Acute Chyloperitoneum with Small Bowel Volvulus: Case Series and Systematic Review of the Literature
Abstract
1. Introduction
2. Materials and Methods
2.1. Case Series
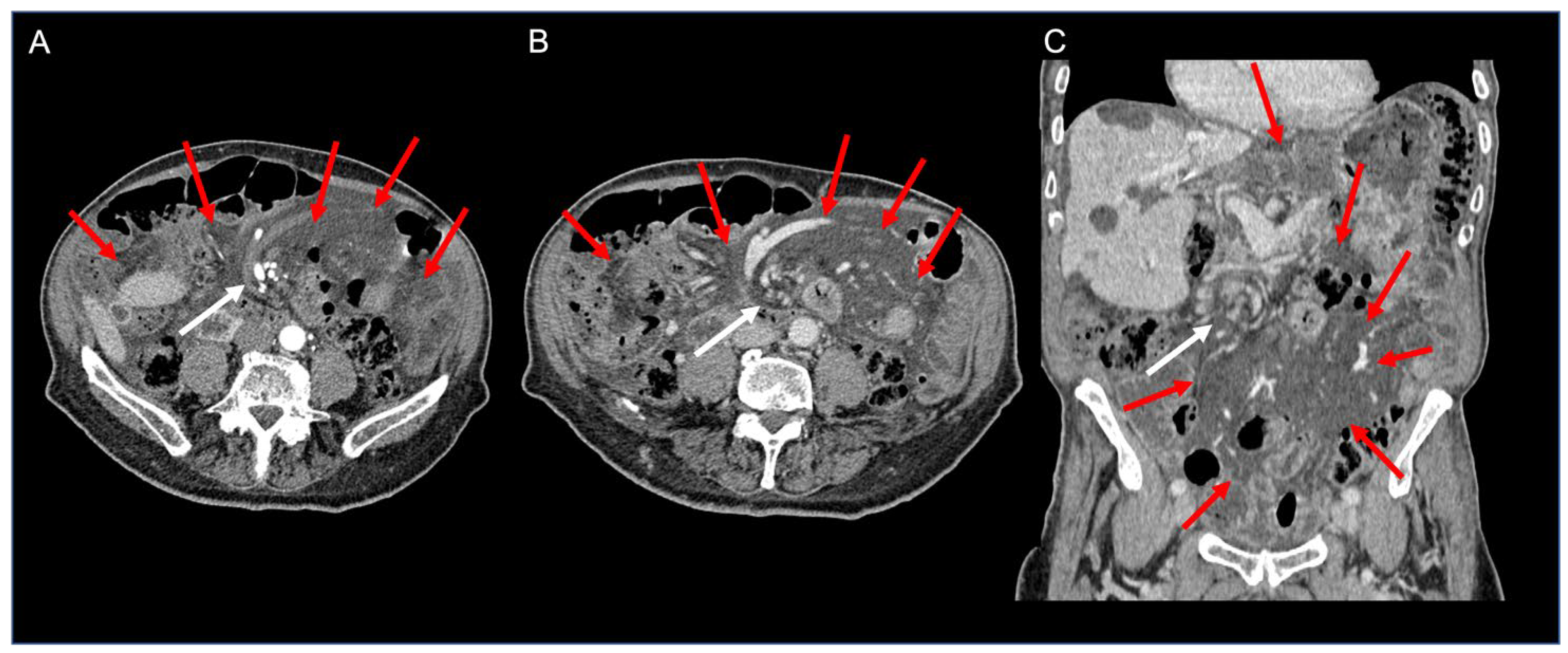
2.1.1. Case 1
2.1.2. Case 2
3. Systematic Review
4. Results of Systematic Review
5. Discussion
6. Conclusions
Author Contributions
Funding
Institutional Review Board Statement
Informed Consent Statement
Data Availability Statement
Conflicts of Interest
The authors confirm the following
Abbreviations
References
- Gritsiuta, A.I.; Bracken, A.; Lara-Gutierrez, J.; Gilleland, W.N. Sit-ups and emergency abdominal surgery: A rare case of intestinal volvulus and resultant chylous ascites incited by abdominal exercises. J. Surg. Case Rep. 2022, 2022, rjac155. [Google Scholar] [CrossRef] [PubMed]
- Cardenas, A.; Chopra, S. Chylous ascites. Am. J. Gastroenterol. 2002, 97, 1896–1900. [Google Scholar] [CrossRef] [PubMed]
- Press, O.W. Evaluation and Management of Chylous Ascites. Ann. Intern. Med. 1982, 96, 358. [Google Scholar] [CrossRef] [PubMed]
- Bhardwaj, R.; Vaziri, H.; Gautam, A.; Ballesteros, E.; Karimeddini, D.; Wu, G.Y. Chylous Ascites: A Review of Pathogenesis, Diagnosis, and Treatment. J. Clin. Transl. Hepatol. 2018, 6, 105–113. [Google Scholar] [CrossRef] [PubMed]
- Aalami, O.O.; Allen, D.B.; Organ, C.H. Chylous ascites: A collective review. Surgery 2000, 128, 761–778. [Google Scholar] [CrossRef] [PubMed]
- Al-Busafi, S.A.; Ghali, P.; Deschênes, M.; Wong, P. Chylous Ascites: Evaluation and Management. ISRN Hepatol. 2014, 2014, 240473. [Google Scholar] [CrossRef] [PubMed]
- Roggo, A.; Ottinger, L.W. Acute Small Bowel Volvulus in Adults: A Sporadic Form of Strangulating Intestinal Obstruction. Ann. Surg. 1992, 216, 135–141. [Google Scholar] [CrossRef] [PubMed]
- Vaez-Zadeh, K.; Dutz, W.; Nowrooz-Zadeh, M. Volvulus of the Small Intestine in Adults: A Study of Predisposing Factors. Ann. Surg. 1969, 169, 265–271. [Google Scholar] [CrossRef] [PubMed]
- Gutowski, J.; NeMoyer, R.; Parker, G.S. A Case of Midgut Volvulus Associated with a Jejunal Diverticulum. Case Rep. Surg. 2017, 2017, 3173875. [Google Scholar] [CrossRef] [PubMed]
- Tewari, N.; Bhalla, A.; Iftikhar, S. Chylous ascites: Why exercise is bad for you. Int. J. Surg. Case Rep. 2013, 4, 118–120. [Google Scholar] [CrossRef]
- Hayama, T.; Shioya, T.; Hankyo, M.; Shimizu, T.; Shibuya, H.; Komine, O.; Watanabe, Y.; Nanbu, K.; Yamada, T. Primary Volvulus of the Small Intestine Exhibiting Chylous Ascites: A Case Report. J. Nippon. Med Sch. 2017, 84, 83–86. [Google Scholar] [CrossRef] [PubMed]
