Blunt Thoracic Aortic Injury
Abstract
1. Introduction
2. Clinical Features of BTAI
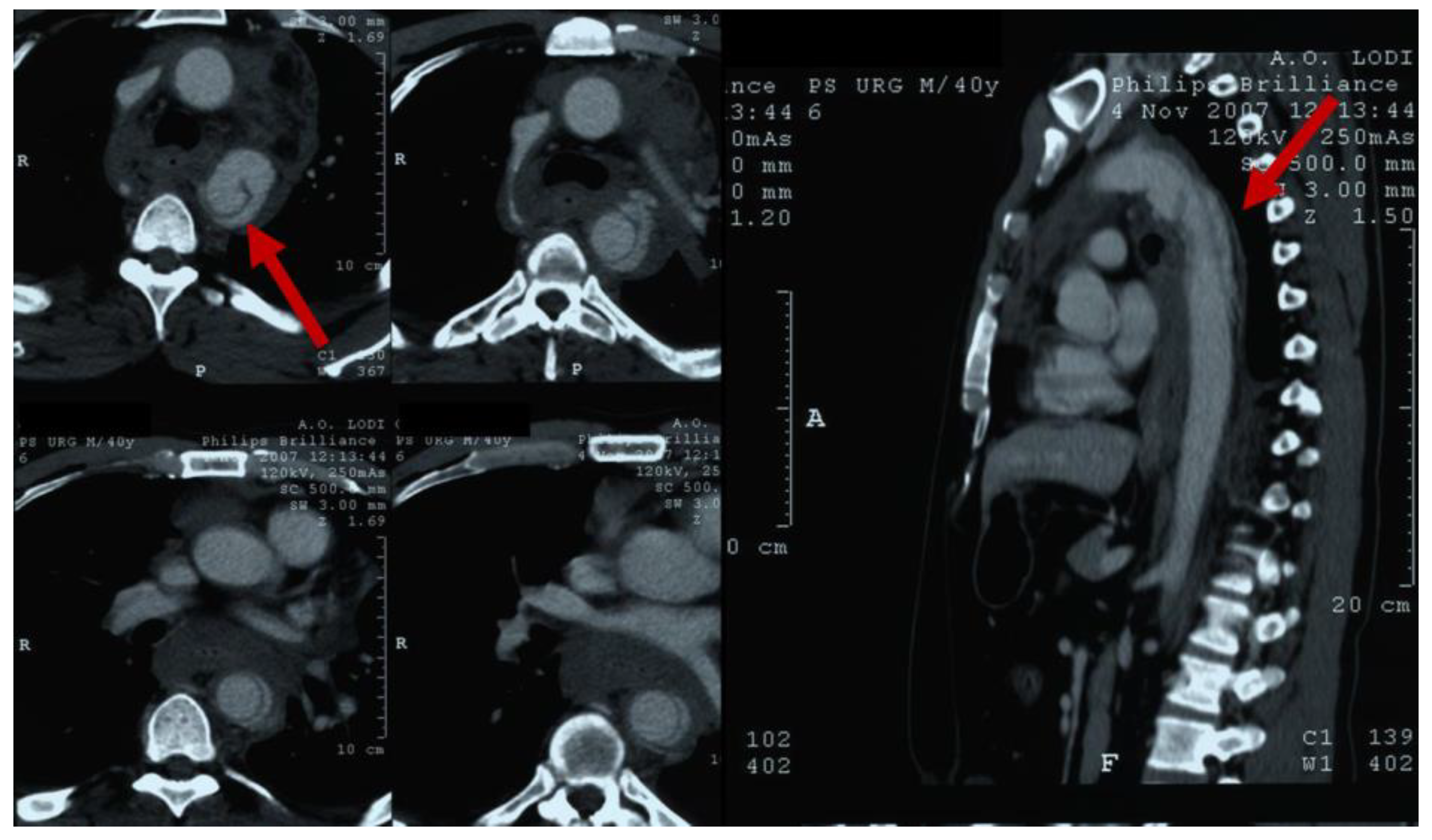
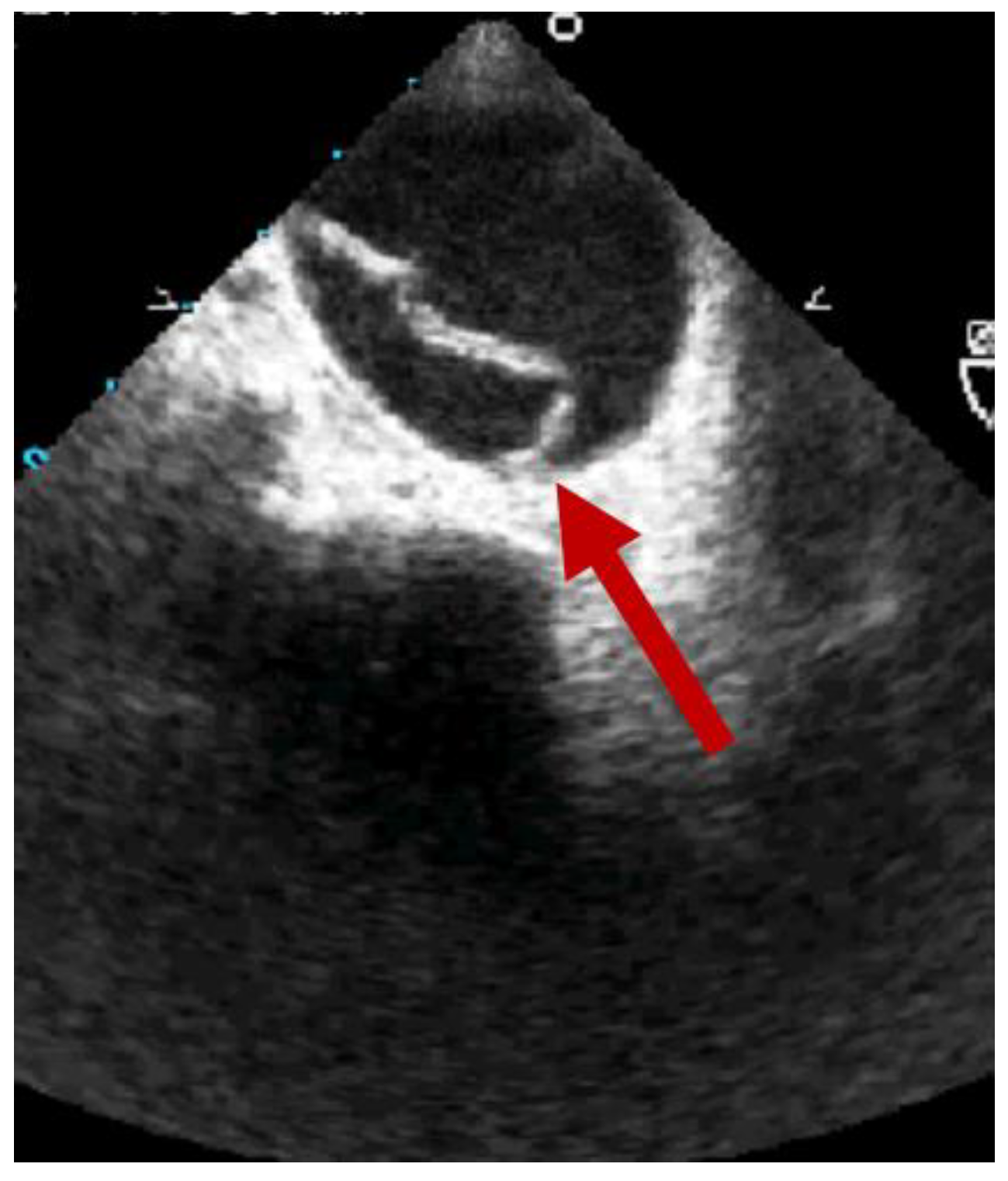
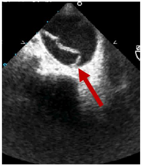
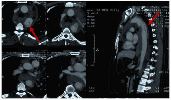
3. Diagnosis
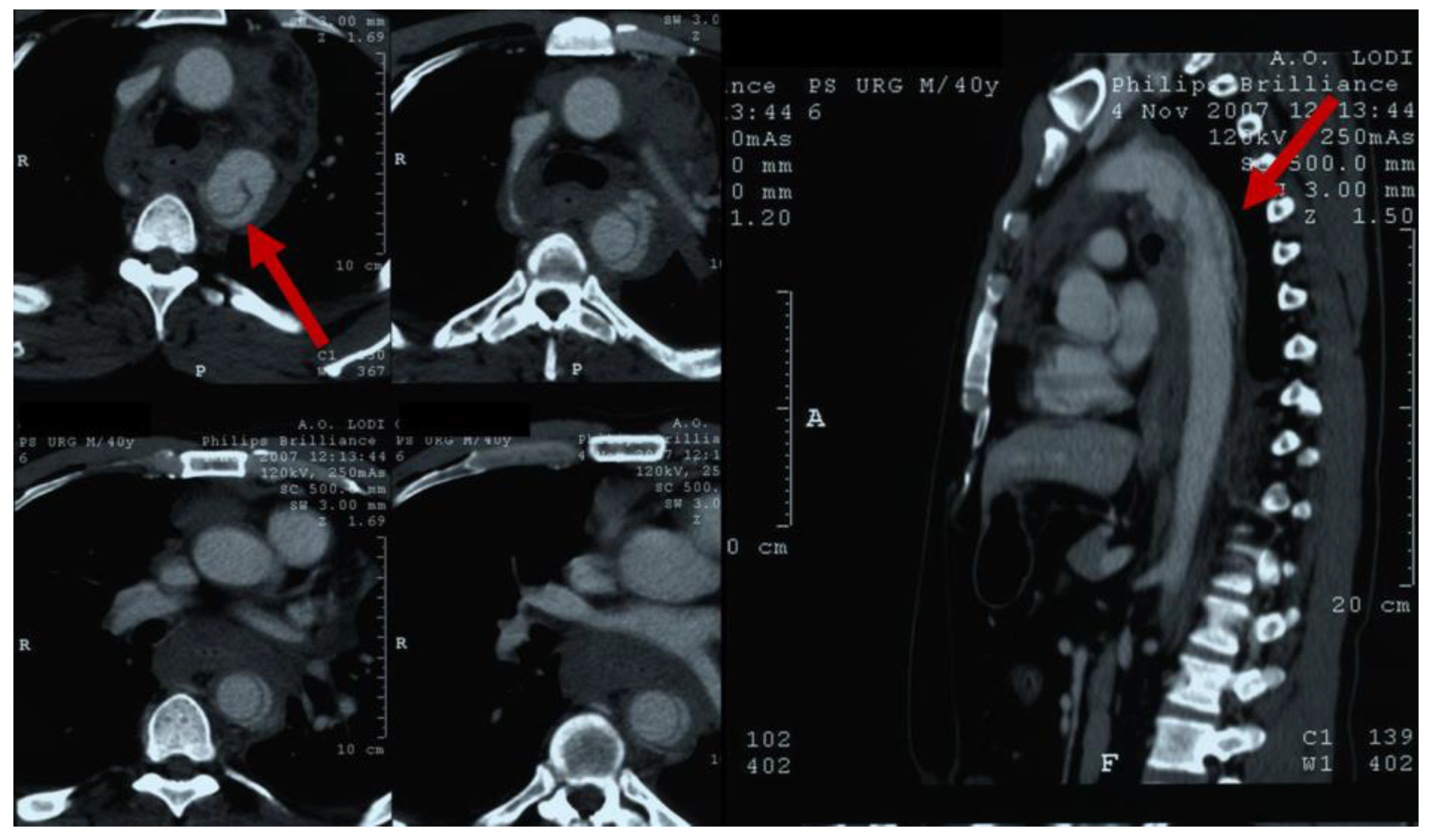
4. Aortic Injury Grading
- Grade I: Intimal tear.
- Grade II: Intramural hematoma.
- Grade III: Pseudoaneurysm.
- Grade IV: Rupture.
5. Initial Management
5.1. Minimal Aortic Injuries
5.2. Grade II, III, and IV Aortic Injuries
5.2.1. Hemodynamically Unstable Patients
5.2.2. Hemodynamically Stable Patients
6. Aortic Repair
6.1. Endovascular Repair
6.2. Open Surgical Repair
7. Perioperative Outcomes
8. Long-Term Outcomes
9. Conclusions
Author Contributions
Funding
Institutional Review Board Statement
Informed Consent Statement
Data Availability Statement
Conflicts of Interest
References
- Dinh, K.; Limmer, A.; Ngai, C.; Cho, T.; Young, N.; Hsu, J. Blunt thoracic aorta injuries, an Australian single centre’s perspective. ANZ J. Surg. 2021, 91, 662–667. [Google Scholar] [CrossRef]
- Cindy, M.; Sabrina, H.; Kim, D.; Geert, M.; Inge, F. Traumatic Aortic Rupture: 30 Years of Experience. Ann. Vasc. Surg. 2011, 25, 474–480. [Google Scholar] [CrossRef] [PubMed]
- Mertens, R.; Velásquez, F.; Mertens, N.; Vargas, F.; Torrealba, I.; Mariné, L.; Bergoeing, M.; Valdés, F. Higher Prevalence of Bovine Aortic Arch Configuration in Patients Undergoing Blunt Isthmic Aortic Trauma Repair. Ann. Vasc. Surg. 2020, 67, 67–70. [Google Scholar] [CrossRef] [PubMed]
- Nikolic, S.; Atanasijevic, T.; Mihailovic, Z.; Babic, D.; Popovic-Loncar, T. Mechanisms of aortic blunt rupture in fatally injured front-seat passengers in frontal car collisions: An autopsy study. Am. J. Forensic. Med. Pathol. 2006, 27, 292. [Google Scholar] [CrossRef]
- Scalea, T.M.; Feliciano, D.V.; DuBose, J.J.; Ottochian, M.; O’connor, J.V.; Morrison, J.J. Blunt Thoracic Aortic Injury: Endovascular Repair Is Now the Standard. J. Am. Coll. Surg. 2019, 228, 605–610. [Google Scholar] [CrossRef] [PubMed]
- Bade-Boon, J.; Mathew, J.; Fitzgerald, M.C.; Mitra, B. Do patients with blunt thoracic aortic injury present to hospital with unstable vital signs? A systematic review and meta-analysis. Emerg. Med. J. 2018, 35, 231–237. [Google Scholar] [CrossRef] [PubMed]
