Influence of Crown-Implant Ratio and Implant Inclination on Marginal Bone Loss around Dental Implants Supporting Single Crowns in the Posterior Region: A Retrospective Clinical Study
Abstract
1. Introduction
2. Materials and Methods
2.1. Focused Question and Hypotheses
2.2. Materials
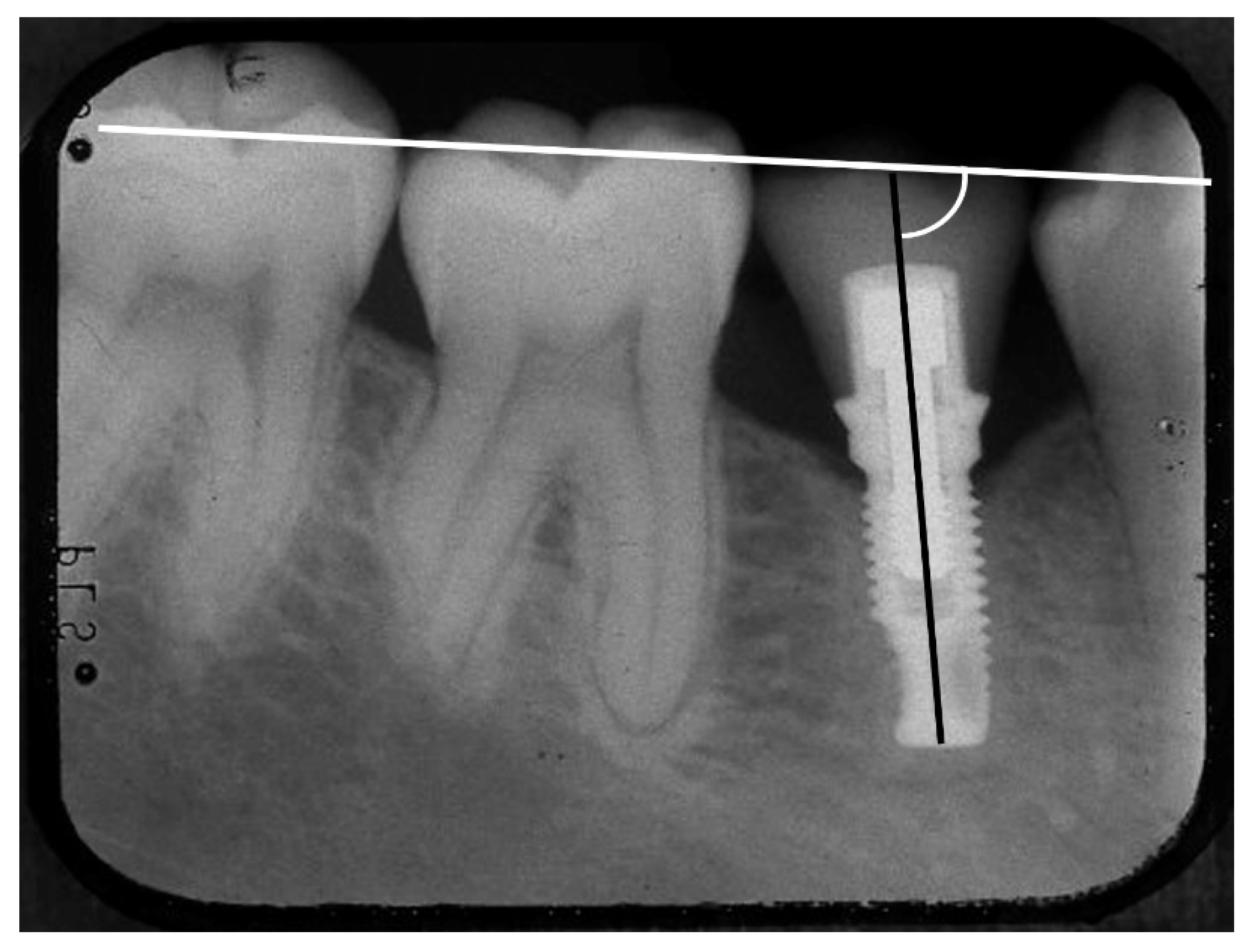
2.3. Definitions
2.4. Inclusion and Exclusion Criteria
2.5. Data Collection
2.6. Radiological Evaluation
2.7. Calibration
2.8. Sample Size Calculation
2.9. Statistical Analyses
3. Results
4. Discussion
5. Conclusions
Author Contributions
Funding
Institutional Review Board Statement
Informed Consent Statement
Data Availability Statement
Conflicts of Interest
References
- Ercal, P.; Taysi, A.E.; Ayvalioglu, D.C.; Eren, M.M.; Sismanoglu, S. Impact of peri-implant bone resorption, prosthetic materials, and crown to implant ratio on the stress distribution of short implants: A finite element analysis. Med. Biol. Eng. Comput. 2021, 59, 813–824. [Google Scholar] [CrossRef]
- Jung, R.E.; Ioannidis, A.; Hämmerle, C.H.F.; Thoma, D.S. Alveolar ridge preservation in the esthetic zone. Periodontol 2000 2018, 77, 165–175. [Google Scholar] [CrossRef]
- Cinar, D.; Imirzalioglu, P. The Effect of Three Different Crown Heights and Two Different Bone Types on Implants Placed in the Posterior Maxilla: Three-Dimensional Finite Element Analysis. Int. J. Oral Maxillofac. Implant. 2016, 31, e1–e10. [Google Scholar] [CrossRef] [PubMed]
- da Rocha Ferreira, J.J.; Machado, L.F.M.; Oliveira, J.M.; Ramos, J.C.T. Effect of crown-to-implant ratio and crown height space on marginal bone stress: A finite element analysis. Int. J. Implant. Dent. 2021, 7, 81. [Google Scholar] [CrossRef] [PubMed]
- Sun, S.P.; Moon, I.S.; Park, K.H.; Lee, D.W. Effect of Crown to Implant Ratio and Anatomical Crown Length on Clinical Conditions in a Single Implant: A Retrospective Cohort Study. Clin. Implant. Dent. Relat. Res. 2015, 17, 724–731. [Google Scholar] [CrossRef]
- Blanes, R.J.; Bernard, J.P.; Blanes, Z.M.; Belser, U.C. A 10-year prospective study of ITI dental implants placed in the posterior region. II: Influence of the crown-to-implant ratio and different prosthetic treatment modalities on crestal bone loss. Clin. Oral. Implant. Res. 2007, 18, 707–714. [Google Scholar] [CrossRef]
- Schneider, D.; Witt, L.; Hämmerle, C.H. Influence of the crown-to-implant length ratio on the clinical performance of implants supporting single crown restorations: A cross-sectional retrospective 5-year investigation. Clin. Oral. Implant. Res. 2012, 23, 169–174. [Google Scholar] [CrossRef]
