Challenges in Diagnosing Adolescent Goiter: A Case Report with Brief Literature Insights in Juvenile Desmoid-Type Fibromatosis of the Thyroid Gland
Abstract
1. Introduction
2. Case Report
2.1. Patient Information
2.2. Symptoms and Clinical Findings
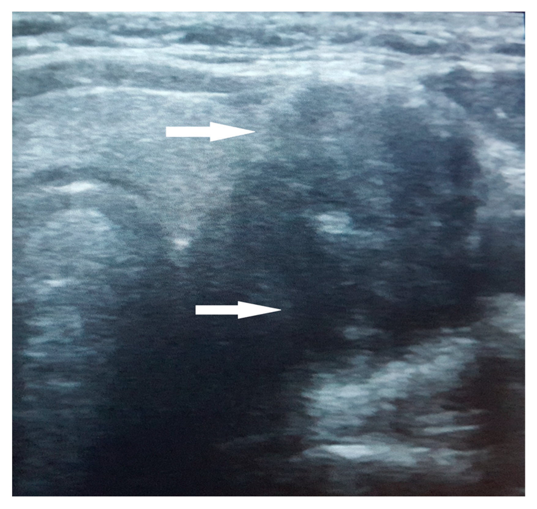
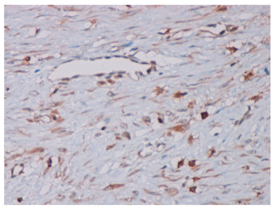
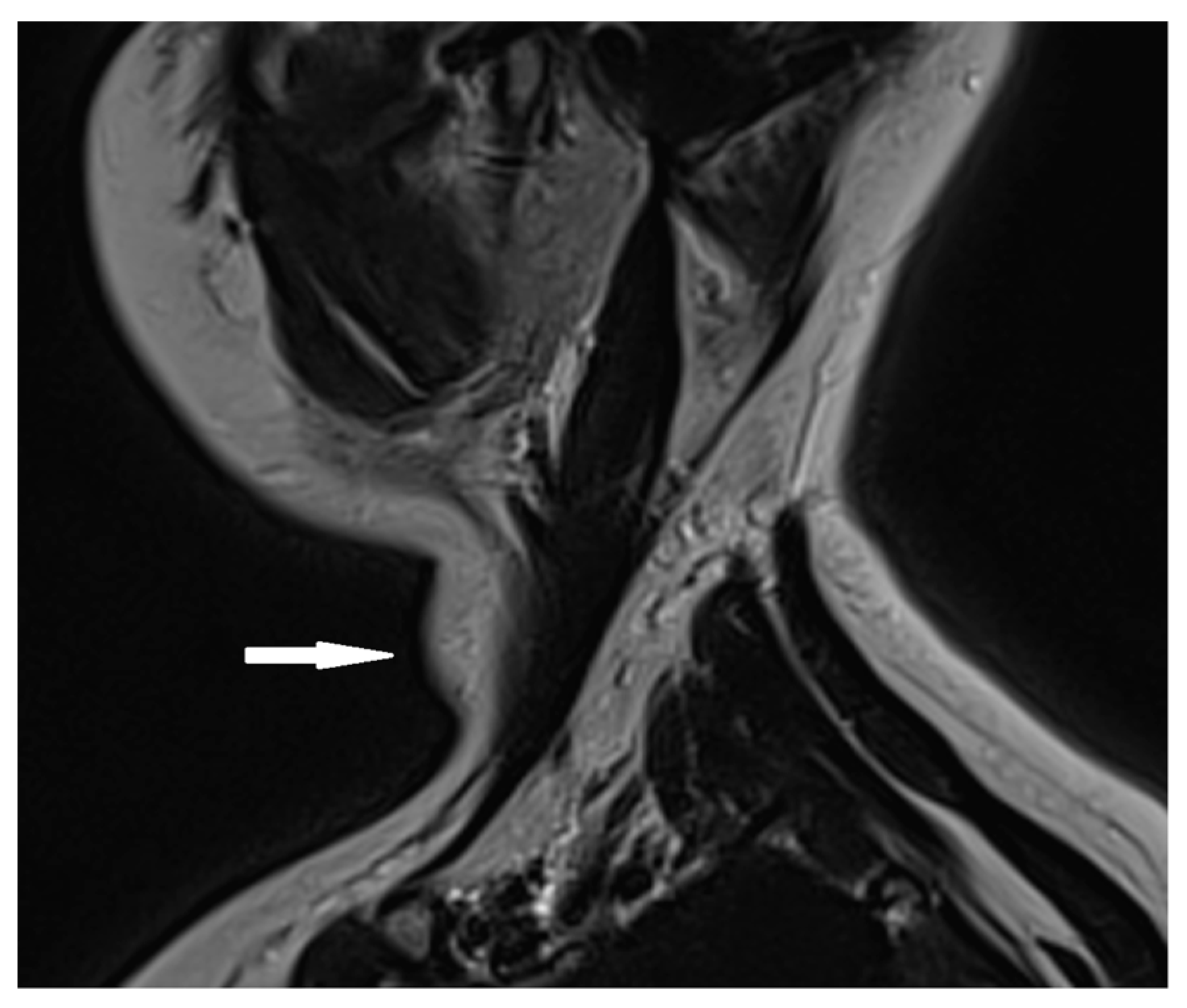
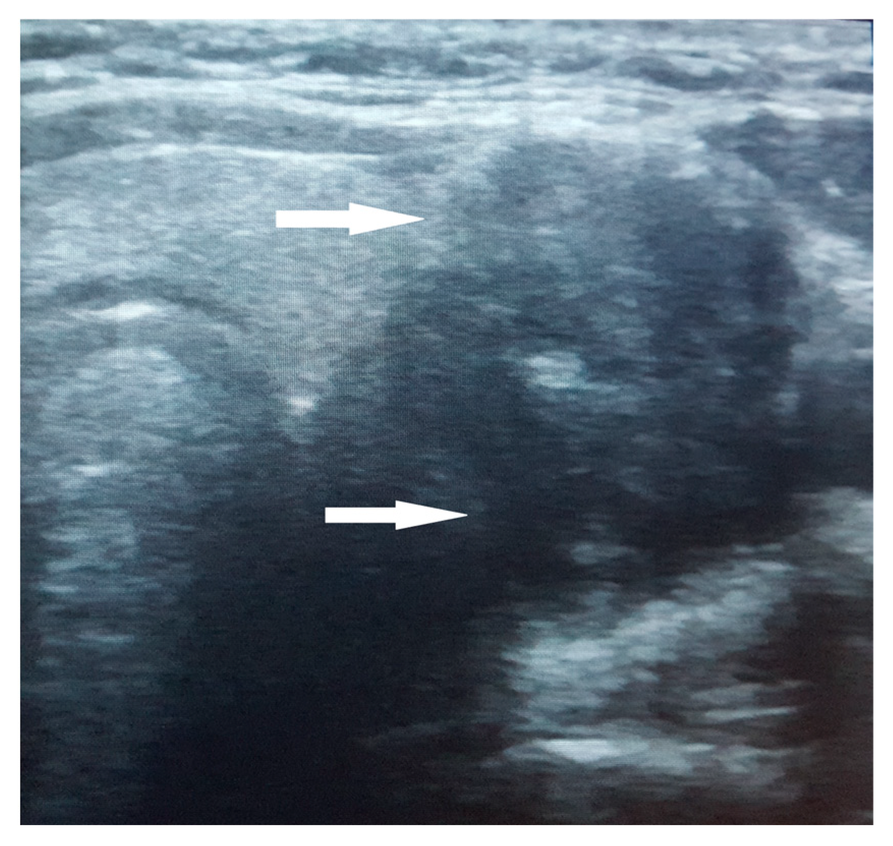
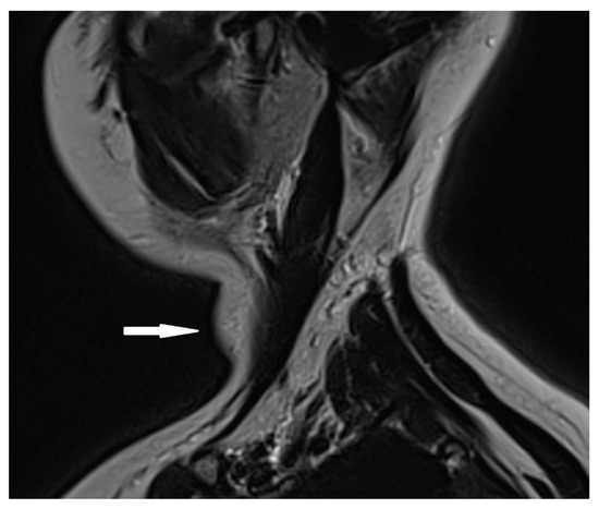
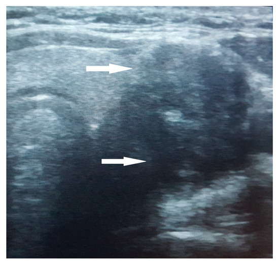
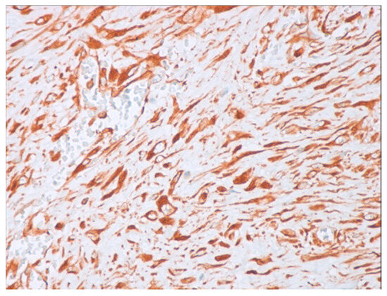
2.3. Biological and Paraclinical Assessment
2.4. Therapeutic Intervention
2.5. Follow-Up
3. Methods
4. Discussion
4.1. Definition and Epidemiology
4.2. Clinical Manifestations
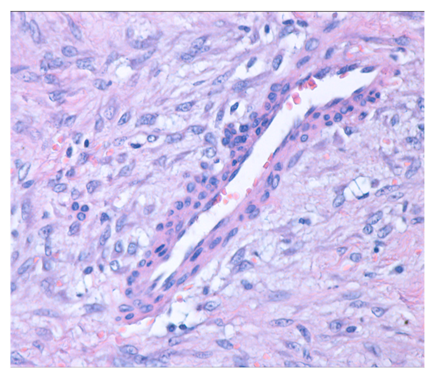
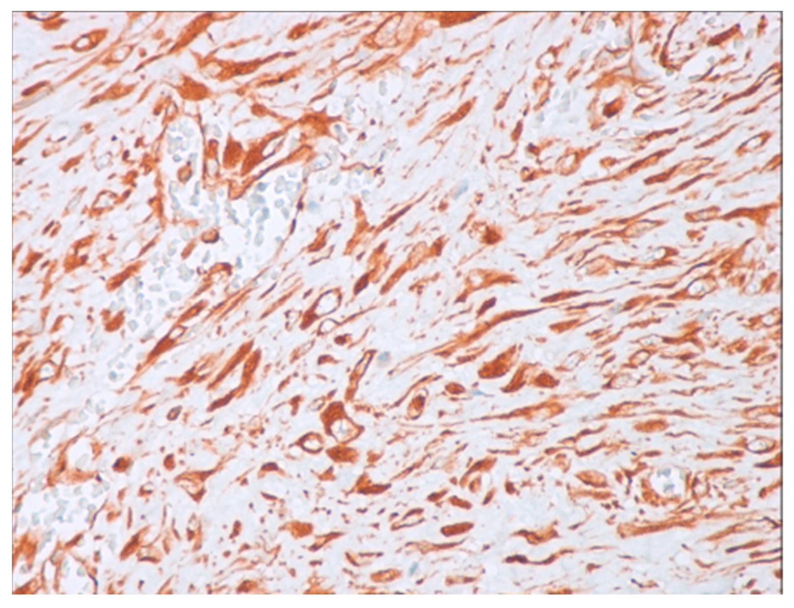
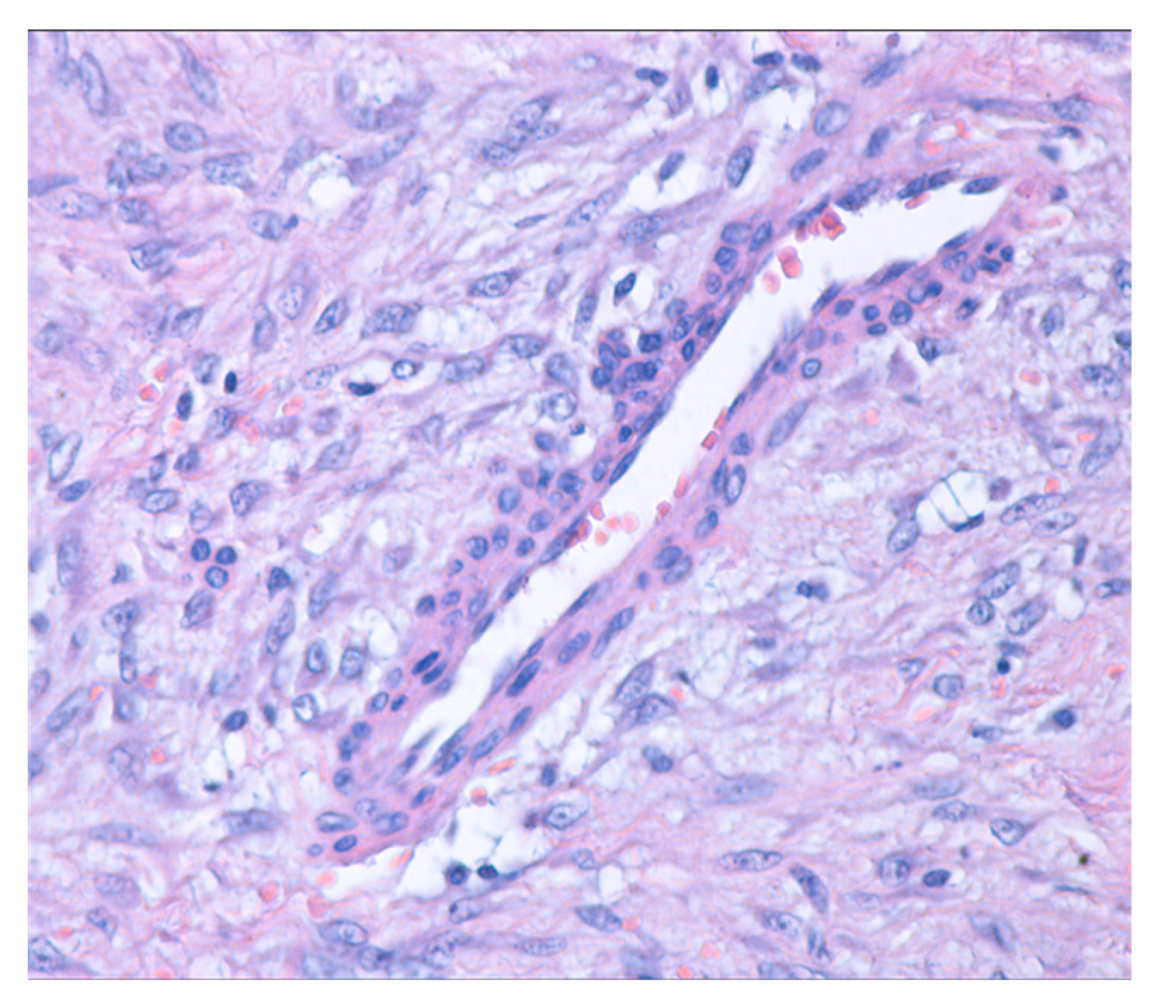
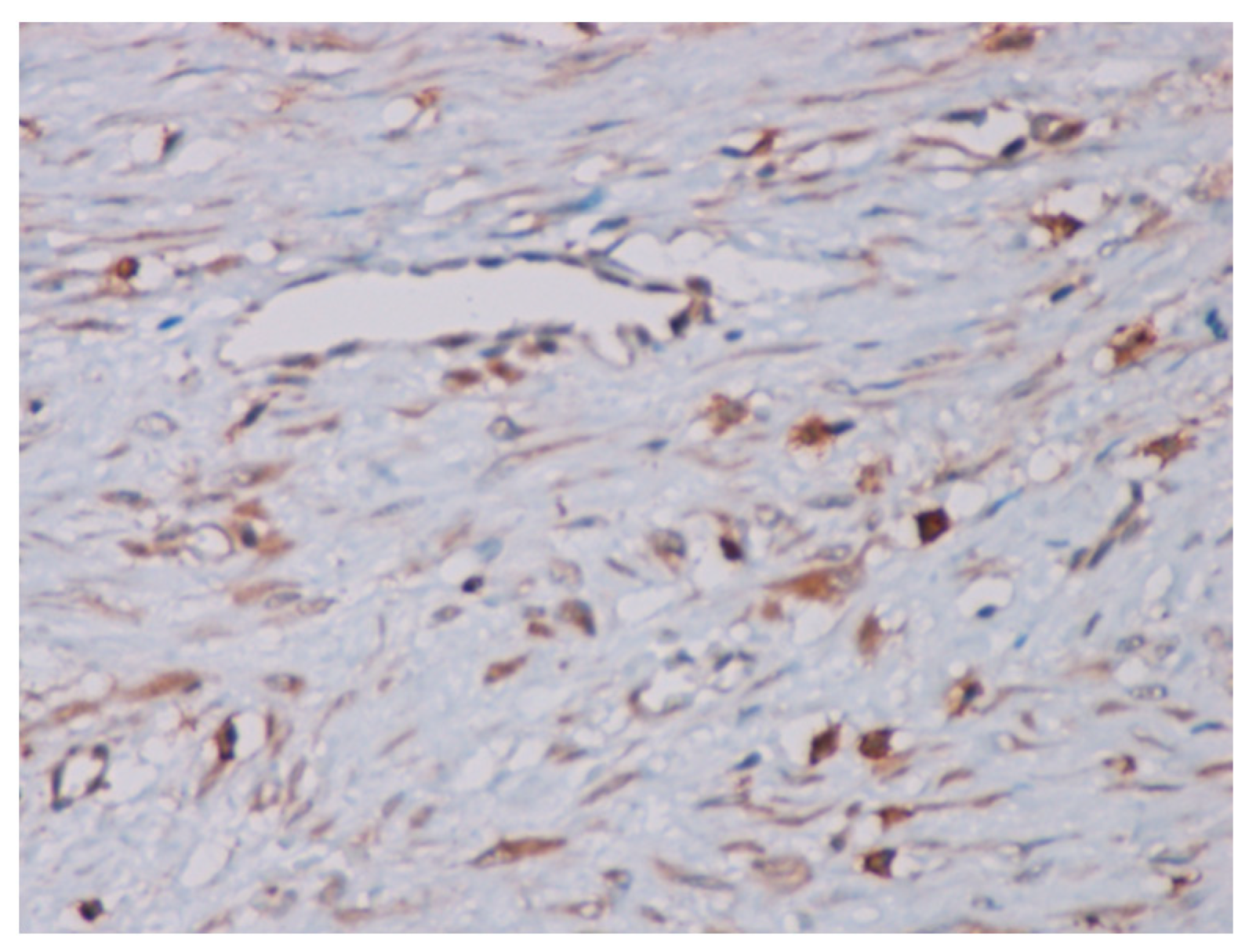
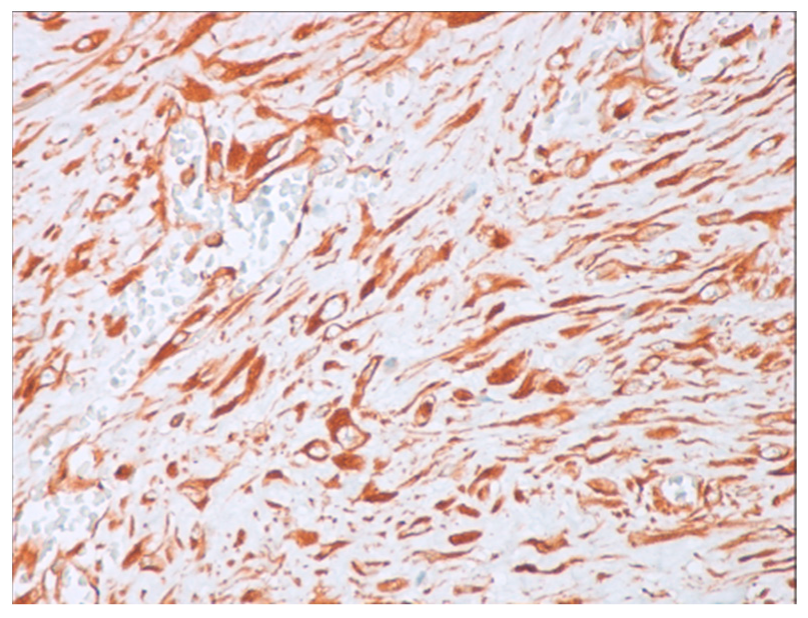
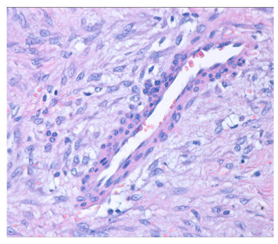
4.3. Histopathological Diagnosis
4.4. Pathology
4.5. Treatment
5. Conclusions
Author Contributions
Funding
Institutional Review Board Statement
Informed Consent Statement
Data Availability Statement
Acknowledgments
Conflicts of Interest
References
- Unlu, M.T.; Kostek, M.; Aygun, N.; Isgor, A.; Uludag, M. Non-Toxic Multinodular Goiter: From Etiopathogenesis to Treatment. Sisli Etfal Hast. Tip Bul. 2022, 56, 21–40. [Google Scholar] [CrossRef] [PubMed]
- Lung, H.; Hsiao, E.C.; Wentworth, K.L. Advances in Models of Fibrous Dysplasia/McCune-Albright Syndrome. Front. Endocrinol. 2020, 10, 925. [Google Scholar] [CrossRef] [PubMed]
- Dalili, S.; Zamanfar, D.; Hassanzadeh, R.A.; Najafi, C.S. Total Insights on Goiter in Children: A Mini-review. J. Rev. 2022, 10, 145–154. [Google Scholar] [CrossRef]
- Kerr, C.E.; Hackman, S.D.; Francis, G.L. Thyroid Nodules in Children and Adolescents. J. Endocrinol. Sci. 2020, 2, 16–20. [Google Scholar] [CrossRef]
- Sandy, J.L.; Titmuss, A.; Hameed, S.; Cho, Y.H.; Sandler, G.; Benitez-Aguirre, P. Thyroid nodules in children and adolescents: Investigation and management. J. Paediatr. Child Health 2022, 58, 2163–2168. [Google Scholar] [CrossRef]
