Asymmetry Management During 3D-Guided Piezocorticotomy-Assisted MARPE Treatment with Direct Printed Aligners: Case Report
Abstract
1. Introduction
2. Materials and Methods
2.1. Pre-Treatment Records and Analysis
2.2. Pre-Treatment Diagnosis
2.3. Procedures and Appliances
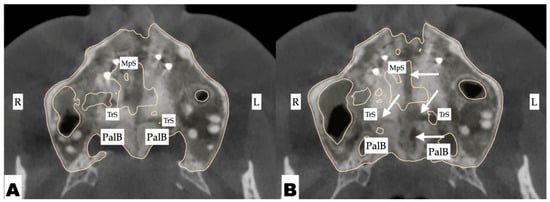
2.3.1. Surgical Protocol
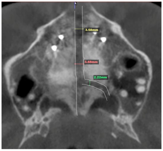
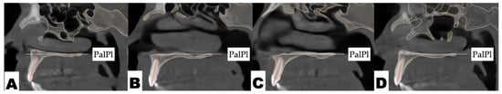
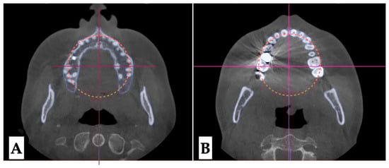
2.3.2. Design of 3D Surgical Guide
2.3.3. Osteotomy Planning and Appliance Design
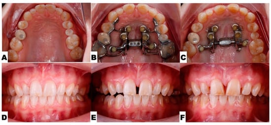
2.3.4. Postoperative Assessment, Outcome Analysis, and Asymmetry Correction
| Tooth | Inclination Before Expansion, Degrees | Inclination After Expansion, Degrees | Difference, Degrees |
|---|---|---|---|
| Max Left Lateral Inc | 92 | 101 | +9 |
| Max Left Centr Inc | 99 | 108 | +9 |
| Max Right Centr Inc | 101 | 102 | +1 |
| Max Right Lat Inc | 100 | 106 | +6 |
2.4. Pre-Restorative Records
3. Results
4. Discussion
5. Conclusions
6. Patents
Author Contributions
Funding
Institutional Review Board Statement
Informed Consent Statement
Data Availability Statement
Conflicts of Interest
Abbreviations
| MARPE | Miniscrew-Assisted Rapid Palatal Expansion |
| ANS | Anterior Nasal Spine |
| PNS | Posterior Nasal Spine |
| DPA | Directly Printed Aligner |
| CBCT | Cone-Beam Computer Tomography |
| MSE | Maxillary Skeletal Expander |
References
- Brunetto, D.P.; Moschik, C.E.; Dominguez-Mompell, R.; Jaria, E.; Sant’Anna, E.F.; Moon, W. Mini-implant assisted rapid palatal expansion (MARPE) effects on adult obstructive sleep apnea (OSA) and quality of life: A multi-center prospective controlled trial. Prog. Orthod. 2022, 23, 3. [Google Scholar] [CrossRef]
- Cantarella, D.; Dominguez-Mompell, R.; Moschik, C.; Sfogliano, L.; Elkenawy, I.; Pan, H.C.; Mallya, S.M.; Moon, W. Zygomaticomaxillary modifications in the horizontal plane induced by micro-implant-supported skeletal expander, analyzed with CBCT images. Prog. Orthod. 2018, 19, 41. [Google Scholar] [CrossRef]
- Cantarella, D.; Karanxha, L.; Zanata, P.; Moschik, C.; Torres, A.; Savio, G.; Del Fabbro, M.; Moon, W. Digital Planning and Manufacturing of Maxillary Skeletal Expander for Patients with Thin Palatal Bone. Med. Devices 2021, 14, 299–311. [Google Scholar] [CrossRef]
- Zárate-Guerra, D.C.; Gutiérrez-Tapia, G. [Structural changes in the craniofacial complex induced by microimplant-supported skeletal expander–MSE. A review]. Rev. Cient. Odontol. 2025, 13, e243. [Google Scholar] [CrossRef]
- Barton, B.; Jamieson, S.; Del Santo, M.; Vich, M.L.; Liu, D.; Yadav, S.; Mehta, S.Y. Long-term assessment of skeletal and dental asymmetry after conventional and mini-implant-assisted rapid palatal expansion. Am. J. Orthod. Dentofac. Orthop. 2025, 167, 399–408.e1. [Google Scholar] [CrossRef] [PubMed]
- Fan, Y.; Li, Y.; Fan, M.; Lin, Y.; Xu, J.; Li, Z.; Luo, J. Successful treatment for an adult with bilateral posterior teeth crossbite by miniscrew-assisted rapid palatal expansion: A case report. Clin. Case Rep. 2024, 12, e9216. [Google Scholar] [CrossRef]
