Sign in to use this feature.

Years

Between: -

Subjects

remove_circle_outline
remove_circle_outline
remove_circle_outline
remove_circle_outline
remove_circle_outline
remove_circle_outline
remove_circle_outline
remove_circle_outline
remove_circle_outline

Journals

remove_circle_outline
remove_circle_outline
remove_circle_outline
remove_circle_outline
remove_circle_outline
remove_circle_outline
remove_circle_outline
remove_circle_outline
remove_circle_outline
remove_circle_outline
remove_circle_outline
remove_circle_outline
remove_circle_outline
remove_circle_outline
remove_circle_outline
remove_circle_outline
remove_circle_outline
remove_circle_outline
remove_circle_outline
remove_circle_outline
remove_circle_outline
remove_circle_outline
remove_circle_outline
remove_circle_outline
remove_circle_outline
remove_circle_outline
remove_circle_outline
remove_circle_outline
remove_circle_outline
remove_circle_outline
remove_circle_outline

Article Types

Countries / Regions

remove_circle_outline
remove_circle_outline
remove_circle_outline
remove_circle_outline
remove_circle_outline
remove_circle_outline
remove_circle_outline

Search Results (4,446)

Search Parameters:
Keywords = skin aging

Order results
Result details
Results per page
Select all
Export citation of selected articles as:
12 pages, 1517 KB  
Article
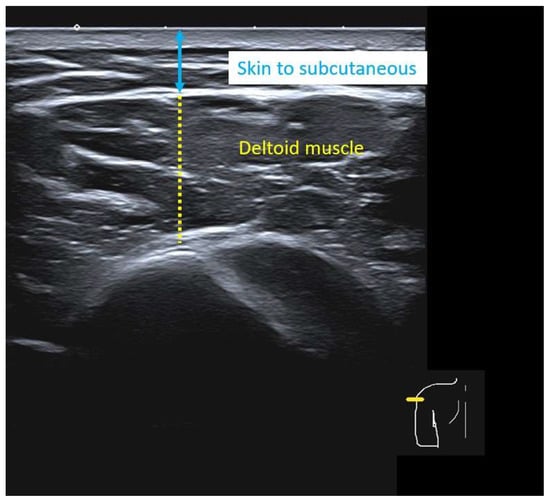
Individualized Deltoid Landmark and Needle Length for Safe Intramuscular Vaccination in Southeast Asian Adults: An Ultrasound Study
by Siwaluk Srikrajang, Narucha Komolsuradej, Pramot Tanutit, Teeranan Laohawiriyakamol, Pattira Boonsri and Chaiwat Chuaychoosakoon
Life 2026, 16(5), 724; https://doi.org/10.3390/life16050724 - 24 Apr 2026
Abstract
Background/Objectives: An incorrect intradeltoid injection technique can cause shoulder injury related to vaccine administration, including bursitis, septic arthritis, and axillary nerve injury, particularly when Western-derived landmarks and needle-length tables are applied to smaller-framed Southeast Asian adults. We aimed to define an individualized [...] Read more.
Background/Objectives: An incorrect intradeltoid injection technique can cause shoulder injury related to vaccine administration, including bursitis, septic arthritis, and axillary nerve injury, particularly when Western-derived landmarks and needle-length tables are applied to smaller-framed Southeast Asian adults. We aimed to define an individualized deltoid injection landmark and needle length that avoid the axillary nerve while ensuring reliable intramuscular delivery in Southeast Asian adults. Methods: In this cross-sectional ultrasound study of adults aged ≥18 years, four vertical landmarks below the acromion (individual contralateral 2-fingerbreadth (FB), individual contralateral 3-FB, average 2-FB, average 3-FB) were assessed in two arm positions (adduction and approximately 30° abduction with the hand on the waist). For each combination, we recorded the presence of the axillary nerve and measured skin-to-subcutaneous and deltoid muscle thickness to estimate whether 0.5-, 1-, or 1.5-inch needles would terminate within muscle or penetrate the subdeltoid bursa. Results: Eighty-two participants (39 males, 43 females) were included. The axillary nerve was not visualized at the individualized contralateral 2-FB landmark in adduction but was present at 31.7–50.0% of other landmark–position combinations. At the individualized 2-FB site in adduction, mean skin-to-subcutaneous thickness was <12.7 mm and mean skin-to-subdeltoid fascia distance exceeded 12.7 mm in all strata, implying that a 0.5-inch needle would consistently terminate within the deltoid muscle. Conclusions: In Southeast Asian adults, the contralateral individualized 2-FB landmark in arm adduction provides a neurovascularly safe window for intradeltoid vaccination, and a 0.5-inch needle offers reliable intramuscular delivery while minimizing the risk of bursal penetration. Full article
(This article belongs to the Section Medical Research)
Show Figures