- Kostopoulou, E.; Koliofoti, E.G.; Spilioti, D.X.; Miliordos, K.; Skiadopoulos, S.; Gil, A.P.R.; Fouzas, S.; Sinopidis, X.; Spiliotis, B.E. Diagnosis of Thyroid Nodules in Children and Adolescents with Subclinical Hypothyroidism and Their Outcomes after Early Thyroxine Treatment—A Longitudinal Study. Diagnostics 2024, 14, 1528. [Google Scholar] [CrossRef]
- Francis, G.L.; Waguespack, S.G.; Bauer, A.J.; Angelos, P.; Benvenga, S.; Cerutti, J.M.; Dinauer, C.A.; Hamilton, J.; Hay, I.D.; Luster, M.; et al. Management Guidelines for Children with Thyroid Nodules and Differentiated Thyroid Cancer. Thyroid 2015, 25, 716–759. [Google Scholar] [CrossRef]
- Fryar, C.D.; Carroll, M.D.; Gu, Q.; Afful, J.; Ogden, C.L. Anthropometric reference data for children and adults: United States, 2015–2018. Vital Health Stat. 3 2021, 1–44. [Google Scholar]
- Asif, M.; Aslam, M.; Wyszyńska, J.; Altaf, S.; Ahmad, S. Diagnostic performance of neck circumference and cut-off values for identifying overweight and obese pakistani children: A receiver operating characteristic analysis. J. Clin. Res. Pediatr. Endocrinol. 2020, 12, 366–376. [Google Scholar] [CrossRef]
- Ashok, U.; Baliga, S.S.; Walvekar, P.R. Neck circumference measurement as a screening tool for obesity in children—A cross-sectional study. Clin. Epidemiol. Glob. Health 2021, 10, 100683. [Google Scholar] [CrossRef]
- Wilks, D.J.; Mowatt, D.J.; Merchant, W.; Liddington, M.I. Facial paediatric desmoid fibromatosis: A case series, literature review, and management algorithm. J. Plast. Reconstr. Aesthet. Surg. 2012, 65, 564–571. [Google Scholar] [CrossRef] [PubMed]
- Kasper, B.; Baumgarten, C.; Garcia, J.; Bonvalot, S.; Haas, R.; Haller, F.; Hohenberger, P.; Penel, N.; Messiou, C.; van der Graaf, W.T.; et al. An update on the management of sporadic desmoid-type fibromatosis: A European Consensus Initiative between Sarcoma PAtients EuroNet (SPAEN) and European Organization for Research and Treatment of Cancer (EORTC)/Soft Tissue and Bone Sarcoma Group (STBSG). Ann. Oncol. 2017, 28, 2399–2408. [Google Scholar] [CrossRef] [PubMed]
- Yoon, G.W.; Kim, J.D.; Chung, S.H. The analysis of treatment of aggressive fibromatosis using oral methotrexate chemotherapy. Clin. Orthop. Surg. 2014, 6, 439–442. [Google Scholar] [CrossRef] [PubMed]
