Hybrid CT Angio Suite for Acute Ischemic Stroke: A New Time-Saving Workflow Model?
Abstract
1. Introduction
2. Materials and Methods
2.1. Study Design
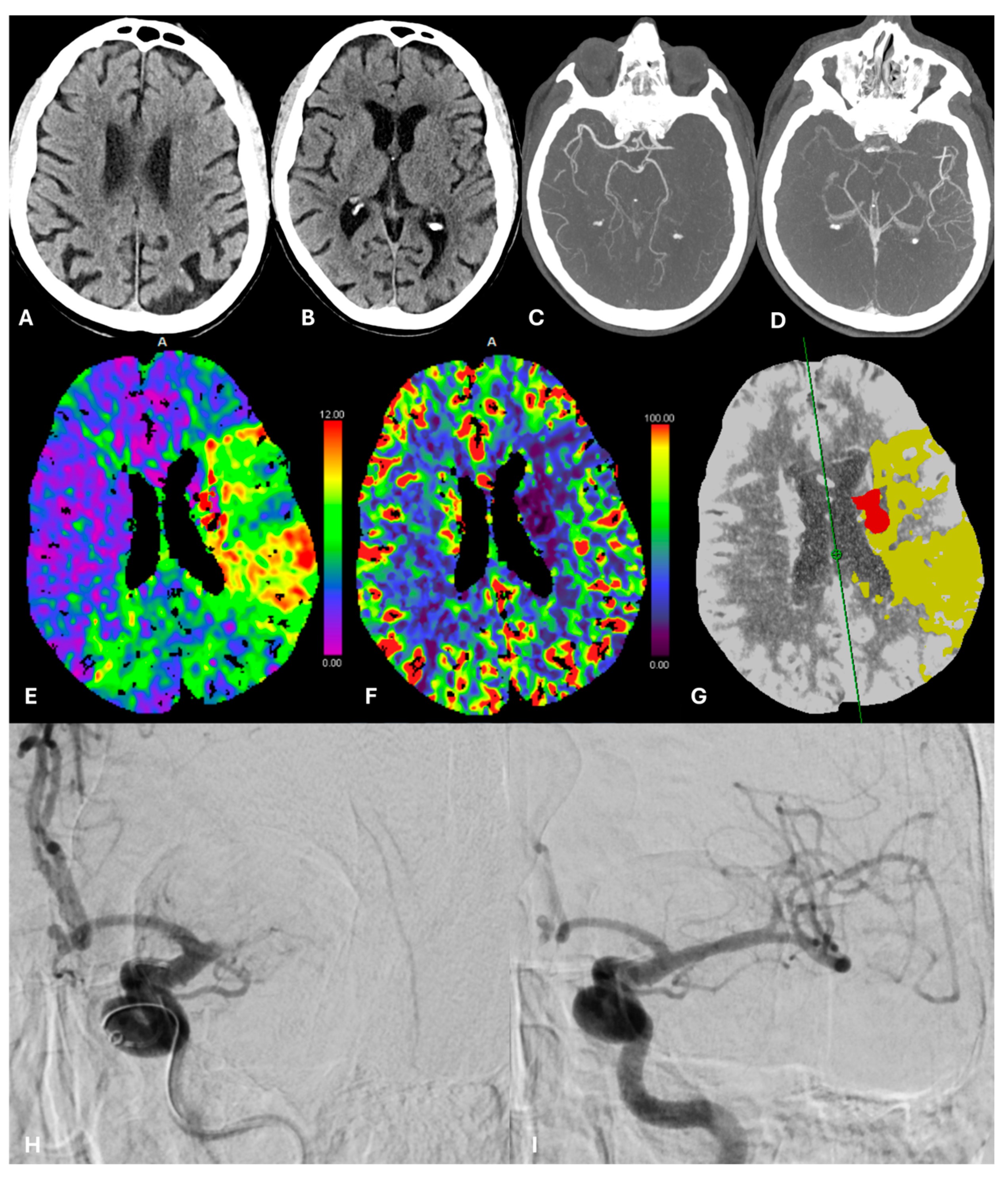
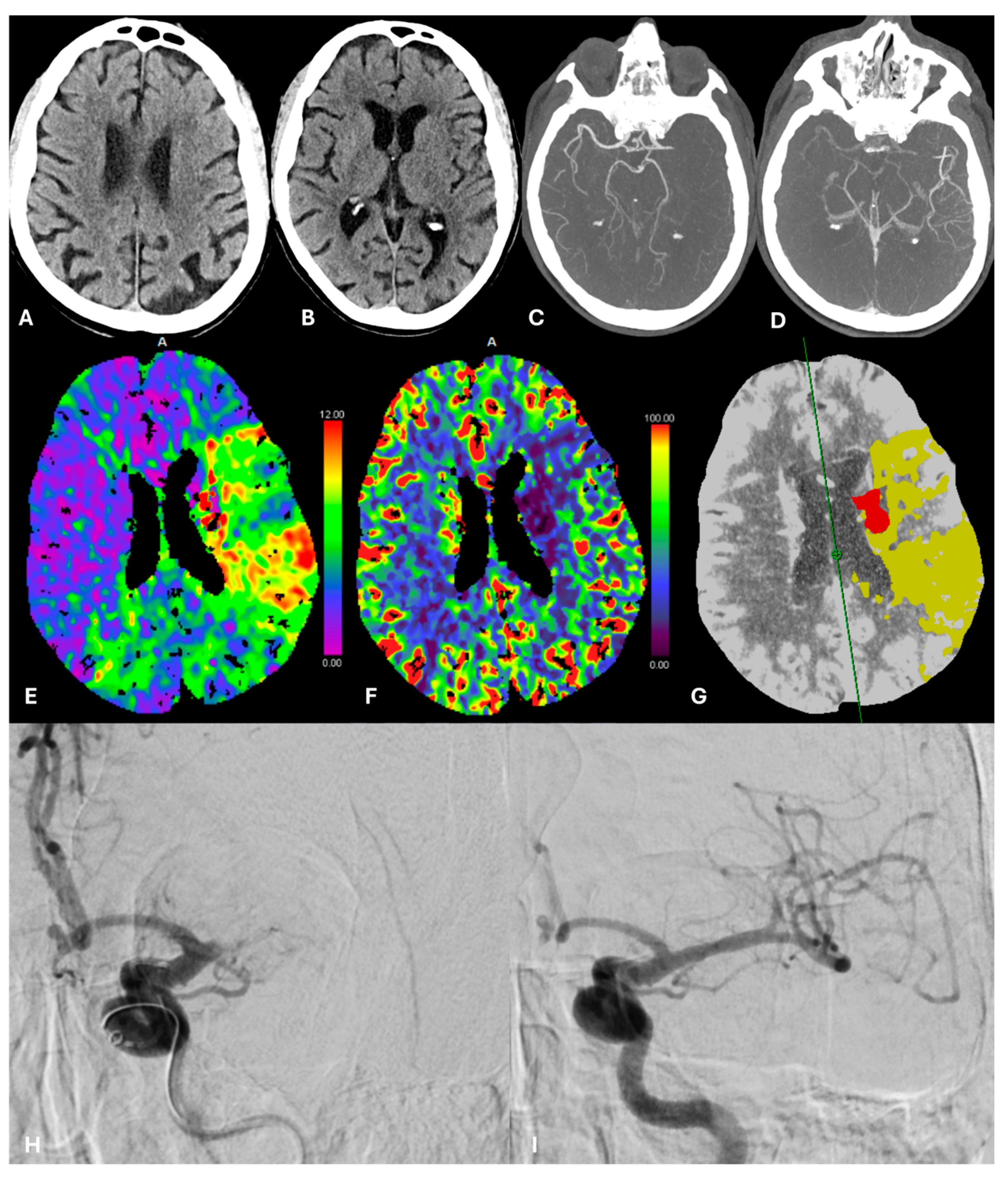
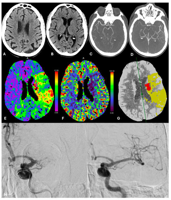
2.2. The New Workflow Model
3. Results
3.1. Baseline Characteristic
3.2. Outcomes
4. Discussion
5. Conclusions
Author Contributions
Funding
Institutional Review Board Statement
Informed Consent Statement
Data Availability Statement
Conflicts of Interest
References
- Feigin, V.L.; A Stark, B.; Johnson, C.O.; A Roth, G.; Bisignano, C.; Abady, G.G.; Abbasifard, M.; Abbasi-Kangevari, M.; Abd-Allah, F.; Abedi, V.; et al. Global, regional, and national burden of stroke and its risk factors, 1990–2019: A systematic analysis for the Global Burden of Disease Study 2019. Lancet Neurol. 2021, 20, 795–820. [Google Scholar] [CrossRef]
- Powers, W.J.; Rabinstein, A.A.; Ackerson, T.; Adeoye, O.M.; Bambakidis, N.C.; Becker, K.; Biller, J.; Brown, M.; Demaerschalk, B.M.; Hoh, B.; et al. Guidelines for the early management of patients with acute ischemic stroke: 2019 update to the 2018 guidelines for the early management of acute ischemic stroke: A guideline for healthcare professionals from the American Heart Association/American Stroke Association. Stroke 2019, 50, e344–e418. [Google Scholar] [CrossRef] [PubMed]
- Turc, G.; Bhogal, P.; Fischer, U.; Khatri, P.; Lobotesis, K.; Mazighi, M.; Schellinger, P.D.; Toni, D.; de Vries, J.; White, P.; et al. European Stroke Organisation (ESO)–European Society for Minimally Invasive Neurological Therapy (ESMINT) guidelines on mechanical thrombectomy in acute ischemic stroke. J. Neurointerv. Surg. 2019, 11, 535–538. [Google Scholar] [CrossRef] [PubMed]
- Jovin, T.G.; Chamorro, A.; Cobo, E.; de Miquel, M.A.; Molina, C.A.; Rovira, A.; San Román, L.; Serena, J.; Abilleira, S.; Ribó, M.; et al. Thrombectomy within 8 hours after symptom onset in ischemic stroke. N. Engl. J. Med. 2015, 372, 2296–2306. [Google Scholar] [CrossRef]
