Custom CAD/CAM Peek Implants for Complex Orbitocranial Reconstruction: Our Experience with 15 Patients
Abstract
1. Introduction
2. Materials and Methods
2.1. Patient Data
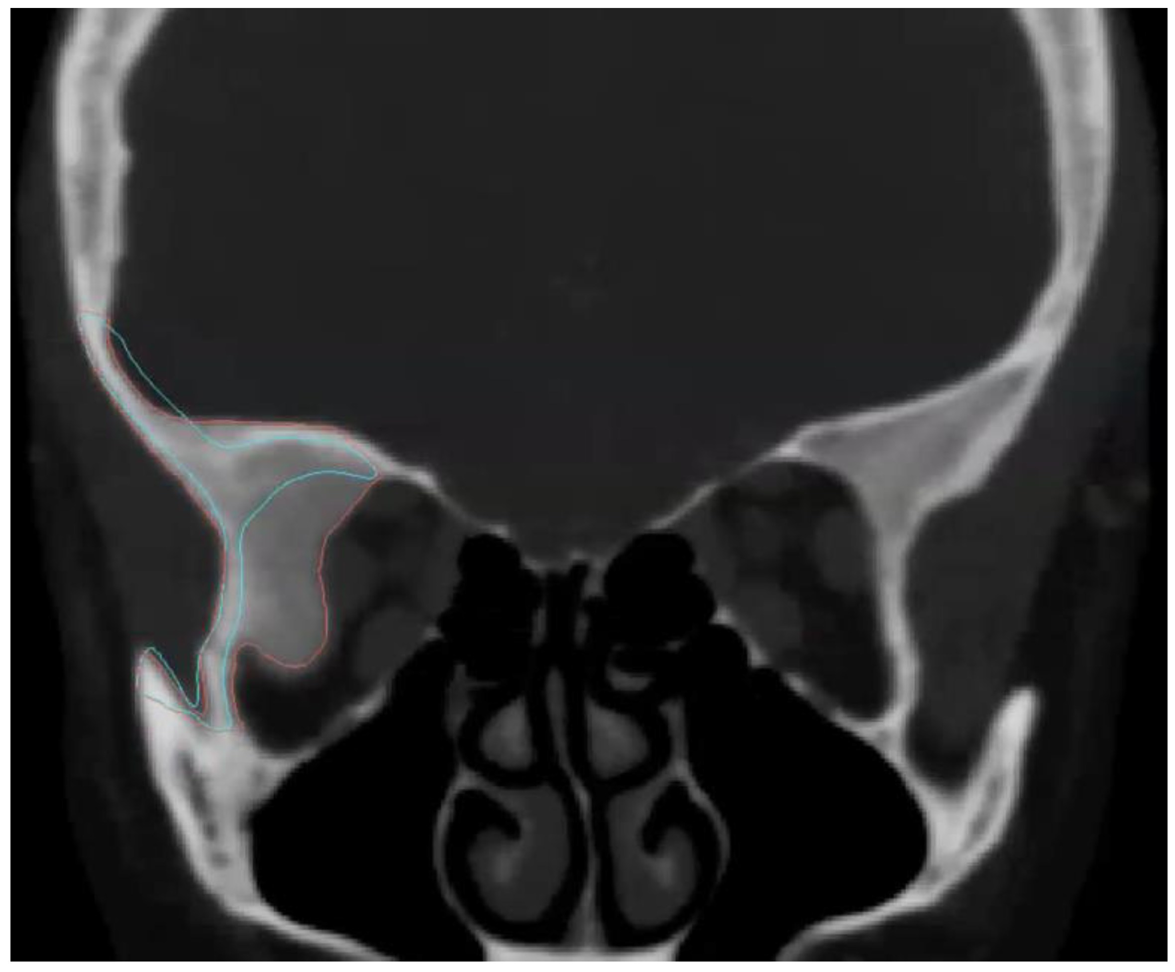
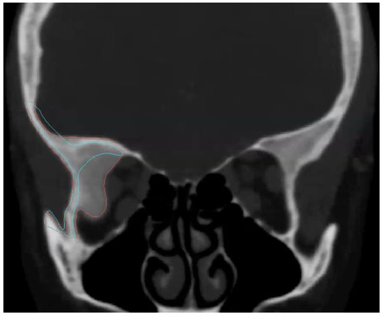
2.2. Preoperative Study and Virtual Surgical Planning
2.3. Surgical Procedure
2.4. Follow-Up
3. Results
4. Discussion
4.1. Surgical Approach
4.2. Surgery Virtual Planning: CAD CAM Technology
4.3. Reconstruction with Patient-Customized Implants (PSIs)
4.4. Intraoperative Imaging
4.5. Esthetic, Socio-Psychological, and Functional Results
5. Conclusions
Author Contributions
Funding
Institutional Review Board Statement
Informed Consent Statement
Data Availability Statement
Conflicts of Interest
References
- Acero, J.; de Leyva, P. Computer assisted surgery and navigation in Cranio-orbital resection and reconstruction. In Innovations and New Developments in Craniomaxillofacial Reconstruction; Springer Nature Switzerland: Madrid, Spain, 2021; pp. 96–115. [Google Scholar]
- Acero, J.; Maza, C.; Salmerón, J.; Ochandiano, S.; Navarro-Vila, C. Reconstruction of the cranio-orbital region. In Reconstructive Oral and Maxillofacial Surgery; Springer: New York, NY, USA, 2015; pp. 77–102. [Google Scholar]
- Ma, R.; Tang, T. Current strategies to improve the bioactivity of PEEK. Int. J. Mol. Sci. 2014, 15, 5426–5445. [Google Scholar] [CrossRef]
- Kılıç, M.; Özöner, B.; Aydın, L.; Özdemir, B.; Yılmaz, İ.; Müslüman, A.M.; Yılmaz, A.; Çavuşoğlu, H.; Aydın, Y. Cranio-Orbital Tumors: Clinical Results and A Surgical Approach. Sisli Etfal Hastan. Tip Bul. 2019, 53, 240–246. [Google Scholar] [CrossRef]
- Marosi, C.; Hassler, M.; Roessler, K.; Reni, M.; Sant, M.; Mazza, E.; Vecht, C. Meningioma. Crit. Rev. Oncol. Hematol. 2008, 67, 153–171. [Google Scholar] [CrossRef]
- Dubois, L.; Steenen, S.A.; Gooris, P.J.J.; Mourits, M.P.; Becking, A.G. Controversies in orbital reconstruction--II. Timing of post-traumatic orbital reconstruction: A systematic review. Int. J. Oral. Maxillofac. Surg. 2015, 44, 433–440. [Google Scholar] [CrossRef]
- Acero, J.; de Leyva, P.; Almeida, F.; Núñez, J.; Picón, M. The combined coronal-transconjunctival approach: An innovative surgical access for orbital exenteration in craniofacial resection. Int. J. Oral. Maxillofac. Surg. 2022, 51, 300–306. [Google Scholar] [CrossRef]
- Lv, M.; Yang, X.; Gvetadze, S.R.; Gupta, A.; Li, J.; Sun, J. Accurate reconstruction of bone defects in orbital-maxillary-zygomatic (OMZ) complex with polyetheretherketone (PEEK). J. Plast. Reconstr. Aesthetic Surg. 2022, 75, 1750–1757. [Google Scholar] [CrossRef]
