Abstract
Background: CA 19-9 is a commonly assessed tumor marker, considered characteristic of pancreatic ductal adenocarcinoma (PDAC) and biliary tract cancers; however, the positive predictive value of CA 19.9 is too low, and the usage of CA 19.9 as a screening tool in the healthy population remains controversial. Methods: The presented case illustrates a reversed diagnosis of highly elevated serum CA 19-9 levels in a 54-year-old female complaining of pain in the epigastric region, shortly after COVID-19 vaccination. Laboratory tests showed a significantly elevated level of the CA 19-9 marker (>12,000 U/mL, reference value: <37 U/mL) with normal pancreatic enzyme activity. The patient underwent imaging examination, which showed no abnormalities, except for increased pancreatic dimension and areas of fluid signal in the pancreas in magnetic resonance imaging (MRI), which may correspond to autoimmune pancreatitis (AIP). The patient remains asymptomatic with a recommendation for a follow-up MRI in 12 months. Results: A literature review conducted revealed multi-causal CA 19-9 increases above 1000 U/mL, including non-cancerous diseases of the lung, pancreas, liver, ovary, kidney, and others. The median concentration of CA 19-9 regardless of the cause of disease was 2810 U/mL (IQR ± 6895). The median CA 19-9 values in men and women were 3500 (IQR ± 10,050) and 2455 (IQR ± 3927), respectively, and differ significantly between the compared groups (p < 0.05). There was no difference between CA 19-9 values and the categorized cause of the increase. Conclusions: Conducting differential diagnosis, it should not be forgotten that most international guidelines recommend the use of CA 19-9 only in conjunction with pathology of pancreas in radiological imaging; however, even such a combination can point the diagnostic pathway in the wrong direction. A highly elevated CA 19-9 level, typically associated with PDAC, may be the result of benign disease including AIP related to COVID-19 vaccination.
1. Introduction
Physiologically, CA 19-9 (carbohydrate antigen 19-9, sialylated Lewis antigen A) is synthesized by normal epithelial cells of the gastrointestinal tract [1]. It is present in low amounts in serum and may be overexpressed in both benign and malignant gastrointestinal disorders [2]. High levels of CA 19-9 are considered to be characteristic of pancreatic and biliary tract malignancies; however, they have no diagnostic significance in patients without visualized pancreatic or biliary tract pathology [1]. The increased incidence of pancreatic ductal adenocarcinoma (PDAC) as well as the almost unchanged poor 5-year survival rate are the reasons for the increased CA 19-9 testing performed in laboratories by both patients and physicians [1,3]. We hereby present a case of reversed diagnosis of elevated serum CA 19-9 levels in a patient with chronic leucopenia vaccinated against COVID-19.
2. Materials and Methods
To assess the non-cancerous causes of a significantly elevated CA 19-9 concentration, the PubMed database was searched using the following terms: ‘CA 19-9’ and ‘CA 19-9 elevation’ and ‘case report’. Then, 486 records were identified and screened on titles and abstracts. There were 439 patients who met at least one of the following criteria: any confirmed malignancy [1], CA 19-9 < 1000 U/mL [2]; common non-cancerous causes of CA 19-9 including cholelithiasis, cholangitis, and non-autoimmune pancreatitis [3] were excluded. Forty-eight case reports were assessed. A single case was excluded due to post-mortem CA 19-9 assessment. Finally, 47 cases were included in the final analysis. The flow chart for study selection is presented in Figure 1.
Figure 1.
The flow chart for study selection.
2.1. Data Extraction
The following data were extracted from each publication: sex, age, CA 19-9 serum concentration, confirmed disease, any observed decrease in CA 19-9 values after initial treatment (or follow-up), decrease or normalization of CA 19-9 values (reference range < 37 U/L), and time to normalization of CA 19-9 values. Identified diseases were categorized and assigned to 7 appropriate categories: lungs, bronchi, and mediastinum diseases [1]; spleen [2]; kidney [3]; ovary and uterus [4]; liver and biliary tract [5]; pancreas [6] and other diseases [7].
2.2. Statistical Analysis
All statistical analyses were performed using the Jamovi (Version 2.3, 2022) computer software. To assess the normal distribution, Shapiro–Wilk’s normality test was used. Continuous variables were expressed as mean (±SD) or median (±IQR) when appropriate. Categorical data were expressed as a number (percentage). Analysis of homogeneity of variance was performed using Levene’s test. The data with normal distribution were compared using a t-test. Analyzed data that were not normally distributed were compared using the U Mann–Whitney and ANOVA Kruskall–Wallis tests. Dwass–Steel–Critchlow–Fligner (DSCF) pairwise comparisons were used to compare age and CA 19-9 values assigned to a particular disease category. Statistical significance was determined as p < 0.05.
3. Case Report
A 54-year-old female with a medical history of chronic leukopenia was admitted to the hospital in October 2021 due to recurrent complaints of pain in the epigastric region that occurred in March 2021 as well as changes in the rhythm of bowel movements which were not accompanied by weight loss. In February 2021, she received a first dose of the AstraZeneca® COVID-19 vaccine (chimpanzee adenovirus -ChAdOx1-S recombinant). Laboratory tests performed revealed elevated levels of CA125 (87 U/mL, reference value: <35 U/mL) and markedly increased CA 19-9 (>12,000 U/mL, reference value: <37 U/mL). A chest X-ray, gastroscopy, and colonoscopy revealed no pathology.
