7 Tesla MRI Reveals Brain Structural Abnormalities and Neural Plasticity in RPGR-Related Retinitis Pigmentosa
Abstract
1. Introduction
2. Materials and Methods
2.1. Patients
2.2. MRI Data Analysis
2.3. Statistical Analysis
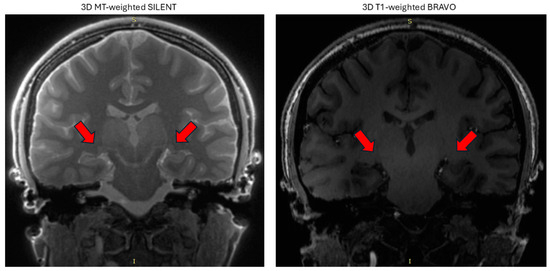
3. Results
4. Discussion
Author Contributions
Funding
Institutional Review Board Statement
Informed Consent Statement
Data Availability Statement
Conflicts of Interest
References
- Neidhardt, J.; Glaus, E.; Lorenz, B.; Netzer, C.; Li, Y.; Schambeck, M.; Wittmer, M.; Feil, S.; Kirschner-Schwabe, R.; Rosenberg, T.; et al. Identification of novel mutations in X-linked retinitis pigmentosa families and implications for diagnostic testing. Mol. Vis. 2008, 14, 1081–1093. [Google Scholar] [PubMed]
- Breuer, D.K.; Yashar, B.M.; Filippova, E.; Hiriyanna, S.; Lyons, R.H.; Mears, A.J.; Asaye, B.; Acar, C.; Vervoort, R.; Wright, A.F.; et al. A comprehensive mutation analysis of RP2 and RPGR in a North American cohort of families with X-linked retinitis pigmentosa. Am. J. Hum. Genet. 2002, 70, 1545–1554. [Google Scholar] [CrossRef]
- Demirci, F.Y.K.; Rigatti, B.W.; Wen, G.; Radak, A.L.; Mah, T.S.; Baic, C.L.; Traboulsi, E.I.; Alitalo, T.; Ramser, J.; Gorin, M.B.; et al. X-linked cone-rod dystrophy (locus COD1): Identification of mutations in RPGR exon ORF15. Am. J. Hum. Genet. 2002, 70, 1049–1053. [Google Scholar] [CrossRef] [PubMed]
- Vervoort, R.; Lennon, A.; Bird, A.C.; Tulloch, B.; Axton, R.; Miano, M.G.; Meindl, A.; Meitinger, T.; Ciccodicola, A.; Wright, A.F. Mutational hot spot within a new RPGR exon in X-linked retinitis pigmentosa. Nat. Genet. 2000, 25, 462–466. [Google Scholar] [CrossRef] [PubMed]
- Nowomiejska, K.; Baltaziak, K.; Całka, P.; Ciesielka, M.; Teresiński, G.; Rejdak, R. Identification of the RPGR gene pathogenic variants in a cohort of Polish male patients with retinitis pigmentosa phenotype. Genes 2023, 14, 1950. [Google Scholar] [CrossRef] [PubMed]
- Marc, R.E.; Jones, B.W.; Watt, C.B.; Strettoi, E. Neural remodeling in retinal degeneration. Prog. Retin. Eye Res. 2003, 22, 607–655. [Google Scholar] [CrossRef] [PubMed]
- Maya-Vetencourt, J.F.; Ghezzi, D.; Antognazza, M.R.; Colombo, E.; Mete, M.; Feyen, P.; Desii, A.; Buschiazzo, A.; Di Paolo, M.; Di Marco, S.; et al. A fully organic retinal prosthesis restores vision in a rat model of degenerative blindness. Nat. Mater. 2017, 16, 681–689. [Google Scholar] [CrossRef] [PubMed]
- Barriga-Rivera, A.; Suaning, G.J. Visual prostheses, optogenetics, stem cell and gene therapies: Splitting the cake. Neural Regen. Res. 2018, 13, 805–806. [Google Scholar] [CrossRef] [PubMed]
- Paré, S.; Bleau, M.; Dricot, L.; Ptito, M.; Kupers, R. Brain structural changes in blindness: A systematic review and an anatomical likelihood estimation (ALE) meta-analysis. Neurosci. Biobehav. Rev. 2023, 150, 105165. [Google Scholar] [CrossRef] [PubMed]