- Berkhemer, O.A.; Fransen, P.S.; Beumer, D.; Van Den Berg, L.A.; Lingsma, H.F.; Yoo, A.J.; Schonewille, W.J.; Vos, J.A.; Nederkoorn, P.J.; Wermer, M.J.; et al. A randomized trial of intraarterial treatment for acute ischemic stroke. N. Engl. J. Med. 2015, 372, 11–20, Correction in N. Engl. J. Med. 2015, 372, 394. [Google Scholar] [CrossRef] [PubMed]
- Goyal, M.; Demchuk, A.M.; Menon, B.K.; Eesa, M.; Rempel, J.L.; Thornton, J.; Roy, D.; Jovin, T.G.; Willinsky, R.A.; Sapkota, B.L.; et al. Randomized assessment of rapid endovascular treatment of ischemic stroke. N. Engl. J. Med. 2015, 372, 1019–1030. [Google Scholar] [CrossRef] [PubMed]
- Saver, J.L.; Goyal, M.; Bonafe, A.; Diener, H.C.; Levy, E.I.; Pereira, V.M.; Albers, G.W.; Cognard, C.; Cohen, D.J.; Hacke, W.; et al. Stent-retriever thrombectomy after intravenous t-PA vs. t-PA alone in stroke. N. Engl. J. Med. 2015, 372, 2285–2295. [Google Scholar] [CrossRef] [PubMed]
- Campbell, B.C.; Mitchell, P.J.; Kleinig, T.J.; Dewey, H.M.; Churilov, L.; Yassi, N.; Yan, B.; Dowling, R.J.; Parsons, M.W.; Oxley, T.J.; et al. Endovascular therapy for ischemic stroke with perfusion-imaging selection. N. Engl. J. Med. 2015, 372, 1009–1018. [Google Scholar] [CrossRef] [PubMed]
- Khatri, P.; Yeatts, S.D.; Mazighi, M.; Broderick, J.P.; Liebeskind, D.S.; Demchuk, A.M.; Amarenco, P.; Carrozzella, J.; Spilker, J.; Foster, L.D.; et al. Time to angiographic reperfusion and clinical outcome after acute ischaemic stroke: An analysis of data from the Interventional Management of Stroke (IMS III) phase 3 trial. Lancet Neurol. 2014, 13, 567–574. [Google Scholar] [CrossRef] [PubMed]
- Jahan, R.; Saver, J.L.; Schwamm, L.H.; Fonarow, G.C.; Liang, L.I.; Matsouaka, R.A.; Xian, Y.; Holmes, D.N.; Peterson, E.D.; Yavagal, D.; et al. Association between time to treatment with endovascular reperfusion therapy and outcomes in patients with acute ischemic stroke treated in clinical practice. JAMA 2019, 322, 252–263. [Google Scholar] [CrossRef]
