Persistent Gastrointestinal Bleeding after Aortic Valve Replacement in Heyde’s Syndrome
Abstract
1. Introduction
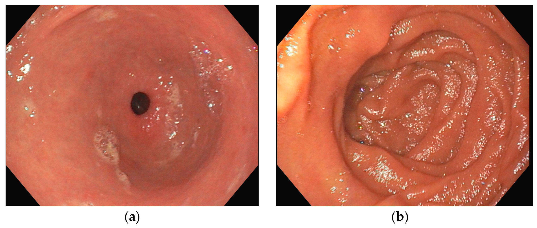
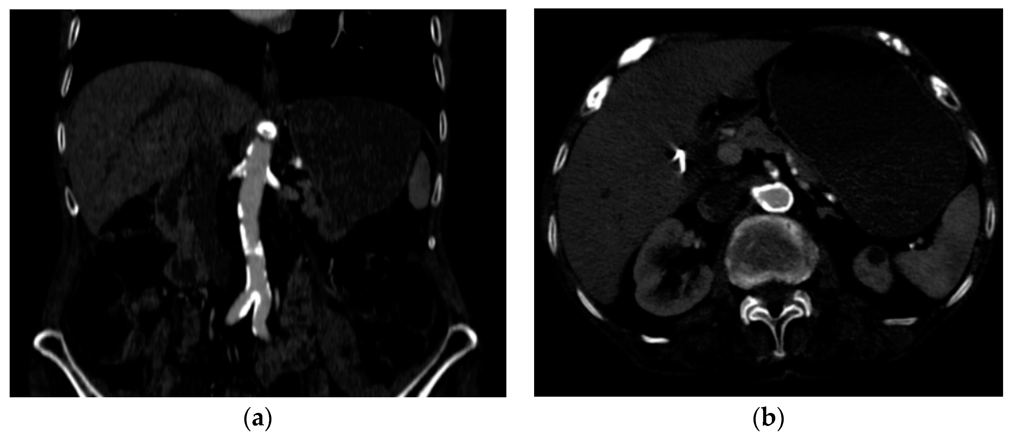
2. Case Presentation
3. Epidemiology
4. Pathophysiology
5. Risk Factors
6. Diagnosis
6.1. Clinical Diagnosis
6.2. Diagnostic Investigations
7. Management of Heyde’s Syndrome
8. Prognosis
9. Conclusions
Author Contributions
Funding
Conflicts of Interest
References
- Mondal, S.; Hollander, K.N.; Ibekwe, S.O.; Williams, B.; Tanaka, K. Heyde Syndrome–Pathophysiology and Perioperative Implications. J. Cardiothorac. Vasc. Anesth. 2021, 35, 3331–3339. [Google Scholar] [CrossRef]
- Blackshear, J.L. Heyde Syndrome. Clin. Geriatr. Med. 2019, 35, 369–379. [Google Scholar] [CrossRef] [PubMed]
- Iijima, M.; Itoh, N.; Murase, R.; Makino, Y. A Surgical Case of Aortic Stenosis with Recurrent Gastrointestinal Bleeding: Heyde Syndrome. Int. J. Surg. Case Rep. 2018, 53, 281–284. [Google Scholar] [CrossRef]
- Lourdusamy, D.; Mupparaju, V.K.; Sharif, N.F.; Ibebuogu, U.N. Aortic Stenosis and Heyde’s Syndrome: A Comprehensive Review. World J. Clin. Cases 2021, 9, 7319–7329. [Google Scholar] [CrossRef]
- Goltstein, L.C.M.J.; Rooijakkers, M.J.P.; Hoeks, M.; Li, W.W.L.; Van Wely, M.H.; Rodwell, L.; Van Royen, N.; Drenth, J.P.H.; Van Geenen, E.-J.M. Effectiveness of Aortic Valve Replacement in Heyde Syndrome: A Meta-Analysis. Eur. Heart J. 2023, 44, 3168–3177. [Google Scholar] [CrossRef]
- Casonato, A.; Sponga, S.; Pontara, E.; Cattini, M.G.; Basso, C.; Thiene, G.; Cella, G.; Daidone, V.; Gerosa, G.; Pagnan, A. Von Willebrand Factor Abnormalities in Aortic Valve Stenosis: Pathophysiology and Impact on Bleeding. Thromb. Haemost. 2011, 106, 58–66. [Google Scholar]
- Leebeek, F.W.G. New Developments in Diagnosis and Management of Acquired Hemophilia and Acquired von Willebrand Syndrome. Hemasphere 2021, 5, e586. [Google Scholar] [CrossRef]
- Waldschmidt, L.; Drolz, A.; Heimburg, P.; Goßling, A.; Ludwig, S.; Voigtländer, L.; Linder, M.; Schofer, N.; Reichenspurner, H.; Blankenberg, S.; et al. Heyde Syndrome: Prevalence and Outcomes in Patients Undergoing Transcatheter Aortic Valve Implantation. Clin. Res. Cardiol. 2021, 110, 1939–1946. [Google Scholar] [CrossRef] [PubMed]
- Tjahjadi, C.; Wee, Y.; Hay, K.; Tesar, P.; Clarke, A.; Walters, D.L.; Bett, N. Heyde Syndrome Revisited: Anaemia and Aortic Stenosis. Intern. Med. J. 2017, 47, 814–818. [Google Scholar] [CrossRef]
- Jamil, D.; Tran, H.H.-V.; Mansoor, M.; Bbutt, S.R.; Satnarine, T.; Ratna, P.; Sarker, A.; Ramesh, A.S.; Munoz Tello, C.; Mohammed, L. Multimodal Treatment and Diagnostic Modalities in the Setting of Heyde’s Syndrome: A Systematic Review. Cureus 2022, 14, e28080. [Google Scholar] [CrossRef] [PubMed]
- Mohee, K.; Aldalati, O.; Dworakowski, R.; Haboubi, H. Aortic Stenosis and Anemia with an Update on Approaches to Managing Angiodysplasia in 2018. Cardiol. J. 2020, 27, 72–77. [Google Scholar] [CrossRef] [PubMed]
- Johnson, A.M.; Chovwen, P.E.; Akpan, E.J.; Patel, A. Aortic Valve Stenosis, a Precipitating Factor of Recurrent Bleed in Colonic Angiodysplasia: A Literature Review. Cureus 2021, 13, e15903. [Google Scholar] [CrossRef]