- Ayton, L.N.; Barnes, N.; Dagnelie, G.; Fujikado, T.; Goetz, G.; Hornig, R.; Jones, B.W.; Muqit, M.M.; Rathbun, D.L.; Stingl, K.; et al. An update on retinal prostheses. Clin. Neurophysiol. 2020, 131, 1383–1398. [Google Scholar] [CrossRef] [PubMed]
- Pezaris, J.S.; Reid, R.C. Demonstration of artificial visual percepts generated through thalamic microstimulation. Proc. Natl. Acad. Sci. USA 2007, 104, 7670–7675. [Google Scholar] [CrossRef]
- Panetsos, F.; Sanchez-Jimenez, A.; De, C.E.D.; Diaz-Guemes, I.; Sanchez, F.M. Consistent phosphenes generated by electrical microstimulation of the visual thalamus. An experimental approach for thalamic visual neuroprostheses. Front. Neurosci. 2011, 5, 84. [Google Scholar] [CrossRef]
- Toosy, A.T.; Ciccarelli, O.; Parker, G.J.M.; Wheeler-Kingshott, C.A.M.; Miller, D.H.; Thompson, A.J. Characterizing function-structure relationships in the human visual system with functional MRI and diffusion tensor imaging. Neuroimage 2004, 21, 1452–1463. [Google Scholar] [CrossRef]
- Schoth, F.; Bürgel, U.; Dorsch, R.; Reinges, M.H.T.; Krings, T. Diffusion tensor imaging in acquired blind humans. Neurosci. Lett. 2006, 398, 178–182. [Google Scholar] [CrossRef] [PubMed]
- Guillery, R.W.; Feig, S.L.; Van Lieshout, D.P. Connections of higher order visual relays in the thalamus: A study of corticothalamic pathways in cats. J. Comp. Neurol. 2001, 438, 66–85. [Google Scholar] [CrossRef]
- Li, M.; He, H.G.; Shi, W.; Li, J.; Lv, B.; Wang, C.H.; Miao, Q.W.; Wang, Z.C.; Wang, N.L.; Walter, M.; et al. Quantification of the human lateral geniculate nucleus in vivo using MR imaging based on morphometry: Volume loss with age. AJNR Am. J. Neuroradiol. 2012, 33, 915–921. [Google Scholar] [CrossRef]
- Poltoratski, S.; Ling, S.; McCormack, D.; Tong, F. Characterizing the effects of feature salience and top-down attention in the early visual system. J. Neurophysiol. 2017, 118, 564–573. [Google Scholar] [CrossRef] [PubMed]
- Korsholm, K.; Madsen, K.H.; Frederiksen, J.L.; Skimminge, A.; Lund, T.E. Recovery from optic neuritis: An ROI-based analysis of LGN and visual cortical areas. Brain 2007, 130, 1244–1253. [Google Scholar] [CrossRef]
- Li, Y.; Zhang, W. Quantitative evaluation of diffusion tensor imaging for clinical management of glioma. Neurosurg. Rev. 2020, 43, 881–891. [Google Scholar] [CrossRef]
- Wang, J.; Miao, W.; Li, J.; Li, M.; Zhen, Z.; Sabel, B.; Xian, J.; He, H. Automatic segmentation of the lateral geniculate nucleus: Application to control and glaucoma patients. J. Neurosci. Methods 2015, 255, 104–114. [Google Scholar] [CrossRef] [PubMed]
- Yu, C.; Shu, N.; Li, J.; Qin, W.; Jiang, T.; Li, K. Plasticity of the corticospinal tract in early blindness revealed by quantitative analysis of fractional anisotropy based on diffusion tensor tractography. Neuroimage 2007, 36, 411–417. [Google Scholar] [CrossRef]