- van Broekhoven, D.L.; Grünhagen, D.J.; den Bakker, M.A.; van Dalen, T.; Verhoef, C. Time trends in the incidence and treatment of extra-abdominal and abdominal aggressive fibromatosis: A population-based study. Ann. Surg. Oncol. 2015, 22, 2817–2823. [Google Scholar] [CrossRef]
- Lee, J.W.; Bewley, A.F.; Senders, C.W. Marginal versus segmental mandibulectomy for pediatric desmoid fibromatosis of the mandible—Two case reports and review of the literature. Int. J. Pediatr. Otorhinolaryngol. 2018, 109, 21–26. [Google Scholar] [CrossRef]
- de Pinieux, G.; Karanian, M.; Le Loarer, F.; Le Guellec, S.; Chabaud, S.; Terrier, P.; Bouvier, C.; Batistella, M.; Neuville, A.; Robin, Y.M.; et al. NetSarc/RePPS/ResSos and French Sarcoma Group-Groupe d’Etude des Tumeurs Osseuses (GSF-GETO) networks Nationwide incidence of sarcomas and connective tissue tumors of intermediate malignancy over four years using an expert pathology review network. PLoS ONE 2021, 16, e0246958. [Google Scholar] [CrossRef]
- Paul, A.; Blouin, M.J.; Minard-Colin, V.; Galmiche, L.; Coulomb, A.; Corradini, N.; Boutroux, H.; Van den Abbeele, T.; Leboulanger, N.; Denoyelle, F.; et al. Desmoid-type fibromatosis of the head and neck in children: A changing situation. Int. J. Pediatr. Otorhinolaryngol. 2019, 123, 33–37. [Google Scholar] [CrossRef] [PubMed]
- Lakhan, S.E.; Eager, R.M.; Harle, L. Aggressive juvenile fibromatosis of the paranasal sinuses: Case report and brief review. J. Hematol. Oncol. 2008, 1, 3. [Google Scholar] [CrossRef]
- Singh, B.K.; Chumber, S.; Rathore, Y.S.; Agarwal, S.; Rastogi, S.; Surabhi, V. Recurrent Desmoid Fibromatosis of the Thyroid Gland: A Diagnostic Challenge. J. ASEAN Fed. Endocr. Soc. 2023, 38, 120–124. [Google Scholar] [CrossRef]
- Khaladj-Ghom, A.; Isaiah, A.; Caccamese, J.F.; Pereira, K.D. Facial Desmoid Tumor in a 2-Year-Old. Ear Nose Throat J. 2020, 99, NP3–NP5. [Google Scholar] [CrossRef]
- Bg, B.; Rastogi, S.; Dhamija, E.; Barwad, A. Recurrent Aggressive Fibromatosis Coexisting With Papillary Carcinoma Thyroid—Case Report. Rare Tumors 2023, 15, 20363613231172868. [Google Scholar] [CrossRef] [PubMed]
- Li, Y.; Li, S.; Qi, X.; Fu, W.; Zhang, F.; Yang, X. Aggressive fibromatosis-associated with papillary thyroid cancer: Two cases and a brief review. Transl. Cancer Res. 2019, 8, 2211–2215. [Google Scholar] [CrossRef]
