Corneal Perforation as a Possible Ocular Adverse Event Caused by Cabozantinib: A Clinical Case and Brief Review
Abstract
1. Introduction
2. Cabozantinib: Mechanisms of Action, Clinical Trials, and Adverse Events
2.1. Mechanisms of Action
2.2. Clinical Trials
2.2.1. Renal Cell Carcinoma
2.2.2. Hepatocellular Carcinoma
2.2.3. Medullary Thyroid Carcinoma
2.3. Adverse Events
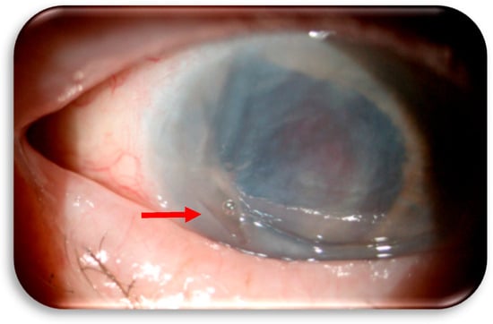
3. Clinical Case
4. Discussion
5. Conclusions
Author Contributions
Funding
Institutional Review Board Statement
Informed Consent Statement
Data Availability Statement
Conflicts of Interest
References
- Cheng, K.; Liu, C.-F.; Rao, G.-W. Anti-Angiogenic Agents: A Review on Vascular Endothelial Growth Factor Receptor-2 (VEGFR-2) Inhibitors. Curr. Med. Chem. 2021, 28, 2540–2564. [Google Scholar] [CrossRef] [PubMed]
- Veeravagu, A.; Hsu, A.; Cai, W.; Hou, L.; Tse, V.; Chen, X. Vascular Endothelial Growth Factor and Vascular Endothelial Growth Factor Receptor Inhibitors as Anti-Angiogenic Agents in Cancer Therapy. Recent Pat. Anti-Cancer Drug Discov. 2008, 2, 59–71. [Google Scholar] [CrossRef] [PubMed]
- Abou-Alfa, G.K.; Meyer, T.; Cheng, A.-L.; El-Khoueiry, A.B.; Rimassa, L.; Ryoo, B.-Y.; Cicin, I.; Merle, P.; Chen, Y.; Park, J.-W.; et al. Cabozantinib in Patients with Advanced and Progressing Hepatocellular Carcinoma. N. Engl. J. Med. 2018, 379, 54–63. [Google Scholar] [CrossRef] [PubMed]
- Schlumberger, M.; Elisei, R.; Müller, S.; Schöffski, P.; Brose, M.; Shah, M.; Licitra, L.; Krajewska, J.; Kreissl, M.C.; Niederle, B.; et al. Overall Survival Analysis of EXAM, a Phase III Trial of Cabozantinib in Patients with Radiographically Progressive Medullary Thyroid Carcinoma. Ann. Oncol. 2017, 28, 2813–2819. [Google Scholar] [CrossRef]
- Choueiri, T.K.; Escudier, B.; Powles, T.; Tannir, N.M.; Mainwaring, P.N.; Rini, B.I.; Hammers, H.J.; Donskov, F.; Roth, B.J.; Peltola, K.; et al. Cabozantinib versus Everolimus in Advanced Renal Cell Carcinoma (METEOR): Final Results from a Randomised, Open-Label, Phase 3 Trial. Lancet Oncol. 2016, 17, 917–927. [Google Scholar] [CrossRef]
- Choueiri, T.K.; Hessel, C.; Halabi, S.; Sanford, B.; Michaelson, M.D.; Hahn, O.; Walsh, M.; Olencki, T.; Picus, J.; Small, E.J.; et al. Cabozantinib versus Sunitinib as Initial Therapy for Metastatic Renal Cell Carcinoma of Intermediate or Poor Risk (Alliance A031203 CABOSUN Randomised Trial): Progression-Free Survival by Independent Review and Overall Survival Update. Eur. J. Cancer 2018, 94, 115–125. [Google Scholar] [CrossRef]
- Motzer, R.J.; Powles, T.; Burotto, M.; Escudier, B.; Bourlon, M.T.; Shah, A.Y.; Suárez, C.; Hamzaj, A.; Porta, C.; Hocking, C.M.; et al. Nivolumab plus Cabozantinib versus Sunitinib in First-Line Treatment for Advanced Renal Cell Carcinoma (CheckMate 9ER): Long-Term Follow-up Results from an Open-Label, Randomised, Phase 3 Trial. Lancet Oncol. 2022, 23, 888–898. [Google Scholar] [CrossRef]