Figure 1

6 pages, 413 KB  
Case Report
When Gray Hair Meets the Great Imitator: Syphilis Masquerading as Age-Related Decline in an Elderly Couple
by Grazia Vivanet, Federica Perra, Alberto Murtas, Luca Medda, Natalia Aste and Laura Atzori
Venereology 2026, 5(2), 13; https://doi.org/10.3390/venereology5020013 - 23 Apr 2026
Abstract
Background: In older people, syphilis diagnosis might be undervalued due to both clinical conditions and age-related changes that obscure symptom presentation and physician discomfort with sexual history-taking, creating a dual barrier to timely recognition. Methods: Case presentation with literature review. Results [...] Read more.
Background: In older people, syphilis diagnosis might be undervalued due to both clinical conditions and age-related changes that obscure symptom presentation and physician discomfort with sexual history-taking, creating a dual barrier to timely recognition. Methods: Case presentation with literature review. Results: An 80-year-old woman was referred to the Dermatology Department of Cagliari University by her oncologist, with a 2-month history of intermittent episodes of pruritus associated with papular–nodular skin lesion eruptions, accompanied with asthenia, night sweats, and unintentional weight loss, indicative of a paraneoplastic syndrome or an adverse drug reaction. Careful evaluation indicated the need to perform serological testing, which confirmed secondary syphilis (RPR 1:64 and TPHA 1:5120). Specific questioning regarding sexual behaviors pointed out oral and anal intercourse. The 83-year-old husband did not have active lesions at visit but reported a self-healing generalized skin rash, episodes of asthenia, arthralgia, and headache he had never suffered before. Blood tests showed positive RPR 1:64 and TPHA 1:5120. Targeted sexual history assessment disclosed patient’s engaging with commercial sex workers, clarifying the chain of transmission in this conjugal STI case. Treatment with Benzathine penicillin G 2.4 million units IM in a single dose resulted in complete recovery in both patients. Conclusions: The observation highlights the importance of maintaining a high index of suspicion for syphilis even at advanced age. Persistent stigma regarding elderly sexuality should be faced, and targeted interventions are necessary to improve the clinician’s ability to identify STIs in older adults, but also to reduce sexual stigma and taboo persistence in the general population. Full article
(This article belongs to the Special Issue Decoding the Skin: HIV, STIs, and the Venereologist Perspective)
14 pages, 752 KB  
Article
Prognostic Significance of Skin Toxicity in Patients with Ras Wild-Type Metastatic Colorectal Cancer Treated with Anti-Egfr Monoclonal Antibodies
by Ridvan Gonul, Oktay Bozkurt, Gozde Erturk Zararsiz, Bugra Umut Kaya, Ahmet Kursat Disli, Ugur Turkmen, Ayse Nuransoy Cengiz, Muhammet Cengiz, Kamuran Yuceer, Mevlude Inanc and Metin Ozkan
J. Clin. Med. 2026, 15(9), 3214; https://doi.org/10.3390/jcm15093214 - 23 Apr 2026
Abstract
Background and Aim: Anti-epidermal growth factor receptor (EGFR) therapy is commonly associated with skin toxicity, which may reflect treatment response. This study evaluated the prognostic significance of anti-EGFR-related skin toxicity in patients with RAS wild-type metastatic colorectal cancer (mCRC) receiving palliative chemotherapy. Materials [...] Read more.
Background and Aim: Anti-epidermal growth factor receptor (EGFR) therapy is commonly associated with skin toxicity, which may reflect treatment response. This study evaluated the prognostic significance of anti-EGFR-related skin toxicity in patients with RAS wild-type metastatic colorectal cancer (mCRC) receiving palliative chemotherapy. Materials and Methods: We retrospectively analyzed 256 RAS wild-type mCRC patients treated with anti-EGFR monoclonal antibodies at Erciyes University, Kayseri, Turkey (June 2011–February 2024). Survival was estimated using the Kaplan-Meier method with log-rank comparisons. A landmark analysis at 2 months was performed to address guarantee-time bias. Univariate and multivariate Cox regression analyses were used to identify independent prognostic factors. Results: The median PFS was 17 months in patients with grade ≥ 2 skin toxicity versus 8 months in those with grade < 2 skin toxicity (p < 0.001). The median OS was 32 and 21 months, respectively (p < 0.001). In the landmark-adjusted multivariate analysis, grade ≥ 2 skin toxicity was an independent prognostic factor for both PFS (HR 0.52, 95% CI 0.39–0.70, p < 0.001) and OS (HR 0.50, 95% CI 0.37–0.68, p < 0.001). Additional independent factors for OS included albumin, LDH, peritoneal metastasis, age, tumor sidedness, and BMI. The objective response rates were 53.9% and 11.3% in the grade ≥ 2 and grade < 2 groups, respectively (p < 0.001). Conclusions: Grade ≥ 2 skin toxicity was significantly associated with longer PFS, OS, and a higher response rate, and was confirmed as an independent prognostic factor in multivariate analysis. These findings suggest that skin toxicity may serve as a non-invasive marker of treatment efficacy. Prospective studies with time-dependent methodologies are needed to validate these results. Full article
(This article belongs to the Special Issue Advances and Challenges in Colorectal Cancer)
Show Figures