- Anitua, E.; Alkhraist, M.H.; Pinas, L.; Begona, L.; Orive, G. Implant survival and crestal bone loss around extra-short implants supporting a fixed denture: The effect of crown height space, crown-to-implant ratio, and offset placement of the prosthesis. Int. J. Oral. Maxillofac. Implant. 2014, 29, 682–689. [Google Scholar] [CrossRef] [PubMed]
- Malchiodi, L.; Cucchi, A.; Ghensi, P.; Consonni, D.; Nocini, P.F. Influence of crown-implant ratio on implant success rates and crestal bone levels: A 36-month follow-up prospective study. Clin. Oral. Implant. Res. 2014, 25, 240–251. [Google Scholar] [CrossRef] [PubMed]
- Lobbezoo, F.; Ahlberg, J.; Raphael, K.G.; Wetselaar, P.; Glaros, A.G.; Kato, T.; Santiago, V.; Winocur, E.; De Laat, A.; De Leeuw, R.; et al. International consensus on the assessment of bruxism: Report of a work in progress. J. Oral. Rehabil. 2018, 45, 837–844. [Google Scholar] [CrossRef]
- AASM. International Classification of Sleep Disorders, Revised: Diagnostic and Coding Manual, 3rd ed.; American Academy of Sleep Medicine: Chicago, IL, USA, 2014. [Google Scholar]
- Chrcanovic, B.R.; Kisch, J.; Albrektsson, T.; Wennerberg, A. Bruxism and dental implant treatment complications: A retrospective comparative study of 98 bruxer patients and a matched group. Clin. Oral. Implant. Res. 2017, 28, e1–e9. [Google Scholar] [CrossRef]
- Ayele, S.; Sharo, N.; Chrcanovic, B.R. Marginal bone loss around dental implants: Comparison between diabetic and non-diabetic patients-a retrospective clinical study. Clin. Oral Investig. 2023. [Google Scholar] [CrossRef]
- Ali, A.; Al Attar, A.; Chrcanovic, B.R. Frequency of Smoking and Marginal Bone Loss around Dental Implants: A Retrospective Matched-Control Study. J. Clin. Med. 2023, 12, 1386. [Google Scholar] [CrossRef]
- Ravidà, A.; Barootchi, S.; Alkanderi, A.; Tavelli, L.; Suárez-López Del Amo, F. The Effect of Crown-to-Implant Ratio on the Clinical Outcomes of Dental Implants: A Systematic Review. Int. J. Oral. Maxillofac. Implant. 2019, 34, 1121–1131. [Google Scholar] [CrossRef]
- Rodrigues, V.A.; Tribst, J.P.M.; Santis, L.R.; Borger, A.L.S.; Nishioka, R.S. Biomechanical effect of inclined implants in fixed prosthesis: Strain and stress analysis. Rev. Odontol. UNESP 2018, 37, 237–243. [Google Scholar] [CrossRef]
- Canay, S.; Hersek, N.; Akpinar, I.; Asik, Z. Comparison of stress distribution around vertical and angled implants with finite-element analysis. Quintessence Int. 1996, 27, 591–598. [Google Scholar]