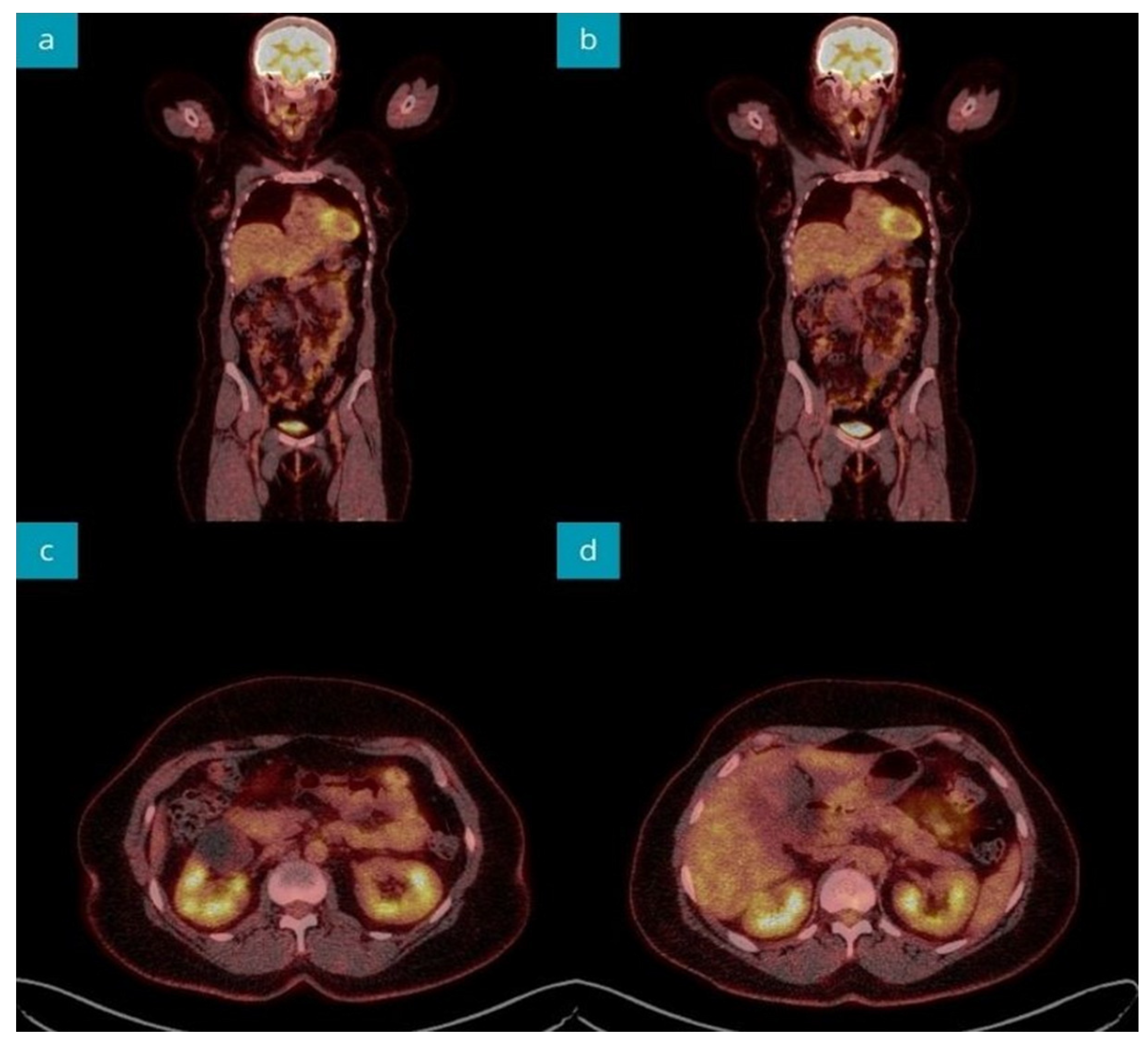
A computed tomography (CT) scan of the abdomen disclosed a normal pancreatic image and hepatic steatosis; however, a blind liver biopsy showed no abnormalities. An abdominal nuclear magnetic resonance imaging (MRI) revealed a mildly increased pancreatic dimension with fine-point areas of fluid signal, accompanied by normal serum amylase and lipase activities. The patient underwent MR-cholangiopancreatography (MRCP) without visualizing biliary and pancreatic pathology. Due to the unclear image of the pancreas, the diagnostic work-up was completed by performing an 18F-fluorodeoxyglucose positron emission CT (18F-FDG PET-CT) imaging, which did not visualize pathological 18F-FDG uptake (Figure 2). The patient received the AstraZeneca® COVID-19 booster in May 2019. At that time, no association between vaccination and pancreas pathology was established in the patient.
Figure 2.
18F-FDG PET-CT imaging during the primary diagnostic process revealed abdominal organs without pathological 18F-FDG uptake. Coronal sections (a,b). Axial sections of pancreatic head (c), body, and tail (d).
Repeated MRI after 15 months revealed a normal pancreas image (Figure 3). The increased, but lower than previously, CA 19-9 value (1144 U/mL) was still observed in the asymptomatic patient.
Figure 3.
The abdominal CT imaging during the primary diagnostic work-up (a,c), and MRI after 15 months of follow-up (b,d). The head (mildly enlarged), body, and tail of the pancreas show normal structure. Normal pancreas image in MRI performed 15 months later.
4. Results
Forty-seven patients were finally included in the analysis, 17 men (36.2%) and 30 women (63.8%). Age values ranged from 13 to 80 years in the analyzed cohort with a median of 46 (IQR, 29–66.5). The median age of men and women was 52 (IQR, 38–70) and 42 (IQR 27–59.8), respectively (p = 0.24).
The median CA 19-9 concentration was 2810 U/mL (IQR, 1567–8461). The concentrations in men and women were 3500 (IQR, 1950–12,000) and 2455 (IQR, 1448–5365), respectively, and differed significantly between the compared groups (p < 0.05). The maximum noted CA 19-9 value was 96,554 U/mL. At diagnosis, 19.1% (n = 9) of patients were asymptomatic. Any decrease in CA 19-9 concentration after initial treatment was reported in 85.1% of all patients. The normalization of CA 19-9 values (stated as concentration < 37 U/mL) was observed in 63.8% of the cases. The median time to normalize CA 19-9 concentration values after the initial treatment was 2.0 months (IQR, 0.59–2.50). The detailed data are presented in Table 1.
Table 1.
Characteristics of patients with elevated CA 19-9 serum concentration > 1000 U/mL, meeting the criteria for inclusion in the analysis.
