The Use of 3D-Echo in Edge-to-Edge Percutaneous Tricuspid Valve Repair
Abstract
1. Introduction
2. Etiology of TR
2.1. Primary TR
2.2. Secondary TR
2.3. Cardiac Implantable Electronic Device-Related TR
3. Treatment Options for TV Repair
3.1. Surgery
3.2. Tricuspid TEER
4. Pre-Procedural Echo Imaging
4.1. 2D Echocardiography
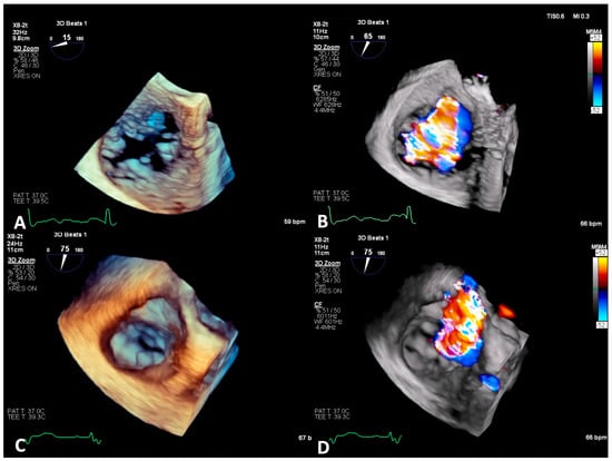
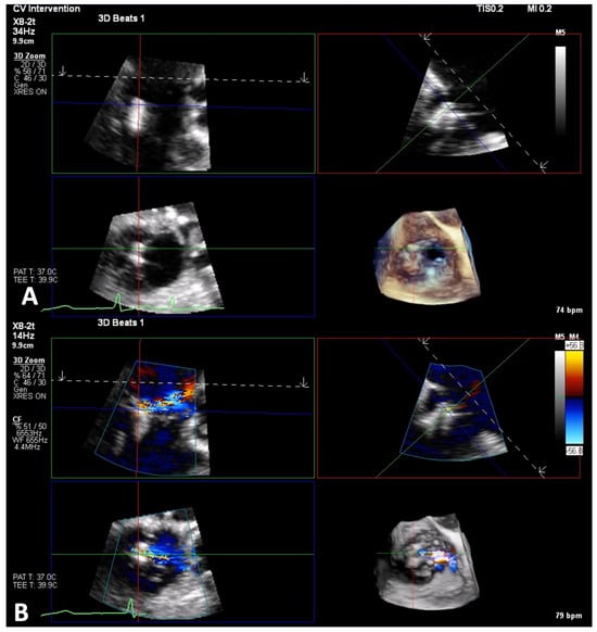
4.2. 3D Echocardiography
5. Patient Selection for Percutaneous Repair
6. Intraprocedural Guidance
6.1. TEE-Guided Tricuspid TEER
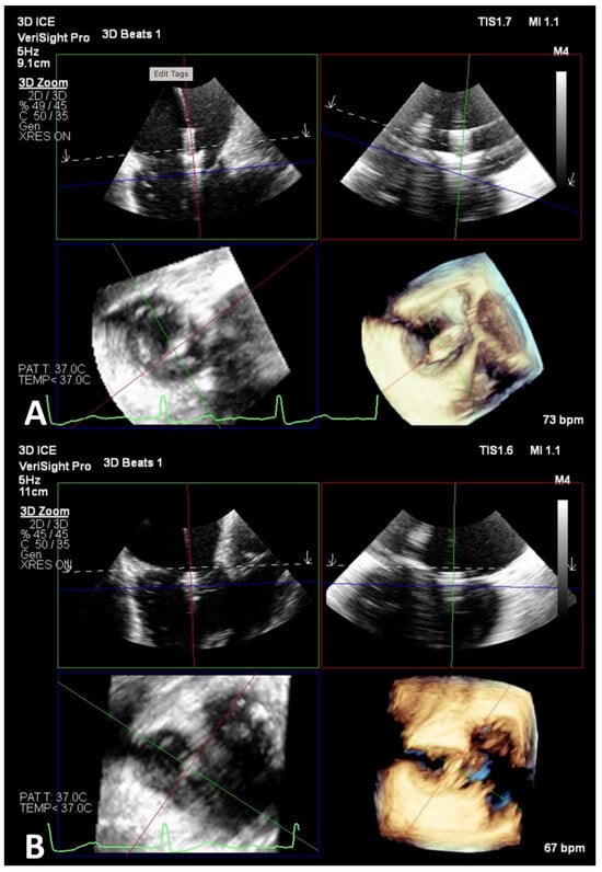
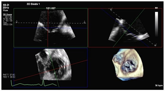
6.2. ICE-Guided TEER
7. Future Directions
Author Contributions
Funding
Data Availability Statement
Conflicts of Interest
References
- Keele, K.D. Leonardo Da Vinci, and the Movement of the Heart. Proc. R. Soc. Med. 1951, 44, 209–213. [Google Scholar] [CrossRef] [PubMed]
- Hahn, R.T.; Weckbach, L.T.; Noack, T.; Hamid, N.; Kitamura, M.; Bae, R.; Lurz, P.; Kodali, S.K.; Sorajja, P.; Hausleiter, J.; et al. Proposal for a Standard Echocardiographic Tricuspid Valve Nomenclature. JACC Cardiovasc. Imaging 2021, 14, 1299–1305. [Google Scholar] [CrossRef]
- Sala, A.; Hahn, R.T.; Kodali, S.K.; Mack, M.J.; Maisano, F. Tricuspid Valve Regurgitation: Current Understanding and Novel Treatment Options. J. Soc. Cardiovasc. Angiogr. Interv. 2023, 2, 101041. [Google Scholar] [CrossRef]
- Topilsky, Y.; Maltais, S.; Medina Inojosa, J.; Oguz, D.; Michelena, H.; Maalouf, J.; Mahoney, D.W.; Enriquez-Sarano, M. Burden of Tricuspid Regurgitation in Patients Diagnosed in the Community Setting. JACC Cardiovasc. Imaging 2019, 12, 433–442. [Google Scholar] [CrossRef]
- Henning, R.J. Tricuspid Valve Regurgitation: Current Diagnosis and Treatment. Am. J. Cardiovasc. Dis. 2022, 12, 1–18. [Google Scholar] [PubMed]
- Zack, C.J.; Fender, E.A.; Chandrashekar, P.; Reddy, Y.N.V.; Bennett, C.E.; Stulak, J.M.; Miller, V.M.; Nishimura, R.A. National Trends and Outcomes in Isolated Tricuspid Valve Surgery. J. Am. Coll. Cardiol. 2017, 70, 2953–2960. [Google Scholar] [CrossRef] [PubMed]
- Sugiura, A.; Tanaka, T.; Kavsur, R.; Öztürk, C.; Vogelhuber, J.; Wilde, N.; Becher, M.U.; Zimmer, S.; Nickenig, G.; Weber, M. Leaflet Configuration and Residual Tricuspid Regurgitation After Transcatheter Edge-to-Edge Tricuspid Repair. JACC Cardiovasc. Interv. 2021, 14, 2260–2270. [Google Scholar] [CrossRef]
- Arsalan, M.; Walther, T.; Smith, R.L., II; Grayburn, P.A. Tricuspid Regurgitation Diagnosis and Treatment. Eur. Heart J. 2017, 38, 634–638. [Google Scholar] [CrossRef] [PubMed]
- Singh, D.P.; Hussain, K.; Horenstein, M.S.; Mahajan, K. Ebstein Anomaly and Malformation. In StatPearls; StatPearls Publishing: Treasure Island, FL, USA, 2024. [Google Scholar]
- Mulla, S.; Asuka, E.; Bora, V.; Siddiqui, W.J. Tricuspid Regurgitation. In StatPearls; StatPearls Publishing: Treasure Island, FL, USA, 2024. [Google Scholar]
- Ceron, C.; Goyal, A.; Makaryus, A.N. Drug-Induced Valvular Heart Disease. In StatPearls; StatPearls Publishing: Treasure Island, FL, USA, 2024. [Google Scholar]
