Clinical Outcomes Following a Switch of Therapy to Faricimab in Patients Affected by Neovascular Age-Related Macular Degeneration
Abstract
1. Introduction
2. Methods
2.1. Consent and Ethical Approval
2.2. Selection of Patients
2.3. Treatment Schedule and Injection Procedure
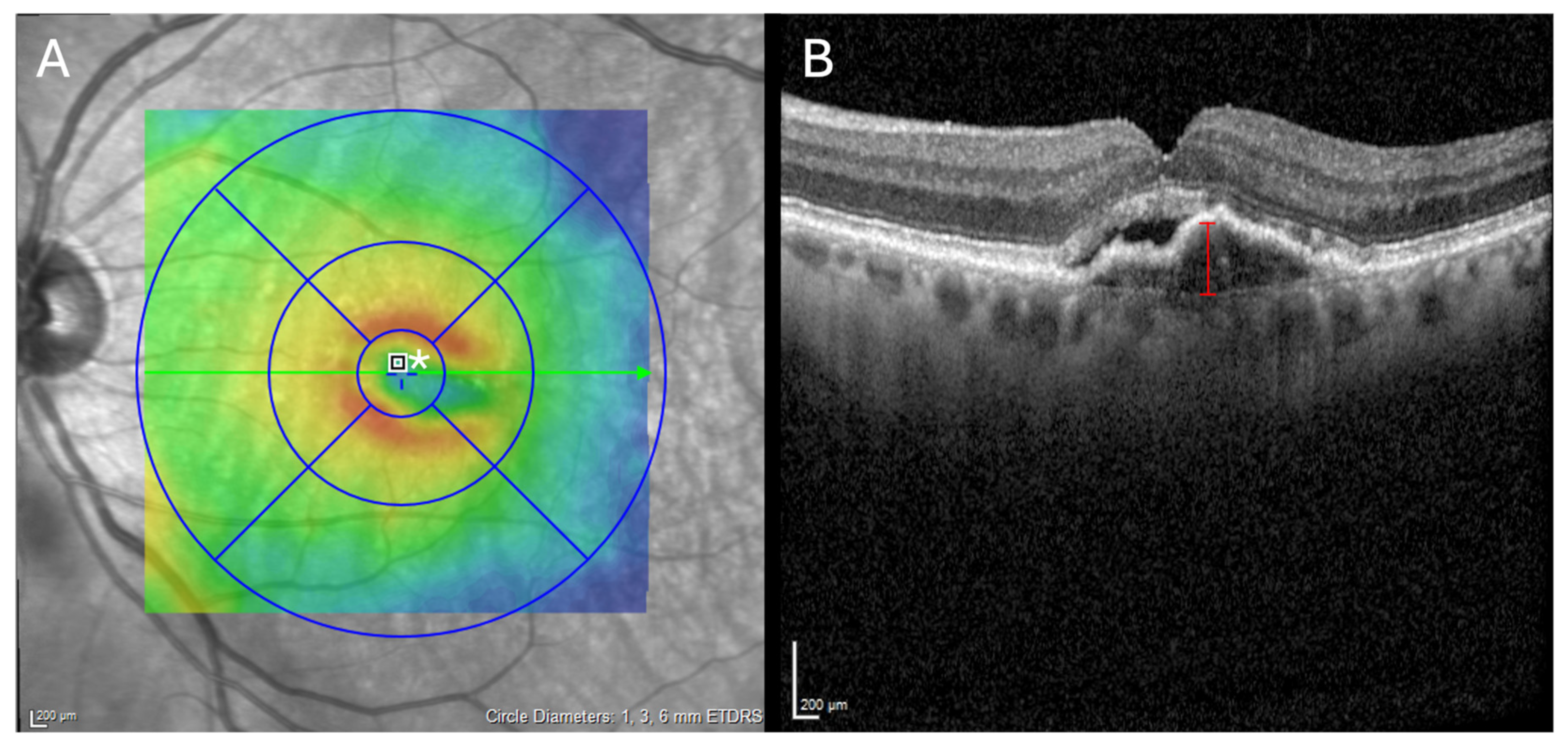
2.4. Data Collection and Optical Coherence Tomography Imaging
2.5. Outcomes
2.6. Statistics
3. Results
4. Discussion
5. Conclusions
Author Contributions
Funding
Institutional Review Board Statement
Informed Consent Statement
Data Availability Statement
Conflicts of Interest
References
- Wong, W.L.; Su, X.; Li, X.; Cheung, C.M.; Klein, R.; Cheng, C.Y.; Wong, T.Y. Global prevalence of age-related macular degeneration and disease burden projection for 2020 and 2040: A systematic review and meta-analysis. Lancet Glob Health 2014, 2, e106. [Google Scholar] [CrossRef] [PubMed]
- Guymer, R.H.; Campbell, T.G. Age-related macular degeneration. Lancet 2023, 401, 1459–1472. [Google Scholar] [CrossRef] [PubMed]
- Korb, C.A.; Elbaz, H.; Schuster, A.K.; Nickels, S.; Ponto, K.A.; Schulz, A.; Wild, P.S.; Münzel, T.; Beutel, M.E.; Schmidtmann, I.; et al. Five-year cumulative incidence and progression of age-related macular degeneration: Results from the German population-based Gutenberg Health Study (GHS). Graefe’s Arch. Clin. Exp. Ophthalmol. 2022, 260, 55–64. [Google Scholar] [CrossRef]
- Fleckenstein, M.; Schmitz-Valckenberg, S.; Chakravarthy, U. Age-Related Macular Degeneration: A Review. JAMA 2024, 331, 147–157. [Google Scholar] [CrossRef]
- Böhm, E.W.; Buonfiglio, F.; Voigt, A.M.; Bachmann, P.; Safi, T.; Pfeiffer, N.; Gericke, A. Oxidative stress in the eye and its role in the pathophysiology of ocular diseases. Redox Biol. 2023, 68, 102967. [Google Scholar] [CrossRef]
- Evans, J.R. Risk factors for age-related macular degeneration. Prog. Retin. Eye Res. 2001, 20, 227–253. [Google Scholar] [CrossRef]
- Moshfeghi, A.A.; Rosenfeld, P.J.; Puliafito, C.A.; Michels, S.; Marcus, E.N.; Lenchus, J.D.; Venkatraman, A.S. Systemic bevacizumab (Avastin) therapy for neovascular age-related macular degeneration: Twenty-four-week results of an uncontrolled open-label clinical study. Ophthalmology 2006, 113, 2002–2011.e2. [Google Scholar] [CrossRef]
- Heier, J.S.; Singh, R.P.; Wykoff, C.C.; Csaky, K.G.; Lai, T.Y.Y.; Loewenstein, A.; Schlottmann, P.G.; Paris, L.P.; Westenskow, P.D.; Quezada-Ruiz, C. The Angiopoietin/Tie Pathway in Retinal Vascular Diseases: A Review. Retina 2021, 41, 1–19. [Google Scholar] [CrossRef]
- Akwii, R.G.; Mikelis, C.M. Targeting the Angiopoietin/Tie Pathway: Prospects for Treatment of Retinal and Respiratory Disorders. Drugs 2021, 81, 1731–1749. [Google Scholar] [CrossRef]