- Jonak, K.; Krukow, P.; Jonak, K.E.; Radzikowska, E.; Baj, J.; Niedziałek, A.; Pankowska, A.; Symms, M.; Stępniewski, A.; Podkowiński, A.; et al. Decreased volume of lateral and medial geniculate nuclei in patients with LHON disease—7 Tesla MRI study. J. Clin. Med. 2020, 9, 2914. [Google Scholar] [CrossRef]
- Kosior-Jarecka, E.; Pankowska, A.; Polit, P.; Stępniewski, A.; Symms, M.R.; Kozioł, P.; Żarnowski, T.; Pietura, R. Volume of Lateral Geniculate Nucleus in Patients with Glaucoma in 7Tesla MRI. J. Clin. Med. 2020, 9, 2382. [Google Scholar] [CrossRef] [PubMed]
- Simmen, C.F.; Fierz, F.C.; Michels, L.; Aldusary, N.; Landau, K.; Piccirelli, M.; Traber, G.L. Lateral Geniculate Nucleus Volume Determined on MRI Correlates with Corresponding Ganglion Cell Layer Loss in Acquired Human Postgeniculate Lesions. Investig. Ophthalmol. Vis. Sci. 2022, 63, 18. [Google Scholar] [CrossRef] [PubMed]
- Clark, W.E. A Morphological Study of the Lateral Geniculate Body. Br. J. Ophthalmol. 1932, 16, 264–284. [Google Scholar] [CrossRef] [PubMed][Green Version]
- Uggetti, C.; Egitto, M.G.; Fazzi, E.; Bianchi, P.E.; Zappoli, F.; Martelli, A.; Lanzi, G. Transsynaptic degeneration of lateral geniculate bodies in blind children: In vivo MR demonstration. AJNR Am. J. Neuroradiol. 1997, 18, 233–238. [Google Scholar]
- Czarnek-Chudzik, A.; Toro, M.D.; Rejdak, R.; Nowomiejska, K. Anatomical and Functional Impacts of Congenital Bilateral Visual Deprivation on the Visual Pathway—A Comprehensive Review. J. Clin. Med. 2023, 12, 1775. [Google Scholar] [CrossRef]
- Shimony, J.S.; Burton, H.; Epstein, A.A.; McLaren, D.G.; Sun, S.W.; Snyder, A.Z. Diffusion tensor imaging reveals white matter reorganization in early blind humans. Cereb. Cortex 2006, 16, 1653–1661. [Google Scholar] [CrossRef]
- Park, H.-J.; Lee, J.D.; Kim, E.Y.; Park, B.; Oh, M.-K.; Lee, S.; Kim, J.-J. Morphological alterations in the congenital blind based on the analysis of cortical thickness and surface area. Neuroimage 2009, 47, 98–106. [Google Scholar] [CrossRef]
- Lunghi, C.; Galli-Resta, L.; Binda, P.; Cicchini, G.M.; Placidi, G.; Falsini, B.; Morrone, M.C. Visual Cortical Plasticity in Retinitis Pigmentosa. Investig. Ophthalmol. Vis. Sci. 2019, 60, 2753–2763. [Google Scholar] [CrossRef]
- Palejwala, A.H.; Dadario, N.B.; Young, I.M.; O’Connor, K.; Briggs, R.G.; Conner, A.K.; O’Donoghue, D.L.; Sughrue, M.E. Anatomy and White Matter Connections of the Lingual Gyrus and Cuneus. World Neurosurg. 2021, 151, e426–e437. [Google Scholar] [CrossRef] [PubMed]
- Zhang, L.; Qiao, L.; Chen, Q.; Yang, W.; Xu, M.; Yao, X.; Qiu, J.; Yang, D. Gray Matter Volume of the Lingual Gyrus Mediates the Relationship between Inhibition Function and Divergent Thinking. Front. Psychol. 2016, 7, 1532. [Google Scholar] [CrossRef]
