Assessment of the Mandibular Osseous Architecture in Cleft Lip and Palate Using Fractal Dimension Analysis: A Pilot Study
Abstract
1. Introduction
2. Materials and Methods
2.1. Study Design, Ethics, and Consent
2.2. Sample, Groups, and Criteria
- Skeletal Class III (ANB: <0) with maxillary retrognathia (SNA: <80, A to N ⟂ < 0) and normal mandible (SNB: 80 ± 2);
- No history of trauma;
- No history of orthodontic treatment;
- No permanent tooth absence;
- No history of systemic bone disease;
- No pathology, dysfunction, or any other issues in the temporomandibular joint;
- Pre-peak growth and development stage (PP2=, MP3=);
- High-quality and high-resolution panoramic radiographs in tag image file format (TIFF).
- Skeletal Class III (ANB: <0) with maxillary retrognathia (SNA: <80, A to N ⟂ < 0) and normal mandible (SNB: 80 ± 2);
- Presence of complete CLP;
- No surgical procedures other than the initial lip and palate repair;
- No history of orthodontic treatment;
- No permanent tooth absence outside the cleft region;
- No history of systemic bone disease;
- No pathology, dysfunction, or any other issues in the temporomandibular joint;
- Pre-peak growth and development stage (PP2=, MP3=);
- High-quality and high-resolution panoramic radiographs in TIFF format.
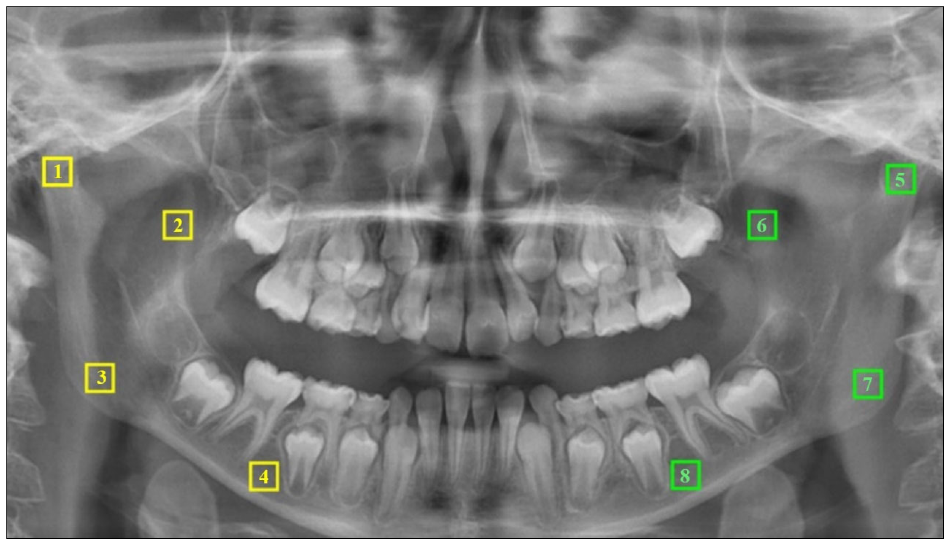
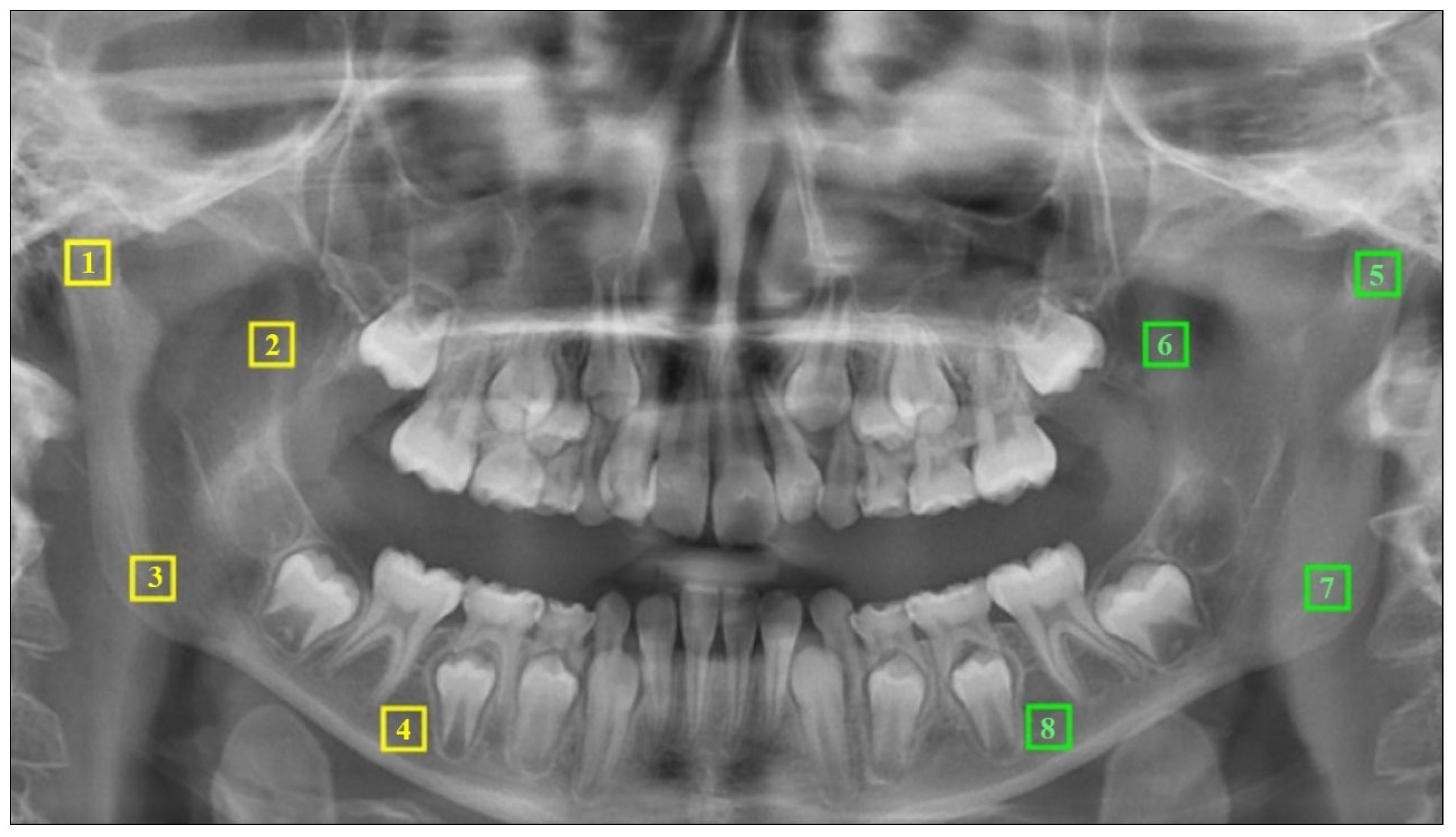
2.3. Radiographs and Cephalometric Measurements
2.4. Fractal Analysis
2.5. Statistical Analysis
3. Results
