Echocardiographic Assessment of Mitral Valve Prolapse Prevalence before and after the Year 1999: A Systematic Review
Abstract
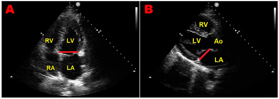
1. Introduction
2. Materials and Methods
2.1. Search Strategy
2.2. Eligibility Criteria
2.3. Study Selection and Data Extraction
2.4. Risk of Bias Assessment
3. Results
4. Discussion
4.1. The Main Findings of the Present Systematic Review
4.2. Possible Explanations for the Divergent Findings between the Studies Performed before and after the Year 1999
4.3. Implications for Clinical Practice
4.4. Syndromic Mitral Valve Prolapse
4.5. Mitral Valve Prolapse Complications
4.6. Limitations of the Included Studies
5. Conclusions
Author Contributions
Funding
Institutional Review Board Statement
Informed Consent Statement
Data Availability Statement
Acknowledgments
Conflicts of Interest
References
- Nishimura, R.A.; McGoon, M.D.; Shub, C.; Miller, F.A., Jr.; Ilstrup, D.M.; Tajik, A.J. Echocardiographically documented mitral-valve prolapse. Long-term follow-up of 237 patients. N. Engl. J. Med. 1985, 313, 1305–1309. [Google Scholar] [CrossRef]
- Düren, D.R.; Becker, A.E.; Dunning, A.J. Long-term follow-up of idiopathic mitral valve prolapse in 300 patients: A prospective study. J. Am. Coll. Cardiol. 1988, 11, 42–47. [Google Scholar] [CrossRef] [PubMed]
- Wilcken, D.E.; Hickey, A.J. Lifetime risk for patients with mitral valve prolapse of developing severe valve regurgitation requiring surgery. Circulation 1988, 78, 10–14. [Google Scholar] [CrossRef] [PubMed]
- Marks, A.R.; Choong, C.Y.; Sanfilippo, A.J.; Ferré, M.; Weyman, A.E. Identification of high-risk and low-risk subgroups of patients with mitral-valve prolapse. N. Engl. J. Med. 1989, 320, 1031–1036. [Google Scholar] [CrossRef] [PubMed]
- Popp, R.L.; Brown, O.R.; Silverman, J.F.; Harrison, D.C. Echocardiographic abnormalities in the mitral valve prolapse syndrome. Circulation 1974, 49, 428–433. [Google Scholar] [CrossRef] [PubMed]
- DeMaria, A.N.; King, J.F.; Bogren, H.G.; Lies, J.E.; Mason, D.T. The variable spectrum of echocardiographic manifestations of the mitral valve prolapse syndrome. Circulation 1974, 50, 33–41. [Google Scholar] [CrossRef]
- Gilbert, B.W.; Schatz, R.A.; VonRamm, O.T.; Behar, V.S.; Kisslo, J.A. Mitral valve prolapse. Two-dimensional echocardiographic and angiographic correlation. Circulation 1976, 54, 716–723. [Google Scholar] [CrossRef]
- Morganroth, J.; Jones, R.H.; Chen, C.C.; Naito, M. Two dimensional echocardiography in mitral, aortic and tricuspid valve prolapse. The clinical problem, cardiac nuclear imaging considerations and a proposed standard for diagnosis. Am. J. Cardiol. 1980, 46, 1164–1177. [Google Scholar] [CrossRef]
- Levine, R.A.; Triulzi, M.O.; Harrigan, P.; Weyman, A.E. The relationship of mitral annular shape to the diagnosis of mitral valve prolapse. Circulation 1987, 75, 756–767. [Google Scholar] [CrossRef]
- Levine, R.A.; Handschumacher, M.D.; Sanfilippo, A.J.; Hagege, A.A.; Harrigan, P.; Marshall, J.E.; Weyman, A.E. Three-dimensional echocardiographic reconstruction of the mitral valve, with implications for the diagnosis of mitral valve prolapse. Circulation 1989, 80, 589–598. [Google Scholar] [CrossRef]
- Devereux, R.B.; Frary, C.J.; Kramer-Fox, R.; Roberts, R.B.; Ruchlin, H.S. Cost-effectiveness of infective endocarditis prophylaxis for mitral valve prolapse with or without a mitral regurgitant murmur. Am. J. Cardiol. 1994, 74, 1024–1029. [Google Scholar] [CrossRef]
- Freed, L.A.; Levy, D.; Levine, R.A.; Larson, M.G.; Evans, J.C.; Fuller, D.L.; Lehman, B.; Benjamin, E.J. Prevalence and clinical outcome of mitral-valve prolapse. N. Engl. J. Med. 1999, 341, 1–7. [Google Scholar] [CrossRef] [PubMed]
- Levine, R.A.; Stathogiannis, E.; Newell, J.B.; Harrigan, P.; Weyman, A.E. Reconsideration of echocardiographic standards for mitral valve prolapse: Lack of association between leaflet displacement isolated to the apical four chamber view and independent echocardiographic evidence of abnormality. J. Am. Coll. Cardiol. 1988, 11, 1010–1019. [Google Scholar] [CrossRef] [PubMed]
- Perloff, J.K.; Child, J.S. Mitral valve prolapse. Evolution and refinement of diagnostic techniques. Circulation 1989, 80, 710–711. [Google Scholar] [CrossRef] [PubMed]
