Use of Computer Digital Techniques and Modern Materials in Dental Technology in Restoration: A Caries-Damaged Smile in a Teenage Patient
Abstract
1. Introduction
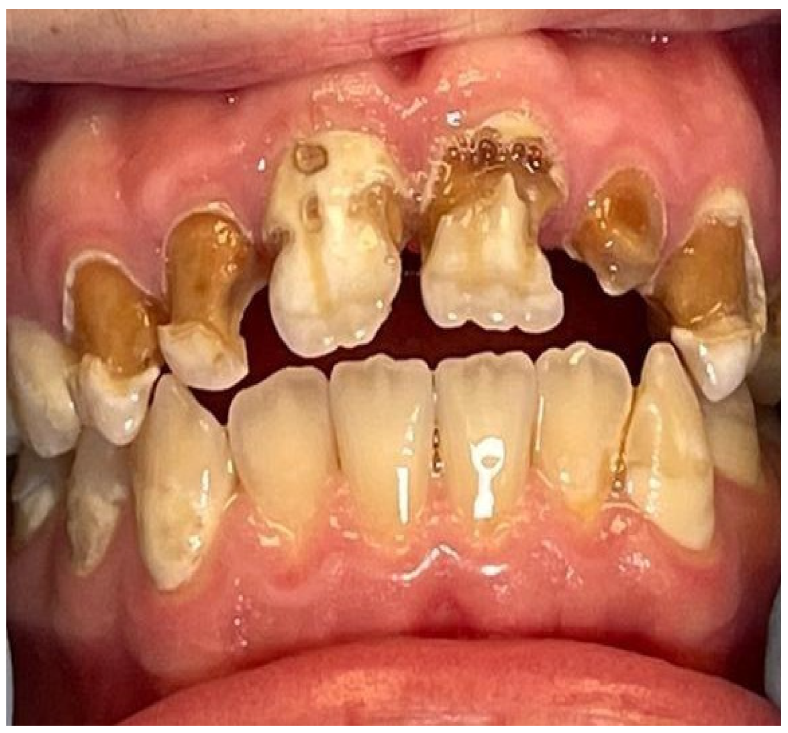
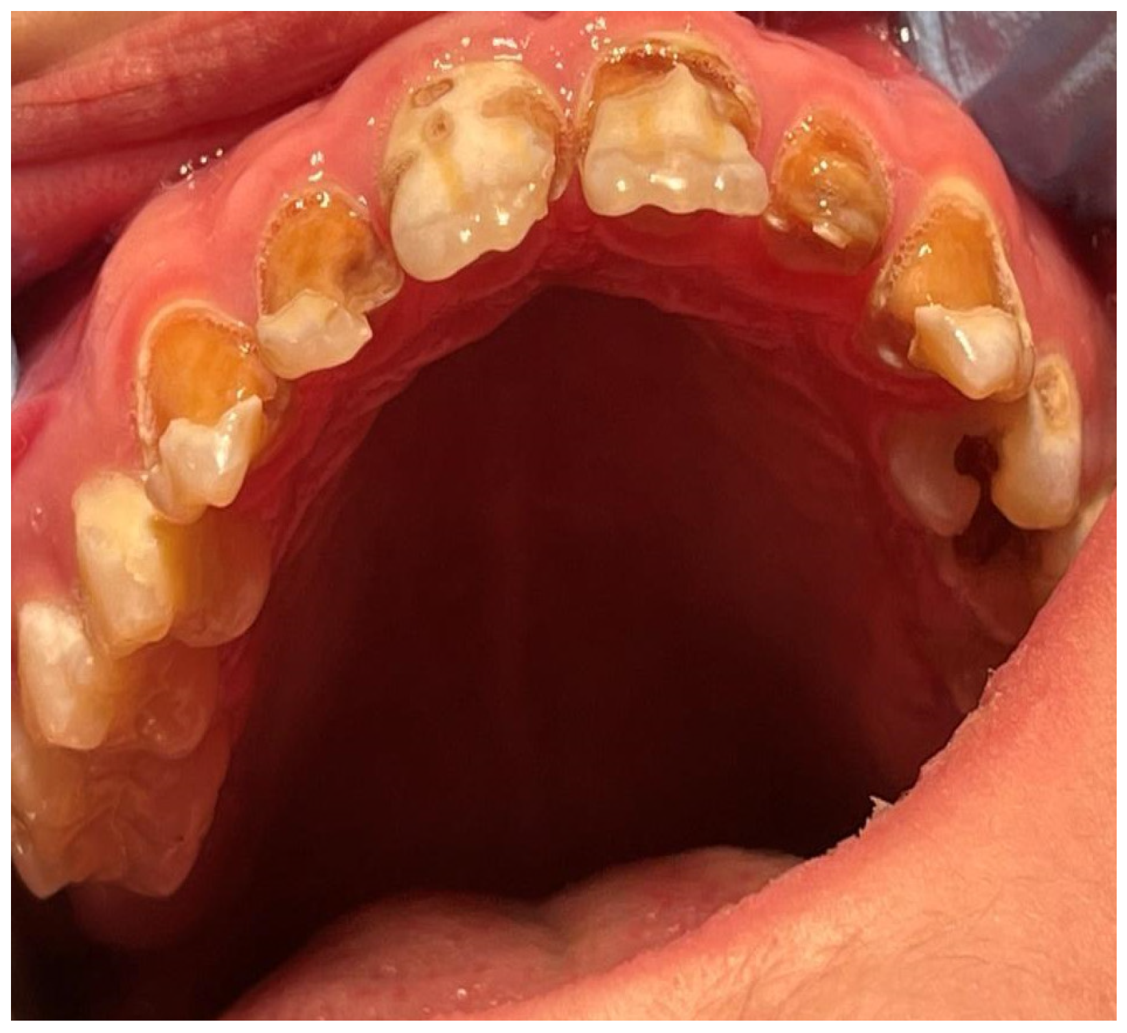
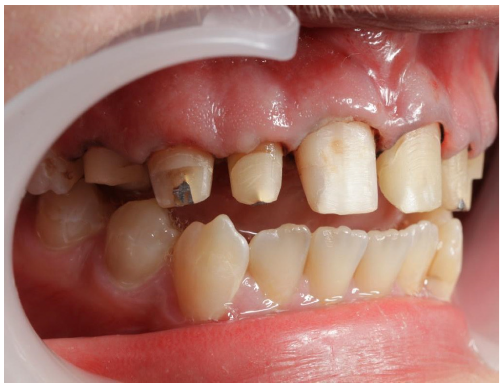
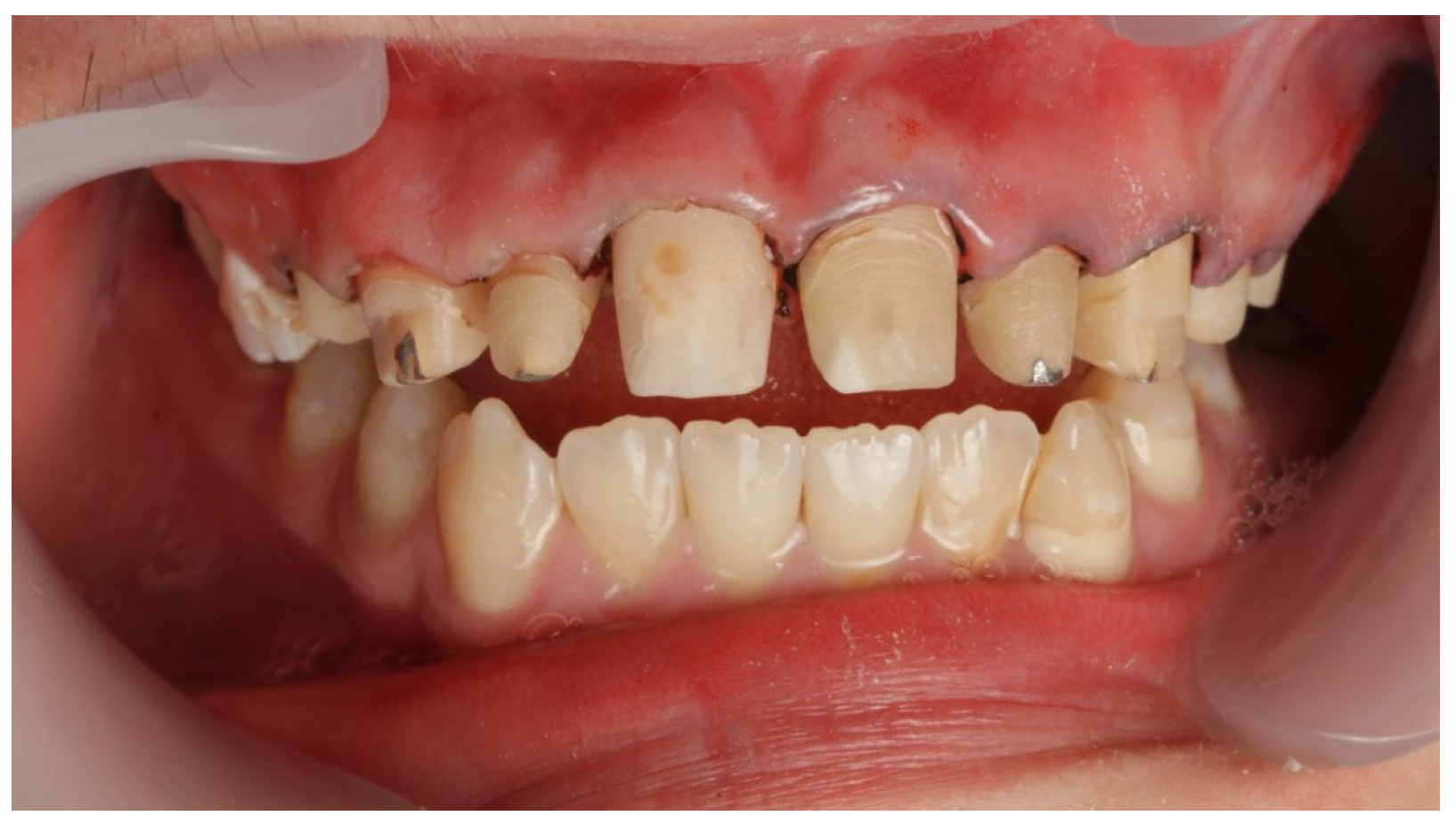
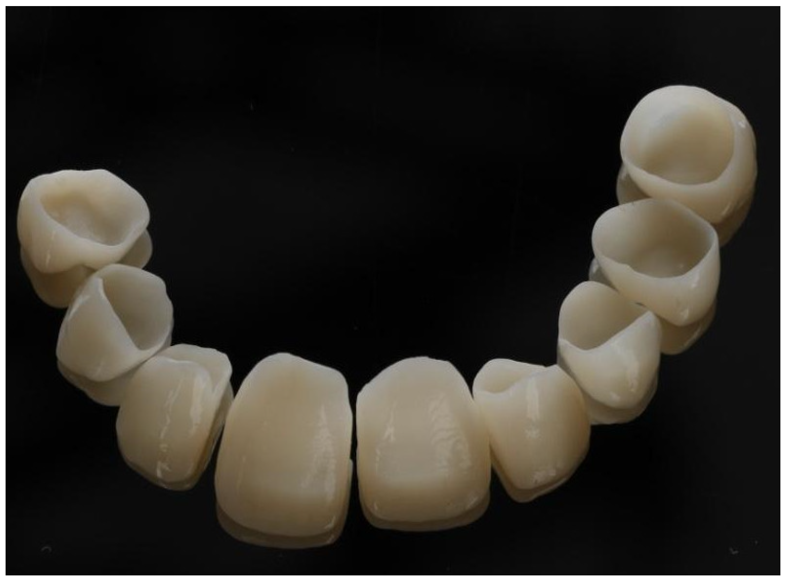
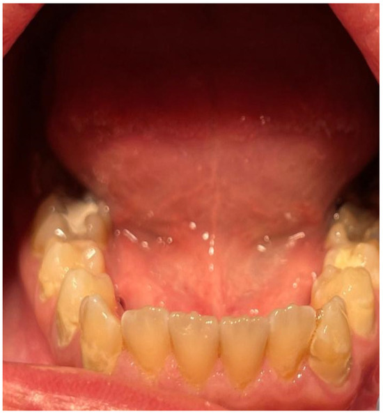
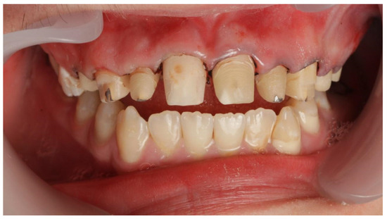
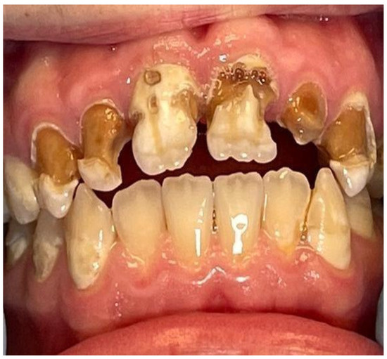
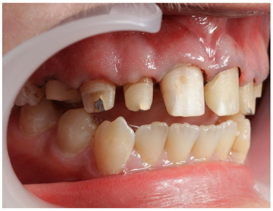
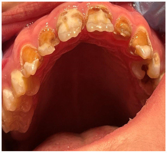
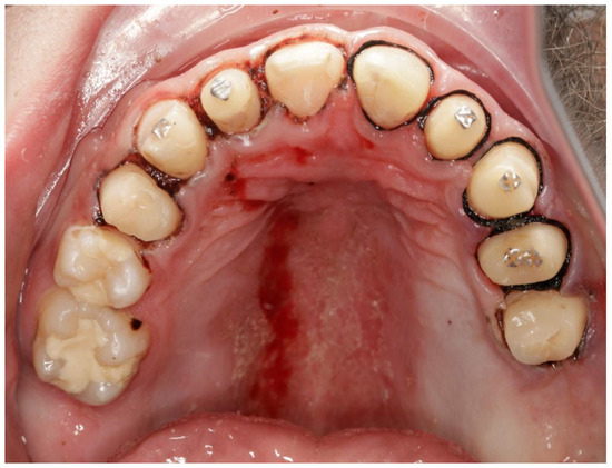
2. Case Report
3. Discussion
4. Conclusions
Author Contributions
Funding
Institutional Review Board Statement
Informed Consent Statement
Data Availability Statement
Conflicts of Interest
References
- Teixeira Marques, N.C.; Gurgel, C.V.; Fernandes, A.P.; Lima, M.C.; Machado, M.A.A.M.; Soares, S.; Oliveira, T.M. Prosthetic rehabilitation in children: An alternative clinical technique. Case Rep. Dent. 2013, 2013, 512951. [Google Scholar] [CrossRef] [PubMed]
- Derbanne, M.A.; Sitbon, M.C.; Landru, M.M.; Naveau, A. Case report: Early prosthetic treatment in children with ectodermal dysplasia. Eur. Arch. Paediatr. Dent. 2010, 11, 301–305. [Google Scholar] [CrossRef] [PubMed]
- Sholapurkar, A.A.; Setty, S.; Pai, K.M. Total anodontia in patient with hypohidrotic ectodermal dysplasia. Report of rare case of Christ-Siemens Touraine syndrome. N. Y. State Dent. J. 2011, 77, 36–39. [Google Scholar] [PubMed]
