Early Clinical Outcomes and Advantages of a Novel-Size Adjustable Second-Generation Cryoballoon: A Proof-of-Concept Study
Abstract
1. Introduction
2. Methods
2.1. Study Population
2.2. Ablation Procedures
2.3. Data Collection and Outcome Definition
2.4. Statistical Analysis
3. Results
3.1. Patient Population
3.2. Procedural Characteristics
4. Discussion
- -
- In an unselected cohort of patients undergoing CB ablation with the POLARx FIT, the 31 mm size CB configuration was used for 51% of the overall applications.
- -
- In several clinical scenarios, the use of this new CB feature has helped the operator to reach an easier PVI, such as in cases with common PV trunks, accessory PVs, and funnel-shaped PV ostia.
- -
- The new POLARx FIT confirmed the easy maneuverability of the previous POLARx CB, with an overall high acute success rate and low periprocedural complication rate/in-hospital AF recurrences.
4.1. Procedural Aspects
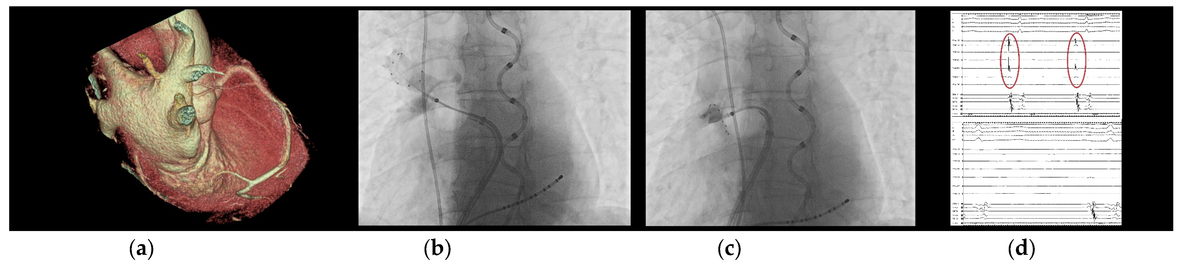
4.2. Case-Based Approach
4.3. Limitations
5. Conclusions
Author Contributions
Funding
Institutional Review Board Statement
Informed Consent Statement
Data Availability Statement
Conflicts of Interest
References
- Calkins, H.; Hindricks, G.; Cappato, R.; Kim, Y.H.; Saad, E.B.; Aguinaga, L.; Akar, J.G.; Badhwar, V.; Brugada, J.; Camm, J.; et al. 2017 HRS/EHRA/ECAS/APHRS/SOLAECE expert consensus statement on catheter and surgical ablation of atrial fibrillation. Hear. Rhythm 2017, 14, e275–e444. [Google Scholar] [CrossRef]
- Andrade, J.G. Cryoballoon ablation for pulmonary vein isolation. J. Cardiovasc. Electrophysiol. 2020, 31, 2128–2135. [Google Scholar] [CrossRef]
- Kuck, K.-H.; Brugada, J.; Fürnkranz, A.; Metzner, A.; Ouyang, F.; Chun, K.R.J.; Elvan, A.; Arentz, T.; Bestehorn, K.; Pocock, S.J.; et al. Cryoballoon or Radiofrequency Ablation for Paroxysmal Atrial Fibrillation. N. Engl. J. Med. 2016, 374, 2235–2245. [Google Scholar] [CrossRef]
- Andrade, J.G.; Champagne, J.; Dubuc, M.; Deyell, M.W.; Verma, A.; Macle, L.; Leong-Sit, P.; Novak, P.; Badra-Verdu, M.; Sapp, J.; et al. Cryoballoon or Radiofrequency Ablation for Atrial Fibrillation Assessed by Continuous Monitoring: A Randomized Clinical Trial. Circulation 2019, 140, 1779–1788. [Google Scholar] [CrossRef]
- Coulombe, N.; Paulin, J.; Su, W. Improved in vivo performance of second-generation cryoballoon for pulmonary vein isolation. J. Cardiovasc. Electrophysiol. 2013, 24, 919–925. [Google Scholar] [CrossRef] [PubMed]
- Aryana, A.; Kowalski, M.; O’Neill, P.G.; Koo, C.H.; Lim, H.W.; Khan, A.; Hokanson, R.B.; Bowers, M.R.; Kenigsberg, D.N.; Ellenbogen, K.A. Catheter ablation using the third-generation cryoballoon provides an enhanced ability to assess time to pulmonary vein isolation facilitating the ablation strategy: Short- and long-term results of a multicenter study. Hear. Rhythm 2016, 13, 2306–2313. [Google Scholar] [CrossRef]
