Foreign Body in the Masticatory Space as a Rare Complication of Orthognathic Surgery and Associated Dental Procedures: A Case Series and Literature Review
Abstract
1. Introduction
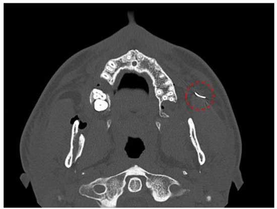
2. Case Series
3. Discussion and Literature Review
4. Conclusions
Author Contributions
Funding
Institutional Review Board Statement
Informed Consent Statement
Data Availability Statement
Acknowledgments
Conflicts of Interest
References
- Faye, N.; Lafitte, F.; Williams, M.; Guermazi, A.; Sahli-Amor, M.; Chiras, J.; Dion, E. The masticator space: From anatomy to pathology. J. Neuroradiol. 2009, 36, 121–130. [Google Scholar] [CrossRef]
- Schreiber, A.; Mattavelli, D.; Accorona, R.; Rampinelli, V.; Ferrari, M.; Grammatica, A.; Tomacelli, G.L.; Verzeletti, V.; Fazio, E.; Abousiam, M.; et al. Endoscopic-assisted multi-portal compartmental resection of the masticatory space in oral cancer: Anatomical study and preliminary clinical experience. Oral Oncol. 2021, 117, 105269. [Google Scholar] [CrossRef]
- Trivedi, N.P. Oral cancer involving masticator space (T4b): Review of literature and future directions. Head Neck 2018, 40, 2288–2294. [Google Scholar] [CrossRef] [PubMed]
- Moore, K.; Khan, N.R.; Michael, L.M.; Arthur, A.S.; Hoit, D. Republished: Endovascular retrieval of dental needle retained in the internal carotid artery. J. NeuroInterventional Surg. 2017, 9, e26. [Google Scholar] [CrossRef] [PubMed]
- Augello, M.; von Jackowski, J.; Grätz, K.W.; Jacobsen, C. Needle breakage during local anesthesia in the oral cavity—A retrospec-tive of the last 50 years with guidelines for treatment and prevention. Clin. Oral Investig. 2011, 15, 3–8. [Google Scholar] [CrossRef] [PubMed]
- Malamed, S.F.; Reed, K.; Poorsattar, S. Needle breakage: Incidence and prevention. Dent. Clin. N. Am. 2010, 54, 745–756. [Google Scholar] [CrossRef]
- Lee, T.Y.T.; Zaid, W.S. Broken dental needle retrieval using a surgical navigation system: A case report and literature review. Oral Surg. Oral Med. Oral Pathol. Oral Radiol. 2015, 119, e55–e59. [Google Scholar] [CrossRef]
- Seon, S.; Lee, B.-S.; Choi, B.-J.; Ohe, J.-Y.; Lee, J.-W.; Jung, J.; Hwang, B.-Y.; Kim, M.-A.; Kwon, Y.-D. Removal of a suture needle: A case report. Maxillofac. Plast. Reconstr. Surg. 2021, 43, 22. [Google Scholar] [CrossRef]
- Ioanidis, K.; Rotenberg, B. A needle in a haystack: Endoscopic removal of a foreign body from the infratemporal fossa. Allergy Rhinol. 2018, 9, 2152656718764142. [Google Scholar] [CrossRef]
- Manikandhan, R.; Anantanarayanan, P.; Mathew, P.C.; Kumar, J.N.; Narayanan, V. Incidence and consequences of bur breakage in orthognathic surgery: A retrospective study with discussion of two interesting clinical situations. J. Oral Maxillofac. Surg. 2011, 69, 2442–2447. [Google Scholar] [CrossRef]
- Ramieri, V.; Latini, L.; Gabriele, G.; Fantozzi, V.; Marianetti, T.M.; Cascino, F. Tetris genioplasty: A new paradigm for chin asymmetries correction. J. Clin. Med. 2023, 12, 7354. [Google Scholar] [CrossRef]
- Cascino, F.; Aboh, I.V.; Giovannoni, M.E.; Pini, N.; Zerini, F.; Del Frate, R.; Carangelo, B.R.; Xu, J.; Gabriele, G.; Gennaro, P.; et al. Orthognathic surgery: A randomized study comparing Piezosurgery and Saw techniques. Ann. Ital. Chir. 2020, 9, 299–304. [Google Scholar]