- Açikgöz, A.; Kademoglu, O.; Elekdag-Türk, S.; Karagöz, F. Hypohidrotic ectodermal dysplasia with true anodontia of the primary dentition. Quintessence Int. 2007, 38, 853–858. [Google Scholar] [PubMed]
- Paschos, E.; Huth, K.C.; Hickel, R. Clinical management of hypohidrotic ectodermal dysplasia with anodontia: Case report. J. Clin. Pediatr. Dent. 2002, 27, 5–8. [Google Scholar] [CrossRef]
- Huth, K.; Sagner, T.; Hickel, R. Interdisciplinary rehabilitation and prevention in a case with early and extensive loss of primary teeth. J. Clin. Pediatr. Dent. 2002, 26, 125–130. [Google Scholar]
- Vierucci, S.; Baccetti, T.; Tollaro, I. Dental and craniofacial findings in hypohidrotic ectodermal dysplasia during the primary dentition phase. J. Clin. Pediatr. Dent. 1994, 18, 291–297. [Google Scholar]
- Sforza, C.; Dellavia, C.; Goffredi, M.; Ferrario, V.F. Soft tissue facial angles in individuals with ectodermal dysplasia: A three-dimensional noninvasive study. Cleft Palate Craniofac. J. 2006, 43, 339–349. [Google Scholar] [CrossRef]
- Cassolato, S.F.; Ross, B.; Daskalogiannakis, J.; Noble, J.; Tompson, B.; Paedo, D. Treatment of dental anomalies in children with complete unilateral cleft lip and palate at SickKids hospital, Toronto. Cleft Palate Craniofac. J. 2009, 46, 166–172. [Google Scholar] [CrossRef]
- Leonard, B.J.; Brust, J.D.; Abrahams, G.; Sielaff, B. Self-concept of children and adolescents with cleft lip and/or palate. Cleft Palate Craniofac. J. 1991, 28, 347–353. [Google Scholar] [CrossRef]
- Dimova-Gabrovska, M.; Dimitrova, D.; Mitronin, V.A. Removable Prosthetic Treatment in children—Literature review. J. IMAB 2018, 24, 2172–2176. [Google Scholar] [CrossRef]