- Lan, T.H.; Pan, C.Y.; Lee, H.E.; Huang, H.L.; Wang, C.H. Bone stress analysis of various angulations of mesiodistal implants with splinted crowns in the posterior mandible: A three-dimensional finite element study. Int. J. Oral. Maxillofac. Implant. 2010, 25, 763–770. [Google Scholar]
- Watanabe, F.; Hata, Y.; Komatsu, S.; Ramos, T.C.; Fukuda, H. Finite element analysis of the influence of implant inclination, loading position, and load direction on stress distribution. Odontology 2003, 91, 31–36. [Google Scholar] [CrossRef]
- Malchiodi, L.; Moro, T.; Cattina, D.P.; Cucchi, A.; Ghensi, P.; Nocini, P.F. Implant rehabilitation of the edentulous jaws: Does tilting of posterior implants at an angle greater than 45 degrees affect bone resorption and implant success?: A retrospective study. Clin. Implant. Dent. Relat. Res. 2018, 20, 867–874. [Google Scholar] [CrossRef]
- Chrcanovic, B.R.; Albrektsson, T.; Wennerberg, A. Tilted versus axially placed dental implants: A meta-analysis. J. Dent. 2015, 43, 149–170. [Google Scholar] [CrossRef] [PubMed]
- Zampelis, A.; Rangert, B.; Heijl, L. Tilting of splinted implants for improved prosthodontic support: A two-dimensional finite element analysis. J. Prosthet. Dent. 2007, 97, S35–S43. [Google Scholar] [CrossRef]
- Wang, T.M.; Leu, L.J.; Wang, J.; Lin, L.D. Effects of prosthesis materials and prosthesis splinting on peri-implant bone stress around implants in poor-quality bone: A numeric analysis. Int. J. Oral. Maxillofac. Implant. 2002, 17, 231–237. [Google Scholar]
- Manolagas, S.C. From estrogen-centric to aging and oxidative stress: A revised perspective of the pathogenesis of osteoporosis. Endocr. Rev. 2010, 31, 266–300. [Google Scholar] [CrossRef] [PubMed]
- Manolagas, S.C.; Almeida, M. Gone with the Wnts: Beta-catenin, T-cell factor, forkhead box O, and oxidative stress in age-dependent diseases of bone, lipid, and glucose metabolism. Mol. Endocrinol. 2007, 21, 2605–2614. [Google Scholar] [CrossRef]
- Negri, M.; Galli, C.; Smerieri, A.; Macaluso, G.M.; Manfredi, E.; Ghiacci, G.; Toffoli, A.; Bonanini, M.; Lumetti, S. The effect of age, gender, and insertion site on marginal bone loss around endosseous implants: Results from a 3-year trial with premium implant system. Biomed. Res. Int. 2014, 2014, 369051. [Google Scholar] [CrossRef]
- Chrcanovic, B.R.; Albrektsson, T.; Wennerberg, A. Bone Quality and Quantity and Dental Implant Failure: A Systematic Review and Meta-analysis. Int. J. Prosthodont. 2017, 30, 219–237. [Google Scholar] [CrossRef] [PubMed]
- Brägger, U.; Aeschlimann, S.; Burgin, W.; Hämmerle, C.H.; Lang, N.P. Biological and technical complications and failures with fixed partial dentures (FPD) on implants and teeth after four to five years of function. Clin. Oral. Implant. Res. 2001, 12, 26–34. [Google Scholar] [CrossRef]