- Koh, Y.; Chng, J.; Tan, H.; Chung, Y. Intestinal torsion causing chylous ascites: A rare occurrence. Singap. Med. J. 2013, 54, e88–e90. [Google Scholar] [CrossRef] [PubMed]
- Leaning, M. Chylous ascites as a sequelae of primary small bowel volvulus in a virgin abdomen. J. Surg. Case Rep. 2021, 2021, rjab176. [Google Scholar] [CrossRef] [PubMed]
- Akama, Y.; Shimizu, T.; Fujita, I.; Kanazawa, Y.; Kakinuma, D.; Kanno, H.; Yamagishi, A.; Arai, H.; Uchida, E. Chylous ascites associated with intestinal obstruction from volvulus due to Petersen’s hernia: Report of a case. Surg. Case Rep. 2016, 2, 77. [Google Scholar] [CrossRef] [PubMed]
- Pai, A.; Park, J.J.; Marecik, S.J.; Prasad, L.M. Midgut volvulus presenting with acute chylous peritonitis. Clin. Case Rep. 2014, 2, 159–161. [Google Scholar] [CrossRef] [PubMed]
- Vishnoi, V.; Park, S.W.; Martin, P. Acute chylous peritonitis as a result of jejunal volvulus and small bowel obstruction from a congenital band adhesion. ANZ J. Surg. 2019, 89, E345–E346. [Google Scholar] [CrossRef] [PubMed]
- Pengelly, S.; Potiszil, K.; Feldman, M. Spontaneous midgut volvulus causing chylous ascites in an octogenarian. BMJ Case Rep. 2012, 2012, bcr2012006950. [Google Scholar] [CrossRef] [PubMed]
- Murugan, K.; Spence, R.A.J. Chylous peritonitis with small bowel obstruction. Ulst. Med. J. 2008, 77, 132–133. [Google Scholar] [PubMed] [PubMed Central]
- Crang, N.; Kirkham, E.; Orchard, P. Mesenteric chyle infiltration in small bowel volvulus. BMJ Case Rep. 2022, 15, e252186. [Google Scholar] [CrossRef] [PubMed]
- Hsu, C.H.; Yang, J.R.; Chiu, F.L.; Hsieh, J.S. Chyloperitoneum signifying late bowel obstruction following gastric clipping with proximal jejunal bypass: A case report. J. Minimal Access Surg. 2023. [Google Scholar] [CrossRef] [PubMed]
- Gupta, S.; Mundasad, B. Chylous Ascites Associated with Small Bowel Volvulus: Case Report on a Laparoscopic Diagnosis. Middle East J. Dig. Dis. 2023, 15, 139–140. [Google Scholar] [CrossRef] [PubMed]
- Huang, J.; Shin, J.; Huang, Y.; Chao, C.; Ho, S.; Wu, M.; Huang, T.; Chang, F.; Ying, K.; Chang, L. Small bowel volvulus among adults. J. Gastroenterol. Hepatol. 2005, 20, 1906–1912. [Google Scholar] [CrossRef] [PubMed]
- Molina, G.A.; Ojeda, R.H.; Jimenez, G.; Heredia, A.; Cadena, C.A.; Martic, D. Small bowel volvulus due to jejunal diverticula: A rare case of acute abdomen. J. Surg. Case Rep. 2023, 2023, rjad249. [Google Scholar] [CrossRef] [PubMed]