- Hsu, J.; Regillo, C.D. Poorer Outcomes in Real-World Studies of Anti-Vascular Endothelial Growth Factor Therapy for Neovascular Age-Related Macular Degeneration. Ophthalmology 2020, 127, 1189–1190. [Google Scholar] [CrossRef]
- Mehta, H.; Tufail, A.; Daien, V.; Lee, A.Y.; Nguyen, V.; Ozturk, M.; Barthelmes, D.; Gillies, M.C. Real-world outcomes in patients with neovascular age-related macular degeneration treated with intravitreal vascular endothelial growth factor inhibitors. Prog. Retin. Eye Res. 2018, 65, 127–146. [Google Scholar] [CrossRef] [PubMed]
- Beck, R.W.; Moke, P.S.; Turpin, A.H.; Ferris, F.L., 3rd; SanGiovanni, J.P.; Johnson, C.A.; Birch, E.E.; Chandler, D.L.; Cox, T.A.; Blair, R.C.; et al. A computerized method of visual acuity testing: Adaptation of the early treatment of diabetic retinopathy study testing protocol. Am. J. Ophthalmol. 2003, 135, 194–205. [Google Scholar] [CrossRef] [PubMed]
- Wolfrum, P.; Böhm, E.W.; Lorenz, K.; Stoffelns, B.; Pfeiffer, N.; Korb, C.A. Short-Term Clinical Outcomes of Patients with Diabetic Macular Edema Following a Therapy Switch to Faricimab. J. Clin. Med. 2024, 13, 4508. [Google Scholar] [CrossRef] [PubMed]
- Heier, J.S.; Khanani, A.M.; Quezada Ruiz, C.; Basu, K.; Ferrone, P.J.; Brittain, C.; Figueroa, M.S.; Lin, H.; Holz, F.G.; Patel, V.; et al. Efficacy, durability, and safety of intravitreal faricimab up to every 16 weeks for neovascular age-related macular degeneration (TENAYA and LUCERNE): Two randomised, double-masked, phase 3, non-inferiority trials. Lancet 2022, 399, 729–740. [Google Scholar] [CrossRef]
- Khanani, A.M.; Kotecha, A.; Chang, A.; Chen, S.J.; Chen, Y.; Guymer, R.; Heier, J.S.; Holz, F.G.; Iida, T.; Ives, J.A.; et al. TENAYA and LUCERNE: Two-Year Results from the Phase 3 Neovascular Age-Related Macular Degeneration Trials of Faricimab with Treat-and-Extend Dosing in Year 2. Ophthalmology 2024, 131, 914–926. [Google Scholar] [CrossRef]
- Fu, Y.; Zhang, Z.; Webster, K.A.; Paulus, Y.M. Treatment Strategies for Anti-VEGF Resistance in Neovascular Age-Related Macular Degeneration by Targeting Arteriolar Choroidal Neovascularization. Biomolecules 2024, 14, 252. [Google Scholar] [CrossRef]
- Ciulla, T.A.; Hussain, R.M.; Pollack, J.S.; Williams, D.F. Visual Acuity Outcomes and Anti-Vascular Endothelial Growth Factor Therapy Intensity in Neovascular Age-Related Macular Degeneration Patients: A Real-World Analysis of 49 485 Eyes. Ophthalmol. Retin. 2020, 4, 19–30. [Google Scholar] [CrossRef]
- Hara, C.; Suzue, M.; Fujimoto, S.; Fukushima, Y.; Sayanagi, K.; Nishida, K.; Maruyama, K.; Sato, S.; Nishida, K. Comparison of Loading Dose between Aflibercept and Faricimab for Neovascular Age-Related Macular Degeneration. J. Clin. Med. 2024, 13, 385. [Google Scholar] [CrossRef]