Figure 1

24 pages, 1234 KB  
Article
Lactobacillus-Fermented Aloe Vera Gel as a Source of Bioactive Phytochemicals with Enhanced Antioxidant, Cytoprotective and Anti-Aging Properties and Its Application in a Skin Gel Formulation
by Aleksandra Ziemlewska, Martyna Zagórska-Dziok, Zofia Nizioł-Łukaszewska, Aleksandra Samborska, Magdalena Wójciak and Ireneusz Sowa
Appl. Sci. 2026, 16(9), 4098; https://doi.org/10.3390/app16094098 - 22 Apr 2026
Viewed by 120
Abstract
In addition to its well-documented biological properties, Aloe barbadensis Miller (Aloe vera) can serve as an effective substrate for fermentation involving lactic acid bacteria. In this study, Aloe vera gel was fermented using Lactobacillus strains (L. plantarum, L. rhamnosus, L. fermentum, L. [...] Read more.
In addition to its well-documented biological properties, Aloe barbadensis Miller (Aloe vera) can serve as an effective substrate for fermentation involving lactic acid bacteria. In this study, Aloe vera gel was fermented using Lactobacillus strains (L. plantarum, L. rhamnosus, L. fermentum, L. paracasei). The chemical composition of the gel and its fermented products were analyzed using chromatographic methods, identifying key bioactive compounds, including the predominant aloesin. Antioxidant activity was assessed using chemical methods (DPPH, ABTS, FRAP) and in an in vitro cellular model, analyzing superoxide dismutase activity and the level of reactive oxygen species in skin cells. The L. rhamnosus ferment exhibited the strongest antioxidant properties. Cytoprotective properties were evaluated in HaCaT and HDF cell lines. The tested samples showed no cytotoxicity, and the ferments often outperformed the unfermented gel. Moreover, the developed model cosmetic gel based on fermented Aloe gel stimulated keratinocyte proliferation. Additionally, it was demonstrated that the ferments effectively inhibit the activity of enzymes associated with skin aging processes (collagenase, elastase, hyaluronidase), often more effectively than the unfermented Aloe gel. The results obtained indicate the potential of fermented Aloe vera gel as an ingredient in products that protect the skin. Full article
16 pages, 2620 KB  
Article
From Fruit Waste to Skin Care: In Vivo Evaluation of Topical Formulations Containing Apple Pomace Extract
by Katarzyna Czerniewicz, Maria Urbańska, Magdalena Ratajczak, Dorota Kaminska, Agnieszka Seraszek-Jaros, Anna Olejnik, Karolina Latanowicz, Magdalena Majcher, Justyna Gornowicz-Porowska and Krzysztof Kus
Appl. Sci. 2026, 16(9), 4088; https://doi.org/10.3390/app16094088 - 22 Apr 2026
Viewed by 101
Abstract
Sustainable sourcing of bioactive ingredients is an important direction in the development of topical formulations. Fruit by-products generated during food processing such as apple pomace, represent a promising resource for skincare applications. The aim of this study was to evaluate the safety, effectiveness, [...] Read more.
Sustainable sourcing of bioactive ingredients is an important direction in the development of topical formulations. Fruit by-products generated during food processing such as apple pomace, represent a promising resource for skincare applications. The aim of this study was to evaluate the safety, effectiveness, and consumer perception of a three-step facial skincare regimen consisting of a cleansing gel, serum, and face cream containing upcycled apple pomace extract. Unlike most cosmetic studies focusing on single products, this research assessed a complete skincare routine to better reflect real-life usage conditions. All formulations underwent dermatological safety evaluation prior to the in vivo study. The clinical assessment was conducted on 30 healthy female volunteers aged 25–55 years. Skin hydration, pH, transepidermal water loss, sebum level, and skin gloss were measured on untreated skin, after the first use, and after four weeks. User perception was assessed using a questionnaire completed by 58 participants. Short-term changes in skin parameters were observed after application, while four weeks of use maintained them within physiological ranges. Skin gloss increased significantly by 4.2%, and no adverse reactions were reported. These results indicate that the tested skincare regimen containing apple pomace extract was well-tolerated and cosmetically acceptable under the study conditions. Full article
(This article belongs to the Section Green Sustainable Science and Technology)
Show Figures