- Allison, T.; Begleiter, A.; McCarthy, G.; Roessler, E.; Nobre, A.C.; Spencer, D.D. Electrophysiological studies of color processing in human visual cortex. Electroencephalogr. Clin. Neurophysiol. 1993, 88, 343–355. [Google Scholar] [CrossRef] [PubMed]
- Wei, G.-X.; Ge, L.; Chen, L.-Z.; Cao, B.; Zhang, X. Structural abnormalities of cingulate cortex in patients with first-episode drug-naïve schizophrenia comorbid with depressive symptoms. Hum. Brain Mapp. 2021, 42, 1617–1625. [Google Scholar] [CrossRef] [PubMed]
- Li, H.; Wei, D.; Sun, J.; Chen, Q.; Zhang, Q.; Qiu, J. Brain structural alterations associated with young women with subthreshold depression. Sci. Rep. 2015, 5, 9707. [Google Scholar] [CrossRef]
- Maddock, R.J.; Garrett, A.S.; Buonocore, M.H. Posterior cingulate cortex activation by emotional words: FMRI evidence from a valence decision task. Hum. Brain Mapp. 2003, 18, 30–41. [Google Scholar] [CrossRef] [PubMed]
- Sainohira, M.; Yamashita, T.; Terasaki, H.; Sonoda, S.; Miyata, K.; Murakami, Y.; Ikeda, Y.; Morimoto, T.; Endo, T.; Fujikado, T.; et al. Quantitative analyses of factors related to anxiety and depression in patients with retinitis pigmentosa. PLoS ONE 2018, 13, e0195983. [Google Scholar] [CrossRef] [PubMed]
- Hahm, B.-J.; Shin, Y.-W.; Shim, E.-J.; Jeon, H.J.; Seo, J.-M.; Chung, H.; Yu, H.G. Depression and the vision-related quality of life in patients with retinitis pigmentosa. Br. J. Ophthalmol. 2008, 92, 650–654. [Google Scholar] [CrossRef]
- Agster, K.L.; Burwell, R.D. Cortical efferents of the perirhinal, postrhinal, and entorhinal cortices of the rat. Hippocampus 2009, 19, 1159–1186. [Google Scholar] [CrossRef] [PubMed]
- Insel, N.; Takehara-Nishiuchi, K. The cortical structure of consolidated memory: A hypothesis on the role of the cingulate-entorhinal cortical connection. Neurobiol. Learn. Mem. 2013, 106, 343–350. [Google Scholar] [CrossRef] [PubMed]
- Ptito, M.; Bleau, M.; Djerourou, I.; Paré, S.; Schneider, F.C.; Chebat, D.-R. Brain-Machine Interfaces to Assist the Blind. Front. Hum. Neurosci. 2021, 15, 638887. [Google Scholar] [CrossRef]
- Cecchetti, L.; Kupers, R.; Ptito, M.; Pietrini, P.; Ricciardi, E. Are Supramodality and Cross-Modal Plasticity the Yin and Yang of Brain Development? From Blindness to Rehabilitation. Front. Syst. Neurosci. 2016, 10, 89. [Google Scholar] [CrossRef] [PubMed]
- Ptito, M.; Paré, S.; Dricot, L.; Cavaliere, C.; Tomaiuolo, F.; Kupers, R. A quantitative analysis of the retinofugal projections in congenital and late-onset blindness. NeuroImage Clin. 2021, 32, 102809. [Google Scholar] [CrossRef]
- Ptito, M.; Matteau, I.; Gjedde, A.; Kupers, R. Recruitment of the middle temporal area by tactile motion in congenital blindness. NeuroReport 2009, 20, 543–547. [Google Scholar] [CrossRef] [PubMed]