The largest group consisted of patients with diseases of the ovary and uterus (n = 10; 21.3%), followed by: the pancreas (n = 8; 17.0%), liver, and biliary tract (n = 7; 14.9%), spleen (n = 7; 14.9%), lungs (n = 6; 12.8%), and kidneys (n = 4; 8.5%). Five patients (10.6%) were not assigned to any category. Analyzing anthropometric and CA 19-9-related data depending on the disease category, the highest median age was observed in patients with liver and biliary tract diseases (70, IQR 58–71). The highest percentage of asymptomatic patients was 60% in the group with other diseases which included: rheumatoid arthritis (RA), Helicobacter pylori infection, giardiasis, and diaphragmatic cyst, followed by patients with ovary and uterus pathology, where this percentage was 40%. The highest CA 19-9 values were noted in patients with liver and biliary tract pathology, where the median value was 6000 U/mL (IQR, 2315–15,316). Any decrease in CA 19-9 values was noted in all patients with ovary and uterus, kidney, liver, and biliary tract diseases. Normalization of CA 19-9 concentration was noted in all patients with kidney diseases. The age of patients assigned to the particular disease category varied significantly (p = 0.001) between the compared disease categories. DSCF pairwise comparisons revealed that the age of patients with ovarian diseases differed significantly compared to the age of patients with liver (p < 0.05) diseases. The CA 19-9 values did not differ by disease category (p = 0.36). Detailed data are presented in Table 2.
Table 2.
Anthropometric and CA 19-9-related data stratified on the disease category.
5. Discussion
CA 19-9 is a human glycoprotein widely synthesized in the pancreatic, biliary tract, gastric, colon, endometrial, and salivary gland cells [1]. Elevated CA 19.9 levels are commonly associated with pancreatic and biliary tract cancer, in which the prognosis and 5-year survival remain poor [1,48]. Serum CA 19-9 concentration is raised in more than 80% of patients with advanced pancreatic cancer and is routinely used to monitor the course of the disease, both during treatment and follow-up. Attempts to use CA 19-9 as a screening tool for pancreatic cancer in the general population have failed because of the low positive predictive value of that test, which does not exceed 90% [49]. However, higher CA 19-9 values should raise a suspicion of malignancy [50]. Notwithstanding, approximately 6% of Caucasian patients and 22% of non-Caucasian patients do not synthesize the Lewis antigen, the presence of which determines the CA 19-9 antigen, so there is a significant risk of false-negative results in this subgroup of patients, even with highly advanced-stage pancreatic cancer [1,51].
CA 19-9 was proved to have limited screening utility even in high-risk populations, such as patients with familial pancreatic ductal adenocarcinoma or Peutz–Jeghers syndrome. In these populations, CA 19-9 levels were normal even when imaging revealed preinvasive lesions [52]. However, it should be stressed that for diagnostic purposes, most international guidelines recommend the use of CA 19-9 in conjunction with imaging examinations such as pancreatic CT, which is now the gold standard for diagnosing pancreatic lesions [53].
The median sensitivity and specificity of CA 19-9 in the prediction of pancreatic adenocarcinoma with a generally accepted cut-off point of 37 U/mL are 79% and 82%, respectively, with a positive predictive value of 72% and negative predictive value of 81%, indicating a relatively large percentage of potentially false-positive results [54]. It has been proven that values of CA 19-9 below 100 U/mL characterize potentially resectable tumors, whereas higher values (above 100 U/mL) are more typical for unresectable and aggressive tumors, higher rates of recurrence, and poor outcomes [55]. The specificity of prediction of PDAC in patients with values above 100 U/mL is 98%, whereas CA 19-9 levels of more than 1000 U/mL are strongly associated with unresectable pancreatic cancer with the specificity of detection reaching 100% [56,57]; however, cases of patients with CA 19-9 exceeding 1000 U/mL and co-occurring benign diseases have also been reported in the literature (Table 1).
In the performed statistical analysis, no relevant differences were noted between CA 19-9 levels and gender as well as disease category. The age values of patients presenting CA 19-9 elevations above 1000 U/mL with diagnosed ovary and uterine diseases differed significantly compared to patients with liver diseases. This can be explained by a high proportion of ovarian pathologies in relation to other diseases and the dominance of teratomas, endometriomas, and epidermoid cysts in it, which usually occur in young and middle-aged women when liver pathologies including Mirizzi syndrome, inflammatory pseudotumor, and liver abscesses are most common in the population over 60 years of age. Most of the analyzed patients presented in Table 1 were symptomatic at the time of CA 19-9 evaluation; however, we found nine cases of asymptomatic patients who presented with elevated CA 19-9 above 1000 U/mL. de Meira Junior et al. [47] reported a case of an asymptomatic 52-year-old male with elevated CA 19-9 to 96,544 U/mL, revealed during routine testing. Performed CT, MRCP, and PET-CT scans showed no abnormalities. One month after primary testing, the CA 19-9 value decreased to 2822 U/mL, and after 4 months from the primary testing, CA 19-9 values were within the reference range (<37 U/mL) [47]. Sheng-Che L. et al. [23] reported a case of a 27-year-old woman who was referred to whole-body PET-CT due to persistently elevated CA 19-9 to values of 3498 U/mL. Pathologically ovarian dermoid cyst was diagnosed [23]. Cho A. et al. [24] reported a case of a 26-year-old woman with an ovarian cyst discovered during a routine gynecological examination with CA 19-9 levels of 1634 U/mL. Two months after surgery, CA 19-9 levels decreased to 64 U/mL [34].
Recent reports have indicated that COVID-19 vaccinations using mRNA or viral vector vaccines can trigger autoimmune diseases such as sialadenitis, autoimmune hepatitis (AIH), or autoimmune pancreatitis (AIP) in selected individuals [58,59,60,61,62,63,64,65]. In the literature, several reports have treated the correlation between autoimmune pancreatitis and COVID-19 vaccination (Table 3).
Table 3.
The literature reports on AIP triggered by COVID-19-mRNA vaccines.
The occurrence of AIP has been mostly found in males, interestingly, after the second dose of the vaccine. The primary dose might not have been the adequate trigger factor to cause the autoimmune process; thus, the AIP occurred after the booster vaccination. Patients with the new onset of AIP were mostly not diagnosed previously with any autoimmune diseases. An elevation of CA 19-9 values was found in none of the patients.