- Zaroni, F.M.; Sales, P.H.d.H.; Maffìa, F.; Scariot, R. Complications of orthognathic surgery in patients with cleft lip and palate: A systematic review. J. Stomatol. Oral Maxillofac. Surg. 2024, 125, 101795. [Google Scholar] [CrossRef] [PubMed]
- Jędrzejewski, M.; Smektała, T.; Sporniak-Tutak, K.; Olszewski, R. Preoperative, intraoperative, and postoperative complications in orthognathic surgery: A systematic review. Clin. Oral Investig. 2015, 19, 969–977. [Google Scholar] [CrossRef] [PubMed]
- Clavien, P.A.; Barkun, J.; de Oliveira, M.L.; Vauthey, J.N.; Dindo, D.; Schulick, R.D.; de Santibañes, E.; Pekolj, J.; Slankamenac, K.; Bassi, C.; et al. The Clavien-Dindo classification of surgical complications: Five-year experience. Ann. Surg. 2009, 250, 187–196. [Google Scholar] [CrossRef] [PubMed]
- Lehmann, A.E.; Scangas, G.A.; Jafari, A.; Metson, R. Endoscopic transoral image-guided retrieval of infratemporal fossa foreign bodies. OTO Open 2020, 4, 2473974X20947026. [Google Scholar] [CrossRef]
- Karakida, K.; Takahashi, M.; Sakamoto, H.; Nakanishi, Y.; Tamura, M. Subcutaneous migration of a broken dental needle from the mandibular gingiva to the neck: A case report. Tokai J. Exp. Clin. Med. 2020, 45, 108–112. [Google Scholar]
- Schorn, L.; Sproll, C.; Depprich, R.; Kübler, N.R.; Rana, M.; Singh, D.D.; Lommen, J.; Shibli, J.A. Navigated recovery of fractured dental injection needles: Case report and suggestions for management during pandemic crises. Case Rep. Dent. 2021, 2021, 8820381. [Google Scholar] [CrossRef]
- Terada, K.; Yamagata, K.; Uchida, F.; Fukuzawa, S.; Ishibashi-Kanno, N.; Bukawa, H.; Macan, D. Accidental insertion of a broken needle into the pterygoid mandibular space during inferior alveolar nerve block: A case report. Case Rep. Dent. 2022, 2022, 9626612. [Google Scholar] [CrossRef]
- Malkawi, Z.; Alayeh, A.; Alshawa, A.; Shaban, O.; Al Saraireh, O.; Malkawi, H.; Babkair, H.; Abdouh, I.; Dar-Odeh, N. A case of broken local anesthetic needle in the pterygomandibular space: Diagnostic approaches and surgical management. Diagnostics 2023, 13, 3050. [Google Scholar] [CrossRef]
- Erdil, A.; Demirsoy, M.S.; Çolak, S. Fractured needle as an unusual complication of the lingual nerve block: A case report. J. Dent. Anesth. Pain Med. 2022, 22, 315–321. [Google Scholar] [CrossRef]
- Chybicki, D.; Lipczyńska-Lewandowska, M.; Torbicka, G.; Janas-Naze, A. Computer-controlled local anesthesia complication: Surgical retrieval of a broken dental needle in noncooperative autistic pediatric patient. Case Rep. Dent. 2020, 2020, 6686736. [Google Scholar] [CrossRef]
- Dilworth, D.; Byrne, H.; Kearns, G. Broken needle: A rare complication of inferior alveolar nerve block—A report of two cases. Br. Dent. J. 2022, 233, 621–624. [Google Scholar] [CrossRef] [PubMed]
- Teixeira, J.C.; Adidharma, L.; Coppit, G.L.; Cardoni, W. Migration of broken dental needle through the internal jugular vein in the parapharyngeal space. Mil. Med. 2021, 186, e454–e456. [Google Scholar] [CrossRef] [PubMed]
- Sandre, L.B.; de Paula ESilva, E.; Izidro, A.E.R.; Neto, W.M.P.; da Costa Moraes, C.A.; da Rosa, E.L.S. Observational and descriptive analysis of broken dental needles: A case series. Oral Maxillofac. Surg. 2023, 27, 433–443. [Google Scholar] [CrossRef] [PubMed]
- Sayed, N.; Bakathir, A.; Pasha, M.; Al-Sudairy, S. Complications of third molar extraction: A retrospective study from a tertiary healthcare centre in Oman. Sultan Qaboos Univ. Med. J. [SQUMJ] 2019, 19, e230–e235. [Google Scholar] [CrossRef]