- Maruyama-Inoue, M.; Yanagi, Y.; Inoue, T.; Kadonosono, K. Comparison of functional and morphologic changes between brolucizumab and faricimab in neovascular age-related macular degeneration. Graefe’s Arch. Clin. Exp. Ophthalmol. 2024, 262, 589–599. [Google Scholar] [CrossRef]
- Tanaka, A.; Hata, M.; Tsuchikawa, M.; Ueda-Arakawa, N.U.; Tamura, H.; Miyata, M.; Takahashi, A.; Kido, A.; Muraoka, Y.; Miyake, M.; et al. Short-Term Outcomes of 3 Monthly intravitreal Faricimab On Different Subtypes of Neovascular Age-Related Macular Degeneration. Clin. Ophthalmol. 2024, 18, 507–516. [Google Scholar] [CrossRef]
- Grimaldi, G.; Cancian, G.; Rizzato, A.; Casanova, A.; Perruchoud-Ader, K.; Clerici, M.; Consigli, A.; Menghini, M. Intravitreal faricimab for neovascular age-related macular degeneration previously treated with traditional anti-VEGF compounds: A real-world prospective study. Graefe’s Arch. Clin. Exp. Ophthalmol. 2024, 262, 1151–1159. [Google Scholar] [CrossRef] [PubMed]
- Goodchild, C.; Bailey, C.; Soto Hernaez, J.; Ahmed, E.; Salvatore, S. Real world efficacy and durability of faricimab in patients with neovascular AMD (nAMD) who had sub-optimal response to prior anti-VEGF therapy. Eye 2024, 38, 3059–3064. [Google Scholar] [CrossRef] [PubMed]
- Hikichi, T. Investigation of satisfaction with short-term outcomes after switching to faricimab to treat neovascular age-related macular degeneration. Jpn. J. Ophthalmol. 2023, 67, 652–656. [Google Scholar] [CrossRef] [PubMed]
- Nadel, A.; Drakopoulos, M.; Bar-Meir, A.; Marchese, A.; Lyon, A.; Mirza, R.G. Swept-source OCT evaluation of pigment epithelial detachments in recalcitrant exAMD patients switched to faricimab. Investig. Ophthalmol. Vis. Sci. 2023, 64, PB0048. [Google Scholar]
- Borchert, G.A.; Kiire, C.A.; Stone, N.M.; Akil, H.; Gkika, T.; Fischer, M.D.; Xue, K.; Cehajic-Kapetanovic, J.; MacLaren, R.E.; Charbel Issa, P.; et al. Real-world six-month outcomes in patients switched to faricimab following partial response to anti-VEGF therapy for neovascular age-related macular degeneration and diabetic macular oedema. Eye 2024, 38, 3569–3577. [Google Scholar] [CrossRef]
- Schneider, M.; Bjerager, J.; Hodzic-Hadzibegovic, D.; Klefter, O.N.; Subhi, Y.; Hajari, J. Short-term outcomes of treatment switch to faricimab in patients with aflibercept-resistant neovascular age-related macular degeneration. Graefe’s Arch. Clin. Exp. Ophthalmol. 2024, 262, 2153–2162. [Google Scholar] [CrossRef]
