A Rare Case of Peripheral Osteoma of the Alveolar Bone of the Maxilla in a 13-Year-Old Boy
Abstract
1. Introduction
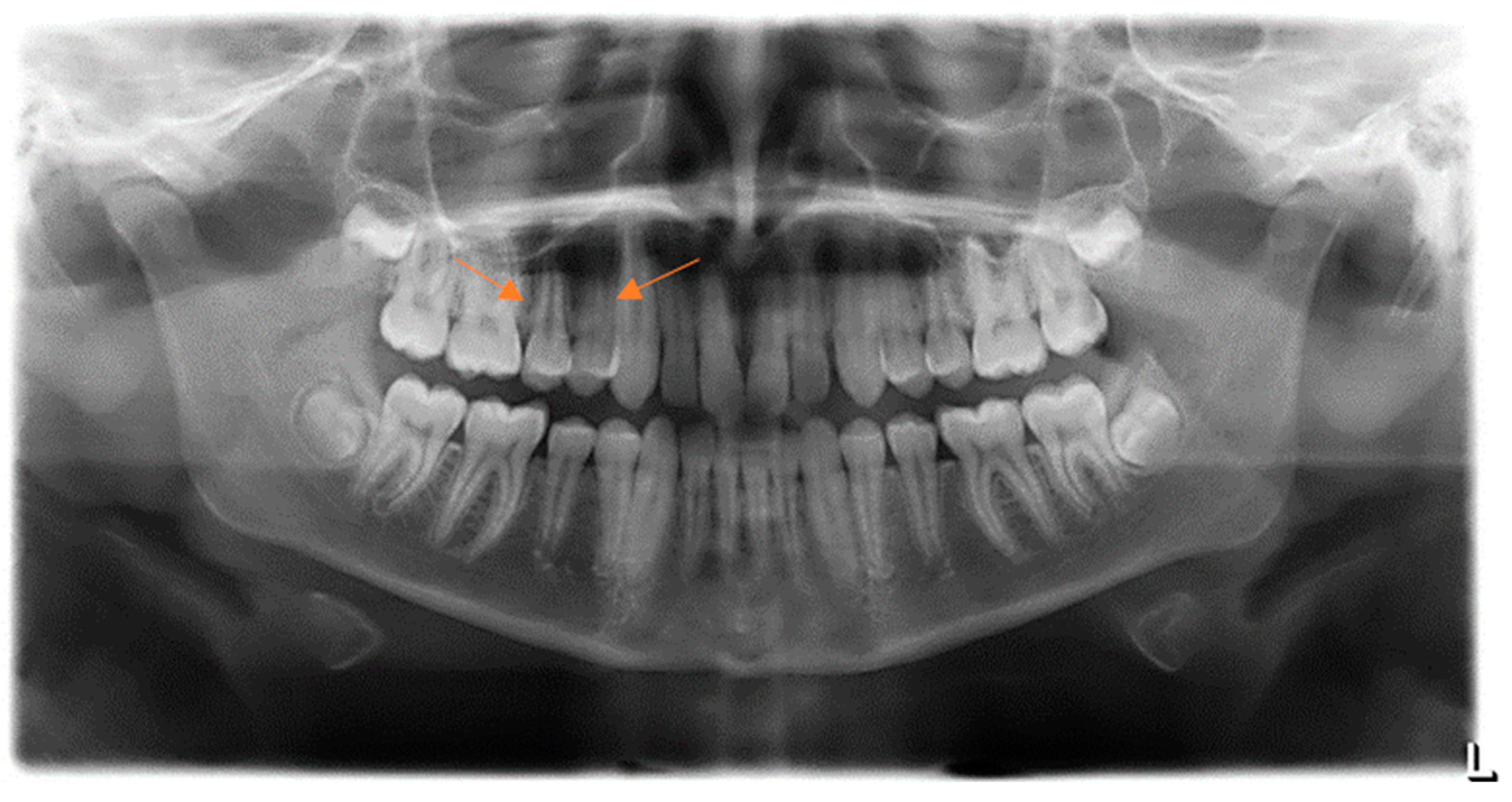
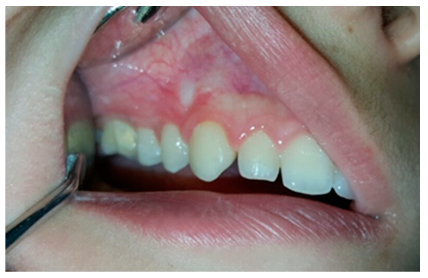
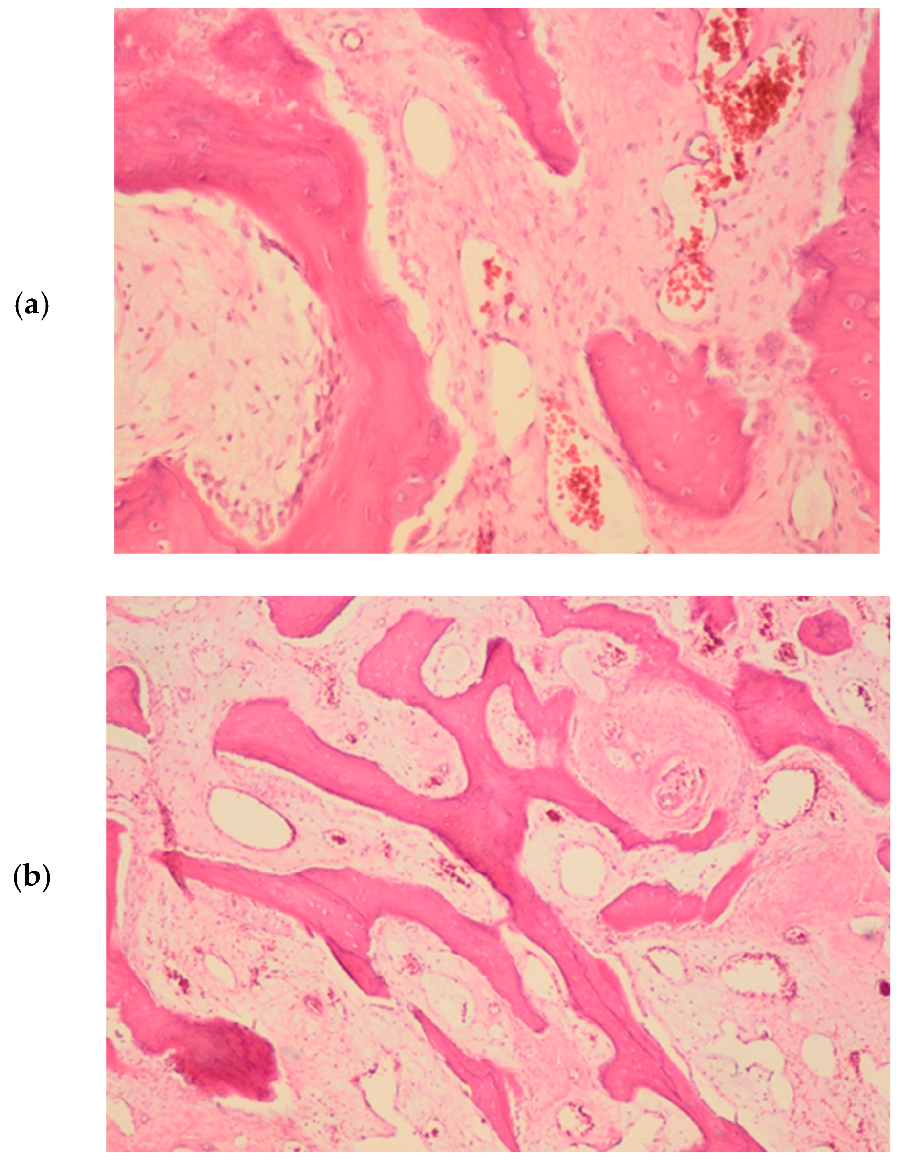
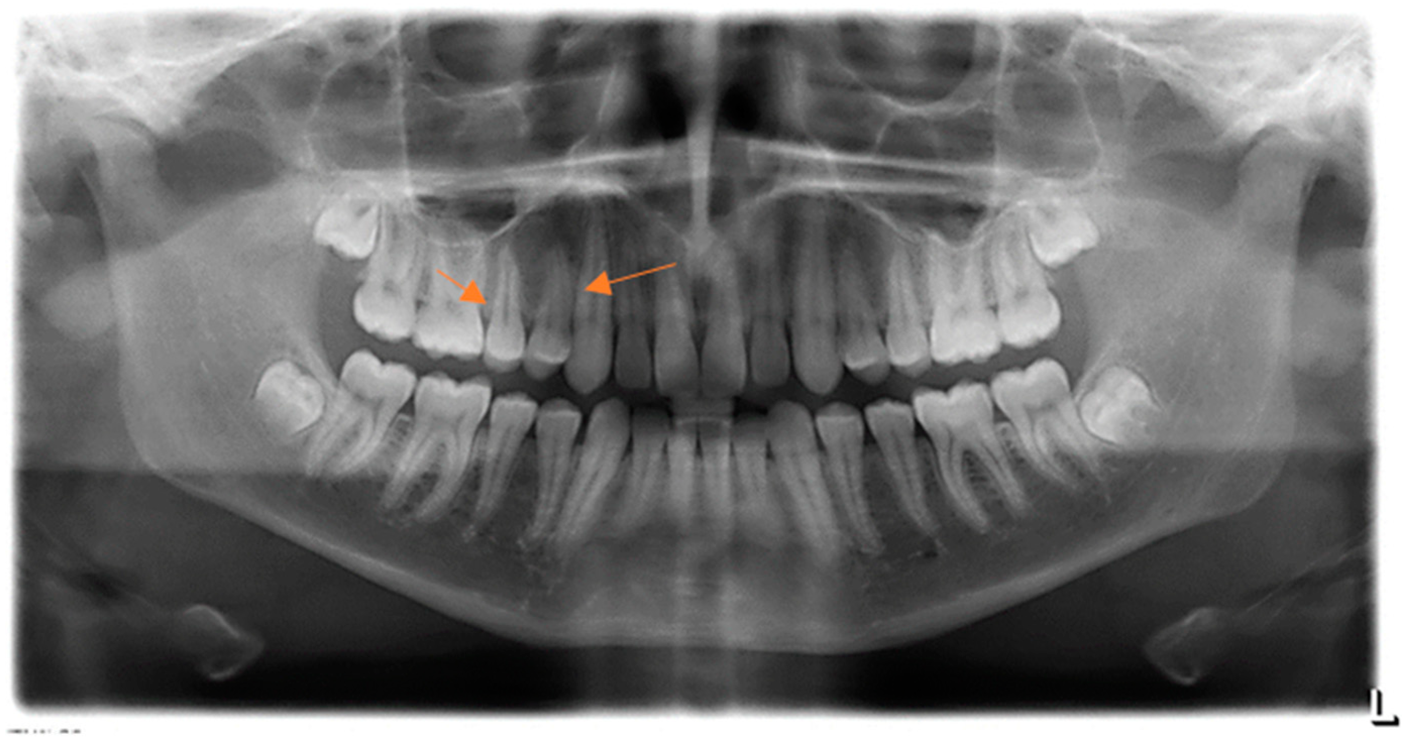
2. Case Presentation
3. Discussion
4. Conclusions
Author Contributions
Funding
Institutional Review Board Statement
Informed Consent Statement
Data Availability Statement
Acknowledgments
Conflicts of Interest
References
- Tarsitano, A.; Ricotta, F.; Spinnato, P.; Chiesa, A.M.; Di Carlo, M.; Parmeggiani, A.; Miceli, M.; Facchini, G. Craniofacial Osteomas: From Diagnosis to Therapy. J. Clin. Med. 2021, 10, 5584. [Google Scholar] [CrossRef] [PubMed]
- Larrea-Oyarbide, N.; Valmaseda-Castellón, E.; Berini-Aytés, L.; Gay-Escoda, C. Osteomas of the Craniofacial Region. J. Oral. Pathol. Med. 2008, 37, 38–42. [Google Scholar] [CrossRef] [PubMed]
- Boffano, P.; Roccia, F.; Campisi, P.; Gallesio, C. Review of 43 Osteomas of the Craniomaxillofacial Region. J. Oral. Maxillofac. Surg. 2012, 70, 1093–1095. [Google Scholar] [CrossRef] [PubMed]
- Dell’Aversana Orabona, G.; Salzano, G.; Iaconetta, G.; Piombino, P.; Ponzo, L.; Santella, A.; Astarita, F.; Solari, D.; Salzano, F.A.; Califano, L. Facial Osteomas: Fourteen Cases and a Review of Literature. Eur. Rev. Med. Pharmacol. Sci. 2015, 19, 1796–1802. [Google Scholar] [PubMed]
- Sayan, N.B.; Uçok, C.; Karasu, H.A.; Günhan, O. Peripheral Osteoma of the Oral and Maxillofacial Region: A Study of 35 New Cases. J. Oral. Maxillofac. Surg. 2002, 60, 1299–1301. [Google Scholar] [CrossRef]
- Kaplan, I.; Calderon, S.; Buchner, A. Peripheral osteoma of the mandible: A study of 10 new cases and analysis of the literature. J. Oral. Maxillofac. Surg. 1994, 52, 467–470. [Google Scholar] [CrossRef]