- Sabra, M.J.; Dennis, J.W.; Allmon, J.C.; Gautam, S.; Habib, J. Identification of unique characteristics and the management of blunt traumatic aortic injuries occurring at unusual locations in the descending thoracic aorta. J. Vasc. Surg. 2019, 69, 40–46. [Google Scholar] [CrossRef]
- Azizzadeh, A.; Keyhani, K.; Miller, C.C., 3rd; Coogan, S.M.; Safi, H.J.; Estera, A.L. Blunt traumatic aortic injury: Initial experience with endovascular repair. J. Vasc. Surg. 2009, 49, 1403. [Google Scholar] [CrossRef]
- Crapps, J.L.; Efird, J.; DuBose, J.J.M.; Teixeira, P.G.M.; Shrestha, B.M.; Brown, C.V.M. Is Chest X-Ray a Reliable Screening Tool for Blunt Thoracic Aortic Injury? Results from the American Association for the Surgery of Trauma/Aortic Trauma Foundation Prospective Blunt Thoracic Aortic Injury Registry. J. Am. Coll. Surg. 2023. [Google Scholar] [CrossRef] [PubMed]
- Boutin, L.; Caballero, M.-J.; Guarrigue, D.; Hammad, E.; Rennuit, I.; Delhaye, N.; Neuschwander, A.; Meyer, A.; Bitot, V.; Mathais, Q.; et al. Blunt Traumatic Aortic Injury Management, a French TraumaBase Analytic Cohort. Eur. J. Vasc. Endovasc. Surg. 2022, 63, 401–409. [Google Scholar] [CrossRef] [PubMed]
- Yu, L.; Baumann, B.M.; Raja, A.S.; Mower, W.R.; Langdorf, M.I.; Medak, A.J.; Anglin, D.R.; Hendey, G.W.; Nishijima, D.; Rodriguez, R.M.; et al. Blunt Traumatic Aortic Injury in the Pan-scan Era. Acad. Emerg. Med. 2019, 27, 291–296. [Google Scholar] [CrossRef]
- Isselbacher, E.M.; Preventza, O.; Black, J.H., 3rd; Augoustides, J.G.; Beck, A.W.; Bolen, M.A.; Braverman, A.C.; Bray, B.E.; Brown-Zimmerman, M.M.; Chen, E.P.; et al. 2022 ACC/AHA guideline for the diagnosis and management of aortic disease: A report of the American Heart Association/American College of Cardiology Joint Committee on Clinical Practice Guidelines. Circulation 2022, 146, e334–e482. [Google Scholar] [CrossRef]
- Fox, N.; Schwartz, D.; Salazar, J.H.; Haut, E.R.; Dahm, P.; Black, J.H.; Brakenridge, S.C.; Como, J.J.; Hendershot, K.; King, D.R.; et al. Evaluation and management of blunt traumatic aortic injury: A practice management guideline from the Eastern Association for the Surgery of Trauma. J. Trauma Acute Care. Surg. 2015, 78, 136. [Google Scholar] [CrossRef]
