Pharmacological Treatment of Medication-Related Osteonecrosis of the Jaw (MRONJ) with Pentoxifylline and Tocopherol
Abstract
1. Introduction
2. Materials and Methods
3. Results
4. Discussion
5. Conclusions
Author Contributions
Funding
Institutional Review Board Statement
Informed Consent Statement
Data Availability Statement
Conflicts of Interest
References
- AlDhalaan, N.A.; BaQais, A.; Al-Omar, A. Medication-related Osteonecrosis of the Jaw: A Review. Cureus 2020, 12, e6944. [Google Scholar] [CrossRef] [PubMed]
- Ruggiero, S.L.; Dodson, T.B.; Aghaloo, T.; Carlson, E.R.; Ward, B.B.; Kademani, D. American Association of Oral and Maxillofacial Surgeons’ Position Paper on Medication-Related Osteonecrosis of the Jaws-2022 Update. J. Oral. Maxillofac. Surg. 2022, 80, 920–943. [Google Scholar] [CrossRef] [PubMed]
- Czyżykowski, R.; Krakowska, M.; Potemski, P. Bisphosphonates for the treatment of patients with cancer. Oncol. Clin. Pract. 2017, 13, 268–274. [Google Scholar]
- Boyce, B.F.; Yao, Z.; Xing, L. Osteoclasts have multiple roles in bone in addition to bone resorption. Crit. Rev. Eukaryot. Gene Expr. 2009, 19, 171–180. [Google Scholar] [CrossRef]
- Drake, M.T.; Clarke, B.L.; Khosla, S. Bisphosphonates: Mechanism of action and role in clinical practice. Mayo Clin. Proc. 2008, 83, 1032–1045. [Google Scholar] [CrossRef]
- Olson, K.; Van Poznak, C. Significance and impact of bisphosphonate-induced acute phase responses. J. Oncol. Pharm. Pract. 2007, 13, 223–229. [Google Scholar] [CrossRef]
- Hirschberg, R. Renal complications from bisphosphonate treatment. Curr. Opin. Support Palliat. Care 2012, 6, 342–347. [Google Scholar] [CrossRef]
- Pirbhai, A.; Rajak, S.N.; Goold, L.A.; Cunneen, T.S.; Wilcsek, G.; Martin, P.; Leibovitch, I.; Selva, D. Bisphosphonate-Induced Orbital Inflammation: A Case Series and Review. Orbit 2015, 34, 331–335. [Google Scholar] [CrossRef]
- Pippi, R.; Giuliani, U.; Tenore, G.; Pietrantoni, A.; Romeo, U. What is the Risk of Developing Medication-Related Osteonecrosis in Patients With Extraction Sockets Left to Heal by Secondary Intention? A Retrospective Case Series Study. J. Oral. Maxillofac. Surg. 2021, 79, 2071–2077. [Google Scholar] [CrossRef]
- Hamid, A.; Thomas, S.; Bell, C.; Gormley, M. Case series of medication-related osteonecrosis of the jaw (MRONJ) patients prescribed a drug holiday. Br. J. Oral. Maxillofac. Surg. 2023, 61, 227–232. [Google Scholar] [CrossRef]
- AlRowis, R.; Aldawood, A.; AlOtaibi, M.; Alnasser, E.; AlSaif, I.; Aljaber, A.; Natto, Z. Medication-Related Osteonecrosis of the Jaw (MRONJ): A Review of Pathophysiology, Risk Factors, Preventive Measures and Treatment Strategies. Saudi. Dent. J. 2022, 34, 202–210. [Google Scholar] [CrossRef] [PubMed]
- Annamaraju, P.; Patel, P.; Baradhi, K.M. Pentoxifylline. In StatPearls [Internet]; StatPearls Publishing: Treasure Island, FL, USA, 2024. [Google Scholar]
- Seo, M.H.; Eo, M.Y.; Myoung, H.; Kim, S.M.; Lee, J.H. The effects of pentoxifylline and Tocopherol in jaw osteomyelitis. J. Korean Assoc. Oral. Maxillofac. Surg. 2020, 46, 19–27. [Google Scholar] [CrossRef] [PubMed]