- Khandelwal, P.; Dhupar, V.; Akkara, F. Unusually large peripheral osteoma of the mandible—A rare case report. J. Clin. Diagn. Res. 2016, 10, 11–12. [Google Scholar] [CrossRef]
- Gundewar, S.; Kothari, D.S.; Mokal, N.J.; Ghalme, A. Osteomas of the craniofacial region: A case series and re-view of literature. Indian J. Plast. Surg. 2013, 46, 479–485. [Google Scholar] [CrossRef]
- Seward, M.H. An osteoma of the maxilla. Br. Dent. J. 1965, 118, 27–30. [Google Scholar]
- Woldenberg, Y.; Nash, M.; Bodner, L. Peripheral osteoma of the maxillofacial region. Diagnosis and management: A study of 14 cases. Med. Oral. Patol. Oral. Cir. Bucal 2005, 10 (Suppl. 2), E139–E142. [Google Scholar]
- Nah, K.S. Osteomas of the craniofacial region. Imaging Sci. Dent. 2011, 41, 107–113. [Google Scholar] [CrossRef] [PubMed]
- de França, T.R.; Gueiros, L.A.; de Castro, J.F.; Catunda, I.; Leão, J.C.; da Cruz Perez, D.E. Solitary peripheral osteomas of the jaws. Imaging Sci. Dent. 2012, 42, 99–103. [Google Scholar] [CrossRef] [PubMed]
- Iatrou, I.A.; Leventis, M.D.; Dais, P.E.; Tosios, K.I. Peripheral osteoma of the maxillary alveolar process. J. Craniofacial Surg. 2007, 18, 1169–1173. [Google Scholar] [CrossRef] [PubMed]
- Prabhuji, M.L.; Kishore, H.C.; Sethna, G.; Moghe, A.G. Peripheral osteoma of the hard palate. J. Indian Soc. Periodontol. 2012, 16, 134–137. [Google Scholar] [CrossRef] [PubMed]
- Shiradhonkar, A.; Jangid, M.; Tito, V.K.; Humne, R.; Khan, S. An uncommon case of peripheral osteoma of the maxilla: A case report. Cureus 2023, 15, e33437. [Google Scholar] [CrossRef] [PubMed]
- Omezzine, M.; Oualha, L.; Khochtal, H. Ostéome périphérique sur le procès alvéolaire maxillaire. Med. Biol. Clin. 2011, 25, 215–225. [Google Scholar] [CrossRef][Green Version]
