Dental Manifestations and Celiac Disease—An Overview
Abstract
1. Introduction
2. Materials and Methods
3. Delayed Dental Eruption and Maturity
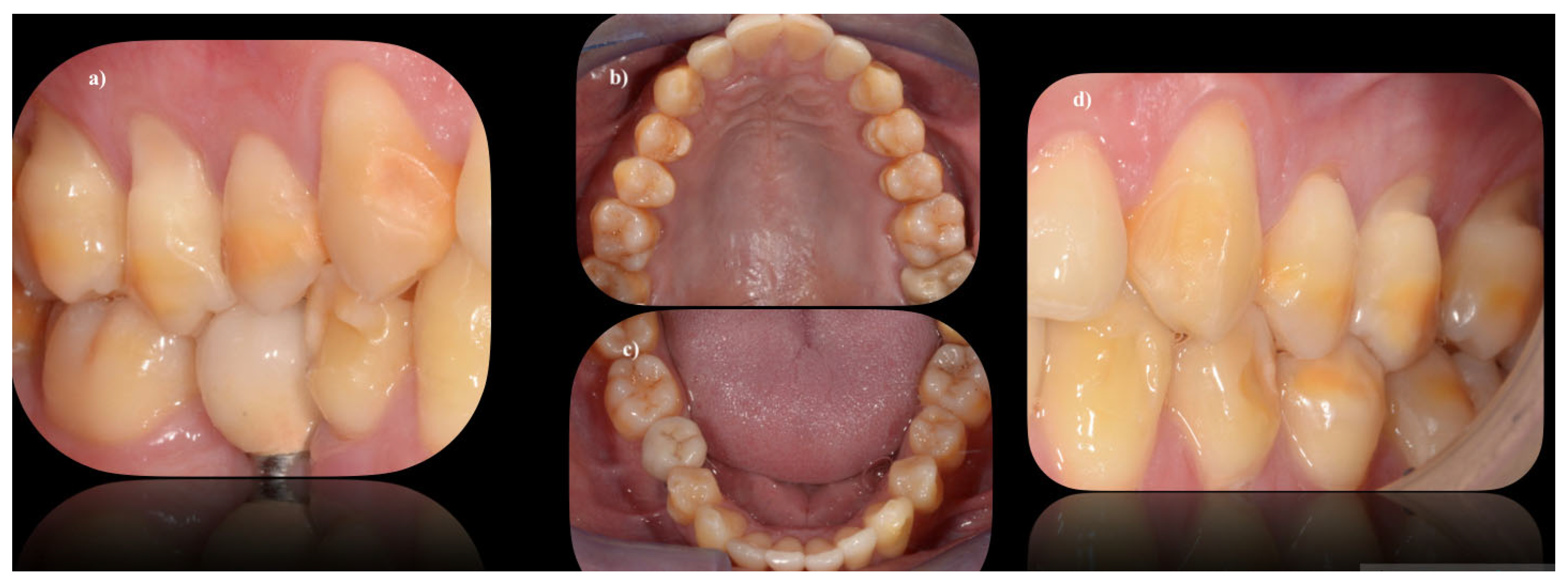
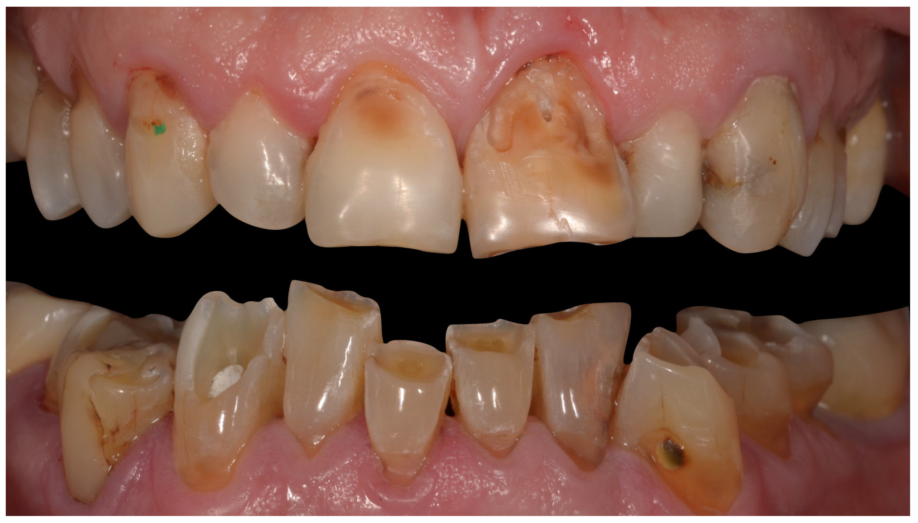
4. Dental Enamel Defects
4.1. Frequency of DEDs in CeD
4.1.1. Children and Adolescents
4.1.2. Adults
4.2. Frequency of CeD in DEDs
4.3. Pathomechanism of DEDs in CeD
4.3.1. Nutritional Deficiencies
4.3.2. Immunological Factors
4.3.3. Genetic Factors
5. Molar Incisor Hypomineralization
6. Dental Caries
7. Dental Plaque
8. Teeth Enamel Wear
9. Periodontitis
10. Conclusions
Author Contributions
Funding
Institutional Review Board Statement
Informed Consent Statement
Data Availability Statement
Conflicts of Interest
References
- Caio, G.; Volta, U.; Sapone, A.; Leffler, D.A.; De Giorgio, R.; Catassi, C.; Fasano, A. Celiac disease: A comprehensive current review. BMC Med. 2019, 171, 142. [Google Scholar] [CrossRef]
- Lindfors, K.; Ciacci, C.; Kurppa, K.; Lundin, K.E.A.; Makharia, G.K.; Mearin, M.L.; Murray, J.A.; Verdu, E.F.; Kaukinen, K. Coeliac disease. Nat. Rev. Dis. Prim. 2019, 51, 3. [Google Scholar] [CrossRef] [PubMed]
- Oxentenko, A.S.; Rubio-Tapia, A. Celiac Disease. Mayo Clin. Proc. 2019, 9412, 2556–2571. [Google Scholar] [CrossRef] [PubMed]
- Singh, P.; Arora, A.; Strand, T.A.; Leffler, D.A.; Catassi, C.; Green, P.H.; Kelly, C.P.; Ahuja, V.; Makharia, G.K. Global Prevalence of Celiac Disease: Systematic Review and Meta-analysis. Clin. Gastroenterol. Hepatol. 2018, 166, 823–836.e2. [Google Scholar] [CrossRef] [PubMed]
- Ludvigsson, J.F.; Leffler, D.A.; Bai, J.C.; Biagi, F.; Fasano, A.; Green, P.H.R.; Hadjivassiliou, M.; Kaukinen, K.; Kelly, C.P.; Leonard, J.N.; et al. The Oslo definitions for coeliac disease and related terms. Gut 2013, 621, 43–52. [Google Scholar] [CrossRef]
- Hujoel, I.A.; Reilly, N.R.; Rubio-Tapia, A. Celiac Disease: Clinical Features and Diagnosis. Gastroenterol. Clin. N. Am. 2019, 481, 19–37. [Google Scholar] [CrossRef]
- Krzywicka, B.; Herman, K.; Kowalczyk-Zając, M.; Pytrus, T. Celiac disease and its impact on the oral health status—Review of the literature. Adv. Clin. Exp. Med. 2014, 235, 675–681. [Google Scholar] [CrossRef]
- Macho, V.M.P.; Coelho, A.S.; Veloso e Silva, D.M.; de Andrade, D.J.C. Oral Manifestations in Pediatric Patients with Coeliac Disease—A Review Article. Open Dent. J. 2017, 11, 539–545. [Google Scholar] [CrossRef]