- Tanese, N.; Almorad, A.; Pannone, L.; Defaye, P.; Jacob, S.; Kilani, M.B.; Chierchia, G.; Venier, S.; Cardin, C.; Jacon, P.; et al. Outcomes after cryoballoon ablation of paroxysmal atrial fibrillation with the PolarX or the Arctic Front Advance Pro: A prospective multicentre experience. Europace 2023, 25, 873–879. [Google Scholar] [CrossRef]
- Kochi, A.N.; Moltrasio, M.; Tundo, F.; Riva, S.; Ascione, C.; Dessanai, M.A.; Pizzamiglio, F.; Vettor, G.; Cellucci, S.; Gasperetti, A.; et al. Cryoballoon atrial fibrillation ablation: Single-center safety and efficacy data using a novel cryoballoon technology compared to a historical balloon platform. J. Cardiovasc. Electrophysiol. 2021, 32, 588–594. [Google Scholar] [CrossRef]
- Assaf, A.; Bhagwandien, R.E.; Szili-Torok, T.; Yap, S.C. Comparison of the acute outcome of two cryoballoon technologies for pulmonary vein isolation: An updated systematic review and meta-analysis. IJC Hear. Vasc. 2022, 42, 101115. [Google Scholar] [CrossRef] [PubMed]
- Available online: https://www.bostonscientific.com/en-EU/medical-specialties/electrophysiology/arrhythmias/single-shot-ablation/polarx-cryoballoon.html (accessed on 30 December 2023).
- Rovaris, G.; Ciconte, G.; Schiavone, M.; Mitacchione, G.; Gasperetti, A.; Piazzi, E.; Negro, G.; Montemerlo, E.; Rondine, R.; Pozzi, M.; et al. Second-generation laser balloon ablation for the treatment of atrial fibrillation assessed by continuous rhythm monitoring: The LIGHT-AF study. Europace 2021, 23, 1380–1390. [Google Scholar] [CrossRef] [PubMed]
- Rottner, L.; Mathew, S.; Reissmann, B.; Warneke, L.; Martin, I.; Lemes, C.; Maurer, T.; Wohlmuth, P.; Ouyang, F.; Kuck, K.H.; et al. Feasibility, safety, and acute efficacy of the fourth-generation cryoballoon for ablation of atrial fibrillation: Another step forward? Clin. Cardiol. 2020, 43, 394–400. [Google Scholar] [CrossRef]
- Fürnkranz, A.; Köster, I.; Chun, K.R.J.; Metzner, A.; Mathew, S.; Konstantinidou, M.; Ouyang, F.; Kuck, K.H. Cryoballoon temperature predicts acute pulmonary vein isolation. Hear. Rhythm 2011, 8, 821–825. [Google Scholar] [CrossRef]
- Guckel, D.; Lucas, P.; Isgandarova, K.; El Hamriti, M.; Bergau, L.; Fink, T.; Sciacca, V.; Imnadze, G.; Braun, M.; Khalaph, M.; et al. News from the Cold Chamber: Clinical Experiences of POLARx versus Arctic Front Advance for Single-Shot Pulmonary Vein Isolation. J. Cardiovasc. Dev. Dis. 2022, 9, 16. [Google Scholar] [CrossRef] [PubMed]
- Mörtsell, D.; Arbelo, E.; Dagres, N.; Brugada, J.; Laroche, C.; Trines, S.A.; Malmborg, H.; Höglund, N.; Tavazzi, L.; Pokushalov, E.; et al. Cryoballoon vs. radiofrequency ablation for atrial fibrillation: A study of outcome and safety based on the ESC-EHRA atrial fibrillation ablation long-term registry and the Swedish catheter ablation registry. Europace 2019, 21, 581–589. [Google Scholar] [CrossRef]