- Büyükçavuş, M.H.; Albayrak, E.; Findik, Y. Miniscrew-assisted Rapid Palatal Expansion Before Orthognathic Surgery for a Patient with Laterognathia. J. Craniofac. Surg. 2025, 36, e237–e241. [Google Scholar] [CrossRef] [PubMed]
- Takagi, T.; Tanaka, E. An adult case of unilateral posterior crossbite caused by maxillary transverse deficiency treated with miniscrew-assisted rapid palatal expansion. J. Stomatol. Oral. Maxillofac. Surg. 2023, 124, 101443. [Google Scholar] [CrossRef]
- Almaqrami, B.S.; Alhammadi, M.S.; Al-Somairi, M.A.A.; ALyafrusee, E.S.; Xiong, H.; He, H. Three-dimensional assessment of asymmetric mid-palatal suture expansion assisted by a customized microimplant-supported rapid palatal expander in non-growing patients: Uncontrolled Clinical Trial. Orthod. Craniofac Res. 2022, 25, 234–242. [Google Scholar] [CrossRef]
- Kim, K.-A.; Oh, S.-H.; Kim, B.-H.; Kim, S.-J. Asymmetric nasomaxillary expansion induced by tooth-bone-borne expander producing differential craniofacial changes. Orthod. Craniofac Res. 2019, 22, 296–303. [Google Scholar] [CrossRef] [PubMed]
- Koval, S.; Kolesnyk, V.; Chepanova, D. Applications of the Novel Midpalatal Piezocorticotomy Guide for MARPE Midfacial Skeletal Expansion. J. Clin. Med. 2025, 14, 4728. [Google Scholar] [CrossRef]
- Vedavathi, H.K.; Roy, P.; Shashanka, P.K.P.; Kyathanahalli Subbaiah, S. Orbito-Condylion and Orbito-Basion Lines as Alternatives to Frankfurt and Sella- Nasion Lines in Cephalometry. Iran. J. Orthod. 2022, 17, 1–6. [Google Scholar] [CrossRef]
- Arnett, G.W.; Bergman, R.T. Facial keys to orthodontic diagnosis and treatment planning. Part I. Am. J. Orthod. Dentofacial Orthop. 1993, 103, 299–312. [Google Scholar] [CrossRef]
- Arnett, G.W.; Jelic, J.S.; Kim, J.; Cummings, D.R.; Beress, A.; Worley, C.M.; Chung, B.; Bergman, R. Soft tissue cephalometric analysis: Diagnosis and treatment planning of dentofacial deformity. Am. J. Orthod. Dentofacial Orthop. 1999, 116, 239–253. [Google Scholar] [CrossRef]
- Chun, J.-H.; de Castro, A.C.R.; Oh, S.; Kim, K.-H.; Choi, S.-H.; Nojima, L.I.; Lee, K.-J. Skeletal and alveolar changes in conventional rapid palatal expansion (RPE) and miniscrew-assisted RPE (MARPE): A prospective randomized clinical trial using low-dose CBCT. BMC Oral. Health 2022, 22, 114. [Google Scholar] [CrossRef]
- Mehta, S.; Arqub, S.A.; Vishwanath, M.; Upadhyay, M.; Yadav, S. Biomechanics of conventional and miniscrew-assisted rapid palatal expansion. J. World Fed. Orthod. 2024, 13, 105–112. [Google Scholar] [CrossRef] [PubMed]
- Carlson, C.; Sung, J.; McComb, R.W.; Machado, A.W.; Moon, W. Microimplant-assisted rapid palatal expansion appliance to orthopedically correct transverse maxillary deficiency in an adult. Am. J. Orthod. Dentofacial Orthop. 2016, 149, 716–728. [Google Scholar] [CrossRef]
- Choi, S.-H.; Jeon, J.Y.; Lee, K.-J.; Hwang, C.-J. Clinical applications of miniscrews that broaden the scope of non-surgical orthodontic treatment. Orthod. Craniofac. Res. 2021, 24 (Suppl. S1), 48–58. [Google Scholar] [CrossRef]
