Insights into Vascular Changes in Hip Degenerative Disorders: An Observational Study
Abstract
1. Introduction
2. Materials and Methods
2.1. Material
- Refusal of surgery;
- Uncooperative patients or relatives;
- Patients or relatives who did not give their consent to participate in this study;
- Patients who could not undergo surgery due to associated pathology;
- Presence of a congenital bone malformation of the spine and/or lower limbs;
- Pathologies associated with the osteoarticular apparatus that can influence posture and can determine vicious positions of the bones of the lower limbs and spine.
- Age over 50 years;
- Presence of degenerative pathology of the hip joint;
- Presence of obliterating arteriopathy, in its various clinical forms.
- The exclusion criteria from the second study group were:
- Lack of degenerative pathology of the hip joint, regardless of age;
- Degenerative pathology of the hip joint of a cause other than senescence.
2.2. Methods
2.2.1. Histological Study
2.2.2. IHC (Immunohistochemistry) Protocols
- Ki67, dilution 1:100;
- CD68, dilution 1:300;
- CD31, dilution 1:100;
- SOX9, dilution 1:1000;
- Anti-ERG, dilution 1:1000;
- Anti-lubricin, dilution 1:250.
2.2.3. Surface Electron Microscopy (SEM) Study
2.2.4. Statistical Analyses
3. Results
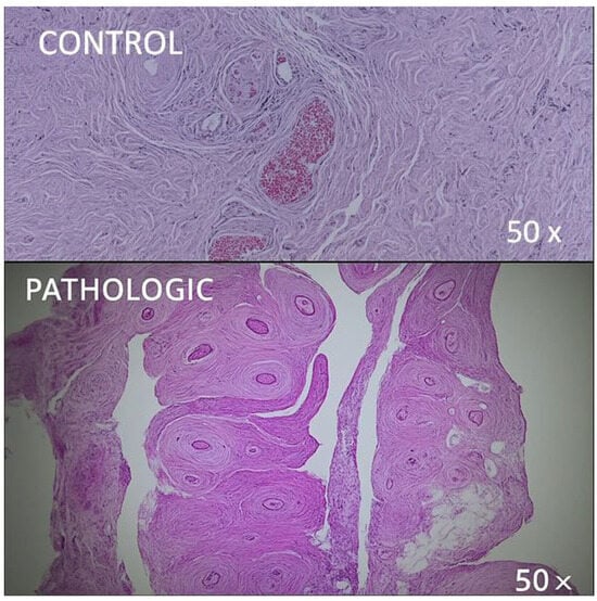
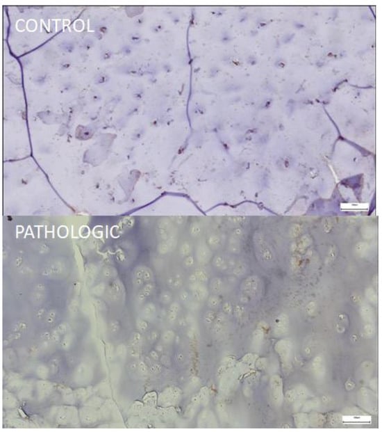
3.1. Results of Histological Study
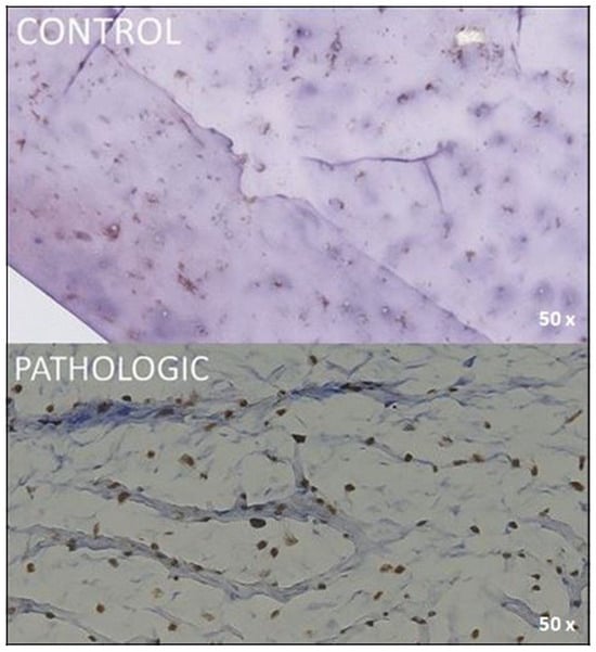
3.2. Results of IHC Study
3.3. Results of SEM Study
- The trabecular bone’s appearance, with well-organized trabeculae, is strategically distributed to support mechanical loads;
- The spaces between the trabeculae contain bone marrow or blood vessels.