- Huang, Y.T.; Lin, C.J.; Tsai, Y.Y.; Hsia, N.Y. Bilateral Optic Disc Edema as a Possible Complication of Cabozantinib Use-a Case Report. Eur. J. Ophthalmol. 2023, 33, NP56–NP59. [Google Scholar] [CrossRef]
- Stephenson, K.A.J.; Mckay, B.R.; Paton, K.E. Cabozantinib-Associated Exudative Retinal Detachment and Choroiditis: A Case Report. J. Curr. Ophthalmol. 2024, 36, 103–106. [Google Scholar] [CrossRef]
- Lanfant, L.; Trone, M.C.; Garcin, T.; Gauthier, A.S.; Thuret, G.; Gain, P. Corneal Perforation with Tyrosine Kinase Inhibitor Chemotherapy: REGORAFENIB. J. Fr. Ophtalmol. 2021, 44, 544–548. [Google Scholar] [CrossRef]
- Lacy, S.A.; Miles, D.R.; Nguyen, L.T. Clinical Pharmacokinetics and Pharmacodynamics of Cabozantinib. Clin. Pharmacokinet. 2017, 56, 477–491. [Google Scholar] [CrossRef] [PubMed]
- Grülich, C. Cabozantinib: A MET, RET, and VEGFR2 Tyrosine Kinase Inhibitor. Recent Results Cancer Res. 2014, 201, 207–214. [Google Scholar] [CrossRef]
- Yakes, F.M.; Chen, J.; Tan, J.; Yamaguchi, K.; Shi, Y.; Yu, P.; Qian, F.; Chu, F.; Bentzien, F.; Cancilla, B.; et al. Cabozantinib (XL184), a Novel MET and VEGFR2 Inhibitor, Simultaneously Suppresses Metastasis, Angiogenesis, and Tumor Growth. Mol. Cancer Ther. 2011, 10, 2298–2308. [Google Scholar] [CrossRef]
- Rathmell, W.K.; Rumble, R.B.; Van Veldhuizen, P.J.; Al-Ahmadie, H.; Emamekhoo, H.; Hauke, R.J.; Louie, A.V.; Milowsky, M.I.; Molina, A.M.; Rose, T.L.; et al. Management of Metastatic Clear Cell Renal Cell Carcinoma: ASCO Guideline. J. Clin. Oncol. 2022, 72, 25. [Google Scholar] [CrossRef]
- AlBarakat, M.M.; Ahmed, Y.B.; Alshwayyat, S.; Ellaithy, A.; Al-Shammari, Y.Y.; Soliman, Y.; Rezq, H.; Abdelazeem, B.; Kunadi, A. The Efficacy and Safety of Cabozantinib in Patients with Metastatic or Advanced Renal Cell Carcinoma: A Systematic Review and Meta-Analysis. Bayl. Univ. Med. Cent. Proc. 2024, 37, 822–830. [Google Scholar] [CrossRef] [PubMed]
- Magone, M.T.; Hartley, I.R.; Fitzgibbon, E.; Bishop, R.; Arango, M.; Moran, S.; Vold, R.; Rivero, J.D.; Pozo, K.; Streit, J.; et al. Ocular Adverse Effects of Infigratinib, a New Fibroblast Growth Factor Receptor Tyrosine Kinase Inhibitor. Ophthalmology 2021, 128, 624–626. [Google Scholar] [CrossRef]
- Johnson, K.S.; Levin, F.; Chu, D.S. Persistent Corneal Epithelial Defect Associated with Erlotinib Treatment. Cornea 2009, 28, 706–707. [Google Scholar] [CrossRef] [PubMed]
- Zhang, G.; Basti, S.; Jampol, L.M. Acquired Trichomegaly and Symptomatic External Ocular Changes in Patients Receiving Epidermal Growth Factor Receptor Inhibitors: Case Reports and a Review of Literature. Cornea 2007, 26, 858–860. [Google Scholar] [CrossRef] [PubMed]
- Xiang, X.; Lin, W.; Guan, X.; Zhou, B.; Yuan, Y.; Silva, D.; Wang, Y. Corneal Ulcer Development Due to Sintilimab-Anlotinib Combination Therapy-Induced Dry Eye: A Case Report. Transl. Cancer Res. 2024, 13, 2571–2579. [Google Scholar] [CrossRef]
- Ljubimov, A.V.; Saghizadeh, M. Progress in Corneal Wound Healing. Prog. Retin. Eye Res. 2015, 49, 17–45. [Google Scholar] [CrossRef]