Figure 1

12 pages, 1312 KB  
Article
Horn-Shaped Perforator Flaps for Plantar
by Zhuoran Wang, Xinyi Li, Xiaojing Li, Fei Zhu, Yun Bai and Hui Cheng
J. Clin. Med. 2026, 15(9), 3197; https://doi.org/10.3390/jcm15093197 - 22 Apr 2026
Viewed by 82
Abstract
Objective: To investigate the method and clinical outcomes of employing plantar propeller perforator flaps for the repair of defects in the plantar region. Methods: This was a retrospective case series of 40 patients (20 males, 20 females; age range 20–75 years) who underwent [...] Read more.
Objective: To investigate the method and clinical outcomes of employing plantar propeller perforator flaps for the repair of defects in the plantar region. Methods: This was a retrospective case series of 40 patients (20 males, 20 females; age range 20–75 years) who underwent plantar defect reconstruction using the horn-shaped perforator flap technique between January 2020 and October 2025. Defect etiologies included malignant melanoma (n = 24), melanocytic nevus (n = 3), and refractory wounds (n = 13). Defect sizes ranged from 2 cm × 1.5 cm to 5 cm × 5 cm. The primary outcome was flap survival; secondary outcomes included functional recovery (American Orthopaedic Foot and Ankle Society AOFAS score), sensory recovery (Semmes–Weinstein monofilaments), and time to full weight-bearing. Results: Complete flap survival was achieved in 38/40 patients (95%). Two patients (5%) experienced minor distal wound dehiscence and necrosis, successfully managed with full-thickness skin grafting and dressing changes without compromising final outcomes. Mean follow-up was 14.2 ± 6.8 months (range 3–24 months). Mean AOFAS score was 91.3 ± 5.6, with 80% achieving excellent functional recovery. Protective sensation was present in 87.1% of the tested patients. Mean time to full weight-bearing was 6.4 ± 1.8 weeks. No local tumor recurrence occurred in melanoma patients during follow-up. Conclusions: The horn-shaped perforator flap provides a reliable source of homologous glabrous skin for reconstructing small-to-medium-sized plantar defects while avoiding skin grafting at the donor site. Its combined rotation–advancement mechanism, flexible triangular leading-edge strategies, and preservation of multiple perforators contribute to favorable functional and aesthetic outcomes. Prospective comparative studies with standardized plantar-specific outcome measures are warranted. Full article
(This article belongs to the Section Dermatology)
Show Figures

Figure 1

13 pages, 1228 KB  
Article
Multi-Target Restoration of Dermal Elastic Fibers Through Elastin Upregulation, Elastase Suppression, and Scaffold Reinforcement
by Sanghyun Ye, Seongsu Kang, Eui Taek Jeong, Seung-Hyun Jun and Nae-Gyu Kang
Curr. Issues Mol. Biol. 2026, 48(5), 431; https://doi.org/10.3390/cimb48050431 - 22 Apr 2026
Viewed by 91
Abstract
Elastic fibers are key components of the skin extracellular matrix and are essential for maintaining skin integrity and elasticity. During skin aging, particularly photoaging, elastic fiber integrity is progressively compromised by increased elastase activity and the downregulation of elastin and scaffold-related gene expression. [...] Read more.
Elastic fibers are key components of the skin extracellular matrix and are essential for maintaining skin integrity and elasticity. During skin aging, particularly photoaging, elastic fiber integrity is progressively compromised by increased elastase activity and the downregulation of elastin and scaffold-related gene expression. Therefore, effective strategies to preserve elastic fiber function should address not only elastin synthesis but also enzymatic degradation and scaffold integrity. In this study, we investigated a multitarget approach to restoring the elastic fiber network by modulating elastin production, elastase activity, and scaffold protein expression. We found that Copper Tripeptide-1 enhanced elastin expression and secretion, ethyl ferulate inhibited elastase activity, and cedrol promoted scaffold-related gene expression and microfibrillar protein restoration in dermal fibroblasts. To assess the biological relevance of this approach, the combined treatment was evaluated using UV-damaged human skin biopsy samples. This combination effectively mitigated UV-induced elastic fiber disruption and significantly improved fiber architecture, as confirmed by immunofluorescence staining and scanning electron microscopy. These findings indicate that coordinated modulation of elastin production, proteolytic protection, and scaffold reinforcement is essential for maintaining elastic fiber integrity and represents a promising approach for preserving skin elasticity during aging. Full article
(This article belongs to the Special Issue Exploring Molecular Pathways in Skin Health and Diseases)
Show Figures