- Jayadevan, R.; Stensland, K.; Small, A.; Hall, S.; Palese, M. A protocol to recover needles lost during minimally invasive surgery. J. Soc. Laparoendosc. Surg. 2014, 18, e2014-00165. [Google Scholar] [CrossRef]
- Renaud, M.; Delpierre, A.; Becquet, H.; Mahalli, R.; Savard, G.; Micheneau, P.; Carayon, D.; Denis, F. Intraoral ultrasonography for periodontal tissue exploration: A review. Diagnostics 2023, 13, 365. [Google Scholar] [CrossRef]
- Nulent, T.J.K.; Noorlag, R.; Van Cann, E.M.; Pameijer, F.A.; Willems, S.M.; Yesuratnam, A.; Rosenberg, A.J.; de Bree, R.; van Es, R.J. Intraoral ultrasonography to measure tumor thickness of oral cancer: A systematic review and meta-analysis. Oral Oncol. 2018, 77, 29–36. [Google Scholar] [CrossRef]
- Mamas, N.; Andreanos, K.; Brouzas, D.; Diagourtas, A.; Droulias, A.; Georgalas, I.; Papaconstantinou, D. Acute ocular pain during magnetic resonance imaging due to retained intraocular metallic foreign body: The role of ultrasonography and ultrasound biomicroscopy in diagnosis and management of this condition. J. Ultrasound 2018, 21, 159–163. [Google Scholar] [CrossRef]





| Patient ID | Age/Sex | Type of FB | Location and Relationship | Symptoms | TTS (Days) | Intubation | Surgical Approach | ST (Minutes) | Adjuvant Equipment | Intraoperative Findings | Outcome | Follow-Up (Months) |
|---|---|---|---|---|---|---|---|---|---|---|---|---|
| Patient 1 | 21, M | Suture needle | Left paramandibular space, anterior border of masseter muscle | NR | 2 | INT | Transoral | 120 | C-Arm X-ray | Facial Nerve | FB Extracted; Facial nerve lesion (dyskinesia) | 24 |
| Patient 2 | 30, M | Bur tip | Left paramandibular space, parotid gland, and jugular vein | None | 180 | INT | Transoral | 180 | CT Navigation, C-arm Xray | NR | FB Extracted | 6 |
| Patient 3 | 32, M | Syringe needle | Right pterygopalatine space, medial pterygoid muscle | None | 0 | INT | Transoral | 130 | C-Arm X-ray | Lingual Nerve | FB Extracted | NR |
| Patient 4 | 33, M | Syringe needle | Right pterygopalatine space, medial pterygoid muscle | Trismus | 10 | IOT (fibroscopy guided) | Transoral | 250 | CT Navigation; C-Arm X-ray | NR | FB Extracted | 12 |
| Author, Year [Ref.] | Study Type | Sample Size | Type of Foreign Bodies | Diagnostic Methods | Surgical Techniques | Complications | Key Findings |
|---|---|---|---|---|---|---|---|
| Lehmann, 2020 [16] | Case series, review | 6 | 4 hypodermic needles (27G, 25G, 30G, 30G) 1 cottonoid surgical sponge 1 maxillary molar | CT, optical navigation system | Transoral, endoscopically assisted and image-guided | Transient lingual and IAN sensory deficits | Minimally invasive approach through endoscopy |
| Karakida, 2020 [17] | Case report | 1 | 33G, 12 mm needle | Panoramic X-ray, CT, C-arm fluoroscopy | Transcutaneous (neck skin) | None | Avoid using thinner-diameter needles and completely insert the needle |
| Schorn, 2021 [18] | Case report | 1 | 30G needle | OPTG, CBCT, CT, 3D navigation | Retromandibular | None | Fractured needles can move quickly, early recovery is necessary, and 3D navigational planning immediately |
| Terada, 2022 [19] | Case Report | 1 | 33G needle | CT, Panoramic X-ray, LL X-ray | Intraoral using Fluoroscopy assisted by endoscopy | None | No smaller 27G, no bending, immediate surgical intervention |