- Sim, S.Y.; Nicholson, L.; Patel, P.J.; Bhatia, B.; Chalkiadaki, E.; Koutsocheras, G.; Selvam, S.; Sivaprasad, S.; Pal, B.; Keane, P.A.; et al. Real-world outcomes of faricimab injections in treatment-naïve neovascular age-related macular degeneration (nAMD) patients: The Moorfields Experience. In Proceedings of the Nvestigative Ophthalmology & Visual Science, ARVO Annual Meeting, Seattle, WA, USA, 5–9 May 2024. [Google Scholar]
- Matsumoto, H.; Hoshino, J.; Nakamura, K.; Akiyama, H. One-year results of treat-and-extend regimen with intravitreal faricimab for treatment-naïve neovascular age-related macular degeneration. Jpn. J. Ophthalmol. 2024, 68, 83–90. [Google Scholar] [CrossRef]
- Inoda, S.; Takahashi, H.; Takahashi, R.; Hashimoto, Y.; Yoshida, H.; Takahashi, H.; Takayama, T.; Kawashima, H.; Yanagi, Y. Visual and Anatomical Outcomes After Initial Intravitreal Faricimab Injection for Neovascular Age-Related Macular Degeneration in Patients with Prior Treatment History. Ophthalmol. Ther. 2023, 12, 2703–2712. [Google Scholar] [CrossRef]
- Kishi, M.; Miki, A.; Kamimura, A.; Okuda, M.; Matsumiya, W.; Imai, H.; Kusuhara, S.; Nakamura, M. Short-Term Outcomes of Faricimab Treatment in Aflibercept-Refractory Eyes with Neovascular Age-Related Macular Degeneration. J. Clin. Med. 2023, 12, 5145. [Google Scholar] [CrossRef]
- Rush, R.B. One-Year Outcomes of Faricimab Treatment for Aflibercept-Resistant Neovascular Age-Related Macular Degeneration. Clin. Ophthalmol. 2023, 17, 2201–2208. [Google Scholar] [CrossRef]
- Finger, R.P.; Wickremasinghe, S.S.; Baird, P.N.; Guymer, R.H. Predictors of anti-VEGF treatment response in neovascular age-related macular degeneration. Surv. Ophthalmol. 2014, 59, 1–18. [Google Scholar] [CrossRef] [PubMed]
- Gigon, A.; Iskandar, A.; Kasser, S.; Naso, S.; Zola, M.; Mantel, I. Short-term response to anti-VEGF as indicator of visual prognosis in refractory age-related macular degeneration. Eye 2024, 38, 1342–1348. [Google Scholar] [CrossRef] [PubMed]
- Ng, B.; Kolli, H.; Ajith Kumar, N.; Azzopardi, M.; Logeswaran, A.; Buensalido, J.; Mushtaq, B.; Chavan, R.; Chong, Y.J. Real-World Data on Faricimab Switching in Treatment-Refractory Neovascular Age-Related Macular Degeneration. Life 2024, 14, 193. [Google Scholar] [CrossRef] [PubMed]
- Genentech. Subject: VABYSMO® (Faricimab-Svoa), New Warnings and Precautions: Retinal Vasculitis and/or Retinal Vascular Occlusion; Genentech: South San Francisco, CA, USA, 2023. [Google Scholar]
- Palmieri, F.; Younis, S.; Bedan Hamoud, A.; Fabozzi, L. Uveitis Following Intravitreal Injections of Faricimab: A Case Report. Ocul. Immunol. Inflamm. 2024, 32, 1873–1877. [Google Scholar] [CrossRef]
- Ben Ghezala, I.; Gabrielle, P.H.; Sibert, M.; Steinberg, L.A.; Dautriche, A.; Arnould, L.; Creuzot-Garcher, C. Severe Intraocular Inflammation After Intravitreal Injection of Faricimab: A Single-Site Case Series of Six Patients. Am. J. Ophthalmol. 2025, 269, 11–19. [Google Scholar] [CrossRef]