- Saad, M.K.; Geahchan, A.; Ghandour, F.; Ghandour-Hajj, F.; Malouf, H.; El Hajj, I.; Saikaly, E. Midgut Volvulus Due to a True Jejunal Diverticula. Int. J. Recent Surg. Med. Sci. 2021, 7, 88–90. [Google Scholar] [CrossRef]
- Chou, C.K.; Mak, C.W.; Hou, C.C.; Chang, J.M. CT of large small-bowel diverticulum. Abdom. Imaging 1998, 23, 132–134. [Google Scholar] [CrossRef] [PubMed]
- Chou, C.K.; Mark, C.W.; Wu, R.H.; Chang, J.M. Large Diverticulum and Volvulus of the Small Bowel in Adults. World J. Surg. 2005, 29, 80–82. [Google Scholar] [CrossRef] [PubMed]
- Rommel Singh Mohi, M.S.; Moudgil, A.; Bhatia, S.K.; Seth, K. and Kaur, T. Complicated Jejunal Diverticulosis: Small Bowel Volvulus with Obstruction. Iran. J. Med. Sci. 2016, 41, 548. [Google Scholar] [PubMed] [PubMed Central]
- Hu, J.-L. Midgut volvulus due to jejunal diverticula: A case report. World J. Gastroenterol. 2012, 18, 5826. [Google Scholar] [CrossRef] [PubMed]
- Fleres, F.; Viscosi, F.; Bertilone, E.; Mazzeo, C.; Cucinotta, E. Therapeutic strategies for jejunal diverticulitis: Our experience and a review of the recent literature. J. Vis. Surg. 2018, 4, 152. [Google Scholar] [CrossRef]
- Fisher, J.K. Computed tomographic diagnosis of volvulus in intestinal malrotation. Radiology 1981, 140, 145–146. [Google Scholar] [CrossRef] [PubMed]
- Lizaola, B.; Bonder, A.; Trivedi, H.D.; Tapper, E.B.; Cardenas, A. Review article: The diagnostic approach and current management of chylous ascites. Aliment. Pharmacol. Ther. 2017, 46, 816–824. [Google Scholar] [CrossRef] [PubMed]
- Chavhan, G.B.; Lam, C.Z.; Greer, M.-L.C.; Temple, M.; Amaral, J.; Grosse-Wortmann, L. Magnetic Resonance Lymphangiography. Radiol. Clin. N. Am. 2020, 58, 693–706. [Google Scholar] [CrossRef] [PubMed]
- Arrivé, L.; Azizi, L.; Lewin, M.; Hoeffel, C.; Monnier-Cholley, L.; Lacombe, C.; Tubiana, J.M. MR Lymphography of Abdominal and Retroperitoneal Lymphatic Vessels. Am. J. Roentgenol. 2007, 189, 1051–1058. [Google Scholar] [CrossRef] [PubMed]
- Steinemann, D.C.; Dindo, D.; Clavien, P.-A.; Nocito, A. Atraumatic Chylous Ascites: Systematic Review on Symptoms and Causes. J. Am. Coll. Surg. 2011, 212, 899–905e4. [Google Scholar] [CrossRef] [PubMed]




| Refs.—Year of Publication | Gender | Age | Main Symptoms | Previous Surgical Interventions | Abnormal Lab Results | Diagnostic Modality | Management | Presence of Volvulus during the Surgery | Small Bowel Diverticula | Intestinal Resection | Drainage (Number) | Day of Discharge | Triglycerides (mg/dL) | Cytological Examination | Microbiological Examination | Histological Examination of Lymph Nodes |