- Selvam, S.N.; Bowman, M.; Inglis, M.; Kloosterman, R.; Grabell, J.; Casey, L.; Johri, A.M.; James, P. Patients with Aortic Stenosis Have von Willebrand Factor Abnormalities and Increased Proliferation of Endothelial Colony Forming Cells. J. Thromb. Haemost. 2020, 18, 593–603. [Google Scholar] [CrossRef]
- Franchini, M.; Mannucci, P.M. Von Willebrand Disease-associated Angiodysplasia: A Few Answers, Still Many Questions. Br. J. Haematol. 2013, 161, 177–182. [Google Scholar] [CrossRef]
- Ledingham, D. Heyde’s Syndrome: Exploring the Link between Aortic Stenosis and an Acquired Bleeding Disorder. BMJ Case Rep. 2013, 2013, bcr2013009306. [Google Scholar] [CrossRef]
- Kubo, T.; Yoshii, S.; Yamano, H.; Saito, M.; Sakata, K.; Sugita, S.; Hasegawa, T.; Horiuchi, H.; Nakase, H. Jejunal Angiodysplasia in an Elderly Patient with Aortic Stenosis: Significance of Von Willebrand Factor as an Etiologic Factor. Intern. Med. 2023, 62, 2059–2062. [Google Scholar] [CrossRef] [PubMed]
- Weyand, A.C.; Flood, V.H. Von Willebrand Disease. Hematol. Oncol. Clin. N. Am 2021, 35, 1085–1101. [Google Scholar] [CrossRef] [PubMed]
- Randi, A.M.; Laffan, M.A. Von Willebrand Factor and Angiogenesis: Basic and Applied Issues. J. Thromb. Haemost. 2017, 15, 13–20. [Google Scholar] [CrossRef]
- Starke, R.D.; Ferraro, F.; Paschalaki, K.E.; Dryden, N.H.; McKinnon, T.A.J.; Sutton, R.E.; Payne, E.M.; Haskard, D.O.; Hughes, A.D.; Cutler, D.F.; et al. Endothelial von Willebrand Factor Regulates Angiogenesis. Blood 2011, 117, 1071–1080. [Google Scholar] [CrossRef]
- Randi, A.M. Endothelial Dysfunction in von Willebrand Disease: Angiogenesis and Angiodysplasia. Thromb. Res. 2016, 141, S55–S58. [Google Scholar] [CrossRef]
- Gordon, F.H.; Watkinson, A.; Hodgson, H. Vascular Malformations of the Gastrointestinal Tract. Best Pract. Res. Clin. Gastroenterol. 2001, 15, 41–58. [Google Scholar] [CrossRef]
- Saha, B.; Wien, E.; Fancher, N.; Kahili-Heede, M.; Enriquez, N.; Velasco-Hughes, A. Heyde’s Syndrome: A Systematic Review of Case Reports. BMJ Open Gastroenterol. 2022, 9, e000866. [Google Scholar] [CrossRef]
- Vahanian, A.; Beyersdorf, F.; Praz, F.; Milojevic, M.; Baldus, S.; Bauersachs, J.; Capodanno, D.; Conradi, L.; De Bonis, M.; De Paulis, R.; et al. 2021 ESC/EACTS Guidelines for the Management of Valvular Heart Disease. Eur. Heart J. 2022, 43, 561–632. [Google Scholar] [CrossRef] [PubMed]
- Hudzik, B.; Wilczek, K.; Gasior, M. Heyde Syndrome: Gastrointestinal Bleeding and Aortic Stenosis. CMAJ 2016, 188, 135–138. [Google Scholar] [CrossRef] [PubMed]
- De Palma, G.D.; Salvatori, F.; Masone, S.; Simeoli, I.; Rega, M.; Celiento, M.; Persico, G. Acute Gastrointestinal Bleeding Following Aortic Valve Replacement in a Patient with Heyde’s Sindrome. Case Report. Minerva Gastroenterol. E Dietol. 2007, 53, 291–293. [Google Scholar]
- Thompson, J.L.; Schaff, H.V.; Dearani, J.A.; Park, S.J.; Sundt, T.M.; Suri, R.M.; Blackshear, J.L.; Daly, R.C. Risk of Recurrent Gastrointestinal Bleeding after Aortic Valve Replacement in Patients with Heyde Syndrome. J. Thorac. Cardiovasc. Surg. 2012, 144, 112–116. [Google Scholar] [CrossRef] [PubMed]