- Bud, E.S.; Bică, C.I.; Păcurar, M.; Vaida, P.; Vlasa, A.; Martha, K.; Bud, A. Observational Study Regarding Possible Side Effects of Miniscrew-Assisted Rapid Palatal Expander (MARPE) with or without the Use of Corticopuncture Therapy. Biology 2021, 10, 187. [Google Scholar] [CrossRef] [PubMed]
- Torkomian, T.; de la Iglesia, F.; Puigdollers, A. 3D-printed clear aligners: An emerging alternative to the conventional thermoformed aligners?—A systematic review. J. Dent. 2025, 155, 105616. [Google Scholar] [CrossRef] [PubMed]
- Ludwig, B.; Ojima, K.; Schmid, J.Q.; Knode, V.; Nanda, R. Direct-printed aligners: A clinical status report. J. Clin. Orthod. 2024, 58, 658–668. [Google Scholar] [PubMed]
- Lee, S.Y.; Kim, H.; Kim, H.-J.; Chung, C.J.; Choi, Y.J.; Kim, S.-J.; Cha, J.-Y. Thermo-mechanical properties of 3D printed photocurable shape memory resin for clear aligners. Sci. Rep. 2022, 12, 6246. [Google Scholar] [CrossRef] [PubMed]



















| Measurement | Description |
|---|---|
| ANS projection to True Vertical Line (TVL) | Horizontal distance from ANS to TVL (negative values indicate location caudal to TVL, while positive values indicate rostral to TVL) |
| Mx Incisor R to TVL | Horizontal distance from the right maxillary central incisor to TVL |
| Mx Incisor L to TVL | Horizontal distance from the left maxillary central incisor to TVL |
| Upper Right Canine to TVL | Horizontal distance from the right maxillary canine to TVL |
| Upper Left Canine to TVL | Horizontal distance from the left maxillary canine to TVL |
| Upper Right Molar to TVL | Horizontal distance from the right maxillary first molar to TVL |
| Upper Left Molar to TVL | Horizontal distance from the left maxillary first molar to TVL |
| Mx33 Cant | Maxillary canine line cant |
| Mx Molar width Difference | Difference from the right maxillary first molar to the maxillary midline compared to the distance from the left maxillary molar to the maxillary midline (positive values indicate the right-side value is higher than the left-side value) |
| Zyg Arch | Difference in right zygomatic arch distance to the maxillary midline compared to the left zygomatic–maxillary midline distance |
| Lat Orb Rim | Difference in right lateral orbital rim distance to the facial midline compared to the left lateral orbital rim distance |
| Mx Incisor to THL (Na) | Projection from the incisal edge of the maxillary central incisor to the True Horizontal Line through Na |
| Mx Canine R | Projection from the incisal edge of the maxillary right canine to the True Horizontal Line through Nasion |
| Mx Canine L | Projection from the incisal edge of the maxillary left canine to the True Horizontal Line through Nasion |
| Mx Molar R | Distance from the Right Maxillary Molar Yaw Point to the Midfacial Midline |
| Mx Molar L | Distance from the Left Maxillary Molar Yaw Point to the Midfacial Midline |