- Hahn, R.T.; Badano, L.P.; Bartko, P.E.; Muraru, D.; Maisano, F.; Zamorano, J.L.; Donal, E. Tricuspid Regurgitation: Recent Advances in Understanding Pathophysiology, Severity Grading and Outcome. Eur. Heart J. Cardiovasc. Imaging 2022, 23, 913–929. [Google Scholar] [CrossRef] [PubMed]
- Muraru, D.; Badano, L.P.; Hahn, R.T.; Lang, R.M.; Delgado, V.; Wunderlich, N.C.; Donal, E.; Taramasso, M.; Duncan, A.; Lurz, P.; et al. Atrial Secondary Tricuspid Regurgitation: Pathophysiology, Definition, Diagnosis, and Treatment. Eur. Heart J. 2024, 45, 895–911. [Google Scholar] [CrossRef]
- Utsunomiya, H.; Itabashi, Y.; Mihara, H.; Berdejo, J.; Kobayashi, S.; Siegel, R.J.; Shiota, T. Functional Tricuspid Regurgitation Caused by Chronic Atrial Fibrillation. Circ. Cardiovasc. Imaging 2017, 10, e004897. [Google Scholar] [CrossRef] [PubMed]
- Hahn, R.T.; Lawlor, M.K.; Davidson, C.J.; Badhwar, V.; Sannino, A.; Spitzer, E.; Lurz, P.; Lindman, B.R.; Topilsky, Y.; Baron, S.J.; et al. Tricuspid Valve Academic Research Consortium Definitions for Tricuspid Regurgitation and Trial Endpoints. Eur. Heart J. 2023, 44, 4508–4532. [Google Scholar] [CrossRef] [PubMed]
- Dreyfus, G.D.; Martin, R.P.; Chan, K.M.J.; Dulguerov, F.; Alexandrescu, C. Functional Tricuspid Regurgitation. J. Am. Coll. Cardiol. 2015, 65, 2331–2336. [Google Scholar] [CrossRef] [PubMed]
- Badano, L.P.; Muraru, D. Make Right Heart Remodeling in Secondary Tricuspid Regurgitation as Simple as Possible, But Not Simpler. JACC Cardiovasc. Imaging 2024, 17, 607–609. [Google Scholar] [CrossRef] [PubMed]
- Dietz, M.F.; Prihadi, E.A.; van der Bijl, P.; Goedemans, L.; Mertens, B.J.A.; Gursoy, E.; van Genderen, O.S.; Ajmone Marsan, N.; Delgado, V.; Bax, J.J. Prognostic Implications of Right Ventricular Remodeling and Function in Patients With Significant Secondary Tricuspid Regurgitation. Circulation 2019, 140, 836–845. [Google Scholar] [CrossRef] [PubMed]
- Lee, R.C.; Friedman, S.E.; Kono, A.T.; Greenberg, M.L.; Palac, R.T. Tricuspid Regurgitation Following Implantation of Endocardial Leads: Incidence and Predictors. Pacing Clin. Electrophysiol. PACE 2015, 38, 1267–1274. [Google Scholar] [CrossRef] [PubMed]
- Seo, J.; Kim, D.-Y.; Cho, I.; Hong, G.-R.; Ha, J.-W.; Shim, C.Y. Prevalence, Predictors, and Prognosis of Tricuspid Regurgitation Following Permanent Pacemaker Implantation. PLoS ONE 2020, 15, e0235230. [Google Scholar] [CrossRef] [PubMed]
- Andreas, M.; Burri, H.; Praz, F.; Soliman, O.; Badano, L.; Barreiro, M.; Cavalcante, J.L.; de Potter, T.; Doenst, T.; Friedrichs, K.; et al. Tricuspid Valve Disease and Cardiac Implantable Electronic Devices. Eur. Heart J. 2024, 45, 346–365. [Google Scholar] [CrossRef]
- Addetia, K.; Harb, S.C.; Hahn, R.T.; Kapadia, S.; Lang, R.M. Cardiac Implantable Electronic Device Lead-Induced Tricuspid Regurgitation. JACC Cardiovasc. Imaging 2019, 12, 622–636. [Google Scholar] [CrossRef] [PubMed]