- Ozturk, C.; Celik, T.; Yildirim, A.O.; Demir, M.; Balta, S.; Bozlar, U.; Ozturk, A.; Guler, A.; Sahin, M.A.; Iyisoy, A. Severe Gastrointestinal Bleeding Due to Angiodysplasia after Transcatheter Aortic Valve Implantation in a Patient with High Frailty; What about Antiplatelet and Anticoagulant Therapy. Int. Cardiovasc. Forum J. 2016, 8, 108–110. [Google Scholar] [CrossRef][Green Version]
- Waldschmidt, L.; Drolz, A.; Heimburg, P.; Gossling, A.; Schofer, N.; Voigtlaender, L.; Ludwig, S.; Linder, M.; Reichenspurner, H.; Blankenberg, S.; et al. P1848Prevalence and Outcomes in Patients with Heyde Syndrome after Transcatheter Aortic Valve Implantation, a Single Centre Experience. Eur. Heart J. 2019, 40 (Suppl. S1), ehz748.0599. [Google Scholar] [CrossRef]
- Virk, Z.M.; Song, A.B.; Badran, Y.R.; Al-Samkari, H. Systemic Bevacizumab as Salvage Therapy for Persistent Severe Bleeding and Anemia in Heyde Syndrome Following Aortic Valve Replacement. J. Thromb. Thrombolysis 2022, 54, 255–259. [Google Scholar] [CrossRef]
- Brown, J.A.; Sultan, I.; Lewis, J.; Thoma, F.; Kliner, D.; Serna-Gallegos, D.; Sanon, S.; Mulukutla, S.; Navid, F.; Toma, C. Impact of Transcatheter Aortic Valve Implantation on Severe Gastrointestinal Bleeding in Patients with Aortic Stenosis. Am. J. Cardiol. 2022, 177, 76–83. [Google Scholar] [CrossRef]
- Notoya, G.; Niikura, R.; Yamada, A.; Ochi, M.; Kawai, T.; Koike, K. Long Survival after Gastrointestinal Bleeding in a New-Onset Heyde’s Syndrome Patient Treated with Multiple Endoscopic Hemostatic Procedures and Repeated Transfusions after Aortic Valve Replacement. Case Rep. Gastroenterol. 2021, 15, 819–824. [Google Scholar] [CrossRef] [PubMed]
- Giovannini, I.; Chiarla, C.; Murazio, M.; Clemente, G.; Giuliante, F.; Nuzzo, G. An Extreme Case of Heyde Syndrome. Dig. Surg. 2006, 23, 387–388. [Google Scholar] [CrossRef] [PubMed]





| Test | Value | Normal Value |
|---|---|---|
| Complete blood count | ||
| WBC | 8.750/mm3 | 4.000–10.000/mm3 |
| RBC | 2.560.000/mm3 | 3.800.000–5.200.000/mm3 |
| Hemoglobin | 7.5 g/dL | 12–16 g/dL |
| Platelets | 286.000/mm3 | 150.000–400.000/mm3 |
| MCV | 91.8/fL | 78–96/fL |
| MCH | 29.3/pg | 27–34/pg |
| MCHC | 31.9 g/dL | 31–36 g/dL |
| Lymphocytes | 20.7% | 20–45% |
| Neutrophils | 70% | 45–80% |
| Eosinophils | 0.8% | 0–5% |
| Lymphocytes | 1.810/mm3 | 1.000–4.000/mm3 |
| Neutrophils | 6.120/mm3 | 2.000–8.000/mm3 |
| Eosinophils | 70/mm3 | 0–500/mm3 |
| Biochemistry panel | ||
| HbA1c | 5.3% | 4.8–5.9% |
| Glucose | 118 mg/dL | 83–110 mg/dL |
| Total-cholesterol | 125 mg/dL | 120–200 mg/dL |
| HDL-cholesterol | 38 mg/dL | 40–60 mg/dL |
| LDL-cholesterol | 69 mg/dL | 10–130 mg/dL |
| Triglycerides | 86 mg/dL | 35–150 mg/dL |
| Uric acid | 5.2 mg/dL | 2.5–6.2 mg/dL |
| Creatinine | 0.99 | 0.5–1.2 mg/dL |
| eGFR | 51.9 mL/min/1.73 m2 | >90 mL/min/1.73 m2 |
| ALT | 10 U/L | 5–34 U/L |
| AST | 11 U/L | 2–55 U/L |
| Bilirubin | 0.23 mg/dL | 0.20–1.20 mg/dL |
| Alkaline phosphatase | 110 U/L | 40–150 U/L |
| Amylase | 62 U/L | 28–100 U/L |