- Van Gils, T.; Brand, H.S.; de Boer, N.K.H.; Mulder, C.J.J.; Bouma, G. Gastrointestinal diseases and their oro-dental manifestations: Part 3: Coeliac disease. Br. Dent. J. 2017, 2222, 126–129. [Google Scholar] [CrossRef]
- Maloney, W.J.; Raymond, G.; Hershkowitz, D.; Rochlen, G. Oral and dental manifestations of celiac disease. N. Y. State Dent. J. 2014, 804, 45–48. [Google Scholar]
- Mantegazza, C.; Paglia, M.; Angiero, F.; Crippa, R. Oral manifestations of gastrointestinal diseases in children. Part 4: Coeliac disease. Eur. J. Paediatr. Dent. 2016, 174, 332–334. [Google Scholar]
- Nieri, M.; Tofani, E.; Defraia, E.; Giuntini, V.; Franchi, L. Enamel defects and aphthous stomatitis in celiac and healthy subjects: Systematic review and meta-analysis of controlled studies. J. Dent. 2017, 65, 1–10. [Google Scholar] [CrossRef] [PubMed]
- Paul, S.P.; Kirkham, E.N.; John, R.; Staines, K.; Basude, D. Coeliac disease in children—An update for general dental practitioners. Br. Dent. J. 2016, 2209, 481–485. [Google Scholar] [CrossRef] [PubMed]
- Karlin, S.; Karlin, E.; Meiller, T.; Bashirelahi, N. Dental and Oral Considerations in Pediatric Celiac Disease. J. Dent. Child. 2016, 832, 67–70. [Google Scholar]
- Singh, A.D.; Singh, P.; Farooqui, N.; Strand, T.; Ahuja, V.; Makharia, G.K. Prevalence of celiac disease in patients with short stature: A systematic review and meta-analysis. J. Gastroenterol. Hepatol. 2021, 361, 44–54. [Google Scholar] [CrossRef]
- Bıçak, D.A.; Urgancı, N.; Akyüz, S.; Usta, M.; Uslu Kizilkan, N.; Alev Tuzuner, B.; Yarat, A. Clinical evaluation of dental enamel defects and oral findings in coeliac children. Eur. Oral Res. 2018, 523, 150–156. [Google Scholar] [CrossRef]
- Bramanti, E.; Cicciù, M.; Matacena, G.; Costa, S.; Magazzù, G. Clinical Evaluation of Specific Oral Manifestations in Pediatric Patients with Ascertained versus Potential Coeliac Disease: A Cross-Sectional Study. Gastroenterol. Res. Pract. 2014, 2014, 934159. [Google Scholar] [CrossRef]
- Villemur Moreau, L.; Dicky, O.; Mas, E.; Noirrit, E.; Marty, M.; Vaysse, F.; Olives, J.-P. Oral manifestations of celiac disease in French children. Arch. Pediatr. 2021, 282, 105–110. [Google Scholar] [CrossRef]
- Costacurta, M.; Maturo, P.; Bartolino, M.; Docimo, R. Oral manifestations of coeliac disease: A clinical-statistic study. Oral Implantol. 2010, 31, 12–19. [Google Scholar]
- Costacurta, M.; Condò, R.; Sicuro, L.; Perugia, C.; Docimo, R. Cervical vertebral maturation and dental age in coeliac patients. Oral Implantol. 2011, 4, 11–17. [Google Scholar]