- Ramoglu, M.; Yanik, S.; Bozdag, Z.; Aras, M.H. Peripheral osteoma of the hard palate: A rare case report and literature review. J. Istanb. Univ. Fac. Dent. 2016, 50, 43–48. [Google Scholar] [CrossRef]
- Hu, W.; Thadani, S.; Agrawal, M.; Sharma, N.; Tailor, S. Peripheral osteoma of the palate: Report of a case and review of literature. J. Clin. Diagn. Res. 2014, 8, ZD29–ZD31. [Google Scholar] [CrossRef]
- Weiss, R.; Read-Fuller, A. Cone beam computed tomography in oral and maxillofacial surgery: An evidence-based review. Dent. J. 2019, 7, 52. [Google Scholar] [CrossRef]
- Becker, M.; Stefanelli, S.; Rougemont, A.L.; Poletti, P.A.; Merlini, L. Non-odontogenic tumors of the facial bones in children and adolescents: Role of multiparametric imaging. Neuroradiology 2017, 59, 327–342. [Google Scholar] [CrossRef] [PubMed] [PubMed Central]
- Cawson, R.A.; Odell, E.W.; Porter, S. Cawson’s Essentials of Oral Pathology and Oral Medicine, 7th ed.; Churchill Livingstone: London, UK, 2002. [Google Scholar]
- D’Agostino, S.; Dell’Olio, F.; Tempesta, A.; Cervinara, F.; D’Amati, A.; Dolci, M.; Favia, G.; Capodiferro, S.; Limongelli, L. Osteoma of the jaw as first clinical sign of Gardner’s syndrome: The experience of two Italian centers and review. J. Clin. Med. 2023, 12, 1496. [Google Scholar] [CrossRef] [PubMed]
- Wexell, C.L.; Bergenblock, S.; Kovács, A. A case report on Gardner syndrome with dental implant treatment and a long-term follow-up. J. Oral Maxillofac. Surg. 2019, 77, 1617–1627. [Google Scholar] [CrossRef] [PubMed]
- World Health Organization. International Classification of Diseases; 11th Revision (ICD-11): Diseases of Oral Cavity, Salivary Glands, and Jaws (DA00-DA0Z); World Health Organization: Geneva, Switzerland, 2019; Available online: https://icd.who.int/ (accessed on 1 September 2024).