| Zyg Arch R | Distance From the Right Zygomatic Arch to the Midfacial Midline |
| Zyg Arch L | Distance From the Left Zygomatic Arch to the Midfacial Midline |
| Lat Orb Rim R | Distance from the Lateral Aspect of the Right Orbital Rim to the Midfacial Midline |
| Lat Orb Rim L | Distance from the Lateral Aspect of the Left Orbital Rim to the Midfacial Midline |
| Measurement | Before Treatment | Post-Expansion | Post-Aligner |
|---|---|---|---|
| ANS projection to True Vertical Line (TVL), mm | −9.5 | −14.1 | −10.2 |
| Mx Incisor R to TVL, mm | −16.1 | −16.1 | −14.6 |
| Mx Incisor L to TVL, mm | −15.9 | −14.7 | −14.1 |
| Upper Right Canine to TVL, mm | −22.7 | −22.8 | −19.9 |
| Upper Left Canine to TVL, mm | −21.9 | −19.6 | −17.5 |
| Upper Right Molar to TVL, mm | −40.1 | −41.6 | −38.2 |
| Upper Left Molar to TVL, mm | −37.5 | −35.6 | −34.0 |
| Mx33 Cant, degrees | −1.0 | −0.2 | −0.3 |
| Mx Molar width Difference, mm | 4.0 | −2.4 | −3.1 |
| Zyg Arch, mm | 1.7 | −1.3 | −2.8 |
| Lat Orb Rim, mm | 1.2 | −1.3 | −0.9 |
| Mx Incisor to THL (Na), mm | 69.7 | 69.8 | 61.2 |
| Mx Canine R, mm | 68.5 | 69.2 | 60.6 |
| Mx Canine L, mm | 69.5 | 69.5 | 60.9 |
| Mx Molar R, mm | 30.1 | 28.1 | 28.0 |
| Mx Molar L, mm | 26.1 | 30.5 | 31.1 |
| Zyg Arch R, mm | 54.5 | 54.2 | 53.3 |
| Zyg Arch L, mm | 52.8 | 55.6 | 56.1 |
| Lat Orb Rim R, mm | 51.2 | 50.5 | 50.9 |
| Lat Orb Rim L, mm | 50.0 | 51.8 | 51.8 |
Disclaimer/Publisher’s Note: The statements, opinions and data contained in all publications are solely those of the individual author(s) and contributor(s) and not of MDPI and/or the editor(s). MDPI and/or the editor(s) disclaim responsibility for any injury to people or property resulting from any ideas, methods, instructions or products referred to in the content. |
© 2025 by the authors. Licensee MDPI, Basel, Switzerland. This article is an open access article distributed under the terms and conditions of the Creative Commons Attribution (CC BY) license (https://creativecommons.org/licenses/by/4.0/).
Share and Cite
Koval, S.; Kolesnyk, V.; Chepanova, D. Asymmetry Management During 3D-Guided Piezocorticotomy-Assisted MARPE Treatment with Direct Printed Aligners: Case Report. J. Clin. Med. 2025, 14, 7773. https://doi.org/10.3390/jcm14217773
Koval S, Kolesnyk V, Chepanova D. Asymmetry Management During 3D-Guided Piezocorticotomy-Assisted MARPE Treatment with Direct Printed Aligners: Case Report. Journal of Clinical Medicine. 2025; 14(21):7773. https://doi.org/10.3390/jcm14217773
Chicago/Turabian StyleKoval, Svitlana, Viktoriia Kolesnyk, and Daria Chepanova. 2025. "Asymmetry Management During 3D-Guided Piezocorticotomy-Assisted MARPE Treatment with Direct Printed Aligners: Case Report" Journal of Clinical Medicine 14, no. 21: 7773. https://doi.org/10.3390/jcm14217773
APA StyleKoval, S., Kolesnyk, V., & Chepanova, D. (2025). Asymmetry Management During 3D-Guided Piezocorticotomy-Assisted MARPE Treatment with Direct Printed Aligners: Case Report. Journal of Clinical Medicine, 14(21), 7773. https://doi.org/10.3390/jcm14217773