- Wu, C.; Li, X.; Lv, Z.; Chen, Q.; Lou, Y.; Mao, W.; Zhou, X. Second-generation cryoballoon versus contact force radiofrequency ablation for atrial fibrillation: An updated meta-analysis of evidence from randomized controlled trials. Sci. Rep. 2021, 11, 17907. [Google Scholar] [CrossRef]
- Wang, Y.; Wang, W.; Yao, J.; Chen, L.; Yi, S. Second-generation cryoballoon vs. contact-force sensing radiofrequency catheter ablation in atrial fibrillation: A meta-analysis of randomized controlled trials. J. Interv. Card. Electrophysiol. 2021, 60, 9–19. [Google Scholar] [CrossRef]
- Waranugraha, Y.; Rizal, A.; Yuniadi, Y. A Systematic Review and Meta-Analysis of the Direct Comparison of Second-Generation Cryoballoon Ablation and Contact Force-Sensing Radiofrequency Ablation in Patients with Paroxysmal Atrial Fibrillation. J. Pers. Med. 2022, 12, 298. [Google Scholar] [CrossRef]
- Shi, L.B.; Rossvoll, O.; Tande, P.; Schuster, P.; Solheim, E.; Chen, J. Cryoballoon vs. radiofrequency catheter ablation: Insights from NOrwegian randomized study of PERSistent Atrial Fibrillation (NO-PERSAF study). Europace 2022, 24, 226–233. [Google Scholar] [CrossRef] [PubMed]
- Hoffmann, E.; Straube, F.; Wegscheider, K.; Kuniss, M.; Andresen, D.; Wu, L.Q.; Tebbenjohanns, J.; Noelker, G.; Tilz, R.R.; Chun, J.K.R.; et al. Outcomes of cryoballoon or radiofrequency ablation in symptomatic paroxysmal or persistent atrial fibrillation. Europace 2019, 21, 1313–1324. [Google Scholar] [CrossRef] [PubMed]
- Chierchia, G.B.; Iacopino, S.; De Asmundis, C. Cryoballoon Ablation in Today’s Practice: Can the Left Common Ostium Be Ablated and Injury to the Right Phrenic Nerve Avoided? Arrhythmia Electrophysiol. Rev. 2017, 6, 156. [Google Scholar] [CrossRef]
- Hayashi, T.; Murakami, M.; Saito, S.; Iwasaki, K. Characteristics of anatomical difficulty for cryoballoon ablation: Insights from CT. Open Hear. 2022, 9, e001724. [Google Scholar] [CrossRef] [PubMed]
- Güler, E.; Güler, G.B.; Demir, G.G.; Kizilirmak, F.; Güneş, H.M.; Barutçu, I.; Kiliçaslan, F. Effect of Pulmonary Vein Anatomy and Pulmonary Vein Diameters on Outcome of Cryoballoon Catheter Ablation for Atrial Fibrillation. PACE—Pacing Clin. Electrophysiol. 2015, 38, 989–996. [Google Scholar] [CrossRef] [PubMed]
- Shigeta, T.; Okishige, K.; Yamauchi, Y.; Aoyagi, H.; Nakamura, T.; Yamashita, M.; Nishimura, T.; Ito, N.; Tsuchiya, Y.; Asano, M.; et al. Clinical assessment of cryoballoon ablation in cases with atrial fibrillation and a left common pulmonary vein. J. Cardiovasc. Electrophysiol. 2017, 28, 1021–1027. [Google Scholar] [CrossRef] [PubMed]