- Langa, S.M.; Dlamini, N.N.; Pillay, B. Spectrum of multi-detector computed tomography imaging findings of thoracic vascular injuries secondary to blunt chest trauma: Correlation with vascular intervention and patient outcomes. S. Afr. J. Radiol. 2019, 23, 1709. [Google Scholar] [CrossRef]
- Osman, A.; Fong, C.P.; Wahab, S.F.A.; Panebianco, N.; Teran, F. Transesophageal Echocardiography at the Golden Hour: Identification of Blunt Traumatic Aortic Injuries in the Emergency Department. J. Emerg. Med. 2020, 59, 418–423. [Google Scholar] [CrossRef]
- Cinnella, G.; Dambrosio, M.; Brienza, N.; Tullo, L.; Fiore, T. Transesophageal Echocardiography for Diagnosis of Traumatic Aortic Injury: An Appraisal of the Evidence. J. Trauma Inj. Infect. Crit. Care 2004, 57, 1246–1255. [Google Scholar] [CrossRef]
- Exadaktylos, A.K.; Duwe, J.; Eckstein, F.; Stoupis, C.; Schoenfeld, H.; Zimmermann, H.; Carrel, T.P. The role of contrast-enhanced spiral CT imaging versus chest X-rays in surgical therapeutic concepts and thoracic aortic injury: A 29-year Swiss retrospective analysis of aortic surgery. Cardiovasc. J. S. Afr. Off. J. S. Afr. Card. Soc. 2005, 16, 162. [Google Scholar]
- Shi, Y.; Tsai, P.I.; Wall, M.J.; Gilani, R. Intravascular ultrasound enhanced aortic sizing for endovascular treatment of blunt aortic injury. J. Trauma Inj. Infect. Crit. Care 2015, 79, 817–821. [Google Scholar] [CrossRef]
- Lee, W.A.; Matsumura, J.S.; Mitchell, R.S.; Farber, M.A.; Greenberg, R.K.; Azizzadeh, A.; Murad, M.H.; Fairman, R.M. Endovascular repair of traumatic thoracic aortic injury: Clinical practice guidelines of the Society for Vascular Surgery. J. Vasc. Surg. 2011, 53, 187–192. [Google Scholar] [CrossRef]
- Fortuna, G.R., Jr.; Perlick, A.; DuBose, J.J.; Leake, S.S.; Charlton-Ouw, K.M.; Miller, C.C., 3rd; Estera, A.L.; Azizzadeh, A. Injury grade is a predictor of aortic-related death among patients with blunt thoracic aortic injury. J. Vasc. Surg. 2016, 63, 1225–1231. [Google Scholar] [CrossRef]
- Kapoor, H.; Lee, J.T.; Orr, N.T.; Nisiewicz, M.J.; Pawley, B.K.; Zagurovskaya, M. Minimal Aortic Injury: Mechanisms, Imaging Mani-festations, Natural History, and Management. Radiographics 2020, 40, 1834–1847. [Google Scholar] [CrossRef] [PubMed]
- Malhotra, A.K.; Fabian, T.C.; Croce, M.A.; Weiman, D.S.; Gavant, M.L.; Pate, J.W. Minimal Aortic Injury: A Lesion Associated with Advancing Diagnostic Techniques. J. Trauma Inj. Infect. Crit. Care 2001, 51, 1042–1048. [Google Scholar] [CrossRef] [PubMed]