3.1. Intra-Group and Inter-Group Comparison Results by Measurement Regions
3.1.1. For Mandibular Condyle
3.1.2. For Mandibular Angulus
3.1.3. For Mandibular Corpus
3.1.4. For Mandibular Coronoid
3.2. Intra-Group Comparison Results of Different Regions in the Groups
3.2.1. For CG
3.2.2. For BCLP Group
3.2.3. For UCLP Group
4. Discussion
5. Conclusions
- The lower FD values observed in the condyle region of CLP patients emphasize reduced metabolic bone activity and the presence of more immatured bone formation. This finding aligns with the understanding that CLP impacts normal bone development, distinguishing it from the typical growth patterns seen in healthy individuals.
- The lower FD values observed in the corpus region of individuals with CLP highlight reduced bone development and delayed tooth eruption timing, likely due to decreased masticatory forces during intercuspal position and altered occlusal relationships. These findings further differentiate the bone growth patterns in CLP patients from those in healthy individuals.
- Finally, it was concluded that (i) the pattern of endochondral ossification of the condyle should be monitored in patients with CLP, and (ii) when treating CLP patients with facemasks, the distribution of orthopedic forces from the chin to the mandibular corpus and condyle should be taken into account, and the reduced trabeculation in these regions should be considered to ensure the continuity of normal mandibular growth and development.