Several conceptions have been postulated in the literature to explain the connection between COVID-19-mRNA vaccines and the occurrence of AIP [66,67]. According to the first hypothesis, the are many molecular similarities between the products of mRNA viral vaccine and viral proteome; thus, the mechanism leading to AIP could be the same as in viral infection. In the literature, authors postulate that AIP during COVID-19 infection may be caused by a too high affinity of viral glycoproteins to the angiotensin II receptor, highly expressed in the pancreatic tissue, consequently triggering an autoimmune process [59,66]. According to other hypotheses, the molecular mimicry between the viral glycoproteins and autoantigens could be a trigger for the synthesis of cross-reacting antibodies, leading to autoimmune diseases [59,67].
The patient described in this case report suffered from recurrent epigastric pain and a change in bowel movements. Her CA 19-9 level was markedly elevated, reaching values of over 12,000 U/mL. Herein, we report six cases of patients with AIP, causing the elevation of CA 19-9 ranging from 1950 U/mL to 12,000 U/mL, and a case of a patient with liver steatosis and an increased CA 19-9 value to 1930 U/mL. When considering differential diagnosis due to the low specificity of tumor markers and lack of obvious radiological image, various diseases should be taken into consideration [4,5,6,7,8,9,10,11,12,13,14,15,16,17,18,19,20,21,22,23,24,25,26,27,28,29,30,31,32,33,34,35,36,37,38,39,40,41,42,43,44,45,46,47,68,69]; however, a mildly increased dimension of the pancreas in MRI with areas of fluid signals could correspond to past AIP that induced increased CA 19-9. According to the literature, about 25% of patients with AIP show values of CA 19-9 > 37 U/mL, and only around 12.2% of them show elevated levels > 100 U/mL [70]. Considering the time coincidence, we hypothesize that vaccination with the use of a COVID-19 vector recombinant vaccine might have been an inciting event in our patient, triggering possible autoimmune processes, finally leading to increased production and secretion of CA 19-9. Moreover, there are reports on leukopenia and the induction of AIP. We postulate that chronic leukopenia may have contributed to an impaired immune response and interacted synergistically with vaccination in the induction of AIP. Due to the self-limiting inflammatory process and rapid resolution of symptoms after the diagnostic process, steroid therapy was abandoned.
Five main features of AIP should be taken into consideration: radiological imaging, histology of the pancreas, serum IgG4, other organ involvement, and response to steroid therapy [70,71,72]. Radiological imaging is essential for stating the diagnosis of AIP. In CT, the pancreas is described as diffusely swollen with a diffusely or segmentally narrowed pancreatic duct (Criterion I). Criterion II and Criterion III consist of elevated levels of IgG4 in the serum or detected autoantibodies and histopathologic findings such as fibrosis and lymphoplasmocytic infiltration, respectively. A correlation with other autoimmune diseases is considered as Criterion IV. The diagnosis is definite when Criteria I and II/III are met or if Criteria I and IV are met when an answer to steroid therapy is present. Meeting only Criterion I suggests AIP as a possible solution [72]. Table 4 presents revised criteria for AIP.
Table 4.
The revised criteria for AIP diagnosis and case presentation. Adapted from Kim KP et al. Diagnostic criteria for autoimmune chronic pancreatitis revisited. World Journal of Gastroenterology 2006, 12, [72].
Progressive AIP may result in steatorrhea or diabetes mellitus (DM) because of both exocrine and endocrine pancreatic dysfunction [73]. DM occurs in 52% of newly diagnosed patients with AIP; however, according to some studies, DM may affect up to 78% of patients with AIP [74,75]. Response to steroid therapy may be achieved in 55% of patients with AIP and newly diagnosed DM [75]. Patients may also develop pancreatic duct stones, cirrhosis, and portal hypertension. There is also an increase in malignancy occurrence regarding stomach, lung, and prostate cancers [73].
MRI revealed a mildly enlarged pancreas, which is an inclusion and essential criterion for AIP [73], with fine-point fluid collections. That sign has to be differentiated between other forms of pancreatic diseases including acute pancreatitis, PDAC, or AIP. When analyzing an MRI of the mildly increased pancreas, radiologists should pay attention to several subtle phenomena that occur in AIP that are considered high-accuracy signs in the differentiation between AIP and PDAC. These images include enhanced duct and capsule-like rim signs as well as punctuating enhancements within the lesion [76].
In our study, an abdominal MRI disclosed a normal pancreatic duct; however, according to some authors, the nondilated pancreatic duct can be observed in some patients with AIP [70]. In addition to MRCP, serum IgG4 level, and histology of the pancreas being emphasized in the AIP diagnostic guidelines [70,71,72,73], the additional examination was not performed due to the good clinical condition of the patient. Scheduled abdominal MRI and biochemical work-up will allow for control of the radiological image of the pancreas as well as assess the dynamics of CA 19-9 concentration changes and, if necessary, implement appropriate management.
6. Conclusions
We postulate that reversed diagnosis can be of great value, leading to a possible answer to a problem, but it can also draw focus to an improper diagnosis. CA 19-9 concentrations > 1000 U/mL can occur in numerous non-cancerous diseases. In the presented case, an elevated concentration of CA 19-9 > 12,000 U/mL, typically associated with gastrointestinal tract malignancies, was the result of a benign disease—probably an autoimmune pancreatitis triggered by a COVID-19 vaccination. We suggest that future studies assessing mRNA vaccine safety should include a rare adverse event—AIP.
7. Limitations
A potential limitation may be inherent to our paper. In the course of the diagnostic work-up, the priority was to exclude malignancy. In the clinical course of a self-limiting inflammatory process, resulting in the resolution of symptoms, the assessment of IgG4 antibodies was abandoned. Nevertheless, pancreatic imaging, temporal coincidence with vaccination, and chronic leukopenia make AIP the most probable diagnosis.
Author Contributions
All authors contributed to this study’s conception and design. Conceptualization, methodology, writing—original draft preparation, J.C. (Jakub Ciesielka), K.J., N.T., L.P., A.K., D.K. and J.C. (Jerzy Chudek); validation, visualization, and supervision, A.K., D.K. and J.C. (Jerzy Chudek). All authors have read and agreed to the published version of the manuscript.
Funding
Medical University of Silesia in Katowice (Publication fee).
Institutional Review Board Statement
This study was conducted in accordance with the principles of the Declaration of Helsinki and the Patient provided written informed consent. IRB approval is not required at our institution for case report studies.
