The Prevention, Diagnosis, and Treatment of Rapid Oral Health Deterioration (ROHD) among Older Adults
Abstract
1. Introduction
- (1)
- Data gathering for evidence-based ROHD risk factors;
- (2)
- Data assessment and prioritization (what matters most?);
- (3)
- ROHD risk categorization;
- (4)
- Identifying viable treatment alternatives.




2. Preventing ROHD among Older Adults
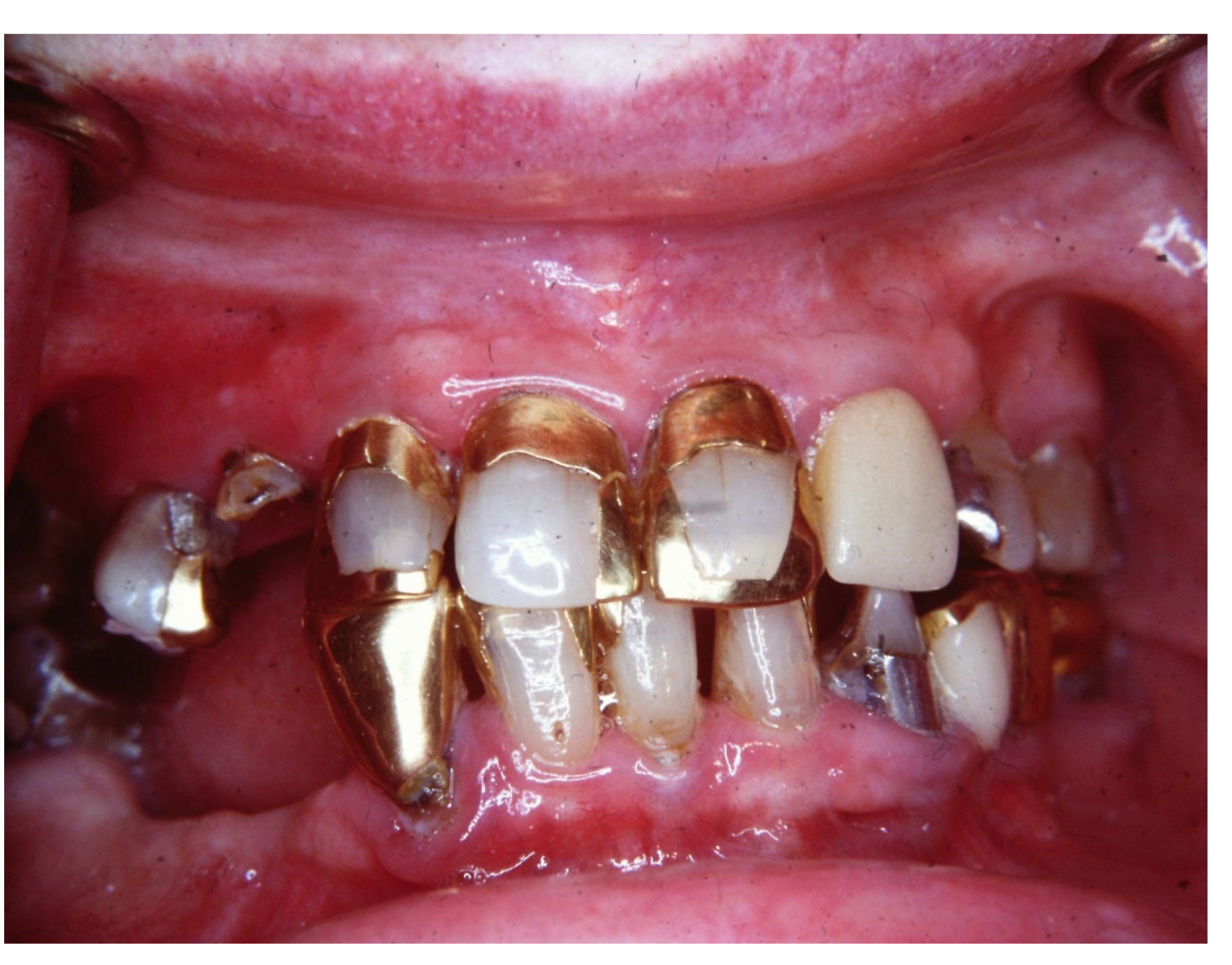
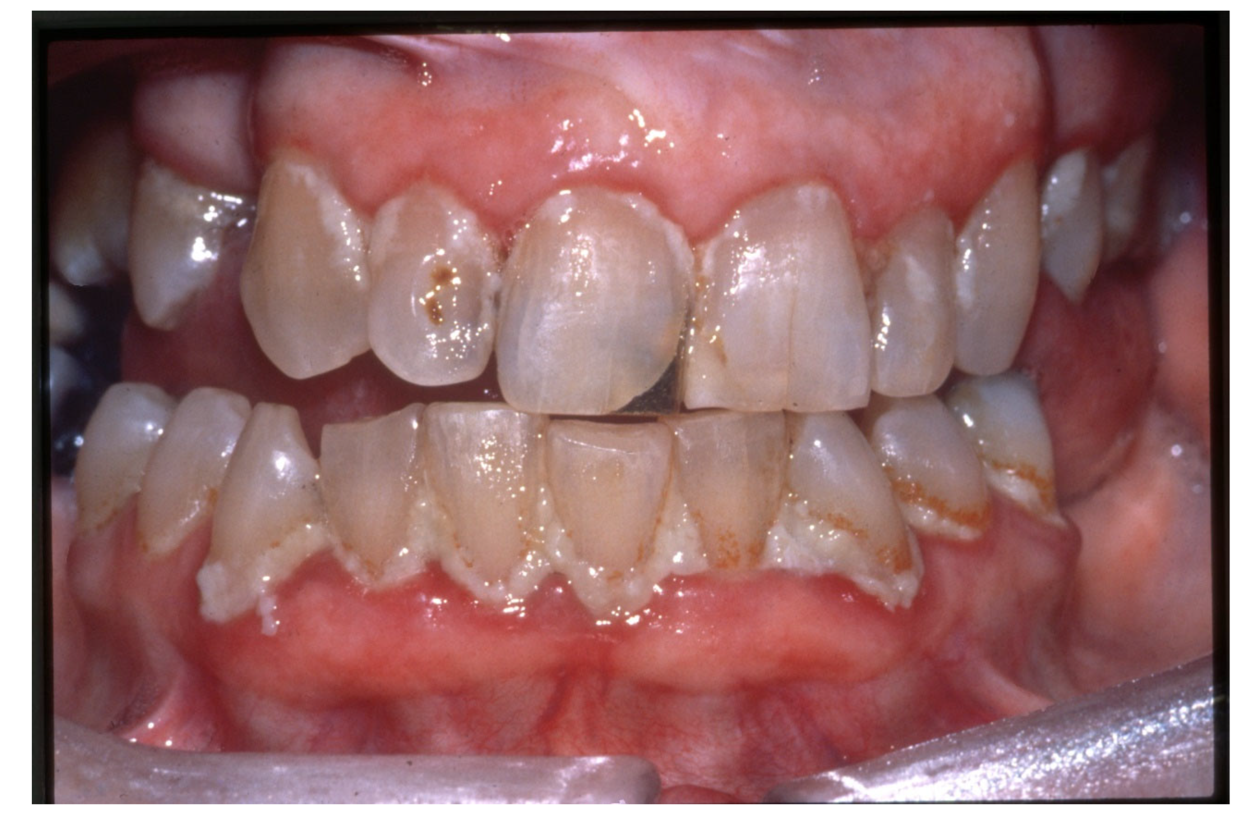
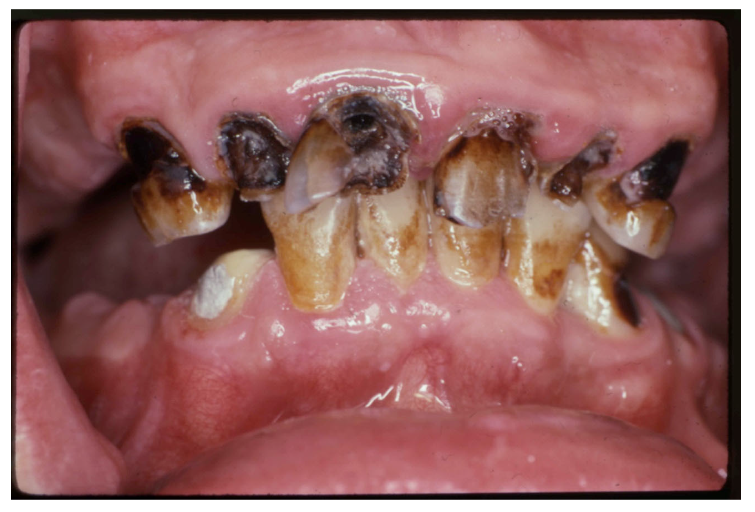
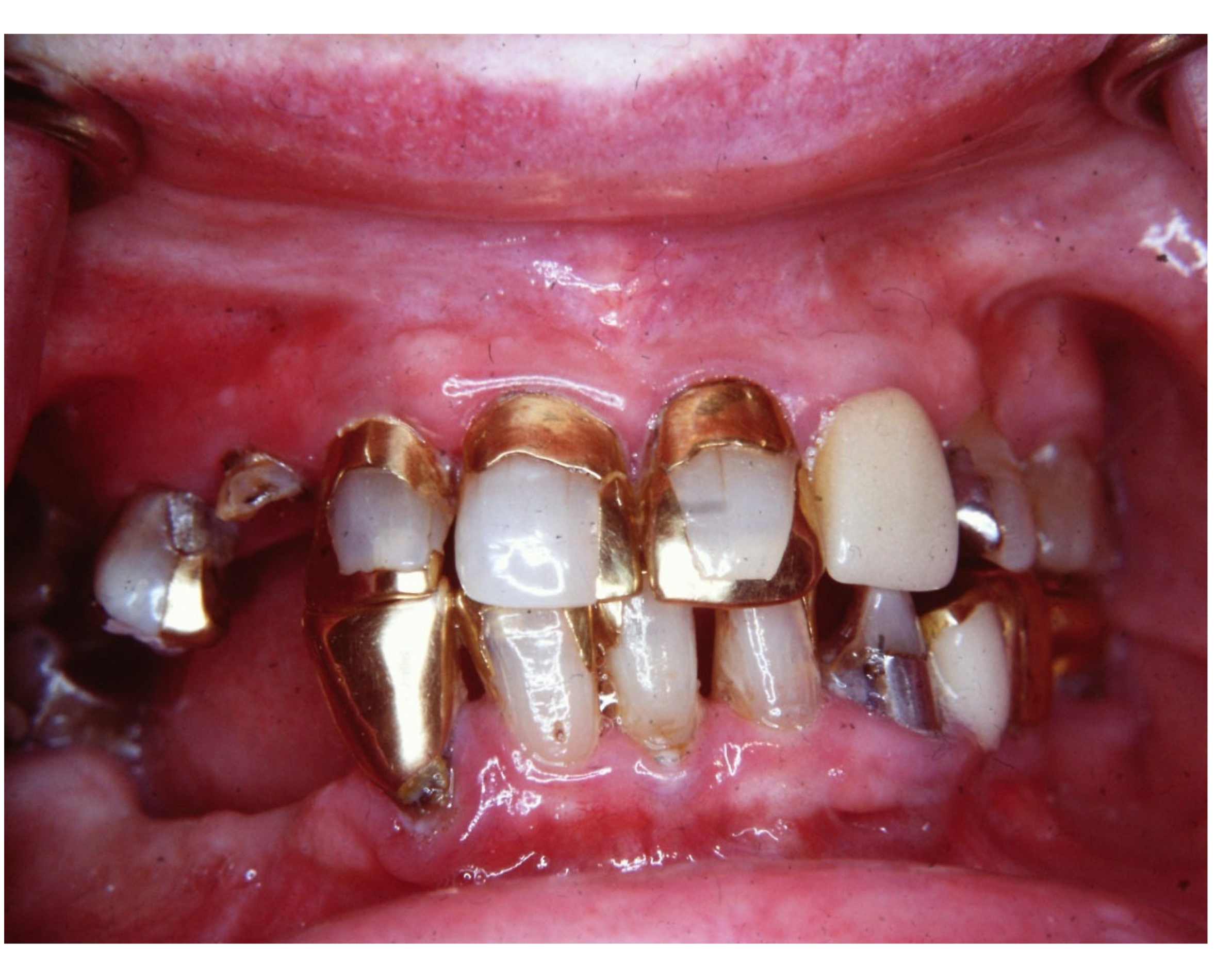
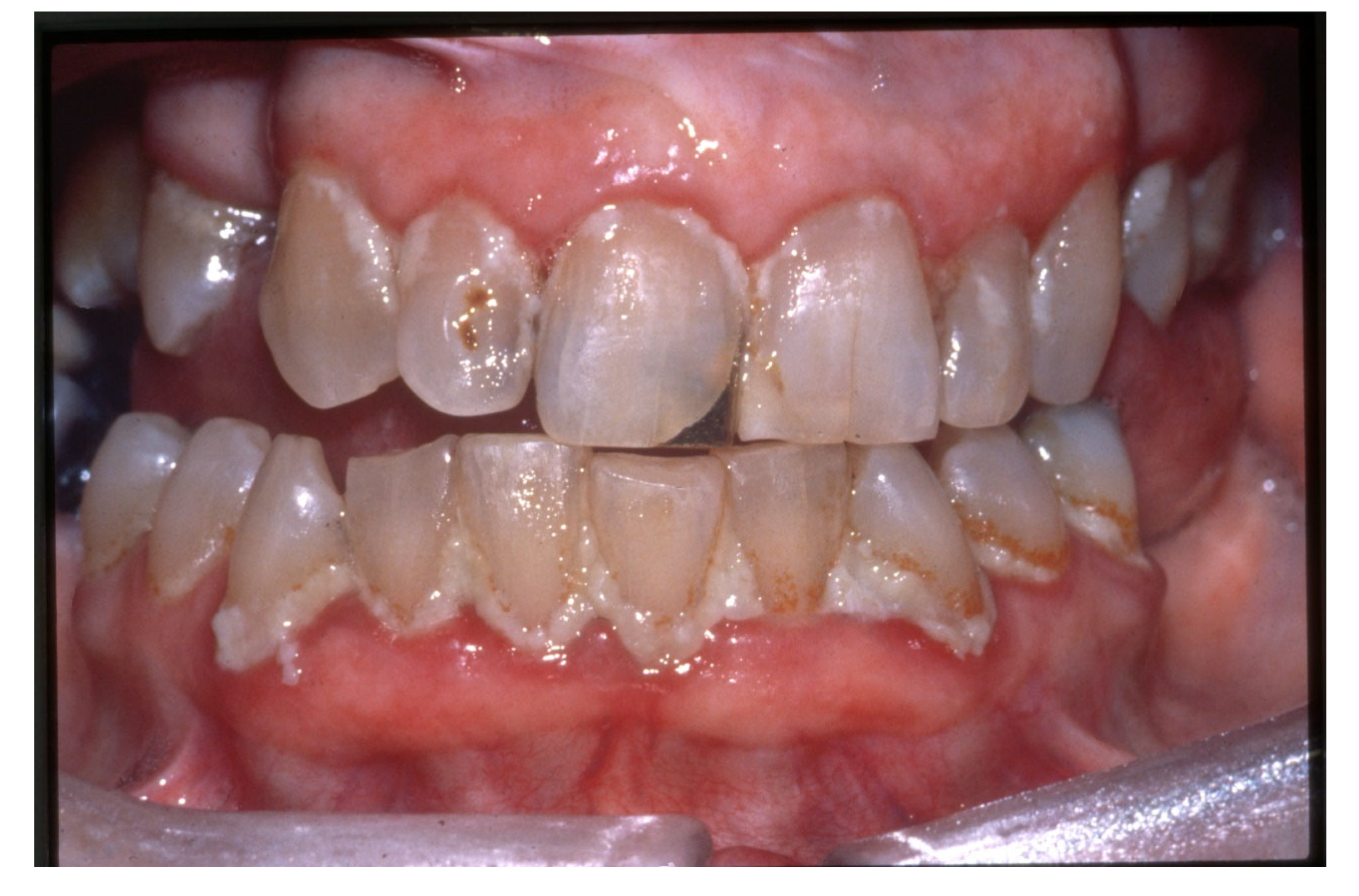
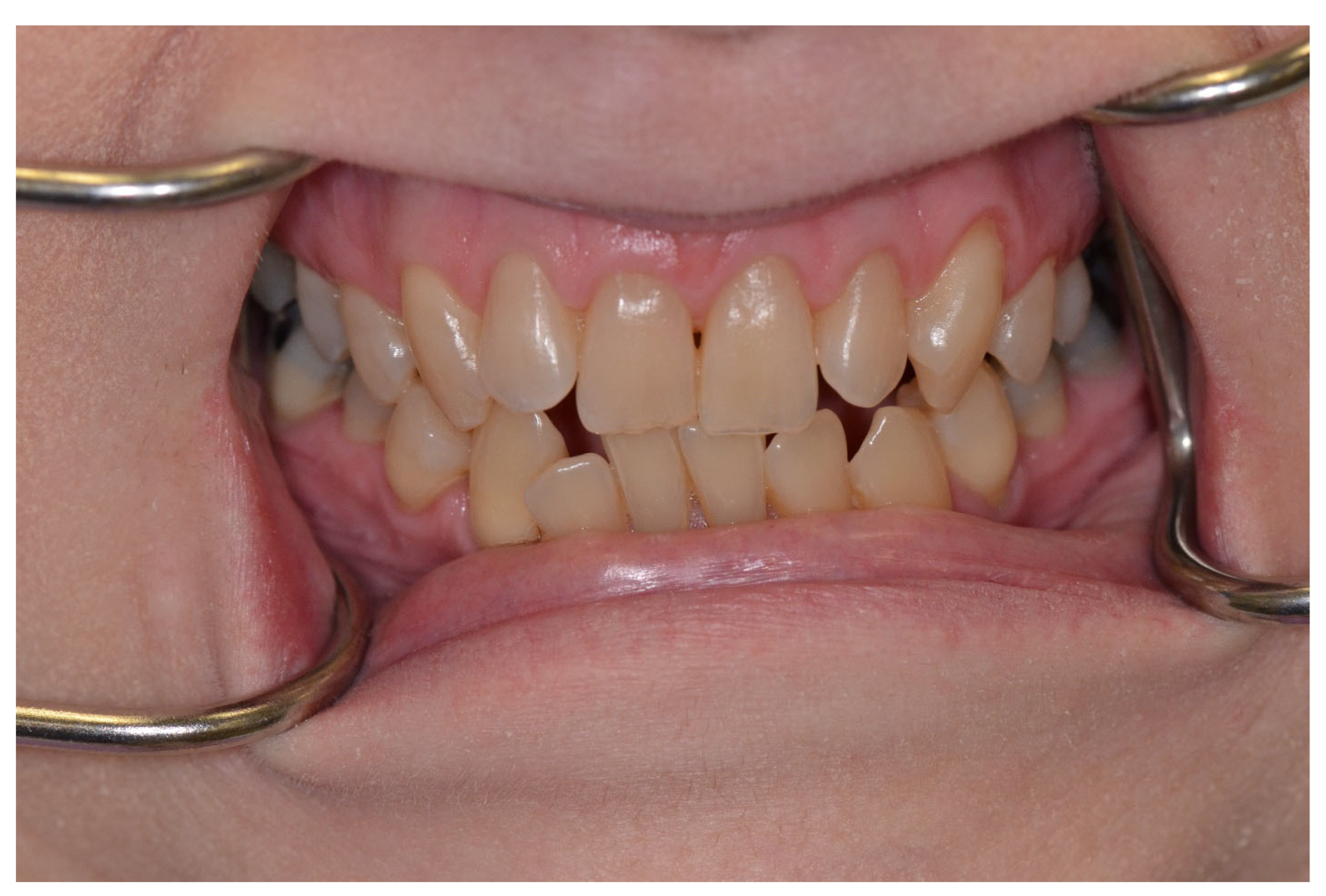
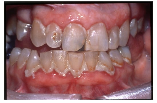
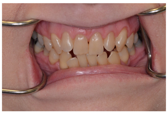
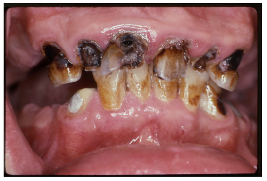
3. Diagnosing ROHD among Older Adults
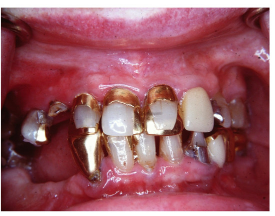
4. Treating ROHD among Older Adults
4.1. Comprehensive Care
4.2. Limited Care
4.3. Emergency Care (Pain and Infection Control)
4.4. No Treatment
5. Conclusions
Author Contributions
Funding
Informed Consent Statement
Data Availability Statement
Conflicts of Interest
References
- WHO. World Report on Ageing and Health; Wolrd Health Organization: Geneva, Switzerland, 2015; p. 260.
