Young Nonalcoholic Wernicke Encephalopathy Patient Achieves Remission Following Prolonged Thiamine Treatment and Cognitive Rehabilitation
Abstract
1. Introduction
2. Case Description
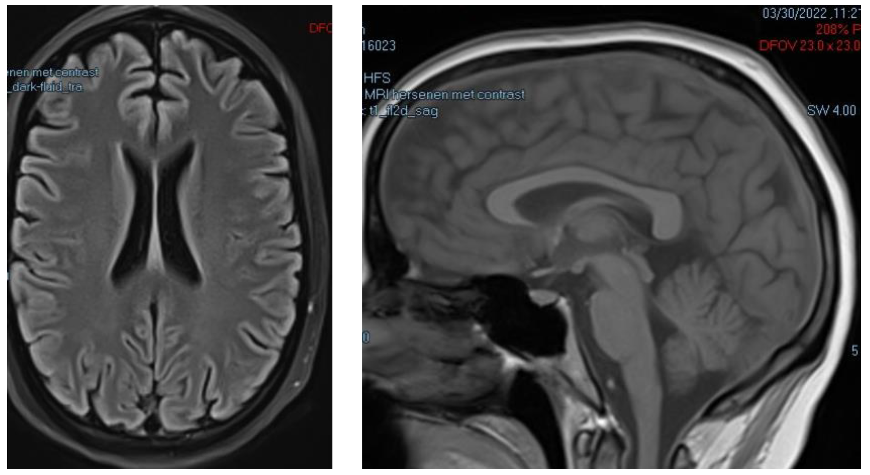
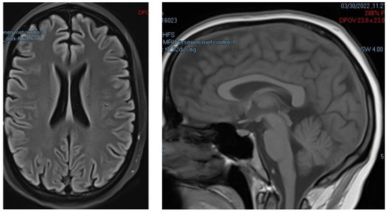
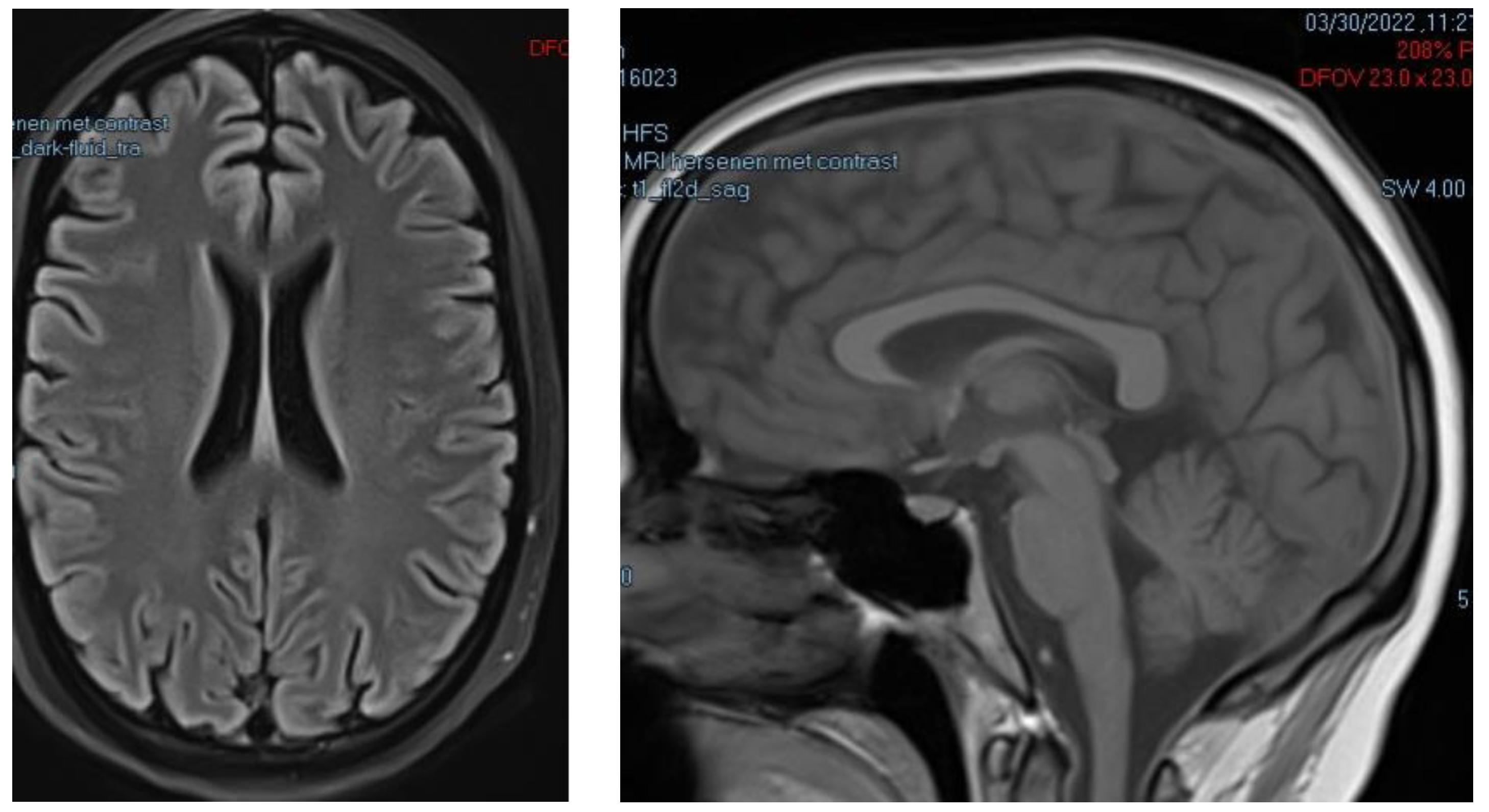
2.1. Hospitalization
2.2. Consultation Korsakoff Expertise Center Slingedael (31 March 2022)
2.3. Treatment in Daan Theeuwes Center for Intensive Rehabilitation
Materials and Procedure
2.4. Second Consultation
3. Discussion
Author Contributions
Funding
Institutional Review Board Statement
Informed Consent Statement
Data Availability Statement
Acknowledgments
Conflicts of Interest
Abbreviations
| WE | Wernicke’s encephalopathy |
References
- Wijnia, J.W. A Clinician’s View of Wernicke-Korsakoff Syndrome. J. Clin. Med. 2022, 11, 6755. [Google Scholar] [CrossRef]
- Sechi, G.; Serra, A. Wernicke’s encephalopathy: New clinical settings and recent advances in diagnosis and management. Lancet Neurol. 2007, 6, 442–455. [Google Scholar] [CrossRef] [PubMed]
- Isenberg-Grzeda, E.; Alici, Y.; Hatzoglou, V.; Nelson, C.; Breitbart, W. Nonalcoholic Thiamine-Related Encephalopathy (Wernicke-Korsakoff Syndrome) Among Inpatients With Cancer: A Series of 18 Cases. Psychosomatics 2016, 57, 71–81. [Google Scholar] [CrossRef] [PubMed]
- Oudman, E.; Wijnia, J.W.; van Dam, M.; Biter, L.S.; Postma, A. Preventing Wernicke Encephalopathy after bariatric surgery. Obes. Surg. 2018, 28, 2060–2068. [Google Scholar] [CrossRef]
- Natvik, E.; Lavik, K.O.; Ogden, J.; Strommen, M.; Moltu, C. The patient-practicioner interaction in post bariatric surgery consultations: An interpersonal process recall study. Disabil. Rehabil. 2022, 9, 1–10. [Google Scholar] [CrossRef] [PubMed]
- Wijnia, J.W.; Oudman, E. Biomarkers of delirium as a clue to diagnosis and pathogenesis of Wernicke-Korsakoff syndrome. Eur. J. Neurol. 2013, 20, 1531–1538. [Google Scholar] [CrossRef]
- Van Gool, W.A.; van de Beek, D.; Eikelenboom, P. Systemic infection and delirium: When cytokines and acetylcholine collide. Lancet 2010, 375, 773–775. [Google Scholar] [CrossRef]
- Thomson, A.D.; Cook, C.C.; Touquet, R.; Henry, J.A.; Royal College of Physicians, London. The Royal College of Physicians report on alcohol: Guidelines for managing Wernicke’s encephalopathy in the Accident and Emergency Department. Alcohol Alcohol. 2002, 37, 513–521. [Google Scholar] [CrossRef]