- Mohammad, A.; Branicki, F.; Abu-Zidan, F.M. Educational and Clinical Impact of Advanced Trauma Life Support (ATLS) Courses: A Systematic Review. World J. Surg. 2013, 38, 322–329. [Google Scholar] [CrossRef] [PubMed]
- Govil, D.; Praveen Kumar, G. General Management of Trauma. In ICU Protocols; Chawla, R., Todi, S., Eds.; Springer: Singapore, 2020. [Google Scholar]
- Pate, J.W.; Gavant, M.L.; Weiman, D.S.; Fabian, T.C. Traumatic Rupture of the Aortic Isthmus: Program of Selective Management RID="" ID="" This International Association for the Surgery of Trauma and Surgical Intensive Care (IATSIC) article was presented at the 37th World Congress of Surgery International Surgical Week (ISW97), Acapulco, Mexico, 24–30 August 1997. World J. Surg. 1999, 23, 59–63. [Google Scholar] [CrossRef] [PubMed]
- Osgood, M.J.; Heck, J.M.; Rellinger, E.J.; Doran, S.L.; Garrard, C.L.; Guzman, R.J.; Naslund, T.C.; Dattilo, J.B. Natural history of grade I-II blunt traumatic aortic injury. J. Vasc. Surg. 2013, 59, 334–342. [Google Scholar] [CrossRef] [PubMed]
- Romijn, A.-S.C.; Rastogi, V.; Proaño-Zamudio, J.A.; Argandykov, D.; Marcaccio, C.L.M.; Giannakopoulos, G.F.M.; Kaafarani, H.M.M.; Jongkind, V.; Bloemers, F.W.; Verhagen, H.J.; et al. Early Versus Delayed Thoracic Endovascular Aortic Repair for Blunt Thoracic Aortic Injury: A propensity-score Matched Analysis. Ann. Surg. 2023. [Google Scholar] [CrossRef]
- Yadavalli, S.D.; Romijn, A.-S.C.; Rastogi, V.; Summers, S.P.; Marcaccio, C.L.; Zettervall, S.L.; Eslami, M.H.; Starnes, B.W.; Verhagen, H.J.; Schermerhorn, M.L. Outcomes Following Thoracic Endovascular Aortic Repair for Blunt Thoracic Aortic Injury Stratified by Society for Vascular Surgery Grade. J. Vasc. Surg. 2023. [Google Scholar] [CrossRef]
- Nana, P.N.; Brotis, A.G.; Tsolaki, V.; Spanos, K.; Mpatzalexis, K.; Zakynthinos, E.; Giannoukas, A.D.; Kouvelos, G.N. Transesophageal echocardiography during endovascular procedures for thoracic aorta diseases: Sensitivity and specificity analysis. J. Cardiovasc. Surg. 2021, 62, 79–86. [Google Scholar] [CrossRef] [PubMed]
- Czerny, M.; Schmidli, J.; Adler, S.; van den Berg, J.C.; Bertoglio, L.; Carrel, T.; Chiesa, R.; Lough, R.E.; Eberle, B.; Etz, C.; et al. Editor’s Choice—Current Options and Recommendations for the Treatment of Thoracic Aortic Pathologies Involving the Aortic Arch: An Expert Consensus Document of the European Association for Cardio-Thoracic Surgery (EACTS) & the European Society for Vascular Surgery (ESVS). Eur. J. Vasc. Endovasc. Surg. 2019, 57, 165–198. [Google Scholar] [PubMed]