- Mustacich, D.J.; Bruno, R.S.; Traber, M.G. Vitamin E. Vitam. Horm. 2007, 76, 1–21. [Google Scholar] [PubMed]
- Mathur, P.; Ding, Z.; Saldeen, T.; Mehta, J.L. Tocopherols in the Prevention and Treatment of Atherosclerosis and Related Cardiovascular Disease. Clin. Cardiol. 2015, 38, 570–576. [Google Scholar] [CrossRef] [PubMed]
- Smolarek, A.K.; Suh, N. Chemopreventive activity of vitamin E in breast cancer: A focus on γ- and δ-tocopherol. Nutrients 2011, 3, 962–986. [Google Scholar] [CrossRef]
- Cavalcante, R.C.; Tomasetti, G. Pentoxifylline and tocopherol protocol to treat medication-related osteonecrosis of the jaw: A systematic literature review. J. Craniomaxillofac. Surg. 2020, 48, 1080–1086. [Google Scholar] [CrossRef]
- Kemp, A.P.T.; Stramandinoli-Zanicotti, R.T.; Candido Ferreira, V.H.; Vendruscolo, J.; Moacir Sassi, L.; Lucena Schussel, J. Pentoxifylline And Tocoferol For Medication-Related Osteonecrosis Of The Jaw: An Experience Of 11 Cases. Oral. Surg. Oral. Med. Oral. Pathol. Oral. Radiol. 2020, 129, E109. [Google Scholar] [CrossRef]
- De Morais, R.P.L.; de Aguiar, A.W.P.B.; da Hora Sales, P.H.; Carvalho, A.A.T.; Vescovi, P.; Meleti, M.; Leão, J.C. Is the use of Pentoxifylline and Tocopherol effective in the treatment of Osteoradionecrosis of the jaws or for the treatment of medicationosteonecrosis of the jaw? An overview. J. Stomatol. Oral. Maxillofac. Surg. 2024, 125, 101959. [Google Scholar] [CrossRef]
- Owosho, A.A.; Estilo, C.L.; Huryn, J.M.; Yom, S.K. Pentoxifylline and Tocopherol in the management of cancer patients with medication-related osteonecrosis of the jaw: An observational retrospective study of initial case series. Oral. Surg. Oral. Med. Oral. Pathol. Oral. Radiol. 2016, 122, 455–459. [Google Scholar] [CrossRef]
- Magremanne, M.; Reychler, H. Pentoxifylline and Tocopherol in the treatment of yearly zoledronic acid-related osteonecrosis of the jaw in a corticosteroid-induced osteoporosis. J. Oral. Maxillofac. Surg. 2014, 72, 334–337. [Google Scholar] [CrossRef]
- Epstein, M.S.; Wicknick, F.W.; Epstein, J.B.; Berenson, J.R.; Gorsky, M. Management of bisphosphonate-associated osteonecrosis: Pentoxifylline and Tocopherol in addition to antimicrobial therapy. An initial case series. Oral. Surg. Oral. Med. Oral. Pathol. Oral. Radiol. Endod. 2010, 110, 593–596. [Google Scholar] [CrossRef] [PubMed]
- Dissard, A.P.; Dang, N.; Barthelemy, I.; Delbet, C.; Puechmaille, M.; Depeyre, A.; Pereira, B.; Martin, F.; Guillemin, F.; Biau, J.; et al. Efficacy of pentoxifylline-tocopherol-clodronate in mandibular osteoradionecrosis. Laryngoscope 2020, 130, E559–E566. [Google Scholar] [CrossRef] [PubMed]
- Delanian, S.; Balla-Mekias, S.; Lefaix, J.L. Striking regression of chronic radiotherapy damage in a clinical trial of combined pentoxifylline and tocopherol. J. Clin. Oncol. 1999, 17, 3283–3290. [Google Scholar] [CrossRef] [PubMed]
- Dos Anjos, R.S.; de Pádua Walfrido, G.N.; de Hollanda Valente, R.O.; Gueiros, L.A.; Carvalho, A.A.T.; Patel, P.; Porter, S.; Leão, J.C.; Silva, I.H.M. Pentoxifylline, Tocopherol, and sequestrectomy are effective for the management of advanced osteoradionecrosis of the jaws-a case series. Support Care Cancer 2021, 29, 3311–3317. [Google Scholar] [CrossRef]