- Chrcanovic, B.R.; Kisch, J.; Larsson, C. Retrospective clinical evaluation of 2- to 6-unit implant-supported fixed partial dentures: Mean follow-up of 9 years. Clin. Implant. Dent. Relat. Res. 2020, 22, 201–212. [Google Scholar] [CrossRef]
- Chrcanovic, B.R.; Kisch, J.; Larsson, C. Retrospective evaluation of implant-supported full-arch fixed dental prostheses after a mean follow-up of 10 years. Clin. Oral. Implant. Res. 2020, 31, 634–645. [Google Scholar] [CrossRef]
- Chrcanovic, B.R.; Kisch, J.; Larsson, C. Analysis of technical complications and risk factors for failure of combined tooth-implant-supported fixed dental prostheses. Clin. Implant. Dent. Relat. Res. 2020, 22, 523–532. [Google Scholar] [CrossRef]
- Kinsel, R.P.; Lin, D. Retrospective analysis of porcelain failures of metal ceramic crowns and fixed partial dentures supported by 729 implants in 152 patients: Patient-specific and implant-specific predictors of ceramic failure. J. Prosthet. Dent. 2009, 101, 388–394. [Google Scholar] [CrossRef]
- Chrcanovic, B.R.; Albrektsson, T.; Wennerberg, A. Bruxism and Dental Implants: A Meta-Analysis. Implant. Dent. 2015, 24, 505–516. [Google Scholar] [CrossRef]
- Chrcanovic, B.R.; Kisch, J.; Albrektsson, T.; Wennerberg, A. Bruxism and dental implant failures: A multilevel mixed effects parametric survival analysis approach. J. Oral. Rehabil. 2016, 43, 813–823. [Google Scholar] [CrossRef]
- Ji, T.J.; Kan, J.Y.; Rungcharassaeng, K.; Roe, P.; Lozada, J.L. Immediate loading of maxillary and mandibular implant-supported fixed complete dentures: A 1- to 10-year retrospective study. J. Oral. Implant. 2012, 38, 469–476. [Google Scholar] [CrossRef]
- Chrcanovic, B.R.; Kisch, J.; Albrektsson, T.; Wennerberg, A. Factors influencing the fracture of dental implants. Clin. Implant. Dent. Relat. Res. 2018, 20, 58–67. [Google Scholar] [CrossRef]
- Lobbezoo, F.; Brouwers, J.E.; Cune, M.S.; Naeije, M. Dental implants in patients with bruxing habits. J. Oral. Rehabil. 2006, 33, 152–159. [Google Scholar] [CrossRef]
- Mishra, S.K.; Chowdhary, R.; Chrcanovic, B.R.; Brånemark, P.I. Osseoperception in Dental Implants: A Systematic Review. J. Prosthodont. 2016, 25, 185–195. [Google Scholar] [CrossRef] [PubMed]
- Bredberg, C.; Vu, C.; Haggman-Henrikson, B.; Chrcanovic, B.R. Marginal bone loss around dental implants: Comparison between matched groups of bruxer and non-bruxer patients: A retrospective case-control study. Clin. Implant. Dent. Relat. Res. 2023, 25, 124–132. [Google Scholar] [CrossRef]
