Pituitary Apoplexy: An Updated Review
Abstract
1. Introduction
2. Epidemiology
3. Pathophysiology
4. Precipitating Factors
5. Clinical Presentation and Natural History
6. Pituitary Apoplexy (PA) in Pituitary Neuroendocrine Tumors (PitNETs)
6.1. Pituitary Apoplexy in Children and Adolescents
6.2. Pituitary Apoplexy in the Elderly
6.3. Pituitary Apoplexy and Pregnancy
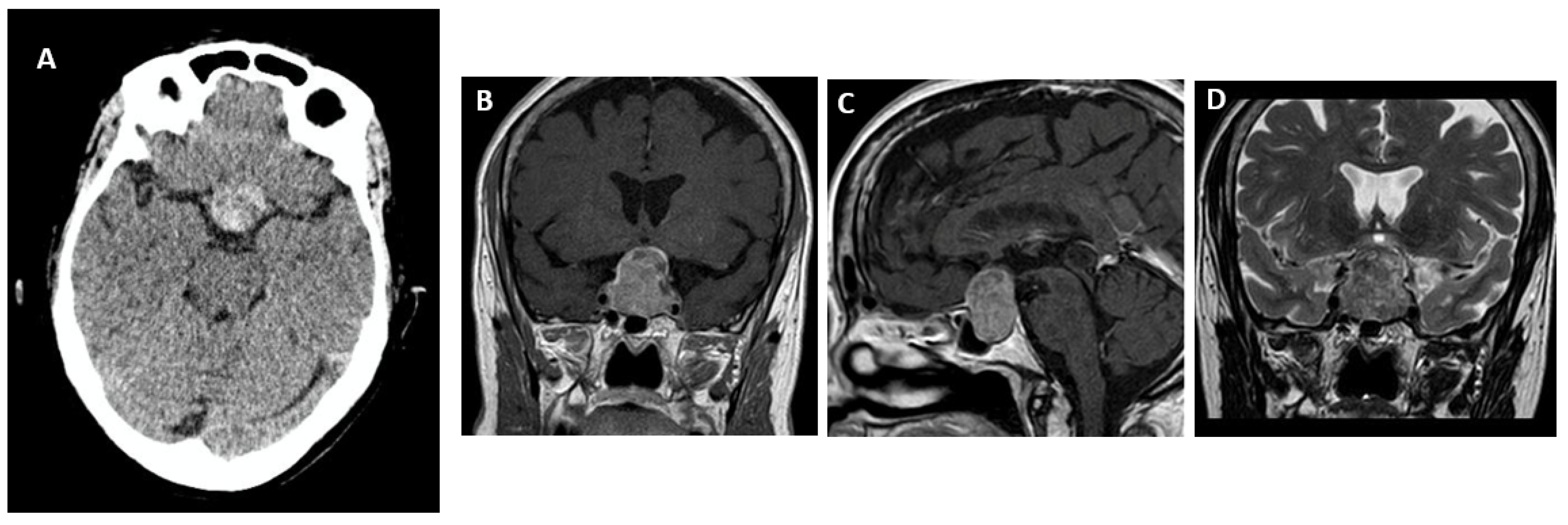
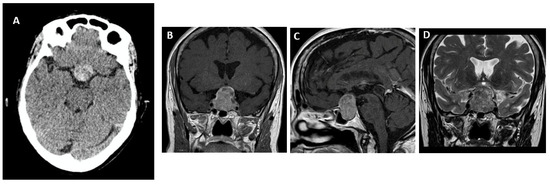
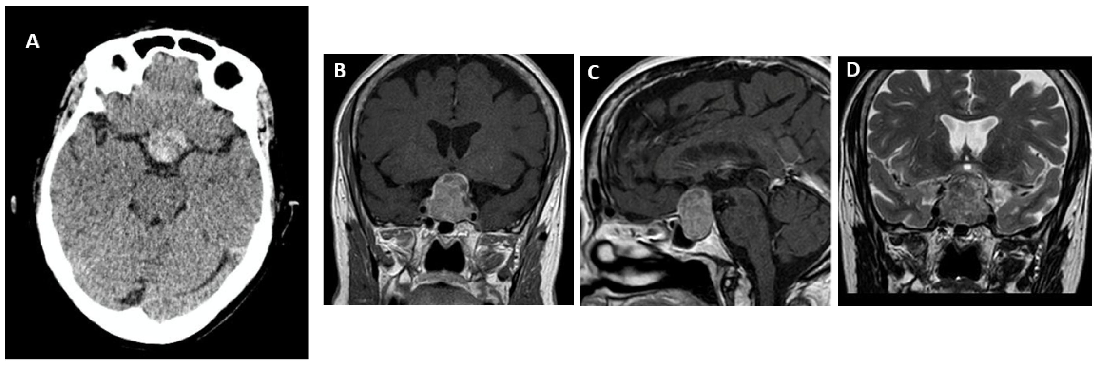
7. Diagnosis
8. Management
8.1. Conservative Approach
8.2. Surgical Approach
8.3. Conservative Treatment vs. Surgery
9. Short- and Long-Term Surveillance
10. Conclusions
Funding
Conflicts of Interest
References
- Bailey, P. Pathological Report of a Case of Acromegaly, with Special Reference to the Lesions in the Hypophysis Cerebri and in the Thyroid Gland; and a Case of Haemorrhage in to the Pituitary. Phila. Med. J. 1898, 1, 789–792. [Google Scholar]
- Brougham, M.; Heusner, A.P.; Adams, R.D. Acute Degenerative Changes in Adenomas of the Pituitary Body--with Special Reference to Pituitary Apoplexy. J. Neurosurg. 1950, 7, 421–439. [Google Scholar] [CrossRef] [PubMed]
- Albani, A.; Ferraù, F.; Angileri, F.F.; Esposito, F.; Granata, F.; Ferreri, F.; Cannavò, S. Multidisciplinary Management of Pituitary Apoplexy. Int. J. Endocrinol. 2016, 2016, 7951536. [Google Scholar] [CrossRef]
- Raappana, A.; Koivukangas, J.; Ebeling, T.; Pirilä, T. Incidence of Pituitary Adenomas in Northern Finland in 1992–2007. J. Clin. Endocrinol. Metab. 2010, 95, 4268–4275. [Google Scholar] [CrossRef] [PubMed]
- Fernandez, A.; Karavitaki, N.; Wass, J.A.H. Prevalence of Pituitary Adenomas: A Community-Based, Cross-Sectional Study in Banbury (Oxfordshire, UK). Clin. Endocrinol. 2010, 72, 377–382. [Google Scholar] [CrossRef]
- Jankowski, P.P.; Crawford, J.R.; Khanna, P.; Malicki, D.M.; Ciacci, J.D.; Levy, M.L. Pituitary Tumor Apoplexy in Adolescents. World Neurosurg. 2015, 83, 644–651. [Google Scholar] [CrossRef]
- Sibal, L.; Ball, S.G.; Connolly, V.; James, R.A.; Kane, P.; Kelly, W.F.; Kendall-Taylor, P.; Mathias, D.; Perros, P.; Quinton, R.; et al. Pituitary Apoplexy: A Review of Clinical Presentation, Management and Outcome in 45 Cases. Pituitary 2004, 7, 157–163. [Google Scholar] [CrossRef] [PubMed]
- Picón Jaimes, Y.A.; Orozco Chinome, J.E.; López Cepeda, D.; Quintana Pájaro, L.; Galindo-Velásquez, H.; Ramos-Villegas, Y.; Ripoll-Zapata, V.; Morales-Núñez, M.A.; Moscote Salazar, L.R. Pituitary apoplexy in pediatric patients: Systematic review. Rev. Fac. Cienc. Medicas Cordoba Argent. 2022, 79, 141–145. [Google Scholar] [CrossRef] [PubMed]
- Zhu, X.; Wang, Y.; Zhao, X.; Jiang, C.; Zhang, Q.; Jiang, W.; Wang, Y.; Chen, H.; Shou, X.; Zhao, Y.; et al. Incidence of Pituitary Apoplexy and Its Risk Factors in Chinese People: A Database Study of Patients with Pituitary Adenoma. PLoS ONE 2015, 10, e0139088. [Google Scholar] [CrossRef]
- Lubina, A.; Olchovsky, D.; Berezin, M.; Ram, Z.; Hadani, M.; Shimon, I. Management of Pituitary Apoplexy: Clinical Experience with 40 Patients. Acta Neurochir. 2005, 147, 151–157, discussion 157. [Google Scholar] [CrossRef]
- Vargas, G.; Gonzalez, B.; Guinto, G.; Mendoza, V.; López-Félix, B.; Zepeda, E.; Mercado, M. Pituitary Apoplexy in Nonfunctioning Pituitary Macroadenomas: A Case-Control Study. Endocr. Pract. 2014, 20, 1274–1280. [Google Scholar] [CrossRef] [PubMed]
- Carija, R.; Vucina, D. Frequency of Pituitary Tumor Apoplexy during Treatment of Prolactinomas with Dopamine Agonists: A Systematic Review. CNS Neurol. Disord. Drug Targets 2012, 11, 1012–1014. [Google Scholar] [CrossRef] [PubMed]
- Pawar, S.J.; Sharma, R.R.; Lad, S.D.; Dev, E.; Devadas, R.V. Rathke’s Cleft Cyst Presenting as Pituitary Apoplexy. J. Clin. Neurosci. 2002, 9, 76–79. [Google Scholar] [CrossRef] [PubMed]
- Chen, Y.; Hu, F.; Wang, J.; Huang, K.; Liu, W.; Tan, Y.; Zhao, K.; Xiao, Q.; Lei, T.; Shu, K. Clinical Features of Craniopharyngioma With Tumoral Hemorrhage: A Retrospective Case-Controlled Study. Front. Surg. 2022, 9, 845273. [Google Scholar] [CrossRef] [PubMed]
- Chhiber, S.S.; Bhat, A.R.; Khan, S.H.; Wani, M.A.; Ramzan, A.U.; Kirmani, A.R.; Malik, N.K.; Wani, A.A.; Rather, T. Apoplexy in Sellar Metastasis: A Case Report and Review of Literature. Turk. Neurosurg. 2011, 21, 230–234. [Google Scholar] [CrossRef] [PubMed]