Informed Consent Statement
Written informed consent has been obtained from the patient to publish this paper.
Data Availability Statement
Additional patient data can be obtained from the authors upon reasonable request.
Conflicts of Interest
The authors declare no conflicts of interest.
References
- Scarà, S.; Bottoni, P.; Scatena, R. CA 19-9: Biochemical and Clinical Aspects. Adv. Exp. Med. Biol. 2015, 867, 247–260. [Google Scholar]
- Zhao, B.; Cheng, Q.; Cao, H.; Zhou, X.; Li, T.; Dong, L. Dynamic change of serum CA19–9 levels in benign and malignant patients with obstructive jaundice after biliary drainage and new correction formulas. BMC Cancer 2021, 21, 517. [Google Scholar] [CrossRef] [PubMed]
- Omyła-Staszewska, J. Opis przypadku pacjentki z zaawansowanym nowotworem neuroendokrynnym trzustki z przerzutami do wątroby leczonej oktreotydem LAR. Onkol. Prakt. Klin. Edu. 2015, 11, G24–G28. [Google Scholar]
- Ventrucci, M.; Pozzato, P.; Cipolla, A.; Uomo, G. Persistent elevation of serum CA 19-9 with no evidence of malignant disease. Dig. Liver Dis. 2009, 41, 357–363. [Google Scholar] [CrossRef]
- Okabayashi, K.; Motohiro, A.; Ueda, H.; Ondo, K.; Kawahara, K.; Shirakusa, T. Subcarinal Bronchogenic Cyst with High Carbohydrate Antigen 19-9 Production. Jpn. J. Thorac. Cardiovasc. Surg. 2002, 50, 46–48. [Google Scholar] [CrossRef]
- Wang, M.X.; Qiu, X.; Tian, C.; Li, J.; Lv, M. Retroperitoneal bronchogenic cyst resembling an adrenal tumor with high levels of serum carbohydrate antigen 19-9. Medicine 2017, 96, e7678. [Google Scholar] [CrossRef] [PubMed]
- Dong, J.; Cai, Y.; Chen, R.; Du, S.; Chen, Y.; Shi, K. A case report and a short literature review of pulmonary sequestration showing elevated serum levels of carbohydrate antigen 19-9. J. Nippon. Med. Sch. 2015, 82, 211–215. [Google Scholar] [CrossRef]
- Liu, K.L.; Chen, J.S.; Cheng, T.Y. Pulmonary sequestration: An unusual cause of Elevated CA 19-9. Am. J. Gastroenterol. 2016, 111, 289. [Google Scholar] [CrossRef]
- Yango, J.; Pieters, T.; Coche, E.; Lambert, M. Élévation du CA 19.9 sérique et bronchectasies. Rev. Mal. Respir. 2008, 25, 78–81. [Google Scholar] [CrossRef] [PubMed]
- Inokuma, T.; Minami, S.; Suga, K.; Kusano, Y.; Chiba, K.; Furukawa, M. Spontaneously ruptured giant splenic cyst with elevated serum levels of CA 19-9, CA 125 and carcinoembryonic antigen. Case Rep. Gastroenterol. 2010, 4, 191–197. [Google Scholar] [CrossRef]
- Imoto, Y.; Einama, T.; Fukumura, M.; Kouzu, K.; Nagata, H.; Matsunaga, A.; Hoshikawa, M.; Nishikawa, M.; Kimura, A.; Noro, T.; et al. Laparoscopic fenestration for a large ruptured splenic cyst combined with an elevated serum carbohydrate antigen 19-9 level: A case report. BMC Surg. 2019, 19, 58. [Google Scholar] [CrossRef] [PubMed]
- Hoshino, A.; Nakamura, Y.; Suzuki, H.; Mizutani, S.; Chihara, N.; Matsunobu, T.; Maejima, K.; Miura, K.; Hanawa, H.; Nomura, S.; et al. Giant epidermoid cyst of the spleen with elevated CA 19-9 production managed laparoscopically: Report of a case. J. Nippon. Med. Sch. 2013, 80, 470–474. [Google Scholar] [CrossRef]
- Buda, N.; Wszołek, A.; Śledziński, M.; Żawrocki, A.; Sworczak, K. Epidermoid splenic cyst with elevated serum level of CA19-9. Korean J. Intern. Med. 2018, 33, 1032–1033. [Google Scholar] [CrossRef] [PubMed]
- Matsui, T.; Matsubayashi, H.; Sugiura, T.; Sasaki, K.; Ito, H.; Hotta, K.; Imai, K.; Tanaka, M.; Kakushima, N.; Ono, H. A Splenic Epithelial Cyst: Increased Size, Exacerbation of Symptoms, and Elevated Levels of Serum Carcinogenic Antigen 19-9 after 6-year Follow-up. Intern. Med. 2016, 55, 2629–2634. [Google Scholar] [CrossRef] [PubMed]
- Soudack, M.; Ben-Nun, A.; Toledano, C. Elevated carbohydrate antigen 19-9 in patients with true (epithelial) splenic cysts-Rare or undiscovered? Can. J. Gastroenterol. 2001, 15, 125–126. [Google Scholar] [CrossRef] [PubMed]
- Sardi, A.; Ojeda, H.F.; King, D. Laparoscopic resection of a benign true cyst of the spleen with the harmonic scalpel producing high levels of CA 19-9 and carcinoembryonic antigen. Am. Surg. 1998, 64, 1149–1154. [Google Scholar] [PubMed]
- Filipovic, B.; Milinić, N.; Gacic, J.; Markovic, O.; Djokovic, A.; Filipovic, B. Benign hydronephrosis and elevated of serum levels of carbohydrate antigen CA 19-9: A case report. Am. J. Case Rep. 2016, 17, 395–397. [Google Scholar] [CrossRef][Green Version]
- Meyer, A.; Kausch, I.; Krüger, S.; Fetscher, S.; Böhle, A.; Jocham, D. Elevation of CA 19-9 in giant hydronephrosis induced by a renal calculus. Urology 2004, 63, 381–382. [Google Scholar] [CrossRef]