- Saver, J.L.; Goyal, M.; van der Lugt, A.; Menon, B.K.; Majoie, C.B.; Dippel, D.W.; Campbell, B.C.; Nogueira, R.G.; Demchuk, A.M.; Tomasello, A.; et al. Time to treatment with endovascular thrombectomy and outcomes from ischemic stroke: A meta-analysis. JAMA 2016, 316, 1279–1288. [Google Scholar] [CrossRef] [PubMed]
- Meretoja, A.; Strbian, D.; Mustanoja, S.; Tatlisumak, T.; Lindsberg, P.J.; Kaste, M. Reducing in-hospital delay to 20 minutes in stroke thrombolysis. Neurology 2012, 79, 306–313. [Google Scholar] [CrossRef] [PubMed]
- Meretoja, A.; Weir, L.; Ugalde, M.; Yassi, N.; Yan, B.; Hand, P.; Truesdale, M.; Davis, S.M.; Campbell, B.C. Helsinki model cut stroke thrombolysis delays to 25 minutes in Melbourne in only 4 months. Neurology 2013, 81, 1071–1076. [Google Scholar] [CrossRef] [PubMed]
- Sun, C.H.; Ribo, M.; Goyal, M.; Yoo, A.J.; Jovin, T.; Cronin, C.A.; Zaidat, O.; Nogueira, R.; Nguyen, T.; Hussain, M.S.; et al. Door-to-puncture: A practical metric for capturing and enhancing system processes associated with endovascular stroke care, preliminary results from the rapid reperfusion registry. J. Am. Heart Assoc. 2014, 3, e000859. [Google Scholar] [CrossRef] [PubMed]
- Bushnell, C.; Kernan, W.N.; Sharrief, A.Z.; Chaturvedi, S.; Cole, J.W.; Cornwell, W.K.; Cosby-Gaither, C.; Doyle, S.; Goldstein, L.B.; Lennon, O.; et al. 2024 Guideline for the Primary Prevention of Stroke: A Guideline From the American Heart Association/American Stroke Association. Stroke 2024, 55, E344–E424. [Google Scholar] [CrossRef]
- Nguyen, T.N.; Castonguay, A.C.; Siegler, J.E.; Nagel, S.; Lansberg, M.G.; de Havenon, A.; Sheth, S.A.; Abdalkader, M.; Tsai, J.P.; Albers, G.W.; et al. Mechanical Thrombectomy in the Late Presentation of Anterior Circulation Large Vessel Occlusion Stroke: A Guideline From the Society of Vascular and Interventional Neurology Guidelines and Practice Standards Committee. Stroke Vasc. Interv. Neurol. 2023, 3, e000512. [Google Scholar] [CrossRef] [PubMed]
- Jadhav, A.P.; Desai, S.M.; Jovin, T.G. Indications for Mechanical Thrombectomy for Acute Ischemic Stroke: Current Guidelines and Beyond. Neurology 2021, 97 (Suppl. 2), S126–S136. [Google Scholar] [CrossRef]