- Slowik, L.; Toton, E.; Nowak, A.; Wysocka-Slowik, A.; Osmola, K.; Slebioda, Z. Pharmacological Treatment of Medication-Related Osteonecrosis of the Jaw (MRONJ) with Pentoxifylline and Tocopherol—Report of Two Cases. J. Int. Dent. Med. Res. 2024, 17, 370–376. [Google Scholar]
- Magalhães, J.M.I.; da Motta Silveira, F.M.; Regueira, L.S.; de Lima, E.; Silva, D.F.; de Andrade Veras, S.R.; de Mello, M.J.G. Pentoxifylline and Tocopherol as prophylaxis for osteonecrosis of the jaw due to bone-modifying agents in patients with cancer submitted to tooth extraction: A case series. Support Care Cancer 2023, 31, 462. [Google Scholar] [CrossRef]
- Colapinto, G.; Goker, F.; Nocini, R.; Albanese, M.; Nocini, P.F.; Sembronio, S.; Argenta, F.; Robiony, M.; Del Fabbro, M. Outcomes of a Pharmacological Protocol with Pentoxifylline and Tocopherol for the Management of Medication-Related Osteonecrosis of the Jaws (MRONJ): A Randomized Study on 202 Osteoporosis Patients. J. Clin. Med. 2023, 12, 4662. [Google Scholar] [CrossRef]
- Xiang, M.; Lu, Y.; Xin, L.; Gao, J.; Shang, C.; Jiang, Z.; Lin, H.; Fang, X.; Qu, Y.; Wang, Y.; et al. Role of Oxidative Stress in Reperfusion following Myocardial Ischemia and Its Treatments. Oxid. Med. Cell Longev. 2021, 2021, 6614009. [Google Scholar] [CrossRef]
- Cuddihy, S.L.; Ali, S.S.; Musiek, E.S.; Lucero, J.; Kopp, S.J.; Morrow, J.D.; Dugan, L.L. Prolonged alpha-tocopherol deficiency decreases oxidative stress and unmasks alpha-tocopherol-dependent regulation of mitochondrial function in the brain. J. Biol. Chem. 2008, 283, 6915–6924. [Google Scholar] [CrossRef]
- Beth-Tasdogan, N.H.; Mayer, B.; Hussein, H.; Zolk, O.; Peter, J.U. Interventions for managing medication-related osteonecrosis of the jaw. Cochrane Database Syst. Rev. 2022, 7, CD012432. [Google Scholar] [CrossRef]
- Nowak, A.; Słowik, Ł.; Szcześniak, M.; Okła, M.; Osmola, K.; Wyganowska, M. Osteonecrosis of the jaw: Surgical treatment results before and during the COVID-19 pandemic in one of the reference hospitals in Poland. Eur. Rev. Med. Pharmacol. Sci. 2024, 28, 772–777. [Google Scholar] [CrossRef] [PubMed]
- Otto, S.; Pautke, C.; Cornelius, C.P.; Hafner, S.; Hesse, R.; Reichardt, L.F.; Mast, G.; Ehrenfeld, M. Pathologic Fractures in Bisphosphonate-Related Osteonecrosis of the Jaw—Review of the Literature and Review of Our Own Cases. Craniomaxillofac. Trauma Reconstr. 2013, 6, 147–154. [Google Scholar] [CrossRef] [PubMed]
- Wagner, K.; Fakler, O.; Gutwald, R.; Schmelzeisen, R.; Sauerbier, S. Pathological Fractures in Patients Caused by Bisphosphonate-Related Osteonecrosis of the Jaws: Report of 3 Cases. J. Oral. Maxillofac. Surg. 2009, 67, 1311–1316. [Google Scholar] [CrossRef]
- Freiberger, J.J.; Padilla-Burgos, R.; McGraw, T.; Suliman, H.B.; Kraft, K.H.; Stolp, B.W.; Moon, R.E.; Piantadosi, C.A. What is the role of hyperbaric oxygen in the management of bisphosphonate-related osteonecrosis of the jaw: A randomized controlled trial of hyperbaric oxygen as an adjunct to surgery and antibiotics. J. Oral. Maxillofac. Surg. 2012, 70, 1573–1583. [Google Scholar] [CrossRef]