- Prince, M.J.; Wu, F.; Guo, Y.; Gutierrez Robledo, L.M.; O’Donnell, M.; Sullivan, R.; Yusuf, S. The burden of disease in older people and implications for health policy and practice. Lancet 2015, 385, 549–562. [Google Scholar] [CrossRef] [PubMed]
- Banerjee, S. Multimorbidity—Older adults need health care that can count past one. Lancet 2015, 385, 587–589. [Google Scholar] [CrossRef]
- Marchini, L.; Hartshorn, J.E.; Cowen, H.; Dawson, D.V.; Johnsen, D.C. A Teaching Tool for Establishing Risk of Oral Health Deterioration in Elderly Patients: Development, Implementation, and Evaluation at a U.S. Dental School. J. Dent. Educ. 2017, 81, 1283–1290. [Google Scholar] [CrossRef] [PubMed]
- Friedman, P.K.; Kaufman, L.B.; Karpas, S.L. Oral health disparity in older adults: Dental decay and tooth loss. Dent. Clin. N. Am. 2014, 58, 757–770. [Google Scholar] [CrossRef] [PubMed]
- Jablonski, R.Y.; Barber, M.W. Restorative dentistry for the older patient cohort. Br. Dent. J. 2015, 218, 337–342. [Google Scholar] [CrossRef] [PubMed]
- Gil-Montoya, J.A.; de Mello, A.L.; Barrios, R.; Gonzalez-Moles, M.A.; Bravo, M. Oral health in the elderly patient and its impact on general well-being: A nonsystematic review. Clin. Interv. Aging 2015, 10, 461–467. [Google Scholar] [CrossRef]
