Radiological Perspectives in Congenital Sensorineural Hearing Loss: Insights from Cochlear Implant Candidates
Abstract
1. Introduction
2. Materials and Methods
2.1. Study Group, Inclusion Criteria, and Exclusion Criteria
2.2. Measurements and Statistical Analysis
2.3. Radiological Diagnostic Methods and Evaluation
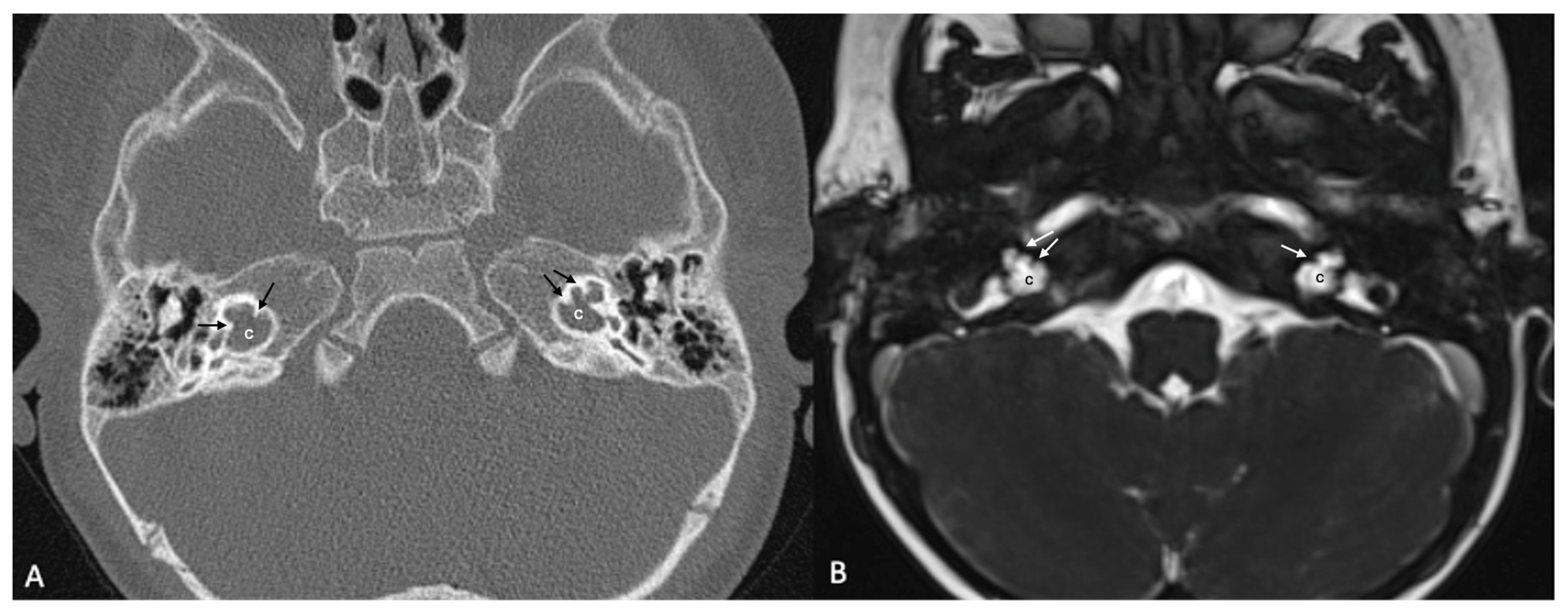
2.3.1. Computed Tomography (CT)
2.3.2. Magnetic Resonance Imaging (MRI)
3. Results
4. Discussion
- Cochlear height was significantly lower in patients with anomalies compared to those without, and it was also lower in patients with congenital hearing loss without anomalies compared to those with acquired hearing loss;
- LSCC bone island width was notably reduced in patients with anomalies compared to those without. However, for congenital SNHL patients without anomalies, the LSCC island width did not show a significant difference when compared to acquired SNHL patients;
- These findings suggest that cochlear height might be a more reliable predictor than LSCC bone island diameter for identifying congenital SNHL.
