Exploring the Complexities of Non-Bacterial Thrombotic Endocarditis: Highlights from Literature and Case Studies
Abstract
1. Introduction
2. Epidemiology and Etiology
3. Pathophysiology
3.1. Immune Complexes
3.2. Hypercoagulable States
3.3. Carcinomatosis
4. Clinical Presentation
5. Personal Case Contribution
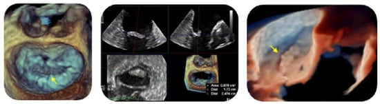
5.1. Case 1
5.2. Case 2
5.3. Case 3
5.4. Case Discussion
- Previous deep venous thrombosis and weight loss could be considered as red flags for marantic NBTE (as in cases 1 and 3);
- The fundamental role of multimodality imaging (TTE + TEE, brain MRI, 18F-FDG/PET–CT scan) for NBTE diagnosis;
- The role of 2D and 3D-TEE for detection and characterization of NBTE valvular lesions;
- Failure of direct oral anticoagulants (DOACs) in NBTE setting (as in cases 1 and 3);
- The need for a tailored antithrombotic therapy;
- Efficacy of 100 mg aspirin in reducing NBTE lesions (case 2: Libman–Sacks endocarditis, high-risk APLs profile, and thrombocytopenia).
6. Diagnosis
6.1. Laboratory Investigations
6.2. Multimodality Imaging
7. Treatment
7.1. Specific Treatment for the Predisposing Condition
7.2. Antithrombotic Therapy
7.3. Surgery
8. Prognosis and Follow-Up
9. A Specialized “NBTE Team” Could Be Useful?
10. Conclusions
Author Contributions
Funding
Conflicts of Interest
References
- Friedberg, C.K.; Gross, L. Nonbacterial thrombotic endocarditis. Classification and general description. Arch. Intern. Med. 1936, 58, 620–640. [Google Scholar]
- Libman, E. Characterization of various forms of endocarditis. J. Am. Med. Assoc. 1923, 80, 813–818. [Google Scholar] [CrossRef]
- Busca-Arenzana, C.; Robles-Marhuenda, A.; Ramos-Ruperto, L.; Alvarez-Troncoso, J. Non-bacterial Thrombotic Endocarditis. In Infective Endocarditis; Intech: London, UK, 2019; Volume 11, p. 13. Available online: https://www.intechopen.com/books (accessed on 21 July 2024).
- Asopa, S.; Patel, A.; Khan, O.A.; Sharma, R.; Ohri, S.K. Non-bacterial thrombotic endocarditis. Eur. J. Cardio-Thorac. Surg. 2007, 32, 696–701. [Google Scholar] [CrossRef]
- Hurrell, H.; Roberts-Thomson, R.; Prendergast, B.D. Non-infective endocarditis. Heart 2020, 106, 1023–1029. [Google Scholar] [CrossRef]
- Zmaili, M.A.; Alzubi, J.M.; Kocyigit, D.; Bansal, A.; Samra, G.S.; Grimm, R.; Griffin, B.P.; Xu, B. A Contemporary 20-Year Cleveland Clinic Experience of Nonbacterial Thrombotic Endocarditis: Etiology, Echocardiographic Imaging, Management, and Outcomes. Am. J. Med. 2021, 134, 361–369. [Google Scholar] [CrossRef] [PubMed]
- Bussani, R.; De-Giorgio, F.; Pesel, G.; Zandonà, L.; Sinagra, G.; Grassi, S.; Baldi, A.; Abbate, A.; Silvestri, F. Overview and comparison of infectious endocarditis and non-infectious endocarditis: A review of 814 autoptic cases. In Vivo 2019, 33, 1565–1572. [Google Scholar] [CrossRef]
- Arbelo, E.; Protonotarios, A.; Gimeno, J.R.; Arbustini, E.; Barriales-Villa, R.; Basso, C.; Bezzina, C.R.; Biagini, E.; Blom, N.A.; de Boer, R.A.; et al. 2023 ESC Guidelines for the management of cardiomyopathies: Developed by the task force on the management of cardiomyopathies of the European Society of Cardiology (ESC). Eur. Heart J. 2023, 44, 3503–3626. [Google Scholar] [CrossRef] [PubMed]