- Condò, R.; Costacurta, M.; Maturo, P.; Docimo, R. The dental age in the child with coeliac disease. Eur. J. Paediatr. Dent. 2011, 123, 184–188. [Google Scholar]
- Alamoudi, N.M.; Alsadat, F.A.; El-Housseiny, A.A.; Felemban, O.M.; Al Tuwirqi, A.A.; Mosli, R.H.; Saadah, O.I. Dental maturity in children with celiac disease: A case-control study. BMC Oral Health 2020, 201, 311. [Google Scholar] [CrossRef] [PubMed]
- Aine, L. Dental enamel defects and dental maturity in children and adolescents with coeliac disease. Proc. Finn. Dent. Soc. 1986, 82, 1–71. [Google Scholar] [PubMed]
- Souto-Souza, D.; da Consolação Soares, M.E.; Rezende, V.S.; de Lacerda Dantas, P.C.; Galvão, E.L.; Falci, S.G.M. Association between developmental defects of enamel and celiac disease: A meta-analysis. Arch. Oral Biol. 2018, 87, 180–190. [Google Scholar] [CrossRef]
- Acar, S.; Yetkıner, A.A.; Ersın, N.; Oncag, O.; Aydogdu, S.; Arıkan, C. Oral findings and salivary parameters in children with celiac disease: A preliminary study. Med. Princ. Pract. 2012, 212, 129–133. [Google Scholar] [CrossRef]
- Ertekï, N.V.; Sümbüllü, M.A.; Tosun, M.S.; Selïmoğlu, M.A.; Kara, M.; Kiliç, N. Oral findings in children with celiac disease. Turk. J. Med. Sci. 2012, 42, 613–617. [Google Scholar] [CrossRef]
- Trotta, L.; Biagi, F.; Bianchi, P.I.; Marchese, A.; Vattiato, C.; Balduzzi, D.; Collesano, V.; Corazza, G.R. Dental enamel defects in adult coeliac disease: Prevalence and correlation with symptoms and age at diagnosis. Eur. J. Intern. Med. 2013, 248, 832–834. [Google Scholar] [CrossRef]
- Cantekin, K.; Arslan, D.; Delikan, E. Presence and distribution of dental enamel defects, recurrent aphthous lesions and dental caries in children with celiac disease. Pak. J. Med. Sci. 2015, 313, 606–609. [Google Scholar] [CrossRef]
- De Carvalho, F.K.; de Queiroz, A.M.; Bezerra da Silva, R.A.; Sawamura, R.; Bachmann, L.; Bezerra da Silva, L.A.; Nelson-Filho, P. Oral aspects in celiac disease children: Clinical and dental enamel chemical evaluation. Oral Surg. Oral Med. Oral Pathol. Oral Radiol. 2015, 1196, 636–643. [Google Scholar] [CrossRef]
- De Queiroz, A.M.; Arid, J.; de Carvalho, F.K.; Bezerra da Silva, R.A.; Kuchler, E.C.; Sawamura, R.; Bezerra da Silva, L.A.; Nelson-Filho, P. Assessing the proposed association between DED and gluten-free diet introduction in celiac children. Spec. Care Dentist 2017, 374, 194–198. [Google Scholar] [CrossRef]
- Amato, M.; Zingone, F.; Caggiano, M.; Iovino, P.; Bucci, C.; Ciacci, C. Tooth Wear Is Frequent in Adult Patients with Celiac Disease. Nutrients 2017, 912, 1321. [Google Scholar] [CrossRef] [PubMed]