- Thomson, W.M. Dental caries experience in older people over time: What can the large cohort studies tell us? Br. Dent. J. 2004, 196, 89–92, discussion 87. [Google Scholar] [CrossRef]
- Ornstein, K.; DeCherrie, L.; Gluzman, R.; Scott, E.; Kansal, J.; Shah, T.; Katz, R.; Soriano, T.A. Significant Unmet Oral Health Needs of Homebound Elderly Adults. J. Am. Geriatr. Soc. 2015, 63, 151–157. [Google Scholar] [CrossRef]
- Marchini, L.; Recker, E.; Hartshorn, J.; Cowen, H.; Lynch, D.; Drake, D.; Blanchette, D.R.; Dawson, D.V.; Kanellis, M.; Caplan, D. Iowa nursing facility oral hygiene (INFOH) intervention: A clinical and microbiological pilot randomized trial. Spec. Care Dent. 2018, 38, 345–355. [Google Scholar] [CrossRef]
- Mendes, M.S.S.; Chester, L.N.; Fernandes Dos Santos, J.F.; Chen, X.; Caplan, D.J.; Marchini, L. Self-perceived oral health among institutionalized older adults in Taubate, Brazil. Spec. Care Dent. 2020, 40, 49–54. [Google Scholar] [CrossRef]
- De Visschere, L.M.; Grooten, L.; Theuniers, G.; Vanobbergen, J.N. Oral hygiene of elderly people in long-term care institutions--a cross-sectional study. Gerodontology 2006, 23, 195–204. [Google Scholar] [CrossRef]
- Scannapieco, F.A.; Cantos, A. Oral inflammation and infection, and chronic medical diseases: Implications for the elderly. Periodontol. 2000 2016, 72, 153–175. [Google Scholar] [CrossRef] [PubMed]