- Rudman, K.; Hoekzema, C.; Rhee, J. Computer-assisted innovations in craniofacial surgery. Facial Plast. Surg. FPS 2011, 27, 358–365. [Google Scholar] [CrossRef]
- Levine, J.P.; Patel, A.; Saadeh, P.B.; Hirsch, D.L. Computer-aided design and manufacturing in craniomaxillofacial surgery: The new state of the art. J. Craniofac. Surg. 2012, 23, 288–293. [Google Scholar] [CrossRef]
- Sharaf, B.; Levine, J.P.; Hirsch, D.L.; Bastidas, J.A.; Schiff, B.A.; Garfein, E.S. Importance of computer-aided design and manufacturing technology in the multidisciplinary approach to head and neck reconstruction. J. Craniofac. Surg. 2010, 21, 1277–1280. [Google Scholar] [CrossRef]
- Cevidanes, L.H.C.; Tucker, S.; Styner, M.; Kim, H.; Chapuis, J.; Reyes, M.; Proffit, W.; Turvey, T.; Jaskolka, M. Three-dimensional surgical simulation. Am. J. Orthod. Dentofac. Orthop. 2010, 138, 361–371. [Google Scholar] [CrossRef]
- Ranz-Colio, Á.; Almeida-Parra, F.; De Leyva-Moreno, P.; Cárdenas-Serres, C.; García-Cosío, M.; Acero-Sanz, J. Navigation-guided resection of locally advanced midface malignancies. Does it improve the safety of oncologic resection? Oral. Oncol. 2023, 143, 106455. [Google Scholar] [CrossRef]
- Luebbers, H.T.; Messmer, P.; Obwegeser, J.A.; Zwahlen, R.A.; Kikinis, R.; Graetz, K.W.; Matthews, F. Comparison of different registration methods for surgical navigation in cranio-maxillofacial surgery. J Cranio-Maxillo-Fac. Surg. Off. Publ. Eur. Assoc. Cranio-Maxillo-Fac. Surg. 2008, 36, 109–116. [Google Scholar] [CrossRef]
- Sukegawa, S.; Kanno, T.; Furuki, Y. Application of computer-assisted navigation systems in oral and maxillofacial surgery. Jpn. Dent. Sci. Rev. 2018, 54, 139–149. [Google Scholar] [CrossRef]
- Tarsitano, A.; Ricotta, F.; Baldino, G.; Badiali, G.; Pizzigallo, A.; Ramieri, V.; Cascone, P.; Marchetti, C. Navigation-guided resection of maxillary tumours: The accuracy of computer-assisted surgery in terms of control of resection margins—A feasibility study. J. Cranio-Maxillo-Fac. Surg. Off. Publ. Eur. Assoc. Cranio-Maxillo-Fac. Surg. 2017, 45, 2109–2114. [Google Scholar] [CrossRef]
- Chepurnyi, Y.; Chernogorskyi, D.; Kopchak, A.; Petrenko, O. Clinical efficacy of peek patient-specific implants in orbital reconstruction. J. Oral. Biol. Craniofacial Res. 2020, 10, 49–53. [Google Scholar] [CrossRef]