- Schiavone, M.; Gasperetti, A.; Montemerlo, E.; Pozzi, M.; Sabato, F.; Piazzi, E.; Ruggiero, D.; De Ceglia, S.; Viecca, M.; Calkins, H.; et al. Long-term comparisons of atrial fibrillation ablation outcomes with a cryoballoon or laser-balloon: A propensity-matched analysis based on continuous rhythm monitoring. Hell. J. Cardiol. 2022, 65, 1–7. [Google Scholar] [CrossRef] [PubMed]
- Chun, J.K.R.; Bordignon, S.; Last, J.; Mayer, L.; Tohoku, S.; Zanchi, S.; Bianchini, L.; Bologna, F.; Nagase, T.; Urbanek, L.; et al. Cryoballoon Versus Laserballoon: Insights From the First Prospective Randomized Balloon Trial in Catheter Ablation of Atrial Fibrillation. Circ. Arrhythmia Electrophysiol. 2021, 14, E009294. [Google Scholar] [CrossRef]
- Proietti, R.; Santangeli, P.; Di Biase, L.; Joza, J.; Bernier, M.L.; Wang, Y.; Sagone, A.; Viecca, M.; Essebag, V.; Natale, A. Comparative effectiveness of wide antral versus ostial pulmonary vein isolation: A systematic review and meta-analysis. Circ. Arrhythmia Electrophysiol. 2014, 7, 39–45. [Google Scholar] [CrossRef]
- Verma, A.; Saliba, W.I.; Lakkireddy, D.; Burkhardt, J.D.; Cummings, J.E.; Wazni, O.M.; Belden, W.A.; Thal, S.; Schweikert, R.A.; Martin, D.O.; et al. Vagal responses induced by endocardial left atrial autonomic ganglion stimulation before and after pulmonary vein antrum isolation for atrial fibrillation. Hear. Rhythm 2007, 4, 1177–1182. [Google Scholar] [CrossRef]



| Overall (n = 24) | |
|---|---|
| Age, mean ± s.d. | 59.5 ± 13.0 |
| Male sex, n (%) | 21 (87.5) |
| AF Type | |
| Paroxysmal AF, n (%) | 22 (91.7) |
| Persistent AF, n (%) | 2 (8.3) |
| AF duration (months), median (IQR) | 23 (8–84) |
| BMI, mean ± s.d. | 24.3 ± 2.5 |
| Hypertension, n (%) | 7 (29.2) |
| Dyslipidemia, n (%) | 4 (16.6) |
| CAD, n (%) | 2 (8.3) |
| Valvular heart disease, n (%) | 3 (12.5) |
| CKD, n (%) | 1 (4.2) |
| Palpitations, n (%) | 21 (87.5) |
| EHRA Score Class | |
| 1, n (%) | 3 (12.5) |
| 2a, n (%) | 15 (62.5) |
| 2b, n (%) | 5 (20.8) |
| 3, n (%) | 1 (4.2) |
| LA volume index (mL/m2), median (IQR) | 35.5 (25.4–39.0) |
| LVEF, mean ± s.d. | 61.0 (57–66) |
| Drug therapy at baseline | |
| OACs, n (%) | 18 (75.0) |
| VKAs, n (%) | 0 (0) |
| Direct OACs, n (%) | 18 (75.0) |
| AADs, n (%) | 58 (52.8) |
| IC, n (%) | 18 (75.0) |
| Amiodarone, n (%) | 1 (4.2) |
| Sotalol, n (%) | 0 (0) |
| Beta-blockers, n (%) | 6 (25.0) |
| Overall (n = 24) | |
|---|---|
| Sinus rhythm at index procedure, n (%) | 18 (75.0) |
| Overall procedural time (min), median (IQR) | 90 (60–110) |
| Overall fluoroscopy time (min), median (IQR) | 15.5 (12–22.3) |
| Use of esophageal temperature probe, n (%) | 24 (100) |
| Anatomical variants | |
| Right common pulmonary trunks, n (%) | 2 (8.3) |
| Left common pulmonary trunks, n (%) | 1 (4.2) |