- Gelves-Meza, J.; Lang, R.M.; Valderrama-Achury, M.D.; Zamorano, J.L.; Vargas-Acevedo, C.; Medina, H.M.; Salazar, G. Tricuspid Regurgitation Related to Cardiac Implantable Electronic Devices: An Integrative Review. J. Am. Soc. Echocardiogr. 2022, 35, 1107–1122. [Google Scholar] [CrossRef] [PubMed]
- Coisne, A.; Lancellotti, P.; Habib, G.; Garbi, M.; Dahl, J.S.; Barbanti, M.; Vannan, M.A.; Vassiliou, V.S.; Dudek, D.; Chioncel, O.; et al. ACC/AHA and ESC/EACTS Guidelines for the Management of Valvular Heart Diseases: JACC Guideline Comparison. J. Am. Coll. Cardiol. 2023, 82, 721–734. [Google Scholar] [CrossRef]
- Writing Committee Members; Otto, C.M.; Nishimura, R.A.; Bonow, R.O.; Carabello, B.A.; Erwin, J.P.; Gentile, F.; Jneid, H.; Krieger, E.V.; Mack, M.; et al. 2020 ACC/AHA Guideline for the Management of Patients with Valvular Heart Disease: A Report of the American College of Cardiology/American Heart Association Joint Committee on Clinical Practice Guidelines. J. Thorac. Cardiovasc. Surg. 2021, 162, e183–e353. [Google Scholar] [CrossRef] [PubMed]
- Antunes, M.J.; Rodríguez-Palomares, J.; Prendergast, B.; De Bonis, M.; Rosenhek, R.; Al-Attar, N.; Barili, F.; Casselman, F.; Folliguet, T.; Iung, B.; et al. Management of Tricuspid Valve Regurgitation: Position Statement of the European Society of Cardiology Working Groups of Cardiovascular Surgery and Valvular Heart Disease. Eur. J. Cardiothorac. Surg. 2017, 52, 1022–1030. [Google Scholar] [CrossRef]
- Wilde, N.; Silaschi, M.; Alirezaei, H.; Vogelhuber, J.; Sugiura, A.; Tanaka, T.; Sudo, M.; Kavsur, R.; Cattelaens, F.; El-Sayed Ahmad, A.; et al. Transcatheter Edge-to-Edge Valve Repair versus Minimally Invasive Beating-Heart Surgery of the Tricuspid Valve: An Observational Study. EuroIntervention 2023, 19, 659–661. [Google Scholar] [CrossRef] [PubMed]
- Dreyfus, J.; Audureau, E.; Bohbot, Y.; Coisne, A.; Lavie-Badie, Y.; Bouchery, M.; Flagiello, M.; Bazire, B.; Eggenspieler, F.; Viau, F.; et al. TRI-SCORE: A New Risk Score for in-Hospital Mortality Prediction after Isolated Tricuspid Valve Surgery. Eur. Heart J. 2022, 43, 654–662. [Google Scholar] [CrossRef] [PubMed]
- Muntané-Carol, G.; Alperi, A.; Faroux, L.; Bédard, E.; Philippon, F.; Rodés-Cabau, J. Transcatheter Tricuspid Valve Intervention: Coaptation Devices. Front. Cardiovasc. Med. 2020, 7, 139. [Google Scholar] [CrossRef]
- Bartorelli, A.L.; Ferrari, C.; Olivares, P.; Monizzi, G.; Grancini, L. Revival of a Forgotten Valve: Use of the Percutaneous Clip for the Treatment of Tricuspid Regurgitation. Eur. Heart J. Suppl. 2021, 23, E19–E24. [Google Scholar] [CrossRef] [PubMed]
- Sorajja, P.; Whisenant, B.; Hamid, N.; Naik, H.; Makkar, R.; Tadros, P.; Price, M.J.; Singh, G.; Fam, N.; Kar, S.; et al. Transcatheter Repair for Patients with Tricuspid Regurgitation. N. Engl. J. Med. 2023, 388, 1833–1842. [Google Scholar] [CrossRef]