5. Conclusions
Author Contributions
Funding
Institutional Review Board Statement
Informed Consent Statement
Data Availability Statement
Conflicts of Interest
References
- Dragon, J.M.; Grewal, M.R.; Irace, A.L.; Garcia Morales, E.; Golub, J.S. Prevalence of Subclinical Hearing Loss in the United States. Otolaryngol. Neck Surg. 2023, 169, 884–889. [Google Scholar] [CrossRef] [PubMed]
- Lee, C.-Y.; Lin, P.-H.; Tsai, C.-Y.; Chiang, Y.-T.; Chiou, H.-P.; Chiang, K.-Y.; Chen, P.-L.; Hsu, J.S.-J.; Liu, T.-C.; Wu, H.-P.; et al. Comprehensive Etiologic Analyses in Pediatric Cochlear Implantees and the Clinical Implications. Biomedicines 2022, 10, 1846. [Google Scholar] [CrossRef] [PubMed]
- Shave, S.; Botti, C.; Kwong, K. Congenital Sensorineural Hearing Loss. Pediatr. Clin. N. Am. 2022, 69, 221–234. [Google Scholar] [CrossRef] [PubMed]
- Sennaroğlu, L.; Bajin, M.D. Classification and Current Management of Inner Ear Malformations. Balkan Med. J. 2017, 34, 397–411. [Google Scholar] [CrossRef] [PubMed]
- Jackler, R.K.; Luxfor, W.M.; House, W.F. Congenital malformations of the inner ear: A classification based on embryogenesis. Laryngoscope 2009, 97, 2–14. [Google Scholar] [CrossRef]
- Sennaroglu, L.; Saatci, I. A New Classification for Cochleovestibular Malformations. Laryngoscope 2002, 112, 2230–2241. [Google Scholar] [CrossRef]
- Li, A.; Du, H.; Gao, J.; Xu, Y.; Zhao, N.; Gao, S.; Xing, Y.; Qian, X.; Gao, X.; Yang, Y. Characteristics of large vestibular aqueduct syndrome in wideband acoustic immittance. Front. Neurosci. 2023, 25, 17. [Google Scholar] [CrossRef]
- Lim, X.J.; Philip, R.; Teh, H.M.; Raja, F.B.; Tan, J.N. Analysis of paediatric cochlear implant candidacy: Single centre, retrospective observational study. Med. J. Malaysia 2022, 77, 143–149. [Google Scholar]
- Suri, N.; Sharma, D.; Singh, A.; Anand, A.; Ganesh, J. Cochlear implantation in children with congenital inner ear malformations—Our experience. Int. J. Pediatr. Otorhinolaryngol. 2023, 168, 111522. [Google Scholar] [CrossRef]
- Warner-Czyz, A.D.; Roland, J.T.; Thomas, D.; Uhler, K.; Zombek, L. American Cochlear Implant Alliance Task Force Guidelines for Determining Cochlear Implant Candidacy in Children. Ear Hear. 2022, 43, 268–282. [Google Scholar] [CrossRef]
- Hiremath, S.B.; Biswas, A.; Mndebele, G.; Schramm, D.; Ertl-Wagner, B.B.; Blaser, S.I.; Chakraborty, S. Cochlear Implantation: Systematic Approach to Preoperative Radiologic Evaluation. RadioGraphics 2023, 43, e220102. [Google Scholar] [CrossRef] [PubMed]
- Windsor, A.M.; Ruiz, R.; O’Reilly, R.C. Congenital soft tissue stenosis of the external auditory canal with canal cholesteatoma: Case report and literature review. Int. J. Pediatr. Otorhinolaryngol. 2020, 134, 110053. [Google Scholar] [CrossRef] [PubMed]
- Purcell, D.D.; Fischbein, N.J.; Patel, A.; Johnson, J.; Lalwani, A.K. Two Temporal Bone Computed Tomography Measurements Increase Recognition of Malformations and Predict Sensorineural Hearing Loss. Laryngoscope 2006, 116, 1439–1446. [Google Scholar] [CrossRef] [PubMed]
- Joshi, V.M.; Navlekar, S.K.; Kishore, G.R.; Reddy, K.J.; Kumar, E.C.V. CT and MR Imaging of the Inner Ear and Brain in Children with Congenital Sensorineural Hearing Loss. RadioGraphics 2012, 32, 683–698. [Google Scholar] [CrossRef]
- Sampaio, A.L.L.; Araújo, M.F.S.; Oliveira, C.A.C.P. New Criteria of Indication and Selection of Patients to Cochlear Implant. Int. J. Otolaryngol. 2011, 2011, 573968. [Google Scholar] [CrossRef]