- Arunkumar, M.J.; Rajshekhar, V. Intrasellar Tuberculoma Presenting as Pituitary Apoplexy. Neurol. India 2001, 49, 407–410. [Google Scholar] [PubMed]
- Deogaonkar, M.; De, R.; Sil, K.; Das, S. Pituitary Tuberculosis Presenting as Pituitary Apoplexy. Int. J. Infect. Dis. IJID 2006, 10, 338–339. [Google Scholar] [CrossRef] [PubMed]
- Dan, N.G.; Feiner, R.I.D.; Houang, M.T.W.; Turner, J.J. Pituitary Apoplexy in Association with Lymphocytic Hypophysitis. J. Clin. Neurosci. 2002, 9, 577–580. [Google Scholar] [CrossRef] [PubMed][Green Version]
- Husain, Q.; Zouzias, A.; Kanumuri, V.V.; Eloy, J.A.; Liu, J.K. Idiopathic Granulomatous Hypophysitis Presenting as Pituitary Apoplexy. J. Clin. Neurosci. 2014, 21, 510–512. [Google Scholar] [CrossRef]
- Keleştimur, F. Sheehan’s Syndrome. Pituitary 2003, 6, 181–188. [Google Scholar] [CrossRef]
- Laway, B.A.; Baba, M.S. Sheehan Syndrome: Cardiovascular and Metabolic Comorbidities. Front. Endocrinol. 2023, 14, 1086731. [Google Scholar] [CrossRef]
- Kristjansdottir, H.L.; Bodvarsdottir, S.P.; Sigurjonsdottir, H.A. Sheehan’s Syndrome in Modern Times: A Nationwide Retrospective Study in Iceland. Eur. J. Endocrinol. 2011, 164, 349–354. [Google Scholar] [CrossRef] [PubMed]
- Zargar, A.H.; Singh, B.; Laway, B.A.; Masoodi, S.R.; Wani, A.I.; Bashir, M.I. Epidemiologic Aspects of Postpartum Pituitary Hypofunction (Sheehan’s Syndrome). Fertil. Steril. 2005, 84, 523–528. [Google Scholar] [CrossRef] [PubMed]
- Tomlinson, J.W.; Holden, N.; Hills, R.K.; Wheatley, K.; Clayton, R.N.; Bates, A.S.; Sheppard, M.C.; Stewart, P.M. Association between Premature Mortality and Hypopituitarism. West Midlands Prospective Hypopituitary Study Group. Lancet Lond. Engl. 2001, 357, 425–431. [Google Scholar] [CrossRef] [PubMed]
- Regal, M.; Páramo, C.; Sierra, S.M.; Garcia-Mayor, R.V. Prevalence and Incidence of Hypopituitarism in an Adult Caucasian Population in Northwestern Spain. Clin. Endocrinol. 2001, 55, 735–740. [Google Scholar] [CrossRef] [PubMed]
- Tanriverdi, F.; Dokmetas, H.S.; Kebapcı, N.; Kilicli, F.; Atmaca, H.; Yarman, S.; Ertorer, M.E.; Erturk, E.; Bayram, F.; Tugrul, A.; et al. Etiology of Hypopituitarism in Tertiary Care Institutions in Turkish Population: Analysis of 773 Patients from Pituitary Study Group Database. Endocrine 2014, 47, 198–205. [Google Scholar] [CrossRef] [PubMed]
- Malik, S.; Kiran, Z.; Rashid, M.O.; Mawani, M.; Gulab, A.; Masood, M.Q.; Islam, N. Hypopituitarism Other than Sellar and Parasellar Tumors or Traumatic Brain Injury Assessed in a Tertiary Hospital. Pak. J. Med. Sci. 2019, 35, 1149–1154. [Google Scholar] [CrossRef] [PubMed]
- Proust, F.; Hannequin, D.; Bellow, F.; Langlois, O.; Tadié, M.; Creissard, P.; Fréger, P. Stress-induced pituitary apoplexy in 2 phases. Neurochirurgie 1995, 41, 372–376. [Google Scholar] [PubMed]
- Glezer, A.; Bronstein, M.D. Pituitary Apoplexy: Pathophysiology, Diagnosis and Management. Arch. Endocrinol. Metab. 2015, 59, 259–264. [Google Scholar] [CrossRef]
- Biagetti, B.; Simò, R. Pituitary Apoplexy: Risk Factors and Underlying Molecular Mechanisms. Int. J. Mol. Sci. 2022, 23, 8721. [Google Scholar] [CrossRef]
- Zayour, D.H.; Selman, W.R.; Arafah, B.M. Extreme Elevation of Intrasellar Pressure in Patients with Pituitary Tumor Apoplexy: Relation to Pituitary Function. J. Clin. Endocrinol. Metab. 2004, 89, 5649–5654. [Google Scholar] [CrossRef] [PubMed]
- Anbalagan, S.; Gordon, L.; Blechman, J.; Matsuoka, R.L.; Rajamannar, P.; Wircer, E.; Biran, J.; Reuveny, A.; Leshkowitz, D.; Stainier, D.Y.R.; et al. Pituicyte Cues Regulate the Development of Permeable Neuro-Vascular Interfaces. Dev. Cell 2018, 47, 711–726.e5. [Google Scholar] [CrossRef] [PubMed]
- Marques, P.; Caimari, F.; Hernández-Ramírez, L.C.; Collier, D.; Iacovazzo, D.; Ronaldson, A.; Magid, K.; Lim, C.T.; Stals, K.; Ellard, S.; et al. Significant Benefits of AIP Testing and Clinical Screening in Familial Isolated and Young-Onset Pituitary Tumors. J. Clin. Endocrinol. Metab. 2020, 105, e2247–e2260. [Google Scholar] [CrossRef] [PubMed]
- Capatina, C.; Inder, W.; Karavitaki, N.; Wass, J.A.H. Management of Endocrine Disease: Pituitary Tumour Apoplexy. Eur. J. Endocrinol. 2015, 172, R179–R190. [Google Scholar] [CrossRef] [PubMed]
