Impact of BRAF and MEK Inhibitors on Gingival Hyperplasia in Melanoma Patients—A Case Report
Abstract
1. Introduction
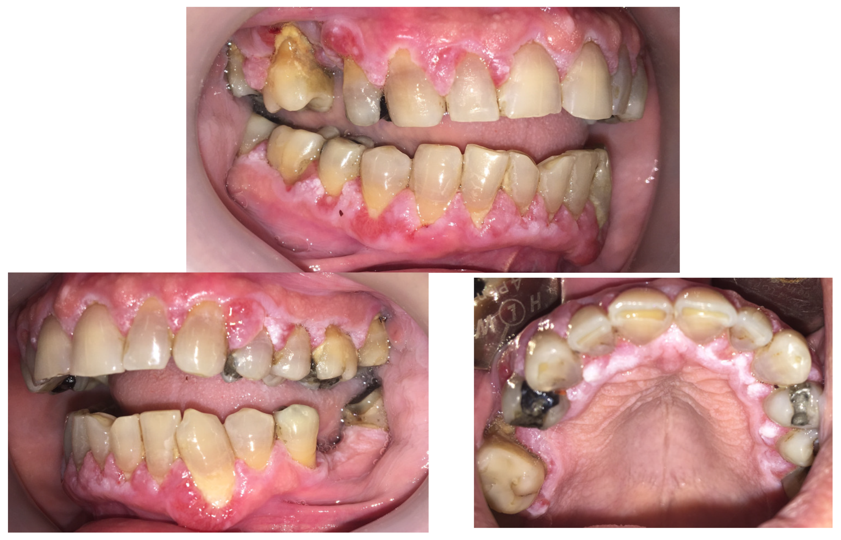
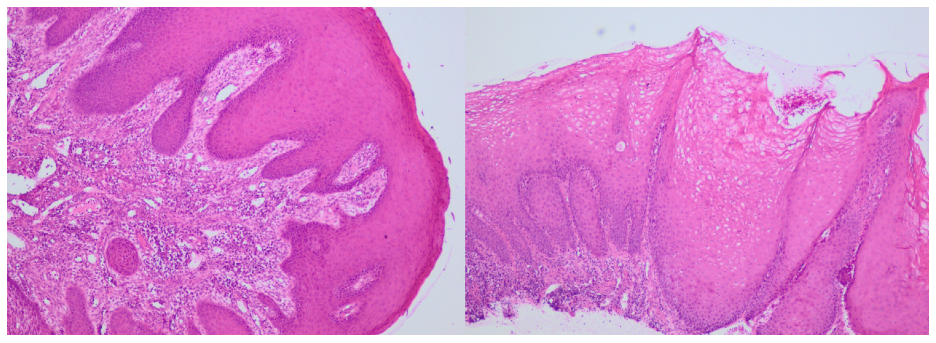
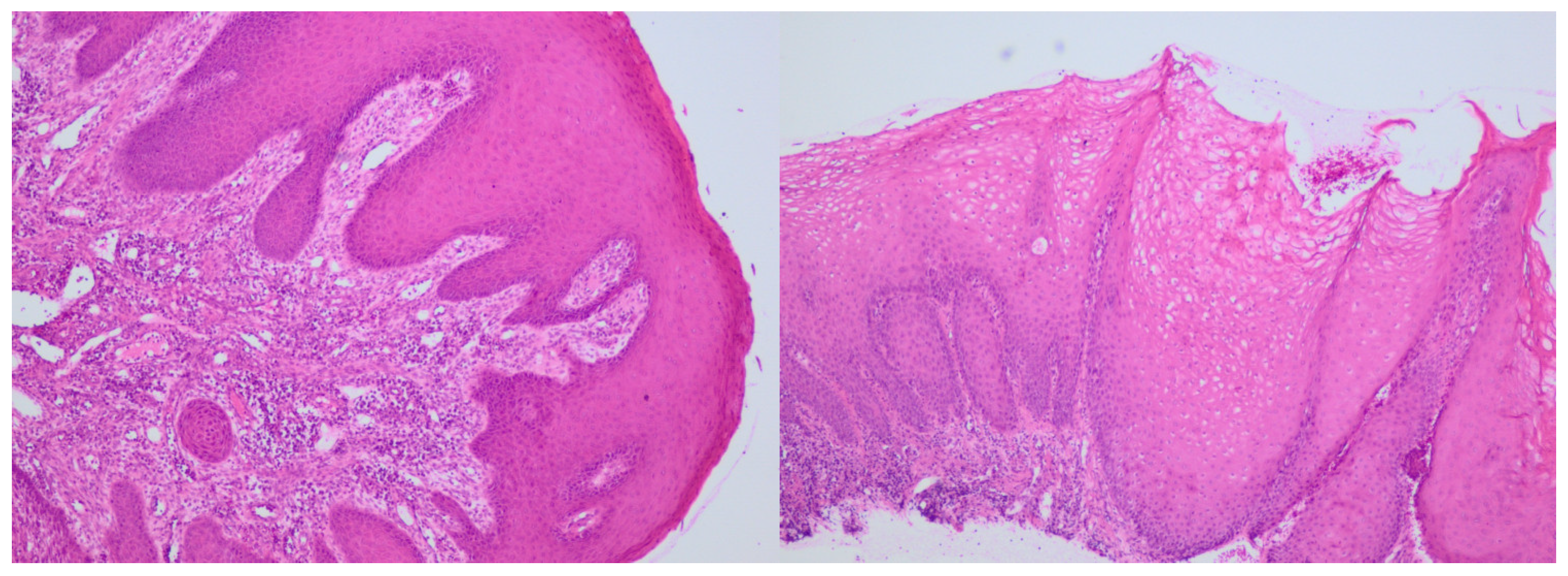
2. Case Presentation
3. Discussion
4. Conclusions
Author Contributions
Funding
Institutional Review Board Statement
Informed Consent Statement
Data Availability Statement
Conflicts of Interest
References
- Kimball, O.P. The treatment of epilepsy with sodium diphenyl hydantoinate. J. Am. Med. Assoc. 1939, 112, 1244–1245. [Google Scholar] [CrossRef]
- Urolagin, S.S.; Swaroop, D.; Agrawal, C.; Dholakia, P.; Karalwad, M.B. Management of phenytoin-induced gingival enlargement in a patient with antiphospholipid antibody syndrome: A rare case report. J. Indian Soc. Periodontol. 2016, 20, 561–564. [Google Scholar] [CrossRef]
- Oettinger-Barak, O.; Machtei, E.E.; Peled, M.; Barak, S.; L-Naaj, I.A.; Laufer, D. Cyclosporine A-induced gingival hyperplasia pemphigus vulgaris: Literature review and report of a case. J. Periodontol. 2000, 71, 650–656. [Google Scholar] [CrossRef] [PubMed]