- Thangamathesvaran, L.; Kong, J.; Bressler, S.B.; Singh, M.; Wenick, A.S.; Scott, A.W.; Arévalo, J.F.; Bressler, N.M. Severe Intraocular Inflammation Following Intravitreal Faricimab. JAMA Ophthalmol. 2024, 142, 365–370. [Google Scholar] [CrossRef]
- Kitson, S.; McAllister, A. A case of hypertensive uveitis with intravitreal faricimab. Retin. Cases Brief. Rep. 2023. [Google Scholar] [CrossRef]
- Chen, X.; Wang, X.; Li, X. Intra-Ocular Inflammation and Occlusive Retinal Vasculitis Following Intravitreal Injections of Faricimab: A Case Report. Ocul. Immunol. Inflamm. 2024, 32, 2544–2547. [Google Scholar] [CrossRef]
- Li, Y.; Chong, R.; Fung, A.T. Association of Occlusive Retinal Vasculitis With Intravitreal Faricimab. JAMA Ophthalmol. 2024, 142, 489–491. [Google Scholar] [CrossRef]
- Reichel, F.F.; Kiraly, P.; Vemala, R.; Hornby, S.; De Silva, S.R.; Fischer, M.D. Occlusive retinal vasculitis associated with intravitreal Faricimab injections. J. Ophthalmic Inflamm. Infect. 2024, 14, 45. [Google Scholar] [CrossRef]


| Characteristics | n (%) |
|---|---|
| Eyes/Patients | 28/23 |
| Gender | |
| male | 7 (30.4) |
| female | 16 (69.6) |
| Age (years) at baseline examination (mean ± SD) | 81.9 ± 6.3 |
| Laterality | |
| right | 15 (53.6) |
| left | 13 (46.4) |
| Lens status | |
| phakia | 5 (17.9) |
| pseudophakia | 23 (82.1) |
| Time span (years) since first start of anti-VEGF IVI therapy (mean ± SD) | 4.4 ± 3.0 |
| Number of previous anti-VEGF treatment agents (mean ± SD) | 1.9 ± 0.9 |
| Total number of previous anti-VEGF IVI (mean ± SD) | 33.3 ± 25.6 |
| Intravitreal therapy in prior six month before Faricimab switch | |
| Number of anti-VEGF injections (mean ± SD) | 3.6 ± 2.0 |
| Last anti-VEGF agent, Aflibercept/ Bevacizumab/ Ranibizumab/ Brolucizumab | 14/2/10/2 |
| Number of Faricimab injections in initial series (mean ± SD) | 3.5 ± 0.6 |
| Baseline Examination | FU 1 Examination | FU 2 Examination | |
|---|---|---|---|
| Baseline LogMAR | 0.51 ± 0.21 | 0.53 ± 0.25 | 0.49 ± 0.2 |
| Baseline CRT (µm) | 335.8 ± 76.7 | 260.0 ± 60.1 | 249.6 ± 45.6 |
| Baseline axial PED (µm) | 177.7 ± 105.5 | 116.1 ± 71.7 | 120 ± 67.4 |
| Responder (n = 8) | Diminished Responder (n = 20) | p-Value | |
|---|---|---|---|
| Age (years) at first Faricimab injection (mean ± SD) | 84.1 ± 6.6 | 81.0 ± 6.2 | 0.154 |
| LogMAR at baseline (mean ± SD) FU 1 LogMAR (mean ± SD) | 0.57 ± 0.2 0.47 ± 0.2 | 0.49 ± 0.2 0.54 ± 0.3 | 0.327 0.576 |
| CRT at baseline (μm) (mean ± SD) FU 1 CRT (μm) (mean ± SD) | 395.3 ± 73.8 244.9 ± 29.5 | 312 ± 65.5 266.0 ± 68.3 | 0.014 * 0.559 |