- Cruz, I.-T.-S.-A.; Fraiz, F.-C.; Celli, A.; Amenabar, J.-M.; Assunção, L.-R.-S. Dental and oral manifestations of celiac disease. Med. Oral Patol. Oral Cir. Bucal. 2018, 236, e639–e645. [Google Scholar] [CrossRef]
- Zoumpoulakis, M.; Fotoulaki, M.; Topitsoglou, V.; Lazidou, P.; Zouloumis, L.; Kotsanos, N. Prevalence of Dental Enamel Defects, Aphthous-Like Ulcers and Other Oral Manifestations in Celiac Children and Adolescents: A Comparative Study. J. Clin. Pediatr. Dent. 2019, 434, 274–280. [Google Scholar] [CrossRef]
- Macho, V.M.P.; de Barros Menéres Manso, M.C.A.; de Silva, D.M.V.; de Andrade, D.J.C. The difference in symmetry of the enamel defects in celiac disease versus non-celiac pediatric population. J. Dent. Sci. 2020, 153, 345–350. [Google Scholar] [CrossRef] [PubMed]
- Ahmed, A.; Singh, A.; Kajal, S.; Chauhan, A.; Rajput, M.S.; Banyal, V.; Ahuja, V.; Makharia, G.K. Dental enamel defects and oral cavity manifestations in Asian patients with celiac disease. Indian J. Gastroenterol. 2021, 404, 402–409. [Google Scholar] [CrossRef] [PubMed]
- Alsadat, F.A.; Alamoudi, N.M.; El-Housseiny, A.A.; Felemban, O.M.; Dardeer, F.M.; Saadah, O.I. Oral and dental manifestations of celiac disease in children: A case-control study. BMC Oral Health 2021, 211, 669. [Google Scholar] [CrossRef] [PubMed]
- Ludovichetti, F.S.; Signoriello, A.G.; Girotto, L.; Del Dot, L.; Piovan, S.; Mazzoleni, S. Oro-dental lesions in pediatric patients with celiac disease: An observational retrospective clinical study. Rev. Esp. Enferm. Dig. 2022, 11411, 654–659. [Google Scholar] [CrossRef]
- Elbek-Cubukcu, C.; Arsoy, H.-A.; Ozkaya, G. Assessment of oral manifestations in pediatric patients with celiac disease in relation to marsh types. Med. Oral Patol. Oral Cir. Bucal. 2023, 281, e9–e15. [Google Scholar] [CrossRef]
- Bulut, M.; Tokuc, M.; Aydin, M.N.; Civan, H.A.; Polat, E.; Dogan, G.; Altuntas, C.; Bayrak, N.A.; Beser, O.F. Nutrition and oral health in children with recently and previously diagnosed celiac disease. Clin. Oral Investig. 2023. [Google Scholar] [CrossRef]
- El-Hodhod, M.A.-A.; El-Agouza, I.A.; Abdel-Al, H.; Kabil, N.S.; Bayomi, K.A.E.-M. Screening for celiac disease in children with dental enamel defects. ISRN Pediatr. 2012, 2012, 763783. [Google Scholar] [CrossRef]
- Muñoz, F.; Del Río, N.; Sóñora, C.; Tiscornia, I.; Marco, A.; Hernández, A. Enamel defects associated with coeliac disease: Putative role of antibodies against gliadin in pathogenesis. Eur. J. Oral Sci. 2012, 1202, 104–112. [Google Scholar] [CrossRef] [PubMed]