- Onesti, S.T.; Wisniewski, T.; Post, K.D. Clinical versus Subclinical Pituitary Apoplexy: Presentation, Surgical Management, and Outcome in 21 Patients. Neurosurgery 1990, 26, 980–986. [Google Scholar] [CrossRef] [PubMed]
- Salle, H.; Cane, M.; Rocher, M.; Auditeau, E.; Teissier, M.-P.; Raverot, G.; Salle, L. Pituitary Apoplexy Score, toward Standardized Decision-Making: A Descriptive Study. Pituitary 2024, 27, 77–87. [Google Scholar] [CrossRef]
- Bjerre, P.; Lindholm, J. Adult Hydrocephalus and the Empty Sella. Acta Neurol. Scand. 1984, 70, 201–203. [Google Scholar] [CrossRef] [PubMed]
- Yildiz, Y.; Lauber, A.; Char, N.V.; Bozinov, O.; Neidert, M.C.; Hostettler, I.C. Subarachnoid Hemorrhage Due to Pituitary Adenoma Apoplexy-Case Report and Review of the Literature. Neurol. Sci. 2024, 45, 997–1005. [Google Scholar] [CrossRef]
- Araujo-Castro, M.; Paredes, I.; Pérez-López, C.; García Feijoo, P.; Alvarez-Escola, C.; Calatayud, M.; Lagares, A.; Soledad Librizzi, M.; Acitores Cancela, A.; Rodríguez Berrocal, V. Differences in Clinical, Hormonal, and Radiological Presentation and in Surgical Outcomes in Patients Presenting with and without Pituitary Apoplexy. A Multicenter Study of 245 Cases. Pituitary 2023, 26, 250–258. [Google Scholar] [CrossRef]
- Biousse, V.; Newman, N.J.; Oyesiku, N.M. Precipitating Factors in Pituitary Apoplexy. J. Neurol. Neurosurg. Psychiatry 2001, 71, 542–545. [Google Scholar] [CrossRef]
- Semple, P.L.; Jane, J.A.; Laws, E.R. Clinical Relevance of Precipitating Factors in Pituitary Apoplexy. Neurosurgery 2007, 61, 956–961, discussion 961–962. [Google Scholar] [CrossRef] [PubMed]
- Abo, K.M.; Kane, J.; Druckenbrod, R.C.; Mooney, M.A.; Rachlin, J. Intraoperative Hypovolemia as a Possible Precipitating Factor for Pituitary Apoplexy: A Case Report. J. Med. Case Rep. 2023, 17, 53. [Google Scholar] [CrossRef] [PubMed]
- Couture, N.; Aris-Jilwan, N.; Serri, O. Apoplexy of a Microprolactinoma during Pregnancy: Case Report and Review of Literature. Endocr. Pract. 2012, 18, e147–e150. [Google Scholar] [CrossRef] [PubMed]
- Xu, K.; Yuan, Y.; Zhou, J.; Yu, J. Pituitary Adenoma Apoplexy Caused by Rupture of an Anterior Communicating Artery Aneurysm: Case Report and Literature Review. World J. Surg. Oncol. 2015, 13, 228. [Google Scholar] [CrossRef] [PubMed]
- Fu, J.; Li, Y.; Wu, L.; Yang, X.; Quan, T.; Li, X.; Zeng, J.; Deng, Y.; Yu, J. Pituitary Hemorrhage in Pituitary Adenomas Treated with Gamma Knife Radiosurgery: Incidence, Risk Factors and Prognosis. J. Cancer 2021, 12, 1365–1372. [Google Scholar] [CrossRef] [PubMed]
- Corn, M.; Nickell, A.; Lessard, C.; Jackson, A. Pituitary Apoplexy during Pregnancy with Transsphenoidal Resection and Intraoperative Fetal Monitoring: A Case Report. Case Rep. Womens Health 2023, 39, e00543. [Google Scholar] [CrossRef] [PubMed]
- De Oliveira Gamito, M.A.P.; Amaral, N.Y.B.; Rodrigues, C.F.; Ribeiro, J.M.; Guerra, S. Pituitary Apoplexy in Pregnancy: What Do We Know? Rev. Bras. Ginecol. E Obstet. Rev. Fed. Bras. Soc. Ginecol. E Obstet. 2023, 45, 273–280. [Google Scholar] [CrossRef] [PubMed]
- Ly, S.; Naman, A.; Chaufour-Higel, B.; Patey, M.; Arndt, C.; Delemer, B.; Litre, C.F. Pituitary Apoplexy and Rivaroxaban. Pituitary 2017, 20, 709–710. [Google Scholar] [CrossRef]
- Peng, Z.; Tian, D.; Wang, H.; Kong, D.K.; Zhang, S.; Liu, B.; Deng, G.; Xu, Z.; Wu, L.; Ji, B.; et al. Epistaxis and Pituitary Apoplexy Due to Ruptured Internal Carotid Artery Aneurysm Embedded within Pituitary Adenoma. Int. J. Clin. Exp. Pathol. 2015, 8, 14189–14197. [Google Scholar]
- Alshahrani, A.M.; Al Bshabshe, A.; Al Shahrani, M.B. Pituitary Apoplexy After a Major Abdominal Surgery: A Case Report. Cureus 2024, 16, e52966. [Google Scholar] [CrossRef]
- Dubuisson, A.S.; Beckers, A.; Stevenaert, A. Classical Pituitary Tumour Apoplexy: Clinical Features, Management and Outcomes in a Series of 24 Patients. Clin. Neurol. Neurosurg. 2007, 109, 63–70. [Google Scholar] [CrossRef] [PubMed]
- Randeva, H.S.; Schoebel, J.; Byrne, J.; Esiri, M.; Adams, C.B.; Wass, J.A. Classical Pituitary Apoplexy: Clinical Features, Management and Outcome. Clin. Endocrinol. 1999, 51, 181–188. [Google Scholar] [CrossRef] [PubMed]
- Semple, P.L.; De Villiers, J.C.; Bowen, R.M.; Lopes, M.B.S.; Laws, E.R. Pituitary Apoplexy: Do Histological Features Influence the Clinical Presentation and Outcome? J. Neurosurg. 2006, 104, 931–937. [Google Scholar] [CrossRef] [PubMed]