- Moher, D.; Liberati, A.; Tetzlaff, J.; Altman, D.G.; PRISMA Group. Preferred reporting items for systematic reviews and meta-analyses: The PRISMA statement. PLoS Med. 2009, 6, e1000097. [Google Scholar] [CrossRef] [PubMed]
- Ma, L.L.; Wang, Y.Y.; Yang, Z.H.; Huang, D.; Weng, H.; Zeng, X.T. Methodological quality (risk of bias) assessment tools for primary and secondary medical studies: What are they and which is better? Mil. Med. Res. 2020, 7, 7. [Google Scholar] [CrossRef]
- Markiewicz, W.; Stoner, J.; London, E.; Hunt, S.A.; Popp, R.L. Mitral valve prolapse in one hundred presumably healthy young females. Circulation 1976, 53, 464–473. [Google Scholar] [CrossRef]
- Procacci, P.M.; Savran, S.V.; Schreiter, S.L.; Bryson, A.L. Prevalence of clinical mitral-valve prolapse in 1169 young women. N. Engl. J. Med. 1976, 294, 1086–1088. [Google Scholar] [CrossRef]
- McLarin, C.; Arensberg, D.; Felner, J.M.; Schlant, R.C. Echocardiographically determined mitral valve prolapse in male patients. South. Med. J. 1979, 72, 1416–1417. [Google Scholar] [CrossRef]
- Wann, L.S.; Grove, J.R.; Hess, T.R.; Glisch, L.; Ptacin, M.J.; Hughes, C.V.; Gross, C.M. Prevalence of mitral prolapse by two dimensional echocardiography in healthy young women. Br. Heart J. 1983, 49, 334–340. [Google Scholar] [CrossRef]
- Savage, D.D.; Garrison, R.J.; Devereux, R.B.; Castelli, W.P.; Anderson, S.J.; Levy, D.; McNamara, P.M.; Stokes, J., 3rd; Kannel, W.B.; Feinleib, M. Mitral valve prolapse in the general population. 1. Epidemiologic features: The Framingham Study. Am. Heart J. 1983, 106, 571–576. [Google Scholar] [CrossRef]
- Bryhn, M.; Persson, S. The prevalence of mitral valve prolapse in healthy men and women in Sweden. An echocardiographic study. Acta Med. Scand. 1984, 215, 157–160. [Google Scholar] [CrossRef] [PubMed]
- Lee, W.R.; Sheikh, M.U.; Lee, K.J. Prevalence of mitral valve prolapse in presumably healthy Korean adults. Clin. Cardiol. 1985, 8, 356–358. [Google Scholar] [CrossRef] [PubMed]
- Warth, D.C.; King, M.E.; Cohen, J.M.; Tesoriero, V.L.; Marcus, E.; Weyman, A.E. Prevalence of mitral valve prolapse in normal children. J. Am. Coll. Cardiol. 1985, 5, 1173–1177. [Google Scholar] [CrossRef]
- Devereux, R.B.; Hawkins, I.; Kramer-Fox, R.; Lutas, E.M.; Hammond, I.W.; Spitzer, M.C.; Hochreiter, C.; Roberts, R.B.; Belkin, R.N.; Kligfield, P.; et al. Complications of mitral valve prolapse. Disproportionate occurrence in men and older patients. Am. J. Med. 1986, 81, 751–758. [Google Scholar] [CrossRef]
- Gupta, R.; Jain, B.K.; Gupta, H.P.; Ranawat, S.S.; Sharma, A.K.; Gupta, K.D. Mitral valve prolapse: Two dimensional echocardiography reveals a high prevalence in three to twelve year old children. Indian Pediatr. 1992, 29, 415–423. [Google Scholar] [PubMed]
- Flack, J.M.; Kvasnicka, J.H.; Gardin, J.M.; Gidding, S.S.; Manolio, T.A.; Jacobs, D.R., Jr. Anthropometric and physiologic correlates of mitral valve prolapse in a biethnic cohort of young adults: The CARDIA study. Am. Heart J. 1999, 138, 486–492. [Google Scholar] [CrossRef]
- Devereux, R.B.; Jones, E.C.; Roman, M.J.; Howard, B.V.; Fabsitz, R.R.; Liu, J.E.; Palmieri, V.; Welty, T.K.; Lee, E.T. Prevalence and correlates of mitral valve prolapse in a population-based sample of American Indians: The Strong Heart Study. Am. J. Med. 2001, 111, 679–685. [Google Scholar] [CrossRef] [PubMed]
- Karavidas, A.I.; Lazaros, G.A.; Zampoulakis, J.D.; Matsakas, E.P.; Panou, F.K.; Zacharoulis, A.A. Prevalence of mitral valve prolapse and thick mitral valve in a non-selected outpatient population. Cardiology 2002, 98, 165–166. [Google Scholar] [CrossRef]
- Theal, M.; Sleik, K.; Anand, S.; Yi, Q.; Yusuf, S.; Lonn, E. Prevalence of mitral valve prolapse in ethnic groups. Can. J. Cardiol. 2004, 20, 511–515. [Google Scholar]
- Hepner, A.D.; Ahmadi-Kashani, M.; Movahed, M.R. The prevalence of mitral valve prolapse in patients undergoing echocardiography for clinical reason. Int. J. Cardiol. 2007, 123, 55–57. [Google Scholar] [CrossRef] [PubMed]
- Sattur, S.; Bates, S.; Movahed, M.R. Prevalence of mitral valve prolapse and associated valvular regurgitations in healthy teenagers undergoing screening echocardiography. Exp. Clin. Cardiol. 2010, 15, e13–e15. [Google Scholar] [PubMed]