- Vascular network:
- Small blood vessels (capillaries) that run through the bone, evenly distributed in the Haversian and Volkmann canals (Figure 9, CONTROL);
- The ultrastructural details of the capillary wall show a thin endothelium with mitochondria and elongated nuclei.
- Possible perivascular cells associated with maintaining vascular and metabolic function.
- The collagen fibers and extracellular matrix provide support for blood vessels;
- Osteoprogenitor cells are located near the capillaries;
- The fineness of normal vascularization is highlighted, which emphasizes the intimate relationship between bone and the vascular system, which is essential for bone nutrition and regeneration (Figure 10, control).
3.4. Results of Statistical Study
- Continuity/structural integrity (0–3 points): 0—intact structure, 3—deeply affected structure;
- Collagen presence/fibrillar organization (0–3 points): 0—collagen absent, 3—well-organized collagen;
- Vascularization/visible capillaries (0–3 points): 0—complete absence, 3—extensive vascular network.
3.4.1. Results of Statistical Study of Control Group
3.4.2. Results of Statistical Study of Patient’s Group
- Structural continuity: mean scores are 2.0–2.5, indicating a significant loss of tissue integrity;
- Fibrillar organization: mean scores are 2.5–3.0, reflecting severe collagen disorganization;
- Vascularization: mean scores are 2.0–2.5, with evidence of abnormal vascular networks;
- Comparison of the mean SEM total scores between the pathological group (6.14) and the control (0) reveals a clear and significant difference (p < 0.001).
3.4.3. Correlation of the Statistical Results
- Continuity/structural integrity: total score of 102, with an average of 2.0 per patient, which indicates a moderate impairment of the tissue structure;
- Presence of collagen/fibrillar organization: total score of 124, with an average of 2.43, which suggests a significant disorganization of the collagen network;
- Vascularization/visible capillaries: total score of 102, with an average of 2.0 per patient, which reflects the abnormal presence of blood vessels in the analyzed cartilage.
4. Discussion
5. Conclusions
Author Contributions
Funding
Institutional Review Board Statement
Informed Consent Statement
Data Availability Statement
Conflicts of Interest
References
- Fan, Z.; Yan, L.; Liu, H.; Li, X.; Fan, K.; Liu, Q.; Li, J.J.; Wang, B. The prevalence of hip osteoarthritis: A systematic review and meta-analysis. Arthritis Res. Ther. 2023, 25, 51. [Google Scholar] [CrossRef] [PubMed]
- Katz, J.N.; Arant, K.R.; Loeser, R.F. Diagnosis and Treatment of Hip and Knee Osteoarthritis: A Review. JAMA 2021, 325, 568–578. [Google Scholar] [CrossRef]
