrossRef] [PubMed]
- Bevanda, M. Medical Devices Safety (Regulation (EU) 2017/745) and Liability for Damages Caused by Defective Medical Device (Directive 85/374/EEC). Collect. Pap. Actual. Civ. Commerc. Legis. Leg. Prac. 2017, 2017, 275. [Google Scholar]
- Svolacchia, L.; Prisco, C.; Giuzio, F.; Svolacchia, F. Adipose Autologous Micrograft and Its Derived Mesenchymal Stem Cells in a Bio Cross-Linked Hyaluronic Acid Scaffold for Correction Deep Wrinkles, Facial Depressions, Scars, Face Dermis and Its Regenerations: A Pilot Study and Cases Report. Medicina 2022, 58, 1692. [Google Scholar] [CrossRef] [PubMed]
- Brown, E.G.; Wood, L.; Wood, S. The Medical Dictionary for Regulatory Activities (MedDRA). Drug Saf. 1999, 20, 109–117. [Google Scholar] [CrossRef]
- Wessler, I.; Kirkpatrick, C.J.; Racké, K. Non-Neuronal Acetylcholine, a Locally Acting Molecule, Widely Distributed in Biological Systems: Expression and Function in Humans. Pharmacol. Ther. 1998, 77, 59–79. [Google Scholar] [CrossRef]
- Uhoda, I.; Faska, N.; Robert, C.; Cauwenbergh, G.; Piérard, G.E. Split Face Study on the Cutaneous Tensile Effect of 2-Dimethylaminoethanol (Deanol) Gel. Skin. Res. Technol. 2002, 8, 164–167. [Google Scholar] [CrossRef]
- Uberti, F.; Morsanuto, V.; Ghirlanda, S.; Ruga, S.; Clemente, N.; Boieri, C.; Boldorini, R.; Molinari, C. Highly Diluted Acetylcholine Promotes Wound Repair in an In Vivo Model. Adv. Wound. Care 2018, 7, 121–133. [Google Scholar] [CrossRef]
- Fujii, T.; Mashimo, M.; Moriwaki, Y.; Misawa, H.; Ono, S.; Horiguchi, K.; Kawashima, K. Physiological Functions of the Cholinergic System in Immune Cells. J. Pharmacol. Sci. 2017, 134, 1–21. [Google Scholar] [CrossRef]
- Takahashi, T.; Ohnishi, H.; Sugiura, Y.; Honda, K.; Suematsu, M.; Kawasaki, T.; Deguchi, T.; Fujii, T.; Orihashi, K.; Hippo, Y.; et al. Non-Neuronal Acetylcholine as an Endogenous Regulator of Proliferation and Differentiation of Lgr5-Positive Stem Cells in Mice. FEBS J. 2014, 281, 4672–4690. [Google Scholar] [CrossRef]
- Fujiwara, H.; Tsutsui, K.; Morita, R. Multi-Tasking Epidermal Stem Cells: Beyond Epidermal Maintenance. Dev. Growth Differ. 2018, 60, 531–541. [Google Scholar] [CrossRef]
- Grando, S.A.; Pittelkow, M.R.; Schallreuter, K.U. Adrenergic and Cholinergic Control in the Biology of Epidermis: Physiological and Clinical Significance. J. Investig. Dermatol. 2006, 126, 1948–1965. [Google Scholar] [CrossRef]
- Moretti, A.; Paoletta, M.; Liguori, S.; Bertone, M.; Toro, G.; Iolascon, G. Choline: An Essential Nutrient for Skeletal Muscle. Nutrients 2020, 12, 2144. [Google Scholar] [CrossRef] [PubMed]
- Grossman, R. The Role of Dimethylaminoethanol in Cosmetic Dermatology. Am. J. Clin. Dermatol. 2005, 6, 39–47. [Google Scholar] [CrossRef] [PubMed]
- Sonobe, T.; Kakinuma, Y. Non-Neuronal Cell-Derived Acetylcholine, a Key Modulator of the Vascular Endothelial Function in Health and Disease. Front. Cardiovasc. Med. 2024, 11, 1388528. [Google Scholar] [CrossRef]
- Beiu, C.; Popa, L.G.; Bălăceanu-Gurău, B.; Iliescu, C.A.; Racoviță, A.; Popescu, M.N.; Mihai, M.M. Personalization of Minimally-Invasive Aesthetic Procedures with the Use of Ultrasound Compared to Alternative Imaging Modalities. Diagnostics 2023, 13, 3512. [Google Scholar] [CrossRef]





| Male | N (%) | 0 (0) |
| Female | N (%) | 40 (100) |
| Age (years) | Median | 48.0 |
| Range | 38–67 | |
| BMI | Mean | 26.5 |
| STD | 2.4 |
| Satisfaction | Number (%) of Subjects |
|---|---|
| Day 168 | |
| Q1—Appearance after treatment (N = 40) | |
| very much improved | 15 (37.5) |
| much improved | 17 (42.5) |
| slightly improved | 8 (20.0) |
| no change | - |
| Q2—Satisfaction with treatment (N = 40) | |
| very satisfied | 25 (62.5) |
| satisfied | 15 (37.5) |
| not satisfied | - |
| All, N = 40 | |||
|---|---|---|---|
| n | N′ | (%) | |
| Total | 8 | 8 | (20.0) |
| General dis. and ad. site cond. | 8 | 8 | (20.0) |
| Injection site redness | 2 | 2 | (5.0) |
| Injection site bruising | 4 | 4 | (10.0) |
| Injection site pain | 2 | 2 | (5.0) |
Disclaimer/Publisher’s Note: The statements, opinions and data contained in all publications are solely those of the individual author(s) and contributor(s) and not of MDPI and/or the editor(s). MDPI and/or the editor(s) disclaim responsibility for any injury to people or property resulting from any ideas, methods, instructions or products referred to in the content. |
© 2025 by the authors. Licensee MDPI, Basel, Switzerland. This article is an open access article distributed under the terms and conditions of the Creative Commons Attribution (CC BY) license (https://creativecommons.org/licenses/by/4.0/).
Share and Cite
Scarano, A.; Qorri, E.; Sbarbati, A.; Desiderio, V.; Amuso, D. Mesotherapy with HA and Choline Against Facial Skin Aging: An Open-Label Uncontrolled, Monocentric Study. J. Clin. Med. 2025, 14, 2303. https://doi.org/10.3390/jcm14072303
Scarano A, Qorri E, Sbarbati A, Desiderio V, Amuso D. Mesotherapy with HA and Choline Against Facial Skin Aging: An Open-Label Uncontrolled, Monocentric Study. Journal of Clinical Medicine. 2025; 14(7):2303. https://doi.org/10.3390/jcm14072303
Chicago/Turabian StyleScarano, Antonio, Erda Qorri, Andrea Sbarbati, Vincenzo Desiderio, and Domenico Amuso. 2025. "Mesotherapy with HA and Choline Against Facial Skin Aging: An Open-Label Uncontrolled, Monocentric Study" Journal of Clinical Medicine 14, no. 7: 2303. https://doi.org/10.3390/jcm14072303
APA StyleScarano, A., Qorri, E., Sbarbati, A., Desiderio, V., & Amuso, D. (2025). Mesotherapy with HA and Choline Against Facial Skin Aging: An Open-Label Uncontrolled, Monocentric Study. Journal of Clinical Medicine, 14(7), 2303. https://doi.org/10.3390/jcm14072303