Author Contributions
Funding
Institutional Review Board Statement
Informed Consent Statement
Data Availability Statement
Conflicts of Interest
References
- Ma, L.; Shi, B.; Zheng, Q. Targeted mutations of genes reveal important roles in palatal development in mice. Ann. Plast. Surg. 2015, 74, 263–268. [Google Scholar] [CrossRef] [PubMed]
- Tsichlaki, A.; O’brien, K.; Johal, A.; Fleming, P. A scoping review of outcomes related to orthodontic treatment measured in cleft lip and palate. Orthod. Craniofacial Res. 2017, 20, 55–64. [Google Scholar] [CrossRef] [PubMed]
- Cash, A.C. Orthodontic treatment in the management of cleft lip and palate. Front. Oral Biol. 2012, 16, 111–123. [Google Scholar] [PubMed]
- Kohli, S.S.; Kohli, V.S. A comprehensive review of the genetic basis of cleft lip and palate. J. Oral Maxillofac. Pathol. 2012, 16, 64–72. [Google Scholar] [CrossRef]
- Semer, N.B. Cleft Lip/Palate. In Practical Plastic Surgery for Nonsurgeons; Hanley & Belfus, Inc.: Philadelphia, PA, USA, 2001; pp. 235–243. [Google Scholar]
- Vyas, T.; Gupta, P.; Kumar, S.; Gupta, R.; Gupta, T.; Singh, H.P. Cleft of lip and palate: A review. J. Fam. Med. Prim. Care 2020, 9, 2621–2625. [Google Scholar] [CrossRef]
- Semb, G.; Shaw, W.C. Facial growth after different methods of surgical intervention in patients with cleft lip and palate. Acta Odontol. Scand. 1998, 56, 352–355. [Google Scholar]
- Woo, A.S. Evidence-based medicine: Cleft palate. Plast. Reconstr. Surg. 2017, 139, 191e–203e. [Google Scholar] [CrossRef]
- Corthouts, P.; Boels, F.; Van de Casteele, E.; Nadjmi, N. Effects of various surgical protocols on maxillofacial growth in patients with unilateral cleft lip and palate: A systematic review. Plast. Aesthet. Res. 2020, 7, 46. [Google Scholar] [CrossRef]
- Hattori, Y.; Pai, B.C.-J.; Saito, T.; Chou, P.-Y.; Lu, T.-C.; Chang, C.-S.; Chen, Y.-R.; Lo, L.-J. Long-term treatment outcome of patients with complete bilateral cleft lip and palate: A retrospective cohort study. Int. J. Surg. 2023, 109, 1656–1667. [Google Scholar] [CrossRef]
- Palikaraki, G.; Makrygiannakis, M.A.; Zafeiriadis, A.A.; Benetou, V.; Sanoudos, M.; Bitsanis, I.; Tsolakis, A.I. The effect of facemask in patients with unilateral cleft lip and palate: A systematic review and meta-analysis. Eur. J. Orthod. 2021, 43, 69–79. [Google Scholar] [CrossRef]
- da Silva Filho, O.G.; Normando, A.D.C.; Capelozza Filho, L. Mandibular growth in patients with cleft lip and/or cleft palate—The influence of cleft type. Am. J. Orthod. Dentofac. Orthop. 1993, 104, 269–275. [Google Scholar] [CrossRef] [PubMed]
- Liberton, D.K.; Verma, P.; Almpani, K.; Fung, P.W.; Mishra, R.; Oberoi, S.; Şenel, F.Ç.; Mah, J.K.; Huang, J.; Padwa, B.L. Craniofacial analysis may indicate co-occurrence of skeletal malocclusions and associated risks in development of cleft lip and palate. J. Dev. Biol. 2020, 8, 2. [Google Scholar] [CrossRef] [PubMed]
- Lisson, J.A.; Hanke, I.; Tränkmann, J. Changes of vertical skeletal morphology in patients with complete unilateral and bilateral cleft lip and palate. Cleft Palate-Craniofacial J. 2005, 42, 490–494. [Google Scholar] [CrossRef] [PubMed]
- Öztürk, Y.; Cura, N. Examination of craniofacial morphology in children with unilateral cleft lip and palate. Cleft Palate-Craniofacial J. 1996, 33, 32–36. [Google Scholar] [CrossRef] [PubMed]