- Huang, J.; Liao, C.; Yang, J.; Zhang, L. The role of vascular and lymphatic networks in bone and joint homeostasis and pathology. Front. Endocrinol. 2024, 15, 1465816. [Google Scholar] [CrossRef] [PubMed]
- Macfarlane, E.; Seibel, M.J.; Zhou, H. Arthritis and the role of endogenous glucocorticoids. Bone Res. 2020, 8, 33. [Google Scholar] [CrossRef] [PubMed]
- Welhaven, H.D.; McCutchen, C.N.; June, R.K. Effects of mechanical stimulation on metabolomic profiles of SW1353 chondrocytes: Shear and compression. Biol. Open 2022, 11, bio058895. [Google Scholar] [CrossRef]
- Jin, H.; Jiang, S.; Wang, R.; Zhang, Y.; Dong, J.; Li, Y. Mechanistic Insight Into the Roles of Integrins in Osteoarthritis. Front. Cell Dev. Biol. 2021, 9, 693484. [Google Scholar] [CrossRef] [PubMed]
- Sun, Y.; Yang, H.; Guo, J.; Du, J.; Han, S.; Yang, X. Identification of HTRA1, DPT and MXRA5 as potential biomarkers associated with osteoarthritis progression and immune infiltration. BMC Musculoskelet. Disord. 2024, 25, 647. [Google Scholar] [CrossRef]
- Obeidat, A.M.; Ishihara, S.; Li, J.; Adamczyk, N.S.; Lammlin, L.; Junginger, L.; Maerz, T.; Miller, R.J.; Miller, R.E.; Malfait, A.M. Intra-articular sprouting of nociceptors accompanies progressive osteoarthritis: Comparative evidence in four murine models. Front. Neuroanat. 2024, 18, 1429124. [Google Scholar] [CrossRef]
- Chen, W.; Wang, Q.; Tao, H.; Lu, L.; Zhou, J.; Wang, Q.; Huang, W.; Yang, X. Subchondral osteoclasts and osteoarthritis: New insights and potential therapeutic avenues. Acta Biochim. Biophys. Sin. 2024, 56, 499–512. [Google Scholar] [CrossRef]
- Abramov, Y.; Golden, B.; Sullivan, M.; Botros, S.M.; Miller, J.J.; Alshahrour, A.; Goldberg, R.P.; Sand, P.K. Histologic characterization of vaginal vs. abdominal surgical wound healing in a rabbit model. Wound Repair. Regen. 2007, 15, 80–86. [Google Scholar] [CrossRef] [PubMed]
- Kawasaki, H.; Suzuki, H.; Maekawa, M.; Hariyama, T. Combination of the NanoSuit method and gold/platinum particle-based lateral flow assay for quantitative and highly sensitive diagnosis using a desktop scanning electron microscope. J. Pharm. Biomed. Anal. 2021, 196, 113924. [Google Scholar] [CrossRef]
- Kawasaki, H.; Itoh, T.; Takaku, Y.; Suzuki, H.; Kosugi, I.; Meguro, S.; Iwashita, T.; Hariyama, T. The NanoSuit method: A novel histological approach for examining paraffin sections in a nondestructive manner by correlative light and electron microscopy. Lab. Investig. 2020, 100, 161–173. [Google Scholar] [CrossRef]
- Zhu, X.; Yan, F.; Liu, L.; Huang, Q. ZEB1 regulates bone metabolism in osteoporotic rats through inducing POLDIP2 transcription. J. Orthop. Surg. Res. 2022, 17, 423. [Google Scholar] [CrossRef] [PubMed]
