Uterine Tumors Resembling Ovarian Sex-Cord Tumors (UTROSCTs): Case Report and Narrative Review of the Literature
Abstract
1. Introduction
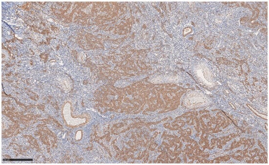
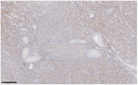
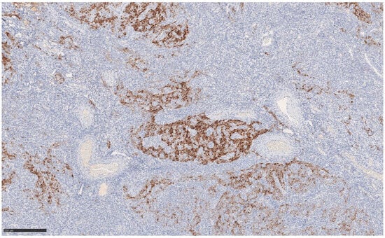
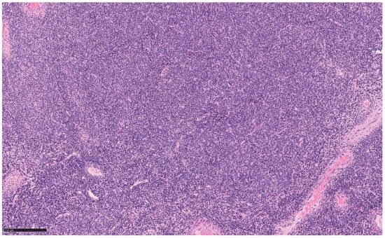
2. Case Report
3. Materials and Methods
4. Results
4.1. Risk Factors and Clinical Presentation
4.2. Diagnostic Challenges
4.3. Histological and Immunohistochemical Features
4.4. The Role of Molecular Profiling
4.5. Radical and Fertility-Sparing Treatment Strategies
4.6. Recurrences: Diagnosis and Therapeutic Approach
5. Discussion
6. Conclusions
Supplementary Materials
Author Contributions
Funding
Institutional Review Board Statement
Informed Consent Statement
Data Availability Statement
Conflicts of Interest
References
- ICD-O Classifications. International Classification of Diseases for Oncology, 3rd ed.; Fritz, A., Percy, C., Jack, A., Shanmugaratnam, K., Sobin, L., Parkin, D.M., Whelan, S., Eds.; Second Revision ICD-O-3.2; IACR Press: Lyon, France, 2020; Available online: http://www.iacr.com.fr/index.php?option=com_content&view=category&layout=blog&id=100&Itemid=577 (accessed on 18 September 2024).
- Hurrell, D.P.; McCluggage, W.G. Uterine tumour resembling ovarian sex cord tumour is an immunohistochemically polyphenotypic neoplasm which exhibits coexpression of epithelial, myoid and sex cord markers. J. Clin. Pathol. 2007, 60, 1148–1154. [Google Scholar] [CrossRef]
- Watrowski, R.; Palumbo, M.; Guerra, S.; Gallo, A.; Zizolfi, B.; Giampaolino, P.; Bifulco, G.; Di Spiezio Sardo, A.; De Angelis, M.C. Uterine Tumors Resembling Ovarian Sex Cord Tumors (UTROSCTs): A Scoping Review of 511 Cases, Including 2 New Cases. Medicina 2024, 60, 179. [Google Scholar] [CrossRef]
- Morehead, R.P.; Bowman, M.C. Heterologous Mesodermal Tumors of the Uterus: Report of a Neoplasm Resembling a Granulosa Cell Tumor. Am. J. Pathol. 1945, 21, 53–61. [Google Scholar] [PubMed]
- Clement, P.B.; Scully, R.E. Uterine tumors resembling ovarian sex-cord tumors. A clinicopathologic analysis of fourteen cases. Am. J. Clin. Pathol. 1976, 66, 512–525. [Google Scholar] [CrossRef] [PubMed]
- Ferrara, M.; Pecorino, B.; D’Agate, M.G.; Angelico, G.; Capoluongo, E.D.; Malapelle, U.; Pepe, F.; Scollo, P.; Mereu, L. Uterine Tumours Resembling Ovarian Sex-Cord Tumors: A Case Report and Review of the Literature. J. Clin. Med. 2023, 12, 7131. [Google Scholar] [CrossRef]
- Blake, E.A.; Sheridan, T.B.; Wang, K.L.; Takiuchi, T.; Kodama, M.; Sawada, K.; Matsuo, K. Clinical Characteristics and Outcomes of Uterine Tumors Resembling Ovarian Sex-Cord Tumors (UTROSCT): A Systematic Review of Literature. Eur. J. Obstet. Gynecol. Reprod. Biol. 2014, 181, 163–170. [Google Scholar]
- Chang, B.; Bai, Q.; Liang, L.; Ge, H.; Yao, Q. Recurrent uterine tumors resembling ovarian sex-cord tumors with the growth regulation by estrogen in breast cancer 1-nuclear receptor coactivator 2 fusion gene: A case report and literature review. Diagn. Pathol. 2020, 15, 110. [Google Scholar] [CrossRef]
- Lin, J.; Liu, L.; Wang, L.; Ma, N.; Zhang, K.; Xie, N.; Yu, H.; Deng, S.; Sun, Y. The management of uterine tumor resembling an ovarian sex cord tumor (UTROSCT): Case series and literature review. World J. Surg. Oncol. 2024, 22, 42. [Google Scholar] [CrossRef] [PubMed]
- Bortot, B.; Mangogna, A.; Di Lorenzo, G.; Stabile, G.; Ricci, G.; Biffi, S. Image-guided cancer surgery: A narrative review on imaging modalities and emerging nanotechnology strategies. J. Nanobiotechnol. 2023, 21, 155. [Google Scholar] [CrossRef]