- Freiberger, J.J.; Padilla-Burgos, R.; Chhoeu, A.H.; Kraft, K.H.; Boneta, O.; Moon, R.E.; Piantadosi, C.A. Hyperbaric oxygen treatment and bisphosphonate-induced osteonecrosis of the jaw: A case series. J. Oral. Maxillofac. Surg. 2007, 65, 1321–1327. [Google Scholar] [CrossRef] [PubMed]
- Favia, G.; Tempesta, A.; Limongelli, L.; Crincoli, V.; Maiorano, E. Medication-related osteonecrosis of the jaw: Surgical or non-surgical treatment? Oral. Dis. 2018, 24, 238–242. [Google Scholar] [CrossRef]
- Kim, K.M.; Park, W.; Oh, S.Y.; Kim, H.J.; Nam, W.; Lim, S.K.; Rhee, Y.; Cha, I.H. Distinctive role of 6-month teriparatide treatment on intractable bisphosphonate-related osteonecrosis of the jaw. Osteoporos. Int. 2014, 25, 1625–1632. [Google Scholar] [CrossRef]
- Sim, I.W.; Borromeo, G.L.; Tsao, C.; Hardiman, R.; Hofman, M.S.; Papatziamos Hjelle, C.; Siddique, M.; Cook, G.J.R.; Seymour, J.F.; Ebeling, P.R. Teriparatide Promotes Bone Healing in Medication-Related Osteonecrosis of the Jaw: A Placebo-Controlled, Randomized Trial. J. Clin. Oncol. 2020, 38, 2971–2980. [Google Scholar] [CrossRef]
- Kwon, Y.D.; Lee, D.W.; Choi, B.J.; Lee, J.W.; Kim, D.Y. Short-term teriparatide therapy as an adjunctive modality for bisphosphonate-related osteonecrosis of the jaws. Osteoporos Int. 2012, 23, 2721–2725. [Google Scholar] [CrossRef]
- Jung, J.; Yoo, H.Y.; Kim, G.T.; Lee, J.W.; Lee, Y.A.; Kim, D.Y.; Kwon, Y.D. Short-term teriparatide and recombinant human bone morphogenetic protein-2 for regenerative approach to medication-related osteonecrosis of the jaw: A preliminary study. J. Bone Miner Res. 2017, 32, 2445–2452. [Google Scholar] [CrossRef]
- Nica, D.F.; Riviș, M.; Roi, C.I.; Todea, C.D.; Duma, V.F.; Sinescu, C. Complementarity of photo-biomodulation, surgical treatment, and antibiotherapy for medication-related osteonecrosis of the jaws (MRONJ). Medicina 2021, 57, 145. [Google Scholar] [CrossRef] [PubMed]
- Varoni, E.M.; Lombardi, N.; Villa, G.; Pispero, A.; Sardella, A.; Lodi, G. Conservative Management of Medication-Related Osteonecrosis of the Jaws (MRONJ): A Retrospective Cohort Study. Antibiotics 2021, 10, 195. [Google Scholar] [CrossRef] [PubMed]
- Fliefel, R.; Tröltzsch, M.; Kühnisch, J.; Ehrenfeld, M.; Otto, S. Treatment strategies and outcomes of bisphosphonate-related osteonecrosis of the jaw (BRONJ) with characterization of patients: A systematic review. Int. J. Oral. Maxillofac. Surg. 2015, 44, 568–585. [Google Scholar] [CrossRef] [PubMed]

| MRONJ Stage | Description |
|---|---|
| At risk | No apparent necrotic bone in patients who were treated with oral or intravenous bone-modifying agents |
| 0 | No clinical evidence of necrotic bone but with nonspecific symptoms or clinical and radiographic findings |
| 1 | Exposed and necrotic bone or fistulas that probe to bone in asymptomatic patients with no evidence of infection |
| 2 | Exposed and necrotic bone or fistulas that probe to bone associated with infection as evidenced by pain and erythema in the region of exposed bone with or without purulent drainage |