- Ramírez Stieben, L.A.; Pozzi, D. Papillary thyroid carcinoma with desmoid fibromatosis: A case report and review of literature. Rev. Fac. Cien Med. Univ. Nac. Cordoba 2023, 80, 289–300. [Google Scholar] [CrossRef]
- Taneja, V.; Tatavarthy, S.; Gupta, A. A Rare and Interesting Case of Mediastinal Fibromatosis. J. Surg. 2017, 13, 47–49. [Google Scholar]
- Fortunati, D.; Kaplan, J.; López Martí, J.; Ponzone, A.; Innocenti, S.; Fiscina, S.; Cacciavillano, W.; Zubizarreta, P.; Rose, A. Desmoid-type fibromatosis in children. Clinical features, treatment response, and long-term follow-up. Fibromatosis tipo desmoide en niños. Características, respuesta al tratamiento y seguimiento a largo plazo. Medicina 2020, 80, 495–504. [Google Scholar]
- Kumar, A.; Mehra, R.; Narain, T.; Garg, N.; Agrawal, P. A rare case of Juvenile Fibromatosis infiltrating neck subcutis in a 3-year old girl. APALM 2016, 3, C78–C81. [Google Scholar]
- Miyashita, H.; Asoda, S.; Soma, T.; Munakata, K.; Yazawa, M.; Nakagawa, T.; Kawana, H. Desmoid-type fibromatosis of the head and neck in children: A case report and review of the literature. J. Med. Case Rep. 2016, 10, 173. [Google Scholar] [CrossRef] [PubMed][Green Version]
- Lebbink, C.A.; Links, T.P.; Czarniecka, A.; Dias, R.P.; Elisei, R.; Izatt, L.; Krude, H.; Lorenz, K.; Luster, M.; Newbold, K.; et al. 2022 European Thyroid Association Guidelines for the management of pediatric thyroid nodules and differentiated thyroid carcinoma. Eur. Thyroid J. 2022, 11, e220146. [Google Scholar] [CrossRef] [PubMed]
- Zreik, R.T.; Fritchie, K.J. Morphologic Spectrum of Desmoid-Type Fibromatosis. Am. J. Clin. Pathol. 2016, 145, 332–340. [Google Scholar] [CrossRef]
- Lacka, D.E.; Nasierowska-Guttmejer, A. Fibromatosis—Immunohistochemical evaluation, differential diagnosis from gastrointestinal tumors, and other mesenchymal tumors. Prz. Gastroenterol. 2019, 14, 79–85. [Google Scholar] [CrossRef]
- Rebecchini, C.; Nobile, A.; Piana, S.; Sarro, R.; Bisig, B.; Gerasimos, S.P.; Saglietti, C.; Matter, M.; Marino, L.; Bongiovanni, M. Papillary thyroid carcinoma with nodular fasciitis-like stroma and β-catenin mutations should be renamed papillary thyroid carcinoma with desmoid-type fibromatosis. Mod. Pathol. 2017, 30, 236–245. [Google Scholar] [CrossRef] [PubMed]