- Güvenç, T.S.; Canga, Y.; Karabağ, Y.; Ozen, K.; Balcı, B. Prevalence of mitral valve prolapse in residents living at moderately high altitude. Wilderness Environ. Med. 2012, 23, 300–306. [Google Scholar] [CrossRef]
- Caselli, S.; Mango, F.; Clark, J.; Pandian, N.G.; Corrado, D.; Autore, C.; Pelliccia, A. Prevalence and Clinical Outcome of Athletes With Mitral Valve Prolapse. Circulation 2018, 137, 2080–2082. [Google Scholar] [CrossRef]
- Liu, P.Y.; Tsai, K.Z.; Lin, Y.P.; Lin, C.S.; Zeng, H.C.; Takimoto, E.; Lin, G.M. Prevalence and characteristics of mitral valve prolapse in military young adults in Taiwan of the CHIEF Heart Study. Sci. Rep. 2021, 11, 2719. [Google Scholar] [CrossRef]
- Sonaglioni, A.; Rigamonti, E.; Nicolosi, G.L.; Lombardo, M. Prognostic Value of Modified Haller Index in Patients with Suspected Coronary Artery Disease Referred for Exercise Stress Echocardiography. J. Cardiovasc. Echogr. 2021, 31, 85–95. [Google Scholar] [CrossRef]
- Sonaglioni, A.; Baravelli, M.; Vincenti, A.; Trevisan, R.; Zompatori, M.; Nicolosi, G.L.; Lombardo, M.; Anzà, C. A New modified anthropometric haller index obtained without radiological exposure. Int. J. Cardiovasc. Imaging 2018, 34, 1505–1509. [Google Scholar] [CrossRef]
- Sahn, D.J.; Wood, J.; Allen, H.D.; Peoples, W.; Goldberg, S.J. Echocardiographic spectrum of mitral valve motion in children with and without mitral valve prolapse: The nature of false positive diagnosis. Am. J. Cardiol. 1977, 39, 422–431. [Google Scholar] [CrossRef] [PubMed]
- Markiewicz, W.; London, E.; Popp, R.L. Effect of transducer placement on echocardiographic mitral valve motion. Am. Heart J. 1978, 96, 555–556. [Google Scholar] [CrossRef]
- Sonaglioni, A.; Nicolosi, G.L.; Lombardo, M. The relationship between mitral valve prolapse and thoracic skeletal abnormalities in clinical practice: A systematic review. J. Cardiovasc. Med. 2024, 25, 353–363. [Google Scholar] [CrossRef]
- Sonaglioni, A.; Nicolosi, G.L.; Trevisan, R.; Lombardo, M.; Grasso, E.; Gensini, G.F.; Ambrosio, G. The influence of pectus excavatum on cardiac kinetics and function in otherwise healthy individuals: A systematic review. Int. J. Cardiol. 2023, 381, 135–144. [Google Scholar] [CrossRef] [PubMed]
- Udoshi, M.B.; Shah, A.; Fisher, V.J.; Dolgin, M. Incidence of mitral valve prolapse in subjects with thoracic skeletal abnormalities—A prospective study. Am. Heart J. 1979, 97, 303–311. [Google Scholar] [CrossRef] [PubMed]
- Nomura, K.; Ajiro, Y.; Nakano, S.; Matsushima, M.; Yamaguchi, Y.; Hatakeyama, N.; Ohata, M.; Sakuma, M.; Nonaka, T.; Harii, M.; et al. Characteristics of mitral valve leaflet length in patients with pectus excavatum: A single center cross-sectional study. PLoS ONE 2019, 14, e0212165. [Google Scholar] [CrossRef] [PubMed]
- Sonaglioni, A.; Nicolosi, G.L.; Rigamonti, E.; Lombardo, M.; Gensini, G.F.; Ambrosio, G. Does chest shape influence exercise stress echocardiographic results in patients with suspected coronary artery disease? Intern. Emerg. Med. 2022, 17, 101–112. [Google Scholar] [CrossRef]
- Sonaglioni, A.; Nicolosi, G.L.; Rigamonti, E.; Lombardo, M. Modified Haller index is inversely correlated with true positive exercise stress echocardiographic results. J. Cardiovasc. Med. 2022, 23, 524–534. [Google Scholar] [CrossRef]
- Nishimura, R.A.; McGoon, M.D. Perspectives on mitral-valve prolapse. N. Engl. J. Med. 1999, 341, 48–50. [Google Scholar] [CrossRef]
- Freed, L.A.; Benjamin, E.J.; Levy, D.; Larson, M.G.; Evans, J.C.; Fuller, D.L.; Lehman, B.; Levine, R.A. Mitral valve prolapse in the general population: The benign nature of echocardiographic features in the Framingham Heart Study. J. Am. Coll. Cardiol. 2002, 40, 1298–1304. [Google Scholar] [CrossRef]
- Sonaglioni, A.; Nicolosi, G.L.; Rigamonti, E.; Lombardo, M. Impact of Chest Wall Conformation on the Outcome of Primary Mitral Regurgitation due to Mitral Valve Prolapse. J. Cardiovasc. Echogr. 2022, 32, 29–37. [Google Scholar] [CrossRef]
- Topilsky, Y.; Michelena, H.; Bichara, V.; Maalouf, J.; Mahoney, D.W.; Enriquez-Sarano, M. Mitral valve prolapse with mid-late systolic mitral regurgitation: Pitfalls of evaluation and clinical outcome compared with holosystolic regurgitation. Circulation 2012, 125, 1643–1651. [Google Scholar] [CrossRef]