- Alperi, A.; Avanzas, P.; Almendárez, M.; León, V.; Hernández-Vaquero, D.; Silva, I.; Fernández Del Valle, D.; Fernández, F.; Díaz, R.; Rodes-Cabau, J.; et al. Early and mid-term outcomes of transcatheter tricuspid valve repair: Systematic review and meta-analysis of observational studies. Rev. Esp. Cardiol. (Engl. Ed.) 2023, 76, 322–332. [Google Scholar] [CrossRef] [PubMed]
- Schlotter, F.; Miura, M.; Kresoja, K.-P.; Alushi, B.; Alessandrini, H.; Attinger-Toller, A.; Besler, C.; Biasco, L.; Braun, D.; Brochet, E.; et al. Outcomes of Transcatheter Tricuspid Valve Intervention by Right Ventricular Function: A Multicentre Propensity-Matched Analysis. EuroIntervention 2021, 17, e343–e352. [Google Scholar] [CrossRef] [PubMed]
- Hahn, R.T.; Saric, M.; Faletra, F.F.; Garg, R.; Gillam, L.D.; Horton, K.; Khalique, O.K.; Little, S.H.; Mackensen, G.B.; Oh, J.; et al. Recommended Standards for the Performance of Transesophageal Echocardiographic Screening for Structural Heart Intervention: From the American Society of Echocardiography. J. Am. Soc. Echocardiogr. 2022, 35, 1–76. [Google Scholar] [CrossRef]
- Passaniti, G.; Safi, L.M.; Prandi, F.; Ratanapo, S.; Lerakis, S.; Tang, G.H.L.; Krishnamoorthy, P. Fundamental Roles of Intracardiac Echocardiography and Fluoroscopy in Redo Tricuspid Transcatheter Edge-to-Edge Repair Procedure. JACC Cardiovasc. Interv. 2024, 17, 933–935. [Google Scholar] [CrossRef] [PubMed]
- Khalique, O.K.; Cavalcante, J.L.; Shah, D.; Guta, A.C.; Zhan, Y.; Piazza, N.; Muraru, D. Multimodality Imaging of the Tricuspid Valve and Right Heart Anatomy. JACC Cardiovasc. Imaging 2019, 12, 516–531. [Google Scholar] [CrossRef]
- Lancellotti, P.; Pibarot, P.; Chambers, J.; La Canna, G.; Pepi, M.; Dulgheru, R.; Dweck, M.; Delgado, V.; Garbi, M.; Vannan, M.A.; et al. Multi-Modality Imaging Assessment of Native Valvular Regurgitation: An EACVI and ESC Council of Valvular Heart Disease Position Paper. Eur. Heart J. Cardiovasc. Imaging 2022, 23, e171–e232. [Google Scholar] [CrossRef] [PubMed]
- Tribouilloy, C.M.; Enriquez-Sarano, M.; Bailey, K.R.; Tajik, A.J.; Seward, J.B. Quantification of Tricuspid Regurgitation by Measuring the Width of the Vena Contracta with Doppler Color Flow Imaging: A Clinical Study. J. Am. Coll. Cardiol. 2000, 36, 472–478. [Google Scholar] [CrossRef] [PubMed]
- Muñoz-Rodríguez, R.; Duque-González, M.A.; Igareta-Herraiz, A.T.; Di Silvestre, M.; Izquierdo-Gómez, M.M.; Baeza-Garzón, F.; Barragán-Acea, A.; Bosa-Ojeda, F.; Lacalzada-Almeida, J. Practical Echocardiographic Approach of the Regurgitant Mitral Valve Assessment. Diagnostics 2022, 12, 1717. [Google Scholar] [CrossRef]
- Zoghbi, W.A.; Adams, D.; Bonow, R.O.; Enriquez-Sarano, M.; Foster, E.; Grayburn, P.A.; Hahn, R.T.; Han, Y.; Hung, J.; Lang, R.M.; et al. Recommendations for Noninvasive Evaluation of Native Valvular Regurgitation: A Report from the American Society of Echocardiography Developed in Collaboration with the Society for Cardiovascular Magnetic Resonance. J. Am. Soc. Echocardiogr. 2017, 30, 303–371. [Google Scholar] [CrossRef] [PubMed]
