The Prognostic Implication of Late Gadolinium Enhancement Quantification and Syncope in Hypertrophic Cardiomyopathy
Abstract
1. Introduction
2. Materials and Methods
2.1. Study Design
2.2. Patient Population
2.3. Transthoracic Echocardiography
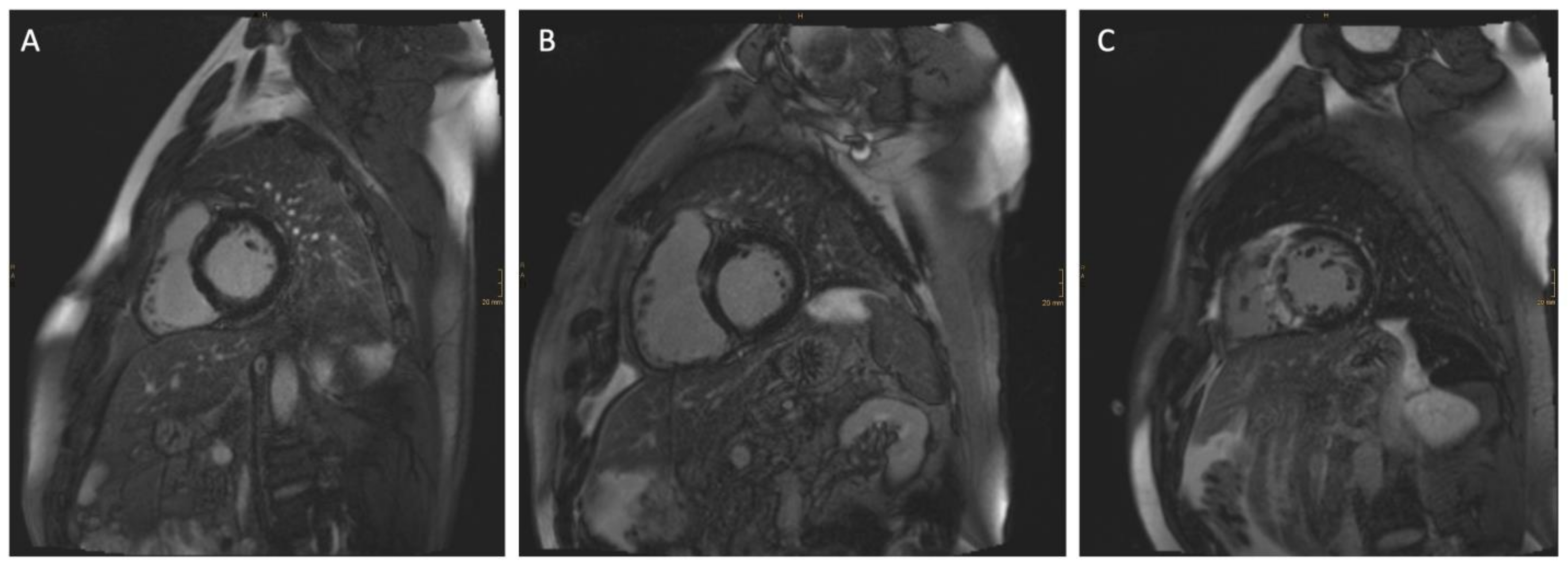
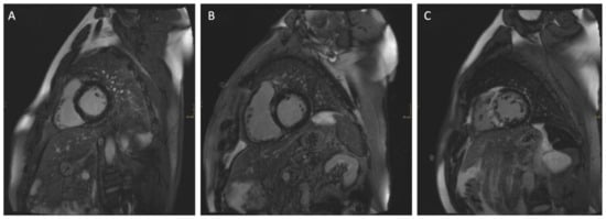
2.4. Cardiac Magnetic Resonance Imaging
2.5. Follow up
2.6. Study Endpoints
2.7. Statistical Analysis
3. Results
Association of LGE and Syncope with the Primary Endpoint
4. Discussion
5. Limitations
6. Conclusions
Author Contributions
Funding
Institutional Review Board Statement
Informed Consent Statement
Data Availability Statement
Conflicts of Interest
Abbreviations
| area under the curve | (AUC) |
| cardiac magnetic resonance imaging | (CMR) |
| electrocardiography | (ECG) |
| European Society of Cardiology | (ESC) |
| hypertrophic cardiomyopathy | (HCM) |
| implantable cardioverter defibrillator | (ICD) |
| Kaplan–Meier | (KM) |
| late gadolinium enhancement | (LGE) |
| left ventricle | (LV) |
| LV outflow tract | (LVOT) |
| non-sustained VTs | (nsVTs) |
| Receiver Operating Characteristic | (ROC) |
| sudden cardiac death | (SCD) |
| transthoracic echocardiography | (TTE) |
| ventricular tachycardia | (VT) |
Appendix A


References
- Mariani, M.V.; Pierucci, N.; Fanisio, F.; Laviola, D.; Silvetti, G.; Piro, A.; La Fazia, V.M.; Chimenti, C.; Rebecchi, M.; Drago, F.; et al. Inherited Arrhythmias in the Pediatric Population: An Updated Overview. Medicina 2024, 60, 94. [Google Scholar] [CrossRef]
- Maron, B.J. Clinical Course and Management of Hypertrophic Cardiomyopathy. N. Engl. J. Med. 2018, 379, 655–668. [Google Scholar] [CrossRef]
- Arbelo, E.; Protonotarios, A.; Gimeno, J.R.; Arbustini, E.; Barriales-Villa, R.; Basso, C.; Bezzina, C.R.; Biagini, E.; Blom, N.A.; de Boer, R.A.; et al. 2023 ESC Guidelines for the management of cardiomyopathies: Developed by the task force on the management of cardiomyopathies of the European Society of Cardiology (ESC). Eur. Heart J. 2023, 44, 3503–3626. [Google Scholar] [CrossRef]
- Maron, B.J.; Desai, M.Y.; Nishimura, R.A.; Spirito, P.; Rakowski, H.; Towbin, J.A.; Dearani, J.A.; Rowin, E.J.; Maron, M.S.; Sherrid, M.V. Management of Hypertrophic Cardiomyopathy: JACC State-of-the-Art Review. J. Am. Coll. Cardiol. 2022, 79, 390–414. [Google Scholar] [CrossRef]
- Licordari, R.; Trimarchi, G.; Teresi, L.; Restelli, D.; Lofrumento, F.; Perna, A.; Campisi, M.; de Gregorio, C.; Grimaldi, P.; Calabrò, D.; et al. Cardiac Magnetic Resonance in HCM Phenocopies: From Diagnosis to Risk Stratification and Therapeutic Management. J. Clin. Med. 2023, 12, 3481. [Google Scholar] [CrossRef]