- Shudo, R.; Saito, T.; Takahashi, K.; Horita, K.; Waku, K.; Honma, I.; Sato, T. Giant hydronephrosis due to a ureteral stone, and elevated serum levels of CA 19-9. Intern. Med. 1999, 38, 887–891. [Google Scholar] [CrossRef]
- Ito, S.; Nishikawa, K.; Goto, T.; Tsujita, M.; Takegaki, Y.; Kishimoto, T. A case of hydronephrosis caused by renal stones with elevated serum levels of CA-19-9 and CA-125. Hinyokika Kiyo 1994, 40, 885–888. [Google Scholar]
- Atabekoǧlu, C.; Bozaci, E.A.; Tezcan, S. Elevated carbohydrate antigen 19-9 in a dermoid cyst. Int. J. Gynaecol. Obstet. 2005, 91, 262–263. [Google Scholar] [CrossRef] [PubMed]
- Sampaio, J.; Sarmento-Gonçalves, I.; Barros, J.M.; Felix, J.; Tiago-Silva, P. Mature cystic teratoma of ovary with abnormally high levels of Ca19-9: A case report. Rev. Bras. Ginecol. Obs. 2016, 38, 365–367. [Google Scholar] [CrossRef] [PubMed]
- Lin, S.C.; Yen, R.F.; Chen, Y.K. Dermoid cyst with secretion of CA 19-9 detected by 18F-FDG PET/CT: A case report. Medicine 2020, 99, e18988. [Google Scholar] [CrossRef] [PubMed]
- Cho, A.; Kim, B.R.; Lim, S.H.; Park, C.M. Extreme elevation of CA 19-9 levels in mature cystic teratoma without any complications: A case report. Ann. Med. Surg. 2022, 78, 103803. [Google Scholar] [CrossRef] [PubMed]
- Pyeon, S.Y.; Park, J.Y.; Ki, K.D.; Lee, J.M. Abnormally high level of CA-19-9 in a benign ovarian cyst. Obstet. Gynecol. Sci. 2015, 58, 530–532. [Google Scholar] [CrossRef] [PubMed]
- Pandey, D.; Sharma, R.; Sharma, S.; Salhan, S. Unusually high serum levels of CA 19-9 in an ovarian tumour: Malignant or benign? J. Clin. Diagn. Res. 2017, 11, JC01–JC03. [Google Scholar] [CrossRef]
- Chew, K.T.; Zakaria, I.A.; Abu, M.A.; Ahmad, M.F.; Hing, E.Y.; Ghani, N.A.A. Elevated serum CA 19-9 with adnexal mass: Is it always an ovarian malignancy? Horm. Mol. Biol. Clin. Investig. 2018, 34, 20180011. [Google Scholar] [CrossRef]
- Park, B.J.; Kim, T.E.; Kim, Y.W. Massive peritoneal fluid and markedly elevated serum CA125 and CA19-9 levels associated with an ovarian endometrioma. J. Obstet. Gynaecol. Res. 2009, 35, 935–939. [Google Scholar] [CrossRef]
- Sato, H.; Borsari, R.; Yajima, E.K.; Ninomiya, T.; Saito, C.S.; Kumagai, C.A.K. Adenomyoma associated with high level of CA 125 and CA 19-9: Case report. Eur. J. Gynaecol. Oncol. 2011, 32, 455–456. [Google Scholar]
- Buyukbayrak, E.E.; OzyapI, A.G.; Karsidag, Y.K.; Pirimoglu, Z.M.; Unal, O.; Turan, C. Imperforate hymen: A new benign reason for highly elevated serum CA 19.9 and CA 125 levels. Arch. Gynecol. Obstet. 2008, 277, 475–477. [Google Scholar] [CrossRef]
- Moshref, L.H.; Mandili, R.A.; Almaghrabi, M.; Abdulwahab, R.A.; Alosaimy, R.A.; Miro, J. Elevation of CA 19-9 in mirizzi syndrome in the absence of malignancy: A case report. Am. J. Case Rep. 2021, 22, e931819-1. [Google Scholar] [CrossRef]
- Robertson, A.G.N.; Davidson, B.R. Mirizzi syndrome complicating an anomalous biliary tract: A novel cause of a hugely elevated CA19-9. Eur. J. Gastroenterol. Hepatol. 2007, 19, 167–169. [Google Scholar] [CrossRef]
- Shirai, Y.; Shiba, H.; Fujiwara, Y.; Eto, K.; Misawa, T.; Yanaga, K. Hepatic inflammatory pseudotumor with elevated serum CA19-9 level mimicking liver metastasis from rectal cancer: Report of a case. Int. Surg. 2013, 98, 324–329. [Google Scholar] [CrossRef]
- Ogawa, T.; Yokoi, H.; Kawarada, Y. A case of inflammatory pseudotumor of the liver causing elevated serum CA19-9 levels. Am. J. Gastroenterol. 1998, 93, 2551–2555. [Google Scholar] [CrossRef] [PubMed]
- Giannaris, M.; Dourakis, S.P.; Alexopoulou, A.; Archimandritis, A.J. Markedly elevated CA 19-9 in the pus and the serum of a patient with pyogenic liver abscess. J. Clin. Gastroenterol. 2006, 40, 657. [Google Scholar] [CrossRef] [PubMed]
- Vandemergel, X.; Vandergheynst, F.; Decaux, G. Very high elevation of CA19-9 level in a patient with steatosis. Acta Gastroenterol. Belg. 2005, 68, 380–381. [Google Scholar]
- Schoonbroodt, D.; Horsmans, Y.; Gigot, J.F.; Rahier, J.; Geubel, A.P. Biliary cystadenoma of the liver with elevated CA 19-9. Liver 1994, 14, 320–322. [Google Scholar] [CrossRef] [PubMed]
- De Marchi, G.; Paiella, S.; Luchini, C.; Capelli, P.; Bassi, C.; Frulloni, L. Very high serum levels of CA 19-9 in autoimmune pancreatitis: Report of four cases and brief review of literature. J. Dig. Dis. 2016, 17, 697–702. [Google Scholar] [CrossRef]
- Ong, S.L.; Garcea, G.; Puls, F.; Richards, C.; Mulcahy, K.; Grant, A.; Dennison, A.R.; Berry, D.P. IgG4-positive sclerosing cholangitis following autoimmune pancreatitis with deranged CA19.9. Int. J. Surg. Pathol. 2011, 19, 697–702. [Google Scholar] [CrossRef]