- Mafee, M.F.; Charletta, D.; Kumar, A.; Belmont, H. Large vestibular aqueduct and congenital sensorineural hearing loss. AJNR Am. J. Neuroradiol. 1992, 13, 805–819. [Google Scholar]
- Koesling, S.; Rasinski, C.; Amaya, B. Imaging and clinical findings in large endolymphatic duct and sac syndrome. Eur. J. Radiol. 2006, 57, 54–62. [Google Scholar] [CrossRef]
- Adibelli, Z.H.; Isayeva, L.; Koc, A.M.; Catli, T.; Adibelli, H.; Olgun, L. The new classification system for inner ear malformations: The INCAV system. Acta Otolaryngol. 2017, 137, 246–252. [Google Scholar] [CrossRef]
- Mohebbi, N.; Vargas-Poussou, R.; Hegemann, S.; Schuknecht, B.; Kistler, A.; Wüthrich, R.; Wagner, C.A. Homozygous and compound heterozygous mutations in the ATP6V1B1 gene in patients with renal tubular acidosis and sensorineural hearing loss. Clin. Genet. 2013, 83, 274–278. [Google Scholar] [CrossRef]
- Peng, K.A.; Kuan, E.C.; Hagan, S.; Wilkinson, E.P.; Miller, M.E. Cochlear Nerve Aplasia and Hypoplasia: Predictors of Cochlear Implant Success. Otolaryngol. Head Neck Surg. 2017, 157, 392–400. [Google Scholar] [CrossRef]
- Casselman, J.W.; Offeciers, F.E.; Govaerts, P.J.; Kuhweide, R.; Geldof, H.; Somers, T.; D’Hont, G. Aplasia and hypoplasia of the vestibulocochlear nerve: Diagnosis with MR imaging. Radiology 1997, 202, 773–781. [Google Scholar] [CrossRef] [PubMed]
- Digge, P.; Solanki, R.N.; Shah, D.C.; Vishwakarma, R.; Kumar, S. Imaging modality of choice for pre-operative cochlear imaging: HRCT vs. MRI temporal bone. J. Clin. Diagn. Res. 2016, 10, 10–13. [Google Scholar] [CrossRef] [PubMed]
- Jallu, A.S.; Jehangir, M.; Ul Hamid, W.; Pampori, R.A. Imaging Evaluation of Pediatric Sensorineural Hearing Loss in Potential Candidates for Cochlear Implantation. Indian J. Otolaryngol. Head Neck Surg. 2015, 67, 341–346. [Google Scholar] [CrossRef] [PubMed]
- Proctor, R.D.; Gawne-Cain, M.L.; Eyles, J.; Mitchell, T.E.; Batty, V.B. MRI during cochlear implant assessment: Should we image the whole brain? Cochlear Implants Int. 2013, 14, 2–6. [Google Scholar] [CrossRef]





| INNER EAR | CN and IAC | ||||||||||
|---|---|---|---|---|---|---|---|---|---|---|---|
| Case No. | Age | Gender | Side | Cochlear Structure | Vestibule Morphology | SCC Morphology | Cochlear Height | LSCC Width | Vestibular Aqueduct (N: <1.5 mm) | Cochlear Nerve Diameter | IAC Diameter (N: >2 mm) |
| 1 | 2 | M | R | N | BL LCVD | BL LCVD | R: 4.8 L: 4.8 | - | N | N | N |
| 2 | 12 | F | R | N | N | BL LSCC hypoplastic | R: 4.6 L: 5.0 | R: 2.5 L: 2.1 | N | N | N |
| 3 | 1 | M | R | N | BL LCVD | BL LCVD | R: 4.7 L: 4.5 | - | N | N | N |
| 4 | 2 | F | L | BL CH | BL hypoplastic | BL aplastic | R: 3.3 L: 3.4 | - | N | BL hypoplastic | N |
| 5 | 1 | M | R | N | N | N | R: 5.0 L: 5.1 | R: 3.1 L: 3.5 | N | BL hypoplastic | N |
| 6 | 4 | F | BL | BL CH | BL bud-shaped | BL PSCC hypoplastic, others absent | - | - | N | - | BL stenosis |
| 7 | 2 | M | R | R: CH | N | R LSCC hypoplastic | R: 5.0 L: 4.9 | R: 1.9 L: 3.0 | N | N | N |
| L: N | |||||||||||
| 8 | 2 | M | R | BL IP-1 | BL enlarged | BL LSCC hypoplastic | - | R: 2.5 L: 1.3 | N | BL hypoplastic | N |
| 9 | 2 | M | L | BL CH | BL LSCC and PSCC formed a common cavity with a vestibule | BL LSCC and PSCC formed a common cavity with a vestibule | R: 3.5 L: 3.6 | - | N | N | N |