- Chen, H.C.J.; Yeh, L.K.; Tsai, Y.J.; Lai, C.H.; Chen, C.C.; Lai, J.Y.; Sun, C.C.; Chang, G.; Hwang, T.L.; Chen, J.K.; et al. Expression of Angiogenesis-Related Factors in Human Corneas after Cultivated Oral Mucosal Epithelial Transplantation. Investig. Ophthalmol. Vis. Sci. 2012, 53, 5615–5623. [Google Scholar] [CrossRef] [PubMed]
- Goldhardt, R.; Batawi, H.I.M.; Rosenblatt, M.; Lollett, I.V.; Park, J.J.; Galor, A. Effect of Anti-Vascular Endothelial Growth Factor Therapy on Corneal Nerves. Cornea 2019, 38, 559–564. [Google Scholar] [CrossRef] [PubMed]
- Lu, C.; Zhang, Q.; Zhang, H.; Li, X.; Jiang, Q.; Yao, J. A Small Molecular Multi-Targeting Tyrosine Kinase Inhibitor, Anlotinib, Inhibits Pathological Ocular Neovascularization. Biomed. Pharmacother. 2021, 138, 111493. [Google Scholar] [CrossRef]
- Hui-Kang, D.; Chen, H.C.J.; Lai, J.Y.; Sun, C.C.; Wang, S.F.; Lin, K.K.; Chen, J.K. Matrix Revolution: Molecular Mechanism for Inflammatory Corneal Neovascularization and Restoration of Corneal Avascularity by Epithelial Stem Cell Transplantation. Ocul. Surf. 2009, 7, 128–144. [Google Scholar] [CrossRef] [PubMed]



Disclaimer/Publisher’s Note: The statements, opinions and data contained in all publications are solely those of the individual author(s) and contributor(s) and not of MDPI and/or the editor(s). MDPI and/or the editor(s) disclaim responsibility for any injury to people or property resulting from any ideas, methods, instructions or products referred to in the content. |
© 2025 by the authors. Licensee MDPI, Basel, Switzerland. This article is an open access article distributed under the terms and conditions of the Creative Commons Attribution (CC BY) license (https://creativecommons.org/licenses/by/4.0/).
Share and Cite
Laface, C.; Scartozzi, L.; Pisano, C.; Vanella, P.; Greco, A.; Vaiano, A.S.; Numico, G. Corneal Perforation as a Possible Ocular Adverse Event Caused by Cabozantinib: A Clinical Case and Brief Review. J. Clin. Med. 2025, 14, 4052. https://doi.org/10.3390/jcm14124052
Laface C, Scartozzi L, Pisano C, Vanella P, Greco A, Vaiano AS, Numico G. Corneal Perforation as a Possible Ocular Adverse Event Caused by Cabozantinib: A Clinical Case and Brief Review. Journal of Clinical Medicine. 2025; 14(12):4052. https://doi.org/10.3390/jcm14124052
Chicago/Turabian StyleLaface, Carmelo, Luca Scartozzi, Chiara Pisano, Paola Vanella, Antonio Greco, Agostino Salvatore Vaiano, and Gianmauro Numico. 2025. "Corneal Perforation as a Possible Ocular Adverse Event Caused by Cabozantinib: A Clinical Case and Brief Review" Journal of Clinical Medicine 14, no. 12: 4052. https://doi.org/10.3390/jcm14124052
APA StyleLaface, C., Scartozzi, L., Pisano, C., Vanella, P., Greco, A., Vaiano, A. S., & Numico, G. (2025). Corneal Perforation as a Possible Ocular Adverse Event Caused by Cabozantinib: A Clinical Case and Brief Review. Journal of Clinical Medicine, 14(12), 4052. https://doi.org/10.3390/jcm14124052