- Shaikh, A.A.; Williams, D.M.; Stephens, J.W.; Boregowda, K.; Udiawar, M.V.; Price, D.E. Natural History of Pituitary Apoplexy: A Long-Term Follow-up Study. Postgrad. Med. J. 2023, 99, 595–598. [Google Scholar] [CrossRef] [PubMed]
- Briet, C.; Salenave, S.; Bonneville, J.-F.; Laws, E.R.; Chanson, P. Pituitary Apoplexy. Endocr. Rev. 2015, 36, 622–645. [Google Scholar] [CrossRef] [PubMed]
- Nawar, R.N.; AbdelMannan, D.; Selman, W.R.; Arafah, B.M. Pituitary Tumor Apoplexy: A Review. J. Intensive Care Med. 2008, 23, 75–90. [Google Scholar] [CrossRef] [PubMed]
- Muthukumar, N. Pituitary Apoplexy: A Comprehensive Review. Neurol. India 2020, 68, S72–S78. [Google Scholar] [CrossRef] [PubMed]
- Hadj Kacem, F.; Trimeche, O.; Gargouri, I.; Ben Salah, D.; Charfi, N.; Rekik, N.; Mnif, F.; Mnif, M.; Elleuch, M.; Abid, M. Diagnosis and Management of Pituitary Apoplexy: A Tunisian Data. Chin. Neurosurg. J. 2023, 9, 17. [Google Scholar] [CrossRef] [PubMed]
- Rajasekaran, S.; Vanderpump, M.; Baldeweg, S.; Drake, W.; Reddy, N.; Lanyon, M.; Markey, A.; Plant, G.; Powell, M.; Sinha, S.; et al. UK Guidelines for the Management of Pituitary Apoplexy. Clin. Endocrinol. 2011, 74, 9–20. [Google Scholar] [CrossRef] [PubMed]
- Jiang, Q.; Xiao, S.; Shu, L.; Huang, X.; Chen, X.; Hong, H. Pituitary Apoplexy Leading to Cerebral Infarction: A Systematic Review. Eur. Neurol. 2020, 83, 121–130. [Google Scholar] [CrossRef]
- Shijo, K.; Yoshimura, S.; Mori, F.; Yamamuro, S.; Sumi, K.; Oshima, H.; Yoshino, A. Pituitary Apoplexy Accompanying Temporal Lobe Seizure as a Complication. World Neurosurg. 2020, 138, 153–157. [Google Scholar] [CrossRef] [PubMed]
- Hirayama, M.; Ishida, A.; Inoshita, N.; Shiramizu, H.; Yoshimoto, H.; Kato, M.; Tanaka, S.; Matsuo, S.; Miki, N.; Ono, M.; et al. Apoplexy in Sellar Metastasis from Papillary Thyroid Cancer: A Case Report and Literature Review. Surg. Neurol. Int. 2022, 13, 253. [Google Scholar] [CrossRef] [PubMed]
- Fernández-Balsells, M.M.; Murad, M.H.; Barwise, A.; Gallegos-Orozco, J.F.; Paul, A.; Lane, M.A.; Lampropulos, J.F.; Natividad, I.; Perestelo-Pérez, L.; Ponce de León-Lovatón, P.G.; et al. Natural History of Nonfunctioning Pituitary Adenomas and Incidentalomas: A Systematic Review and Metaanalysis. J. Clin. Endocrinol. Metab. 2011, 96, 905–912. [Google Scholar] [CrossRef] [PubMed]
- Sivakumar, W.; Chamoun, R.; Nguyen, V.; Couldwell, W.T. Incidental Pituitary Adenomas. Neurosurg. Focus 2011, 31, E18. [Google Scholar] [CrossRef] [PubMed]
- Randall, B.R.; Couldwell, W.T. Apoplexy in Pituitary Microadenomas. Acta Neurochir. 2010, 152, 1737–1740. [Google Scholar] [CrossRef] [PubMed]
- Nielsen, E.H.; Lindholm, J.; Bjerre, P.; Christiansen, J.S.; Hagen, C.; Juul, S.; Jørgensen, J.; Kruse, A.; Laurberg, P. Frequent Occurrence of Pituitary Apoplexy in Patients with Non-Functioning Pituitary Adenoma. Clin. Endocrinol. 2006, 64, 319–322. [Google Scholar] [CrossRef] [PubMed]
- Hamblin, R.; Fountas, A.; Lithgow, K.; Loughrey, P.B.; Bonanos, E.; Shinwari, S.K.; Mitchell, K.; Shah, S.; Grixti, L.; Matheou, M.; et al. Natural History of Non-Functioning Pituitary Microadenomas: Results from the UK Non-Functioning Pituitary Adenoma Consortium. Eur. J. Endocrinol. 2023, 189, 87–95. [Google Scholar] [CrossRef] [PubMed]
- Pernik, M.N.; Montgomery, E.Y.; Isa, S.; Sundarrajan, C.; Caruso, J.P.; Traylor, J.I.; Liu, Y.; Garzon-Muvdi, T. The Natural History of Non-Functioning Pituitary Adenomas: A Meta-Analysis of Conservatively Managed Tumors. J. Clin. Neurosci. 2022, 95, 134–141. [Google Scholar] [CrossRef] [PubMed]
- Chng, E.; Dalan, R. Pituitary Apoplexy Associated with Cabergoline Therapy. J. Clin. Neurosci. 2013, 20, 1637–1643. [Google Scholar] [CrossRef]
- Balarini Lima, G.A.; Machado, E.D.O.; Dos Santos Silva, C.M.; Filho, P.N.; Gadelha, M.R. Pituitary Apoplexy during Treatment of Cystic Macroprolactinomas with Cabergoline. Pituitary 2008, 11, 287–292. [Google Scholar] [CrossRef]
- Knoepfelmacher, M.; Gomes, M.C.; Melo, M.E.; Mendonca, B.B. Pituitary Apoplexy during Therapy with Cabergoline in an Adolescent Male with Prolactin-Secreting Macroadenoma. Pituitary 2004, 7, 83–87. [Google Scholar] [CrossRef]
- Barraud, S.; Guédra, L.; Delemer, B.; Raverot, G.; Ancelle, D.; Fèvre, A.; Jouanneau, E.; Litré, C.-F.; Wolak-Thierry, A.; Borson-Chazot, F.; et al. Evolution of Macroprolactinomas during Pregnancy: A Cohort Study of 85 Pregnancies. Clin. Endocrinol. 2020, 92, 421–427. [Google Scholar] [CrossRef]