- Kopelman, M.D.; Thomson, A.D.; Guerrini, I.; Marshall, E.J. The Korsakoff syndrome: Clinical aspects, psychology and treatment. Alcohol Alcohol. 2009, 44, 148–154. [Google Scholar] [CrossRef]
- Caine, D.; Halliday, G.M.; Kril, J.J.; Harper, C.G. Operational criteria for the classification of chronic alcoholics: Identification of Wernicke’s encephalopathy. J. Neurol. Neurosurg. Psychiatry 1997, 62, 51–60. [Google Scholar] [CrossRef]
- Wijnia, J.W.; Oudman, E.; van Gool, W.A.; Wierdsma, A.I.; Bresser, E.L.; Bakker, J.; van de Wiel, A.; Mulder, C.L. Severe infections are common in thiamine deficiency and may be related to cognitive outcomes: A cohort study of 68 patients with Wernicke-Korsakoff syndrome. Psychosomatics 2016, 57, 624–633. [Google Scholar] [CrossRef] [PubMed]
- Lange, J.; Königsrainer, A. Malnutrition as a complication of bariatric surgery—A clear and present danger? Vis. Med. 2019, 35, 305–311. [Google Scholar] [CrossRef] [PubMed]
- Thelwall, S.; Harrington, P.; Sheridan, E.; Lamagni, T. Impact of obesity on the risk of wound infection following surgery: Results from a nationwide prospective multicentre cohort study in England. Clin. Microbiol. Infect. 2015, 21, 1008.e1-8. [Google Scholar] [CrossRef] [PubMed]
- Christou, N.V.; Jarand, J.; Sylvestre, J.-L.; McLean, A.P.H. Analysis of the incidence and risk factors for wound infections in open bariatric surgery. Obes. Surg. 2004, 14, 16–22. [Google Scholar] [CrossRef]
- Duca, J.; Lum, C. Rare presentation of thiamine deficiency as gastrointestinal syndrome. Hawaii J. Med. Public Health 2014, 73, 46. [Google Scholar]
- Isenberg-Grzeda, E.; Kutner, H.E.; Nicolson, S.E. Wernicke-Korsakoff-syndrome: Under-recognized and under-treated. Psychosomatics 2012, 53, 507–516. [Google Scholar] [CrossRef]
- Flynn, A.; Macaluso, M.; D’Empaire, I.; Troutman, M.M. Wernicke’s Encephalopathy: Increasing Clinician Awareness of This Serious, Enigmatic, Yet Treatable Disease. Prim. Care Companion CNS Disord. 2015, 17, 27008. [Google Scholar] [CrossRef]
- Thomson, A.D.; Marshall, E.J. BNF recommendations for the treatment of Wernicke’s encephalopathy: Lost in translation? Alcohol Alcohol. 2013, 48, 514–515. [Google Scholar] [CrossRef]
- Oudman, E.; Oey, M.J.; Batjes, D.; van Dam, M.; van Dorp, M.; Postma, A.; Wijnia, J.W. Wernicke-Korsakoff syndrome diagnostics and rehabilitation in the post-acute phase. Addict. Neurosci. 2022, 4, 100043. [Google Scholar] [CrossRef]