- Ultee, K.H.; Soden, P.A.; Chien, V.; Bensley, R.P.; Zettervall, S.L.; Verhagen, H.J.; Schermerhorn, M.L. National trends in utilization and outcome of thoracic endovascular aortic repair for traumatic thoracic aortic injuries. J. Vasc. Surg. 2016, 63, 1232–1239.e1. [Google Scholar] [CrossRef]
- Bae, M.; Jeon, C.H. Optimal Sizing of Aortic Stent Graft for Blunt Thoracic Aortic Injury Considering Hypotension-Related De-crease in Aortic Diameter. J. Endovasc. Ther. 2022, 7, 15266028221134894. [Google Scholar]
- Marrocco-Trischitta, M.M.; Spampinato, B.; Mazzeo, G.; Mazzaccaro, D.; Milani, V.; Alaidroos, M.; Ambrogi, F.; Nano, G. Impact of the Bird-Beak Configuration on Postoperative Outcome after Thoracic Endovascular Aortic Repair: A Meta-analysis. J. Endovasc. Ther. 2019, 26, 771–778. [Google Scholar] [CrossRef] [PubMed]
- Nano, G.; Mazzaccaro, D.; Malacrida, G.; Occhiuto, M.T.; Stegher, S.; Tealdi, D.G. Delayed endovascular treatment of descending aorta stent graft collapse in a patient treated for post- traumatic aortic rupture: A case report. J. Cardiothorac. Surg. 2011, 6, 76. [Google Scholar] [CrossRef] [PubMed]
- Farber, M.A.; Mendes, R.R. Endovascular repair of blunt thoracic aortic injury: Techniques and tips. J. Vasc. Surg. 2009, 50, 683–686. [Google Scholar] [CrossRef] [PubMed]
- Neschis, D.G.; Moainie, S.; Flinn, W.R.; Scalea, T.M.; Bartlett, S.T.; Griffith, B.P. Endograft repair of traumatic aortic injury-a technique in evolution: A single institution’s experience. Ann. Surg. 2009, 250, 377. [Google Scholar] [CrossRef] [PubMed]
- Nano, G.; Muzzarelli, L.; Malacrida, G.; Righini, P.C.; Marrocco-Trischitta, M.M.; Mazzaccaro, D. Endovascular repair of thoracic and thoraco-abdominal aortic lesions. Ann. Ital. Chir. 2019, 90, 191–200. [Google Scholar]
- Romagnoli, A.N.; Paterson, J.; Dua, A.M.; Kauvar, D.; Saqib, N.; Miller, C.; Starnes, B.; Azizzadeh, A.; DuBose, J. Cover with caution: Management of the Left Subclavian Artery in TEVAR for trauma. J. Trauma Inj. Infect. Crit. Care 2022, 94, 392–397. [Google Scholar] [CrossRef]