- da Silva Filho, O.G.; de Cássia Moura Carvalho Lauris, R.; Filho, L.C.; Semb, G. Craniofacial morphology in adult patients with unoperated complete bilateral cleft lip and palate. Cleft Palate-Craniofacial J. 1998, 35, 111–119. [Google Scholar] [CrossRef] [PubMed]
- Kyrkanides, S.; Klambani, M.; Subtelny, J.D. Cranial base and facial skeleton asymmetries in individuals with unilateral cleft lip and palate. Cleft Palate-Craniofacial J. 2000, 37, 556–561. [Google Scholar] [CrossRef]
- Kyrkanides, S.; Richter, L. Mandibular asymmetry and antigonial notching in individuals with unilateral cleft lip and palate. Cleft Palate-Craniofacial J. 2002, 39, 30–35. [Google Scholar] [CrossRef]
- Arsan, B.; Köse, T.E.; Çene, E.; Özcan, İ. Assessment of the trabecular structure of mandibular condyles in patients with temporomandibular disorders using fractal analysis. Oral Surg. Oral Med. Oral Pathol. Oral Radiol. 2017, 123, 382–391. [Google Scholar] [CrossRef]
- Köse, E.; Ay Ünüvar, Y.; Uzun, M. Assessment of the relationship between fractal analysis of mandibular bone and orthodontic treatment duration: A retrospective study. J. Orofac. Orthop. 2022, 83 (Suppl. S1), 102–110. [Google Scholar] [CrossRef]
- Cicek, O.; Arslan, D. Effect of Fixed and Removable Functional Therapy on Mandibular Anterior Bone Structures: A Fractal Analysis Study. Diagnostics 2024, 14, 1713. [Google Scholar] [CrossRef]
- Çiçek, O.; Özden, S.; Arslan, D. Evaluation of Trabecular Changes Using Fractal Analysis After Orthodontic Treatment for Congenital Maxillary Lateral Incisor Missing with Space Opening and Closure Methods. Med. J. West. Black Sea 2024, 8, 43–51. [Google Scholar] [CrossRef]
- Amuk, M.; Gul Amuk, N.; Yılmaz, S. Treatment and posttreatment effects of Herbst appliance therapy on trabecular structure of the mandible using fractal dimension analysis. Eur. J. Orthod. 2022, 44, 125–133. [Google Scholar] [CrossRef] [PubMed]
- Shrout, M.K.; Roberson, B.; Potter, B.J.; Mailhot, J.M.; Hildebolt, C.F. A comparison of 2 patient populations using fractal analysis. J. Periodontol. 1998, 69, 9–13. [Google Scholar] [CrossRef]
- de Oliveira, C.d.N.A.; Barra, S.G.; Abreu, L.G.; Machado, V.C.; Pinheiro, J.d.J.V.; Henriques, J.A.S.; Castro, W.H.; Brasileiro, C.B.; Mesquita, R.A. Fractal analysis of fibrous dysplasia and ossifying fibroma in 2D and 3D CBCT images. J. Oral Maxillofac. Surg. Med. Pathol. 2022, 34, 791–799. [Google Scholar]
- Demirbaş, A.K.; Ergün, S.; Güneri, P.; Aktener, B.O.; Boyacıoğlu, H. Mandibular bone changes in sickle cell anemia: Fractal analysis. Oral Surg. Oral Med. Oral Pathol. Oral Radiol. Endod. 2008, 106, e41–e48. [Google Scholar] [CrossRef]
- Zeytinoğlu, M.; İlhan, B.; Dündar, N.; Boyacioğlu, H. Fractal analysis for the assessment of trabecular peri-implant alveolar bone using panoramic radiographs. Clin. Oral Investig. 2015, 19, 519–524. [Google Scholar] [CrossRef] [PubMed]
- Korkmaz, Y.N.; Arslan, S. Evaluation of the trabecular structure of the mandibular condyles by fractal analysis in patients with different dentofacial skeletal patterns. Aust. Orthod. J. 2021, 37, 93–99. [Google Scholar] [CrossRef]