| 10 | 3 | F | R | BL CH | BL hypoplastic | BL aplastic | R: 3.9 R: 4.0 | - | N | BL hypoplastic | N |
| 11 | 2 | F | L | BL CH | BL hypoplastic | BL aplastic | R: 4.2 L: 3.7 | - | N | BL hypoplastic | BL stenosis |
| 12 | 2 | F | BL | N | BL LSCC and PSCC formed a common cavity with a vestibule | BL LSCC and PSCC formed a common cavity with a vestibule | R: 3.0 L: 3.7 | - | N | N | N |
| 13 | 5 | M | BL | R: IP-2 | N | N | R: 4.4 L: 4.5 | R: 3.3 L: 3.0 | N | N | N |
| L: N | |||||||||||
| 14 | 1 | F | R | BL IP-2 | N | N | R: 4.2 L: 4.0 | R: 2.8 L: 3.2 | N | N | N |
| 15 | 4 | M | R | BL IP2 | N | N | R: 4.9 L: 4.8 | R: 3.8 L: 3.6 | BL enlarged | R: hypoplastic | N |
| 16 | 32 | F | R | BL CH | N | N | R: 4.4 L: 4.4 | R: 3.4 L: 3.8 | N | N | N |
| 17 | 9 | F | R | BL CH | R: LSCC fused with vestibule/L: N | R: LSCC fused with vestibule/L: LSCC hypoplastic | R: 3.1 L: 3.6 | R: - L: 1.2 mm | N | N | N |
| 18 | 5 | M | L | BL IP-2 | BL LSCC and vestibule formed a common cavity | BL LSCC and vestibule formed a common cavity | R: 4.2 L: 4.8 | - | N | R: hypoplastic | N |
| 19 | 12 | M | R | BL CH | R: enlarged/L: N | R: LSCC hypoplastic | R: 4.1 L: 4.1 | R: 0.8 L: 3.0 | N | N | N |
| L: N | |||||||||||
| 20 | 3 | F | L | BL CH | BL vestibule and SCCs formed a common cavity | BL vestibule and SCCs formed a common cavity | R: 3.1 L: 3.3 | - | N | R: hypoplastic | N |
| L: aplastic | |||||||||||
| 21 | 17 | M | L | BL CH | N | BL PSCC hypoplastic | R: 4.2 L: 4.6 | R: 5.1 L: 5.0 | R: enlarged | BL hypoplastic | R: N |
| L: N | L: stenosis | ||||||||||
| 22 | 2 | M | BL | BL IP3 | N | N | R: 3.8 L: 4.0 | R: 4.0 L: 4.5 | N | BL hypoplastic | N |
| 23 | 2 | F | R | R: IP-1 | R: hypoplastic/L: absent | R: hypoplastic (single bud) | - | - | R: N | R: N | R: N |
| L: absent | L: absent | L: absent | L: aplastic | L: absent | |||||||
| 24 | 2 | M | R | BL IP-1 | BL vestibule and LSCC formed a common cavity | BL vestibule and LSCC formed a common cavity/BL SSCC and PSCC enlarged | - | - | N | N | N |
| 25 | 4 | M | L | BL CH | N | N | R: 4.9 L: 4.5 | R: 3.2 L: 2.9 | N | N | N |
| 26 | 4 | M | R | BL IP-3 | N | N | R: 4.1 L: 4.0 | R: 4.5 L: 4.5 | N | N | N |
| 27 | 22 | F | R | N | N | BL LSCC hypoplastic | R: 4.7 L: 4.9 | R: 1.9 L: 2.1 | N | N | N |
| 28 | 2 | M | BL | BL CH | BL vestibule and SCCs formed a common cavity | BL vestibule and SCCs formed a common cavity | R: 3.5 L: 3.7 | - | N | N | N |
| 29 | 2 | F | R | BL IP-2 | N | N | R: 3.5 L: 3.5 | R: 3.5 L: 3.4 | N | N | N |
| Case No. | Age | Gender | Oval/Round Window Anomaly | Accompanying Anomalies |
|---|---|---|---|---|
| 1 | 2 | F | Bilateral oval window hypoplasia | Bilateral SCC and vestibular hypoplasia |
| 2 | 2 | F | Agenesis of oval and round windows and stapes in the left ear | Left sided LA and right sided IP-1. |
| 3 | 2 | E | Bilateral malformed oval and round windows | Bilateral IP-3, bilateral cochlear nerve hypoplasia |
| 4 | 4 | E | Bilateral malformed oval and round windows | Bilateral IP-3 |
| Case No. | Age | Gender | Intracranial Pathology | Accompanying Diseases |
|---|---|---|---|---|
| 1 | 25 | F | White matter hyperintensities | - |
| 2 | 1 | F | - | RTA |
| 3 | 2 | F | - | RTA |
| 4 | 4 | F | - | Microcephaly, ventricular septal defect, epilepsy, renal agenesis |
| 5 | 2 | M | - | Silver-Russel syndrome, microcephaly, epilepsy, inguinal hernia |