- Patel, N.; Kim, B.; Zaid, W. Use of Virtual Surgical Planning for Simultaneous Maxillofacial Osteotomies and Custom Polyetheretherketone Implant in Secondary Orbito-Frontal Reconstruction: Importance of Restoring Orbital Volume. J. Craniofac. Surg. 2017, 28, 387–390. [Google Scholar] [CrossRef]
- Järvinen, S.; Suojanen, J.; Kormi, E.; Wilkman, T.; Kiukkonen, A.; Leikola, J.; Stoor, P. The use of patient specific polyetheretherketone implants for reconstruction of maxillofacial deformities. J. Cranio-Maxillofac. Surg. 2019, 47, 1072–1076. [Google Scholar] [CrossRef]
- Honigmann, P.; Sharma, N.; Okolo, B.; Popp, U.; Msallem, B.; Thieringer, F.M. Patient-Specific Surgical Implants Made of 3D Printed PEEK: Material, Technology, and Scope of Surgical Application. BioMed. Res. Int. 2018, 2018, 4520636. [Google Scholar] [CrossRef]
- Kim, M.M.; Boahene, K.D.O.; Byrne, P.J. Use of customized polyetheretherketone (PEEK) implants in the reconstruction of complex maxillofacial defects. Arch. Facial Plast. Surg. 2009, 11, 53–57. [Google Scholar] [CrossRef]
- Eschbach, L. Nonresorbable polymers in bone surgery. Injury 2000, 31 (Suppl. S4), 22–27. [Google Scholar] [CrossRef]
- Oh, J.H. Recent advances in the reconstruction of cranio-maxillofacial defects using computer-aided design/computer-aided manufacturing. Maxillofac. Plast. Reconstr. Surg. 2018, 40, 2. [Google Scholar] [CrossRef]
- Zegers, T.; Koper, D.; Lethaus, B.; Kessler, P.; Ter Laak-Poort, M. Computer-Aided-Design/Computer-Aided-Manufacturing Titanium Cranioplasty in a Child: Critical Appraisal. J. Craniofac. Surg. 2020, 31, 237–240. [Google Scholar] [CrossRef]
- Lethaus, B.; Safi, Y.; ter Laak-Poort, M.; Kloss-Brandstätter, A.; Banki, F.; Robbenmenke, C.; Steinseifer, U.; Kessler, P. Cranioplasty with customized titanium and PEEK implants in a mechanical stress model. J. Neurotrauma 2012, 29, 1077–1083. [Google Scholar] [CrossRef]
- Gerbino, G.; Zavattero, E.; Zenga, F.; Bianchi, F.A.; Garzino-Demo, P.; Berrone, S. Primary and secondary reconstruction of complex craniofacial defects using polyetheretherketone custom-made implants. J. Cranio-Maxillo-Fac. Surg. Off. Publ. Eur. Assoc. Cranio-Maxillo-Fac. Surg. 2015, 43, 1356–1363. [Google Scholar] [CrossRef]
- Alonso-Rodriguez, E.; Cebrián, J.L.; Nieto, M.J.; Del Castillo, J.L.; Hernández-Godoy, J.; Burgueño, M. Polyetheretherketone custom-made implants for craniofacial defects: Report of 14 cases and review of the literature. J. Cranio-Maxillo-Fac. Surg. Off. Publ. Eur. Assoc. Cranio-Maxillo-Fac. Surg. 2015, 43, 1232–1238. [Google Scholar] [CrossRef]
