Preservation of the Subtalar Joint Determines Outcomes in a 10-Year Evaluation of Ankle Arthrodesis
Abstract
:1. Introduction
2. Materials and Methods
2.1. Population
2.2. Inclusion and Exclusion Criteria
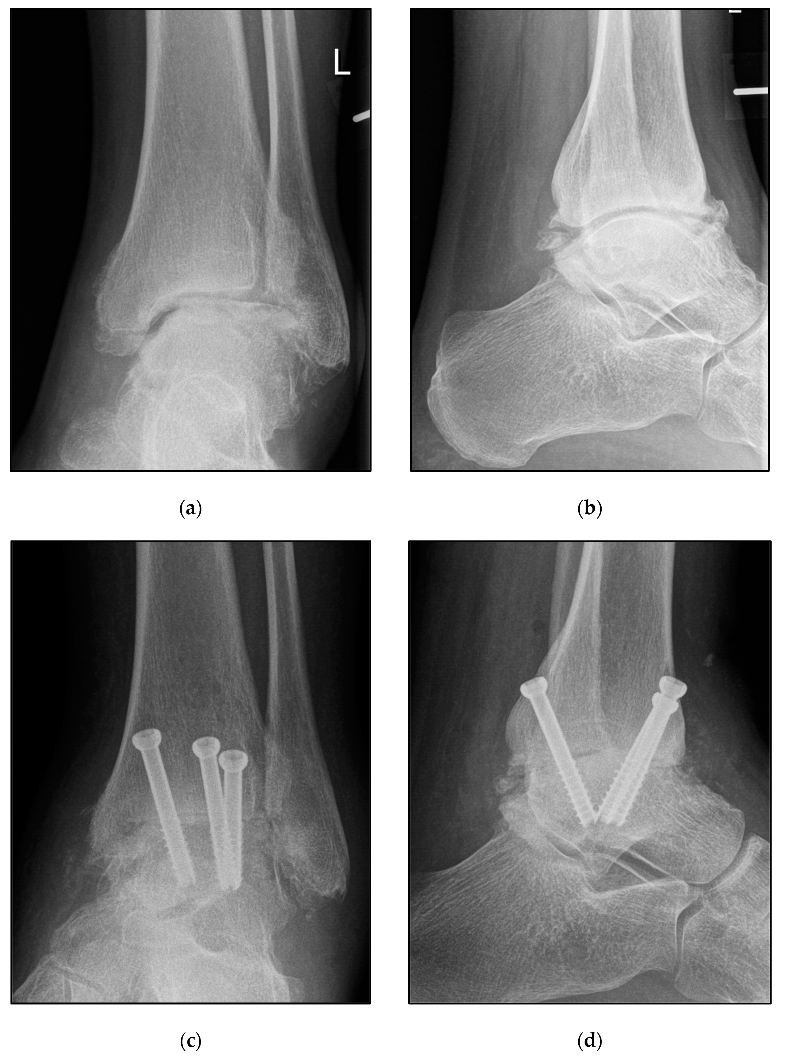
2.3. Surgical Procedures
2.4. Rehabilitation Protocol
2.5. Assessment Methods
2.6. Statistical Analysis
3. Results
Complications
4. Discussion
5. Conclusions
Author Contributions
Funding
Institutional Review Board Statement
Informed Consent Statement
Data Availability Statement
Acknowledgments
Conflicts of Interest
References
- Saltzman, C.L.; Salamon, M.L.; Blanchard, G.M.; Huff, T.; Hayes, A.; Buckwalter, J.A.; Amendola, A. Epidemiology of ankle arthritis: Report of a consecutive series of 639 patients from a tertiary orthopaedic center. Iowa Orthop. J. 2005, 25, 44–46. [Google Scholar] [PubMed]
- Vitiello, R.; Perna, A.; Peruzzi, M.; Pitocco, D.; Marco, G. Clinical evaluation of tibiocalcaneal arthrodesis with retrograde intramedullary nail fixation in diabetic patients. Acta Orthop. Traumatol. Turc. 2020, 54, 255–261. [Google Scholar] [CrossRef] [PubMed]
- Fischer, S.; Klug, A.; Faul, P.; Hoffmann, R.; Manegold, S.; Gramlich, Y. Superiority of upper ankle arthrodesis over total ankle replacement in the treatment of end-stage posttraumatic ankle arthrosis. Arch. Orthop. Trauma Surg. 2022, 142, 435–442. [Google Scholar] [CrossRef] [PubMed]
- Watts, D.T.; Moosa, A.; Elahi, Z.; Palmer, A.J.R.; Rodriguez-Merchan, E.C. Comparing the Results of Total Ankle Arthroplasty vs. Tibiotalar Fusion (Ankle Arthrodesis) in Patients with Ankle Osteoarthritis since 2006 to 2020—A Systematic Review. Arch. Bone Jt. Surg. 2022, 10, 470–479. [Google Scholar] [CrossRef] [PubMed]
- Easley, M.E.; Montijo, H.E.; Wilson, J.B.; Fitch, R.D.; Nunley, J.A., 2nd. Revision tibiotalar arthrodesis. J. Bone Joint Surg. Am. 2008, 90, 1212–1223. [Google Scholar] [CrossRef]
- Cibura, C.; Lotzien, S.; Yilmaz, E.; Baecker, H.; Schildhauer, T.A.; Gessmann, J. Simultaneous septic arthrodesis of the tibiotalar and subtalar joints with the Ilizarov external fixator-an analysis of 13 patients. Eur. J. Orthop. Surg. Traumatol. 2022, 32, 1063–1070. [Google Scholar] [CrossRef]
- Ajis, A.; Tan, K.J.; Myerson, M.S. Ankle arthrodesis vs. TTC arthrodesis: Patient outcomes, satisfaction, and return to activity. Foot Ankle Int. 2013, 34, 657–665. [Google Scholar] [CrossRef]