- El-Am, E.; Kurmann, R.; Ahmad, A.; Abbasi, M.; Akiki, E.; Bois, M.; Maleszewski, J.J.; Klarich, K.W. Clinical Characteristics of Patients With Histopathologically Proven Non-Bacterial Thrombotic Endocarditis. J. Am. Coll. Cardiol. 2023, 81, 2299. [Google Scholar] [CrossRef]
- Llenas-García, J.; Guerra-Vales, J.M.; Montes-Moreno, S.; López-Ríos, F.; Castelbón-Fernández, F.J.; Chimeno-García, J. Nonbacterial thrombotic endocarditis: Clinicopathologic study of a necropsy series. Rev. Española Cardiol. 2007, 60, 493–500. [Google Scholar] [CrossRef]
- Quintero-Martinez, J.A.; Hindy, J.-R.; El Zein, S.; Michelena, H.I.; Nkomo, V.T.; DeSimone, D.C.; Baddour, L.M. Contemporary demographics, diagnostics and outcomes in non-bacterial thrombotic endocarditis. Heart 2022, 108, 1637–1643. [Google Scholar] [CrossRef]
- Williams, R.C., Jr. Immune Complexes in Clinical and Experimental Medicine, 1st ed.; Harvard University Press: Cambridge, UK, 1980. [Google Scholar]
- Ziporen, L.; Goldberg, I.; Arad, M.; Hojnik, M.; Ordi-Ros, J.; Afek, A.; Blank, M.; Sandbank, Y.; Vilardell-Tarres, M.; de Torres, I.; et al. Libman-Sacks endocarditis in the antiphospholipid syndrome: Immunopathologic findings in deformed heart valves. Lupus 1996, 5, 196–205. [Google Scholar] [CrossRef] [PubMed]
- Kato, T.; Takama, N.; Harada, T.; Koitabashi, N.; Murakami, M.; Abe, T.; Kurabayashi, M. Nonbacterial Thrombotic Endocarditis—A Rare Case of Acute Libman-Sacks Endocarditis Complicated by Multiple Cerebral Infarcts: Case Report and Literature Review. Case 2020, 4, 507–511. [Google Scholar] [CrossRef] [PubMed]
- Rai, D.; Biniwale, N.; Tahir, M.W.; Baibhav, B. Non-Bacterial Thrombotic Endocarditis As Initial Presentation of Antiphospholipid Syndrome. J. Am. Coll. Cardiol. 2019, 73, 2569. [Google Scholar] [CrossRef]
- Liu, J.; Frishman, W.H. Nonbacterial Thrombotic Endocarditis: Pathogenesis, Diagnosis, and Management. Cardiol. Rev. 2016, 24, 244–247. [Google Scholar] [CrossRef] [PubMed]
- MacDonald, R.A.; Robbins, S.L. The significance of nonbacterial thrombotic endocarditis: An autopsy and clinical study of 78 cases. Am. Intern. Med. 1957, 46, 255–273. [Google Scholar]
- Spira, Y.; Chand, S.; Veasaw, K.; Mahmood, U.; Fuisz, A. A Rare Case of Non-Bacterial Thrombotic Endocarditis in a Patient With Known Itp and Newly Diagnosed Antiphospholipid Syndrome After Presenting With a Stroke. J. Am. Coll. Cardiol. 2024, 83, 4408. [Google Scholar] [CrossRef]
- Nguyen, T.H.; Greinacher, A. Distinct Binding Characteristics of Pathogenic Anti-Platelet Factor-4/Polyanion Antibodies to Antigens Coated on Different Substrates: A Perspective on Clinical Application. ACS Nano 2018, 12, 12030–12041. [Google Scholar] [CrossRef]
- Durante-Mangoni, E.; Iossa, D.; Nappi, F.; Utili, R. Inherited hyper-homocysteinemia as a cause of non-bacterial thrombotic endocarditis. J. Heart Valve Dis. 2011, 20, 232–233. [Google Scholar] [PubMed]