- Takeuchi, M.; Matsuzaki, K.; Bando, Y.; Nishimura, M.; Hayashi, A.; Harada, M. A Case of Uterine Tumor Resembling Ovarian Sex-cord Tumor (UTROSCT) Exhibiting Similar Imaging Characteristics to Those of Ovarian Sex-cord Tumor. Magn. Reson. Med. Sci. 2019, 18, 113–114. [Google Scholar] [CrossRef] [PubMed]
- Özer, H.; Aker, H.; Mutlu, A.; Yanık, A.; Koç, T.; Keser, H. CD56 might be a useful diagnostic marker of müllerian-derived tumors: Report of an uterine tumor resembling ovarian sex cord tumor (UTROSCT) suggesting polyphenotypic origin and review of the literature. Basic Clin. Sci. 2014, 2, 132–141. [Google Scholar] [CrossRef]
- Abdullazade, S.; Kosemehmetoglu, K.; Adanir, I.; Kutluay, L.; Usubutun, A. Uterine tumors resembling ovarian sex cord-stromal tumors: Synchronous uterine tumors resembling ovarian sex cord-stromal tumors and ovarian sex cord tumor. Ann. Diagn. Pathol. 2010, 14, 432–437. [Google Scholar] [CrossRef] [PubMed]
- Xiong, S.P.; Luo, R.Z.; Wang, F.; Yang, X.; Lai, J.P.; Zhang, C.; Liu, L.L. PD-L1 expression, morphology, and molecular characteristic of a subset of aggressive uterine tumor resembling ovarian sex cord tumor and a literature review. J. Ovarian Res. 2023, 16, 102. [Google Scholar] [CrossRef] [PubMed]
- Qijun, C.; Wei, W.; Cheng, W.; Dongni, L. Clinicopathological features and molecular genetic changes in 17 cases of uterine tumor resembling ovarian sex cord tumor. Hum. Pathol. 2024, 143, 33–41. [Google Scholar] [CrossRef] [PubMed]
- Bi, R.; Yao, Q.; Ji, G.; Bai, Q.; Li, A.; Liu, Z.; Cheng, Y.; Tu, X.; Yu, L.; Chang, B.; et al. Uterine Tumor Resembling Ovarian Sex Cord Tumors: 23 Cases Indicating Molecular Heterogeneity with Variable Biological Behavior. Am. J. Surg. Pathol. 2023, 47, 739–755. [Google Scholar] [CrossRef] [PubMed]
- Flídrová, M.; Hájková, N.; Hojný, J.; Dvořák, J.; Michálková, R.; Krkavcová, E.; Laco, J.; McCluggage, W.G.; Giordano, G.; Silini, E.M.; et al. Unraveling the Molecular Landscape of Uterine Tumor Resembling Ovarian Sex Cord Tumor: Insights From A Clinicopathological, Morphologic, Immunohistochemical, and Molecular Analysis of 35 Cases. Mod. Pathol. 2024, 37, 100611. [Google Scholar] [CrossRef]
- Ura, B.; Monasta, L.; Arrigoni, G.; Battisti, I.; Licastro, D.; Di Lorenzo, G.; Romano, F.; Aloisio, M.; Peterlunger, I.; Stabile, G.; et al. Phosphoproteins Involved in the Inhibition of Apoptosis and in Cell Survival in the Leiomyoma. J. Clin. Med. 2019, 8, 691. [Google Scholar] [CrossRef]
- Ye, S.; Wu, J.; Yao, L.; He, J. Clinicopathological characteristics and genetic variations of uterine tumours resembling ovarian sex cord tumours. J. Clin. Pathol. 2022, 75, 776–781. [Google Scholar] [CrossRef] [PubMed]
- Carbone, M.V.; Cavaliere, A.F.; Fedele, C.; Vidiri, A.; Arciuolo, D.; Zannoni, G.; Scambia, G. Uterine tumor resembling ovarian sex-cord tumor: Conservative surgery with successful delivery and case series. Eur. J. Obstet. Gynecol. Reprod. Biol. 2021, 256, 326–332. [Google Scholar] [CrossRef]
- Kuznicki, M.L.; Robertson, S.E.; Hakam, A.; Shahzad, M.M. Metastatic uterine tumor resembling ovarian sex cord tumor: A case report and review of the literature. Gynecol. Oncol. Rep. 2017, 22, 64–68. [Google Scholar] [CrossRef]
- Cömert, G.K.; Kiliç, Ç.; Çavuşoğlu, D.; Türkmen, O.; Karalok, A.; Turan, T.; Başaran, D.; Boran, N. Recurrence in Uterine Tumors with Ovarian Sex-Cord Tumor Resemblance: A Case Report and Systematic Review. Turk. Patoloji Derg. 2018, 34, 225–233. [Google Scholar] [CrossRef] [PubMed]