- Ramsay, S.E.; Whincup, P.H.; Watt, R.G.; Tsakos, G.; Papacosta, A.O.; Lennon, L.T.; Wannamethee, S.G. Burden of poor oral health in older age: Findings from a population-based study of older British men. BMJ Open 2015, 5, e009476. [Google Scholar] [CrossRef]
- Tavares, M.; Lindefjeld Calabi, K.A.; San Martin, L. Systemic diseases and oral health. Dent. Clin. N. Am. 2014, 58, 797–814. [Google Scholar] [CrossRef]
- Eke, P.I.; Wei, L.; Borgnakke, W.S.; Thornton-Evans, G.; Zhang, X.; Lu, H.; McGuire, L.C.; Genco, R.J. Periodontitis prevalence in adults ≥ 65 years of age, in the USA. Periodontol. 2000 2016, 72, 76–95. [Google Scholar] [CrossRef] [PubMed]
- de Deco, C.P.; do Santos, J.F.; da Cunha, V.E.P.; Marchini, L. General health of elderly institutionalised and community-dwelling Brazilians. Gerodontology 2007, 24, 136–142. [Google Scholar] [CrossRef] [PubMed]
- Hybels, C.F.; Bennett, J.M.; Landerman, L.R.; Liang, J.; Plassman, B.L.; Wu, B. Trajectories of depressive symptoms and oral health outcomes in a community sample of older adults. Int. J. Geriatr. Psychiatry 2016, 31, 83–91. [Google Scholar] [CrossRef]