Figure 1

20 pages, 2481 KB  
Article
Anti-Photoaging Effects of Kaempferia galanga Extract: From Cell-Based Studies to Microemulsion Development
by Kunlathida Luangpraditkun, Jinnipha Pajoubpong, Piyachat Kasemkiatsakul, Ngamrayu Ngamdokmai, Mayuree Poonasri, Somnathtai Yammen and Boonyadist Vongsak
Cosmetics 2026, 13(2), 99; https://doi.org/10.3390/cosmetics13020099 - 21 Apr 2026
Viewed by 203
Abstract
Ozone layer depletion exacerbates UV-induced skin damage, including oxidative stress and DNA lesions, thereby increasing the risk of photoaging and malignant transformation. Natural extracts have gained increasing attention as a photoprotective ingredient in cosmeceutical products. Kaempferia galanga, a species in the Zingiberaceae [...] Read more.
Ozone layer depletion exacerbates UV-induced skin damage, including oxidative stress and DNA lesions, thereby increasing the risk of photoaging and malignant transformation. Natural extracts have gained increasing attention as a photoprotective ingredient in cosmeceutical products. Kaempferia galanga, a species in the Zingiberaceae family traditionally used for skin-related treatment and listed in the CosIng database, exhibits multiple biologically relevant properties; however, its anti-photoaging and anti-photo-senescence effects in human dermal fibroblasts remain unexplored. This study investigated the in vitro photoprotective effects of K. galanga extract against UVB-induced photoaging and cellular senescence in human dermal fibroblasts. The ethanolic extract of K. galanga rhizomes (EKGRs) contained ethyl p-methoxycinnamate (EPMC) as a major constituent (33.7 ± 3.7% (w/w) of the crude extract), identified by HPLC-UV. Additionally, EKGR exhibited significant protective effects in UVB-irradiated fibroblasts. EKGR showed no cytotoxicity at concentrations up to 50.0 µg/mL, as determined by the MTT assay. EKGR pretreatment significantly reduced UVB-induced cellular senescence in human dermal fibroblasts compared with UVB-exposed cells (22.2 ± 2.7% vs. 36.7 ± 8.0%). Furthermore, pretreatment with EKGR prior to UVB exposure resulted in a significant increase in pro-collagen type I production (37,075.1 ± 7532.2 pg/mL) and a concomitant decrease in MMP-1 secretion (25,754.1 ± 4042.0 pg/mL) relative to UVB-exposed cells (26,845.8 ± 1454.6 and 39,910.8 ± 6035.1 pg/mL, respectively). To demonstrate formulation feasibility, EKGR was incorporated into an oil-in-water microemulsion, which exhibited concentration-dependent SPF enhancement. Collectively, these findings demonstrate the photoprotective efficacy of EPMC-rich EKGR and highlight its potential as a cosmeceutical ingredient for mitigating UVB-induced photo-senescence and skin aging, with an additional SPF boosting effect. To our knowledge, this study provides the first evidence of EKGR-mediated protection against UVB-induced cellular senescence in human dermal fibroblasts. Full article
Show Figures