- De Franciscis, P.; Grauso, F.; Ambrosio, D.; Torella, M.; Messalli, E.M.; Colacurci, N. Conservative Resectoscopic Surgery, Successful Delivery, and 60 Months of Follow-Up in a Patient with Endometrial Stromal Tumor with Sex-Cord-Like Differentiation. Case Rep. Obstet. Gynecol. 2016, 2016, 5736865. [Google Scholar] [CrossRef] [PubMed] [PubMed Central]
- Kurman, R.J.; Carcangiu, M.L.; Herrington, C.S.; Young, R.H. WHO Classification of Tumours of the Female Reproductive Organs; IARC Press: Lyon, France, 2014. [Google Scholar]
- Czernobilsky, B. Uterine Tumors Resembling Ovarian Sex Cord Tumors. Int. J. Gynecol. Pathol. PAP 2008, 27, 229–235. [Google Scholar] [CrossRef]
- Shibahara, M.; Kurita, T.; Harada, H.; Tsuda, Y.; Hisaoka, M.; Yoshino, K. Therapeutic management of uterine tumours resembling ovarian sex cord tumours including a focus on fertility: A systematic review. Eur. J. Obstet. Gynecol. Reprod. Biol. 2024, 295, 1–7. [Google Scholar] [CrossRef] [PubMed]
- Romano, F.; Carlucci, S.; Stabile, G.; Mirenda, G.; Mirandola, M.; Mangino, F.P.; Romano, A.; Ricci, G. The Rare, Unexpected Condition of a Twisted Leiomyoma in Mayer-Rokitansky-Küster-Hauser (MRKH) Syndrome: Etiopathogenesis, Diagnosis and Management. Our Experience and Narrative Review of the Literature. Int. J. Environ. Res. Public Health 2021, 18, 5895. [Google Scholar] [CrossRef]
- Watrowski, R.; Jäger, C.; Möckel, J.; Kurz, P.; Schmidt, D.; Freudenberg, N. Hysteroscopic treatment of uterine tumor resembling ovarian sex cord-like tumor (UTROSCT). Gynecol. Endocrinol. 2015, 31, 856–859. [Google Scholar] [CrossRef] [PubMed]





Disclaimer/Publisher’s Note: The statements, opinions and data contained in all publications are solely those of the individual author(s) and contributor(s) and not of MDPI and/or the editor(s). MDPI and/or the editor(s) disclaim responsibility for any injury to people or property resulting from any ideas, methods, instructions or products referred to in the content. |
© 2025 by the authors. Licensee MDPI, Basel, Switzerland. This article is an open access article distributed under the terms and conditions of the Creative Commons Attribution (CC BY) license (https://creativecommons.org/licenses/by/4.0/).
Share and Cite
Stabile, G.; Vona, L.; Pedicillo, M.C.; Antonucci, E.; Arrigo, D.; D’Indinosante, M.; Bruno, M.; Stampalija, T.; Nappi, L. Uterine Tumors Resembling Ovarian Sex-Cord Tumors (UTROSCTs): Case Report and Narrative Review of the Literature. J. Clin. Med. 2025, 14, 1430. https://doi.org/10.3390/jcm14051430
Stabile G, Vona L, Pedicillo MC, Antonucci E, Arrigo D, D’Indinosante M, Bruno M, Stampalija T, Nappi L. Uterine Tumors Resembling Ovarian Sex-Cord Tumors (UTROSCTs): Case Report and Narrative Review of the Literature. Journal of Clinical Medicine. 2025; 14(5):1430. https://doi.org/10.3390/jcm14051430
Chicago/Turabian StyleStabile, Guglielmo, Laura Vona, Maria Carmela Pedicillo, Elisabetta Antonucci, Davide Arrigo, Marco D’Indinosante, Matteo Bruno, Tamara Stampalija, and Luigi Nappi. 2025. "Uterine Tumors Resembling Ovarian Sex-Cord Tumors (UTROSCTs): Case Report and Narrative Review of the Literature" Journal of Clinical Medicine 14, no. 5: 1430. https://doi.org/10.3390/jcm14051430
APA StyleStabile, G., Vona, L., Pedicillo, M. C., Antonucci, E., Arrigo, D., D’Indinosante, M., Bruno, M., Stampalija, T., & Nappi, L. (2025). Uterine Tumors Resembling Ovarian Sex-Cord Tumors (UTROSCTs): Case Report and Narrative Review of the Literature. Journal of Clinical Medicine, 14(5), 1430. https://doi.org/10.3390/jcm14051430