- Brennan, L.J.; Strauss, J. Cognitive impairment in older adults and oral health considerations: Treatment and management. Dent. Clin. N. Am. 2014, 58, 815–828. [Google Scholar] [CrossRef]
- Machado, M.C.; Lopes, G.H.; Marchini, L. Oral health of Alzheimer’s patients in Sao Jose dos Campos, Brazil. Geriatr. Gerontol. Int. 2012, 12, 265–270. [Google Scholar] [CrossRef]
- Ni Chroinin, D.; Montalto, A.; Jahromi, S.; Ingham, N.; Beveridge, A.; Foltyn, P. Oral Health Status Is Associated with Common Medical Comorbidities in Older Hospital Inpatients. J. Am. Geriatr. Soc. 2016, 64, 1696–1700. [Google Scholar] [CrossRef]
- Lam, O.L.; McMillan, A.S.; Samaranayake, L.P.; Li, L.S.; McGrath, C. Effect of oral hygiene interventions on opportunistic pathogens in patients after stroke. Am. J. Infect. Control 2013, 41, 149–154. [Google Scholar] [CrossRef]
- Singh, M.L.; Papas, A. Oral implications of polypharmacy in the elderly. Dent. Clin. N. Am. 2014, 58, 783–796. [Google Scholar] [CrossRef] [PubMed]
- de Deco, C.P.; Reis, M.R.V.S.; Marchini, A.M.P.S.; da Rocha, R.F.; dos Santos, M.B.F.; Marchini, L. Taste alteration, mouth dryness and teeth staining as side effects of medications taken by elderly. Braz. J. Oral Sci. 2014, 13, 257–260. [Google Scholar] [CrossRef]
- World Health Organization. Global Report on Ageims; WHO: Geneva, Switzerland, 2021; 173 p.