- Cao, L.; Kyung, M.G.; Park, G.Y.; Hwang, I.U.; Kang, H.W.; Lee, D.Y. Foot and Ankle Motion after Tibiotalocalcaneal Arthrodesis: Comparison with Tibiotalar Arthrodesis Using a Multi-Segment Foot Model. Clin. Orthop. Surg. 2022, 14, 631–644. [Google Scholar] [CrossRef]
- Perisano, C.; Cannella, A.; Polichetti, C.; Mascio, A.; Comisi, C.; De Santis, V.; Caravelli, S.; Mosca, M.; Spedicato, G.A.; Maccauro, G.; et al. Tibiotalar and Tibiotalocalcaneal Arthrodesis with Paragon28 Silverback(TM) Plating System in Patients with Severe Ankle and Hindfoot Deformity. Medicina 2023, 59, 344. [Google Scholar] [CrossRef]
- Deleu, P.A.; Piron, M.; Leemrijse, G.; Besse, J.L.; Cheze, L.; Devos Bevernage, B.; Lalevee, M.; Leemrijse, T. Patients’ point of view on the long-term results of total ankle arthroplasty, tibiotalar and tibiotalocalcaneal arthrodeses. Orthop. Traumatol. Surg. Res. 2022, 108, 103369. [Google Scholar] [CrossRef]
- Lu, V.; Tennyson, M.; Zhang, J.; Thahir, A.; Zhou, A.; Krkovic, M. Ankle fusion with tibiotalocalcaneal retrograde nail for fragility ankle fractures: Outcomes at a major trauma centre. Eur. J. Orthop. Surg. Traumatol. 2023, 33, 125–133. [Google Scholar] [CrossRef] [PubMed]
- Gowda, B.N.; Kumar, J.M. Outcome of ankle arthrodesis in posttraumatic arthritis. Indian J. Orthop. 2012, 46, 317–320. [Google Scholar] [CrossRef] [PubMed]
- Maffulli, N.; Longo, U.G.; Locher, J.; Romeo, G.; Salvatore, G.; Denaro, V. Outcome of ankle arthrodesis and ankle prosthesis: A review of the current status. Br. Med. Bull. 2017, 124, 91–112. [Google Scholar] [CrossRef] [PubMed]
- Prissel, M.A.; Simpson, G.A.; Sutphen, S.A.; Hyer, C.F.; Berlet, G.C. Ankle Arthrodesis: A Retrospective Analysis Comparing Single Column, Locked Anterior Plating to Crossed Lag Screw Technique. J. Foot Ankle Surg. 2017, 56, 453–456. [Google Scholar] [CrossRef]
- Valiyev, N.; Demirel, M.; Hurmeydan, O.M.; Sunbuloglu, E.; Bozdag, E.; Kilicoglu, O. The Effects of Different Screw Combinations on the Initial Stability of Ankle Arthrodesis. J. Am. Podiatr. Med. Assoc. 2021, 111. [Google Scholar] [CrossRef]
- Schlickewei, C.; Neumann, J.A.; Yarar-Schlickewei, S.; Riepenhof, H.; Valderrabano, V.; Frosch, K.H.; Barg, A. Does Concurrent Distal Tibiofibular Joint Arthrodesis Affect the Nonunion and Complication Rates of Tibiotalar Arthrodesis? J. Clin. Med. 2022, 11, 3387. [Google Scholar] [CrossRef]