- Cuddy, K.; Khatib, B.; Bell, R.B.; Cheng, A.; Patel, A.; Amundson, M.; Dierks, E.J. Use of Intraoperative Computed Tomography in Craniomaxillofacial Trauma Surgery. J. Cranio-Maxillo-Fac. Surg. Off. Publ. Eur. Assoc. Cranio-Maxillo-Fac. Surg. 2018, 76, 1016–1025. [Google Scholar] [CrossRef]
- Strong, E.B.; Tollefson, T.T. Intraoperative use of CT imaging. Otolaryngol. Clin. N. Am. 2013, 46, 719–732. [Google Scholar] [CrossRef]
- Voskuil, F.J.; Vonk, J.; van der Vegt, B.; Kruijff, S.; Ntziachristos, V.; van der Zaag, P.J.; Witjes, M.J.; van Dam, G.M. Intraoperative imaging in pathology-assisted surgery. Nat. Biomed. Eng. 2022, 6, 503–514. [Google Scholar] [CrossRef]
- Chau, A.C.M.; Fung, K. Comparison of radiation dose for implant imaging using conventional spiral tomography, computed tomography, and cone-beam computed tomography. Oral Surg. Oral Med. Oral Pathol. Oral Radiol. Endod. 2009, 107, 559–565. [Google Scholar] [CrossRef]






| N | Age | Gender | Etiology | Clinical Findings | Location | Surgical Approach | Reconstruction |
|---|---|---|---|---|---|---|---|
| 1 | 18 | F | Parry–Romberg syndrome | Asymmetry | Fronto-orbitary | Anterior (FO) 1 | Immediate |
| 2 | 66 | F | Fibrous dysplasia | Asymmetry | Fronto-Orbitary | Anterior (FO) 1 | Immediate |
| 3 | 46 | M | Squamous cell carcinoma | Surgical defect; pain | Ethmoid bone | Anterior (F) 2 | Delayed |
| 4 | 25 | F | Treacher Collins syndrome | Asymmetry | Fronto-orbitomalar | Combined (FOM) 3. IO 4 | Delayed |
| 5 | 46 | F | Meningioma | Ocular proptosis | Greater sphenoid wing | Lateral (TZ) 5 | Immediate |
| 6 | 59 | F | Meningioma | Hypoacusia; pain | Temporal fossa | Lateral (TZ) 5 | Immediate |
| 7 | 47 | M | Pleomorphic adenoma | Ptosis; pain | Lacrimal gland | Antero lateral (FT) 6 | Immediate |
| 8 | 61 | F | Meningioma | Ocular proptosis | Fronto-orbitary | Antero lateral (FOT) 7 | Immediate |
| 9 | 50 | F | Meningioma | Ocular proptosis | Fronto-orbitary | Lateral (TOZ) 8 | Immediate |
| 10 | 34 | F | Meningioma | Ocular proptosis; loss of visual acuity | Greater sphenoid wing | Combined (OTM) 9 | Immediate |
| 11 | 52 | F | Hemangioma | Asymmetry | Orbitomalar | Combined (TZM) 10 | Immediate |
| 12 | 53 | F | Meningioma | Ocular proptosis | Greater sphenoid wing | Antero lateral (FOZ) 11 | Immediate |
| 13 | 63 | F | Meningioma | Asymmetry | Temporal fossa | Lateral (TZ) 5 | Immediate |