- Grayburn, P.A.; Weissman, N.J.; Zamorano, J.L. Quantitation of mitral regurgitation. Circulation 2012, 126, 2005–2017. [Google Scholar] [CrossRef]
- Sonaglioni, A.; Rigamonti, E.; Nicolosi, G.L.; Lombardo, M. Appropriate use criteria implementation with modified Haller index for predicting stress echocardiographic results and outcome in a population of patients with suspected coronary artery disease. Int. J. Cardiovasc. Imaging 2021, 37, 2917–2930. [Google Scholar] [CrossRef] [PubMed]
- Delling, F.N.; Vasan, R.S. Epidemiology and pathophysiology of mitral valve prolapse: New insights into disease progression, genetics, and molecular basis. Circulation 2014, 129, 2158–2170. [Google Scholar] [CrossRef] [PubMed]
- Delwarde, C.; Capoulade, R.; Mérot, J.; Le Scouarnec, S.; Bouatia-Naji, N.; Yu, M.; Huttin, O.; Selton-Suty, C.; Sellal, J.M.; Piriou, N.; et al. Genetics and pathophysiology of mitral valve prolapse. Front. Cardiovasc. Med. 2023, 10, 1077788. [Google Scholar] [CrossRef] [PubMed]
- Delhomme, C.; Milleron, O.; Arnoult, F.; Delorme, G.; Eliahou, L.; Jadoui, S.; Arnaud, P.; Hanna, N.; Boileau, C.; Jondeau, G. Genotype-Mitral Valve Phenotype Correlations in Marfan Syndrome with FBN1 Pathogenic Variants. JACC Adv. 2022, 1, 100149. [Google Scholar] [CrossRef]
- Gouda, P.; Kay, R.; Habib, M.; Aziz, A.; Aziza, E.; Welsh, R. Clinical features and complications of Loeys-Dietz syndrome: A systematic review. Int. J. Cardiol. 2022, 362, 158–167. [Google Scholar] [CrossRef]
- Asher, S.B.; Chen, R.; Kallish, S. Mitral valve prolapse and aortic root dilation in adults with hypermobile Ehlers-Danlos syndrome and related disorders. Am. J. Med. Genet. A 2018, 176, 1838–1844. [Google Scholar] [CrossRef]
- Bonita, R.E.; Cohen, I.S.; Berko, B.A. Valvular heart disease in osteogenesis imperfecta: Presentation of a case and review of the literature. Echocardiography 2010, 27, 69–73. [Google Scholar] [CrossRef]
- van de Laar, I.M.; Oldenburg, R.A.; Pals, G.; Roos-Hesselink, J.W.; de Graaf, B.M.; Verhagen, J.M.; Hoedemaekers, Y.M.; Willemsen, R.; Severijnen, L.A.; Venselaar, H.; et al. Mutations in SMAD3 cause a syndromic form of aortic aneurysms and dissections with early-onset osteoarthritis. Nat. Genet. 2011, 43, 121–126. [Google Scholar] [CrossRef] [PubMed]
- Fusco, A.; Mauriello, A.; Lioncino, M.; Palmiero, G.; Fratta, F.; Granato, C.; Cirillo, A.; Caiazza, M.; Monda, E.; Credendino, A.; et al. The Heart Muscle and Valve Involvement in Marfan Syndrome, Loeys-Dietz Syndromes, and Collagenopathies. Heart Fail. Clin. 2022, 18, 165–175. [Google Scholar] [CrossRef]
- Yetman, A.T.; Bornemeier, R.A.; McCrindle, B.W. Long-term outcome in patients with Marfan syndrome: Is aortic dissection the only cause of sudden death? J. Am. Coll. Cardiol. 2003, 41, 329–332. [Google Scholar] [CrossRef]
- Demolder, A.; Timmermans, F.; Duytschaever, M.; Muiño-Mosquera, L.; De Backer, J. Association of Mitral Annular Disjunction With Cardiovascular Outcomes Among Patients With Marfan Syndrome. JAMA Cardiol. 2021, 6, 1177–1186. [Google Scholar] [CrossRef] [PubMed]
- Giudicessi, J.R.; Rohatgi, R.K.; Bos, J.M.; Ackerman, M.J. Prevalence and clinical phenotype of concomitant long QT syndrome and arrhythmogenic bileaflet mitral valve prolapse. Int. J. Cardiol. 2019, 274, 175–178. [Google Scholar] [CrossRef] [PubMed]
- Basso, C.; Iliceto, S.; Thiene, G.; Perazzolo Marra, M. Mitral Valve Prolapse, Ventricular Arrhythmias, and Sudden Death. Circulation 2019, 140, 952–964. [Google Scholar] [CrossRef] [PubMed]
- Towbin, J.A. Ion channel dysfunction associated with arrhythmia, ventricular noncompaction, and mitral valve prolapse: A new overlapping phenotype. J. Am. Coll. Cardiol. 2014, 64, 768–771. [Google Scholar] [CrossRef] [PubMed][Green Version]
- Schweizer, P.A.; Schröter, J.; Greiner, S.; Haas, J.; Yampolsky, P.; Mereles, D.; Buss, S.J.; Seyler, C.; Bruehl, C.; Draguhn, A.; et al. The symptom complex of familial sinus node dysfunction and myocardial noncompaction is associated with mutations in the HCN4 channel. J. Am. Coll. Cardiol. 2014, 64, 757–767. [Google Scholar] [CrossRef]
- Milano, A.; Vermeer, A.M.; Lodder, E.M.; Barc, J.; Verkerk, A.O.; Postma, A.V.; van der Bilt, I.A.; Baars, M.J.; van Haelst, P.L.; Caliskan, K.; et al. HCN4 mutations in multiple families with bradycardia and left ventricular noncompaction cardiomyopathy. J. Am. Coll. Cardiol. 2014, 64, 745–756. [Google Scholar] [CrossRef]