- Svanberg, J.; Evans, J.J. Neuropsychological rehabilitation in alcohol-related brain damage: A systematic review. Alcohol Alcohol. 2013, 48, 704–711. [Google Scholar] [CrossRef]
- Böhner, E.; Spek, B.; Joling, K.J.; Zwaaagstra, Y.; Gerridzen, I.J. Factors Associated with ADL Dependence in Nursing Home Residents with Korsakoff’s Syndrome and Other Alcohol-Related Disorders: An Explorative Cross-Sectional Study. J. Clin. Med. 2023, 12, 2181. [Google Scholar] [CrossRef]
- Infante, M.T.; Fancellu, R.; Murialdo, A.; Barletta, L.; Castellan, L.; Serrati, C. Challenges in diagnosis and treatment of Wernicke Encephalopathy: Report of 2 cases. Nutr. Clin. Pr. 2016, 31, 186–190. [Google Scholar] [CrossRef] [PubMed]
- Nasreddine, Z.S.; Phillips, N.A.; Bédirian, V.; Charbonneau, S.; Whitehead, V.; Collin, I.; Cummings, J.L.; Chertkow, H. The Montreal Cognitive Assessment, MoCA: A brief screening tool for mild cognitive impairment. J. Am. Geriatr. Soc. 2005, 53, 695–699. [Google Scholar] [CrossRef] [PubMed]
- Teichner, G.; Wagner, M.T. The Test of Memory Malingering (TOMM): Normative data from cognitively intact, cognitively impaired, and elderly patients with dementia. Arch. Clin. Neuropsychol. 2004, 19, 455–464. [Google Scholar] [CrossRef] [PubMed]
- Diesfeldt, H.F.A. The Balloons Test for the assessment of visual inattention in psychogeriatric patients. Tijdschr. Gerontol. Geriatr. 2012, 43, 7–17. (In Dutch) [Google Scholar] [CrossRef]
- Warrington, E.K.; James, M. The Visual Object and Space Perception Battery; Thames Valley Test Company: Bury S. Edmunds, UK, 1991. [Google Scholar]
- Fine, E.M.; Delis, D.C.; Holdnack, J. Normative adjustments to the D-KEFS trail making test: Corrections for education and vocabulary level. Clin. Neuropsychol. 2011, 25, 1331–1344. [Google Scholar] [CrossRef]
- Karr, J.E.; Garcia-Barrera, M.A.; Holdnack, J.A.; Iverson, G.L. Advanced clinical interpretation of the Delis-Kaplan Executive Function System: Multivariate base rates of low scores. Clin. Neuropsychol. 2018, 32, 42–53. [Google Scholar] [CrossRef]
- da Silva-Sauer, L.; Garcia, R.B.; Ehrich de Moura, A.; Fernández-Calvo, B. Does the d2 Test of Attention only assess sustained attention? Evidence of working memory processes involved. Appl. Neuropsychol. Adult 2022, 8, 1–9. [Google Scholar] [CrossRef]