- Fattahi, F.; Khajavi, A.; Moharamzadeh, K.; Dastjerdi, M.S.; Ranjbar, K. Benign pediatric jawbone lesions: A 10-year clinical and radiological pilot study. Children 2023, 10, 335. [Google Scholar] [CrossRef] [PubMed]
- Dalambiras, S.; Boutsioukis, C.; Tilaveridis, I. Peripheral osteoma of the maxilla: Report of an unusual case. Oral. Surg. Oral. Med. Oral. Pathol. Oral. Radiol. Endod. 2005, 100, e19–e24. [Google Scholar] [CrossRef] [PubMed]
- Zhang, J.; Troulis, M.J.; August, M. Diagnosis and Treatment of Pediatric Primary Jaw Lesions at Massachusetts General Hospital. J. Oral Maxillofac. Surg. 2021, 79, 585–597. [Google Scholar] [CrossRef]
- Çubuk, S.; Çolak, M.Y. A retrospective analysis of benign pediatric jaw lesions according to new World Health Organization classification. J. Craniomaxillofac. Surg. 2022, 50, 523–531. [Google Scholar] [CrossRef] [PubMed]
- Varboncoeur, A.P.; Vanbelois, H.J.; Bowen, L.L. Osteoma of the Maxillary Sinus. J. Oral. Maxillofac. Surg. 1990, 48, 882–883. [Google Scholar] [CrossRef]
- Cutilli, B.J.; Quinn, P.D. Traumatically induced peripheral osteoma. Report of a case. Oral. Surg. Oral. Med. Oral. Pathol. 1992, 73, 667–669. [Google Scholar] [CrossRef]
- Geron, A.B.G.; Carvalho, V.A.; Santos, J.L.D.; Almeida, L.Y.; León, J.E.; Trivellato, A.E.; Sverzut, C.E. Surgical Management of Traumatic Peripheral Osteoma of the Mandible. J. Craniofac Surg. 2017, 28, e405–e408. [Google Scholar] [CrossRef]
- Park, W.B.; Park, W.; Kim, J.A.; Shin, S.; Hong, J.Y. Large Peripheral Osteomas and Dental Implants: A Case Re-port. Medicina 2024, 60, 1181. [Google Scholar] [CrossRef]