- Ptito, M.; Kupers, R.; Lomber, S.; Pietrini, P. Sensory deprivation and brain plasticity. Neural Plast. 2012, 2012, 810370. [Google Scholar] [CrossRef] [PubMed]
- Castaldi, E.; Cicchini, G.M.; Cinelli, L.; Biagi, L.; Rizzo, S.; Morrone, M.C. Visual BOLD Response in Late Blind Subjects with Argus II Retinal Prosthesis. PLoS Biol. 2016, 14, e1002569. [Google Scholar] [CrossRef]
- Pascual-Leone, A.; Amedi, A.; Fregni, F.; Merabet, L.B. The plastic human brain cortex. Annu. Rev. Neurosci. 2005, 28, 377–401. [Google Scholar] [CrossRef] [PubMed]
- Kupers, R.; Ptito, M. Compensatory plasticity and cross-modal reorganization following early visual deprivation. Neurosci. Biobehav. Rev. 2014, 41, 36–52. [Google Scholar] [CrossRef]
- Sadato, N.; Okada, T.; Honda, M.; Yonekura, Y. Critical period for cross-modal plasticity in blind humans: A functional MRI study. Neuroimage 2002, 16, 389–400. [Google Scholar] [CrossRef] [PubMed]
- Lewis, P.M.; Ackland, H.M.; Lowery, A.J.; Rosenfeld, J.V. Restoration of vision in blind individuals using bionic devices: A review with a focus on cortical visual prostheses. Brain Res. 2015, 1595, 51–73. [Google Scholar] [CrossRef]
- Ghezzi, D. Retinal prostheses: Progress toward the next generation implants. Front. Neurosci. 2015, 9, 290. [Google Scholar] [CrossRef]
- Busskamp, V.; Picaud, S.; Sahel, J.A.; Roska, B. Optogenetic therapy for retinitis pigmentosa. Gene Ther. 2012, 19, 169–175. [Google Scholar] [CrossRef] [PubMed]
- Petrs-Silva, H.; Linden, R. Advances in gene therapy technologies to treat retinitis pigmentosa. Clin. Ophthalmol. 2014, 8, 127–136. [Google Scholar] [CrossRef] [PubMed]






| Patient ID | Age (Years) | Variant in the RPGR Gene | Visual Acuity— Right Eye | Visual Acuity— Left Eye |
|---|---|---|---|---|
| 1. | 29 | c.2442_2445del; p.Gly817fs—pathogenic in ORF15 | 0.7 | 0.7 |
| 2. | 39 | c.2340_2341del; p.Arg780fs—pathogenic in ORF15 | 0.01 | 0.01 |
| 3. | 34 | p.Glu 863 -likely pathogenic in ORF15 | 0.5 | 0.6 |
| 4. | 20 | c.2389dup p.Glu797fs; —likely pathogenic in ORF15 | 0.7 | 0.7 |
| 5. | 20 | p.Glu797fs; c.2389dup—likely pathogenic in ORF15 | 0.4 | 0.2 |
| 6. | 23 | c.2455dup p.Val819fs—likely pathogenic in ORF15 | 0.6 | 0.3 |
| 7. | 15 | c.2323_2324delAG; p.Arg775Glufs 59—pathogenic | 0.2 | 0.5 |
| 8. | 17 | c.2270_2343dup; p.Gly782Argfs 58—likely pathogenic | ||
| 9. | 35 | c.2966delA; p.Glu989Glyfs 100 likely pathogenic | 0.2 | 0.4 |
| 10. | 20 | c1905 + 413del; p.Gly773GlufsTer42—pathogenic in ORF15 | 0.3 | 0.4 |
| 11. | 56 | c.1245 + 1G > A; p-likely pathogenic | 0.6 | 0.5 |
| 12. | 44 | c.2236_2237del; p.Glu746ArgfsTer23—pathogenic | 0.05 | 0.05 |
| 3D BRAVO T1-W | 3D MT-W SILENT | |
|---|---|---|
| FOV [cm] | 22 × 22 | 17.6 × 17.6 |
| Slice thickness [mm] | 1.0 | 0.8 |
| TE [ms] | 2.6 | 0.0 |
| TR [ms] | 6.6 | 257 |
| TI [ms] | 450 | not applicable |
| Matrix size | 288 × 288 | 224 × 224 |