Figure 1

8 pages, 213 KB  
Communication
Feasibility of Allogeneic Hematopoietic Stem Cell Transplantation Following Recent Invasive Mold Disease in Pediatric Patients
by Kevin Martínez Pérez, Daniela Torres-Hernández, Nathalia Sanclemente, Oscar Ramirez, Andrés Portilla, Jorge Buitrago and Eduardo López-Medina
J. Fungi 2026, 12(4), 297; https://doi.org/10.3390/jof12040297 - 21 Apr 2026
Viewed by 181
Abstract
A history of invasive mold disease (IMD) often delays or contraindicates allogeneic hematopoietic stem cell transplantation (allo-HSCT) in children. Given the limited data on pediatric patients with pre-allo-HSCT IMD, we aimed to describe the management and clinical outcomes of a cohort of children [...] Read more.
A history of invasive mold disease (IMD) often delays or contraindicates allogeneic hematopoietic stem cell transplantation (allo-HSCT) in children. Given the limited data on pediatric patients with pre-allo-HSCT IMD, we aimed to describe the management and clinical outcomes of a cohort of children with IMD prior to allo-HSCT through day +100 post-transplantation. Between 2021 and 2024, ten pediatric patients were identified with proven or probable IMD. Their median age was 8.5 years. The most common pathogens were Aspergillus (n = 5) and Fusarium (n = 4). Infections most frequently involved the lungs followed by paranasal sinuses, bloodstream, liver, and skin. All patients demonstrated clinical improvement before transplantation, and by day +100 post-HSCT, no IMD relapses or infection-related mortality were observed. These findings suggest that complete radiologic or clinical resolution is not a prerequisite for proceeding with transplantation. Recent IMD should not be considered an absolute contraindication to urgent allo-HSCT when clinical improvement is evident, as transplantation facilitates immune reconstitution necessary for definitive infection control. Full article
11 pages, 944 KB  
Article
Clinical Characteristics and Diagnostic Correlation of Pediatric Lymphadenopathy in a Secondary-Level Hospital in Colombia
by Eyleen Pacheco Narváez, Karina Pastor-Sierra and Nany Castilla Herrera
Children 2026, 13(4), 576; https://doi.org/10.3390/children13040576 - 21 Apr 2026
Viewed by 188
Abstract
Background: Pediatric lymphadenopathy is a common reason for consultation, but information from secondary-level care in Latin American middle-income settings remains limited. Objective: The objective of this study is to describe the clinical profile, documentation quality, and use of complementary tests among pediatric patients [...] Read more.
Background: Pediatric lymphadenopathy is a common reason for consultation, but information from secondary-level care in Latin American middle-income settings remains limited. Objective: The objective of this study is to describe the clinical profile, documentation quality, and use of complementary tests among pediatric patients with lymphadenopathy treated at a secondary-level hospital in Córdoba, Colombia. Materials and Methods: A retrospective descriptive study was conducted through a review of 246 medical records of children with lymphadenopathy evaluated between January 2020 and June 2024. Sociodemographic variables, lymph node characteristics, local inflammatory signs, associated clinical conditions, and complementary tests were extracted from the charts. An exploratory composite variable of predefined clinical assessment features recorded in the charts was analyzed descriptively. Results: The median age was 6 years, with 58.9% being male, and 79.7% lived in urban areas. Cervical involvement predominated (87.8%); most documented nodes were ≤1 cm (59.3%), and local inflammatory signs were uncommon (7.3%). Complementary testing was limited (complete blood count: 37.8%, serology: 17.9%, tuberculin skin test: 6.9%, ultrasound: 7.7%, and biopsy: 4.1%), without significant rural–urban differences. At least one predefined clinical assessment feature was recorded in 83.7% of charts, most often multiple nodes or bilateral involvement; these findings should be interpreted descriptively rather than as direct indicators of malignancy or infection. Conclusions: In this secondary-level, record-based series, pediatric lymphadenopathy was usually documented as small cervical node enlargement with limited complementary testing. The main contribution of this study is to describe documentation patterns and real-world initial work-up in a Colombian secondary-level hospital, which may inform standardized assessment and referral pathways. Full article
(This article belongs to the Section Pediatric Hematology & Oncology)
Show Figures

Figure 1

13 pages, 940 KB  
Article
Effects of Daily Mother–Infant Skin-to-Skin Contact on Breastfeeding Outcomes in the First Four Weeks and Maternal Postnatal Mental Health: A Quasi-Experimental Study
by Chia-Wen Hung and Li-Min Wu
Children 2026, 13(4), 570; https://doi.org/10.3390/children13040570 - 20 Apr 2026
Viewed by 175
Abstract
Background/Objectives: Skin-to-skin contact (SSC) between mother and infant is known to promote breastfeeding initiation and early bonding. However, evidence regarding the sustained effects of daily SSC during the postpartum period on breastfeeding outcomes and maternal mental health remains limited. This study aimed to [...] Read more.
Background/Objectives: Skin-to-skin contact (SSC) between mother and infant is known to promote breastfeeding initiation and early bonding. However, evidence regarding the sustained effects of daily SSC during the postpartum period on breastfeeding outcomes and maternal mental health remains limited. This study aimed to evaluate the effects of structured daily SSC on breastfeeding outcomes, lactation status, and maternal postnatal mental health in a real-world clinical setting. Methods: A quasi-experimental design was used to compare mothers who performed daily SSC (SSC group) with those receiving care as usual (control group). Data were collected on postpartum Day 1, Day 3, Week 2, and Week 4. Primary outcomes included exclusive breastfeeding duration, continued breastfeeding duration, and lactation status. Multiple linear regression analyses adjusted for baseline breastfeeding intention and maternal age. Results: A total of 50 mother–infant dyads were included (SSC: n = 40; control: n = 10). The SSC group was associated with longer exclusive and continued breastfeeding durations and better lactation status (p < 0.05). Depressive symptoms did not differ significantly between groups, although both groups showed decreasing trends over time. After adjustment, daily SSC remained significantly associated with longer exclusive breastfeeding duration (adjusted β = 9.18 days, p = 0.034) and continued breastfeeding duration (adjusted β = 10.57 days, p = 0.001). Conclusions: Daily SSC is a simple and feasible intervention that may be associated with improved breastfeeding outcomes and lactation performance. Incorporating structured SSC into routine postpartum care may support breastfeeding sustainability and maternal recovery. Full article
(This article belongs to the Section Pediatric Neonatology)
Show Figures