|---|---|---|---|---|---|---|---|---|---|---|---|---|---|---|---|---|
| Gritsiuta, A.I. [1]—2022 | M | 44 | epigastric pain | umbilical hernia repair | contrast CT | exploratory laparoscopy converted to open | no | no | no | no | 1st POD | 1451 | ||||
| Tewari, N. [10]—2012 | M | 38 | abdominal pain with nausea and vomiting | WBC 20,100 | contrast CT | exploratory laparotomy | no | no | no | yes | 5th POD | NM | ||||
| Hayama, T. [11]—2017 | M | 70 | distension and abdominal pain | CPK 294 | abdominal X-ray, contrast CT | exploratory laparotomy | yes | no | no | NM | 10th POD | 332 | ||||
| Koh, Y. [12]—2013 | M | 19 | abdominal pain with vomiting | WBC 12,880 | CT | exploratory laparotomy | yes | no | no | yes | NM | 504 | negative | negative | negative for malignacy | |
| Leaning M [13]—2021 | F | 79 | epigastric pain | WBC 13,400 | CT | exploratory laparotomy | yes | no | no | NM | 7th POD | 770 | negative | negative | ||
| Akama, Y. [14]—2016 | M | 85 | distension and abdominal pain | subtotal gastrectomy with roux-en-y reconstruction for early gastric cancer | WBC 8700, CRP 16.2 | contrast CT | exploratory laparotomy | yes | no | no | yes (2) | 16th POD | 642 | negative | negative | |
| Pai, A. [15]—2014 | M | 67 | cramping abdominal pain and constipation | sigmoid colectomy for volvulus | contrast CT | exploratory laparoscopy converted to open | yes | no | no | no | 3rd POD | NM | negative | |||
| Vishnoi, V. [16]—2018 | M | 80 | abdominal pain with nausea and vomiting | laparoscopic bilateral inguinal hernia repair | WBC 18,100 | abdominal X-ray, CT | exploratory laparotomy | yes | no | no | no | 5th POD | NM | negative | negative | negative for malignacy |
| Pengelly, S. [17]—2012 | F | 85 | cramping abdominal pain and vomiting | laparoscopic cholecystectomy | CT | exploratory laparotomy | yes | no | no | NM | 4th POD | NM | ||||
| Murugan, K. [18]—2008 | M | 44 | cramping abdominal pain | partial esophago-gastric resection for boerhaave’s syndrome | abdominal X-ray, contrast CT | exploratory laparotomy | yes | no | no | NM | NM | NM | ||||
| Crang, N. [19]—2022 | M | 80 | abdominal pain with nausea | right inguinal hernia repair | WBC 10,240, LAC 4.5 | CT | exploratory laparotomy | yes | no | no | yes | 9th POD | NM | negative | negative | |