| 6 | 3 | F | - | Charge syndrome, left eye coloboma, cleft palate |
| 7 | 2 | F | - | Right eye primary hyperplastic vitreous, cleft palate |
| 8 | 1 | M | Arachnoid cyst in temporal lobe | - |
| 9 | 1 | F | - | Charge syndrome, esophageal atresia |
| 10 | 2 | M | Bilateral cortical atrophy of occipital lobes, white matter hyperintensities, enlargement of occipital horns of lateral ventricles (sequela of hypoglycemia), coarse calcifications in parietal white matter | Epilepsy, microcephaly, cerebral palsy |
| 11 | 1 | F | Thinning of the corpus callosum, white matter hyperintensities, bilateral enlargement of lateral ventricles, band heterotopia, bilateral lissencephaly, bilateral frontal and parietal polymicrogyria | Congenital CMV infection |
| 12 | 3 | F | - | Hirschprung disease, Waardenburg syndrome |
| 13 | 17 | M | Corpus callosum dysgenesis, falx cerebri agenesis, periventricular white matter hyperintensities | Cleft palate |
| 14 | 2 | M | - | Waardenburg syndrome |
| 15 | 4 | M | - | NMR |
| 16 | 3 | F | Arachnoid cyst in the left cerebellar hemisphere | NMR |
| 17 | 2 | M | Arachnoid cyst in the left temporal pole | - |
| 18 | 2 | M | Hydrocephalus, atrophy of corpus callosum, cerebellar vermis hypoplasia, hypomyelination | Tracheoesophageal fistula, patent ductus arteriosus |
| 19 | 4 | M | Arachnoid cyst in the right temporal pole | - |
Disclaimer/Publisher’s Note: The statements, opinions and data contained in all publications are solely those of the individual author(s) and contributor(s) and not of MDPI and/or the editor(s). MDPI and/or the editor(s) disclaim responsibility for any injury to people or property resulting from any ideas, methods, instructions or products referred to in the content. |
© 2024 by the authors. Licensee MDPI, Basel, Switzerland. This article is an open access article distributed under the terms and conditions of the Creative Commons Attribution (CC BY) license (https://creativecommons.org/licenses/by/4.0/).
Share and Cite
Şirolu, S.; Hamid, R.; Karagöz, S.H.; Kargın, O.A.; Salt, V.; Yener, S.; Kara, H.Ç.; Gözen, E.D.; Arslan, S.; Korkmazer, B.; et al. Radiological Perspectives in Congenital Sensorineural Hearing Loss: Insights from Cochlear Implant Candidates. J. Clin. Med. 2024, 13, 7664. https://doi.org/10.3390/jcm13247664
Şirolu S, Hamid R, Karagöz SH, Kargın OA, Salt V, Yener S, Kara HÇ, Gözen ED, Arslan S, Korkmazer B, et al. Radiological Perspectives in Congenital Sensorineural Hearing Loss: Insights from Cochlear Implant Candidates. Journal of Clinical Medicine. 2024; 13(24):7664. https://doi.org/10.3390/jcm13247664
Chicago/Turabian StyleŞirolu, Sabri, Rauf Hamid, Seyfullah Halit Karagöz, Osman Aykan Kargın, Vefa Salt, Sevda Yener, Halide Çetin Kara, Emine Deniz Gözen, Serdar Arslan, Bora Korkmazer, and et al. 2024. "Radiological Perspectives in Congenital Sensorineural Hearing Loss: Insights from Cochlear Implant Candidates" Journal of Clinical Medicine 13, no. 24: 7664. https://doi.org/10.3390/jcm13247664
APA StyleŞirolu, S., Hamid, R., Karagöz, S. H., Kargın, O. A., Salt, V., Yener, S., Kara, H. Ç., Gözen, E. D., Arslan, S., Korkmazer, B., Tutar, O., & Kızılkılıç, O. (2024). Radiological Perspectives in Congenital Sensorineural Hearing Loss: Insights from Cochlear Implant Candidates. Journal of Clinical Medicine, 13(24), 7664. https://doi.org/10.3390/jcm13247664