- Song, J.-M.; Jang, M.-K.; Choi, Y.-S.; Kim, Y.-J.; Min, S.-Y.; Kim, D.-H.; Kang, D.-H.; Song, J.-K. The Vena Contracta in Functional Tricuspid Regurgitation: A Real-Time Three-Dimensional Color Doppler Echocardiography Study. J. Am. Soc. Echocardiogr. 2011, 24, 663–670. [Google Scholar] [CrossRef] [PubMed]
- Topilsky, Y.; Bae, R.; Nkomo, V.; Gavazzoni, M. An Integrative, Multiparametric Approach to Tricuspid Regurgitation Evaluation. JACC Case Rep. 2023, 25, 102050. [Google Scholar] [CrossRef] [PubMed]
- Tomaselli, M.; Badano, L.P.; Menè, R.; Gavazzoni, M.; Heilbron, F.; Radu, N.; Caravita, S.; Baratto, C.; Oliverio, G.; Florescu, D.R.; et al. Impact of Correcting the 2D PISA Method on the Quantification of Functional Tricuspid Regurgitation Severity. Eur. Heart J. Cardiovasc. Imaging 2022, 23, 1459–1470. [Google Scholar] [CrossRef]
- Hahn, R.T.; Thomas, J.D.; Khalique, O.K.; Cavalcante, J.L.; Praz, F.; Zoghbi, W.A. Imaging Assessment of Tricuspid Regurgitation Severity. JACC Cardiovasc. Imaging 2019, 12, 469–490. [Google Scholar] [CrossRef] [PubMed]
- Sonaglioni, A.; Cassandro, R.; Luisi, F.; Ferrante, D.; Nicolosi, G.L.; Lombardo, M.; Anzà, C.; Harari, S. Correlation Between Doppler Echocardiography and Right Heart Catheterisation-Derived Systolic and Mean Pulmonary Artery Pressures: Determinants of Discrepancies Between the Two Methods. Heart Lung Circ. 2021, 30, 656–664. [Google Scholar] [CrossRef] [PubMed]
- Finkelhor, R.S.; Lewis, S.A.; Pillai, D. Limitations and strengths of doppler/echo pulmonary artery systolic pressure-right heart catheterization correlations: A systematic literature review. Echocardiography 2015, 32, 10–18. [Google Scholar] [CrossRef] [PubMed]
- Arcasoy, S.M.; Christie, J.D.; Ferrari, V.A.; Sutton, M.S.; Zisman, D.A.; Blumenthal, N.P.; Pochettino, A.; Kotloff, R.M. Echocardiographic assessment of pulmonary hypertension in patients with advanced lung disease. Am. J. Respir. Crit. Care Med. 2003, 167, 735–740. [Google Scholar] [CrossRef] [PubMed]
- Chen, B.; Liu, Y.; Zuo, W.; Li, Q.; Kong, D.; Pan, C.; Dong, L.; Shu, X.; Ge, J. Three-Dimensional Transthoracic Echocardiographic Evaluation of Tricuspid Regurgitation Severity Using Proximal Isovelocity Surface Area: Comparison with Volumetric Method. Cardiovasc. Ultrasound 2020, 18, 41. [Google Scholar] [CrossRef] [PubMed]
- Muraru, D.; Hahn, R.T.; Soliman, O.I.; Faletra, F.F.; Basso, C.; Badano, L.P. 3-Dimensional Echocardiography in Imaging the Tricuspid Valve. JACC Cardiovasc. Imaging 2019, 12, 500–515. [Google Scholar] [CrossRef]
- Utsunomiya, H.; Harada, Y.; Susawa, H.; Takahari, K.; Ueda, Y.; Izumi, K.; Itakura, K.; Ikenaga, H.; Hidaka, T.; Fukuda, Y.; et al. Comprehensive Evaluation of Tricuspid Regurgitation Location and Severity Using Vena Contracta Analysis: A Color Doppler Three-Dimensional Transesophageal Echocardiographic Study. J. Am. Soc. Echocardiogr. 2019, 32, 1526–1537.e2. [Google Scholar] [CrossRef] [PubMed]
- Go, Y.Y.; Dulgheru, R.; Lancellotti, P. The Conundrum of Tricuspid Regurgitation Grading. Front. Cardiovasc. Med. 2018, 5, 164. [Google Scholar] [CrossRef]