- Klonaris, D.A.; Karatzanis, A.D.; Velegrakis, S.G.; Lagoudakis, E.D.; Prokopakis, E.P.; Velegrakis, G.A. Recurrent Desmoid Tumor of the Neck: A Case Report of a Benign Disease with Aggressive Behavior. Case Rep. Otolaryngol. 2018, 2018, 6573587. [Google Scholar] [CrossRef] [PubMed]
- Crago, A.M.; Chmielecki, J.; Rosenberg, M.; O’Connor, R.; Byrne, C.; Wilder, F.G.; Thorn, K.; Agius, P.; Kuk, D.; Socci, N.D.; et al. Near universal detection of alterations in CTNNB1 and Wnt pathway regulators in desmoid-type fibromatosis by whole-exome sequencing and genomic analysis. Genes Chromosomes Cancer 2015, 54, 606–615. [Google Scholar] [CrossRef] [PubMed]
- Trautmann, M.; Rehkämper, J.; Gevensleben, H.; Becker, J.; Wardelmann, E.; Hartmann, W.; Grünewald, I.; Huss, S. Novel pathogenic alterations in pediatric and adult desmoid-type fibromatosis—A systematic analysis of 204 cases. Sci. Rep. 2020, 10, 3368. [Google Scholar] [CrossRef] [PubMed]
- Risoud, M.; Mortuaire, G.; Leroy, X.; Leblond, P.; Fayoux, P. Desmoid tumours of the head and neck in children: Review of management. Eur. Ann. Otorhinolaryngol. Head Neck Dis. 2017, 134, 155–160. [Google Scholar] [CrossRef] [PubMed]
- Meazza, C.; Belfiore, A.; Busico, A.; Settanni, G.; Paielli, N.; Cesana, L.; Ferrari, A.; Chiaravalli, S.; Massimino, M.; Gronchi, A.; et al. AKT1 and BRAF mutations in pediatric aggressive fibromatosis. Cancer Med. 2016, 5, 1204–1213. [Google Scholar] [CrossRef]
- Kasper, B.; Baumgarten, C.; Bonvalot, S.; Haas, R.; Haller, F.; Hohenberger, P.; Moreau, G.; van der Graaf, W.T.; Gronchi, A.; Desmoid Working Group. Management of sporadic desmoid-type fibromatosis: A European consensus approach based on patients’ and professionals’ expertise—A sarcoma patients EuroNet and European Organisation for Research and Treatment of Cancer/Soft Tissue and Bone Sarcoma Group initiative. Eur. J. Cancer 2015, 51, 127–136. [Google Scholar]
- Martinez Trufero, J.; Pajares Bernad, I.; Torres Ramon, I.; Hernando, C.J.; Pazo Cid, R. Desmoid Type Fibromatosis: Who, When, and How to Treat. Curr. Treat. Options Oncol. 2017, 18, 29. [Google Scholar] [CrossRef]
- Fiore, M.; MacNeill, A.; Gronchi, A.; Colombo, C. Desmoid-Type Fibromatosis: Evolving Treatment Standards. Surg. Oncol. Clin. N. Am. 2016, 25, 803–826. [Google Scholar] [CrossRef] [PubMed]