- Sirinvaravong, N.; Ziccardi, M.C.R.; Patnaik, S.; Shah, M.; Fernandez, G.; Aliling, J.-N.; Rubin, A. Nonbacterial thrombotic endocarditis in a patient with primary antiphospholipid syndrome. Oxf. Med. Case Rep. 2018, 2018, 190–194. [Google Scholar] [CrossRef]
- Kaneyuki, D.; Matsuura, K.; Ueda, H.; Kohno, H.; Kanbe, M.; Matsumiya, G. Surgical management of nonbacterial thrombotic endocarditis in malignancy. Surg. Case Rep. 2017, 3, 60. [Google Scholar] [CrossRef] [PubMed]
- Trousseau, A. Plegmasia alba dolens. In Lectures on Clinical Medicine, Delivered at the Hotel-Dieu, Paris; New Sydenham Society: London, UK, 1865; Volume 5, pp. 281–332. [Google Scholar]
- Varki, A. Trousseau’s syndrome: Multiple definitions and multiple mechanisms. Blood 2007, 110, 1723–1729. [Google Scholar] [CrossRef] [PubMed]
- Kounis, N.G.; Hung, M.-Y.; de Gregorio, C.; Mplani, V.; Gogos, C.; Assimakopoulos, S.F.; Plotas, P.; Dousdampanis, P.; Kouni, S.N.; Maria, A.; et al. Cardio-Oncoimmunology: Cardiac Toxicity, Cardiovascular Hypersensitivity, and Kounis Syndrome. Life 2024, 14, 400. [Google Scholar] [CrossRef] [PubMed]
- Mustafa, A.; Wei, C.; Grovu, R.; Khan, S.; Rizvi, T.; Khan, D.; Lafferty, J.C.; Weinberg, M.D.; Spagnola, J. Heart Failure and Systemic Lupus Erythematosus—A Dangerous Duo Increasing the Risk of Non-Bacterial Thrombotic Endocarditis. J. Am. Coll. Cardiol. 2024, 83, 404. [Google Scholar] [CrossRef]
- Naveed, S.; Aziz, S.; Chima, N.; Gandhi, N. Non-Bacterial Thrombotic Endocarditis in a Non-Small Cell Lung Cancer Patient. J. Am. Coll. Cardiol. 2024, 83, 3041. [Google Scholar] [CrossRef]
- Allen, A.C.; Sirota, J.H. The Morphogenesis and Significance of Degenerative Verrucal Endocardiosis (Terminal Endocarditis, Endocarditis Simplex, Nonbacterial Thrombotic Endocarditis). Am. J. Pathol. 1944, 20, 1025–1055. [Google Scholar]
- Svantner, J.; Lavanchy, L.; Labouchère, A. Recurrent embolic strokes due to antiphospholipid syndrome and non-bacterial thrombotic endocarditis in a patient with basal cell carcinoma. J. Cardiothorac. Surg. 2023, 18, 177. [Google Scholar] [CrossRef] [PubMed]
- Chighizola, C.B.; Andreoli, L.; Gerosa, M.; Tincani, A.; Ruffatti, A.; Meroni, P.L. The treatment of anti-phospholipid syndrome: A comprehensive clinical approach. J. Autoimmun. 2018, 90, 1–27. [Google Scholar] [CrossRef]
- Yazici, A. Definition and treatment approach of non-criteria clinical manifestations of antiphospholipid syndrome. Eur. J. Rheumatol. 2020, 7, 180–183. [Google Scholar] [CrossRef] [PubMed]
- Tattevin, P.; Watt, G.; Revest, M.; Arvieux, C.; Fournier, P.E. Update on blood culture-negative endocarditis. Med. Mal. Infect. 2015, 45, 1–8. [Google Scholar] [CrossRef]
- Mchugh, J.; Saleh, O.A. Updates in Culture-Negative Endocarditis. Pathogens 2023, 12, 1027. [Google Scholar] [CrossRef]