- Kuhn, E.; Weinreich, A.A.; Biermasz, N.R.; Jorgensen, J.O.L.; Chanson, P. Apoplexy of Microprolactinomas during Pregnancy: Report of Five Cases and Review of the Literature. Eur. J. Endocrinol. 2021, 185, 99–108. [Google Scholar] [CrossRef]
- Khaldi, S.; Saad, G.; Elfekih, H.; Ben Abdelkrim, A.; Ach, T.; Kacem, M.; Chaieb, M.; Maaroufi, A.; Hasni, Y.; Ach, K. Pituitary Apoplexy of a Giant Prolactinoma during Pregnancy. Gynecol. Endocrinol. 2021, 37, 863–866. [Google Scholar] [CrossRef]
- Zheng, X.-Q.; Zhou, X.; Yao, Y.; Deng, K.; You, H.; Duan, L.; Zhu, H.-J. Acromegaly Complicated with Fulminant Pituitary Apoplexy: Clinical Characteristic Analysis and Review of Literature. Endocrine 2023, 81, 160–167. [Google Scholar] [CrossRef] [PubMed]
- Fraser, L.-A.; Lee, D.; Cooper, P.; Van Uum, S. Remission of Acromegaly after Pituitary Apoplexy: Case Report and Review of Literature. Endocr. Pract. 2009, 15, 725–731. [Google Scholar] [CrossRef] [PubMed]
- Popa Ilie, I.R.; Herdean, A.M.; Herdean, A.I.; Georgescu, C.E. Spontaneous Remission of Cushing’s Disease: A Systematic Review. Ann. Endocrinol. 2021, 82, 613–621. [Google Scholar] [CrossRef] [PubMed]
- Machado, M.C.; Gadelha, P.S.; Bronstein, M.D.; Fragoso, M.C.B.V. Spontaneous Remission of Hypercortisolism Presumed Due to Asymptomatic Tumor Apoplexy in ACTH-Producing Pituitary Macroadenoma. Arq. Bras. Endocrinol. Metabol. 2013, 57, 486–489. [Google Scholar] [CrossRef][Green Version]
- Chao, C.-C.; Lin, C.-J. Pituitary Apoplexy in a Teenager--Case Report. Pediatr. Neurol. 2014, 50, 648–651. [Google Scholar] [CrossRef]
- Enns, J.P.; Al-Khindi, T.; Wu, C.; Machaidze, M.; Sung, J. Pituitary Apoplexy as a Mimicker of Infectious Meningitis in an Adolescent Female Patient. Ann. Intern. Med. Clin. Cases 2023, 2, e221328. [Google Scholar] [CrossRef]
- Agrawal, P.; Newbold, S.; Busaidi, A.A.; Kapoor, R.R.; Thomas, N.; Aylwin, S.J.; Buchanan, C.R.; Arya, V.B. Pituitary Apoplexy in an Adolescent Male with Macroprolactinoma Presenting as Middle Cerebral Artery Territory Infarction. Ann. Pediatr. Endocrinol. Metab. 2022, 27, 320–324. [Google Scholar] [CrossRef] [PubMed]
- Kasl, R.A.; Hughes, J.; Burrows, A.M.; Meyer, F.B. Pediatric Ischemic Stroke from an Apoplectic Prolactinoma. Childs Nerv. Syst. ChNS 2015, 31, 1387–1392. [Google Scholar] [CrossRef] [PubMed]
- Culpin, E.; Crank, M.; Igra, M.; Connolly, D.J.A.; Dimitri, P.; Mirza, S.; Sinha, S. Pituitary Tumour Apoplexy within Prolactinomas in Children: A More Aggressive Condition? Pituitary 2018, 21, 474–479. [Google Scholar] [CrossRef] [PubMed]
- Ohata, H.; Shinde, B.; Nakamura, H.; Teranishi, Y.; Morisako, H.; Ohata, K.; Goto, T. Pituitary Apoplexy in a Puberal Child: A Case Report and Review of the Literature. Interdiscip. Neurosurg. 2021, 25, 101160. [Google Scholar] [CrossRef]
- Wang, R.; Wang, Z.; Song, Y.; Li, L.; Han, X.; Han, S. Comparative Analysis of Pituitary Adenoma with and without Apoplexy in Pediatric and Adolescent Patients: A Clinical Series of 80 Patients. Neurosurg. Rev. 2022, 45, 491–498. [Google Scholar] [CrossRef] [PubMed]
- Kinoshita, Y.; Tominaga, A.; Usui, S.; Arita, K.; Sakoguchi, T.; Sugiyama, K.; Kurisu, K. Pituitary Adenomas in Childhood and Adolescence with a Focus on Intratumoral Hemorrhage. Pituitary 2014, 17, 1–6. [Google Scholar] [CrossRef] [PubMed]
- Nishio, S.; Morioka, T.; Suzuki, S.; Takeshita, I.; Fukui, M.; Iwaki, T. Pituitary Tumours in Adolescence: Clinical Behaviour and Neuroimaging Features of Seven Cases. J. Clin. Neurosci. 2001, 8, 231–234. [Google Scholar] [CrossRef] [PubMed]
- Kim, K.W.; Chee, S.; Sunkara, N.; Baker, M.H. A Case of Pituitary Apoplexy Following Leuprolide Injection for Prostate Cancer. R. I. Med. J. 2024, 107, 7–9. [Google Scholar]
- Drissi Oudghiri, M.; Motaib, I.; Elamari, S.; Laidi, S.; Chadli, A. Pituitary Apoplexy in Geriatric Patients: A Report of Four Cases. Cureus 2021, 13, e20318. [Google Scholar] [CrossRef]
- Zafar, M.; Mccallum, V.; Nash, A.; Kumar, H.; Waqar, M.; Mohammed, Y.; Skowronski, C.; Malik, D.A.; Kiani, A.; Kumar, S.; et al. An Unusual Case of Acute Confusion in an Elderly Man: Pituitary Apoplexy with Lateral Rectus Palsy. Cureus 2022, 14, e31064. [Google Scholar] [CrossRef]