- Manski, R.J.; Moeller, J.F.; Chen, H.; Schimmel, J.; Pepper, J.V.; St Clair, P.A. Dental use and expenditures for older uninsured Americans: The simulated impact of expanded coverage. Health Serv. Res. 2015, 50, 117–135. [Google Scholar] [CrossRef]
- Manski, R.J.; Cohen, L.A.; Brown, E.; Carper, K.V.; Vargas, C.; Macek, M.D. Dental service mix among older adults aged 65 and over, United States, 1999 and 2009. J. Public Health Dent. 2014, 74, 219–226. [Google Scholar] [CrossRef]
- Marchini, L.; Vieira, P.C.; Bossan, T.P.; Montenegro, F.L.; Cunha, V.P. Self-reported oral hygiene habits among institutionalised elderly and their relationship to the condition of oral tissues in Taubaté, Brazil. Gerodontology 2006, 23, 33–37. [Google Scholar] [CrossRef] [PubMed]
- Slade, G.D.; Akinkugbe, A.A.; Sanders, A.E. Projections of U.S. Edentulism prevalence following 5 decades of decline. J. Dent. Res. 2014, 93, 959–965. [Google Scholar] [CrossRef] [PubMed]
- Dye, B.A.; Weatherspoon, D.J.; Lopez Mitnik, G. Tooth loss among older adults according to poverty status in the United States from 1999 through 2004 and 2009 through 2014. J. Am. Dent. Assoc. 2019, 150, 9–23.e3. [Google Scholar] [CrossRef] [PubMed]
- Müller, F.; Naharro, M.; Carlsson, G.E. What are the prevalence and incidence of tooth loss in the adult and elderly population in Europe? Clin. Oral Implants Res. 2007, 18 (Suppl. S3), 2–14. [Google Scholar] [CrossRef]
- Hayes, M.; Da Mata, C.; Cole, M.; McKenna, G.; Burke, F.; Allen, P.F. Risk indicators associated with root caries in independently living older adults. J. Dent. 2016, 51, 8–14. [Google Scholar] [CrossRef]
- Ettinger, R.L. Treatment planning concepts for the ageing patient. Aust. Dent. J. 2015, 60 (Suppl. S1), 71–85. [Google Scholar] [CrossRef]
- Ettinger, R.; Goettsche, Z.; Qian, F. Pre-doctoral Teaching of Geriatric Dentistry in US Dental Schools. J. Dent. Educ. 2017, 81, 921–928. [Google Scholar] [CrossRef]
- Marchini, L.; Montenegro, F.R.E. Gerodontology as a dental specialty in Brazil: What has been accomplished after 15 years? Braz. Dent. Sci. 2016, 19, 10–17. [Google Scholar] [CrossRef]
- Craig, T.; Johnsen, D.C.; Hartshorn, J.E.; Cowen, H.; Ashida, S.; Thompson, L.; Msc, C.P.; Xie, X.J.; Marchini, L. Teaching rapid oral health deterioration risk assessment: A 5-year report. J. Dent. Educ. 2020, 84, 1159–1165. [Google Scholar] [CrossRef]
- Featherstone, J.D.; Adair, S.M.; Anderson, M.H.; Berkowitz, R.J.; Bird, W.F.; Crall, J.J.; Besten, P.K.D.; Donly, K.J.; Glassman, P.; Milgrom, P.; et al. Caries management by risk assessment: Consensus statement, April 2002. J. Calif. Dent. Assoc. 2003, 31, 257–269. [Google Scholar] [CrossRef] [PubMed]
- Guzman-Armstrong, S.; Warren, J.J.; Cunningham-Ford, M.A.; von Bergmann, H.; Johnsen, D.C. Concepts in critical thinking applied to caries risk assessment in dental education. J. Dent. Educ. 2014, 78, 914–920. [Google Scholar] [CrossRef]
- Marchini, L.; Ettinger, R.; Hartshorn, J. Personalized Dental Caries Management for Frail Older Adults and Persons with Special Needs. Dent. Clin. N. Am. 2019, 63, 631–651. [Google Scholar] [CrossRef]
- Kumar, S.; Tadakamadla, J.; Johnson, N.W. Effect of Toothbrushing Frequency on Incidence and Increment of Dental Caries: A Systematic Review and Meta-Analysis. J. Dent. Res. 2016, 95, 1230–1236. [Google Scholar] [CrossRef] [PubMed]
- Reeson, M.G.; Jepson, N.J. Customizing the size of toothbrush handles for patients with restricted hand and finger movement. J. Prosthet. Dent. 2002, 87, 700. [Google Scholar] [CrossRef] [PubMed]
- Yaacob, M.; Worthington, H.V.; Deacon, S.A.; Deery, C.; Walmsley, A.D.; Robinson, P.G.; Glenny, A.-M. Powered versus manual toothbrushing for oral health. Cochrane Database Syst. Rev. 2014, 2014, Cd002281. [Google Scholar] [CrossRef]
- De Visschere, L.M.; van der Putten, G.J.; Vanobbergen, J.N.; Schols, J.M.; de Baat, C. Dutch Association of Nursing Home Physicians. An oral health care guideline for institutionalised older people. Gerodontology 2011, 28, 307–310. [Google Scholar] [CrossRef]
- Papas, A.S.; Singh, M.; Harrington, D.; Ortblad, K.; de Jager, M.; Nunn, M. Reduction in caries rate among patients with xerostomia using a power toothbrush. Spec. Care Dent. 2007, 27, 46–51. [Google Scholar] [CrossRef]
- Weyant, R.J.; Tracy, S.L.; Anselmo, T.T.; Beltran-Aguilar, E.D.; Donly, K.J.; Frese, W.A.; Hujoel, P.P.; Iafolla, T.; Kohn, W.; Kumar, J.; et al. Topical fluoride for caries prevention: Executive summary of the updated clinical recommendations and supporting systematic review. J. Am. Dent. Assoc. 2013, 144, 1279–1291. [Google Scholar] [CrossRef]
- Crystal, Y.O.; Niederman, R. Evidence-Based Dentistry Update on Silver Diamine Fluoride. Dent. Clin. N. Am. 2019, 63, 45–68. [Google Scholar] [CrossRef] [PubMed]
- Peng, J.J.; Botelho, M.G.; Matinlinna, J.P. Silver compounds used in dentistry for caries management: A review. J. Dent. 2012, 40, 531–541. [Google Scholar] [CrossRef]