- Shinogaya, T.; Sodeyama, A.; Matsumoto, M. Bite force and occlusal load distribution in normal complete dentitions of young adults. Eur. J. Prosthodont. Restor. Dent. 1999, 7, 65–70. [Google Scholar] [PubMed]
- D’Amico, C.; Bocchieri, S.; Sambataro, S.; Surace, G.; Stumpo, C.; Fiorillo, L. Occlusal Load Considerations in Implant-Supported Fixed Restorations. Prosthesis 2020, 2, 252–265. [Google Scholar] [CrossRef]
- Rusticus, S.A.; Lovato, C.Y. Impact of Sample Size and Variability on the Power and Type I Error Rates of Equivalence Tests: A Simulation Study. Pract. Assess. Res. Eval. 2014, 19, 11. [Google Scholar]





| Factor | Number of Cases (%) | Clinical Follow-Up (Months) Mean ± SD (Min–Max) | p Value a | Radiological Follow-Up (Months) Mean ± SD (Min–Max) | p Value a |
|---|---|---|---|---|---|
| Sex | |||||
| Male | 118 (37.3) | 120.0 ± 65.3 (18.2–323.3) | 0.481 | 107.1 ± 62.8 (36.4–319.5) | 0.452 |
| Female | 198 (62.7) | 116.4 ± 64.8 (36.1–361.1) | 103.5 ± 65.0 (36.1–358.7) | ||
| Age (years) | |||||
| <20 | 95 (30.1) | 123.3 ± 65.6 (18.2–361.1) | 0.056 | 116.3 ± 63.8 (40.8–358.7) | 0.042 |
| 20–40 | 113 (35.7) | 128.0 ± 76.8 (36.1–346.3) | 114.0 ± 77.5 (36.1–337.7) | ||
| >40 | 108 (34.2) | 102.1 ± 45.3 (33.6–248.9) | 89.3 ± 43.0 (36.4–225.1) | ||
| Jaw | |||||
| Maxilla | 145 (45.9) | 118.5 ± 67.1 (36.1–346.3) | 0.848 | 102.3 ± 66.1 (36.1–337.7) | 0.201 |
| Mandible | 171 (54.1) | 117.1 ± 63.1 (18.2–361.1) | 106.9 ± 62.5 (36.7–358.7) | ||
| Region | |||||
| Premolar | 294 (93.0) | 116.5 ± 64.1 (18.2–361.1) | 0.260 | 103.2 ± 63.0 (36.1–358.7) | 0.155 |
| Molar | 22 (7.0) | 135.2 ± 73.7 (43.5–296.8) | 126.2 ± 76.1 (43.5–296.0) | ||
| Crown material b | |||||
| Metal ceramic | 144 (47.2) | 112.6 ± 64.1 (33.6–346.3) | <0.001 | 100.3 ± 62.3 (36.7–337.7) | <0.001 |
| Full ceramic | 101 (33.1) | 141.1 ± 69.0 (18.2–320.6) | 128.5 ± 68.6 (38.3–319.5) | ||
| Zirconia | 54 (17.7) | 86.6 ± 34.9 (36.1–181.4) | 72.5 ± 31.6 (36.1–176.8) | ||
| Metal acrylic | 6 (2.0) | 175.4 ± 103.1 (112.0–361.1) | 162.5 ± 111.7 (82.2–358.7) | ||
| CIR (anatomical) | |||||
| ≤0.66 | 107 (33.9) | 130.3 ± 67.5 (18.2–344.8) | 0.002 | 115.7 ± 66.5 (38.1–319.5) | 0.008 |
| 0.67–0.82 | 105 (33.2) | 120.3 ± 67.9 (33.6–361.1) | 107.8 ± 68.6 (38.0–358.7) | ||
| ≥0.83 | 104 (32.9) | 102.3 ± 55.8 (36.1–323.3) | 90.6 ± 54.1 (36.1–310.5) | ||
| CIR (clinical) | |||||
| ≤0.95 | 107 (33.8) | 125.0 ± 74.6 (43.5–361.1) | 0.932 | 109.6 ± 74.5 (36.4–358.7) | 0.756 |
| 0.96–1.15 | 101 (32.0) | 114.5 ± 61.3 (18.2–346.3) | 100.6 ± 58.8 (36.1–337.7) | ||
| ≥1.16 | 108 (34.2) | 113.7 ± 57.4 (36.7–343.3) | 104.0 ± 57.6 (36.7–328.7) | ||