- Ellis, J.S.; Seymour, R.A.; Steele, J.G.; Robertson, P.; Butler, T.J.; Thomason, J.M. Prevalence of gingival overgrowth induced by calcium channel blockers: A community-based study. J. Periodontol. 1999, 70, 63–67. [Google Scholar] [CrossRef]
- Ibrahim, H.A.; Al Zubaidee, A.F. Prevalence of Gingival Enlargement Induced by Antihypertensive Drugs. Int. Tinnitus J. 2024, 28, 40–46. [Google Scholar] [CrossRef]
- American Cancer Society. Cancer Facts & Figures 2014; American Cancer Society: Atlanta, GA, USA, 2014. [Google Scholar]
- Grahovac, J.; Srdić-Rajić, T.; Santibañez, J.F.; Pavlović, M.; Čavić, M.; Radulović, S. Telmisartan induces melanoma cell apoptosis and synergizes with vemurafenib in vitro by altering cell bioenergetics. Cancer Biol. Med. 2019, 16, 247–263. [Google Scholar] [CrossRef] [PubMed]
- Inić, I.; Inić, M.; Inić, Z.; Zegarac, M.; Martinović, A.; Šašić, M.; Bracanović, M.; Pupić, G. Braf v600e mutations in metastatic melanoma—Case report. Acta Med. Median. 2014, 53, 39–41. [Google Scholar] [CrossRef]
- Dean, L. Vemurafenib Therapy and BRAF and NRAS Genotype. In Medical Genetics Summaries [Internet]; Pratt, V.M., Scott, S.A., Pirmohamed, M., Esquivel, B., Kattman, B.L., Eds.; National Center for Biotechnology Information (US): Bethesda, MD, USA, 2012. Available online: https://ncbi.nlm.nih.gov/books (accessed on 15 August 2017).