- Marrocco-Trischitta, M.M.; Alaidroos, M.; Romarowski, R.M.; Secchi, F.; Righini, P.; Glauber, M.; Nano, G. Geometric Pattern of Proximal Landing Zones for Thoracic Endovascular Aortic Repair in the Bovine Arch Variant. Eur. J. Vasc. Endovasc. Surg. 2020, 59, 808–816. [Google Scholar] [CrossRef]
- Hoornweg, L.L.; Dinkelman, M.K.; Goslings, J.C.; Reekers, J.A.; Verhagen, H.J.; Verhoeven, E.L.; Schurink, G.W.H.; Balm, R. Endovascular management of traumatic ruptures of the thoracic aorta: A retrospective multicenter analysis of 28 cases in The Netherlands. J. Vasc. Surg. 2006, 43, 1096–1102. [Google Scholar] [CrossRef] [PubMed]
- Makaloski, V.; Widenka, H.; Schönhoff, F.; Spanos, K.; Wyss, T.R.; Schmidli, J. Efficacy and Safety of Heparinization before Deployment of Endograft for Blunt Traumatic Aortic Injury in Severely Injured Patients. Ann. Vasc. Surg. 2021, 75, 341–348. [Google Scholar] [CrossRef]
- Szwerc, M.F.; Benckart, D.H.; Lin, J.C.; Johnnides, C.G.; Magovern, J.A.; Magovern, G.J. Recent Clinical Experience with Left Heart Bypass Using a Centrifugal Pump for Repair of Traumatic Aortic Transection. Ann. Surg. 1999, 230, 484. [Google Scholar] [CrossRef]
- Gammie, J.S.; Shah, A.S.; Hattler, B.G.; Kormos, R.L.; Peitzman, A.B.; Griffith, B.P.; Pham, S.M. Traumatic aortic rupture: Diagnosis and management. Ann. Thorac. Surg. 1998, 66, 1295–1300. [Google Scholar] [CrossRef]
- Maruhashi, T.; Maruki, H.; Mishima, T.; Kitamura, T.; Kurihara, Y.; Oi, M.; Kataoka, Y.; Miyaji, K.; Asari, Y. Hybrid surgery for blunt aortic injury with rupture: A case report. J. Cardiothorac. Surg. 2022, 17, 1–5. [Google Scholar] [CrossRef]
- Harky, A.; Bleetman, D.; Chan, J.S.; Eriksen, P.; Chaplin, G.; MacCarthy-Ofosu, B.; Theologou, T.; Ambekar, S.; Roberts, N.; Oo, A. A systematic review and meta-analysis of endovascular versus open surgical repair for the traumatic ruptured thoracic aorta. J. Vasc. Surg. 2019, 71, 270–282. [Google Scholar] [CrossRef] [PubMed]
- Khoynezhad, A.; Azizzadeh, A.; Donayre, C.E.; Matsumoto, A.; Velazquez, O.; White, R. Results of a multicenter, prospective trial of thoracic endovascular aortic repair for blunt thoracic aortic injury (RESCUE trial). J. Vasc. Surg. 2013, 57, 899–905.e1. [Google Scholar] [CrossRef]
- Murad, M.H.; Rizvi, A.Z.; Malgor, R.; Carey, J.; Alkatib, A.A.; Erwin, P.J.; Lee, W.A.; Fairman, R.M. Comparative effectiveness of the treatments for thoracic aortic transection [corrected]. J. Vasc. Surg. 2011, 53, 193. [Google Scholar] [CrossRef] [PubMed]