| 3 | Exposed and necrotic bone or fistula that probes to the bone in patients with pain, infection, and one or more of the following: exposed and necrotic bone extending beyond the region of alveolar bone (i.e., inferior border and ramus in mandible, maxillary sinus, and zygoma in maxilla) resulting in pathologic fracture, extraoral fistula, oral antral or oral nasal communication, or osteolysis extending to the inferior border of the mandible or sinus floor |
| Patient Characteristics | Patients (Total: 43 Cases) | MRONJ Location (Total: 63 Locations) | ||
|---|---|---|---|---|
| Sex | Female | 21 | 27 | |
| Male | 22 | 36 | ||
| Age at diagnosis | 50–59 | 9 | 12 | |
| 60–69 | 19 | 28 | ||
| 70–79 | 10 | 15 | ||
| 80–89 | 5 | 8 | ||
| Antiresorptive therapy | po | 10 | 13 | |
| iv | 33 | 50 | ||
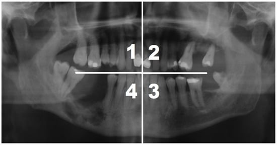
| MRONJ location | Maxilla quadrant | 1st | ![]() | 7 |
| 2nd | 9 | |||
| Maxilla total | 16 | |||
| Mandible quadrant | 3rd | 19 | ||
| 4th | 28 | |||
| Mandible total | 47 | |||
| Number of occupied quadrants | One | po | 7 | |
| iv | 19 | |||
| Two | po | 6 | ||
| iv | 22 | |||
| Three | po | 0 | ||
| iv | 9 | |||
| Four | po | 0 | ||
| iv | 0 | |||
| MRONJ Location (Total 63 Locations) | Examination I (Preliminary) | Examination II after 5–6 Months of PENTO Therapy | Examination III after 11–12 Months of PENTO Therapy | ||
|---|---|---|---|---|---|
| MRONJ stage: | Location | ||||
| Stage 0 | Maxilla | 0 | 3 | 11 | |
| Mandible | 0 | 9 | 18 | ||
| Total | 0 | 12 | 29 | ||
| Stage 1 | Maxilla | 5 | 7 | 1 | |
| Mandible | 3 | 9 | 5 | ||
| Total | 8 | 16 | 6 | ||
| Stage 2 | Maxilla | 9 | 4 | 4 | |
| Mandible | 26 | 18 | 12 | ||
| Total | 35 | 22 | 16 | ||
| Stage 3 | Maxilla | 2 | 2 | 1 | |
| Mandible | 18 | 11 | 11 | ||
| Total | 20 | 13 | 12 | ||
| MRONJ stage: | Antiresorptive therapy | ||||
| Stage 0 | po | 0 | 2 | 5 | |
| iv | 0 | 10 | 24 | ||
| Total | 0 | 12 | 29 | ||
| Stage 1 | po | 0 | 3 | 2 | |
| iv | 8 | 13 | 4 | ||
| Total | 8 | 16 | 6 | ||
| Stage 2 | po | 8 | 6 | 4 | |
| iv | 27 | 16 | 12 | ||
| Total | 35 | 22 | 16 | ||
| Stage 3 | po | 5 | 2 | 2 | |
| iv | 15 | 11 | 10 | ||
| Total | 20 | 13 | 12 | ||
| Examination III After 11–12 Months of PENTO Therapy | p | |||||
|---|---|---|---|---|---|---|
| Stage 0 | Stage I | Stage II | Stage III | |||
| Examination I (Preliminary) | Stage I | 7 (11%) | 1 (2%) | 0 (0%) | 0 (0%) | 0.0004 |
| Stage II | 18 (29%) | 3 (5%) | 12 (19%) | 2 (3%) | ||
| Stage III | 4 (6%) | 2 (3%) | 4 (6%) | 10 (16%) | ||
| iv (N = 50) | Examination III After 11–12 Months of PENTO Therapy | p | ||||
|---|---|---|---|---|---|---|
| Stage 0 | Stage I | Stage II | Stage III | |||
| Examination I (Preliminary) | Stage I | 7 (14%) | 1 (2%) | 0 (0%) | 0 (0%) | 0.0002 |
| Stage II | 14 (28%) | 2 (4%) | 9 (18%) | 2 (4%) | ||
| Stage III | 3 (6%) | 1 (2%) | 3 (6%) | 8 (16%) | ||
| po (N = 13) | Stage 0 | Stage I | Stage II | Stage III | p | |
| Examination I (Preliminary) | Stage I | 0 (0%) | 0 (0%) | 0 (0%) | 0 (0%) | 0.2271 |