- Herrmann, S.; Hofmann, F.; Stieber, J.; Ludwig, A. HCN channels in the heart: Lessons from mouse mutants. Br. J. Pharmacol. 2012, 166, 501–509. [Google Scholar] [CrossRef]
- Muthukumar, L.; Jahangir, A.; Jan, M.F.; Perez Moreno, A.C.; Khandheria, B.K.; Tajik, A.J. Association Between Malignant Mitral Valve Prolapse and Sudden Cardiac Death: A Review. JAMA Cardiol. 2020, 5, 1053–1061. [Google Scholar] [CrossRef]
- Kligfield, P.; Levy, D.; Devereux, R.B.; Savage, D.D. Arrhythmias and sudden death in mitral valve prolapse. Am. Heart J. 1987, 113, 1298–1307. [Google Scholar] [CrossRef]
- Miller, M.A.; Dukkipati, S.R.; Turagam, M.; Liao, S.L.; Adams, D.H.; Reddy, V.Y. Arrhythmic Mitral Valve Prolapse: JACC Review Topic of the Week. J. Am. Coll. Cardiol. 2018, 72, 2904–2914. [Google Scholar] [CrossRef]
- Lee, A.P.; Jin, C.N.; Fan, Y.; Wong, R.H.L.; Underwood, M.J.; Wan, S. Functional Implication of Mitral Annular Disjunction in Mitral Valve Prolapse: A Quantitative Dynamic 3D Echocardiographic Study. JACC Cardiovasc. Imaging 2017, 10, 1424–1433. [Google Scholar] [CrossRef] [PubMed]
- Basso, C.; Perazzolo Marra, M.; Rizzo, S.; De Lazzari, M.; Giorgi, B.; Cipriani, A.; Frigo, A.C.; Rigato, I.; Migliore, F.; Pilichou, K.; et al. Arrhythmic Mitral Valve Prolapse and Sudden Cardiac Death. Circulation 2015, 132, 556–566. [Google Scholar] [CrossRef] [PubMed]
- Hourdain, J.; Clavel, M.A.; Deharo, J.C.; Asirvatham, S.; Avierinos, J.F.; Habib, G.; Franceschi, F.; Probst, V.; Sadoul, N.; Martins, R.; et al. Common Phenotype in Patients with Mitral Valve Prolapse Who Experienced Sudden Cardiac Death. Circulation 2018, 138, 1067–1069. [Google Scholar] [CrossRef] [PubMed]
- Haugaa, K. Improving the imaging diagnosis of mitral annular disjunction. Heart 2021, 107, 4–5. [Google Scholar] [CrossRef]
- Turker, Y.; Ozaydin, M.; Acar, G.; Ozgul, M.; Hoscan, Y.; Varol, E.; Dogan, A.; Erdogan, D. Predictors of atrial arrhythmias in patients with mitral valve prolapse. Acta Cardiol. 2009, 64, 755–760. [Google Scholar] [CrossRef]
- Grigioni, F.; Benfari, G.; Vanoverschelde, J.L.; Tribouilloy, C.; Avierinos, J.F.; Bursi, F.; Suri, R.M.; Guerra, F.; Pasquet, A.; Rusinaru, D.; et al. Long-Term Implications of Atrial Fibrillation in Patients With Degenerative Mitral Regurgitation. J. Am. Coll. Cardiol. 2019, 73, 264–274. [Google Scholar] [CrossRef]
- Szymanski, C.; Magne, J.; Fournier, A.; Rusinaru, D.; Touati, G.; Tribouilloy, C. Usefulness of preoperative atrial fibrillation to predict outcome and left ventricular dysfunction after valve repair for mitral valve prolapse. Am. J. Cardiol. 2015, 115, 1448–1453. [Google Scholar] [CrossRef]
- Pandis, D.; Sengupta, P.P.; Castillo, J.G.; Caracciolo, G.; Fischer, G.W.; Narula, J.; Anyanwu, A.; Adams, D.H. Assessment of longitudinal myocardial mechanics in patients with degenerative mitral valve regurgitation predicts postoperative worsening of left ventricular systolic function. J. Am. Soc. Echocardiogr. 2014, 27, 627–638. [Google Scholar] [CrossRef] [PubMed]
- Edwards, N.C.; Moody, W.E.; Yuan, M.; Weale, P.; Neal, D.; Townend, J.N.; Steeds, R.P. Quantification of left ventricular interstitial fibrosis in asymptomatic chronic primary degenerative mitral regurgitation. Circ. Cardiovasc. Imaging 2014, 7, 946–953. [Google Scholar] [CrossRef]
- Inciardi, R.M.; Rossi, A.; Bergamini, C.; Benfari, G.; Maffeis, C.; Greco, C.; Drago, A.; Guazzi, M.; Ribichini, F.L.; Cicoira, M. Mitral regurgitation, left atrial structural and functional remodelling and the effect on pulmonary haemodynamics. Eur. J. Heart Fail. 2020, 22, 499–506. [Google Scholar] [CrossRef]
- Tanabe, K.; Yamaguchi, K.; Tani, T.; Yagi, T.; Katayama, M.; Tamita, K.; Kinoshita, M.; Kaji, S.; Yamamuro, A.; Morioka, S.; et al. Left atrial volume: Predictor of atrial fibrillation in patients with degenerative mitral regurgitation. J. Heart Valve Dis. 2007, 16, 8–12. [Google Scholar] [PubMed]
- Mecarocci, V.; Mori, F. P210Long- term outcome of primary mitral valve prolapse: Results from a population of 250 patients referred to a tertiary cardiovascular center. Eur. Heart J. Cardiovasc. Imaging 2016, 17, ii29–ii37. [Google Scholar] [CrossRef] [PubMed]