| Implant inclination | |||||
| <78 | 104 (32.9) | 117.4 ± 62.7 (36.1–346.3) | 0.601 | 101.5 ± 62.7 (36.1–337.7) | 0.445 |
| 78–84 | 108 (34.2) | 116.5 ± 69.0 (18.2–343.3) | 104.6 ± 67.6 (36.1–328.7) | ||
| 84–90 | 104 (32.9) | 119.4 ± 63.2 (33.6–361.1) | 108.3 ± 62.1 (36.7–108.3) | ||
| Implant diameter | |||||
| 3.00–3.50 | 31 (9.8) | 110.5 ± 60.6 (36.1–243.7) | 0.093 | 94.5 ± 57.7 (36.1–242.8) | 0.077 |
| 3.75–4.10 | 250 (79.1) | 121.4 ± 67.1 (18.2–361.1) | 108.9 ± 66.8 (36.1–358.7) | ||
| 4.30–5.00 | 35 (11.1) | 98.3 ± 47.2 (44.9–193.4) | 84.8 ± 42.5 (36.4–167.7) | ||
| Prosthesis fixation b | |||||
| Cemented | 183 (60.0) | 127.2 ± 62.0 (18.2–344.8) | <0.001 | 111.9 ± 58.5 (36.1–319.5) | <0.001 |
| Screwed | 122 (40.0) | 104.5 ± 69.5 (36.1–361.1) | 95.5 ± 72.7 (36.1–358.7) | ||
| Bruxism b | |||||
| No | 253 (91.7) | 119.0 ± 63.1 (18.2–361.1) | 0.253 | 105.0 ± 62.4 (36.1–358.7) | 0.294 |
| Yes | 23 (8.3) | 113.1 ± 74.8 (50.9–344.8) | 99.1 ± 67.9 (36.4–292.1) | ||
| Smoking b | |||||
| No | 215 (78.5) | 117.3 ± 61.0 (18.2–361.1) | 0.884 | 103.2 ± 59.1 (36.1–358.7) | 0.965 |
| Yes c | 59 (21.5) | 123.6 ± 75.6 (47.8–346.3) | 110.0 ± 75.8 (39.6–337.7) |
| Factor | Linear Equation * | p Value a | R2 Linear |
|---|---|---|---|
| Sex | |||
| Male | y = −0.27 − 0.00142x | <0.001 | 0.014 |
| Female | y = −0.27 − 0.00129x | 0.010 | |
| Age (years) | |||
| <20 | y = −0.11 − 0.00166x | <0.001 | 0.024 |
| 20–40 | y = −0.23 − 0.00015x | <0.001 | |
| >40 | y = −0.32 − 0.00542x | 0.104 | |
| Jaw | |||
| Maxilla | y = −0.33 − 0.00130x | 0.159 | 0.011 |
| Mandible | y = −0.21 − 0.00141x | 0.013 | |
| Tooth region | |||
| Premolar | y = −0.26 − 0.00166x | 0.006 | 0.018 |
| Molar | y = −0.36 + 0.00224x | 0.031 | |
| Crown material b | |||
| Metal ceramic | y = −0.27 − 0.00178x | 0.089 | 0.008 |
| Full ceramic | y = −0.30 − 0.00208x | 0.007 | |
| Zirconia | y = −0.14 − 0.00232x | 0.065 | |
| Metal acrylic | y = −0.22 − 0.00140x | 0.019 | |
| CIR (anatomical) | |||
| ≤0.66 | y = −0.19 − 0.00105x | <0.001 | 0.009 |
| 0.67–0.82 | y = −0.29 − 0.00117x | 0.010 | |
| ≥0.83 | y = −0.30 − 0.00261x | 0.029 | |
| CIR (clinical) | |||
| ≤0.95 | y = −0.27 − 0.00084x | <0.001 | 0.006 |
| 0.96–1.15 | y = −0.24 − 0.00095x | 0.006 | |
| ≥1.16 | y = −0.29 − 0.00223x | 0.027 | |
| Implant inclination | |||
| <78 | y = −0.24 − 0.00108x | <0.001 | 0.007 |
| 78–84 | y = −0.29 − 0.00148x | 0.015 | |
| 84–90 | y = −0.27 − 0.00137x | 0.012 | |
| Implant diameter | |||
| 3.00–3.50 | y = −0.08 − 0.00153x | <0.001 | 0.014 |
| 3.75–4.10 | y = −0.29 − 0.00128x | 0.011 | |
| 4.30–5.00 | y = −0.24 − 0.00160x | 0.011 | |