| Axial PED height at baseline (mean ± SD) FU 1 axial PED height (mean ± SD) | 172.6 ± 45.1 108.1 ± 31.7 | 179.8 ± 123.6 119.4 ± 83.7 | 0.710 0.577 |
| Number of prior anti-VEGF injections (mean ± SD) | 36.8 ± 28.3 | 32.0 ± 25.1 | 0.541 |
| Number of prior anti-VEGF agents (mean ± SD) | 2.25 ± 0.7 | 1.8 ± 1 | 0.131 |
| Correlation Coefficient | p-Value | |
|---|---|---|
| Age | −0.247 | 0.205 |
| CRT at baseline | 0.375 | 0.049 * |
| Time span (years) since start of IVI therapy | −0.222 | 0.265 |
| Number of previous anti-VEGF IVI | 0.021 | 0.916 |
| Number of previous anti-VEGF treatment agents | −0.005 | 0.979 |
| Correlation Coefficient | p-Value | |
|---|---|---|
| Age | −0.025 | 0.901 |
| LogMAR at baseline | 0.872 | <0.001 * |
| Time span (years) since start of IVI therapy | 0.445 | 0.023 * |
| Number of previous anti-VEGF IVI | 0.304 | 0.123 |
| Number of previous anti-VEGF treatment agents | 0.157 | 0.435 |
Disclaimer/Publisher’s Note: The statements, opinions and data contained in all publications are solely those of the individual author(s) and contributor(s) and not of MDPI and/or the editor(s). MDPI and/or the editor(s) disclaim responsibility for any injury to people or property resulting from any ideas, methods, instructions or products referred to in the content. |
© 2025 by the authors. Licensee MDPI, Basel, Switzerland. This article is an open access article distributed under the terms and conditions of the Creative Commons Attribution (CC BY) license (https://creativecommons.org/licenses/by/4.0/).
Share and Cite
Wolfrum, P.; Böhm, E.W.; Lorenz, K.; Stoffelns, B.; Pfeiffer, N.; Korb, C.A. Clinical Outcomes Following a Switch of Therapy to Faricimab in Patients Affected by Neovascular Age-Related Macular Degeneration. J. Clin. Med. 2025, 14, 423. https://doi.org/10.3390/jcm14020423
Wolfrum P, Böhm EW, Lorenz K, Stoffelns B, Pfeiffer N, Korb CA. Clinical Outcomes Following a Switch of Therapy to Faricimab in Patients Affected by Neovascular Age-Related Macular Degeneration. Journal of Clinical Medicine. 2025; 14(2):423. https://doi.org/10.3390/jcm14020423
Chicago/Turabian StyleWolfrum, Peter, Elsa Wilma Böhm, Katrin Lorenz, Bernhard Stoffelns, Norbert Pfeiffer, and Christina A. Korb. 2025. "Clinical Outcomes Following a Switch of Therapy to Faricimab in Patients Affected by Neovascular Age-Related Macular Degeneration" Journal of Clinical Medicine 14, no. 2: 423. https://doi.org/10.3390/jcm14020423
APA StyleWolfrum, P., Böhm, E. W., Lorenz, K., Stoffelns, B., Pfeiffer, N., & Korb, C. A. (2025). Clinical Outcomes Following a Switch of Therapy to Faricimab in Patients Affected by Neovascular Age-Related Macular Degeneration. Journal of Clinical Medicine, 14(2), 423. https://doi.org/10.3390/jcm14020423