- Yang, M.; Li, C.J.; Xiao, Y.; Guo, Q.; Huang, Y.; Su, T.; Luo, X.H.; Jiang, T.J. Ophiopogonin D promotes bone regeneration by stimulating CD31(hi) EMCN(hi) vessel formation. Cell Prolif. 2020, 53, e12784. [Google Scholar] [CrossRef] [PubMed]
- Yang, M.; Guo, Q.; Peng, H.; Xiao, Y.Z.; Xiao, Y.; Huang, Y.; Li, C.J.; Su, T.; Zhang, Y.L.; Lei, M.X.; et al. Krüppel-like factor 3 inhibition by mutated lncRNA Reg1cp results in human high bone mass syndrome. J. Exp. Med. 2019, 216, 1944–1964. [Google Scholar] [CrossRef] [PubMed]
- Chen, H.; Zheng, Q.; Lv, Y.; Yang, Z.; Fu, Q. CUL4A-mediated ZEB1/microRNA-340-5p/HMGB1 axis promotes the development of osteoporosis. J. Biochem. Mol. Toxicol. 2023, 37, e23373. [Google Scholar] [CrossRef]
- Liu, L.; Zhou, N.; Fu, S.; Wang, L.; Liu, Y.; Fu, C.; Xu, F.; Guo, W.; Wu, Y.; Cheng, J.; et al. Endothelial cell-derived exosomes trigger a positive feedback loop in osteogenesis-angiogenesis coupling via up-regulating zinc finger and BTB domain containing 16 in bone marrow mesenchymal stem cell. J. Nanobiotechnol. 2024, 22, 721. [Google Scholar] [CrossRef]
- Niculescu, Ş.A.; Grecu, D.C.; Simionescu, C.E.; Niculescu, E.C.; Stepan, M.D.; Stepan, A.E. Immunoexpression of Ki67, p53 and cyclin D1 in osteosarcomas. Rom. J. Morphol. Embryol. 2021, 62, 743–750. [Google Scholar] [CrossRef]
- Blümke, A.; Ijeoma, E.; Simon, J.; Wellington, R.; Purwaningrum, M.; Doulatov, S.; Leber, E.; Scatena, M.; Giachelli, C.M. Comparison of osteoclast differentiation protocols from human induced pluripotent stem cells of different tissue origins. Res. Sq. 2023, 14, 319. [Google Scholar] [CrossRef]
- Patel, N.; Ganti, L. The Treatment and Monitoring of Osteoporosis using Bone Turnover Markers. Orthop. Rev. 2025, 17, 127772. [Google Scholar] [CrossRef]
- Haseeb, A.; Kc, R.; Angelozzi, M.; de Charleroy, C.; Rux, D.; Tower, R.J.; Yao, L.; Pellegrino da Silva, R.; Pacifici, M.; Qin, L.; et al. SOX9 keeps growth plates and articular cartilage healthy by inhibiting chondrocyte dedifferentiation/osteoblastic redifferentiation. Proc. Natl. Acad. Sci. USA 2021, 118, e2019152118. [Google Scholar] [CrossRef] [PubMed]
- Nagakura, R.; Yamamoto, M.; Jeong, J.; Hinata, N.; Katori, Y.; Chang, W.-J.; Abe, S. Switching of Sox9 expression during musculoskeletal system development. Sci. Rep. 2020, 10, 8425. [Google Scholar] [CrossRef] [PubMed]
- Roggio, F.; Petrigna, L.; Trovato, B.; Di Rosa, M.; Musumeci, G. The Role of Lubricin, Irisin and Exercise in the Prevention and Treatment of Osteoarthritis. Int. J. Mol. Sci. 2023, 24, 5126. [Google Scholar] [CrossRef] [PubMed]
- Adam, M.S.; Zhuang, H.; Ren, X.; Zhang, Y.; Zhou, P. The metabolic characteristics and changes of chondrocytes in vivo and in vitro in osteoarthritis. Front. Endocrinol. 2024, 15, 1393550. [Google Scholar] [CrossRef]