Figure 1

2 pages, 132 KB  
Correction
Correction: Yuan et al. White Matter Integrity of the Corpus Callosum Mediates the Association Between Aging and Skin Condition. Life 2025, 15, 1664
by Daihaoyi Yuan, Keisuke Kokubun, Kiyotaka Nemoto and Yoshinori Yamakawa
Life 2026, 16(4), 689; https://doi.org/10.3390/life16040689 - 20 Apr 2026
Viewed by 106
Abstract
In the original publication [...] Full article
(This article belongs to the Section Physiology and Pathology)
20 pages, 4119 KB  
Article
Multiple-Dynamic-Bond Cross-Linked Injectable Antibacterial Hydrogel Sealants with Self-Healing for Wound Healing
by Tingting Wei, Yunrui Cao, Shuo Yang, Yu Song, Yanjun Liu, Hu Hou, Jie Xu and Changhu Xue
Gels 2026, 12(4), 340; https://doi.org/10.3390/gels12040340 - 19 Apr 2026
Viewed by 237
Abstract
Chronic wounds resulting from bacterial infection remain one of the main challenges in clinical practice. There is a pressing need to develop an injectable hydrogel sealant with multifunctional properties, including remodeling capabilities, self-healing, painless removal, and antibacterial activity, to promote tissue remodeling. In [...] Read more.
Chronic wounds resulting from bacterial infection remain one of the main challenges in clinical practice. There is a pressing need to develop an injectable hydrogel sealant with multifunctional properties, including remodeling capabilities, self-healing, painless removal, and antibacterial activity, to promote tissue remodeling. In this work, aldehyde carboxymethylated agarose (ACMA) is employed for the first time as a bio-template. Dopamine (DA) is introduced onto the ACMA template via a reversible Schiff-base reaction, endowing it with biomineralization properties to synthesize DA-modified ACMA-Ag nanoparticles (ACMA-DA-Ag). Further, the prepared ACMA-DA-Ag, which possesses both antibacterial activity and injectable behavior, is incorporated into a guar gum hydrogel through the formation of borate/diol bonds, thereby forming a multiple-dynamic-bond crosslinked network. This hydrogel demonstrates adequate mechanical strength, injectability, remodeling capabilities, and self-healing performance. It can reassemble into a new hydrogel within 4 ± 0.6 min upon simple physical contact, and supports tissue adhesion. Furthermore, the hydrogel effectively covers irregular-shaped wound and can be removed without causing secondary injury. More importantly, this multifunctional hydrogel is cost-effective, easy to synthesize, and simple to use, significantly accelerating skin regeneration and promoting the formation of skin appendages, such as hair follicles. The outcome of this research not only serves a tissue sealant for wound healing, but also presents a new strategy for creating novel polysaccharide-based biomaterials. Full article
(This article belongs to the Section Gel Chemistry and Physics)
Show Figures