| Lipase | 39 U/L | 8–78 U/L |
| Coagulation panel | ||
| INR | 8.72 | 0.8–1.25 |
| APTT | 114.40 s | 24–35 s |
| Prothrombin time | 95.9 s | 10–14 s |
| Type of Study | No of Patients | Outcome | References |
|---|---|---|---|
| Case report | 1 | GI bleeding after 1 year from mechanical AVR. GI bleeding cessation after administration of octreotide 20 mg, once a month. | [25] |
| Retrospective cohort study | 57 | Twelve patients experienced GI bleeding after AVR, and three patients required additional blood transfusions. | [26] |
| Case report | 1 | GI bleeding from intestinal ADs 2 months after TAVI for AS. | [27] |
| Retrospective cohort study | 47 | In total, 32% of patients with HS had recurrent GI bleeding. | [28] |
| Case report | 2 | Persistent GI bleeding after SAVR and TAVI. GI bleeding cessation after bevacizumab. | [29] |
| Retrospective cohort study | 164 | In total, 34 patients out of 164 had recurrent GI bleeding after TAVI. | [30] |
| Case report | 1 | Patient with AVR and recurrent GI bleeding. | [31] |
| Case report | 1 | Massive GI bleeding from ADs 10 months after AVR. | [32] |
Disclaimer/Publisher’s Note: The statements, opinions and data contained in all publications are solely those of the individual author(s) and contributor(s) and not of MDPI and/or the editor(s). MDPI and/or the editor(s) disclaim responsibility for any injury to people or property resulting from any ideas, methods, instructions or products referred to in the content. |
© 2024 by the authors. Licensee MDPI, Basel, Switzerland. This article is an open access article distributed under the terms and conditions of the Creative Commons Attribution (CC BY) license (https://creativecommons.org/licenses/by/4.0/).
Share and Cite
Ceasovschih, A.; Alexa, R.-E.; Șorodoc, V.; Balta, A.; Constantin, M.; Coman, A.E.; Petriș, O.R.; Stătescu, C.; Sascău, R.A.; Onofrei, V.; et al. Persistent Gastrointestinal Bleeding after Aortic Valve Replacement in Heyde’s Syndrome. J. Clin. Med. 2024, 13, 4515. https://doi.org/10.3390/jcm13154515
Ceasovschih A, Alexa R-E, Șorodoc V, Balta A, Constantin M, Coman AE, Petriș OR, Stătescu C, Sascău RA, Onofrei V, et al. Persistent Gastrointestinal Bleeding after Aortic Valve Replacement in Heyde’s Syndrome. Journal of Clinical Medicine. 2024; 13(15):4515. https://doi.org/10.3390/jcm13154515
Chicago/Turabian StyleCeasovschih, Alexandr, Raluca-Elena Alexa, Victorița Șorodoc, Anastasia Balta, Mihai Constantin, Adorata Elena Coman, Ovidiu Rusalim Petriș, Cristian Stătescu, Radu A. Sascău, Viviana Onofrei, and et al. 2024. "Persistent Gastrointestinal Bleeding after Aortic Valve Replacement in Heyde’s Syndrome" Journal of Clinical Medicine 13, no. 15: 4515. https://doi.org/10.3390/jcm13154515
APA StyleCeasovschih, A., Alexa, R.-E., Șorodoc, V., Balta, A., Constantin, M., Coman, A. E., Petriș, O. R., Stătescu, C., Sascău, R. A., Onofrei, V., Diaconu, A.-D., Morărașu, B. C., Rusu-Zota, G., & Șorodoc, L. (2024). Persistent Gastrointestinal Bleeding after Aortic Valve Replacement in Heyde’s Syndrome. Journal of Clinical Medicine, 13(15), 4515. https://doi.org/10.3390/jcm13154515