- Horst, J.A.; Ellenikiotis, H.; Milgrom, P.L. UCSF Protocol for Caries Arrest Using Silver Diamine Fluoride: Rationale, Indications and Consent. J. Calif. Dent. Assoc. 2016, 44, 16–28. [Google Scholar] [CrossRef]
- Oliveira, B.H.; Cunha-Cruz, J.; Rajendra, A.; Niederman, R. Controlling caries in exposed root surfaces with silver diamine fluoride: A systematic review with meta-analysis. J. Am. Dent. Assoc. 2018, 149, 671–679.e1. [Google Scholar] [CrossRef] [PubMed]
- Hendre, A.D.; Taylor, G.W.; Chavez, E.M.; Hyde, S. A systematic review of silver diamine fluoride: Effectiveness and application in older adults. Gerodontology 2017, 34, 411–419. [Google Scholar] [CrossRef] [PubMed]
- Storbeck, T.; Qian, F.; Marek, C.; Caplan, D.; Marchini, L. Dose-dependent association between xerostomia and number of medications among older adults. Spec. Care Dent. 2022, 42, 225–231. [Google Scholar] [CrossRef] [PubMed]
- Su, N.; Marek, C.L.; Ching, V.; Grushka, M. Caries prevention for patients with dry mouth. J. Can. Dent. Assoc. 2011, 77, b85. [Google Scholar]
- Thomson, W.M. Dry mouth and older people. Aust. Dent. J. 2015, 60 (Suppl. S1), 54–63. [Google Scholar] [CrossRef] [PubMed]
- Abdallah, L.; Remington, R.; Houde, S.; Zhan, L.; Melillo, K.D. Dehydration reduction in community-dwelling older adults: Perspectives of community health care providers. Res. Gerontol. Nurs. 2009, 2, 49–57. [Google Scholar] [CrossRef] [PubMed]
- Jose, A.; Atassi, M.; Shneyer, L.; Cronin, M. A Randomized Clinical Trial to Measure Mouth Moisturization and Dry Mouth Relief in Dry Mouth Subjects Using Dry Mouth Products. J. Clin. Dent. 2017, 28, 32–38. [Google Scholar]
- Hitz Lindenmuller, I.; Lambrecht, J.T. Oral care. Curr. Probl. Dermatol. 2011, 40, 107–115. [Google Scholar]
- Rose, A.J.; Fischer, S.H.; Paasche-Orlow, M.K. Beyond Medication Reconciliation: The Correct Medication List. Jama 2017, 317, 2057–2058. [Google Scholar] [CrossRef]
- Cochrane, N.J.; Cai, F.; Huq, N.L.; Burrow, M.F.; Reynolds, E.C. New approaches to enhanced remineralization of tooth enamel. J. Dent. Res. 2010, 89, 1187–1197. [Google Scholar] [CrossRef] [PubMed]
- Huq, N.L.; Myroforidis, H.; Cross, K.J.; Stanton, D.P.; Veith, P.D.; Ward, B.R.; Reynolds, E.C. The Interactions of CPP-ACP with Saliva. Int. J. Mol. Sci. 2016, 17, 915. [Google Scholar] [CrossRef] [PubMed]
- Sbaraini, A.; Adams, G.G.; Reynolds, E.C. Experiences of oral health: Before, during and after becoming a regular user of GC Tooth Mousse Plus(®). BMC Oral Health 2021, 21, 14. [Google Scholar] [CrossRef]
- Raphael, S.; Blinkhorn, A. Is there a place for Tooth Mousse in the prevention and treatment of early dental caries? A systematic review. BMC Oral Health 2015, 15, 113. [Google Scholar] [CrossRef]
- Leslie, W.; Hankey, C. Aging, Nutritional Status and Health. Healthcare 2015, 3, 648–658. [Google Scholar] [CrossRef]
- Sheiham, A.; James, W.P. A reappraisal of the quantitative relationship between sugar intake and dental caries: The need for new criteria for developing goals for sugar intake. BMC Public Health 2014, 14, 863. [Google Scholar] [CrossRef]
- Bailey, R.L.; Ledikwe, J.H.; Smiciklas-Wright, H.; Mitchell, D.C.; Jensen, G.L. Persistent oral health problems associated with comorbidity and impaired diet quality in older adults. J. Am. Diet. Assoc. 2004, 104, 1273–1276. [Google Scholar] [CrossRef] [PubMed]
- Kaye, E.K.; Heaton, B.; Sohn, W.; Rich, S.E.; Spiro, A., 3rd; Garcia, R.I. The Dietary Approaches to Stop Hypertension Diet and New and Recurrent Root Caries Events in Men. J. Am. Geriatr. Soc. 2015, 63, 1812–1819. [Google Scholar] [CrossRef] [PubMed]
- McGee, J. Things to know if your written material is for older adults. In Toolkit for Making Written Material Clear and Effective, 1st ed.; McGee, J., Ed.; Centers for Medicare & Medicaid Services: Washington, DC, USA, 2010; pp. 1–10. [Google Scholar]
- Berkey, D.B. Clinical decision-making for the geriatric dental patient. Gerodontics 1988, 4, 321–326. [Google Scholar]
- Ettinger, R.L. Rational dental care: Part 1. Has the concept changed in 20 years? J. Can. Dent. Assoc. 2006, 72, 441–445. [Google Scholar]
- Ettinger, R.; Beck, J.D.; Jakobsen, J. The development of teaching programs in geriatric dentistry in the United States from 1974 to 1979. Spec. Care Dent. 1981, 1, 221–224. [Google Scholar] [CrossRef] [PubMed]
- Ettinger, R.L.; Marchini, L.; Hartshorn, J. Consideration in Planning Dental Treatment for Older Adults. Dent. Clin. N. Am. 2020, 65, 361–376. [Google Scholar] [CrossRef]
- Bassim, C.W.; Gibson, G.; Ward, T.; Paphides, B.M.; Denucci, D.J. Modification of the risk of mortality from pneumonia with oral hygiene care. J. Am. Geriatr. Soc. 2008, 56, 1601–1607. [Google Scholar] [CrossRef]
- Quagliarello, V.; Ginter, S.; Han, L.; Van Ness, P.; Allore, H.; Tinetti, M. Modifiable risk factors for nursing home-acquired pneumonia. Clin. Infect. Dis. 2005, 40, 1–6. [Google Scholar] [CrossRef]