- Fan, Y.; Bao, X.; Wang, R. Conservative Treatment Cures an Elderly Pituitary Apoplexy Patient with Oculomotor Paralysis and Optic Nerve Compression: A Case Report and Systematic Review of the Literature. Clin. Interv. Aging 2018, 13, 1981–1985. [Google Scholar] [CrossRef] [PubMed]
- Grand’Maison, S.; Weber, F.; Bédard, M.-J.; Mahone, M.; Godbout, A. Pituitary Apoplexy in Pregnancy: A Case Series and Literature Review. Obstet. Med. 2015, 8, 177–183. [Google Scholar] [CrossRef] [PubMed]
- Gheorghe, A.-M.; Trandafir, A.-I.; Stanciu, M.; Popa, F.L.; Nistor, C.; Carsote, M. Challenges of Pituitary Apoplexy in Pregnancy. J. Clin. Med. 2023, 12, 3416. [Google Scholar] [CrossRef] [PubMed]
- Charitou, M.M.; Mathew, R. A Case of Exaggerated Pituitary Hyperplasia in a Pregnant Woman. JCEM Case Rep. 2023, 1, luad003. [Google Scholar] [CrossRef] [PubMed]
- Valassi, E. Pituitary Disease and Pregnancy. Endocrinol. Diabetes Nutr. 2021, 68, 184–195. [Google Scholar] [CrossRef] [PubMed]
- Almalki, M.H.; Alzahrani, S.; Alshahrani, F.; Alsherbeni, S.; Almoharib, O.; Aljohani, N.; Almagamsi, A. Managing Prolactinomas during Pregnancy. Front. Endocrinol. 2015, 6, 85. [Google Scholar] [CrossRef]
- Battinelli, E.M.; Marshall, A.; Connors, J.M. The Role of Thrombophilia in Pregnancy. Thrombosis 2013, 2013, 516420. [Google Scholar] [CrossRef] [PubMed]
- Pyrgelis, E.-S.; Mavridis, I.; Meliou, M. Presenting Symptoms of Pituitary Apoplexy. J. Neurol. Surg. Part Cent. Eur. Neurosurg. 2018, 79, 52–59. [Google Scholar] [CrossRef] [PubMed]
- Boellis, A.; di Napoli, A.; Romano, A.; Bozzao, A. Pituitary Apoplexy: An Update on Clinical and Imaging Features. Insights Imaging 2014, 5, 753–762. [Google Scholar] [CrossRef]
- Bradley, W.G. MR Appearance of Hemorrhage in the Brain. Radiology 1993, 189, 15–26. [Google Scholar] [CrossRef]
- Hardy, P.A.; Kucharczyk, W.; Henkelman, R.M. Cause of Signal Loss in MR Images of Old Hemorrhagic Lesions. Radiology 1990, 174, 549–555. [Google Scholar] [CrossRef] [PubMed]
- Semple, P.L.; Jane, J.A.; Lopes, M.B.S.; Laws, E.R. Pituitary Apoplexy: Correlation between Magnetic Resonance Imaging and Histopathological Results. J. Neurosurg. 2008, 108, 909–915. [Google Scholar] [CrossRef] [PubMed]
- Arita, K.; Kurisu, K.; Tominaga, A.; Sugiyama, K.; Ikawa, F.; Yoshioka, H.; Sumida, M.; Kanou, Y.; Yajin, K.; Ogawa, R. Thickening of Sphenoid Sinus Mucosa during the Acute Stage of Pituitary Apoplexy. J. Neurosurg. 2001, 95, 897–901. [Google Scholar] [CrossRef]
- Liu, J.K.; Couldwell, W.T. Pituitary Apoplexy in the Magnetic Resonance Imaging Era: Clinical Significance of Sphenoid Sinus Mucosal Thickening. J. Neurosurg. 2006, 104, 892–898. [Google Scholar] [CrossRef] [PubMed]
- Bills, D.C.; Meyer, F.B.; Laws, E.R.; Davis, D.H.; Ebersold, M.J.; Scheithauer, B.W.; Ilstrup, D.M.; Abboud, C.F. A Retrospective Analysis of Pituitary Apoplexy. Neurosurgery 1993, 33, 602–608, discussion 608–609. [Google Scholar] [CrossRef] [PubMed]
- Liu, Z.H.; Chang, C.N.; Pai, P.C.; Wei, K.C.; Jung, S.M.; Chen, N.Y.; Chuang, C.C. Clinical Features and Surgical Outcome of Clinical and Subclinical Pituitary Apoplexy. J. Clin. Neurosci. 2010, 17, 694–699. [Google Scholar] [CrossRef] [PubMed]
- Bevers, C.; Blanckaert, G.; Van Keer, K.; Fils, J.-F.; Vandewalle, E.; Stalmans, I. Semi-Automated Kinetic Perimetry: Comparison of the Octopus 900 and Humphrey Visual Field Analyzer 3 versus Goldmann Perimetry. Acta Ophthalmol. 2019, 97, e499–e505. [Google Scholar] [CrossRef] [PubMed]
- Vicente, A.; Lecumberri, B.; Gálvez, M.Á.; Grupo de Trabajo de Neuroendocrinología. Clinical practice guideline for the diagnosis and treatment of pituitary apoplexy. Endocrinol. Nutr. Organo Soc. Esp. Endocrinol. Nutr. 2013, 60, 582.e1–582.e12. [Google Scholar] [CrossRef] [PubMed]
- Wang, P.W.; Chung, M.H.; Feng, S.W.; Liao, H.C.; Wu, Y.C.; Hueng, D.Y.; Yang, Y.J.; Ju, D.T. Case Report: Ruptured Internal Carotid Artery Fusiform Aneurysm Mimicking Pituitary Apoplexy after Stereotactic Radiosurgery. Front. Neurol. 2023, 14, 1219372. [Google Scholar] [CrossRef]
- Choudhury, M.; Eligar, V.; DeLloyd, A.; Davies, J.S. A Case of Pituitary Apoplexy Masquerading as Subarachnoid Hemorrhage. Clin. Case Rep. 2016, 4, 255–257. [Google Scholar] [CrossRef]
- Petersen, P.; Christiansen, K.H.; Lindholm, J. Acute Monocular Disturbances Mimicking Optic Neuritis in Pituitary Apoplexy. Acta Neurol. Scand. 1988, 78, 101–103. [Google Scholar] [CrossRef] [PubMed]