| NEX | 1 | 3 |
| Flip Angle | 12 | 2 |
| Group | Mean (mm3) | SD (mm3) | Median (mm3) | Levene’s Test | t Test | 95 Percent Confident Interval | ||||
|---|---|---|---|---|---|---|---|---|---|---|
| F | p | t (df) | p Value | Left | Right | |||||
| LGN left | S | 96.3 | 12.79 | 92.5 | 0.89 | 0.90 | −6.66; (22) | <0.001 | −38.08 | −20.00 |
| C | 125.4 | 8.43 | 125.5 | |||||||
| LGN right | S | 99.7 | 12.46 | 93.9 | 2.73 | 0.11 | −7.61; (22) | <0.002 | 99.69 | 129.18 |
| C | 129.2 | 5.91 | 127.8 | |||||||
| Lingual gyrus left | S | 6162.4 | 1021.30 | 5971.5 | 0.86 | 0.36 | −2.28 (22.76) | 0.03 | −2190.99 | −104.31 |
| C | 7310.10 | 1529.79 | 7245.5 | |||||||
| Isthmus cingulate gyrus left | S | 3690.50 | 1683.87 | 3255.00 | 1.98 | 0.17 | −7.61; (22) | <0.002 | 99.69 | 129.18 |
| C | 2681.90 | 637.03 | 2837.50 | |||||||
Disclaimer/Publisher’s Note: The statements, opinions and data contained in all publications are solely those of the individual author(s) and contributor(s) and not of MDPI and/or the editor(s). MDPI and/or the editor(s) disclaim responsibility for any injury to people or property resulting from any ideas, methods, instructions or products referred to in the content. |
© 2025 by the authors. Licensee MDPI, Basel, Switzerland. This article is an open access article distributed under the terms and conditions of the Creative Commons Attribution (CC BY) license (https://creativecommons.org/licenses/by/4.0/).
Share and Cite
Nowomiejska, K.; Baltaziak, K.; Czarnek-Chudzik, A.; Toborek, M.; Niedziałek, A.; Wiśniewska, K.; Midura, M.; Rejdak, R.; Pietura, R. 7 Tesla MRI Reveals Brain Structural Abnormalities and Neural Plasticity in RPGR-Related Retinitis Pigmentosa. J. Clin. Med. 2025, 14, 1617. https://doi.org/10.3390/jcm14051617
Nowomiejska K, Baltaziak K, Czarnek-Chudzik A, Toborek M, Niedziałek A, Wiśniewska K, Midura M, Rejdak R, Pietura R. 7 Tesla MRI Reveals Brain Structural Abnormalities and Neural Plasticity in RPGR-Related Retinitis Pigmentosa. Journal of Clinical Medicine. 2025; 14(5):1617. https://doi.org/10.3390/jcm14051617
Chicago/Turabian StyleNowomiejska, Katarzyna, Katarzyna Baltaziak, Aleksandra Czarnek-Chudzik, Michał Toborek, Anna Niedziałek, Katarzyna Wiśniewska, Mateusz Midura, Robert Rejdak, and Radosław Pietura. 2025. "7 Tesla MRI Reveals Brain Structural Abnormalities and Neural Plasticity in RPGR-Related Retinitis Pigmentosa" Journal of Clinical Medicine 14, no. 5: 1617. https://doi.org/10.3390/jcm14051617
APA StyleNowomiejska, K., Baltaziak, K., Czarnek-Chudzik, A., Toborek, M., Niedziałek, A., Wiśniewska, K., Midura, M., Rejdak, R., & Pietura, R. (2025). 7 Tesla MRI Reveals Brain Structural Abnormalities and Neural Plasticity in RPGR-Related Retinitis Pigmentosa. Journal of Clinical Medicine, 14(5), 1617. https://doi.org/10.3390/jcm14051617