- Gramlich, Y.; Neun, O.; Klug, A.; Buckup, J.; Stein, T.; Neumann, A.; Fischer, S.; Abt, H.P.; Hoffmann, R. Total ankle replacement leads to high revision rates in post-traumatic end-stage arthrosis. Int. Orthop. 2018, 42, 2375–2381. [Google Scholar] [CrossRef]
- Heifner, J.J.; Monir, J.G.; Reb, C.W. Impact of Bone Graft on Fusion Rates in Primary Open Ankle Arthrodesis Fixated with Cannulated Screws: A Systematic Review. J. Foot Ankle Surg. 2021, 60, 802–806. [Google Scholar] [CrossRef]
- Usuelli, F.G.; Pantalone, A.; Maccario, C.; Guelfi, M.; Salini, V. Sports and Recreational Activities following Total Ankle Replacement. Joints 2017, 5, 12–16. [Google Scholar] [CrossRef]
- Rogero, R.G.; Fuchs, D.J.; Corr, D.; Shakked, R.J.; Raikin, S.M. Ankle Arthrodesis Through a Fibular-Sparing Anterior Approach. Foot Ankle Int. 2020, 41, 1480–1486. [Google Scholar] [CrossRef]
- Yang, X.Q.; Zhang, Y.; Wang, Q.; Liang, J.Q.; Liu, L.; Liang, X.J.; Zhao, H.M. Supramalleolar Osteotomy vs. Arthrodesis for the Treatment of Takakura 3B Ankle Osteoarthritis. Foot Ankle Int. 2022, 43, 1185–1193. [Google Scholar] [CrossRef] [PubMed]
- Cooper, P.S. Complications of ankle and tibiotalocalcaneal arthrodesis. Clin. Orthop. Relat. Res. 2001, 391, 33–44. [Google Scholar] [CrossRef] [PubMed]
- Crosby, L.A.; Yee, T.C.; Formanek, T.S.; Fitzgibbons, T.C. Complications following arthroscopic ankle arthrodesis. Foot Ankle Int. 1996, 17, 340–342. [Google Scholar] [CrossRef] [PubMed]
- Muir, D.C.; Amendola, A.; Saltzman, C.L. Long-term outcome of ankle arthrodesis. Foot Ankle Clin. 2002, 7, 703–708. [Google Scholar] [CrossRef]



| Characteristic | TTC (n = 216) | TT (n = 216) | All (n = 432) | p | |
|---|---|---|---|---|---|
| Follow-up (months) | Mean | 78.61 | 69.48 | 73.99 | 0.018 |
| SEM | 2.73 | 2.70 | 1.93 | ||
| Minimum | 12.00 | 13.00 | 12.00 | ||
| Maximum | 154.00 | 152.00 | 154.00 | ||
| Age, years | Mean | 64.02 | 63.67 | 63.84 | 0.760 |
| SEM | 0.85 | 0.81 | 0.59 | ||
| Minimum | 27.00 | 29.00 | 27.00 | ||
| Maximum | 93.00 | 91.00 | 93.00 | ||
| BMI, kg/m2 | Mean | 30.18 | 29.63 | 29.91 | 0.361 |
| SEM | 0.43 | 0.42 | 0.30 | ||
| Minimum | 16.40 | 18.60 | 16.40 | ||
| Maximum | 58.30 | 64.10 | 64.10 | ||
| Sex, n (%) | Male | 135 (62.50) | 134 (66.20) | 278 (64.35) | 0.423 |
| Female | 81 (37.50) | 73 (33.80) | 154 (35.65) | ||