- Hahn, R.T. State-of-the-Art Review of Echocardiographic Imaging in the Evaluation and Treatment of Functional Tricuspid Regurgitation. Circ. Cardiovasc. Imaging 2016, 9, e005332. [Google Scholar] [CrossRef]
- Addetia, K.; Muraru, D.; Veronesi, F.; Jenei, C.; Cavalli, G.; Besser, S.A.; Mor-Avi, V.; Lang, R.M.; Badano, L.P. 3-Dimensional Echocardiographic Analysis of the Tricuspid Annulus Provides New Insights Into Tricuspid Valve Geometry and Dynamics. JACC Cardiovasc. Imaging 2019, 12, 401–412. [Google Scholar] [CrossRef] [PubMed]
- Ton-Nu, T.-T.; Levine, R.A.; Handschumacher, M.D.; Dorer, D.J.; Yosefy, C.; Fan, D.; Hua, L.; Jiang, L.; Hung, J. Geometric Determinants of Functional Tricuspid Regurgitation. Circulation 2006, 114, 143–149. [Google Scholar] [CrossRef] [PubMed]
- Agricola, E.; Asmarats, L.; Maisano, F.; Cavalcante, J.L.; Liu, S.; Milla, F.; Meduri, C.; Rodés-Cabau, J.; Vannan, M.; Pibarot, P. Imaging for Tricuspid Valve Repair and Replacement. JACC Cardiovasc. Imaging 2021, 14, 61–111. [Google Scholar] [CrossRef] [PubMed]
- Praz, F.; Muraru, D.; Kreidel, F.; Lurz, P.; Hahn, R.T.; Delgado, V.; Senni, M.; von Bardeleben, R.S.; Nickenig, G.; Hausleiter, J.; et al. Transcatheter Treatment for Tricuspid Valve Disease. EuroIntervention 2021, 17, 791–808. [Google Scholar] [CrossRef]
- Besler, C.; Orban, M.; Rommel, K.-P.; Braun, D.; Patel, M.; Hagl, C.; Borger, M.; Nabauer, M.; Massberg, S.; Thiele, H.; et al. Predictors of Procedural and Clinical Outcomes in Patients With Symptomatic Tricuspid Regurgitation Undergoing Transcatheter Edge-to-Edge Repair. JACC Cardiovasc. Interv. 2018, 11, 1119–1128. [Google Scholar] [CrossRef]
- Passaniti, G.; Tang, G.H.L.; Tanner, R.; Sharma, S.K.; Kini, A.S.; Lerakis, S. Transcatheter Edge-to-Edge Approach to Repair Large Coaptation Gaps: The Zipping Technique. JACC Cardiovasc. Interv. 2024, 17, 1502–1504. [Google Scholar] [CrossRef] [PubMed]
- Russo, G.; Badano, L.P.; Adamo, M.; Alessandrini, H.; Andreas, M.; Braun, D.; Connelly, K.A.; Denti, P.; Estevez-Loureiro, R.; Fam, N.; et al. Characteristics and Outcomes of Patients with Atrial versus Ventricular Secondary Tricuspid Regurgitation Undergoing Tricuspid Transcatheter Edge-to-edge Repair—Results from the TriValve Registry. Eur. J. Heart Fail. 2023, 25, 2243–2251. [Google Scholar] [CrossRef] [PubMed]
- Tomlinson, S.; Rivas, C.G.; Agarwal, V.; Lebehn, M.; Hahn, R.T. Multimodality Imaging for Transcatheter Tricuspid Valve Repair and Replacement. Front. Cardiovasc. Med. 2023, 10, 1171968. [Google Scholar] [CrossRef] [PubMed]
- Wang, T.K.M.; Harb, S.C.; Miyasaka, R.L.; Wagener, J.; Krishnaswamy, A.; Reed, G.K.; Kapadia, S.R. Live Three-Dimensional Multiplanar Reconstruction Imaging Guidance for Concomitant Mitral and Tricuspid Valve Repairs Using the MitraClip. CASE Cardiovasc. Imaging Case Rep. 2020, 4, 119–126. [Google Scholar] [CrossRef]