- Koskenvuo, L.; Ristimäki, A.; Lepistö, A. Comparison of sporadic and FAP-associated desmoid-type fibromatoses. Surg. Oncol. 2017, 116, 716–721. [Google Scholar] [CrossRef] [PubMed]
- Cojocaru, E.; Gennatas, S.; Thway, K.; Fisher, C.; Smrke, A.; Strauss, D.; Hayes, A.; Smith, M.; Jones, R.L.; Benson, C.; et al. Approach to screening for Familial Adenomatous Polyposis (FAP) in a cohort of 226 patients with Desmoid-type Fibromatosis (DF): Experience of a specialist center in the UK. Fam. Cancer 2022, 21, 69–74. [Google Scholar] [CrossRef] [PubMed]
- Desmoid Tumor Working Group. The management of desmoid tumours: A joint global consensus-based guideline approach for adult and paediatric patients. Eur. J. Cancer 2020, 127, 96–107. [Google Scholar] [CrossRef]
- Kuryłowicz, A. Estrogens in Adipose Tissue Physiology and Obesity-Related Dysfunction. Biomedicines 2023, 11, 690. [Google Scholar] [CrossRef] [PubMed]
- Bektas, M.; Bell, T.; Khan, S.; Tumminello, B.; Fernandez, M.M.; Heyes, C.; Oton, A.B. Desmoid Tumors: A Comprehensive Review. Adv. Ther. 2023, 40, 3697–3722. [Google Scholar] [CrossRef] [PubMed]
- Zhang, Z.; Shi, J.; Yang, T.; Liu, T.; Zhang, K. Management of aggressive fibromatosis. Oncol. Lett. 2021, 21, 43. [Google Scholar] [PubMed]
- Orbach, D.; Brennan, B.; Bisogno, G.; Van Noesel, M.; Minard-Colin, V.; Daragjati, J.; Casanova, M.; Corradini, N.; Zanetti, I.; De Salvo, G.L.; et al. The EpSSG NRSTS 2005 treatment protocol for desmoid-type fibromatosis in children: An international prospective case series. Lancet Child Adolesc. Health 2017, 1, 284–292. [Google Scholar] [CrossRef] [PubMed]
- Grignol, V.P.; Pollock, R.; Howard, J.H. Management of Desmoids. Surg. Clin. N. Am. 2016, 96, 1015–1030. [Google Scholar] [CrossRef] [PubMed]
- Bhat, V.; Raju, P.; Rao, S.; Ramaiah, S. Infantile fibromatosis: A rare cause of anterior mediastinal mass in a child. J. Clin. Imaging Sci. 2015, 5, 34. [Google Scholar] [CrossRef] [PubMed]
- Sivanesan, E.; Gitlin, M.C. Desmoid Tumors: A Review of the Literature and Pharmacologic Management. J. Pain. Palliat. Care Pharmacother. 2016, 30, 99–105. [Google Scholar] [CrossRef]
- Al-Jazrawe, M.; Au, M.; Alman, B. Optimal therapy for desmoid tumors: Current options and challenges for the future. Expert Rev. Anticancer. Ther. 2015, 15, 1443–1458. [Google Scholar] [CrossRef] [PubMed]