- Kataoka, T.; Amemiya, K.; Goto, T.; Kina, H.; Tajima, E.; Okamoto, T. A Unique Case of Supernumerary Teeth Erupting Inside a Maxillary Sinus Osteoma. J. Clin. Med. 2024, 13, 4067. [Google Scholar] [CrossRef] [PubMed]
- Tawashi, Y.; Tawashi, K.; Ahmad, O.; Hamada, A.; Alhakeem, K. Huge osteoma in the frontoparietal bone caused by trauma from 18 years ago: A case report. J. Med. Case Rep. 2024, 18, 48. [Google Scholar] [CrossRef]
- Semerci, Z.M.; Yılmaz, S.G. Exploring the age and gender-based distribution of paranasal sinus osteomas using cone beam computed tomography: A retrospective cross-sectional study. Heliyon 2024, 10, 15. [Google Scholar] [CrossRef] [PubMed]
- Bhatt, G.; Gupta, S.; Ghosh, S.; Mohanty, S.; Kumar, P. Central osteoma of maxilla associated with an impacted tooth: Report of a rare case with literature review. Head. Neck Pathol. 2019, 13, 554–561. [Google Scholar] [CrossRef] [PubMed] [PubMed Central]
- Bulut, E.; Ozan, B.; Günhan, O. Central osteoma associated with root resorption. J. Craniofac Surg. 2010, 21, 419–421. [Google Scholar] [CrossRef]
- Del Vecchio, A.; Agrestini, C.; Salucci, P.; Manicone, A.M.; Della Rocca, C. Osteomas and exostoses of the facial structures: A morphological study and the etiopathogenetic considerations. Minerva Stomatol. 1993, 42, 533–540. [Google Scholar]
- Horning, G.M.; Cohen, M.E.; Neils, T.A. Buccal alveolar exostoses: Prevalence, characteristics, and evidence for buttressing bone formation. J. Periodontol. 2000, 71, 1032–1042. [Google Scholar] [CrossRef]
- Medsinge, S.V.; Kohad, R.; Budhiraja, H.; Singh, A.; Gurha, S.; Sharma, A. Buccal exostosis: A rare entity. J. Int. Oral. Health 2015, 7, 62–64. [Google Scholar] [PubMed] [PubMed Central]
- Kaplan, I.; Nicolaou, Z.; Hatuel, D.; Calderon, S. Solitary central osteoma of the jaws: A diagnostic dilemma. Oral. Surg. Oral. Med. Oral. Pathol. Oral. Radiol. Endod. 2008, 106, e22–e29. [Google Scholar] [CrossRef]