- Tada, A.; Miura, H. Prevention of aspiration pneumonia (AP) with oral care. Arch. Gerontol. Geriatr. 2012, 55, 16–21. [Google Scholar] [CrossRef]
- Coleman, P. Improving oral health care for the frail elderly: A review of widespread problems and best practices. Geriatr. Nurs. 2002, 23, 189–199. [Google Scholar] [CrossRef]
- de Lugt-Lustig, K.H.; Vanobbergen, J.N.; van der Putten, G.J.; De Visschere, L.M.; Schols, J.M.; de Baat, C. Effect of oral healthcare education on knowledge, attitude and skills of care home nurses: A systematic literature review. Community Dent. Oral Epidemiol. 2014, 42, 88–96. [Google Scholar] [CrossRef] [PubMed]
- da Mata, C.; Allen, P.F.; McKenna, G.; Cronin, M.; O’Mahony, D.; Woods, N. Two-year survival of ART restorations placed in elderly patients: A randomised controlled clinical trial. J. Dent. 2015, 43, 405–411. [Google Scholar] [CrossRef] [PubMed]
- Gluzman, R.; Katz, R.V.; Frey, B.J.; McGowan, R. Prevention of root caries: A literature review of primary and secondary preventive agents. Spec. Care Dent. 2013, 33, 133–140. [Google Scholar] [CrossRef] [PubMed]
- Mengatto, C.M.; Marchini, L.; Bernardes, L.A.; Gomes, S.C.; Silva, A.M.; Rizzatti-Barbosa, C.M. Partial denture metal framework may harbor potentially pathogenic bacteria. J. Adv. Prosthodont. 2015, 7, 468–474. [Google Scholar] [CrossRef] [PubMed]
- McKenna, G.; Allen, F.; Woods, N.; O’Mahony, D.; Cronin, M.; DaMata, C.; Normand, C. Cost-effectiveness of tooth replacement strategies for partially dentate elderly: A randomized controlled clinical trial. Community Dent. Oral Epidemiol. 2014, 42, 366–374. [Google Scholar] [CrossRef] [PubMed]
- Stefanac, S.J. Acute Phase of Treatmet. In Diagnosis and Treatment Planning in Dentistry, 3rd ed.; Stefanac, S.J., Nesbit, S.P., Eds.; Elsevier: St. Louis, MO, USA, 2017; pp. 173–190. [Google Scholar]
- Fouad, A.F.; Rivera, E.M.; Walton, R.E. Penicillin as a supplement in resolving the localized acute apical abscess. Oral Surg. Oral Med. Oral Pathol. Oral Radiol. Endod. 1996, 81, 590–595. [Google Scholar] [CrossRef] [PubMed]
- Renton, T. Chronic Pain and Overview or Differential Diagnoses of Non-odontogenic Orofacial Pain. Prim. Dent. J. 2019, 7, 71–86. [Google Scholar] [CrossRef]
- Chalmers, J.; Pearson, A. Oral hygiene care for residents with dementia: A literature review. J. Adv. Nurs. 2005, 52, 410–419. [Google Scholar] [CrossRef]
| ROHD risk factors (based on research evidence) |
|---|
| 1. General health conditions -Cognitive deficits Alzheimer’s, other dementias -Functional deficits Stroke, osteoarthritis, Parkinson’s, etc. -Sensory loss Speech, sight, hearing, taste -Medications Oral and systemic side-effects, drug interactions -Manageable chronic diseases Hypertension, diabetes, osteoporosis, etc. -Degree of dependence/autonomy Institutionalization, home care, dependence on caregivers, etc. -Terminal diseases/palliative care -Life expectancy 2. Social support -Institutional support -Family/social support -Financial issues Insurance, Medicaid, Social Security, etc. -Expectations 3. Oral conditions -Oral hygiene -Periodontal condition -Number of teeth/restorations -Prosthetic status Fixed, removable, implants -Oral lesions Inflammation, oral cancer -Stopped seeing the dentist |
| Assessment of the Risk for ROHD (based on risk factors and disease progression) |
|
| Treatment alternatives |
| Comprehensive Care Limited Care Emergency Care only No treatment |
Disclaimer/Publisher’s Note: The statements, opinions and data contained in all publications are solely those of the individual author(s) and contributor(s) and not of MDPI and/or the editor(s). MDPI and/or the editor(s) disclaim responsibility for any injury to people or property resulting from any ideas, methods, instructions or products referred to in the content. |
© 2023 by the authors. Licensee MDPI, Basel, Switzerland. This article is an open access article distributed under the terms and conditions of the Creative Commons Attribution (CC BY) license (https://creativecommons.org/licenses/by/4.0/).
Share and Cite
Marchini, L.; Ettinger, R.L. The Prevention, Diagnosis, and Treatment of Rapid Oral Health Deterioration (ROHD) among Older Adults. J. Clin. Med. 2023, 12, 2559. https://doi.org/10.3390/jcm12072559
Marchini L, Ettinger RL. The Prevention, Diagnosis, and Treatment of Rapid Oral Health Deterioration (ROHD) among Older Adults. Journal of Clinical Medicine. 2023; 12(7):2559. https://doi.org/10.3390/jcm12072559
Chicago/Turabian StyleMarchini, Leonardo, and Ronald L. Ettinger. 2023. "The Prevention, Diagnosis, and Treatment of Rapid Oral Health Deterioration (ROHD) among Older Adults" Journal of Clinical Medicine 12, no. 7: 2559. https://doi.org/10.3390/jcm12072559
APA StyleMarchini, L., & Ettinger, R. L. (2023). The Prevention, Diagnosis, and Treatment of Rapid Oral Health Deterioration (ROHD) among Older Adults. Journal of Clinical Medicine, 12(7), 2559. https://doi.org/10.3390/jcm12072559