Figure 1

15 pages, 1337 KB  
Article
Pre-Pectoral Polyurethane Implant Reconstruction Following Batwing Skin-Reducing Mastectomy: A Single-Center Study
by Alessandra Veronesi, Edoardo Caimi, Gianmaria Ceglia, Federico Giovagnoli, Lavinia Galliera, Nicoletta Denami, Roberta Comunian, Mattia Federico Cavallero, Simone Furlan, Riccardo Di Giuli, Flavio Bucci, Francesco Klinger, Stefano Vaccari and Valeriano Vinci
J. Clin. Med. 2026, 15(8), 3110; https://doi.org/10.3390/jcm15083110 - 19 Apr 2026
Viewed by 191
Abstract
Background: Pre-pectoral direct-to-implant breast reconstruction is increasingly adopted after mastectomy because it avoids pectoralis major dissection, reduces postoperative pain, and eliminates animation deformity. However, reconstruction in patients with large or markedly ptotic breasts remains challenging because of skin envelope management, nipple–areola complex [...] Read more.
Background: Pre-pectoral direct-to-implant breast reconstruction is increasingly adopted after mastectomy because it avoids pectoralis major dissection, reduces postoperative pain, and eliminates animation deformity. However, reconstruction in patients with large or markedly ptotic breasts remains challenging because of skin envelope management, nipple–areola complex (NAC) viability, and implant stability. This study evaluated batwing skin-reducing mastectomy with immediate pre-pectoral polyurethane-coated implant reconstruction. Methods: We conducted a retrospective single-center study of consecutive patients who underwent batwing skin-reducing mastectomy with immediate pre-pectoral polyurethane-coated implant reconstruction between November 2022 and January 2025. Demographic, oncologic, operative, postoperative, and BREAST-Q data were collected. Primary outcomes included complications, oncologic events, and 12-month patient-reported outcomes. Results: Thirteen patients underwent reconstruction, accounting for 18 breasts, with a mean follow-up of 12.85 months. Mean age was 54.5 ± 9.7 years, mean body mass index was 27.0 ± 3.4 kg/m2, and mean Regnault ptosis grade was 3.46 ± 0.52. No seromas or oncologic recurrences were observed. One hematoma and one late infection requiring implant removal occurred. Superficial NAC/central flap epidermolysis developed in four patients and resolved conservatively; no full-thickness NAC necrosis occurred. BREAST-Q scores improved significantly in all domains at 12 months, including satisfaction with breasts, psychosocial well-being, physical well-being, and sexual well-being (all p < 0.05). Conclusions: Batwing skin-reducing mastectomy with immediate pre-pectoral polyurethane implant reconstruction appears safe and reproducible in selected patients with advanced ptosis, with acceptable complication rates and significant improvement in patient-reported outcomes. Full article
Show Figures

Figure 1

15 pages, 722 KB  
Article
Postoperative Management with a Polyurethane Cup Containing an Oxygenated Oleic Matrix in Nipple-Sparing Mastectomy with Immediate Reconstruction: A Single-Center Retrospective Observational Study
by Giulia Deguidi, Lorenzo Bertoldi, Marina Caldana, Sara Mirandola, Valeria Tombolan, Giuseppe Biondo, Alessia Scirpoli and Francesca Pellini
J. Clin. Med. 2026, 15(8), 3092; https://doi.org/10.3390/jcm15083092 - 17 Apr 2026
Viewed by 190
Abstract
Background/Objectives: Nipple-sparing mastectomy with immediate reconstruction is a preferred option for selected patients undergoing prophylactic or therapeutic mastectomy. Optimizing postoperative wound care is essential to support healing, preserve the nipple–areola complex, and prevent delays in oncologic treatments. This retrospective observational study aimed [...] Read more.
Background/Objectives: Nipple-sparing mastectomy with immediate reconstruction is a preferred option for selected patients undergoing prophylactic or therapeutic mastectomy. Optimizing postoperative wound care is essential to support healing, preserve the nipple–areola complex, and prevent delays in oncologic treatments. This retrospective observational study aimed to evaluate the clinical outcomes associated with the use of the NovoX® Cup medical device in post-NSM surgical wound management, assessing clinical–surgical outcomes and quality of life (QoL). Methods: We conducted a retrospective observational study on 54 patients who underwent NSM with immediate reconstruction at AOUI Verona between January 2025 and January 2026; Novox® Cup was applied intraoperatively and changed every 48 h according to protocol. Surgeon-reported outcomes were assessed by the skin flap viability scale and the complications by Clavien–Dindo classification. Patient-reported outcomes were assessed via the Wound-QoL17 questionnaire at 7, 30, and 90 days. Clinical outcomes were supported by photographic documentation. Results: Mean age was 51.5 years; BMI averaged 23.9 kg/m2. Local complications occurred in 30.4% of cases (infections 12%, dehiscence 10%, seromas 4%). Mean healing time was 15 days, with 87.4% of patients having drains removed by day 14. One patient required surgical revision, and one (1.8%) experienced delayed adjuvant therapy. Wound-QoL17 responses showed minimal discomfort and high satisfaction. Clinical evaluation revealed favorable wound appearance and preserved NAC perfusion within 48 h. Conclusions: Novox® Cup appears effective in supporting wound healing and NAC preservation after NSM, with high patient satisfaction and minimal treatment delays. Its integration into postoperative care may enhance outcomes and maintain oncologic timelines. Full article
(This article belongs to the Special Issue Clinical Advances of Breast Surgery and Reconstruction)
Show Figures

Figure 1

Back to TopTop