| 14 | 36 | F | Liposarcoma | Ocular proptosis; [pain] | Temporo-orbital | Lateral (TOZ) 8 | Immediate |
| 15 | 36 | M | Trauma sequelae | Asymmetry | Orbitomalar | Combined (TZM) 10. IO 4 | Delayed |
| Postoperative Complications | N | Patient Number | % |
|---|---|---|---|
| Edema | 10 | 1, 2, 3, 5, 7, 9, 11, 12, 14, 15 | 66.6% |
| Ecchymosis | 8 | 1, 2, 4, 5, 7, 8, 9, 11 | 53.3% |
| Diplopia | 3 | 1, 8, 9 | 20% |
| Reintervention needed | |||
| 1. PSI misposition | 1 | 10 | 6.66% |
| 2. PSI infection | 1 | 3 | 6.66% |
| 3. Refinements | 2 | 9 | 13.33% |
| Life-threatening complications | 0 | 0% |
Disclaimer/Publisher’s Note: The statements, opinions and data contained in all publications are solely those of the individual author(s) and contributor(s) and not of MDPI and/or the editor(s). MDPI and/or the editor(s) disclaim responsibility for any injury to people or property resulting from any ideas, methods, instructions or products referred to in the content. |
© 2024 by the authors. Licensee MDPI, Basel, Switzerland. This article is an open access article distributed under the terms and conditions of the Creative Commons Attribution (CC BY) license (https://creativecommons.org/licenses/by/4.0/).
Share and Cite
Cárdenas-Serres, C.; Almeida-Parra, F.; Simón-Flors, A.M.; de Leyva-Moreno, P.; Ranz-Colio, Á.; Ley-Urzaiz, L.; Acero-Sanz, J. Custom CAD/CAM Peek Implants for Complex Orbitocranial Reconstruction: Our Experience with 15 Patients. J. Clin. Med. 2024, 13, 695. https://doi.org/10.3390/jcm13030695
Cárdenas-Serres C, Almeida-Parra F, Simón-Flors AM, de Leyva-Moreno P, Ranz-Colio Á, Ley-Urzaiz L, Acero-Sanz J. Custom CAD/CAM Peek Implants for Complex Orbitocranial Reconstruction: Our Experience with 15 Patients. Journal of Clinical Medicine. 2024; 13(3):695. https://doi.org/10.3390/jcm13030695
Chicago/Turabian StyleCárdenas-Serres, Cristina, Fernando Almeida-Parra, Anna María Simón-Flors, Patricia de Leyva-Moreno, Álvaro Ranz-Colio, Luis Ley-Urzaiz, and Julio Acero-Sanz. 2024. "Custom CAD/CAM Peek Implants for Complex Orbitocranial Reconstruction: Our Experience with 15 Patients" Journal of Clinical Medicine 13, no. 3: 695. https://doi.org/10.3390/jcm13030695
APA StyleCárdenas-Serres, C., Almeida-Parra, F., Simón-Flors, A. M., de Leyva-Moreno, P., Ranz-Colio, Á., Ley-Urzaiz, L., & Acero-Sanz, J. (2024). Custom CAD/CAM Peek Implants for Complex Orbitocranial Reconstruction: Our Experience with 15 Patients. Journal of Clinical Medicine, 13(3), 695. https://doi.org/10.3390/jcm13030695