- Chanson, P.; Lepeintre, J.-F.; Ducreux, D. Management of Pituitary Apoplexy. Expert Opin. Pharmacother. 2004, 5, 1287–1298. [Google Scholar] [CrossRef] [PubMed]
- Ayuk, J.; McGregor, E.J.; Mitchell, R.D.; Gittoes, N.J.L. Acute Management of Pituitary Apoplexy--Surgery or Conservative Management? Clin. Endocrinol. 2004, 61, 747–752. [Google Scholar] [CrossRef] [PubMed]
- Singh, T.D.; Valizadeh, N.; Meyer, F.B.; Atkinson, J.L.D.; Erickson, D.; Rabinstein, A.A. Management and Outcomes of Pituitary Apoplexy. J. Neurosurg. 2015, 122, 1450–1457. [Google Scholar] [CrossRef] [PubMed]
- Biagetti, B.; Sarria-Estrada, S.; Cordero Asanza, E.; Chaachou-Charradi, A.; Ng-Wong, Y.K.; Cicuendez, M.; Hernandez, I.; Rojano-Toimil, A.; Costa, P.; Martinez-Saez, E.; et al. Risk Factors, Radiological and Clinical Outcomes in Subclinical and Clinical Pituitary Apoplexy. J. Clin. Med. 2022, 11, 7288. [Google Scholar] [CrossRef] [PubMed]
- Reddy, N.L.; Rajasekaran, S.; Han, T.S.; Theodoraki, A.; Drake, W.; Vanderpump, M.; Baldeweg, S.; Wass, J.A.H. An Objective Scoring Tool in the Management of Patients with Pituitary Apoplexy. Clin. Endocrinol. 2011, 75, 723. [Google Scholar] [CrossRef] [PubMed]
- Bujawansa, S.; Thondam, S.K.; Steele, C.; Cuthbertson, D.J.; Gilkes, C.E.; Noonan, C.; Bleaney, C.W.; Macfarlane, I.A.; Javadpour, M.; Daousi, C. Presentation, Management and Outcomes in Acute Pituitary Apoplexy: A Large Single-Centre Experience from the United Kingdom. Clin. Endocrinol. 2014, 80, 419–424. [Google Scholar] [CrossRef] [PubMed]
- Marx, C.; Rabilloud, M.; Borson Chazot, F.; Tilikete, C.; Jouanneau, E.; Raverot, G. A Key Role for Conservative Treatment in the Management of Pituitary Apoplexy. Endocrine 2021, 71, 168–177. [Google Scholar] [CrossRef] [PubMed]
- Mamelak, A.N.; Little, A.S.; Gardner, P.A.; Almeida, J.P.; Recinos, P.; Soni, P.; Kshettry, V.R.; Jane, J.A.; Barkhoudarian, G.; Kelly, D.F.; et al. A Prospective, Multicenter, Observational Study of Surgical vs Nonsurgical Management for Pituitary Apoplexy. J. Clin. Endocrinol. Metab. 2024, 109, e711–e725. [Google Scholar] [CrossRef]
- Almeida, J.P.; Sanchez, M.M.; Karekezi, C.; Warsi, N.; Fernández-Gajardo, R.; Panwar, J.; Mansouri, A.; Suppiah, S.; Nassiri, F.; Nejad, R.; et al. Pituitary Apoplexy: Results of Surgical and Conservative Management Clinical Series and Review of the Literature. World Neurosurg. 2019, 130, e988–e999. [Google Scholar] [CrossRef]
- Baldeweg, S.E.; Vanderpump, M.; Drake, W.; Reddy, N.; Markey, A.; Plant, G.T.; Powell, M.; Sinha, S.; Wass, J. Society for Endocrinology Clinical Committee Society for Endocrinology Endocrine Emergency Guidance: Emergency Management of Pituitary Apoplexy in Adult Patients. Endocr. Connect. 2016, 5, G12–G15. [Google Scholar] [CrossRef] [PubMed]
- Donegan, D.; Erickson, D. Revisiting Pituitary Apoplexy. J. Endocr. Soc. 2022, 6, bvac113. [Google Scholar] [CrossRef] [PubMed]
- Turgut, M.; Ozsunar, Y.; Başak, S.; Güney, E.; Kir, E.; Meteoğlu, I. Pituitary Apoplexy: An Overview of 186 Cases Published during the Last Century. Acta Neurochir. 2010, 152, 749–761. [Google Scholar] [CrossRef] [PubMed]
- Galal, A.; Ahmed, O.E.F. Determinants of Visual and Endocrinological Outcome after Early Endoscopic Endonasal Surgery for Pituitary Apoplexy. Surg. Neurol. Int. 2022, 13, 433. [Google Scholar] [CrossRef] [PubMed]
- Rutkowski, M.J.; Kunwar, S.; Blevins, L.; Aghi, M.K. Surgical Intervention for Pituitary Apoplexy: An Analysis of Functional Outcomes. J. Neurosurg. 2018, 129, 417–424. [Google Scholar] [CrossRef] [PubMed]
- Pangal, D.J.; Chesney, K.; Memel, Z.; Bonney, P.A.; Strickland, B.A.; Carmichael, J.; Shiroishi, M.; Jason Liu, C.-S.; Zada, G. Pituitary Apoplexy Case Series: Outcomes After Endoscopic Endonasal Transsphenoidal Surgery at a Single Tertiary Center. World Neurosurg. 2020, 137, e366–e372. [Google Scholar] [CrossRef] [PubMed]
- Zoli, M.; Milanese, L.; Faustini-Fustini, M.; Guaraldi, F.; Asioli, S.; Zenesini, C.; Righi, A.; Frank, G.; Foschini, M.P.; Sturiale, C.; et al. Endoscopic Endonasal Surgery for Pituitary Apoplexy: Evidence On a 75-Case Series From a Tertiary Care Center. World Neurosurg. 2017, 106, 331–338. [Google Scholar] [CrossRef] [PubMed]
