Intuitive and Minimally Invasive Surgical Technique for Comminuted Mid-Shaft Clavicle Fractures: Fixation with an Anterior Mini Plate and Superior Locking Compression Plate
Abstract
1. Introduction
2. Materials and Method
2.1. Clinical Series
2.2. Surgical Protocol
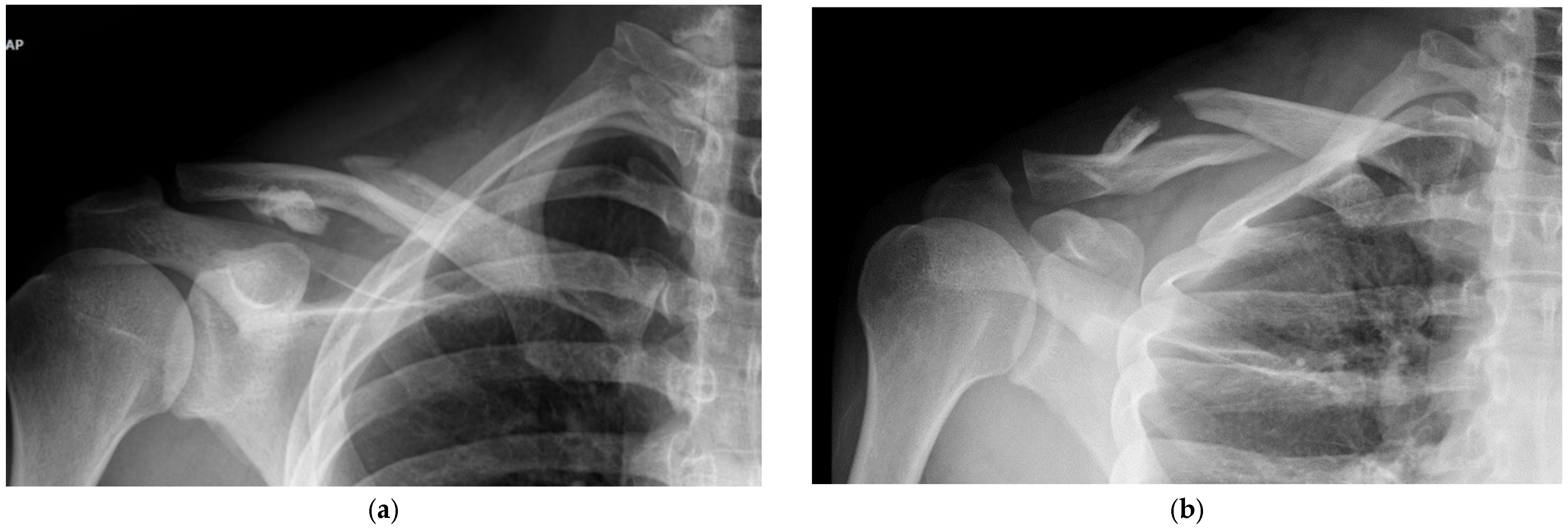
3. Results
4. Discussion
5. Conclusions
Author Contributions
Funding
Institutional Review Board Statement
Data Availability Statement
Conflicts of Interest
References
- Allman, F.L., Jr. Fractures and ligamentous injuries of the clavicle and its articulation. J. Bone Jt. Surg. 1967, 49, 774–784. [Google Scholar] [CrossRef]
- Nordqvist, A.; Petersson, C.J.; Redlund-Johnell, I. Mid-clavicle fractures in adults: End result study after conservative treatment. J. Orthop. Trauma 1998, 12, 572–576. [Google Scholar] [CrossRef] [PubMed]
- McKee, M.D.; Pedersen, E.M.; Jones, C.; Stephen, D.J.; Kreder, H.J.; Schemitsch, E.H.; Wild, L.M.; Potter, J. Deficits following nonoperative treatment of displaced midshaft clavicular fractures. JBJS 2006, 88, 35–40. [Google Scholar]
- Annicchiarico, N.; Latta, A.; Santolini, E. Plate osteosynthesis for mid-shaft clavicle fractures: An update. Injury 2023, 54, S53–S57. [Google Scholar] [CrossRef]
- Beytemür, O.; Barış, A.; Albay, C.; Yüksel, S.; Çağlar, S.; Alagöz, E. Comparison of intramedullary nailing and minimal invasive plate osteosynthesis in the treatment of simple intra-articular fractures of the distal tibia (AO-OTA type 43 C1–C2). Acta Orthop. et Traumatol. Turc. 2017, 51, 12–16. [Google Scholar] [CrossRef] [PubMed]
- Wang, Y.-C.; Fu, Y.-C.; Chou, S.-H.; Liu, P.-C.; Tien, Y.-C.; Lu, C.-C. Titanium Elastic Nail versus plate fixation of displaced midshaft clavicle fractures: A retrospective comparison study. Kaohsiung J. Med Sci. 2015, 31, 473–479. [Google Scholar] [CrossRef] [PubMed]
- Yan, M.Z.; Yuen, W.-s.; Yeung, S.-c.; Wing-Yin, C.W.; Wong, S.C.-y.; Si-Qi, W.W.; Tian, E.; Rashed, S.; Yung, C.S.Y.; Fang, C.X. Operative management of midshaft clavicle fractures demonstrates better long-term outcomes: A systematic review and meta-analysis of randomised controlled trials. PloS ONE 2022, 17, e0267861. [Google Scholar] [CrossRef]
- Robinson, C.M. Fractures of the clavicle in the adult: Epidemiology and classification. J. Bone Jt. Surgery. Br. Vol. 1998, 80, 476–484. [Google Scholar] [CrossRef]
- Van der Meijden, O.A.; Gaskill, T.R.; Millett, P.J. Treatment of clavicle fractures: Current concepts review. J. Shoulder Elb. Surg. 2012, 21, 423–429. [Google Scholar] [CrossRef] [PubMed]
- Hussey, M.M.; Chen, Y.; Fajardo, R.A.; Dutta, A.K. Analysis of neurovascular safety between superior and anterior plating techniques of clavicle fractures. J. Orthop. Trauma 2013, 27, 627–632. [Google Scholar] [CrossRef]