- Kurmann, R.D.; Klarich, K.W.; Wysokinska, E.; Houghton, D.; Kaminska, A.; Patrzalek, P.; Hodge, D.; Wysokinski, W.E. Echocardiographic findings in cancer-associated non-bacterial thrombotic endocarditis. Clinical series of 111 patients from single institution. Eur. Heart J. Cardiovasc. Imaging 2024, jeae112. [Google Scholar] [CrossRef] [PubMed]
- Sadeghpour, A.; Pourafkari, L.; Nader, N.D. Mitral valve ‘kissing lesion’ in Libman-Sacks endocarditis. QJM Int. J. Med. 2021, 114, 338. [Google Scholar] [CrossRef] [PubMed]
- Schneider, M.; Frydas, A.; Grubitzsch, H.; Pieske, B.; Morris, D.A. The marantic kiss: Potential novel pathognomonic echocardiographic sign of non-bacterial thrombotic endocarditis. Eur. Heart J. Cardiovasc. Imaging 2023, 24, E19. [Google Scholar] [CrossRef]
- Roldan, C.A.; Tolstrup, K.; Macias, L.; Qualls, C.R.; Maynard, D.; Charlton, G.; Sibbitt, W.L., Jr. Libman-Sacks Endocarditis: Detection, Characterization, and Clinical Correlates By Three-dimensional Transesophageal Echocardiography. J. Am. Soc. Echocardiogr. 2016, 28, 770–779. [Google Scholar] [CrossRef] [PubMed]
- Bui, S.T.T.; Nguyen, P.H.; Nguyen, T.N.; Kirkpatrick, J.N.; Nguyen, V.K.; Nguyen, H.T.T. Multivalvular involvement associated with Libman-Sacks endocarditis detected by multimodality imaging: A case report. Front. Cardiovasc. Med. 2023, 10, 1117711. [Google Scholar] [CrossRef]
- Papakonstantinou, K.; Rorris, F.P.; Stanitsa, N.; Kokotsakis, J. PET-scan in diagnosis of non-bacterial thrombotic endocarditis: A case report. Egypt. Heart J. 2024, 76, 21. [Google Scholar] [CrossRef] [PubMed]
- Petkovic, A.; Menkovic, N.; Petrovic, O.; Bilbija, I.; Nisevic, M.; Radovanovic, N.N.; Stanisavljevic, D.; Putnik, S.; Maksimovic, R.; Ivanovic, B. Imaging in Infective Endocarditis—Current Opinions and Trends in Cardiac Computed Tomography. Diagnostics 2024, 14, 1355. [Google Scholar] [CrossRef]
- Petkovic, A.; Menkovic, N.; Petrovic, O.; Bilbija, I.; Radovanovic, N.N.; Stanisavljevic, D.; Putnik, S.; Maksimovic, R.; Ivanovic, B. The Role of Echocardiography and Cardiac Computed Tomography in Diagnosis of Infective Endocarditis. J. Clin. Med. 2023, 12, 5482. [Google Scholar] [CrossRef]
- Khalique, O.K.; Veillet-Chowdhury, M.; Choi, A.D.; Feuchtner, G.; Lopez-Mattei, J. Cardiac computed tomography in the contemporary evaluation of infective endocarditis. J. Cardiovasc. Comput. Tomogr. 2021, 15, 304–312. [Google Scholar] [CrossRef]
- Tonutti, A.; Scarfò, I.; La Canna, G.; Selmi, C.; De Santis, M. Diagnostic Work-Up in Patients with Nonbacterial Thrombotic Endocarditis. J. Clin. Med. 2023, 12, 5819. [Google Scholar] [CrossRef]
- Baddour, L.M.; Wilson, W.R.; Bayer, A.S.; Fowler, V.G., Jr.; Tleyjeh, I.M.; Rybak, M.J.; Barsic, B.; Lockhart, P.B.; Gewitz, M.H.; Levison, M.E.; et al. Infective endocarditis in adults: Diagnosis, antimicrobial therapy, and management of complications: A scientific statement for healthcare professionals from the American Heart Association. Circulation 2015, 132, 1435–1486. [Google Scholar] [CrossRef]