| Malkawi, 2023 [20] | Case report | 1 | 30G | CBCT, CT with contrast | Intraoral, endoscopically with C-arm X-ray | None | Appropriate local anesthetic technique to avoid needle fracture. The endoscope, image guidance, and the transoral approach can be carefully employed to promote the success of the retrieval technique. |
| Erdil, 2022 [21] | Case report | 1 | 30G | CBCT, Orthopantomogram | Intraoral | Trismus | Avoid bending, 25–27G, avoid direction changes, inform patient not moving, urgent intervention |
| Chybicki, 2020 [22] | Case report | 1 | 30G | Periapical radiograph | Intraoral | None | Treating cases involving patients with behavioral disorders, such as autism spectrum disorder, under GA |
| Dilworth, 2022 [23] | Case report | 2 | 30G, 27G | Panoramic, CT, Cephalometric and panoramic radiograph | Intraoral, intraoperative AP X-ray | None | 30G too small, avoid bend and multiple injections and change direction, patient cooperation |
| Teixeira, 2021 [24] | Case report | 1 | 30G | X-ray, CT | Transcutaneous (neck skin) | None | Avoid needle bending, multiple passes, and patient movement, prefer longer needle 27G for IANB |
| Sandre, 2021 [25] | Case series | 12 | NR | C-arm fluoroscopy | NR | NR | Avoid bending needle, rapid removal, establish protocol |
Disclaimer/Publisher’s Note: The statements, opinions and data contained in all publications are solely those of the individual author(s) and contributor(s) and not of MDPI and/or the editor(s). MDPI and/or the editor(s) disclaim responsibility for any injury to people or property resulting from any ideas, methods, instructions or products referred to in the content. |
© 2025 by the authors. Licensee MDPI, Basel, Switzerland. This article is an open access article distributed under the terms and conditions of the Creative Commons Attribution (CC BY) license (https://creativecommons.org/licenses/by/4.0/).
Share and Cite
Frosolini, A.; Ungaro, A.; Cascino, F.; Latini, L.; Ramieri, V.; Gennaro, P.; Gabriele, G. Foreign Body in the Masticatory Space as a Rare Complication of Orthognathic Surgery and Associated Dental Procedures: A Case Series and Literature Review. J. Clin. Med. 2025, 14, 5234. https://doi.org/10.3390/jcm14155234
Frosolini A, Ungaro A, Cascino F, Latini L, Ramieri V, Gennaro P, Gabriele G. Foreign Body in the Masticatory Space as a Rare Complication of Orthognathic Surgery and Associated Dental Procedures: A Case Series and Literature Review. Journal of Clinical Medicine. 2025; 14(15):5234. https://doi.org/10.3390/jcm14155234
Chicago/Turabian StyleFrosolini, Andrea, Antonino Ungaro, Flavia Cascino, Linda Latini, Valerio Ramieri, Paolo Gennaro, and Guido Gabriele. 2025. "Foreign Body in the Masticatory Space as a Rare Complication of Orthognathic Surgery and Associated Dental Procedures: A Case Series and Literature Review" Journal of Clinical Medicine 14, no. 15: 5234. https://doi.org/10.3390/jcm14155234
APA StyleFrosolini, A., Ungaro, A., Cascino, F., Latini, L., Ramieri, V., Gennaro, P., & Gabriele, G. (2025). Foreign Body in the Masticatory Space as a Rare Complication of Orthognathic Surgery and Associated Dental Procedures: A Case Series and Literature Review. Journal of Clinical Medicine, 14(15), 5234. https://doi.org/10.3390/jcm14155234