- Gondim, J.A.; de Albuquerque, L.A.F.; Almeida, J.P.; Bulcao, T.; Gomes, E.; Schops, M.; Vasconcelos, R.; da Paz, F.; Guimarães, S.B. Endoscopic Endonasal Surgery for Treatment of Pituitary Apoplexy: 16 Years of Experience in a Specialized Pituitary Center. World Neurosurg. 2017, 108, 137–142. [Google Scholar] [CrossRef] [PubMed]
- Arias-Angulo, J.C.; Montolla-Casella, A.J.; Mier-García, J.F. Surgical versus Conservative Management in the Treatment of Pituitary Apoplexy, Impact on Clinical and Oncological Outcomes: Systematic Review and Meta-Analysis. Res. Sq. 2023. [Google Scholar] [CrossRef]
- Lammert, A.; Walter, M.S.; Giordano, F.A.; Al Zhgloul, M.; Krämer, B.K.; Nittka, S.; Schulte, D.M.; Ratliff, M.; Hänggi, D.; Seiz-Rosenhagen, M. Neuro-Endocrine Recovery After Pituitary Apoplexy: Prolactin as a Predictive Factor. Exp. Clin. Endocrinol. Diabetes 2020, 128, 283–289. [Google Scholar] [CrossRef]
- Jho, D.H.; Biller, B.M.K.; Agarwalla, P.K.; Swearingen, B. Pituitary Apoplexy: Large Surgical Series with Grading System. World Neurosurg. 2014, 82, 781–790. [Google Scholar] [CrossRef]
- Milazzo, S.; Toussaint, P.; Proust, F.; Touzet, G.; Malthieu, D. Ophthalmologic Aspects of Pituitary Apoplexy. Eur. J. Ophthalmol. 1996, 6, 69–73. [Google Scholar] [CrossRef]
- Singh, V.; Holmes, R. Visual Recovery Following Surgical Intervention for Pituitary Apoplexy Correlated with Preoperative Optical Coherence Tomography. N. Z. Med. J. 2022, 135, 122–129. [Google Scholar]





| Author et al., Year (Ref.) | Type of Study | Number of Patients | Sex (M/F) | Surgery n (%) | Conservative Management n (%) | Outcomes (Surgery vs. Conservative Management) |
|---|---|---|---|---|---|---|
| Bujawansa et al., 2014 [117] | Retrospective | 55 | 35/20 | 33 (60) | 22 (40) |
|
| Singh et al., 2015 [114] | Retrospective | 87 | 57/30 | 69 (77.3) | 18 (20.7) |
|
| Almeida et al., 2019 [120] | Retrospective | 67 | 49 (73.1) | 18 (26.9) |
| |
| Marx et al., 2021 [118] | Retrospective | 46 | 29/17 | 19 (41.3) | 27 (58.7) |
|
| Biagetti et al., 2022 [115] | Retrospective | 29 | 15/14 | 17 (58.6) | 12 (41.4) |
|
| Salle et al., 2024 [36] | Retrospective | 55 | 36/19 | 30 (54.5) | 25 (45.4) |
|
| Mamelak et al., 2024 [119] | Prospective, multicenter, observational | 97 | 68/29 | 67 (69.0) | 30 (31.0) |
|
| Variable | Points |
|---|---|
| Level of consciousness | |
| GCS 15 | 0 |
| GCS < 8–14 | 2 |
| GCS < 8 | 4 |
| Visual acuity | |
| Normal * 6/6 | 0 |
| Reduced—unilateral | 1 |
| Reduced—bilateral | 2 |
| Visual field defects | |
| Normal | 0 |
| Unilateral defect | 1 |
| Bilateral defect | 2 |
| Ocular paresis | |
| Absent | 0 |
| Present—unilateral | 1 |
| Present—bilateral | 2 |
| Conservative Group | Surgery Group | p-Value | |
|---|---|---|---|
| Reddy et al., 2011 [116] (n = 54) | n = 19 | n = 35 | |
| 1.4 (range, 0–4) | 3.5 (range, 1–9) | NA | |
| Bujawansa et al., 2014 [117] (n = 46) | (n = 27) | (n = 19) | |
| 1.8 (range, 0–5) | 3.8 (range,1–6) | <0.01 | |
| Marx et al., 2021 [118] (n = 46) | (n = 27) | (n = 19) | |
| 1.1 (range, 0–4) | 3.0 (range, 1–6) | 0.0002 | |
| Salle et al., 2023 [36] (n = 55) | (n = 25) | (n = 30) | |
| 1.7 ±1.7 | 3.9 ± 1.7 | <0.0001 |
Disclaimer/Publisher’s Note: The statements, opinions and data contained in all publications are solely those of the individual author(s) and contributor(s) and not of MDPI and/or the editor(s). MDPI and/or the editor(s) disclaim responsibility for any injury to people or property resulting from any ideas, methods, instructions or products referred to in the content. |
© 2024 by the author. Licensee MDPI, Basel, Switzerland. This article is an open access article distributed under the terms and conditions of the Creative Commons Attribution (CC BY) license (https://creativecommons.org/licenses/by/4.0/).
Share and Cite
Iglesias, P. Pituitary Apoplexy: An Updated Review. J. Clin. Med. 2024, 13, 2508. https://doi.org/10.3390/jcm13092508
Iglesias P. Pituitary Apoplexy: An Updated Review. Journal of Clinical Medicine. 2024; 13(9):2508. https://doi.org/10.3390/jcm13092508
Chicago/Turabian StyleIglesias, Pedro. 2024. "Pituitary Apoplexy: An Updated Review" Journal of Clinical Medicine 13, no. 9: 2508. https://doi.org/10.3390/jcm13092508
APA StyleIglesias, P. (2024). Pituitary Apoplexy: An Updated Review. Journal of Clinical Medicine, 13(9), 2508. https://doi.org/10.3390/jcm13092508