- Gounder, M.M.; Mahoney, M.R.; Van Tine, B.A.; Ravi, V.; Attia, S.; Deshpande, H.A.; Gupta, A.A.; Milhem, M.M.; Conry, R.M.; Movva, S.; et al. Sorafenib for Advanced and Refractory Desmoid Tumors. N. Engl. J. Med. 2018, 379, 2417–2428. [Google Scholar] [CrossRef] [PubMed]
- Shkalim Zemer, V.; Toledano, H.; Kornreich, L.; Freud, E.; Atar, E.; Avigad, S.; Feinberg-Gorenshtein, G.; Fichman, S.; Issakov, J.; Dujovny, T.; et al. Sporadic desmoid tumors in the pediatric population: A single-center experience and review of the literature. J. Pediatr. Surg. 2017, 52, 1637–1641. [Google Scholar] [CrossRef] [PubMed]
- Ganeshan, D.; Amini, B.; Nikolaidis, P.; Assing, M.; Vikram, R. Current Update on Desmoid Fibromatosis. JCAT 2019, 43, 29–38. [Google Scholar] [CrossRef] [PubMed]
- Sparber-Sauer, M.; Orbach, D.; Navid, F.; Hettmer, S.; Skapek, S.; Corradini, N.; Casanova, M.; Weiss, A.; Schwab, M.; Ferrari, A. Rationale for the use of tyrosine kinase inhibitors in the treatment of paediatric desmoid-type fibromatosis. Br. J. Cancer 2021, 124, 1637–1646. [Google Scholar] [CrossRef]
- Jo, J.C.; Hong, Y.S.; Kim, K.P.; Lee, J.L.; Lee, J.; Park, Y.S.; Kim, S.Y.; Ryu, J.S.; Lee, J.S.; Kim, T.W. A prospective multicenter phase II study of sunitinib in patients with advanced aggressive fibromatosis. Investig. New Drugs. 2014, 32, 369–376. [Google Scholar] [CrossRef]
- Sari, M. Extra-abdominal aggressive fibromatosis treated with meloxicam and sorafenib: An encouraging option. J. Cancer Res. Ther. 2020, 16, 900–902. [Google Scholar] [CrossRef] [PubMed]
- Yang, S.; Wang, X.; Jiang, H.; Wang, Y.; Li, Z.; Lu, H. Effective treatment of aggressive fibromatosis with celecoxib guided by genetic testing. Cancer Biol. Ther. 2017, 18, 757–760. [Google Scholar] [CrossRef] [PubMed]
- Bulut, G.; Ozluk, A.; Erdogan, A.P.; Uslu, R.; Elmas, N.; Karaca, B. Pazopanib: A novel treatment option for aggressive fibromatosis. Clin. Sarcoma Res. 2016, 6, 22. [Google Scholar] [CrossRef]
- Higuchi, Y.; Motoki, T.; Ishida, H.; Kanamitsu, K.; Washio, K.; Oyama, T.; Noda, T.; Tsurumaru, Y.; Okada, A.; Tsukahara, H.; et al. Sorafenib treatment for papillary thyroid carcinoma with diffuse lung metastases in a child with autism spectrum disorder: A case report. BMC Cancer 2017, 17, 775. [Google Scholar] [CrossRef]