| Additional PV branches, n (%) | 3 (12.5) |
| Number of applications needing the 31 mm size, n (%) | 64 (51.6) |
| Minimal reached temperatures | |
| LSPV (°C), median (IQR) | −52.0 (−54.5–−50.5) |
| LIPV (°C), median (IQR) | −49.0 (−52.0–−48.0) |
| RSPV (°C), median (IQR) | −50.0 (−54.0–−45.5) |
| RIPV (°C), median (IQR) | −50.0 (−57.0–−48.0) |
| In-hospital AF recurrences, n (%) | 2 (8.3) |
| Periprocedural complications | |
| Groin hematoma, n (%) | 1 (4.2) |
| Pericardial effusion, n (%) | 0 (0) |
| Cardiac tamponade, n (%) | 0 (0) |
| Phrenic nerve palsy, n (%) | 0 (0) |
| Thromboembolic complications, n (%) | 0 (0) |
| Drug therapy at discharge | |
| OACs, n (%) | 24 (100) |
| VKAs, n (%) | 0 (0) |
| Direct OACs, n (%) | 24 (100) |
| AADs, n (%) | 58 (52.8) |
| IC, n (%) | 20 (83.3) |
| Amiodarone, n (%) | 4 (16.7) |
| Sotalol, n (%) | 0 (0) |
| Beta-blockers, n (%) | 6 (25.0) |
Disclaimer/Publisher’s Note: The statements, opinions and data contained in all publications are solely those of the individual author(s) and contributor(s) and not of MDPI and/or the editor(s). MDPI and/or the editor(s) disclaim responsibility for any injury to people or property resulting from any ideas, methods, instructions or products referred to in the content. |
© 2024 by the authors. Licensee MDPI, Basel, Switzerland. This article is an open access article distributed under the terms and conditions of the Creative Commons Attribution (CC BY) license (https://creativecommons.org/licenses/by/4.0/).
Share and Cite
Schiavone, M.; Fassini, G.; Moltrasio, M.; Majocchi, B.; Tundo, F.; Casati, F.; Tondo, C. Early Clinical Outcomes and Advantages of a Novel-Size Adjustable Second-Generation Cryoballoon: A Proof-of-Concept Study. J. Clin. Med. 2024, 13, 1259. https://doi.org/10.3390/jcm13051259
Schiavone M, Fassini G, Moltrasio M, Majocchi B, Tundo F, Casati F, Tondo C. Early Clinical Outcomes and Advantages of a Novel-Size Adjustable Second-Generation Cryoballoon: A Proof-of-Concept Study. Journal of Clinical Medicine. 2024; 13(5):1259. https://doi.org/10.3390/jcm13051259
Chicago/Turabian StyleSchiavone, Marco, Gaetano Fassini, Massimo Moltrasio, Benedetta Majocchi, Fabrizio Tundo, Francesca Casati, and Claudio Tondo. 2024. "Early Clinical Outcomes and Advantages of a Novel-Size Adjustable Second-Generation Cryoballoon: A Proof-of-Concept Study" Journal of Clinical Medicine 13, no. 5: 1259. https://doi.org/10.3390/jcm13051259
APA StyleSchiavone, M., Fassini, G., Moltrasio, M., Majocchi, B., Tundo, F., Casati, F., & Tondo, C. (2024). Early Clinical Outcomes and Advantages of a Novel-Size Adjustable Second-Generation Cryoballoon: A Proof-of-Concept Study. Journal of Clinical Medicine, 13(5), 1259. https://doi.org/10.3390/jcm13051259