- Bidra, A.S.; Martin, J.W.; Feldman, E. Complete denture prosthodontics in children with ectodermal dysplasia: Review of principles and techniques. Compend. Contin. Educ. Dent. 2010, 31, 426–444. [Google Scholar] [PubMed]
- Spear, F. An Interdisciplinary Approach to the Use of Long-Term Temporary Restorations. J. Am. Dent. Assoc. 2009, 140, 1418–1424. [Google Scholar] [CrossRef] [PubMed]
- Bagheri, A.; Jin, J. Photopolymerization in 3D Printing. ACS Appl. Polym. Mater. 2019, 1, 593–611. [Google Scholar] [CrossRef]
- Tahayeri, A.; Morgan, M.; Fugolin, A.P.; Bompolaki, D.; Athirasala, A.; Pfeifer, C.S.; Ferracane, J.L.; Bertassoni, L.E. 3D Printed versus Conventionally Cured Provisional Crown and Bridge Dental Materials. Dent. Mater. 2018, 34, 192–200. [Google Scholar] [CrossRef]
- Firlej, M. Analiza Indentacyjnej Twardości, Odporności Na Zarysowania i Zużycia Ślizgowego Polimerowych Materiałów z Żywicy 3D DLP UV. Chem. Rev. 2021, 1, 69–74. [Google Scholar] [CrossRef]
- Firlej, M.; Zaborowicz, K.; Zaborowicz, M.; Firlej, E.; Domagała, I.; Pieniak, D.; Igielska-Kalwat, J.; Dmowski, A.; Biedziak, B. Mechanical Properties of 3D Printed Orthodontic Retainers. Int. J. Environ. Res. Public Health 2022, 19, 5775. [Google Scholar] [CrossRef]
- Al-Ibrahim, H.A.; Al-Hadlaq, S.M.; Abduljabbar, T.S.; Al-Hamdan, K.S.; Abdin, H.A. Surgical and implant-supported fixed prosthetic treatment of a patient with ectodermal dysplasia: A case report. Spec. Care Dent. 2012, 32, 1–5. [Google Scholar] [CrossRef]