- Gulec, M.; Tassoker, M.; Ozcan, S.; Orhan, K. Evaluation of the mandibular trabecular bone in patients with bruxism using fractal analysis. Oral Radiol. 2021, 37, 36–45. [Google Scholar] [CrossRef]
- Coşgunarslan, A.; Canger, E.M.; Soydan Çabuk, D.; Kış, H.C. The evaluation of the mandibular bone structure changes related to lactation with fractal analysis. Oral Radiol. 2020, 36, 238–247. [Google Scholar] [CrossRef]
- Fazzalari, N.; Parkinson, I. Fractal properties of subchondral cancellous bone in severe osteoarthritis of the hip. J. Bone Miner. Res. 1997, 12, 632–640. [Google Scholar] [CrossRef]
- Jolley, L.; Majumdar, S.; Kapila, S. Technical factors in fractal analysis of periapical radiographs. Dentomaxillofacial Radiol. 2006, 35, 393–397. [Google Scholar] [CrossRef] [PubMed]
- Yasar, F.; Akgunlu, F. Fractal dimension and lacunarity analysis of dental radiographs. Dentomaxillofacial Radiol. 2005, 34, 261–267. [Google Scholar] [CrossRef] [PubMed]
- Korkmaz, Y.N.; Akbulut, S.; Bayrak, S. Comparison of the effects of removable functional appliance therapy applied in pubertal and postpubertal periods: A retrospective cephalometric and fractal analyses study. Am. J. Orthod. Dentofac. Orthop. 2023, 163, 700–709. [Google Scholar] [CrossRef] [PubMed]
- Cesur, E.; Orhan, K. Applications of contemporary imaging modalities in orthodontics. J. Exp. Clin. Med. 2021, 38, 104–112. [Google Scholar] [CrossRef]
- Proffit, W.R.; Fields, H.; Larson, B.; Sarver, D.M. Contemporary Orthodontics, 6th ed.; Elsevier: Maryland Heights, MO, USA, 2019. [Google Scholar]
- White, S.C.; Rudolph, D.J. Alterations of the trabecular pattern of the jaws in patients with osteoporosis. Oral Surg. Oral Med. Oral Pathol. Oral Radiol. Endod. 1999, 88, 628–635. [Google Scholar] [CrossRef]
- Hildebrand, T.; Rüegsegger, P. Quantification of bone microarchitecture with the structure model index. Comput. Methods Biomech. Biomed. Engin 1997, 1, 15–23. [Google Scholar] [CrossRef]
- Majumdar, S.; Genant, H.; Grampp, S.; Newitt, D.; Truong, V.H.; Lin, J.; Mathur, A. Correlation of trabecular bone structure with age, bone mineral density, and osteoporotic status: In vivo studies in the distal radius using high resolution magnetic resonance imaging. J. Bone Miner. Res. 1997, 12, 111–118. [Google Scholar] [CrossRef] [PubMed]
- Parfitt, A.M.; Drezner, M.K.; Glorieux, F.H.; Kanis, J.A.; Malluche, H.; Meunier, P.J.; Ott, S.M.; Recker, R.R. Bone histomorphometry: Standardization of nomenclature, symbols, and units: Report of the ASBMR Histomorphometry Nomenclature Committee. J. Bone Miner. Res. 1987, 2, 595–610. [Google Scholar] [CrossRef]
- Blake, G.M.; Fogelman, I. The role of DXA bone density scans in the diagnosis and treatment of osteoporosis. Postgrad. Med. J. 2007, 83, 509–517. [Google Scholar] [CrossRef]
- Ling, H.; Yang, X.; Li, P.; Megalooikonomou, V.; Xu, Y.; Yang, J. Cross gender–age trabecular texture analysis in cone beam CT. Dentomaxillofac Radiol. 2014, 43, 20130324. [Google Scholar] [CrossRef]
- Van Rietbergen, B.; Huiskes, R.; Eckstein, F.; Rüegsegger, P. Trabecular bone tissue strains in the healthy and osteoporotic human femur. J. Bone Miner. Res. 2003, 18, 1781–1788. [Google Scholar] [CrossRef] [PubMed]