| Hsu, C.H. [20]—2023 | F | 37 | abdominal pain with nausea and vomiting | gastric clipping with proximal jejunal bypass | CT | exploratory laparoscopy | yes | no | no | NM | 5th POD | 726 | negative | negative | ||
| Gupta, S. [21]—2023 | M | 32 | abdominal pain with nausea and vomiting | WBC 13,800 | CT | exploratory laparoscopy | yes | no | no | NM | 2nd POD | 360 | ||||
| Case 1—2020 | M | 41 | left flank pain with nausea and costipation | mini gastric bypass | contrast CT | exploratory laparotomy | yes | no | no | yes (2) | 6th POD | 1724 | negative | negative for malignacy | ||
| Case 2—2022 | M | 83 | abdominal pain and costipation | lower limb melanoma excision | PLT 126,000, LDH 248, CPK 387 | contrast CT | exploratory laparotomy | yes | yes | no | yes (2) | 7th POD | 2488 | negative |
Disclaimer/Publisher’s Note: The statements, opinions and data contained in all publications are solely those of the individual author(s) and contributor(s) and not of MDPI and/or the editor(s). MDPI and/or the editor(s) disclaim responsibility for any injury to people or property resulting from any ideas, methods, instructions or products referred to in the content. |
© 2024 by the authors. Licensee MDPI, Basel, Switzerland. This article is an open access article distributed under the terms and conditions of the Creative Commons Attribution (CC BY) license (https://creativecommons.org/licenses/by/4.0/).
Share and Cite
Sinicropi, T.; Mazzeo, C.; Sofia, C.; Biondo, S.A.; Cucinotta, E.; Fleres, F. Acute Chyloperitoneum with Small Bowel Volvulus: Case Series and Systematic Review of the Literature. J. Clin. Med. 2024, 13, 2816. https://doi.org/10.3390/jcm13102816
Sinicropi T, Mazzeo C, Sofia C, Biondo SA, Cucinotta E, Fleres F. Acute Chyloperitoneum with Small Bowel Volvulus: Case Series and Systematic Review of the Literature. Journal of Clinical Medicine. 2024; 13(10):2816. https://doi.org/10.3390/jcm13102816
Chicago/Turabian StyleSinicropi, Teresa, Carmelo Mazzeo, Carmelo Sofia, Santino Antonio Biondo, Eugenio Cucinotta, and Francesco Fleres. 2024. "Acute Chyloperitoneum with Small Bowel Volvulus: Case Series and Systematic Review of the Literature" Journal of Clinical Medicine 13, no. 10: 2816. https://doi.org/10.3390/jcm13102816
APA StyleSinicropi, T., Mazzeo, C., Sofia, C., Biondo, S. A., Cucinotta, E., & Fleres, F. (2024). Acute Chyloperitoneum with Small Bowel Volvulus: Case Series and Systematic Review of the Literature. Journal of Clinical Medicine, 13(10), 2816. https://doi.org/10.3390/jcm13102816