- Demetriades, D.; Velmahos, G.C.; Scalea, T.M.; Jurkovich, G.J.; Karmy-Jones, R.; Teixeira, P.; Hemmila, M.R.; O’connor, J.V.; McKenney, M.O.; Moore, F.O.; et al. Diagnosis and Treatment of Blunt Thoracic Aortic Injuries: Changing Perspectives. J. Trauma Inj. Infect. Crit. Care 2008, 64, 1415–1419. [Google Scholar] [CrossRef]
- Tang, G.L.; Tehrani, H.Y.; Usman, A.; Katariya, K.; Otero, C.; Perez, E.; Eskandari, M.K. Reduced mortality, paraplegia, and stroke with stent graft repair of blunt aortic tran-sections: A modern meta-analysis. J. Vasc. Surg. 2008, 47, 671–675. [Google Scholar] [CrossRef]
- Lee, W.A.; Daniels, M.J.; Beaver, T.M.; Klodell, C.T.; Raghinaru, D.E.; Hess, P.J., Jr. Late Outcomes of a Single-Center Experience of 400 Consecutive Thoracic Endovascular Aortic Repairs. Circulation 2011, 123, 2938–2945. [Google Scholar] [CrossRef] [PubMed]
- Wallace, G.A.; Starnes, B.W.; Hatsukami, T.S.; Sobel, M.; Singh, N.; Tran, N.T. Intravascular ultrasound is a critical tool for accurate endograft sizing in the management of blunt thoracic aortic injury. J. Vasc. Surg. 2015, 61, 630–635. [Google Scholar] [CrossRef]
- Cheng, Y.-T.; Cheng, C.-T.; Wang, S.-Y.; Wu, V.C.-C.; Chu, P.-H.; Chou, A.-H.; Chen, C.-C.; Ko, P.-J.; Liu, K.-S.; Chen, S.-W. Long-term Outcomes of Endovascular and Open Repair for Traumatic Thoracic Aortic Injury. JAMA Netw. Open 2019, 2, e187861. [Google Scholar] [CrossRef] [PubMed]
- Farber, M.A.; Krishnasastry, K.V.; Desai, N.; Starnes, B.W.; Matsumura, J.S.; Tohill, B.C. Five-year Outcomes With Conformable GORE TAG Endoprosthesis Used in Traumatic Aortic Transections. Ann. Thorac. Surg. 2021, 113, 1536–1542. [Google Scholar] [CrossRef] [PubMed]
- Gennai, S.; Leone, N.; Mezzetto, L.; Veraldi, G.F.; Santi, D.; Spaggiari, G.; Resch, T.; Silingardi, R. Systematic Review and Meta-analysis of Long-term Reintervention Following Thoracic Endovascular Repair for Blunt Traumatic Aortic Injury. J. Vasc. Surg. 2023. [Google Scholar] [CrossRef]
- Rastogi, V.; Romijn, A.-S.C.; Yadavalli, S.D.; Marcaccio, C.L.; Jongkind, V.; Zettervall, S.L.; Quiroga, E.; Saillant, N.N.; Verhagen, H.J.; Schermerhorn, M.L. Males and females have similar mortality after thoracic endovascular aortic repair for blunt thoracic aortic injury. J. Vasc. Surg. 2022, 77, 997–1005. [Google Scholar] [CrossRef] [PubMed]