- Rey, A. Examining Clincal Psychology; Presses Universitaires de France: Paris, France, 1964. [Google Scholar]
- Persoon, A.; Kessels, R.P.C.; Banningh, L.J.W.; Verkoelen, J.; van Achterberg, T.; Rikkert, M.O. Assessment of memory function: The relation between daily observation and neuropsychological test performance. Int. Psychogeriatr. 2011, 23, 102–106. [Google Scholar] [CrossRef]
- Kessels, R.P.; Nys, G.M.; Brands, A.M.; Berg, E.V.D.; Zandvoort, V.M.J. The modified Location Learning Test: Norms for the assessment of spatial memory function in neuropsychological patients. Arch. Clin. Neuropsychol. 2006, 21, 841–846. [Google Scholar] [CrossRef]
- Biesbroek, J.M.; Lim, J.S.; Weaver, N.A.; Arikan, G.; Kang, Y.; Kim, B.J.; Kuijf, H.J.; Postma, A.; Lee, B.C.; Lee, K.J.; et al. Anatomy of phonemic and semantic fluency: A lesion and disconnectome study in 1231 stroke patients. Cortex 2021, 143, 148–163. [Google Scholar] [CrossRef] [PubMed]
- Thai, M.L.; Andreassen, A.K.; Bliksted, V. A meta-analysis of executive dysfunction in patients with schizophrenia: Different degree of impairment in the ecological subdomains of the Behavioural Assessment of the Dysexecutive Syndrome. Psychiatry Res. 2019, 272, 230–236. [Google Scholar] [CrossRef]
- van Dijk, M.J.; Claassen, T.; Suwartono, C.; van der Veld, W.M.; van der Heijden, P.T.; Hendriks, M.P. Evaluating WAIS-IV structure through a different psychometric lens: Structural causal model discovery as an alternative to confirmatory factor analysis. Clin. Neuropsychol. 2017, 31, 1141–1154. [Google Scholar] [CrossRef] [PubMed]
- van der Veen, R.; Oosterlaan, J.; Bos, M.; van Dooren, M.; Düdükcu, I.; van Iperen, A.; Kooiman, L.; Nicolas, K.; Peerdeman, S.; Königs, M. Measurement Feedback System for Intensive Neurorehabilitation after Severe Acquired Brain Injury. J. Med. Sys. 2022, 46, 24. [Google Scholar] [CrossRef] [PubMed]
- Agarwala, P.; Salzman, S.H. Six-Minute Walk Test: Clinical Role, Technique, Coding, and Reimbursement. Chest 2020, 157, 603–611. [Google Scholar] [CrossRef] [PubMed]
- Downs, S. The Berg Balance Scale. J. Physiother. 2015, 61, 46. [Google Scholar] [CrossRef]
- Chan, W.L.S.; Pin, T.W. Reliability, validity and minimal detectable change of 2-minute walk test, 6-minute walk test and 10-meter walk test in frail older adults with dementia. Exp. Gerontol. 2019, 115, 9–18. [Google Scholar] [CrossRef]