- Khan, M.I.; Rehman, A.U. An analysis of mandibular osteomas: A ten-year study. J. Oral. Maxillofac. Surg. 2019, 77, 545–550. [Google Scholar] [CrossRef]
- Mellion, Z.J.; Behrents, R.G.; Johnston, L.E., Jr. The pattern of facial skeletal growth and its relationship to various common indexes of maturation. Am. J. Orthod. Dentofac. Orthop. 2013, 143, 845–854. [Google Scholar] [CrossRef] [PubMed]
- Takagi, R.; Mori, K.; Koike, T.; Tsuyuguchi, S.; Kanai, K.; Watanabe, Y.; Okano, M.; Noguchi, Y.; Tanaka, A.; Ku-rihara, K.; et al. A giant peripheral ossifying fibroma of the maxilla with extreme difficulty in clinical differentiation from malignancy: A case report and review of the literature. J. Med. Case Rep. 2024, 18, 220. [Google Scholar] [CrossRef] [PubMed]
- Cuisia, Z.E.; Brannon, R.B. Peripheral ossifying fibroma--a clinical evaluation of 134 pediatric cases. Pediatr. Dent. 2001, 23, 245–248. [Google Scholar] [PubMed]
- Lázare, H.; Peteiro, A.; Pérez Sayáns, M.; Gándara-Vila, P.; Caneiro, J.; García-García, A.; Antón, I.; Gándara-Rey, J.M.; Suárez-Peñaranda, J.M. Clinicopathological features of peripheral ossifying fibroma in a series of 41 patients. Br. J. Oral. Maxillofac. Surg. 2019, 57, 1081–1085. [Google Scholar] [CrossRef]
- Ellingsen, T.; Nalley, A.; Oda, D.; Dodson, T.B.; Lee, P.P. Osteoblastoma and osteoid osteoma of the mandible: Review of the literature and report of two cases. Case Rep. Dent. 2022, 2022, 7623855. [Google Scholar] [CrossRef]
- van der Waal, I. Professional diagnostic delay in osteosarcomas of the jaws. Med. Oral. Patol. Oral. Cir. Bucal 2020, 25, e834–e837. [Google Scholar] [CrossRef]