- Sorajja, P.; Vemulapalli, S.; Feldman, T.; Mack, M.; Holmes, D.R.; Stebbins, A.; Kar, S.; Thourani, V.; Ailawadi, G. Outcomes With Transcatheter Mitral Valve Repair in the United States. J. Am. Coll. Cardiol. 2017, 70, 2315–2327. [Google Scholar] [CrossRef] [PubMed]
- Aman, E.; Atsina, K.B. Tricuspid Valve Transcatheter Edge-To-Edge Repair Guidance with Transesophageal Echocardiography and Intracardiac Echocardiography. Interv. Cardiol. Clin. 2024, 13, 1–10. [Google Scholar] [CrossRef]
- Kassab, J.; Miyasaka, R.L.; Harb, S.C. Advanced Echocardiographic Guidance for Transcatheter Tricuspid Edge-To-Edge Repair. Cardiol. Clin. 2024, 42, 351–360. [Google Scholar] [CrossRef] [PubMed]
- Fam, N.P.; Samargandy, S.; Gandhi, S.; Eckstein, J. Intracardiac Echocardiography for Guidance of Transcatheter Tricuspid Edge-to-Edge Repair. EuroIntervention 2018, 14, e1004–e1005. [Google Scholar] [CrossRef]
- Tang, G.H.L.; Zaid, S.; Hahn, R.T.; Aggarwal, V.; Alkhouli, M.; Aman, E.; Berti, S.; Chandrashekhar, Y.S.; Chadderdon, S.M.; D’Agostino, A.; et al. Structural Heart Imaging Using 3-Dimensional Intracardiac Echocardiography: JACC Cardiovascular Imaging Position Statement. JACC Cardiovasc. Imaging 2024, 18, 93–115. [Google Scholar] [CrossRef]
- Wang, L.; Petrossian, G.; Robinson, N.; Chung, W.; Khan, J.; Shin, D.; Mihalatos, D.; Cohen, D.J.; Ali, Z.A.; Khalique, O. Early Experience of 3-Dimensional Intracardiac Echocardiography in Transcatheter Tricuspid Interventions. J. Soc. Cardiovasc. Angiogr. Interv. 2024, 3, 102168. [Google Scholar] [CrossRef]
- Hamid, N.; Aman, E.; Bae, R.; Scherer, M.; Smith, T.W.R.; Schwartz, J.; Rinaldi, M.; Singh, G.; Sorajja, P. 3D Navigation and Intraprocedural Intracardiac Echocardiography Imaging for Tricuspid Transcatheter Edge-to-Edge Repair. JACC Cardiovasc. Imaging 2024, 17, 441–447. [Google Scholar] [CrossRef] [PubMed]
- Mathur, S.K.; Singh, P. Transoesophageal Echocardiography Related Complications. Indian J. Anaesth. 2009, 53, 567–574. [Google Scholar]
- Cammalleri, V.; De Luca, V.M.; Antonelli, G.; Piscione, M.G.; Gaudio, D.; Carpenito, M.; Mega, S.; di Pumpo, A.L.; Carassiti, M.; Grigioni, F.; et al. The Safety of Transesophageal Echocardiography to Guide Transcatheter Tricuspid Valve Edge-to-Edge Repair. Echocardiography 2024, 41, e15861. [Google Scholar] [CrossRef]
- Barreiro-Perez, M.; Cruz-González, I.; Moreno-Samos, J.C.; Diaz-Peláez, E.; González-Calle, D.; González-Cebrián, M.; Rodríguez-Collado, J.; González-Ferreiro, R.; Oterino-Manzanas, A.; Sánchez, P.L. Feasibility, Safety, and Utility of Microtransesophageal Echocardiography Guidance for Percutaneous LAAO Under Conscious Sedation. JACC Cardiovasc. Interv. 2019, 12, 1091–1093. [Google Scholar] [CrossRef] [PubMed]
- Afzal, S.; Bönner, F.; Zeus, T.; Kelm, M.; Westenfeld, R.; Horn, P. Real-Time Fusion Imaging for Guiding Transcatheter Tricuspid Valve Repair. Int. J. Cardiovasc. Imaging 2022, 38, 2261–2262. [Google Scholar] [CrossRef] [PubMed]