- Heuberer, S.; Dvorak, G.; Zauza, K.; Watzek, G. The use of onplants and implants in children with severe oligodontia: A retrospective evaluation. Clin. Oral Implant. Res. 2012, 23, 827–831. [Google Scholar] [CrossRef]
- Othman, A.; Sandmair, M.; Alevizakos, V.; von See, C. The fracture resistance of 3D-printed versus milled provisional crowns: An in vitro study. PLoS ONE 2023, 18, e0285760. [Google Scholar] [CrossRef] [PubMed] [PubMed Central]
- Karunakar, P.; Ranga Reddy, M.S.; Kumar, B.S.; Namratha, R. Direct and indirect stamp techniques for composite restorations—Sealing the uniqueness of a tooth: A case series. J. Conserv. Dent. 2022, 25, 327–331. [Google Scholar] [CrossRef] [PubMed] [PubMed Central]
- Almadi, D.; Benington, P.; Ju, X.; Ayoub, A. Reproducibility and reliability of digital occlusal planning for orthognathic surgery. Int. J. Oral Maxillofac. Surg. 2023, 52, 1074–1080. [Google Scholar] [CrossRef] [PubMed]
- Castelo-Baz, P.; Freire-Álvarez-Blázquez, M.; Pereira-Lores, P.; Álvarez-Nóvoa, P.; Dablanca-Blanco, A.; Miguéns-Vila, R.; Martín-Biedma, B. Vertical preparation: A new technique for analogical and digital impressions. J. Clin. Exp. Dent. 2023, 15, e590–e593. [Google Scholar] [CrossRef] [PubMed] [PubMed Central]
- Firlej, M.; Pieniak, D.; Niewczas, A.M.; Walczak, A.; Domagała, I.; Borucka, A.; Przystupa, K.; Igielska-Kalwat, J.; Jarosz, W.; Biedziak, B. Effect of Artificial Aging on Mechanical and Tribological Properties of CAD/CAM Composite Materials Used in Dentistry. Materials 2021, 14, 4678. [Google Scholar] [CrossRef]