- Efeovbokhan, N.; Makol, A.; Cuison, R.V.; Minter, R.M.; Kotaru, V.P.; Conley, B.A.; Chandana, S.R. An unusual case of autoimmune pancreatitis presenting as pancreatic mass and obstructive jaundice: A case report and review of the literature. J. Med. Case Rep. 2011, 5, 253. [Google Scholar] [CrossRef]
- Kaur, M.; Dalal, V.; Bhatnagar, A.; Siraj, F. Pancreatic tuberculosis with markedly elevated CA 19-9 levels: A diagnostic pitfall. Oman Med. J. 2016, 31, 446–449. [Google Scholar] [CrossRef]
- Chou, J.W.; Chang, K.P.; Wu, Y.H. A Rare Cause of Elevated Serum CA19-9. Gastroenterology 2021, 160, 31–32. [Google Scholar] [CrossRef]
- El-Khoury, M.; Bohlok, A.; Sleiman, Y.A.; Loi, P.; Coppens, E.; Demetter, P.; El Nakadi, I. A rare presentation of small diaphragmatic epidermoid cyst with extremely elevated serum CA19-9 level. Ann. R. Coll. Surg. Engl. 2020, 102, e23–e25. [Google Scholar] [CrossRef]
- Ergül, B.; Doǧan, Z.; Sarikaya, M.; Filik, L. Rapid decline to normal levels of extraordinarily elevated CA 19-9 after Giardiasis. Clin. Res. Hepatol. Gastroenterol. 2013, 37, e97. [Google Scholar] [CrossRef]
- Hyman, J.; Wilczynski, S.P.; Schwarz, R.E. Extrahepatic bile duct stricture and elevated CA 19-9: Malignant or benign? South Med. J. 2003, 96, 89–92. [Google Scholar] [CrossRef] [PubMed]
- Lemaire, V.; Jeannou, J.; Goupille, P.; Valat, J. La fibrose pulmonaire, une cause d’élévation du CA 19-9. Rev. Med. Intern. 1998, 19, 942–944. [Google Scholar] [CrossRef] [PubMed]
- de Meira-Júnior, J.D.; Costa, T.N.; Montagnini, A.L.; Nahas, S.C.; Jukemura, J. Elevated CA 19-9 in an asymptomatic patient: What does it mean? Arq. Bras. Cir. Dig. 2022, 35, e1687. [Google Scholar] [CrossRef]
- Noda, Y.; Tomita, H.; Ishihara, T.; Tsuboi, Y.; Kawai, N.; Kawaguchi, M.; Kaga, T.; Hyodo, F.; Hara, A.; Kambadakone, A.R.; et al. Prediction of overall survival in patients with pancreatic ductal adenocarcinoma: Histogram analysis of ADC value and correlation with pathological intratumoral necrosis. BMC Med. Imaging 2022, 22, 23. [Google Scholar] [CrossRef] [PubMed]
- Kim, J.E.; Lee, K.T.; Lee, J.K.; Paik, S.W.; Rhee, J.C.; Choi, K.W. Clinical usefulness of carbohydrate antigen 19-9 as a screening test for pancreatic cancer in an asymptomatic population. Gastroenterol. Hepatol. 2004, 19, 182–186. [Google Scholar] [CrossRef] [PubMed]
- Ferrone, C.R.; Finkelstein, D.M.; Thayer, S.P.; Muzikansky, A.; Fernandez-Del Castillo, C.; Warshaw, A.L. Perioperative CA19-9 levels can predict stage and survival in patients with resectable pancreatic adenocarcinoma. J. Clin. Oncol. 2006, 24, 2897–2902. [Google Scholar] [CrossRef] [PubMed]
- Parra-Robert, M.; Santos, V.M.; Canis, S.M.; Pla, X.; Fradera, J.M.A.; Porto, R.M. Relationship between CA 19.9 and the lewis phenotype: Options to improve diagnostic efficiency. Anticancer Res. 2018, 38, 5883–5888. [Google Scholar] [CrossRef]
- Lee, T.; Teng, T.Z.J.; Shelat, V.G. Carbohydrate antigen 19-9—Tumor marker: Past, present, and future. World J. Gastrointest. Surg. 2020, 12, 468–490. [Google Scholar] [CrossRef]
- Duffy, M.J.; Sturgeon, C.; Lamerz, R.; Haglund, C.; Holubec, V.L.; Klapdor, R.; Nicolini, A.; Topolcan, O.; Heinemann, V. Tumor markers in pancreatic cancer: A European Group on Tumor Markers (EGTM) status report. Ann. Oncol. 2009, 21, 441–447. [Google Scholar] [CrossRef]
- Goonetilleke, K.S.; Siriwardena, A.K. Systematic review of carbohydrate antigen (CA 19-9) as a biochemical marker in the diagnosis of pancreatic cancer. Eur. J. Surg. Oncol. 2007, 33, 266–270. [Google Scholar] [CrossRef] [PubMed]
- Ermiah, E.; Eddfair, M.; Abdulrahman, O.; Elfagieh, M.; Jebriel, A.; Al-Sharif, M.; Assidi, M.; Buhmeida, A. Prognostic value of serum CEA and CA19-9 levels in pancreatic ductal adenocarcinoma. Mol. Clin. Oncol. 2022, 17, 126. [Google Scholar] [CrossRef]
- Steinberg, W. The clinical utility of the CA 19-9 tumor-associated antigen. Am. J. Gastroenterol. 1990, 85, 350–355. [Google Scholar]
- Tessler, D.A.; Catanzaro, A.; Velanovich, V.; Havstad, S.; Goel, S. Predictors of cancer in patients with suspected pancreatic malignancy without a tissue diagnosis. Am. J. Surg. 2006, 191, 191–197. [Google Scholar] [CrossRef]
- Patel, A.H.; Amin, R.; Lalos, A.T. Acute liver injury and IgG4-related autoimmune pancreatitis following mRNA-based COVID-19 vaccination. Hepatol. Forum 2022, 3, 97–99. [Google Scholar] [CrossRef]