- Kamp, N.J.; Chery, G.; Kosinski, A.S.; Desai, M.Y.; Wazni, O.; Schmidler, G.S.; Patel, M.; Lopes, R.D.; Morin, D.P.; Al-Khatib, S.M. Risk stratification using late gadolinium enhancement on cardiac magnetic resonance imaging in patients with hypertrophic cardiomyopathy: A systematic review and meta-analysis. Prog. Cardiovasc. Dis. 2021, 66, 10–16. [Google Scholar] [CrossRef]
- Bruder, O.; Wagner, A.; Jensen, C.J.; Schneider, S.; Ong, P.; Kispert, E.-M.; Nassenstein, K.; Schlosser, T.; Sabin, G.V.; Sechtem, U.; et al. Myocardial Scar Visualized by Cardiovascular Magnetic Resonance Imaging Predicts Major Adverse Events in Patients with Hypertrophic Cardiomyopathy. J. Am. Coll. Cardiol. 2010, 56, 875–887. [Google Scholar] [CrossRef]
- Chan, R.H.; Maron, B.J.; Olivotto, I.; Pencina, M.J.; Assenza, G.E.; Haas, T.; Lesser, J.R.; Gruner, C.; Crean, A.M.; Rakowski, H.; et al. Prognostic Value of Quantitative Contrast-Enhanced Cardiovascular Magnetic Resonance for the Evaluation of Sudden Death Risk in Patients with Hypertrophic Cardiomyopathy. Circulation 2014, 130, 484–495. [Google Scholar] [CrossRef]
- Greulich, S.; Seitz, A.; Herter, D.; Günther, F.; Probst, S.; Bekeredjian, R.; Gawaz, M.; Sechtem, U.; Mahrholdt, H. Long-term risk of sudden cardiac death in hypertrophic cardiomyopathy: A cardiac magnetic resonance outcome study. Eur. Heart J. Cardiovasc. Imaging 2021, 22, 732–741. [Google Scholar] [CrossRef]
- Brignole, M.; Moya, A.; de Lange, F.J.; Deharo, J.-C.; Elliott, P.M.; Fanciulli, A.; Fedorowski, A.; Furlan, R.; Kenny, R.A.; Martín, A.; et al. 2018 ESC Guidelines for the diagnosis and management of syncope. Eur. Heart J. 2018, 39, 1883–1948. [Google Scholar] [CrossRef]
- Lang, R.M.; Badano, L.P.; Mor-Avi, V.; Afilalo, J.; Armstrong, A.; Ernande, L.; Flachskampf, F.A.; Foster, E.; Goldstein, S.A.; Kuznetsova, T.; et al. Recommendations for Cardiac Chamber Quantification by Echocardiography in Adults: An Update from the American Society of Echocardiography and the European Association of Cardiovascular Imaging. Eur. Heart J. Cardiovasc. Imaging 2015, 16, 233–271. [Google Scholar] [CrossRef] [PubMed]
- Duca, F.; Rettl, R.; Kronberger, C.; Binder, C.; Mann, C.; Dusik, F.; Schrutka, L.; Dalos, D.; Öztürk, B.; Dachs, T.M.; et al. Myocardial structural and functional changes in cardiac amyloidosis—Insights from a prospective observational patient registry. Eur. Heart J. Cardiovasc. Imaging 2024, 25, 95–104. [Google Scholar] [CrossRef] [PubMed]
- Fluss, R.; Faraggi, D.; Reiser, B. Estimation of the Youden Index and its Associated Cutoff Point. Biom. J. 2005, 47, 458–472. [Google Scholar] [CrossRef]
- Ommen, S.R.; Mital, S.; Burke, M.A.; Day, S.M.; Deswal, A.; Elliott, P.; Evanovich, L.L.; Hung, J.; Joglar, J.A.; Kantor, P.; et al. 2020 AHA/ACC Guideline for the Diagnosis and Treatment of Patients with Hypertrophic Cardiomyopathy. Circulation 2020, 142, e558–e631. [Google Scholar]