- Ravichandran, R.; Elangovan, N.A.; Krishnan, R.; Dominic, S.; Thayalan, D.K.; Ponsingh, S. Fractal dimensions in oral squamous cell carcinoma: A novel diagnostic paradigm. Oral Oncol. Rep. 2024, 10, 100374. [Google Scholar] [CrossRef]
- Jurczyszyn, K.; Kubasiewicz-Ross, P.; Nawrot-Hadzik, I.; Gedrange, T.; Dominiak, M.; Hadzik, J. Fractal dimension analysis a supplementary mathematical method for bone defect regeneration measurement. Ann. Anat. 2018, 219, 83–88. [Google Scholar] [CrossRef] [PubMed]
- Iezzi, G.; Aprile, G.; Tripodi, D.; Scarano, A.; Piattelli, A.; Perrotti, V. Implant surface topographies analyzed using fractal dimension. Implant. Dent. 2011, 20, 131–138. [Google Scholar] [CrossRef] [PubMed]
- Kayipmaz, S.; Akçay, S.; Sezgin, Ö.S.; Çandirli, C. Trabecular structural changes in the mandibular condyle caused by degenerative osteoarthritis: A comparative study by cone-beam computed tomography imaging. Oral Radiol. 2019, 35, 51–58. [Google Scholar] [CrossRef] [PubMed]
- Huang, C.; Chen, J.; Chang, Y.; Jeng, J.; Chen, C. A fractal dimensional approach to successful evaluation of apical healing. Int. Endod. J. 2013, 46, 523–529. [Google Scholar] [CrossRef]
- Akan, B.; Ünlü Kurşun, B. Structural changes in the trabecular bone of the mandibular condyle of growing patients with sagittal jaw discrepancy treated with the twin-block appliance. Orthod. Craniofacial Res. 2022, 25, 142–149. [Google Scholar] [CrossRef]
- Akbulut, S.; Bayrak, S.; Korkmaz, Y.N. Prediction of rapid palatal expansion success via fractal analysis in hand-wrist radiographs. Am. J. Orthod. Dentofac. Orthop. 2020, 158, 192–198. [Google Scholar] [CrossRef]
- Göller Bulut, D.; Bayrak, S.; Uyeturk, U.; Ankarali, H. Mandibular indexes and fractal properties on the panoramic radiographs of the patients using aromatase inhibitors. Br. J. Radiol. 2018, 91, 20180442. [Google Scholar] [CrossRef]
- Tercanlı, H.; Gümüş, E.B. Evaluation of mandibular trabecular bone structure in growing children with Class I, II, and III malocclusions using fractal analysis: A retrospective study. Int. Orthod. 2024, 22, 100875. [Google Scholar] [CrossRef]
- Afzoon, S.; Ghorbani, F.; Hasani, M. Evaluation of the mandibular condyles trabecular structure in patients with severe class III pattern: A computed tomography (CT) fractal analysis study. Sci. Rep. 2023, 13, 18183. [Google Scholar] [CrossRef] [PubMed]
- Feltrin, G.P.; Stramare, R.; Miotto, D.; Giacomini, D.; Saccavini, C. Bone fractal analysis. Curr. Osteoporos. Rep. 2004, 2, 53–58. [Google Scholar] [CrossRef] [PubMed]
- Grampp, S.; Link, T.; Kothari, M.; Newitt, D.; Felsenberg, D.; Majumdar, S. Fractal analysis of proximal femur radiographs: Correlation with biomechanical properties and bone mineral density. Osteoporos. Int. 1999, 9, 516–524. [Google Scholar] [CrossRef]
- Mosekilde, L.; Ebbesen, E.N.; Tornvig, L.; Thomsen, J.S. Trabecular bone structure and strength-remodelling and repair. J. Musculoskelet. Neuronal Interact. 2000, 1, 25–30. [Google Scholar] [PubMed]
- Nussi, A.D.; de Castro Lopes, S.L.P.; De Rosa, C.S.; Gomes, J.P.P.; Ogawa, C.M.; Braz-Silva, P.H.; Costa, A.L.F. In vivo study of cone beam computed tomography texture analysis of mandibular condyle and its correlation with gender and age. Oral Radiol. 2023, 39, 191–197. [Google Scholar] [CrossRef]