- Duncan, S.F.; Sperling, J.W.; Steinmann, S. Infection after clavicle fractures. Clin. Orthop. Relat. Res. 2005, 439, 74–78. [Google Scholar] [CrossRef] [PubMed]
- Park, Y.G.; Kang, H.; Kim, S.; Bae, J.H.; Choi, S. Mini-open Treatment Using Plate of Clavicle Mid-shaft Fractures. Clin. Shoulder Elb. 2017, 20, 37–41. [Google Scholar] [CrossRef]
- Yoon, Y.-C.; Oh, C.-W.; Lee, D.-W.; Sim, J.-A.; Oh, J.-K. Miniplate osteosynthesis in fracture surgeries: Case series with review of concepts. Injury 2020, 51, 878–886. [Google Scholar] [CrossRef] [PubMed]
- Yoo, S.J.; Ok, S.; Lee, J.; Choi, S. Can multiple miniplates improve the treatment of comminuted patellar fracture? BMC Musculoskelet. Disord. 2023, 24, 936. [Google Scholar] [CrossRef] [PubMed]
- Ziegler, C.G.; Aman, Z.S.; Storaci, H.W.; Finch, H.; Dornan, G.J.; Kennedy, M.I.; Provencher, M.T.; Hackett, T.R. Low-profile dual small plate fixation is biomechanically similar to larger superior or anteroinferior single plate fixation of midshaft clavicle fractures. Am. J. Sports Med. 2019, 47, 2678–2685. [Google Scholar] [CrossRef] [PubMed]
- Hulsmans, M.H.; Van Heijl, M.; Houwert, R.M.; Timmers, T.K.; Van Olden, G.; Verleisdonk, E.J.M. Anteroinferior versus superior plating of clavicular fractures. J. Shoulder Elb. Surg. 2016, 25, 448–454. [Google Scholar] [CrossRef] [PubMed]
- Partal, G.; Meyers, K.N.; Sama, N.; Pagenkopf, E.; Lewis, P.B.; Goldman, A.; Wright, T.M.; Helfet, D.L. Superior versus anteroinferior plating of the clavicle revisited: A mechanical study. J. Orthop. Trauma 2010, 24, 420–425. [Google Scholar] [CrossRef]
- Mirzatolooei, F. Comparison between operative and nonoperative treatment methods in the management of comminuted fractures of the clavicle. Acta Orthop. et Traumatol. Turc. 2011, 45, 34–40. [Google Scholar] [CrossRef]
- La Banca, V.; Lima, G.H.V.; Vigano, A.V.P.; Gonzalez, F.F.; De Lazari Schaffhausser, H.; Almeida, L.H.O.; Nascimento, L.G.P.; Murachovsky, J.; Ikemoto, R.Y. Complications and clinical outcomes with minimally invasive plate osteosynthesis (MIPO) technique for midshaft clavicle fractures: A systematic review and meta-analysis. JSES Int. 2024, 8, 257–267. [Google Scholar] [CrossRef] [PubMed]









| Case | Sex | Age | Injury | AO Classification (15.2) | Plate | Time to Union (Weeks) | Complications | Shortening (mm) | VAS | CSS | UCLASS |
|---|---|---|---|---|---|---|---|---|---|---|---|
| 1 | M | 30 | sports | B | Dual | 12 | None | 0 | 0 | 52 | 35 |
| 2 | M | 36 | TA | C | Dual | 21 | None | 0 | 0 | 73 | 33 |
| 3 | M | 21 | SD | C | Dual | 9 | None | 0 | 0 | 53 | 35 |
| 4 | M | 22 | Sports | B | Dual | 7 | None | 0 | 0 | 69 | 35 |
| 5 | M | 43 | Sports | B | Dual | 13 | None | 0 | 0 | 71 | 33 |