- Boake, C. Supervision rating scale: A measure of functional outcome from brain injury. Arch. Phys. Med. Rehabil. 1996, 77, 765–772. [Google Scholar] [CrossRef]
- Bruijnen, C.J.; Dijkstra, B.A.; Walvoort, S.J.; Budy, M.J.; Beurmanjer, H.; De Jong, C.A.; Kessels, R.P. Psychometric properties of the Montreal Cognitive Assessment (MoCA) in healthy participants aged 18–70. Int. J. Psychiatry Clin. Pract. 2020, 24, 293–300. [Google Scholar] [CrossRef]
- Oudman, E.; Van der Stigchel, S.; Postma, A.; Wijnia, J.W.; Nijboer, T.C.W. A case of chronic Wernicke’s Encephalopathy: A neuropsychological study. Front. Psychiatry 2014, 5, 49. [Google Scholar] [CrossRef]
- Bagash, H.; Marwat, A.; Marwat, A.; Kraus, B. A case of chronic Wernicke’s Encephalopathy (WE): An underdiagnosed phenomena. Cureus 2021, 13, e19100. [Google Scholar]
- Smith, H.; McCoy, M.; Varughese, K.; Reinert, J.P. Thiamine Dosing for the Treatment of Alcohol-Induced Wernicke’s Encephalopathy: A Review of the Literature. J. Pharm. Technol. 2021, 37, 107–113. [Google Scholar] [CrossRef]
- Thomson, A.D.; Marshall, E.J.; Bell, D. Time to act on the inadequate management of Wernicke’s encephalopathy in the UK. Alcohol Alcohol. 2013, 48, 4–8. [Google Scholar] [CrossRef] [PubMed]
- Skok, H.; Jabour, J.; Betcher, J. Wernicke Korsakoff syndrome in a teenage female as a complication of COVID-19. JACEP Open 2022, 3, e12735. [Google Scholar] [CrossRef]
- de Oliveira, M.V.B.; Irikura, S.; de Barros Lourenço, F.H.; Shinsato, M.; Irikura, T.C.D.B.; Irikura, R.B.; Albuquerque, T.V.C.; Shinsato, V.N.; Orsatti, V.N.; Fontanelli, A.M.; et al. Encephalopathy responsive to thiamine in severe COVID-19 patients. Brain Behav. Immun. Health 2021, 14, 1000252. [Google Scholar] [CrossRef]
- Touré, M.L.; Othon, G.C.; Touré, A.; Diakité, M.; Condé, K.; Kassa, D.F.; Sakadi, F.; Camara, D.; Conde, S.; Millimono, V.; et al. Gayet Wernicke’s Encephalopathy after COVID-19 in elderly subjects in tropical environments: Study of six observations in Conakry. Georgian Med. News 2023, 334, 142–146. [Google Scholar]
- Davis, H.E.; Assaf, G.S.; McCorkell, L.; Wei, H.; Low, R.J.; Re′em, Y.; Redfield, S.; Austin, J.P.; Akrami, A. Characterizing long Covid in an international cohort: 7 months of symptoms and their impact. EClinicalMedicine 2021, 38, 101019. [Google Scholar] [CrossRef] [PubMed]