- Davies, H.; Bignell, G.R.; Cox, C.; Stephens, P.; Edkins, S.; Clegg, S.; Teague, J.; Woffendin, H.; Garnett, M.; Bottomley, W.; et al. Mutations of the BRAF gene in human cancer. Nature 2002, 417, 949–954. [Google Scholar] [CrossRef]
- Boussemart, L.; Routier, E.; Mateus, C.; Opletalova, K.; Sebille, G.; Kamsu-Kom, N.; Thomas, M.; Vagner, S.; Favre, M.; Tomasic, G.; et al. Prospective study of cutaneous side-effects associated with the BRAF inhibitor vemurafenib: A study of 42 patients. Ann. Oncol. 2013, 24, 1697–1703, 2013. [Google Scholar] [CrossRef]
- Manzano, J.L.; Layos, L.; Bugés, C.; de Los Llanos Gil, M.; Vila, L.; Martínez-Balibrea, E.; Martínez-Cardús, A. Resistant mechanisms to BRAF inhibitors in melanoma. Ann. Transl. Med. 2016, 4, 237. [Google Scholar] [CrossRef] [PubMed]
- Flaherty, K.T.; Puzanov, I.; Kim, K.B.; Ribas, A.; McArthur, G.A.; Sosman, J.A.; O’Dwyer, P.J.; Lee, R.J.; Grippo, J.F.; Nolop, K.; et al. Inhibition of mutated, activated BRAF in metastatic melanoma. N. Engl. J. Med. 2010, 363, 809–819. [Google Scholar] [CrossRef]
- Robert, C.; Arnault, J.P.; Mateus, C. RAF inhibition and induction of cutaneous squamous cell carcinoma. Curr. Opin. Oncol. 2011, 23, 177–182. [Google Scholar] [CrossRef]
- Robert, C.; Soria, J.C.; Spatz, A.; Le Cesne, A.; Malka, D.; Pautier, P.; Wechsler, J.; Lhomme, C.; Escudier, B.; Boige, V.; et al. Cutaneous side-effects of kinase inhibitors and blocking antibodies. Lancet Oncol. 2005, 6, 491–500. [Google Scholar] [CrossRef] [PubMed]
- McArthur, G.A.; Chapman, P.B.; Robert, C.; Larkin, J.; Haanen, J.B.; Dummer, R.; Ribas, A.; Hogg, D.; Hamid, O.; Ascierto, P.A.; et al. Safety and efficacy of Vemurafenib in BRAFV600E and BRAFV600K mutation-positive melanoma (BRIM-3): Extended follow-up of a phase 3, randomized, open-label study. Lancet Oncol. 2014, 15, 323–332. [Google Scholar] [CrossRef] [PubMed]
- Todorovic, V.; Martinovic, D. Skin toxicity of targeted therapy: Vemurafenib, first experiences from Montenegro. Sanamed 2015, 10, 109–114. [Google Scholar] [CrossRef]
- Sinha, R.; Edmonds, K.; Newton-Bishop, J.A.; Gore, M.E.; Larkin, J.; Fearfield, L. Cutaneous adverse events associated with vemurafenib in patients with metastatic melanoma: Practical advice on diagnosis, prevention and management of the main treatment-related skin toxicities. Br. J. Dermatol. 2012, 167, 987–994. [Google Scholar] [CrossRef] [PubMed]
- Mangold, A.R.; Bryce, A.; Sekulic, A. Vemurafenib-associated gingival hyperplasia in patient with metastatic melanoma. J. Am. Acad. Dermatol. 2014, 71, 205–206. [Google Scholar] [CrossRef] [PubMed]
- Salman, A.; Tekin, B.; Koca, S.; Akgul Babacan, N.; Yumuk, P.F.; Ergun, T. Another adverse effect of vemurafenib: Gingival hyperplasia. J. Dermatol. 2016, 43, 706–707. [Google Scholar] [CrossRef] [PubMed]
- Rinderknecht, J.D.; Goldinger, S.M.; Rozati, S.; Kamarashev, J.; Kerl, K.; French, L.E.; Dummer, R.; Belloni, B. RASopathic Skin Eruptions during Vemurafenib Therapy. PLoS ONE 2013, 8, e58721. [Google Scholar] [CrossRef]
- Siegel, D.H.; Mann, J.A.; Krol, A.L.; Rauen, K.A. Dermatological phenotype in Costello syndrome: Consequences of Ras dysregulation in development. Br. J. Dermatol. 2012, 166, 601–607. [Google Scholar] [CrossRef]
- Siegel, D.H.; McKenzie, J.; Frieden, I.J.; Rauen, K.A. Dermatological findings in 61 mutation-positive individuals with cardiofaciocutaneous syndrome. Br. J. Dermatol. 2011, 164, 521–529. [Google Scholar] [CrossRef] [PubMed]
- Sparling, J.D.; Hong, C.H.; Brahim, J.S.; Moss, J.; Darling, T.N. Oral findings in 58 adults with tuberous sclerosis complex. J. Am. Acad. Dermatol. 2007, 56, 786–790. [Google Scholar] [CrossRef]
- Djuric, M.; Picuric, I. Gingival hyperplasia induced by nifedipine—Case report. Serbian Dent. J. 2002, 49, 90–99. [Google Scholar] [CrossRef]