- Olson, L.J.; Subramanian, R.; Ackermann, D.M.; Orszulak, T.A.; Edwards, W.D. Surgical pathology of the mitral valve: A study of 712 cases spanning 21 years. Mayo Clin. Proc. 1987, 62, 22–34. [Google Scholar] [CrossRef]
- Luxereau, P.; Dorent, R.; De Gevigney, G.; Bruneval, P.; Chomette, G.; Delahaye, G. Aetiology of surgically treated mitral regurgitation. Eur. Heart J. 1991, 12 (Suppl. SB), 2–4. [Google Scholar] [CrossRef]
- Enriquez-Sarano, M.; Basmadjian, A.J.; Rossi, A.; Bailey, K.R.; Seward, J.B.; Tajik, A.J. Progression of mitral regurgitation: A prospective Doppler echocardiographic study. J. Am. Coll. Cardiol. 1999, 34, 1137–1144. [Google Scholar] [CrossRef] [PubMed]
- Torigoe, T.; Sakaguchi, H.; Kitano, M.; Kurosaki, K.; Shiraishi, I.; Kagizaki, K.; Ichikawa, H.; Yagihara, T. Clinical characteristics of acute mitral regurgitation due to ruptured chordae tendineae in infancy-experience at a single institution. Eur. J. Pediatr. 2012, 171, 259–265. [Google Scholar] [CrossRef]
- Kang, D.H.; Kim, J.H.; Rim, J.H.; Kim, M.J.; Yun, S.C.; Song, J.M.; Song, H.; Choi, K.J.; Song, J.K.; Lee, J.W. Comparison of early surgery versus conventional treatment in asymptomatic severe mitral regurgitation. Circulation 2009, 119, 797–804. [Google Scholar] [CrossRef]
- Grigioni, F.; Tribouilloy, C.; Avierinos, J.F.; Barbieri, A.; Ferlito, M.; Trojette, F.; Tafanelli, L.; Branzi, A.; Szymanski, C.; Habib, G.; et al. Outcomes in mitral regurgitation due to flail leaflets a multicenter European study. JACC Cardiovasc. Imaging 2008, 1, 133–141. [Google Scholar] [CrossRef]
- Hayek, E.; Gring, C.N.; Griffin, B.P. Mitral valve prolapse. Lancet 2005, 365, 507–518. [Google Scholar] [CrossRef]
- Nishimura, R.A.; Carabello, B.A.; Faxon, D.P.; Freed, M.D.; Lytle, B.W.; O’Gara, P.T.; O’Rourke, R.A.; Shah, P.M. ACC/AHA 2008 Guideline update on valvular heart disease: Focused update on infective endocarditis: A report of the American College of Cardiology/American Heart Association Task Force on Practice Guidelines endorsed by the Society of Cardiovascular Anesthesiologists, Society for Cardiovascular Angiography and Interventions, and Society of Thoracic Surgeons. J. Am. Coll. Cardiol. 2008, 52, 676–685. [Google Scholar]
- Morningstar, J.E.; Nieman, A.; Wang, C.; Beck, T.; Harvey, A.; Norris, R.A. Mitral Valve Prolapse and Its Motley Crew-Syndromic Prevalence, Pathophysiology, and Progression of a Common Heart Condition. J. Am. Heart Assoc. 2021, 10, e020919. [Google Scholar] [CrossRef] [PubMed]
- Mantegazza, V.; Gripari, P.; Tamborini, G.; Muratori, M.; Fusini, L.; Ghulam, A.S.; Garlaschè, A.; Pepi, M. 3D echocardiography in mitral valve prolapse. Front. Cardiovasc. Med. 2023, 9, 1050476. [Google Scholar] [CrossRef] [PubMed]




| Study Name, Publication Year, and Country | Population Size (% Females) and Subgroups | Mean Age (yrs) | Screening Methods | MVP Individuals (MVP Rate %) |
|---|---|---|---|---|
| Markiewicz W et al. (1976), USA [17] | 100 (100) | 23.5 | Phonocardiogram, ECG, M-mode echo, exercise stress test, CXR | 21 (21) |
| Procacci PM et al. (1976), USA [18] | 1169 (100) | 32 | ECG, M-mode echo, CXR | 74 (6.3) |
| McLarin C et al. (1979), USA [19] | 1823 (0) | 41 | M-mode echo | 56 (3) |
| Wann LS et al. (1983), USA [20] | 100 (100) | 25 | Phonocardiogram, ECG, M-mode echo, 2D-echo | 2 (2) |
| Savage DD et al. (1983), USA [21] | 4967 (55.2) 2036 elderly 2931 offspring | 57 70 elderly 44 offspring | M-mode echo | 264 (5) 56 (3) elderly 208 (7) offspring |
| Bryhn M et al. (1984), Sweden [22] | 201 (49.7) 101 males 100 females | 25 19.5 males 30.5 females | M-mode echo | 13 (6.5) 5 (6.9) males 8 (8) females |
| Lee WR et al. (1985), USA [23] | 200 (50) 100 males 100 females | 44 | Phonocardiogram, ECG, M-mode echo, CXR | 5 (2.5) 2 (2) males 3 (3) females |
| Warth DC et al. (1985), USA [24] | 193 (49.2) 78 (0–2 yrs) 65 (2–6 yrs) 21 (6–10 yrs) 29 (10–18 yrs) | 4.5 | 2D-echo | 25 (13) 1 (1.3) (0–2 yrs) 9 (14) (2–6 yrs) 5 (24) (6–10 yrs) 10 (35) (10–18 yrs) |
| Devereux RB et al. (1986), USA [25] | 2483 (56.9) 67 IE 31 MR 43 Flail 2342 Ctrls | 47 38 IE 50 MR 56 Flail 54 Ctrls | M-mode echo, 2D-echo | 147 (5.9) 11 (16) IE 17 (55) MR 27 (63) Flail 92 (4) Ctrls |