- Solis, J.G.; Guajardo, D.A.H.; Melara, Q.M.; Carrizales-Sepulveda, E.F.; Vera-Pineda, R.; Contreras, E.P.; Farías, A.O.; Flores-Ramirez, R. Marantic Endocarditis and Thrombotic Storm in a Young Woman with an Underlying Malignancy. J. Am. Coll. Cardiol. 2023, 81, 3012. [Google Scholar] [CrossRef]
- Khachatoorian, Y.; Lasam, G.; Sabharwal, B.; Alam, L.; Sud, K.; Argulian, E.; Talebi, S. Libman-Sacks Endocarditis Treatment With Warfarin After Rivaroxaban Failure: Breaking the Cascade of Deleterious Sequelae. J. Am. Coll. Cardiol. 2022, 79, 3434. [Google Scholar] [CrossRef]
- Sethalao, P.; Tungsubutra, W.; Chirakarnjanakorn, S. Non-Bacterial Thrombotic Endocarditis: Always Look Beyond the Heart. J. Am. Coll. Cardiol. 2020, 75, 2724. [Google Scholar] [CrossRef]
- Bourque, J.M.; Birgersdotter-Green, U.; Bravo, P.E.; Budde, R.P.; Chen, W.; Chu, V.H.; Dilsizian, V.; Erba, P.A.; Kattan, C.G.; Habib, G.; et al. 18F-FDG PET/CT and radiolabeled leukocyte SPECT/CT imaging for the evaluation of cardiovascular infection in the multimodality context: ASNC Imaging Indications (ASNC I2) Series Expert Consensus Recommendations from ASNC, AATS, ACC, AHA, ASE, EANM, HRS, IDSA, SCCT, SNMMI, and STS. Heart Rhythm 2024, 21, e1–e29. [Google Scholar] [CrossRef] [PubMed]
- Rabinstein, A.A.; Giovanelli, C.; Romano, J.G.; Koch, S.; Forteza, A.M.; Ricci, M. Surgical treatment of nonbacterial thrombotic endocarditis presenting with stroke. J. Neurol. 2005, 252, 352–355. [Google Scholar] [CrossRef] [PubMed]
- Lee, H.S.; Doan, N.; Mukherjee, A.; Alesh, I.; Pai, R.; Sethi, P. A Multi-System Approach To Investigating the Etiology of Stroke and Endocarditis in an Ovarian Cancer Patient. J. Am. Coll. Cardiol. 2018, 71, A2301. [Google Scholar] [CrossRef]
- Roldan, C.A.; Sibbitt, W.L.; Greene, E.R.; Qualls, C.R.; Jung, R.E. Libman-Sacks endocarditis and associated cerebrovascular disease: The role of medical therapy. PLoS ONE 2021, 16, e0247052. [Google Scholar] [CrossRef]
- Greinacher, A. CLINICAL PRACTICE. Heparin-Induced Thrombocytopenia. N. Engl. J. Med. 2015, 373, 252–261. [Google Scholar] [CrossRef]
- Pengo, V.; Denas, G.; Zoppellaro, G.; Jose, S.P.; Hoxha, A.; Ruffatti, A.; Andreoli, L.; Tincani, A.; Cenci, C.; Prisco, D.; et al. Rivaroxaban vs warfarin in high-risk patients with antiphospholipid syndrome. Blood 2018, 132, 1365–1371. [Google Scholar] [CrossRef]
- Ordi-Ros, J.; Sáez-Comet, L.; Pérez-Conesa, M.; Vidal, X.; Riera-Mestre, A.; Castro-Salomó, A.; Cuquet-Pedragosa, J.; Ortiz-Santamaria, V.; Mauri-Plana, M.; Solé, C.; et al. Rivaroxaban versus Vitamin K antagonist in antiphospholipid syndrome a randomized noninferiority trial. Ann. Intern. Med. 2019, 171, 685–694. [Google Scholar] [CrossRef] [PubMed]
- Akiki, E.; Ahmad, A.; El-Am, E.; Abbasi, M.; Klarich, K.W.; Kurmann, R. New Is Not Always Better: Treatment of Non-Bacterial Thrombotic Endocarditis. J. Am. Coll. Cardiol. 2023, 81, 3037. [Google Scholar] [CrossRef]
- Schneider-Reigbert, M.; Zach, V.; Frydas, A.; Morris, D.A. Non-bacterial thrombotic endocarditis: A highly dynamic entity with rapid response to initiation and discontinuation of heparin. Eur. Heart J. Cardiovasc. Imaging 2023, 24, E41. [Google Scholar] [CrossRef] [PubMed]