- Sóñora, C.; Arbildi, P.; Rodríguez-Camejo, C.; Beovide, V.; Marco, A.; Hernández, A. Enamel organ proteins as targets for antibodies in celiac disease: Implications for oral health. Eur. J. Oral Sci. 2016, 1241, 11–16. [Google Scholar] [CrossRef] [PubMed]
- Petronijevic, S.; Stig, S.; Gao, J.; Halstensen, T.S. Amelogenin specific IgA and IgG in children with untreated coeliac disease. Eur. J. Oral Sci. 2016, 1246, 526–533. [Google Scholar] [CrossRef] [PubMed]
- Petronijevic, S.; Stig, S.; Halstensen, T.S. Epitope mapping of anti-amelogenin IgA in coeliac disease. Eur. J. Oral Sci. 2020, 1281, 27–36. [Google Scholar] [CrossRef]
- Lázár-Molnár, E.; Snyder, M. The Role of Human Leukocyte Antigen in Celiac Disease Diagnostics. Clin. Lab. Med. 2018, 384, 655–668. [Google Scholar] [CrossRef]
- Erriu, M.; Sanna, S.; Nucaro, A.; Orrù, G.; Garau, V.; Montaldo, C. HLA-DQB1 Haplotypes and their Relation to Oral Signs Linked to Celiac Disease Diagnosis. Open Dent. J. 2011, 5, 174–178. [Google Scholar] [CrossRef] [PubMed]
- Erriu, M.; Abbate, G.M.; Pili, F.M.G.; Novara, F.; Orru, G.; Montaldo, C.; Piras, V.; Levrini, L. Oral Signs and HLA-DQB1∗02 Haplotypes in the Celiac Paediatric Patient: A Preliminary Study. Autoimmune Dis. 2013, 2013, 389590. [Google Scholar] [CrossRef]
- Kuklik, H.H.; Cruz, I.T.S.A.; Celli, A.; Fraiz, F.C.; da Silva Assunção, L.R. Hipomineralização de molares e incisivos e doença celíaca. Arq. Gastroenterol. 2020, 572, 167–171. [Google Scholar] [CrossRef]
- Nota, A.; Abati, S.; Bosco, F.; Rota, I.; Polizzi, E.; Tecco, S. General Health, Systemic Diseases and Oral Status in Adult Patients with Coeliac Disease. Nutrients 2020, 1212, 3836. [Google Scholar] [CrossRef]
- Kalvandi, G.; Shahramian, I.; Farmany, A.; Yadegari, S.; Parooie, F. Serological study of celiac disease in children with dental caries. Hum. Antibodies 2021, 294, 237–241. [Google Scholar] [CrossRef]
- Shteyer, E.; Berson, T.; Lachmanovitz, O.; Hidas, A.; Wilschanski, M.; Menachem, M.; Schachar, E.; Shapira, J.; Steinberg, D.; Moskovitz, M. Oral health status and salivary properties in relation to gluten-free diet in children with celiac disease. J. Pediatr. Gastroenterol. Nutr. 2013, 571, 49–52. [Google Scholar] [CrossRef] [PubMed]
- Saraceno, R.; Perugia, C.; Ventura, A.; Lorè, B.; Chimenti, S.; Docimo, R. Aphthous, celiac disease and other dental disorders in childhood. G Ital. Dermatol. Venereol. 2016, 1513, 239–243. [Google Scholar]