- Rensen, Y.C.; Egger, J.I.; Westhoff, J.; Walvoort, S.J.; Kessels, R.P. Errorles (re)learning of everyday activities in patients with Korsakoff’s syndrome: A feasibility study. Neuropsychol. Rehabil. 2019, 29, 1211–1225. [Google Scholar] [CrossRef]
- Smits, S.; Oudman, E.; Altgassen, M.; Postma, A. Smartwatch reminders are as effective as verbal reminders in patients with Korsakoff’s syndrome: Three case studies. Neurocase 2022, 28, 48–62. [Google Scholar] [CrossRef]



| Test | Measurement | Score | Norms | Analysis |
|---|---|---|---|---|
| MoCA (7.3) | General cognition | 22/30 | ≤26 | Impaired |
| Test of Memory Malingering | Symptom validity testing | Trial 2: 50 | ≥45 | Normal |
| Balloons Test | Visual inattention | Score A: 10 + 10 = 20 | ≥17 | Normal |
| Score B: 10 + 9 = 19 | ≥45% | |||
| VOSP | Object and space perception | Normal | Normal | |
| DKEFS TMT | Attention | 1: 16 s, 0 errors | W = 12 | Average |
| “ | 2: 26 s, 0 errors | W = 11 | ||
| “ | 3: 23 s, 0 errors | W = 12 | ||
| Mental flexibility | 4: 48 s, 0 errors | W = 12 | ||
| “ | 5: 26 s, 0 errors | W = 10 | ||
| DKEFS CWIT | Attention | 1: 25 s, 0 errors | W = 11 | Average |
| “ | 2: 21 s, 0 errors | W = 11 | ||
| Inhibition | 3: 51 s, 0 errors | W = 10 | ||
| “ | 4: 60 s, 0 errors | W = 9 | ||
| D 2 Test | Concentration | Total: 436 | T = 44 | Average |
| “ | Total errors: 30 | T = 41 | Low average | |
| “ | Error percentage: 6% | T = 42 | Low average | |
| “ | Concentration: 149 | T = 43 | Low average | |
| “ | Variation: 11 | T = 41 | Low average | |
| RAVLT | Verbal declarative memory | 9-11-10-13-14 | T = 50 | Average |
| “ | Recall: 9 | T = 35 | Low | |
| “ | Recognition 30/30 | |||
| RBMT stories | Verbal declarative memory | Total (A + B) = 8.5 + 9 = 17.5 | T = 42 | Low average |
| “ | Total (A + B) = 4 + 5.5 = 9.5 | T = 30 | Low | |
| “ | Remembered 54% | T = 23 | Very low | |
| Rey Complex Figures | Visuoconstruction | Immediate (3 min.): 12/36 | P < 1 | Very low |
| Visual memory | Delayed (30 min.): 12.5/36 | P < 1 | Very low | |
| Delayed visual memory | Recognition: 21/24 | P = 38 | Average | |
| Location Learning Test | Visuospatial declarative memory | Total error (4-3-0-1-1) = 9 | P = 29 | Average |
| “ | Learning index = 0.31 | P = 1 | Very low | |
| “ | Delayed remembering = 1 | P = 93 | High | |
| Fluency | ||||
| Animals | Sematic fluency | 25 | T = 48 | Average |