Disclaimer/Publisher’s Note: The statements, opinions and data contained in all publications are solely those of the individual author(s) and contributor(s) and not of MDPI and/or the editor(s). MDPI and/or the editor(s) disclaim responsibility for any injury to people or property resulting from any ideas, methods, instructions or products referred to in the content. |
© 2025 by the authors. Licensee MDPI, Basel, Switzerland. This article is an open access article distributed under the terms and conditions of the Creative Commons Attribution (CC BY) license (https://creativecommons.org/licenses/by/4.0/).
Share and Cite
Brad, G.-F.; Jugănaru, I.; Nicoară, D.-M.; Scutca, A.-C.; Bugi, M.-A.; Asproniu, R.; Chelu, A.-D.; Basaca, D.-G.; Corneanu, M.; Mărginean, O. Challenges in Diagnosing Adolescent Goiter: A Case Report with Brief Literature Insights in Juvenile Desmoid-Type Fibromatosis of the Thyroid Gland. J. Clin. Med. 2025, 14, 610. https://doi.org/10.3390/jcm14020610
Brad G-F, Jugănaru I, Nicoară D-M, Scutca A-C, Bugi M-A, Asproniu R, Chelu A-D, Basaca D-G, Corneanu M, Mărginean O. Challenges in Diagnosing Adolescent Goiter: A Case Report with Brief Literature Insights in Juvenile Desmoid-Type Fibromatosis of the Thyroid Gland. Journal of Clinical Medicine. 2025; 14(2):610. https://doi.org/10.3390/jcm14020610
Chicago/Turabian StyleBrad, Giorgiana-Flavia, Iulius Jugănaru, Delia-Maria Nicoară, Alexandra-Cristina Scutca, Meda-Ada Bugi, Raluca Asproniu, Alexandru-Daniel Chelu, Diana-Georgiana Basaca, Mărioara Corneanu, and Otilia Mărginean. 2025. "Challenges in Diagnosing Adolescent Goiter: A Case Report with Brief Literature Insights in Juvenile Desmoid-Type Fibromatosis of the Thyroid Gland" Journal of Clinical Medicine 14, no. 2: 610. https://doi.org/10.3390/jcm14020610
APA StyleBrad, G.-F., Jugănaru, I., Nicoară, D.-M., Scutca, A.-C., Bugi, M.-A., Asproniu, R., Chelu, A.-D., Basaca, D.-G., Corneanu, M., & Mărginean, O. (2025). Challenges in Diagnosing Adolescent Goiter: A Case Report with Brief Literature Insights in Juvenile Desmoid-Type Fibromatosis of the Thyroid Gland. Journal of Clinical Medicine, 14(2), 610. https://doi.org/10.3390/jcm14020610