- Henrotin, Y. Osteoarthritis in year 2021: Biochemical markers. Osteoarthr. Cartil. 2022, 30, 237–248. [Google Scholar] [CrossRef]
- Shah, F.; Ruscsak, K.; Palmquist, A. 50 years of scanning electron microscopy of bone—A comprehensive overview of the important discoveries made and insights gained into bone material properties in health, disease, and taphonomy. Bone Res. 2019, 7, 15. [Google Scholar] [CrossRef]
- Garcia-Giner, V.; Han, Z.; Giuliani, F.; Porter, A.E. Nanoscale Imaging and Analysis of Bone Pathologies. Appl. Sci. 2021, 11, 12033. [Google Scholar] [CrossRef]
- Calabro, A. A Remembrance of David J. Schurman MD (1940–2018). Clin. Orthop. Relat. Res. 2019, 477, 1522–1524. [Google Scholar] [CrossRef]
- Li, G.; Yin, J.; Gao, J.; Cheng, T.S.; Pavlos, N.J.; Zhang, C.; Zheng, M.H. Subchondral bone in osteoarthritis: Insight into risk factors and microstructural changes. Arthritis Res. Ther. 2013, 15, 223. [Google Scholar] [CrossRef]
- Sharma, A.R.; Jagga, S.; Lee, S.S.; Nam, J.S. Interplay between cartilage and subchondral bone contributing to pathogenesis of osteoarthritis. Int. J. Mol. Sci. 2013, 14, 19805–19830. [Google Scholar] [CrossRef]
- Abbasifard, M.; Khorramdelazad, H. Harmonizing hope: Navigating the osteoarthritis melody through the CCL2/CCR2 axis for innovative therapeutic avenues. Front. Immunol. 2024, 15, 1387651. [Google Scholar] [CrossRef] [PubMed]
- Riewruja, K.; Makarczyk, M.; Alexander, P.G.; Gao, Q.; Goodman, S.B.; Bunnell, B.A.; Gold, M.S.; Lin, H. Experimental models to study osteoarthritis pain and develop therapeutics. Osteoarthr. Cartil. Open 2022, 4, 100306. [Google Scholar] [CrossRef] [PubMed]
- Zhou, X.; Cao, H.; Yuan, Y.; Wu, W. Biochemical Signals Mediate the Crosstalk between Cartilage and Bone in Osteoarthritis. BioMed Res. Int. 2020, 2020, 5720360. [Google Scholar] [CrossRef] [PubMed]
- Kovács, B.; Vajda, E.; Nagy, E.E. Regulatory Effects and Interactions of the Wnt and OPG-RANKL-RANK Signaling at the Bone-Cartilage Interface in Osteoarthritis. Int. J. Mol. Sci. 2019, 20, 4653. [Google Scholar] [CrossRef]
- Bay-Jensen, A.C.; Mobasheri, A.; Thudium, C.S.; Kraus, V.B.; Karsdal, M.A. Blood and urine biomarkers in osteoarthritis—An update on cartilage associated type II collagen and aggrecan markers. Curr. Opin. Rheumatol. 2022, 34, 54–60. [Google Scholar] [CrossRef]
- van Spelde, A.M.; Schroeder, H.; Kjellström, A.; Lidén, K. Approaches to osteoporosis in paleopathology: How did methodology shape bone loss research? Int. J. Paleopathol. 2021, 33, 245–257. [Google Scholar] [CrossRef]













| Patient ID | Lot | Ki67 | CD68 | CD31 | SOX9 | ERG | Lubricin |
|---|---|---|---|---|---|---|---|
| 1 | Pathologic | 2 | 0 | 2 | 3 | 3 | 1 |
| 2 | Pathologic | 3 | 0 | 2 | 3 | 2 | 1 |