| Gupta R et al. (1992), India [26] | 213 (40.4) 96 (3–5.9 yrs) 80 (6–8.9 yrs) 37 (9–12 yrs) | 8 | M-mode echo, 2D-echo | 28 (13.1) 13 (13.5) (3–5.9 yrs) 9 (11.2) (6–8.9 yrs) 6 (16.2) (9–12 yrs) |
| Freed LA et al. (1999), USA [12] | 3491 (52.8) 1646 males 1845 females | 54.7 | ECG, 2D-echo | 84 (2.4) 34 (2.1) males 50 (2.7) females |
| Flack JM et al. (1999), USA [27] | 4136 (55) 1996 black 2140 white | 29.7 | M-mode echo, 2D-echo | 26 (0.6) 10 (0.5) black 16 (0.7) white |
| Devereux RB et al. (2001), USA [28] | 3340 (62.2) 1140 Oklahoma 1137 Arizona 1063 N and S Dakota | 60 | M-mode echo, 2D-echo | 57 (1.7) 31 (2.6) Oklahoma 7 (0.6) Arizona 18 (1.6) N and S Dakota |
| Karavidas AI et al. (2002), Greece [29] | 2080 (63.1) | 51.5 | 2D-echo | 41 (1.97) 22 (1.07) classic MVP 19 (0.9) non-classic MVP |
| Theal M et al. (2004), Canada [30] | 972 (48) 336 South Asian 322 European 314 Chinese | 49 | ECG, M-mode echo, 2D-echo | 26 (2.7) 9 (2.7) South Asian 10 (3.1) European 7 (2.2) Chinese |
| Hepner AD et al. (2007), USA [31] | 24265 (53) 11.339 males 12.926 females | 49.6 | M-mode echo, 2D-echo | 135 (0.6) 80 (0.7) males 55 (0.4) females |
| Sattur S et al. (2010), USA [32] | 2072 (33) 1382 males 690 females | 16.1 | 2D-echo | 14 (0.7) 5 (0.4) males 9 (1.3) females |
| Güvenç TS et al. (2012), Turkey [33] | 936 (60) 442 sea level 494 high altitude | 50.5 50 sea level 51 high altitude | M-mode echo, 2D-echo | 39 (4.2) 9 (2) sea level 30 (6.1) high altitude |
| Caselli S et al. (2018), Italy [34] | 7449 (33) | 30 | ECG, 2D-echo, Holter ECG | 215 (2.9) |
| Liu PY et al. (2021), Taiwan [35] | 2442 (11.8) 2154 males 288 females | 26.5 | 2D-echo | 82 (3.3) 77 (3.6) males 5 (1.7) females |
| Sonaglioni A et al. (2021), Italy [36] | 1091 (42.8) | 62.4 | ECG, 2D-echo, ESE | 35 (3.2) |
| MVP Individuals | Number of Studies for Parameters Assessed (%) | |
|---|---|---|
| Demographics | ||
| Females (%) | 53.1 (0–100) | 21 (100) |
| Mean age (yrs) | 37.4 (8–62.4) | 21 (100) |
| Anthropometrics and chest shape conformation | ||
| WHR | 0.87 (0.77–0.94) | 3 (14.3) |
| BMI (Kg/m2) | 24.8 (22–28) | 6 (28.6) |
| Chest shape abnormalities (%) | 26 (0–100) | 6 (28.6) |
| Cardiovascular risk factors and cardiovascular disease burden | ||
| Hypertension (%) | 17.2 (0–32) | 5 (23.8) |
| Smoking (%) | 20.3 (13.9–28) | 4 (19.0) |
| Type 2 diabetes (%) | 2.7 (0.7–4.8) | 4 (19.0) |
| Dyslipidemia (%) | 25.1 (21.6–28.6) | 2 (9.5) |
| CAD (%) | 2.7 (0–6.7) | 6 (28.6) |
| Auscultatory findings and hemodynamics | ||
| Mid-systolic click and/or late systolic murmur (%) | 63.8 (33.7–80) | 7 (33.3) |
| HR (bpm) | 72.7 (65–87.8) | 4 (19.0) |
| SBP (mmHg) | 116.9 (102–127) | 8 (38.1) |
| DBP (mmHg) | 72.9 (68–81) | 8 (38.1) |
| Symptoms | ||
| Nonspecific chest pain (%) | 11.9 (1.3–26.8) | 6 (28.6) |
| Palpitations (%) | 28.2 (20–35.8) | 4 (19.0) |
| Dyspnea (%) | 14.4 (9–22.5) | 3 (14.3) |
| Syncope (%) | 10.1 (0–26.8) | 3 (14.3) |
| No symptoms (%) | 21.3 (18–24.6) | 2 (9.5) |
| ECG findings | ||
| ST-T-wave abnormality in inferior leads (%) | 28.1 (0–73) | 6 (28.6) |
| VPBs (%) | 16.6 (0–48.7) | 6 (28.6) |
| APBs (%) | 3.2 (0–10.1) | 5 (23.8) |
| MVP prevalence | ||
| Overall MVP prevalence (%) | 4.9 (0.6–21) | 21 (100) |
| MVP prevalence before the year 1999 (%) | 7.8 (2–21) | 10 (47.6) |
| MVP prevalence after the year 1999 (%) | 2.2 (0.6–4.2) | 11 (52.4) |
| MVP complications | ||
| Mild-to-moderate MR (%) | 58.6 (34.8–90) | 6 (28.6) |
| Severe MR (%) | 4.7 (0–9) | 5 (23.8) |
| IE (%) | 3.8 (0–16) | 5 (23.8) |
| HF (%) | 0.7 (0–2) | 3 (14.3) |
| Stroke (%) | 0.4 (0–1.2) | 3 (14.3) |
| AF (%) | 0.6 (0–1.2) | 2 (9.5) |
| Concomitant valvulopathies | ||
| TR (%) | 41.4 (7.1–75.6) | 2 (9.5) |
| Current medical treatment | ||
| Beta blockers (%) | 16.9 (4–29.9) | 2 (9.5) |
| ACE-inhibitors (%) | 16.1 (5–27.2) | 2 (9.5) |
| Diuretics (%) | 4.3 (3.6–5) | 2 (9.5) |
| Calcium channel blockers (%) | 17.1 (16.2–18) | 2 (9.5) |
| NIH Quality Assessment Tool for Observational Cohort and Cross-Sectional Studies | |||||||||||||||
|---|---|---|---|---|---|---|---|---|---|---|---|---|---|---|---|
| Study Name | Q 1 | Q 2 | Q 3 | Q 4 | Q 5 | Q 6 | Q 7 | Q 8 | Q 9 | Q 10 | Q 11 | Q 12 | Q 13 | Q 14 | Quality |