| Stage II | 4 (31%) | 1 (7.5%) | 3 (23%) | 0 (0%) | ||
| Stage III | 1 (7.5%) | 1 (7.5%) | 1 (7.5%) | 2 (16%) | ||
| Total | ||
|---|---|---|
| N | % | |
| Complete remission | 29 | 46 |
| No change | 23 | 37 |
| Improvement | 9 | 14 |
| Deterioration | 2 | 3 |
| Route of Bisphosphonate Administration | p | Sex | p | Location | p | ||||||||||
|---|---|---|---|---|---|---|---|---|---|---|---|---|---|---|---|
| iv (N = 50) | po (N = 13) | F (N = 27) | M (N = 36) | Maxilla (N = 16) | Mandible (N = 47) | ||||||||||
| N | % | N | % | 0.6532 | N | % | N | % | 0.9032 | N | % | N | % | 0.1728 | |
| Complete remission | 24 | 48 | 5 | 38.5 | 11 | 40.5 | 18 | 50 | 11 | 68.5 | 18 | 38 | |||
| No change | 18 | 36 | 5 | 38.5 | 11 | 40.5 | 12 | 33 | 3 | 18.5 | 20 | 43 | |||
| Improvement | 6 | 12 | 3 | 23 | 4 | 15 | 5 | 14 | 2 | 13 | 7 | 15 | |||
| Deterioration | 2 | 4 | 0 | 0 | 1 | 4 | 1 | 3 | 0 | 0 | 2 | 4 | |||
| Quadrant 1 (N = 7) | Quadrant 2 (N = 9) | Quadrant 3 (N = 19) | Quadrant 4 (N = 28) | p | |||||
|---|---|---|---|---|---|---|---|---|---|
| N | % | N | % | N | % | N | % | ||
| Complete remission | 6 | 86 | 5 | 56 | 9 | 47.5 | 9 | 32 | 0.2216 |
| No change | 1 | 14 | 2 | 22 | 9 | 47.5 | 11 | 39.5 | |
| Improvement | 0 | 0 | 2 | 22 | 1 | 5 | 6 | 21.5 | |
| Deterioration | 0 | 0 | 0 | 0 | 0 | 0 | 2 | 7 | |
Disclaimer/Publisher’s Note: The statements, opinions and data contained in all publications are solely those of the individual author(s) and contributor(s) and not of MDPI and/or the editor(s). MDPI and/or the editor(s) disclaim responsibility for any injury to people or property resulting from any ideas, methods, instructions or products referred to in the content. |
© 2025 by the authors. Licensee MDPI, Basel, Switzerland. This article is an open access article distributed under the terms and conditions of the Creative Commons Attribution (CC BY) license (https://creativecommons.org/licenses/by/4.0/).
Share and Cite
Słowik, Ł.; Totoń, E.; Nowak, A.; Wysocka-Słowik, A.; Okła, M.; Ślebioda, Z. Pharmacological Treatment of Medication-Related Osteonecrosis of the Jaw (MRONJ) with Pentoxifylline and Tocopherol. J. Clin. Med. 2025, 14, 974. https://doi.org/10.3390/jcm14030974
Słowik Ł, Totoń E, Nowak A, Wysocka-Słowik A, Okła M, Ślebioda Z. Pharmacological Treatment of Medication-Related Osteonecrosis of the Jaw (MRONJ) with Pentoxifylline and Tocopherol. Journal of Clinical Medicine. 2025; 14(3):974. https://doi.org/10.3390/jcm14030974
Chicago/Turabian StyleSłowik, Łukasz, Ewa Totoń, Aleksy Nowak, Aleksandra Wysocka-Słowik, Maciej Okła, and Zuzanna Ślebioda. 2025. "Pharmacological Treatment of Medication-Related Osteonecrosis of the Jaw (MRONJ) with Pentoxifylline and Tocopherol" Journal of Clinical Medicine 14, no. 3: 974. https://doi.org/10.3390/jcm14030974
APA StyleSłowik, Ł., Totoń, E., Nowak, A., Wysocka-Słowik, A., Okła, M., & Ślebioda, Z. (2025). Pharmacological Treatment of Medication-Related Osteonecrosis of the Jaw (MRONJ) with Pentoxifylline and Tocopherol. Journal of Clinical Medicine, 14(3), 974. https://doi.org/10.3390/jcm14030974