- Schubert, A.; Jäger, F.; Maltha, J.C.; Bartzela, T.N. Age effect on orthodontic tooth movement rate and the composition of gingival crevicular fluid. J. Orofac. Orthop. 2020, 81, 113–125. [Google Scholar] [CrossRef]
- Nesterova, I.; Mitropanova, M.; Chudilova, G.; Lomtatidze, L. Osteocalcin and regulatory cytokine imbalance in children with congenital cleft lip and palate. Immunol. Med. 2020, 43, 130–134. [Google Scholar] [CrossRef]
- Hozyasz, K.K.; Oltarzewski, M.; Dudkiewicz, Z. Malonylcarnitine in newborns with non-syndromic cleft lip with or without cleft palate. Int. J. Oral Sci. 2010, 2, 136–141. [Google Scholar] [CrossRef] [PubMed][Green Version]
- Jena, A.K.; Singh, S.P.; Utreja, A.K. Effects of sagittal maxillary growth hypoplasia severity on mandibular asymmetry in unilateral cleft lip and palate subjects. Angle Orthod. 2011, 81, 872–877. [Google Scholar] [CrossRef] [PubMed]
- Van Dyck, J.; de Llano-Pérula, M.C.; Willems, G.; Verdonck, A. Dental development in cleft lip and palate patients: A systematic review. Forensic Sci. Int. 2019, 300, 63–74. [Google Scholar] [CrossRef]
- Van Dyck, J.; Begnoni, G.; Willems, G.; Laenen, A.; Thevissen, P.; Verdonck, A.; Cadenas de Llano-Perula, M. Dental development in patients with and without unilateral cleft lip and palate (UCLP): A case control study. Clin. Oral Investig. 2021, 25, 2619–2631. [Google Scholar] [CrossRef] [PubMed]
- Hermann, N.V.; Darvann, T.A.; Kreiborg, S. Delayed maturation and reduced crown width of the permanent first mandibular molar in all subgroups of cleft lip and palate. Orthod. Craniofacial Res. 2020, 23, 432–438. [Google Scholar] [CrossRef] [PubMed]
- Li, W.; Lin, J.; Fu, M. Electromyographic investigation of masticatory muscles in unilateral cleft lip and palate patients with anterior crossbite. Cleft Palate-Craniofacial J. 1998, 35, 415–418. [Google Scholar] [CrossRef] [PubMed]






| Parameter | Definition |
|---|---|
| SNA | The angle between the sella-nasion and nasion A point line, for the anteroposterior position of the maxilla to the cranial base. |
| SNB | The angle between the sella-nasion and nasion B point line, for the anteroposterior position of the mandible to the cranial base. |
| ANB | The angle between the nasion A point and the nasion B point line, anteroposterior position of the maxilla and mandible relative to each other. |
| A to N ⟂ | The sagittal distance between the nasion perpendicular line and the vertical projection of point A onto this line. |
| Wits Appraisal | The sagittal distance between the projections of the perpendiculars drawn from points A and B to the functional occlusal plane. |
| CG a | BCLP b | UCLP c | p | ||
|---|---|---|---|---|---|
| Age (year) | Mean ± SD | 10.11 ± 1.37 | 9.81 ± 1.45 | 9.26 ± 1.59 | 0.066 K |
| Gender | Female, n (%) | 11 (52) | 7 (33) | 9 (43) | 0.332 χ2 |
| Male, n (%) | 10 (48) | 14 (67) | 12 (57) | ||
| SNA (°) | Mean ± SD | 79.01 ± 4.11 b.c | 75.05 ± 3.6 | 76.31 ± 2.17 | 0.001 * K |
| SNB (°) | Mean ± SD | 81.71 ± 4.66 | 79.01 ± 3.23 | 80.24 ± 2.49 | 0.057 A |
| ANB (°) | Mean ± SD | −2.8 ± 1.61 | −3.97 ± 1.59 | −3.97 ± 2.42 | 0.103 K |
| A to N ⟂ (mm) | Mean ± SD | −1.5 ± 3.2 | −2.69 ± 3.75 | −2.37 ± 3.01 | 0.56 K |
| Wits Appraisal (mm) | Mean ± SD | −5.92 ± 3.37 | −5.12 ± 2.09 | −4.67 ± 3.08 | 0.372 A |
| CG a | BCLP b | UCLP c | p | |||