| Prosthesis fixation b | |||
| Cemented | y = −0.25 − 0.00164x | <0.001 | 0.014 |
| Screwed | y = −0.30 − 0.00083x | 0.006 | |
| Bruxism b | |||
| No | y = −0.27 − 0.00103x | <0.001 | 0.007 |
| Yes | y = −0.27 − 0.00480x | 0.118 | |
| Smoking b | |||
| No | y = −0.31 − 0.00150x | 0.611 | 0.012 |
| Yes c | y = −0.18 − 0.00097x | 0.010 |
| Predictor Variables | F Statistic | p Value |
|---|---|---|
| Sex | 0.079 | 0.778 |
| Age | 48.457 | <0.001 |
| Tooth region | 11.898 | 0.001 |
| CIR (anatomical) | 0.468 | 0.494 |
| CIR (clinical) | 0.717 | 0.397 |
| Implant inclination | 0.414 | 0.520 |
| Implant diameter | 3.453 | 0.063 |
| Prosthesis fixation | 3.552 | 0.060 |
| Bruxism | 10.645 | 0.001 |
Disclaimer/Publisher’s Note: The statements, opinions and data contained in all publications are solely those of the individual author(s) and contributor(s) and not of MDPI and/or the editor(s). MDPI and/or the editor(s) disclaim responsibility for any injury to people or property resulting from any ideas, methods, instructions or products referred to in the content. |
© 2023 by the authors. Licensee MDPI, Basel, Switzerland. This article is an open access article distributed under the terms and conditions of the Creative Commons Attribution (CC BY) license (https://creativecommons.org/licenses/by/4.0/).
Share and Cite
Abdul Rahim, M.; Khan, K.; Chrcanovic, B.R. Influence of Crown-Implant Ratio and Implant Inclination on Marginal Bone Loss around Dental Implants Supporting Single Crowns in the Posterior Region: A Retrospective Clinical Study. J. Clin. Med. 2023, 12, 3219. https://doi.org/10.3390/jcm12093219
Abdul Rahim M, Khan K, Chrcanovic BR. Influence of Crown-Implant Ratio and Implant Inclination on Marginal Bone Loss around Dental Implants Supporting Single Crowns in the Posterior Region: A Retrospective Clinical Study. Journal of Clinical Medicine. 2023; 12(9):3219. https://doi.org/10.3390/jcm12093219
Chicago/Turabian StyleAbdul Rahim, Maha, Kashmala Khan, and Bruno Ramos Chrcanovic. 2023. "Influence of Crown-Implant Ratio and Implant Inclination on Marginal Bone Loss around Dental Implants Supporting Single Crowns in the Posterior Region: A Retrospective Clinical Study" Journal of Clinical Medicine 12, no. 9: 3219. https://doi.org/10.3390/jcm12093219
APA StyleAbdul Rahim, M., Khan, K., & Chrcanovic, B. R. (2023). Influence of Crown-Implant Ratio and Implant Inclination on Marginal Bone Loss around Dental Implants Supporting Single Crowns in the Posterior Region: A Retrospective Clinical Study. Journal of Clinical Medicine, 12(9), 3219. https://doi.org/10.3390/jcm12093219