- Hell, M.M.; Kreidel, F.; Geyer, M.; Ruf, T.F.; Tamm, A.R.; Rocha e Silva, J.G.; Münzel, T.; von Bardeleben, R.S. The Revolution in Heart Valve Therapy: Focus on Novel Imaging Techniques in Intra-Procedural Guidance. Struct. Heart 2021, 5, 140–150. [Google Scholar] [CrossRef]










| Number of Leaflets | 3 Leaflets | 2 Leaflets | 4 Leaflets | >4 Leaflets | ||
|---|---|---|---|---|---|---|
| Type | Type I | Type II | Type IIIA (2 anterior leaflets) | Type IIIB (2 posterior leaflets) | Type IIIC (2 septal leaflets) | Type IV |
| Incidence | 54% | 5% | 3% | 32% | 4% | 2% |
| Risk Factors Included in the TRI-SCORE Calculation | |
|---|---|
| Age ≥ 70 years | 1 point |
| NYHA Class III or IV | 1 point |
| LVEF < 60% | 1 point |
| At least moderate RV dysfunction | 1 point |
| Right-side heart failure | 2 points |
| Daily furosemide ≥ 125 mg | 2 points |
| Filtration rate < 30 mL/min | 2 points |
| Elevated total bilirubin | 2 points |
| Mild TR | Moderate TR | Severe TR | Massive TR | Torrential TR | |
|---|---|---|---|---|---|
| VC width | <3 mm | 3–6.9 mm | 7–13 mm | 14–20 mm | ≥21 mm |
| EROA calculated with PISA method | <20 mm2 | 20–39 mm2 | 40–59 mm2 | 60–79 mm2 | ≥80 mm2 |
| Regurgitant Volume calculated with PISA method | <30 mL | 30–44 mL | 45–59 mL | 60–74 mL | ≥75 mL |
| 3D VCA or Quantitative Doppler EROA | - | - | 75–94 mm2 | 95–114 mm2 | ≥115 mm2 |
Disclaimer/Publisher’s Note: The statements, opinions and data contained in all publications are solely those of the individual author(s) and contributor(s) and not of MDPI and/or the editor(s). MDPI and/or the editor(s) disclaim responsibility for any injury to people or property resulting from any ideas, methods, instructions or products referred to in the content. |
© 2025 by the authors. Licensee MDPI, Basel, Switzerland. This article is an open access article distributed under the terms and conditions of the Creative Commons Attribution (CC BY) license (https://creativecommons.org/licenses/by/4.0/).
Share and Cite
Passaniti, G.; Safi, L.M.; Granot, Y.N.; Sarullo, F.M.; Caldonazo, T.; Rong, L.Q.; Fiore, C.; Di Franco, A. The Use of 3D-Echo in Edge-to-Edge Percutaneous Tricuspid Valve Repair. J. Clin. Med. 2025, 14, 684. https://doi.org/10.3390/jcm14030684
Passaniti G, Safi LM, Granot YN, Sarullo FM, Caldonazo T, Rong LQ, Fiore C, Di Franco A. The Use of 3D-Echo in Edge-to-Edge Percutaneous Tricuspid Valve Repair. Journal of Clinical Medicine. 2025; 14(3):684. https://doi.org/10.3390/jcm14030684
Chicago/Turabian StylePassaniti, Giulia, Lucy M. Safi, Yoav Niv Granot, Filippo M. Sarullo, Tulio Caldonazo, Lisa Q. Rong, Corrado Fiore, and Antonino Di Franco. 2025. "The Use of 3D-Echo in Edge-to-Edge Percutaneous Tricuspid Valve Repair" Journal of Clinical Medicine 14, no. 3: 684. https://doi.org/10.3390/jcm14030684
APA StylePassaniti, G., Safi, L. M., Granot, Y. N., Sarullo, F. M., Caldonazo, T., Rong, L. Q., Fiore, C., & Di Franco, A. (2025). The Use of 3D-Echo in Edge-to-Edge Percutaneous Tricuspid Valve Repair. Journal of Clinical Medicine, 14(3), 684. https://doi.org/10.3390/jcm14030684