|---|---|---|---|---|---|---|
| Condyle | Right | Mean ± SD | 1.387 ± 0.034 | 1.332 ± 0.055 a,c | 1.379 ± 0.057 | 0.001 * A |
| Left | Mean ± SD | 1.389 ± 0.36 b,c | 1.33 ± 0.058 | 1.336 ± 0.066 | 0.001 * K | |
| Intra-group difference p | 0.712 P | 0.945 W | 0.009 * P | |||
| Angulus | Right | Mean ± SD | 1.34 ± 0.034 | 1.345 ± 0.069 | 1.335 ± 0.07 | 0.848 A |
| Left | Mean ± SD | 1.34 ± 0.038 | 1.34 ± 0.086 | 1.34 ± 0.073 | 0.993 A | |
| Intra-group difference p | 0.924 P | 0.917 W | 0.846 P | |||
| Corpus | Right | Mean ± SD | 1.376 ± 0.037 | 1.357 ± 0.073 | 1.395 ± 0.07 | 0.137 A |
| Left | Mean ± SD | 1.381 ± 0.034 | 1.358 ± 0.07 | 1.351 ± 0.053 | 0.188 A | |
| Intra-group difference p | 0.283 P | 0.951 P | 0.006 * P | |||
| Coronoid | Right | Mean ± SD | 1.326 ± 0.036 | 1.318 ± 0.047 | 1.321 ± 0.051 | 0.858 A |
| Left | Mean ± SD | 1.325 ± 0.039 | 1.316 ± 0.063 | 1.317 ± 0.054 | 0.834 A | |
| Intra-group difference p | 0.922 P | 0.83 P | 0.779 P |
| Condyle a | Angulus b | Corpus c | Coronoid d | p | |||
|---|---|---|---|---|---|---|---|
| For CG | Right | Mean ± SD | 1.387 ± 0.034 b,d | 1.34 ± 0.034 | 1.376 ± 0.037 b,d | 1.326 ± 0.036 | <0.001 * A |
| Left | Mean ± SD | 1.389 ± 0.36 b,d | 1.34 ± 0.038 | 1.381 ± 0.034 b,d | 1.325 ± 0.039 | <0.001 * A | |
| For BCLP | Right | Mean ± SD | 1.332 ± 0.055 | 1.345 ± 0.069 | 1.357 ± 0.073 | 1.318 ± 0.047 | 0.216 A |
| Left | Mean ± SD | 1.33 ± 0.058 | 1.34 ± 0.086 | 1.358 ± 0.07 | 1.316 ± 0.063 | 0.268 A | |
| For UCLP | Right | Mean ± SD | 1.379 ± 0.057 b,d | 1.335 ± 0.07 | 1.395 ± 0.07 b,d | 1.321 ± 0.051 | <0.001 * A |
| Left | Mean ± SD | 1.336 ± 0.066 | 1.34 ± 0.073 | 1.351 ± 0.053 | 1.317 ± 0.054 | 0.306 K |
Disclaimer/Publisher’s Note: The statements, opinions and data contained in all publications are solely those of the individual author(s) and contributor(s) and not of MDPI and/or the editor(s). MDPI and/or the editor(s) disclaim responsibility for any injury to people or property resulting from any ideas, methods, instructions or products referred to in the content. |
© 2024 by the authors. Licensee MDPI, Basel, Switzerland. This article is an open access article distributed under the terms and conditions of the Creative Commons Attribution (CC BY) license (https://creativecommons.org/licenses/by/4.0/).
Share and Cite
Özden, S.; Cicek, O. Assessment of the Mandibular Osseous Architecture in Cleft Lip and Palate Using Fractal Dimension Analysis: A Pilot Study. J. Clin. Med. 2024, 13, 7334. https://doi.org/10.3390/jcm13237334
Özden S, Cicek O. Assessment of the Mandibular Osseous Architecture in Cleft Lip and Palate Using Fractal Dimension Analysis: A Pilot Study. Journal of Clinical Medicine. 2024; 13(23):7334. https://doi.org/10.3390/jcm13237334
Chicago/Turabian StyleÖzden, Samet, and Orhan Cicek. 2024. "Assessment of the Mandibular Osseous Architecture in Cleft Lip and Palate Using Fractal Dimension Analysis: A Pilot Study" Journal of Clinical Medicine 13, no. 23: 7334. https://doi.org/10.3390/jcm13237334
APA StyleÖzden, S., & Cicek, O. (2024). Assessment of the Mandibular Osseous Architecture in Cleft Lip and Palate Using Fractal Dimension Analysis: A Pilot Study. Journal of Clinical Medicine, 13(23), 7334. https://doi.org/10.3390/jcm13237334