| Occupations | “ | 19 | T = 48 | Average |
| Supermarket | “ | 24 | T = 48 | Average |
| D | Executive fluency | 12 | T = 45 | Average |
| A | “ | 13 | ||
| T | “ | 11 | ||
| BADS | Planning- and organizing skills | Zoo map test: 9/16 | PS 2 à z = −0.39 | Average |
| Planning skills | Key search test: 12/16 | PS 3 à z = 0.3 | Average | |
| “ | Action plan test: 5/5 | PS 4 à z = 0.44 | Average | |
| WAIS-IV-NL | General intellectual functioning | Total IQ: 93 | Average | Average |
Disclaimer/Publisher’s Note: The statements, opinions and data contained in all publications are solely those of the individual author(s) and contributor(s) and not of MDPI and/or the editor(s). MDPI and/or the editor(s) disclaim responsibility for any injury to people or property resulting from any ideas, methods, instructions or products referred to in the content. |
© 2023 by the authors. Licensee MDPI, Basel, Switzerland. This article is an open access article distributed under the terms and conditions of the Creative Commons Attribution (CC BY) license (https://creativecommons.org/licenses/by/4.0/).
Share and Cite
Oudman, E.; Wijnia, J.W.; Bidesie, J.; Al-Hassaan, Z.; Laenen, S.; Jong-Tjien-Fa, A.V. Young Nonalcoholic Wernicke Encephalopathy Patient Achieves Remission Following Prolonged Thiamine Treatment and Cognitive Rehabilitation. J. Clin. Med. 2023, 12, 2901. https://doi.org/10.3390/jcm12082901
Oudman E, Wijnia JW, Bidesie J, Al-Hassaan Z, Laenen S, Jong-Tjien-Fa AV. Young Nonalcoholic Wernicke Encephalopathy Patient Achieves Remission Following Prolonged Thiamine Treatment and Cognitive Rehabilitation. Journal of Clinical Medicine. 2023; 12(8):2901. https://doi.org/10.3390/jcm12082901
Chicago/Turabian StyleOudman, Erik, Jan W. Wijnia, Janice Bidesie, Zyneb Al-Hassaan, Sascha Laenen, and Amy V. Jong-Tjien-Fa. 2023. "Young Nonalcoholic Wernicke Encephalopathy Patient Achieves Remission Following Prolonged Thiamine Treatment and Cognitive Rehabilitation" Journal of Clinical Medicine 12, no. 8: 2901. https://doi.org/10.3390/jcm12082901
APA StyleOudman, E., Wijnia, J. W., Bidesie, J., Al-Hassaan, Z., Laenen, S., & Jong-Tjien-Fa, A. V. (2023). Young Nonalcoholic Wernicke Encephalopathy Patient Achieves Remission Following Prolonged Thiamine Treatment and Cognitive Rehabilitation. Journal of Clinical Medicine, 12(8), 2901. https://doi.org/10.3390/jcm12082901