- Monserrat, L.; Elliott, P.M.; Gimeno, J.R.; Sharma, S.; Penas -Lado Manuel McKenna, W.J. Non-sustained ventricular tachycardia in hypertrophic cardiomyopathy. J. Am. Coll. Cardiol. 2003, 42, 873–879. [Google Scholar] [CrossRef]
- Wang, J.; Yang, S.; Ma, X.; Zhao, K.; Yang, K.; Yu, S.; Yin, G.; Dong, Z.; Song, Y.; Cui, C.; et al. Assessment of late gadolinium enhancement in hypertrophic cardiomyopathy improves risk stratification based on current guidelines. Eur. Heart J. 2023, 44, 4781–4792. [Google Scholar] [CrossRef]
- Williams, L.; Frenneaux, M. Syncope in hypertrophic cardiomyopathy: Mechanisms and consequences for treatment. EP Eur. 2007, 9, 817–822. [Google Scholar] [CrossRef]
- Spirito, P.; Autore, C.; Rapezzi, C.; Bernabò, P.; Badagliacca, R.; Maron, M.S.; Bongioanni, S.; Coccolo, F.; Estes, N.M.; Barillà, C.S.; et al. Syncope and Risk of Sudden Death in Hypertrophic Cardiomyopathy. Circulation 2009, 119, 1703–1710. [Google Scholar] [CrossRef]
- Olivotto, I.; Oreziak, A.; Barriales-Villa, R.; Abraham, T.P.; Masri, A.; Garcia-Pavia, P.; Saberi, S.; Lakdawala, N.K.; Wheeler, M.T.; Owens, A.; et al. Mavacamten for treatment of symptomatic obstructive hypertrophic cardiomyopathy (EXPLORER-HCM): A randomised, double-blind, placebo-controlled, phase 3 trial. Lancet 2020, 396, 759–769. [Google Scholar] [CrossRef]
- Desai, M.Y.; Owens, A.; Geske, J.B.; Wolski, K.; Naidu, S.S.; Smedira, N.G.; Cremer, P.C.; Schaff, H.; McErlean, E.; Sewell, C.; et al. Myosin Inhibition in Patients with Obstructive Hyper trophic Cardiomyopathy Referred for Septal Reduction Therapy. J. Am. Coll. Cardiol. 2022, 80, 95–108. [Google Scholar] [CrossRef]
- Desai, M.Y.; Owens, A.T.; Geske, J.B.; Wolski, K.; Saberi, S.; Wang, A.; Sherrid, M.V.; Cremer, P.C.; Naidu, S.S.; Smedira, N.G.; et al. Dose-Blinded Myosin Inhibition in Patients with Obstructive Hypertrophic Cardiomyopathy Referred for Septal Reduction Therapy: Outcomes Through 32 Weeks. Circulation 2023, 147, 850–863. [Google Scholar] [CrossRef]
- Flett, A.S.; Hasleton, J.; Cook, C.; Hausenloy, D.; Quarta, G.; Ariti, C.; Muthurangu, V.; Moon, J.C. Evaluation of techniques for the quantification of myocardial scar of differing etiology using cardiac magnetic resonance. JACC Cardiovasc. Imaging 2011, 4, 150–156. [Google Scholar] [CrossRef] [PubMed]





| Overall (n = 230) | No Event (n = 201) | Event (n = 29) | p-Value | |
|---|---|---|---|---|
| Clinical parameters | ||||
| Age, years | 56 (44, 64) | 56 (43, 64) | 57 (47, 64) | 0.84 |
| Sex male, n (%) | 136 (60%) | 118 (60%) | 18 (62%) | 0.83 |
| HOCM, n (%) | 84 (43%) | 74 (44%) | 10 (34%) | 0.36 |