- Mpungose, S.P.; van Staden, M. Drug-induced gingival enlargement—Oral implications for prescribing physicians. S. Afr. Dent. J. 2023, 78, 145–151. [Google Scholar] [CrossRef]
- Manuelli, M.; Marcolina, M.; Nardi, N.; Bertossi, D.; de Santis, D.; Ricciardi, G.; Luciano, U.; Nocini, R.; Mainardi, A.; Lissoni, A.; et al. Oral mucosal complications in orthodontic treatment. Minerva Stomatol. 2019, 68, 84–88. [Google Scholar] [CrossRef] [PubMed]
- Vigarios, E.; Lamant, L.; Delord, J.P.; Fricain, J.C.; Chevreau, C.; Barrés, B.; Gomez-Roca, C.; Boulanger, M.; Sibaud, V. Oral squamous cell carcinoma and hyperkeratotic lesions with BRAF inhibitors. Br. J. Dermatol. 2015, 172, 1680–1682. [Google Scholar] [CrossRef] [PubMed]
- Elfatoiki, F.Z.; Capatas, S.; Skali, H.D.; Hali, F.; Attar, H.; Chiheb, S. Oral White Sponge Nevus: An Exceptional Differential Diagnosis in Childhood. Case Rep. Dermatol. Med. 2020, 2020, 9296768. [Google Scholar] [CrossRef]
- Thompson, A.L.; Herman, W.W.; Konzelman, J.; Collins, M.A. Treating patients with drug-induced gingival overgrowth. J. Dent. Hyg. 2004, 78, 12. [Google Scholar] [PubMed]
- Shephard, M.K.; Lloyd-Lavery, A. Resolution of severe oral mucosal changes related to vemurafenib therapy with intensive periodontal treatment. Br J Dermatol. 2019, 181, 637–645. [Google Scholar] [CrossRef] [PubMed]
- Victory Rodríguez, G.; Ruiz Gutiérrez, A.D.C.; Gómez Sandoval, J.R.; Lomelí Martínez, S.M. Gingival enlargement induced by cyclosporine in Medullary aplasia: A case report. World J. Clin. Cases 2022, 10, 12750–12760. [Google Scholar] [CrossRef] [PubMed]
- Bharti, V.; Bansal, C. Drug-induced gingival overgrowth: The nemesis of gingiva unravelled. J. Indian Soc. Periodontol. 2013, 17, 182–187. [Google Scholar] [CrossRef] [PubMed]
- Larkin, J.; Ascierto, P.A.; Dréno, B.; Atkinson, V.; Liszkay, G.; Maio, M.; Mandalà, M.; Demidov, L.; Stroyakovskiy, D.; Thomas, L.; et al. Combined vemurafenib and cobimetinib in BRAF-mutated melanoma. N. Engl. J. Med. 2014, 371, 1867–1876. [Google Scholar] [CrossRef] [PubMed]





Disclaimer/Publisher’s Note: The statements, opinions and data contained in all publications are solely those of the individual author(s) and contributor(s) and not of MDPI and/or the editor(s). MDPI and/or the editor(s) disclaim responsibility for any injury to people or property resulting from any ideas, methods, instructions or products referred to in the content. |
© 2024 by the authors. Licensee MDPI, Basel, Switzerland. This article is an open access article distributed under the terms and conditions of the Creative Commons Attribution (CC BY) license (https://creativecommons.org/licenses/by/4.0/).
Share and Cite
Veljovic, T.; Djuric, M.; Gusic, I.; Vuckovic, N.; Ramic, B.; Mirnic, J. Impact of BRAF and MEK Inhibitors on Gingival Hyperplasia in Melanoma Patients—A Case Report. J. Clin. Med. 2025, 14, 65. https://doi.org/10.3390/jcm14010065
Veljovic T, Djuric M, Gusic I, Vuckovic N, Ramic B, Mirnic J. Impact of BRAF and MEK Inhibitors on Gingival Hyperplasia in Melanoma Patients—A Case Report. Journal of Clinical Medicine. 2025; 14(1):65. https://doi.org/10.3390/jcm14010065
Chicago/Turabian StyleVeljovic, Tanja, Milanko Djuric, Ivana Gusic, Nada Vuckovic, Bojana Ramic, and Jelena Mirnic. 2025. "Impact of BRAF and MEK Inhibitors on Gingival Hyperplasia in Melanoma Patients—A Case Report" Journal of Clinical Medicine 14, no. 1: 65. https://doi.org/10.3390/jcm14010065
APA StyleVeljovic, T., Djuric, M., Gusic, I., Vuckovic, N., Ramic, B., & Mirnic, J. (2025). Impact of BRAF and MEK Inhibitors on Gingival Hyperplasia in Melanoma Patients—A Case Report. Journal of Clinical Medicine, 14(1), 65. https://doi.org/10.3390/jcm14010065