- Teixeira Martins, L.G.; Raush Pereira, K.C.; Silva Costa, S.X.; Traebert, E.; Lunardelli, S.E.; Lunardelli, A.N.; Traebert, J. Impact of Dental Caries on Quality of Life of School Children. Braz. Res. Pediatr. Dent. Integr. Clin. 2016, 16, 307–312. [Google Scholar]
- Kohli, R.; Levy, S.; Kummet, C.M.; Dawson, D.V.; Stanford, C.M. Comparison of perceptions of oral health-related quality of life in adolescents affected with ectodermal dysplasias relative to caregivers. Spec. Care Dent. 2011, 31, 88–94. [Google Scholar] [CrossRef]
- Suganna, M.; Kausher, H.; Tarek Ahmed, S.; Sultan Alharbi, H.; Faraj Alsubaie, B.; Ds, A.; Haleem, S.; Meer Rownaq Ali, A.B. Contemporary Evidence of CAD-CAM in Dentistry: A Systematic Review. Cureus 2022, 14, e31687. [Google Scholar] [CrossRef] [PubMed] [PubMed Central]
- Totolici, I.; Totolici, D.; Charaklias, A. Restoration possibilities in children with frontal teeth traumatism. Clinical Cases. OHDMBSC 2005, 4, 45–50. [Google Scholar]
- Innes, N.P.; Evans, D.J. Modern approaches to caries management of the primary dentition. Br. Dent. J. 2013, 11, 559–566. [Google Scholar] [CrossRef]
- Bala, S.; Nikhil, M.; Chugh, A.; Narwal, A. Prosthetic rehabilitation of a child suffering from hypohidrotic ectodermal dysplasia with complete anodontia. Int. J. Clin. Pediatr. Dent. 2012, 5, 148–150. [Google Scholar] [CrossRef]
- Ladda, R.; Gangadhar, S.; Kasat, V.; Bhandari, A. Prosthodontic management of hypohidrotic ectodermal dysplasia with anodontia: A case report in pediatric patient and review of literature. Ann. Med. Health Sci. Res. 2013, 3, 277–281. [Google Scholar] [CrossRef] [PubMed]