| 3 | Pathologic | 2 | 0 | 2 | 3 | 2 | 2 |
| 4 | Pathologic | 3 | 0 | 3 | 3 | 3 | 1 |
| 5 | Pathologic | 2 | 0 | 2 | 2 | 3 | 0 |
| 6 | Pathologic | 2 | 1 | 2 | 3 | 2 | 0 |
| 7 | Pathologic | 2 | 0 | 2 | 3 | 2 | 1 |
| 8 | Pathologic | 3 | 0 | 2 | 3 | 2 | 0 |
| 9 | Pathologic | 2 | 0 | 2 | 3 | 2 | 1 |
| 10 | Pathologic | 2 | 0 | 2 | 2 | 2 | 1 |
| 11 | Pathologic | 2 | 0 | 2 | 2 | 2 | 0 |
| 12 | Pathologic | 2 | 1 | 3 | 3 | 2 | 0 |
| 13 | Pathologic | 3 | 0 | 2 | 3 | 2 | 1 |
| 14 | Pathologic | 2 | 0 | 2 | 3 | 3 | 2 |
| 15 | Pathologic | 2 | 0 | 2 | 3 | 2 | 1 |
| 16 | Pathologic | 2 | 0 | 2 | 3 | 2 | 1 |
| 17 | Pathologic | 2 | 0 | 2 | 2 | 2 | 1 |
| 18 | Pathologic | 2 | 0 | 2 | 3 | 3 | 1 |
| 19 | Pathologic | 3 | 1 | 3 | 3 | 3 | 1 |
| 20 | Pathologic | 2 | 0 | 2 | 3 | 3 | 1 |
| 21 | Pathologic | 2 | 0 | 2 | 2 | 2 | 0 |
| 22 | Pathologic | 2 | 0 | 2 | 3 | 2 | 1 |
| 23 | Pathologic | 2 | 0 | 2 | 3 | 2 | 1 |
| 24 | Pathologic | 2 | 1 | 3 | 3 | 2 | 1 |
| 25 | Pathologic | 2 | 0 | 2 | 3 | 2 | 0 |
| 26 | Pathologic | 3 | 0 | 2 | 2 | 2 | 0 |
| 27 | Pathologic | 2 | 0 | 2 | 3 | 2 | 0 |
| 28 | Pathologic | 2 | 0 | 3 | 3 | 2 | 0 |
| 29 | Pathologic | 3 | 0 | 2 | 3 | 2 | 1 |
| 30 | Pathologic | 2 | 0 | 2 | 3 | 3 | 1 |
| 31 | Pathologic | 2 | 0 | 2 | 3 | 2 | 1 |
| 32 | Pathologic | 2 | 0 | 2 | 2 | 2 | 1 |
| 33 | Pathologic | 2 | 0 | 2 | 3 | 2 | 1 |
| 34 | Pathologic | 2 | 1 | 3 | 3 | 2 | 1 |
| 35 | Pathologic | 2 | 0 | 2 | 3 | 2 | 2 |
| 36 | Pathologic | 3 | 0 | 3 | 3 | 3 | 1 |
| 37 | Pathologic | 2 | 1 | 2 | 2 | 2 | 1 |
| 38 | Pathologic | 2 | 0 | 2 | 3 | 2 | 0 |
| 39 | Pathologic | 3 | 0 | 2 | 3 | 2 | 0 |
| 40 | Pathologic | 2 | 0 | 2 | 2 | 3 | 0 |
| 41 | Pathologic | 2 | 0 | 2 | 3 | 3 | 2 |
| 42 | Pathologic | 2 | 0 | 3 | 2 | 3 | 1 |
| 43 | Pathologic | 3 | 0 | 2 | 2 | 3 | 2 |
| 44 | Pathologic | 2 | 0 | 2 | 3 | 2 | 2 |
| 45 | Pathologic | 2 | 0 | 2 | 3 | 2 | 1 |
| 46 | Pathologic | 2 | 0 | 1 | 3 | 2 | 1 |
| 47 | Pathologic | 2 | 0 | 2 | 3 | 2 | 1 |
| 48 | Pathologic | 2 | 1 | 2 | 3 | 2 | 0 |
| 49 | Pathologic | 2 | 0 | 3 | 2 | 2 | 0 |
| 50 | Pathologic | 3 | 0 | 3 | 2 | 2 | 0 |
| 51 | Pathologic | 2 | 0 | 2 | 3 | 3 | 1 |
| 52 | Control | 2 | 1 | 2 | 3 | 2 | 2 |
| 53 | Control | 2 | 1 | 2 | 3 | 2 | 2 |
| 54 | Control | 2 | 1 | 2 | 3 | 2 | 3 |
| 55 | Control | 2 | 0 | 1 | 2 | 3 | 3 |
| 56 | Control | 2 | 1 | 1 | 3 | 2 | 3 |
| 57 | Control | 1 | 1 | 2 | 3 | 2 | 3 |
| 58 | Control | 2 | 0 | 2 | 1 | 1 | 2 |
| 59 | Control | 2 | 0 | 3 | 3 | 1 | 2 |
| 60 | Control | 2 | 1 | 3 | 3 | 2 | 2 |
| 61 | Control | 1 | 0 | 3 | 3 | 3 | 2 |
| 62 | Control | 2 | 1 | 2 | 2 | 2 | 3 |
| 63 | Control | 2 | 0 | 2 | 3 | 3 | 3 |
| 64 | Control | 2 | 1 | 2 | 3 | 1 | 3 |
| 65 | Control | 1 | 0 | 2 | 3 | 2 | 2 |