- Tsami, A.; Petropoulou, P.; Panayiotou, J.; Mantzavinos, Z.; Roma-Giannikou, E. Oral hygiene and periodontal treatment needs in children and adolescents with coeliac disease in Greece. Eur. J. Paediatr. Dent. 2010, 113, 122–126. [Google Scholar]
- Spinell, T.; DeMayo, F.; Cato, M.; Thai, A.; Helmerhorst, E.J.; Green, P.H.R.; Lebwohl, B.; Demmer, R.T. The association between coeliac disease and periodontitis: Results from NHANES 2009-2012. J. Clin. Periodontol. 2018, 453, 303–310. [Google Scholar] [CrossRef]
- El-Housseiny, A.A.; Alsadat, F.A.; Alamoudi, N.M.; Felemban, O.M.; Mosli, R.H.; Saadah, O.I. Oral health-related quality of life in children with celiac disease. Qual Life Res. 2022, 3112, 3413–3421. [Google Scholar] [CrossRef]



| PICOTS Parameter | Inclusion Criteria | Exclusion Criteria |
|---|---|---|
| Patients | Patients from 0 to 99 years with celiac disease | Another intestinal disease not universally recognized as celiac disease |
| Intervention | Not applicable | |
| Comparator | Non-celiac individuals | |
| Outcome | The presence/absence of dental manifestations such as dental enamel defects, plaque, periodontitis and aphthous stomatitis | |
| Time | Studies published from 2010 to March 2023 | |
| Study design | Connections between oral/dental pathology and celiac disease | Reviews, expert opinions, comments, letters to editors, case reports, conference reports, and studies not published in English. |
| Grade I: Presence of defect in color of enamel Single or multiple yellow or brown opacities with clearly defined or diffuse margins; a part or the entire surface of enamel is without glaze. |
| Grade II: Slight structural defects Enamel surface is rough, filled with horizontal grooves or shallow pits; light opacities and discoloration may be found; a part or the entire surface of enamel is without glaze. |
| Grade III: Evident structural defects A part or the entire surface of enamel is rough and filled with deep horizontal grooves which vary in width or have large vertical pits; large opacities of different colors or strong discoloration may be in combination. |
| Grade IV: Severe structural defects Shape of tooth changed: tips of cusps are sharp-pointed and/or incisal edges unevenly thinned and rough; the enamel thinning is easily detectable, and the lesions margins are well defined; lesions may be strongly discolored. |
| Author (Year) | Country | Adults | Children/Adolescents | ||
|---|---|---|---|---|---|
| n a | % | n a | % | ||
| Acar (2012) [25] | Turkey | - | - | 35 vs. 35 | 40 vs. 0% |