- Sharma, P.; Arora, A.; Valiathan, A. Age changes of jaws and soft tissue profile. ScientificWorldJournal 2014, 2014, 301501. [Google Scholar] [CrossRef] [PubMed] [PubMed Central]
- Ferracane, J.L. Hygroscopic and Hydrolytic Effects in Dental Polymer Networks. Dent. Mater. 2006, 22, 211–222. [Google Scholar] [CrossRef] [PubMed]
- Finer, Y.; Santerre, J.P. The Influence of Resin Chemistry on a Dental Composite’s Biodegradation. J. Biomed. Mater. Res. 2004, 69A, 233–246. [Google Scholar] [CrossRef] [PubMed]
- Ammar-Khodja, I.; Picard, C.; Fois, M.; Marais, C.; Netchitaïlo, P. Preliminary Results on Thermo-Oxidative Ageing of Multi-Hole Carbon/Epoxy Composites. Compos. Sci. Technol. 2009, 69, 1427–1431. [Google Scholar] [CrossRef]
- Liu, Y.; Tang, C. Interdisciplinary treatment with implant-supported prostheses for an adolescent with ectodermal dysplasia: A clinical report. J. Prosthet. Dent. 2020, 123, 655–660. [Google Scholar] [CrossRef]
- Pousette Lundgren, G.; Davidson, T.; Dahllöf, G. Cost analysis of prosthetic rehabilitation in young patients with amelogenesis imperfecta. J. Dent. 2021, 115, 103850. [Google Scholar] [CrossRef]















Disclaimer/Publisher’s Note: The statements, opinions and data contained in all publications are solely those of the individual author(s) and contributor(s) and not of MDPI and/or the editor(s). MDPI and/or the editor(s) disclaim responsibility for any injury to people or property resulting from any ideas, methods, instructions or products referred to in the content. |