- Kaesmacher, J.; Maamari, B.; Meinel, T.R.; Piechowiak, E.I.; Mosimann, P.J.; Mordasini, P.; Goeldlin, M.; Arnold, M.; Dobrocky, T.; Boeckh-Behrens, T.; et al. Effect of pre- and in-hospital delay on reperfusion in acute ischemic stroke mechanical thrombectomy. Stroke 2020, 51, 2934–2942. [Google Scholar] [CrossRef] [PubMed]
- Ribo, M.; Molina, C.A.; Cobo, E.; Cerdà, N.; Tomasello, A.; Quesada, H.; De Miquel, M.A.; Millan, M.; Castaño, C.; Urra, X.; et al. Association between time to reperfusion and outcome is primarily driven by the time from imaging to reperfusion. Stroke 2016, 47, 999–1004. [Google Scholar] [CrossRef] [PubMed]
- Menon, B.K.; Sajobi, T.T.; Zhang, Y.; Rempel, J.L.; Shuaib, A.; Thornton, J.; Williams, D.; Roy, D.; Poppe, A.Y.; Jovin, T.G.; et al. Analysis of Workflow and Time to Treatment on Thrombectomy Outcome in the Endovascular Treatment for Small Core and Proximal Occlusion Ischemic Stroke (ESCAPE) Randomized, Controlled Trial. Circulation 2016, 133, 2279–2286. [Google Scholar] [CrossRef]
- McTaggart, R.A.; Ansari, S.A.; Goyal, M.; Abruzzo, T.A.; Albani, B.; Arthur, A.J.; Alexander, M.J.; Albuquerque, F.C.; Baxter, B.; Bulsara, K.R.; et al. Initial hospital management of patients with emergent large vessel occlusion (ELVO): Report of the standards and guidelines committee of the Society of NeuroInterventional Surgery. J. Neurointerv. Surg. 2017, 9, 316–323. [Google Scholar] [CrossRef] [PubMed]
- Sacks, D.; Baxter, B.; Campbell, B.C.V.; Carpenter, J.S.; Cognard, C.; Dippel, D.; Eesa, M.; Fischer, U.; Hausegger, K.; Hirsch, J.A.; et al. Multisociety consensus quality improvement revised consensus statement for endovascular therapy of acute ischemic stroke. Int. J. Stroke Off. J. Int. Stroke Soc. 2018, 13, 612–632. [Google Scholar] [CrossRef] [PubMed]
- Schregel, K.; Behme, D.; Tsogkas, I.; Knauth, M.; Maier, I.; Karch, A.; Mikolajczyk, R.; Hinz, J.; Liman, J.; Psychogios, M.-N. Effects of Workflow Optimization in Endovascularly Treated Stroke Patients—A Pre-Post Effectiveness Study. PLoS ONE 2016, 11, e0169192. [Google Scholar] [CrossRef] [PubMed]