| Body mass index, Kg/m2 | 28.7 (26.0, 31.9) | 28.7 (25.8, 31.7) | 28.7 (26.6, 32.0) | 0.55 |
| NYHA functional class ≥2, n (%) | 143 (67%) | 125 (68%) | 18 (64%) | 0.70 |
| 6-MWD, m | 483 (410, 535) | 486 (411, 558) | 445 (396, 505) | 0.29 |
| ESC-SCD risk score, % | 2.92 (2.14, 4.13) | 2.76 (2.08, 3.96) | 4.06 (2.95, 4.42) | 0.14 |
| Prior ICD implantation, n (%) | 25 (11%) | 22 (11%) | 3 (10%) | 0.93 |
| History of syncope, n (%) | 45 (20%) | 32 (16%) | 13 (46%) | <0.001 |
| Coronary artery disease, n (%) | 44 (20%) | 37 (19%) | 7 (24%) | 0.57 |
| Arterial hypertension, n (%) | 124 (55%) | 112 (57%) | 12 (41%) | 0.12 |
| Diabetes mellitus type 2, n (%) | 37 (17%) | 33 (17%) | 4 (14%) | 0.81 |
| Atrial fibrillation, n (%) | 52 (23%) | 44 (22%) | 8 (28%) | 0.52 |
| Prior myectomy, n (%) | 4 (1.7%) | 3 (1.5%) | 1 (3.4%) | 0.28 |
| Coronary artery disease, n (%) | 44 (20%) | 37 (19%) | 7 (24%) | 0.53 |
| Medication | ||||
| Beta blocker, n (%) | 148 (66%) | 127 (65%) | 21 (72%) | 0.49 |
| ACE inhibitors, n (%) | 44 (20%) | 39 (20%) | 5 (17%) | 0.70 |
| Angiotensin receptor blocker, n (%) | 66 (29%) | 59 (30%) | 7 (24%) | 0.56 |
| Alpha blocker, n (%) | 23 (10%) | 22 (11%) | 1 (3.4%) | 0.31 |
| Diuretics, n (%) | 29 (13%) | 21 (11%) | 8 (28%) | 0.032 |
| Anticoagulants, n (%) | 36 (16%) | 34 (18%) | 2 (6.9%) | 0.21 |
| Antiplatelet agents, n (%) | 60 (27%) | 52 (27%) | 8 (28%) | >0.9 |
| Laboratory parameters | ||||
| Hb, g/dL | 14.30 (13.13, 15.28) | 14.30 (13.20, 15.30) | 14.20 (12.70, 15.00) | 0.50 |
| Creatinine, mg/dL | 0.91 (0.79, 1.07) | 0.91 (0.78, 1.06) | 0.94 (0.80, 1.21) | 0.32 |
| eGFR, ml/min/1.73 m2 | 80 (62, 97) | 80 (62, 98) | 81 (60, 94) | 0.58 |
| CRP, mg/dL | 0.19 (0.09, 0.42) | 0.18 (0.08, 0.38) | 0.30 (0.18, 0.55) | 0.22 |
| hsTnT, ng/L | 13 (9, 24) | 12 (8, 20) | 22 (13, 30) | 0.080 |
| NT-proBNP, pg/L | 493 (164, 1230) | 454 (145, 1215) | 654 (430, 1295) | 0.39 |
| Overall (n = 230) | No Event (n = 201) | Event (n = 29) | p-Value | |
|---|---|---|---|---|
| LA volume index, cm3/m2 | 27.8 (24.1, 30.9) | 27.6 (24.1, 30.9) | 28.4 (24.0, 30.6) | 0.74 |
| LA, mm | 58 (54, 64) | 58 (54, 64) | 58 (56, 65) | 0.33 |
| LA longitudinal strain, % | 15 (9, 21) | 15 (10, 21) | 11 (7, 20) | 0.22 |
| RA volume index, cm3/m2 | 25.8 (23.3, 28.9) | 25.5 (23.3, 28.9) | 26.9 (23.4, 27.9) | 0.66 |
| RA, mm | 50 (47, 55) | 49 (47, 55) | 53 (46, 58) | 0.46 |
| RV volume index, cm3/m2 | 15.24 (13.8, 17.1) | 15.27 (13.8, 17.0) | 14.74 (13.8, 17.2) | >0.9 |
| RV ejection fraction, % | 57 (51, 64) | 57 (51, 64) | 57 (50, 67) | 0.90 |
| Interventricular septum, mm | 19.0 (17.0, 22.0) | 19.0 (17.0, 22.0) | 20.0 (17.0, 22.0) | 0.90 |
| LV volume index, cm3/m2 | 21.1 (18.9, 23.3) | 21.1 (18.8, 23.3) | 21.2 (19.7, 23.3) | 0.72 |