| 6 | F | 57 | FD | B | Dual | 11 | None | 0 | 0 | 68 | 33 |
| 7 | M | 35 | FD | C | Dual | 11 | None | 0 | 0 | 66 | 33 |
| 8 | M | 55 | SD | B | Dual | 12 | None | 0 | 0 | 64 | 31 |
| 9 | M | 58 | TA | C | Dual | 11 | None | 2 | 0 | 41 | 22 |
| 10 | M | 25 | Sports | C | Dual | 15 | None | 3 | 4 | 73 | 35 |
| 11 | M | 51 | FD | C | Dual | 11 | None | 7 | 0 | 72 | 35 |
| 12 | F | 39 | SD | B | Dual | 14 | None | 0 | 3 | 63 | 35 |
| 13 | M | 28 | Sports | B | Dual | 10 | None | 0 | 0 | 62 | 31 |
| 14 | M | 35 | Sports | B | Dual | 14 | None | 3 | 0 | 58 | 35 |
| 15 | M | 40 | Sports | B | Dual | 10 | None | 3 | 1 | 71 | 35 |
| 16 | M | 35 | SD | C | Dual | 10 | None | 0 | 0 | 72 | 35 |
| 17 | M | 76 | FD | C | Dual | 10 | None | 0 | 0 | 71 | 35 |
| 18 | M | 34 | TA | C | Dual | 15 | None | 0 | 0 | 68 | 33 |
| 19 | M | 64 | SD | C | Dual | 9 | None | 0 | 0 | 69 | 35 |
| mean | 41.2 | 11 | 0.95 | 0.6 | 65 | 33.4 |
Disclaimer/Publisher’s Note: The statements, opinions and data contained in all publications are solely those of the individual author(s) and contributor(s) and not of MDPI and/or the editor(s). MDPI and/or the editor(s) disclaim responsibility for any injury to people or property resulting from any ideas, methods, instructions or products referred to in the content. |
© 2025 by the authors. Licensee MDPI, Basel, Switzerland. This article is an open access article distributed under the terms and conditions of the Creative Commons Attribution (CC BY) license (https://creativecommons.org/licenses/by/4.0/).
Share and Cite
Ok, S.; Yoon, S.-M.; Choi, S. Intuitive and Minimally Invasive Surgical Technique for Comminuted Mid-Shaft Clavicle Fractures: Fixation with an Anterior Mini Plate and Superior Locking Compression Plate. J. Clin. Med. 2025, 14, 999. https://doi.org/10.3390/jcm14030999
Ok S, Yoon S-M, Choi S. Intuitive and Minimally Invasive Surgical Technique for Comminuted Mid-Shaft Clavicle Fractures: Fixation with an Anterior Mini Plate and Superior Locking Compression Plate. Journal of Clinical Medicine. 2025; 14(3):999. https://doi.org/10.3390/jcm14030999
Chicago/Turabian StyleOk, Seungwoo, Seong-Meen Yoon, and Sungwook Choi. 2025. "Intuitive and Minimally Invasive Surgical Technique for Comminuted Mid-Shaft Clavicle Fractures: Fixation with an Anterior Mini Plate and Superior Locking Compression Plate" Journal of Clinical Medicine 14, no. 3: 999. https://doi.org/10.3390/jcm14030999
APA StyleOk, S., Yoon, S.-M., & Choi, S. (2025). Intuitive and Minimally Invasive Surgical Technique for Comminuted Mid-Shaft Clavicle Fractures: Fixation with an Anterior Mini Plate and Superior Locking Compression Plate. Journal of Clinical Medicine, 14(3), 999. https://doi.org/10.3390/jcm14030999