- Frei, D.; McGraw, C.; McCarthy, K.; Whaley, M.; Bellon, R.J.; Loy, D.; Wagner, J.; Orlando, A.; Bar-Or, D. A standardized neurointerventional thrombectomy protocol leads to faster recanalization times. J. Neurointerv. Surg. 2017, 9, 1035–1040. [Google Scholar] [CrossRef]
- Psychogios, M.N.; Maier, I.L.; Tsogkas, I.; Hesse, A.C.; Brehm, A.; Behme, D.; Schnieder, M.; Schregel, K.; Papageorgiou, I.; Liebeskind, D.S.; et al. One-stop management of 230 consecutive acute stroke patients: Report of procedural times and clinical outcome. J. Clin. Med. 2019, 8, E2185. [Google Scholar] [CrossRef] [PubMed]
- Mendez, B.; Requena, M.; Aires, A.; Martins, N.; Boned, S.; Rubiera, M.; Tomasello, A.; Coscojuela, P.; Muchada, M.; Rodríguez-Luna, D.; et al. Direct transfer to angio-suite to reduce workflow times and increase favorable clinical outcome. Stroke 2018, 49, 2723–2727. [Google Scholar] [CrossRef] [PubMed]
- Jadhav, A.P.; Kenmuir, C.L.; Aghaebrahim, A.; Limaye, K.; Wechsler, L.R.; Hammer, M.D.; Starr, M.T.; Molyneaux, B.J.; Rocha, M.; Guyette, F.X.; et al. Interfacility transfer directly to the neuroangiography suite in acute ischemic stroke patients undergoing thrombectomy. Stroke 2017, 48, 1884–1889. [Google Scholar] [CrossRef]
- Bouslama, M.; Haussen, D.C.; Grossberg, J.A.; Barreira, C.M.; van der Bom, I.M.J.; van Nijnatten, F.; Grünhagen, T.; Moyer, L.; Frankel, M.R.; Nogueira, R.G. Flat-panel detector CT assessment in stroke to reduce times to intra-arterial treatment: A study of multiphase computed tomography angiography in the angiography suite to bypass conventional imaging. Int. J. Stroke 2021, 16, 63–72. [Google Scholar] [CrossRef]
- Requena, M.; Olivé-Gadea, M.; Muchada, M.; Hernández, D.; Rubiera, M.; Boned, S.; Piñana, C.; Deck, M.; García-Tornel, Á.; Díaz-Silva, H.; et al. Direct to Angiography Suite Without Stopping for Computed Tomography Imaging for Patients With Acute Stroke: A Randomized Clinical Trial. JAMA Neurol. 2021, 78, 1099–1107. [Google Scholar] [CrossRef]