| LVOT gradient > 30 mmHg, n (%) | 84 (43%) | 74 (44%) | 10 (34%) | 0.36 |
| LV ejection fraction, % | 65 (59, 71) | 66 (59, 71) | 65 (55, 72) | >0.9 |
| Global longitudinal strain, % | 14.5 (12.3, 17.0) | 14.5 (12.2, 17.0) | 15.0 (12.4, 17.4) | 0.57 |
| LV stroke volume index, ml/m2 | 52 (47, 62) | 53 (46, 62) | 51 (48, 60) | 0.59 |
| Cardiac output index, L/m2 | 3.39 (2.89, 3.99) | 3.38 (2.89, 4.00) | 3.43 (2.94, 3.99) | 0.61 |
| Extra cellular volume, % | 28.5 (26.5, 30.6) | 28.2 (26.0, 30.0) | 29.7 (27.6, 32.3) | 0.052 |
| Presence of LGE, n (%) | 68 (54%) | 53 (51%) | 15 (71%) | 0.078 |
| Extent of LGE, % | 1.8 (0.0, 5.4) | 1.1 (0.0, 4.0) | 9.0 (0.8, 13.2) | 0.012 |
Disclaimer/Publisher’s Note: The statements, opinions and data contained in all publications are solely those of the individual author(s) and contributor(s) and not of MDPI and/or the editor(s). MDPI and/or the editor(s) disclaim responsibility for any injury to people or property resulting from any ideas, methods, instructions or products referred to in the content. |
© 2025 by the authors. Licensee MDPI, Basel, Switzerland. This article is an open access article distributed under the terms and conditions of the Creative Commons Attribution (CC BY) license (https://creativecommons.org/licenses/by/4.0/).
Share and Cite
Mann, C.; Dachs, T.M.; Gharib, D.; Widmann, K.; Tosun, R.; Srdits, M.; Kronberger, C.; Beitzke, D.; Loewe, C.; Kammerlander, A.A.; et al. The Prognostic Implication of Late Gadolinium Enhancement Quantification and Syncope in Hypertrophic Cardiomyopathy. J. Clin. Med. 2025, 14, 1781. https://doi.org/10.3390/jcm14051781
Mann C, Dachs TM, Gharib D, Widmann K, Tosun R, Srdits M, Kronberger C, Beitzke D, Loewe C, Kammerlander AA, et al. The Prognostic Implication of Late Gadolinium Enhancement Quantification and Syncope in Hypertrophic Cardiomyopathy. Journal of Clinical Medicine. 2025; 14(5):1781. https://doi.org/10.3390/jcm14051781
Chicago/Turabian StyleMann, Christopher, Theresa M. Dachs, Diana Gharib, Katalin Widmann, Rodi Tosun, Marc Srdits, Christina Kronberger, Dietrich Beitzke, Christian Loewe, Andreas A. Kammerlander, and et al. 2025. "The Prognostic Implication of Late Gadolinium Enhancement Quantification and Syncope in Hypertrophic Cardiomyopathy" Journal of Clinical Medicine 14, no. 5: 1781. https://doi.org/10.3390/jcm14051781
APA StyleMann, C., Dachs, T. M., Gharib, D., Widmann, K., Tosun, R., Srdits, M., Kronberger, C., Beitzke, D., Loewe, C., Kammerlander, A. A., Gwechenberger, M., Lang, I. M., Hengstenberg, C., Zelniker, T. A., & Dalos, D. (2025). The Prognostic Implication of Late Gadolinium Enhancement Quantification and Syncope in Hypertrophic Cardiomyopathy. Journal of Clinical Medicine, 14(5), 1781. https://doi.org/10.3390/jcm14051781