| Markiewicz W et al. (1976) [17] | Yes | Yes | Yes | Yes | NA | Yes | Yes | No | Yes | NA | Yes | Yes | NS | No | 9 (Fair) |
| Procacci PM et al. (1976) [18] | Yes | Yes | Yes | Yes | NA | Yes | Yes | No | Yes | NA | Yes | NS | NS | No | 8 (Fair) |
| McLarin C et al. (1979) [19] | Yes | Yes | Yes | Yes | NA | Yes | Yes | No | Yes | NA | Yes | NS | NS | No | 8 (Fair) |
| Wann LS et al. (1983) [20] | Yes | Yes | Yes | Yes | NA | Yes | Yes | No | Yes | NA | Yes | Yes | NS | No | 9 (Fair) |
| Savage DD et al. (1983) [21] | Yes | Yes | Yes | Yes | NA | Yes | Yes | No | Yes | NA | Yes | NS | NS | Yes | 9 (Fair) |
| Bryhn M et al. (1984) [22] | Yes | Yes | Yes | Yes | NA | Yes | Yes | No | Yes | NA | Yes | NS | NS | No | 8 (Fair) |
| Lee WR et al. (1985) [23] | Yes | Yes | Yes | Yes | NA | Yes | Yes | No | Yes | NA | Yes | Yes | NS | No | 9 (Fair) |
| Warth DC et al. (1985) [24] | Yes | Yes | Yes | Yes | NA | Yes | Yes | No | Yes | NA | Yes | NS | NS | No | 8 (Fair) |
| Devereux RB et al. (1986) [25] | Yes | Yes | Yes | Yes | NA | Yes | Yes | Yes | Yes | NA | Yes | NS | Yes | Yes | 11 (Good) |
| Gupta R et al. (1992) [26] | Yes | Yes | Yes | Yes | NA | Yes | Yes | No | Yes | NA | Yes | NS | NS | No | 8 (Fair) |
| Freed LA et al. (1999) [12] | Yes | Yes | Yes | Yes | NA | Yes | Yes | Yes | Yes | NA | Yes | NS | Yes | Yes | 11 (Good) |
| Flack JM et al. (1999) [27] | Yes | Yes | Yes | Yes | NA | Yes | Yes | No | Yes | NA | Yes | NS | Yes | Yes | 10 (Fair) |
| Devereux RB et al. (2001) [28] | Yes | Yes | Yes | Yes | NA | Yes | Yes | Yes | Yes | NA | Yes | NS | Yes | Yes | 11 (Good) |
| Karavidas AI et al. (2002) [29] | Yes | Yes | Yes | Yes | NA | Yes | Yes | No | Yes | NA | Yes | NS | NS | No | 8 (Fair) |
| Theal M et al. (2004) [30] | Yes | Yes | Yes | Yes | NA | Yes | Yes | No | Yes | NA | Yes | Yes | NS | No | 9 (Fair) |
| Hepner AD et al. (2007) [31] | Yes | Yes | Yes | Yes | NA | Yes | Yes | No | Yes | NA | Yes | NS | NS | No | 8 (Fair) |
| Sattur S et al. (2010) [32] | Yes | Yes | Yes | Yes | NA | Yes | Yes | No | Yes | NA | Yes | NS | NS | No | 8 (Fair) |
| Güvenç TS et al. (2012) [33] | Yes | Yes | Yes | Yes | NA | Yes | Yes | Yes | Yes | NA | Yes | NS | NS | No | 9 (Fair) |
| Caselli S et al. (2018) [34] | Yes | Yes | Yes | Yes | NA | Yes | Yes | Yes | Yes | NA | Yes | NS | Yes | No | 10 (Fair) |
| Liu PY et al. (2021) [35] | Yes | Yes | Yes | Yes | NA | Yes | Yes | Yes | Yes | NA | Yes | NS | NS | Yes | 10 (Fair) |
| Sonaglioni A et al. (2021) [36] | Yes | Yes | Yes | Yes | NA | Yes | Yes | Yes | Yes | NA | Yes | NS | Yes | No | 10 (Fair) |
Disclaimer/Publisher’s Note: The statements, opinions and data contained in all publications are solely those of the individual author(s) and contributor(s) and not of MDPI and/or the editor(s). MDPI and/or the editor(s) disclaim responsibility for any injury to people or property resulting from any ideas, methods, instructions or products referred to in the content. |
© 2024 by the authors. Licensee MDPI, Basel, Switzerland. This article is an open access article distributed under the terms and conditions of the Creative Commons Attribution (CC BY) license (https://creativecommons.org/licenses/by/4.0/).
Share and Cite
Sonaglioni, A.; Nicolosi, G.L.; Bruno, A.; Lombardo, M.; Muti, P. Echocardiographic Assessment of Mitral Valve Prolapse Prevalence before and after the Year 1999: A Systematic Review. J. Clin. Med. 2024, 13, 6160. https://doi.org/10.3390/jcm13206160
Sonaglioni A, Nicolosi GL, Bruno A, Lombardo M, Muti P. Echocardiographic Assessment of Mitral Valve Prolapse Prevalence before and after the Year 1999: A Systematic Review. Journal of Clinical Medicine. 2024; 13(20):6160. https://doi.org/10.3390/jcm13206160
Chicago/Turabian StyleSonaglioni, Andrea, Gian Luigi Nicolosi, Antonino Bruno, Michele Lombardo, and Paola Muti. 2024. "Echocardiographic Assessment of Mitral Valve Prolapse Prevalence before and after the Year 1999: A Systematic Review" Journal of Clinical Medicine 13, no. 20: 6160. https://doi.org/10.3390/jcm13206160
APA StyleSonaglioni, A., Nicolosi, G. L., Bruno, A., Lombardo, M., & Muti, P. (2024). Echocardiographic Assessment of Mitral Valve Prolapse Prevalence before and after the Year 1999: A Systematic Review. Journal of Clinical Medicine, 13(20), 6160. https://doi.org/10.3390/jcm13206160