- Lee, D.Y.; Lim, S.; Yoon, J.S.; Eo, S. Recurred forehead osteoma disseminated after previous osteoma excision: A case report. World J. Clin. Cases 2023, 11, 7684–7689. [Google Scholar] [CrossRef] [PubMed] [PubMed Central]







Disclaimer/Publisher’s Note: The statements, opinions and data contained in all publications are solely those of the individual author(s) and contributor(s) and not of MDPI and/or the editor(s). MDPI and/or the editor(s) disclaim responsibility for any injury to people or property resulting from any ideas, methods, instructions or products referred to in the content. |
© 2024 by the authors. Licensee MDPI, Basel, Switzerland. This article is an open access article distributed under the terms and conditions of the Creative Commons Attribution (CC BY) license (https://creativecommons.org/licenses/by/4.0/).
Share and Cite
Gušić, I.; Stojilković, M.; Mirnić, J.; Veljović, T.; Đurić, M. A Rare Case of Peripheral Osteoma of the Alveolar Bone of the Maxilla in a 13-Year-Old Boy. J. Clin. Med. 2024, 13, 7187. https://doi.org/10.3390/jcm13237187
Gušić I, Stojilković M, Mirnić J, Veljović T, Đurić M. A Rare Case of Peripheral Osteoma of the Alveolar Bone of the Maxilla in a 13-Year-Old Boy. Journal of Clinical Medicine. 2024; 13(23):7187. https://doi.org/10.3390/jcm13237187
Chicago/Turabian StyleGušić, Ivana, Marija Stojilković, Jelena Mirnić, Tanja Veljović, and Milanko Đurić. 2024. "A Rare Case of Peripheral Osteoma of the Alveolar Bone of the Maxilla in a 13-Year-Old Boy" Journal of Clinical Medicine 13, no. 23: 7187. https://doi.org/10.3390/jcm13237187
APA StyleGušić, I., Stojilković, M., Mirnić, J., Veljović, T., & Đurić, M. (2024). A Rare Case of Peripheral Osteoma of the Alveolar Bone of the Maxilla in a 13-Year-Old Boy. Journal of Clinical Medicine, 13(23), 7187. https://doi.org/10.3390/jcm13237187