| Affected side, n (%) | Left | 111 (51.39) | 95 (43.98) | 206 (47.69) | 0.124 |
| Right | 105 (48.61) | 121 (56.02) | 226 (52.32) | ||
| Smoker, n (%) | Yes | 51 (23.61) | 34 (15.74) | 85 (19.68) | 0.029 |
| No | 159 (73.61) | 181 (83.80) | 340 (78.70) | ||
| n.a. | 6 (2.78) | 1 (0.46) | 7 (1.62) | ||
| Pre-existing conditions (multiple answer), n (%) | Associated metabolic syndrome | 82 (37.96) | 79 (36.57) | 161 (37.27) | 0.385 |
| Rheumatism | 10 (4.63) | 8 (3.70) | 18 (4.17) | ||
| Others | 44 (20.37) | 29 (13.43) | 73 (16.90) | ||
| None | 45 (20.83) | 57 (26.51) | 102 (23.61) | ||
| Initial injury, (multiple answer), n (%) | Ankle fracture | 120 (55.56) | 134 (62.04) | 254 (58.79) | 0.054 |
| Ankle Ligament Tear | 15 (6.94) | 47 (21.76) | 62 (14.35) | <0.001 | |
| Syndesmotic injury | 16 (7.41) | 22 (10.18) | 38 (8.79) | 0.196 | |
| Failure of Total Ankle Arthroplasty | 29 (13.43) | 9 (4.17) | 38 (8.79) | 0.003 | |
| Talar fracture | 24 (11.11) | 6 (2.78) | 30 (6.94) | <0.001 | |
| Others | 43 (19.9) | 51 (23.61) | 94 (21.76) | 0.251 |
| Measurements | TTCA (n = 216) | TTA (n = 216) | All (n = 432) | p | |
|---|---|---|---|---|---|
| Olerud & Molander | Mean | 43.00 | 58.16 | 50.67 | <0.001 |
| SEM | 1.68 | 1.67 | 1.24 | ||
| Minimum | 0.00 | 0.00 | 0.00 | ||
| Maximum | 100.00 | 100.00 | 100.00 | ||
| FFI-D | Mean | 76.64 | 61.36 | 68.89 | <0.001 |
| SEM | 1.98 | 2.17 | 1.52 | ||
| Minimum | 15.00 | 5.00 | 5.00 | ||
| Maximum | 135.00 | 140.00 | 140.00 | ||
| SF-12 (Physical component summary) | Mean | 35.52 | 42.49 | 39.07 | <0.001 |
| SEM | 0.75 | 0.71 | 0.54 | ||
| Minimum | 11.73 | 16.54 | 11.73 | ||
| Maximum | 56.63 | 61.22 | 61.22 | ||
| SF-12 (Mental component summary) | Mean | 50.09 | 51.07 | 50.59 | 0.369 |
| SEM | 0.81 | 0.72 | 0.54 | ||
| Minimum | 17.10 | 18.39 | 17.10 | ||
| Maximum | 68.89 | 71.03 | 71.03 | ||
| Gait after surgery as expected | As expected | 80 (37.04) | 83 (38.43) | 163 (37.73) | 0.360 |
| Better than expected | 63 (29.17) | 91 (42.13) | 154 (35.65) | ||
| Worse than expected | 63 (29.17) | 40 (18.52) | 103 (23.84) | ||
| n.a. | 10 (4.63) | 2 (0.93) | 12 (2.78) | ||
| Complication, Revision surgery needed (multiple answer), n (%) | Yes | 64 (29.63) | 16 (7.41) | 80 (18.52) | <0.001 |
| No | 152 (70.37) | 200 (92.59) | 352 (81.48) | ||
| Infection | 23 (10.65) | 5 (2.32) | 28 (6.48) | <0.001 | |
| Non-union | 32 (14.81) | 5 (2.32) | 37 (8.57) | <0.001 | |