- Mantovani, F.; Navazio, A.; Barbieri, A.; Boriani, G. A first described case of cancer-associated non-bacterial thrombotic endocarditis in the era of direct oral anticoagulants. Thromb. Res. 2017, 149, 45–47. [Google Scholar] [CrossRef] [PubMed]
- Whitlock, R.P.; Sun, J.C.; Fremes, S.E.; Rubens, F.D.; Teoh, K.H. Antithrombotic and thrombolytic therapy for valvular disease: Antithrombotic therapy and prevention of thrombosis, 9th ed: American College of Chest Physicians Evidence-Based Clinical Practice Guidelines. Chest 2012, 141 (Suppl. S2), e576S–e600S. [Google Scholar] [CrossRef] [PubMed]
- Minami, T.; Kawano, H.; Yoshimuta, T.; Maemura, K. Heparin treatment ameliorates aortic regurgitation due to malignancy-associated non-bacterial thrombotic endocarditis. Eur. Heart J. Cardiovasc. Imaging 2022, 23, E269. [Google Scholar] [CrossRef]
- Tektonidou, M.G.; Andreoli, L.; Limper, M.; Amoura, Z.; Cervera, R.; Costedoat-Chalumeau, N.; Cuadrado, M.J.; Dörner, T.; Ferrer-Oliveras, R.; Hambly, K.; et al. EULAR recommendations for the management of antiphospholipid syndrome in adults. Ann. Rheum. Dis. 2019, 78, 1296–1304. [Google Scholar] [CrossRef]
- Uthman, I.; Noureldine, M.H.A.; Ruiz-Irastorza, G.; Khamashta, M. Management of antiphospholipid syndrome. Ann. Rheum. Dis. 2019, 78, 155–161. [Google Scholar] [CrossRef] [PubMed]
- Krause, I.; Blank, M.; Fraser, A.; Lorber, M.; Stojanovich, L.; Rovensky, J.; Shoenfeld, Y. The association of thrombocytopenia with systemic manifestations in the antiphospholipid syndrome. Immunobiology 2005, 210, 749–754. [Google Scholar] [CrossRef] [PubMed]
- Pizzino, F.; Paradossi, U.; Trimarchi, G.; Benedetti, G.; Marchi, F.; Chiappino, S.; Conti, M.; Di Bella, G.; Murzi, M.; Di Sibio, S.; et al. Clinical Features and Patient Outcomes in Infective Endocarditis with Surgical Indication: A Single-Centre Experience. J. Cardiovasc. Dev. Dis. 2024, 11, 138. [Google Scholar] [CrossRef]
- Stewart, J.E.; Larkin, E.X. Clinical Case Reports. Aust. Vet. J. 1926, 2, 105. [Google Scholar] [CrossRef]
- Bouma, W.; Klinkenberg, T.J.; van der Horst, I.C.; Hamer, I.J.W.-D.; Erasmus, M.E.; Bijl, M.; Suurmeijer, A.J.; Zijlstra, F.; Mariani, M.A. Mitral valve surgery for mitral regurgitation caused by Libman-Sacks endocarditis: A report of four cases and a systematic review of the literature. J. Cardiothorac. Surg. 2010, 5, 13. [Google Scholar] [CrossRef] [PubMed]
- Greinacher, S.S.A.; Fürll, B. Heparin-Induced Thrombocytopenia. In Haemostasis: Methods and Protocols, Methods in Molecular Biology; StatPearls Publishing: Treasure Island, FL, USA, 2013; Volume 992. [Google Scholar] [CrossRef]













| NBTE | INFECTIVE ENDOCARDITIS | |
|---|---|---|
| Predisposing conditions: | Cancer Autoimmune disorders Hypercoagulable states | Previous IE Valvular heart disease Prosthetic heart valve Congenital heart disease (CHD) Transvenous cardiac implantable electronic device Central venous or arterial catheter People who inject drugs (PWID) |