| Ertekin (2012) [26] | Turkey | - | - | 81 vs. 20 | 53 vs. 25% |
| Trotta (2013) [27] | Italy | 54 b | 85 b | - | - |
| Bramanti (2014) [17] | Italy | - | - | 50 vs. 54 c | 48 vs. 0% c |
| Cantekin (2015) [28] | Turkey | - | - | 25 vs. 25 | 48 vs. 18% |
| de Carvalho (2015) [29] | Brazil | - | - | 52 vs. 52 | 58 vs. 14% |
| De Queiroz (2017) [30] | Brazil | - | - | 45 b | 55.6% |
| Amato (2017) [31] | Italy | 49 vs. 51 | 14 vs. 0% | - | - |
| Bicak (2018) [16] | Turkey | - | - | 30 vs. 30 | 67 vs. 0% |
| Cruz (2018) [32] | Brazil | - | - | 40 vs. 40 | 38 vs. 16% |
| Zoumpoulakis (2019) [33] | Greece | - | - | 45 vs. 45 | 51 vs. 11% |
| Macho (2020) [34] | Portugal | - | - | 80 vs. 80 | 55 vs. 27.5 |
| Ahmed (2021) [35] | India | 118 vs. 40 | 68 vs. 20% | - | - |
| Alsadat (2021) [36] | Saudi Arabia | - | - | 104 vs. 104 | 70 vs. 35% |
| Villemur-Moreau (2021) [18] | France | - | - | 28 vs. 59 | 68 vs. 34% |
| Ludovichetti (2022) [37] | Italy | - | - | 38 vs. 38 | 68 vs. 29% |
| Elbek-Cubukcu (2023) [38] | Turkey | - | - | 62 vs.64 | 11.7% vs. 0%as MIH |
| Bulut (2023) [39] | Turkey | - | - | 78 b | 38.3% |
|
Disclaimer/Publisher’s Note: The statements, opinions and data contained in all publications are solely those of the individual author(s) and contributor(s) and not of MDPI and/or the editor(s). MDPI and/or the editor(s) disclaim responsibility for any injury to people or property resulting from any ideas, methods, instructions or products referred to in the content. |
© 2023 by the authors. Licensee MDPI, Basel, Switzerland. This article is an open access article distributed under the terms and conditions of the Creative Commons Attribution (CC BY) license (https://creativecommons.org/licenses/by/4.0/).
Share and Cite
Wieser, H.; Amato, M.; Caggiano, M.; Ciacci, C. Dental Manifestations and Celiac Disease—An Overview. J. Clin. Med. 2023, 12, 2801. https://doi.org/10.3390/jcm12082801
Wieser H, Amato M, Caggiano M, Ciacci C. Dental Manifestations and Celiac Disease—An Overview. Journal of Clinical Medicine. 2023; 12(8):2801. https://doi.org/10.3390/jcm12082801
Chicago/Turabian StyleWieser, Herbert, Massimo Amato, Mario Caggiano, and Carolina Ciacci. 2023. "Dental Manifestations and Celiac Disease—An Overview" Journal of Clinical Medicine 12, no. 8: 2801. https://doi.org/10.3390/jcm12082801
APA StyleWieser, H., Amato, M., Caggiano, M., & Ciacci, C. (2023). Dental Manifestations and Celiac Disease—An Overview. Journal of Clinical Medicine, 12(8), 2801. https://doi.org/10.3390/jcm12082801