© 2024 by the authors. Licensee MDPI, Basel, Switzerland. This article is an open access article distributed under the terms and conditions of the Creative Commons Attribution (CC BY) license (https://creativecommons.org/licenses/by/4.0/).
Share and Cite
Zaborowicz, K.; Firlej, M.; Firlej, E.; Zaborowicz, M.; Bystrzycki, K.; Biedziak, B. Use of Computer Digital Techniques and Modern Materials in Dental Technology in Restoration: A Caries-Damaged Smile in a Teenage Patient. J. Clin. Med. 2024, 13, 5353. https://doi.org/10.3390/jcm13185353
Zaborowicz K, Firlej M, Firlej E, Zaborowicz M, Bystrzycki K, Biedziak B. Use of Computer Digital Techniques and Modern Materials in Dental Technology in Restoration: A Caries-Damaged Smile in a Teenage Patient. Journal of Clinical Medicine. 2024; 13(18):5353. https://doi.org/10.3390/jcm13185353
Chicago/Turabian StyleZaborowicz, Katarzyna, Marcel Firlej, Ewa Firlej, Maciej Zaborowicz, Kamil Bystrzycki, and Barbara Biedziak. 2024. "Use of Computer Digital Techniques and Modern Materials in Dental Technology in Restoration: A Caries-Damaged Smile in a Teenage Patient" Journal of Clinical Medicine 13, no. 18: 5353. https://doi.org/10.3390/jcm13185353
APA StyleZaborowicz, K., Firlej, M., Firlej, E., Zaborowicz, M., Bystrzycki, K., & Biedziak, B. (2024). Use of Computer Digital Techniques and Modern Materials in Dental Technology in Restoration: A Caries-Damaged Smile in a Teenage Patient. Journal of Clinical Medicine, 13(18), 5353. https://doi.org/10.3390/jcm13185353