| 66 | Control | 2 | 1 | 2 | 2 | 2 | 2 |
| SEM Figure | Lot | Analyzed Structure | Continuity/Structural Integrity | Collagen Presence/Fibrillar Organization | Visible Vascularization/Capillaries | Total Score (0–9) |
|---|---|---|---|---|---|---|
| III.3.1.1 | Control | Trabecular bone | 0 | 0 | 0 | 0 |
| III.3.1.2 | Control | Articular cartilage | 0 | 0 | - | 0 |
| III.3.2.1 | Pathologic | Trabecular bone | 3 | 3 | 2 | 8 |
| III.3.2.2 | Pathologic | Trabecular bone | 2 | 2 | 2 | 6 |
| III.3.2.3 | Pathologic | Epiphyseal vascularization | 2 | 2 | 3 | 7 |
| III.3.2.4 | Pathologic | Haversian vascularization | 1 | 2 | 2 | 5 |
| III.3.2.5 | Pathologic | Collagen matrix | 2 | 3 | 1 | 6 |
| III.3.2.6 | Pathologic | Trabecular vascularization | 1 | 2 | 2 | 5 |
| III.3.2.7 | Pathologic | Articular cartilage | 3 | 3 | - | 6 |
| Lot | Number of Cases | Total Continuity/Structural Integrity Score | Total Score Collagen Presence/Fibrillar Organization | Total Score Vascularization/Visible Capillaries |
|---|---|---|---|---|
| Control | 15 | 0 | 0 | 0 |
| Pathologic | 51 | 102 | 124 | 102 |
Disclaimer/Publisher’s Note: The statements, opinions and data contained in all publications are solely those of the individual author(s) and contributor(s) and not of MDPI and/or the editor(s). MDPI and/or the editor(s) disclaim responsibility for any injury to people or property resulting from any ideas, methods, instructions or products referred to in the content. |
© 2025 by the authors. Licensee MDPI, Basel, Switzerland. This article is an open access article distributed under the terms and conditions of the Creative Commons Attribution (CC BY) license (https://creativecommons.org/licenses/by/4.0/).
Share and Cite
Huzum, R.M.; Huzum, B.; Hinganu, M.V.; Lozneanu, L.; Lupu, F.C.; Hinganu, D. Insights into Vascular Changes in Hip Degenerative Disorders: An Observational Study. J. Clin. Med. 2025, 14, 5845. https://doi.org/10.3390/jcm14165845
Huzum RM, Huzum B, Hinganu MV, Lozneanu L, Lupu FC, Hinganu D. Insights into Vascular Changes in Hip Degenerative Disorders: An Observational Study. Journal of Clinical Medicine. 2025; 14(16):5845. https://doi.org/10.3390/jcm14165845
Chicago/Turabian StyleHuzum, Riana Maria, Bogdan Huzum, Marius Valeriu Hinganu, Ludmila Lozneanu, Fabian Cezar Lupu, and Delia Hinganu. 2025. "Insights into Vascular Changes in Hip Degenerative Disorders: An Observational Study" Journal of Clinical Medicine 14, no. 16: 5845. https://doi.org/10.3390/jcm14165845
APA StyleHuzum, R. M., Huzum, B., Hinganu, M. V., Lozneanu, L., Lupu, F. C., & Hinganu, D. (2025). Insights into Vascular Changes in Hip Degenerative Disorders: An Observational Study. Journal of Clinical Medicine, 14(16), 5845. https://doi.org/10.3390/jcm14165845