- Alberta, H.B.; Secor, J.L.; Smits, T.C.; Farber, M.A.; Jordan, W.D.; Azizzadeh, A.; Rovin, J.D.; Matsumura, J.S. Comparison of thoracic aortic diameter changes after endograft placement in patients with traumatic and aneurysmal disease. J. Vasc. Surg. 2014, 59, 1241–1246. [Google Scholar] [CrossRef] [PubMed]




| Device | Sheath Access Diameter | Proximal Aortic Reference Diameter | Proximal Neck Length Required | Distal Neck Length Required | Available Measures | Tapered Configuration Available |
|---|---|---|---|---|---|---|
| Gore C-TAG® | 18–24 F | 16–42 mm | ≥20 mm | ≥20 mm | Ø: 21–45 mm Length: 100–200 mm | yes |
| Medtronic Valiant Captivia™ | 22–25 F | 18–42 mm | ≥15 mm | ≥15 mm | Ø: 22–46 mm Length: 107–212 mm | yes |
Disclaimer/Publisher’s Note: The statements, opinions and data contained in all publications are solely those of the individual author(s) and contributor(s) and not of MDPI and/or the editor(s). MDPI and/or the editor(s) disclaim responsibility for any injury to people or property resulting from any ideas, methods, instructions or products referred to in the content. |
© 2023 by the authors. Licensee MDPI, Basel, Switzerland. This article is an open access article distributed under the terms and conditions of the Creative Commons Attribution (CC BY) license (https://creativecommons.org/licenses/by/4.0/).
Share and Cite
Mazzaccaro, D.; Righini, P.; Fancoli, F.; Giannetta, M.; Modafferi, A.; Malacrida, G.; Nano, G. Blunt Thoracic Aortic Injury. J. Clin. Med. 2023, 12, 2903. https://doi.org/10.3390/jcm12082903
Mazzaccaro D, Righini P, Fancoli F, Giannetta M, Modafferi A, Malacrida G, Nano G. Blunt Thoracic Aortic Injury. Journal of Clinical Medicine. 2023; 12(8):2903. https://doi.org/10.3390/jcm12082903
Chicago/Turabian StyleMazzaccaro, Daniela, Paolo Righini, Fabiana Fancoli, Matteo Giannetta, Alfredo Modafferi, Giovanni Malacrida, and Giovanni Nano. 2023. "Blunt Thoracic Aortic Injury" Journal of Clinical Medicine 12, no. 8: 2903. https://doi.org/10.3390/jcm12082903
APA StyleMazzaccaro, D., Righini, P., Fancoli, F., Giannetta, M., Modafferi, A., Malacrida, G., & Nano, G. (2023). Blunt Thoracic Aortic Injury. Journal of Clinical Medicine, 12(8), 2903. https://doi.org/10.3390/jcm12082903