| Clinical presentations: | ||
| Fever | − | + |
| Valve dysfunction | + | ++ |
| Heart failure | + | +++ |
| Embolic events | +++ | + |
| Microbiology: | Negative serial blood cultures/serology/PCR | Blood cultures/serology + in up to 70% of cases |
| Echocardiography: | Valvular thickening Verrucous, broad based, irregular vegetations, especially at valvular leaflets tip Possible false negative results if already embolized + Left-sided heart valves | Mass of variable echo density, mobility and location +++ Paravalvular complications Right-sided predilection in PWID |
| CT scan: | Cardiac CT
Whole-body CT
| Cardiac CT
Whole-body CT
|
| Brain MRI: | Usually, small disseminated infarcts | Typically, a large infarct confined to a single vascular territory |
| PET/CT scan: | [18F] FDG uptake – for cardiac lesion | [18F] FDG uptake + for cardiac lesion |
| Cardiac surgery: | + +++ Valve sparing | ++ ++ Valve replacement |
Disclaimer/Publisher’s Note: The statements, opinions and data contained in all publications are solely those of the individual author(s) and contributor(s) and not of MDPI and/or the editor(s). MDPI and/or the editor(s) disclaim responsibility for any injury to people or property resulting from any ideas, methods, instructions or products referred to in the content. |
© 2024 by the authors. Licensee MDPI, Basel, Switzerland. This article is an open access article distributed under the terms and conditions of the Creative Commons Attribution (CC BY) license (https://creativecommons.org/licenses/by/4.0/).
Share and Cite
Santarpino, G.; Lofrumento, F.; Zito, C.; Trio, O.; Restelli, D.; Cusmà Piccione, M.; Manganaro, R.; Carerj, S.; Cardetta, F.; Fiore, C.; et al. Exploring the Complexities of Non-Bacterial Thrombotic Endocarditis: Highlights from Literature and Case Studies. J. Clin. Med. 2024, 13, 4904. https://doi.org/10.3390/jcm13164904
Santarpino G, Lofrumento F, Zito C, Trio O, Restelli D, Cusmà Piccione M, Manganaro R, Carerj S, Cardetta F, Fiore C, et al. Exploring the Complexities of Non-Bacterial Thrombotic Endocarditis: Highlights from Literature and Case Studies. Journal of Clinical Medicine. 2024; 13(16):4904. https://doi.org/10.3390/jcm13164904
Chicago/Turabian StyleSantarpino, Giuseppe, Francesca Lofrumento, Concetta Zito, Olimpia Trio, Davide Restelli, Maurizio Cusmà Piccione, Roberta Manganaro, Scipione Carerj, Francesco Cardetta, Corrado Fiore, and et al. 2024. "Exploring the Complexities of Non-Bacterial Thrombotic Endocarditis: Highlights from Literature and Case Studies" Journal of Clinical Medicine 13, no. 16: 4904. https://doi.org/10.3390/jcm13164904
APA StyleSantarpino, G., Lofrumento, F., Zito, C., Trio, O., Restelli, D., Cusmà Piccione, M., Manganaro, R., Carerj, S., Cardetta, F., Fiore, C., & de Gregorio, C. (2024). Exploring the Complexities of Non-Bacterial Thrombotic Endocarditis: Highlights from Literature and Case Studies. Journal of Clinical Medicine, 13(16), 4904. https://doi.org/10.3390/jcm13164904