- Chahed, F.; Ben Fadhel, N.; Maamri, K.; Abdelali, M.; Ben Romdhane, H.; Chadli, Z.; Ben Fredj, N.; Zrig, A.; Aouam, K.; Chaabane, A. An unusual occurrence of autoimmune pancreatitis after gam-COVID-Vac (Sputnik V): A case report and literature review. Br. J. Clin. Pharmacol. 2023, 89, 2915–2919. [Google Scholar] [CrossRef] [PubMed]
- Becker, E.C.; Siddique, O.; Kapur, D.; Patel, K.; Mehendiratta, V. Type 1 Autoimmune Pancreatitis Unmasked by COVID-19 Vaccine. ACG Case Rep. J. 2023, 10, 950. [Google Scholar] [CrossRef] [PubMed]
- Rodrigues, T.; Komanduri, S. Seronegative type i autoimmune pancreatitis with immunoglobulin g4-related disease triggered by the pfizer-biontech COVID-19 vaccine. Gastrointest. Endosc. 2022, 95, 36. [Google Scholar] [CrossRef]
- Aochi, S.; Uehara, M.; Yamamoto, M. IgG4-related Disease Emerging after COVID-19 mRNA Vaccination. Intern. Med. 2023, 62, 1547–1551. [Google Scholar] [CrossRef] [PubMed]
- Zafar, M.; Gordon, K.; Macken, L.; Parvin, J.; Heath, S.; Whibley, M.; Tibble, J. COVID-19 Vaccination-Induced Cholangiopathy and Autoimmune Hepatitis: A Series of Two Cases. Cureus 2022, 14, e30304. [Google Scholar] [CrossRef] [PubMed]
- Bril, F.; Al Diffalha, S.; Dean, M.; Fettig, D.M. Autoimmune hepatitis developing after coronavirus disease 2019 (COVID-19) vaccine: Causality or casualty? J. Hepatol. 2021, 75, 222–224. [Google Scholar] [CrossRef] [PubMed]
- McShane, C.; Kiat, C.; Rigby, J.; Crosbie, Ó. The mRNA COVID-19 vaccine–A rare trigger of autoimmune hepatitis? J. Hepatol. 2021, 75, 1252–1254. [Google Scholar] [CrossRef] [PubMed]
- Correia de Sá, T.; Soares, C.; Rocha, M. Acute pancreatitis and COVID-19: A literature review. World J. Gastrointest. Surg. 2021, 13, 574–584. [Google Scholar] [CrossRef] [PubMed]
- Kanduc, D.; Shoenfeld, Y. Molecular mimicry between SARS-CoV-2 spike glycoprotein and mammalian proteomes: Implications for the vaccine. Immunol. Res. 2020, 68, 310–313. [Google Scholar] [CrossRef]
- Rasappan, K.; Shaw, L.K.R.M.Y.; Chan, L.W.M.; Chuah, K.L.; Cheng, M.H.W. A case of raised CA 19–9 in a patient with desmoplastic fibroblastoma of the upper limb. Int. Cancer Conf. J. 2021, 10, 222–227. [Google Scholar] [CrossRef]
- Howaizi, M.; Abboura, M.; Krespine, C.; Sbai-Idrissi, M.S.; Marty, O.; Djabbari-Sobhani, M. A new cause for CA19.9 elevation: Heavy tea consumption. Gut 2003, 52, 913–914. [Google Scholar] [CrossRef]
- Khandelwal, A.; Inoue, D.; Takahashi, N. Autoimmune pancreatitis: An update. Abdom. Radiol. 2020, 45, 1359–1370. [Google Scholar] [CrossRef]
- Shimosegawa, T.; Chari, S.T.; Frulloni, L.; Kamisawa, T.; Kawa, S.; Mino-Kenudson, M.; Kim, M.H.; Klöppel, G.; Lerch, M.M.; Löhr, M.; et al. International consensus diagnostic criteria for autoimmune pancreatitis: Guidelines of the International Association of Pancreatology. Pancreas 2011, 26, 352–358. [Google Scholar] [CrossRef]
- Kim, K.P.; Kim, M.H.; Kim, J.C.; Lee, S.S.; Seo, D.W.; Lee, S.K. Diagnostic criteria for autoimmune chronic pancreatitis revisited. World J. Gastroenterol. 2006, 12, 2487–2496. [Google Scholar] [CrossRef] [PubMed]
- Jani, N. Autoimmune pancreatitis and cholangitis. World J. Gastrointest. Pharmacol. Ther. 2015, 6, 199–206. [Google Scholar] [CrossRef] [PubMed]
- Ito, T.; Nakamura, T.; Fujimori, N.; Niina, Y.; Igarashi, H.; Oono, T.; Uchida, M.; Kawabe, K.; Takayanagi, R.; Nishimori, I.; et al. Characteristics of pancreatic diabetes in patients with autoimmune pancreatitis. J. Dig. Dis. 2011, 12, 210–216. [Google Scholar] [CrossRef] [PubMed]
- Nishimori, I.; Tamakoshi, A.; Kawa, S.; Tanaka, S.; Takeuchi, K.; Kamisawa, T.; Saisho, H.; Hirano, K.; Okamura, K.; Yanagawa, N.; et al. Influence of steroid therapy on the course of diabetes mellitus in patients with autoimmune pancreatitis: Findings from a nationwide survey in Japan. Pancreas 2006, 32, 244–248. [Google Scholar] [CrossRef]
- Ogawa, H.; Takehara, Y.; Naganawa, S. Imaging diagnosis of autoimmune pancreatitis: Computed tomography and magnetic resonance imaging. J. Med. Ultrason. 2021, 48, 565–571. [Google Scholar] [CrossRef]
Disclaimer/Publisher’s Note: The statements, opinions and data contained in all publications are solely those of the individual author(s) and contributor(s) and not of MDPI and/or the editor(s). MDPI and/or the editor(s) disclaim responsibility for any injury to people or property resulting from any ideas, methods, instructions or products referred to in the content. |
© 2024 by the authors. Licensee MDPI, Basel, Switzerland. This article is an open access article distributed under the terms and conditions of the Creative Commons Attribution (CC BY) license (https://creativecommons.org/licenses/by/4.0/).