- Petroulia, V.D.; Kaesmacher, J.; Piechowiak, E.I.; Dobrocky, T.; Pilgram-Pastor, S.M.; Gralla, J.; Wagner, F.; Mordasini, P. Evaluation of Sine Spin flat detector CT imaging compared with multidetector CT. J. Neurointerv. Surg. 2023, 15, 292–297. [Google Scholar] [CrossRef]
- Psychogios, M.N.; Behme, D.; Schregel, K.; Tsogkas, I.; Maier, I.L.; Leyhe, J.R.; Zapf, A.; Tran, J.; Bähr, M.; Liman, J.; et al. One-Stop Management of Acute Stroke Patients: Minimizing Door-to-Reperfusion Times. Stroke 2017, 48, 3152–3155. [Google Scholar] [CrossRef] [PubMed]
- Zhou, T.; Li, T.; Zhu, L.; Li, Z.; Li, Q.; Wang, Z.; Wu, L.; He, Y.; Li, Y.; Zhou, Z.; et al. One-stop stroke management platform reduces workflow times in patients receiving mechanical thrombectomy. Front. Neurol. 2023, 13, 1044347. [Google Scholar] [CrossRef] [PubMed]
- Requena, M.; Vanden Bavière, H.; Verma, S.; Gerrits, C.; Kokhuis, T.; Tomasello, A.; Molina, C.A.; Ribo, M. Cost-utility of direct transfer to angiography suite (DTAS) bypassing conventional imaging for patients with acute ischemic stroke in Spain: Results from the ANGIOCAT trial. J. Neurointerv. Surg. 2024, 16, 138–142. [Google Scholar] [CrossRef] [PubMed]


| Variables | Classic Angio Suite | Hybrid Angio Suite | p-Value |
|---|---|---|---|
| N | 50 | 50 | |
| Age, median (IQR) | 78 (18, 66–84) | 76.5 (18, 66–84) | 0.81 |
| baseline NIHSS, median (IQR) | 13.8 (2, 11–13) | 14 (7, 10–17) | 0.69 |
| Female | 27 (54%) | 26 (52%) | 0.84 |
| Door to CT (min), median (IQR) | 25 (6, 22–28) | 23.5 (6, 21–27) | 0.19 |
| CT to Groin Time (min), median (IQR) | 43 (7, 40–47) | 12 (4, 10–14) | <0.001 |
| Door to Groin Time (min), median (IQR) | 69 (10, 63–73) | 36 (8, 32–40) | <0.001 |
| Occlusion Site | 0.62 | ||
| Basilar | 7 (14%) | 6 (12%) | |
| Right M1 | 1 (2%) | 4 (8%) | |
| Left ICA | 2 (4%) | 3 (6%) | |
| Right M1 | 14 (28%) | 10 (20%) | |
| Left M1 | 17 (34%) | 13 (26%) | |
| Right M2 | 2 (4%) | 4 (8%) | |
| Left M2 | 7 (14%) | 7 (14%) | |
| Left P1 | 0 (0%) | 1 (2%) | |
| Tandem | 0 (0%) | 2 (4%) | |