| Footwear (multiple answer), n (%) | Orthotic insoles only | 41 (18.98) | 72 (33.33) | 113 (26.16) | 0.002 |
| Shoe adaption | 106 (49.07) | 66 (30.56) | 172 (39.82) | ||
| Others | 9 (4.17) | 2 (0.93) | 11 (2.55) | ||
| Nothing special | 60 (27.78) | 76 (35.19) | 136 (31.48) | ||
| Return to the learned profession, n (%) | Yes | 33 (15.28) | 57 (26.39) | 90 (20.83) | <0.001 |
| Permanently unable to work, n (%) | Yes | 49 (22.68) | 26 (12.04) | 75 (17.36) | <0.001 |
| Retraining, part-time, pension, n (%) | Yes | 134 (62.04) | 133 (61.57) | 267 (61.81) | >0.05 |
Disclaimer/Publisher’s Note: The statements, opinions and data contained in all publications are solely those of the individual author(s) and contributor(s) and not of MDPI and/or the editor(s). MDPI and/or the editor(s) disclaim responsibility for any injury to people or property resulting from any ideas, methods, instructions or products referred to in the content. |
© 2023 by the authors. Licensee MDPI, Basel, Switzerland. This article is an open access article distributed under the terms and conditions of the Creative Commons Attribution (CC BY) license (https://creativecommons.org/licenses/by/4.0/).
Share and Cite
Sell, R.; Meinert, M.; Herrmann, E.; Gramlich, Y.; Klug, A.; Neun, O.; Hoffmann, R.; Fischer, S. Preservation of the Subtalar Joint Determines Outcomes in a 10-Year Evaluation of Ankle Arthrodesis. J. Clin. Med. 2023, 12, 3123. https://doi.org/10.3390/jcm12093123
Sell R, Meinert M, Herrmann E, Gramlich Y, Klug A, Neun O, Hoffmann R, Fischer S. Preservation of the Subtalar Joint Determines Outcomes in a 10-Year Evaluation of Ankle Arthrodesis. Journal of Clinical Medicine. 2023; 12(9):3123. https://doi.org/10.3390/jcm12093123
Chicago/Turabian StyleSell, Rebecca, Magalie Meinert, Eva Herrmann, Yves Gramlich, Alexander Klug, Oliver Neun, Reinhard Hoffmann, and Sebastian Fischer. 2023. "Preservation of the Subtalar Joint Determines Outcomes in a 10-Year Evaluation of Ankle Arthrodesis" Journal of Clinical Medicine 12, no. 9: 3123. https://doi.org/10.3390/jcm12093123
APA StyleSell, R., Meinert, M., Herrmann, E., Gramlich, Y., Klug, A., Neun, O., Hoffmann, R., & Fischer, S. (2023). Preservation of the Subtalar Joint Determines Outcomes in a 10-Year Evaluation of Ankle Arthrodesis. Journal of Clinical Medicine, 12(9), 3123. https://doi.org/10.3390/jcm12093123