| ASPECT baseline, median (IQR) | 8.5 (2, 8–10) | 8 (2, 8–10) | 0.52 |
| mTICI 2b/3 | 42 (84%) | 44 (88%) | 0.77 |
| 90-days mRS 0–2 | 18 (36%) | 29 (58%) | 0.03 |
![]() | |||
Disclaimer/Publisher’s Note: The statements, opinions and data contained in all publications are solely those of the individual author(s) and contributor(s) and not of MDPI and/or the editor(s). MDPI and/or the editor(s) disclaim responsibility for any injury to people or property resulting from any ideas, methods, instructions or products referred to in the content. |
© 2025 by the authors. Licensee MDPI, Basel, Switzerland. This article is an open access article distributed under the terms and conditions of the Creative Commons Attribution (CC BY) license (https://creativecommons.org/licenses/by/4.0/).
Share and Cite
Trombatore, P.; Cottonaro, S.; Valente, I.; Lozupone, E.; Della Gatta, L.; Cannella, A.; Di Lorenzo, C.; Ragusa, A.; Mammino, L.; Galvano, G. Hybrid CT Angio Suite for Acute Ischemic Stroke: A New Time-Saving Workflow Model? J. Clin. Med. 2025, 14, 963. https://doi.org/10.3390/jcm14030963
Trombatore P, Cottonaro S, Valente I, Lozupone E, Della Gatta L, Cannella A, Di Lorenzo C, Ragusa A, Mammino L, Galvano G. Hybrid CT Angio Suite for Acute Ischemic Stroke: A New Time-Saving Workflow Model? Journal of Clinical Medicine. 2025; 14(3):963. https://doi.org/10.3390/jcm14030963
Chicago/Turabian StyleTrombatore, Pietro, Simone Cottonaro, Iacopo Valente, Emilio Lozupone, Luigi Della Gatta, Alfio Cannella, Clara Di Lorenzo, Antonio Ragusa, Luca Mammino, and Gianluca Galvano. 2025. "Hybrid CT Angio Suite for Acute Ischemic Stroke: A New Time-Saving Workflow Model?" Journal of Clinical Medicine 14, no. 3: 963. https://doi.org/10.3390/jcm14030963
APA StyleTrombatore, P., Cottonaro, S., Valente, I., Lozupone, E., Della Gatta, L., Cannella, A., Di Lorenzo, C., Ragusa, A., Mammino, L., & Galvano, G. (2025). Hybrid CT Angio Suite for Acute Ischemic Stroke: A New Time-Saving Workflow Model? Journal of Clinical Medicine, 14(3), 963. https://doi.org/10.3390/jcm14030963


