Idiopathic Ventricular Tachycardia
Abstract
1. Introduction
2. Right Ventricular Outflow Tract VT
2.1. ECG Signatures
2.2. Catheter Ablation
3. Left Ventricular Outflow Tract VT
3.1. ECG Signatures
3.2. Catheter Ablation of LVOT-VT
4. Idiopathic Left Ventricular Tachycardia (Fascicular VT)
4.1. ECG Signatures
4.2. Catheter Ablation



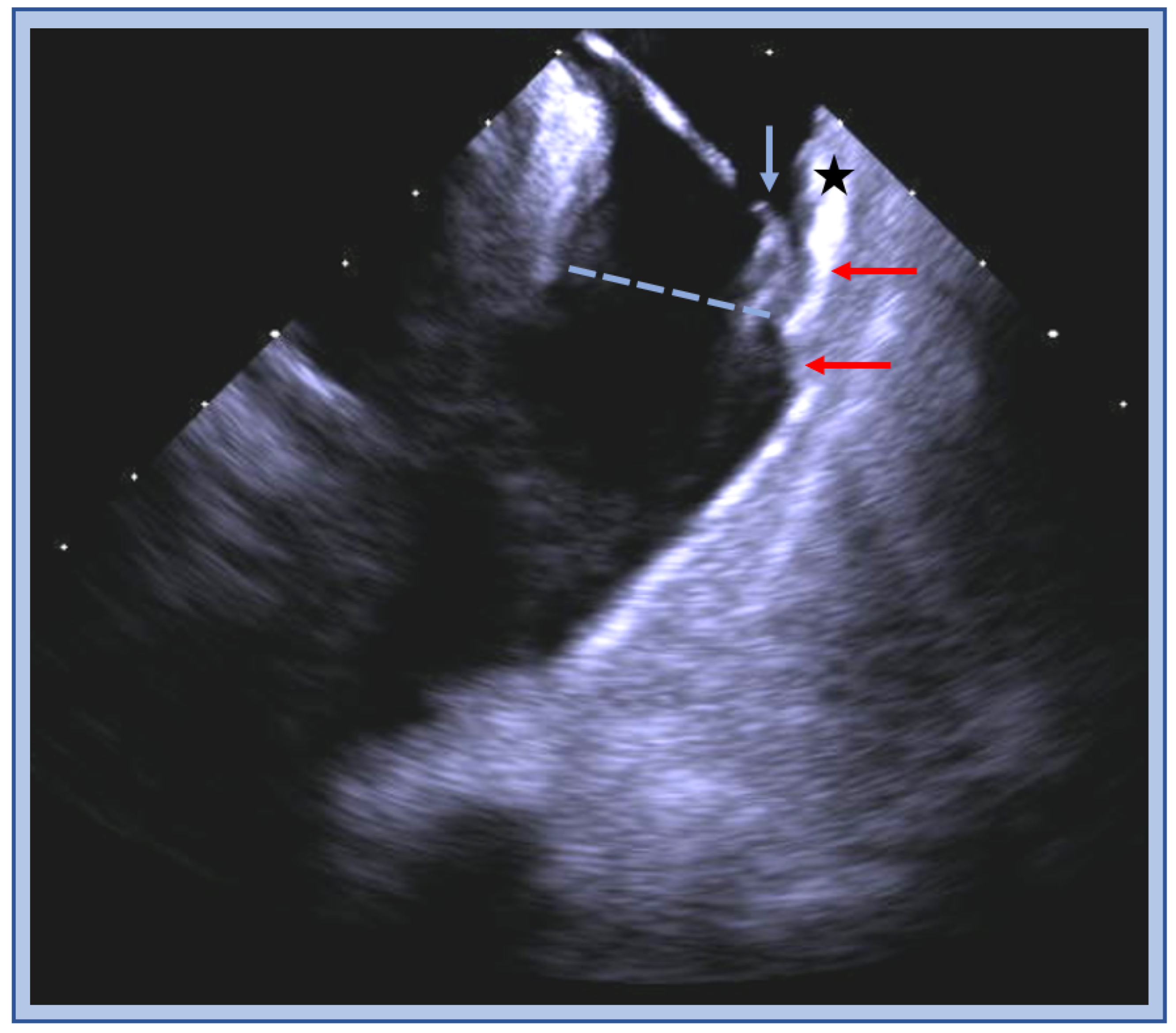
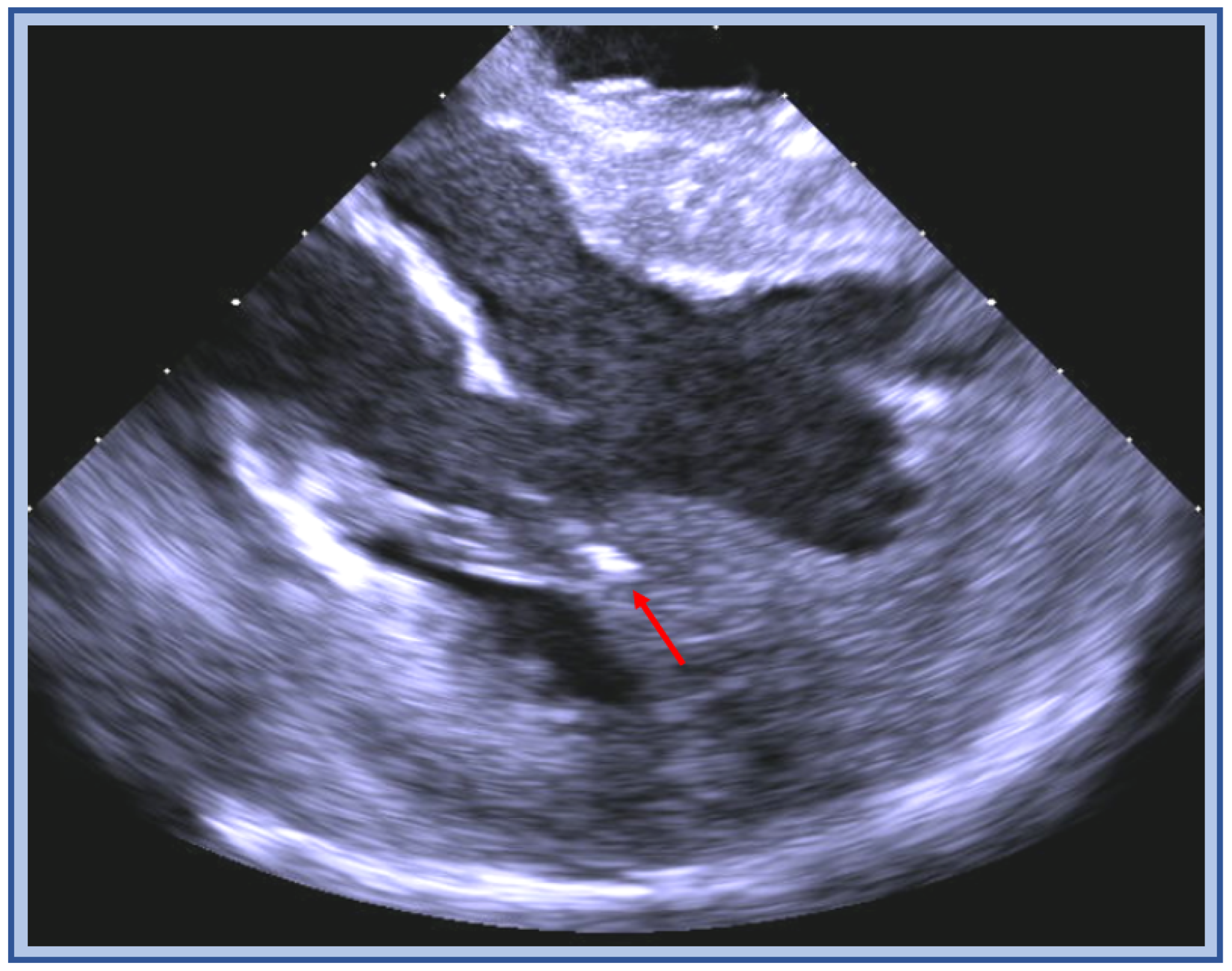
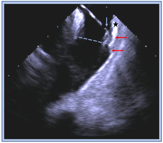
5. Papillary Muscle VT
5.1. ECG Signatures
5.2. Catheter Ablation Considerations
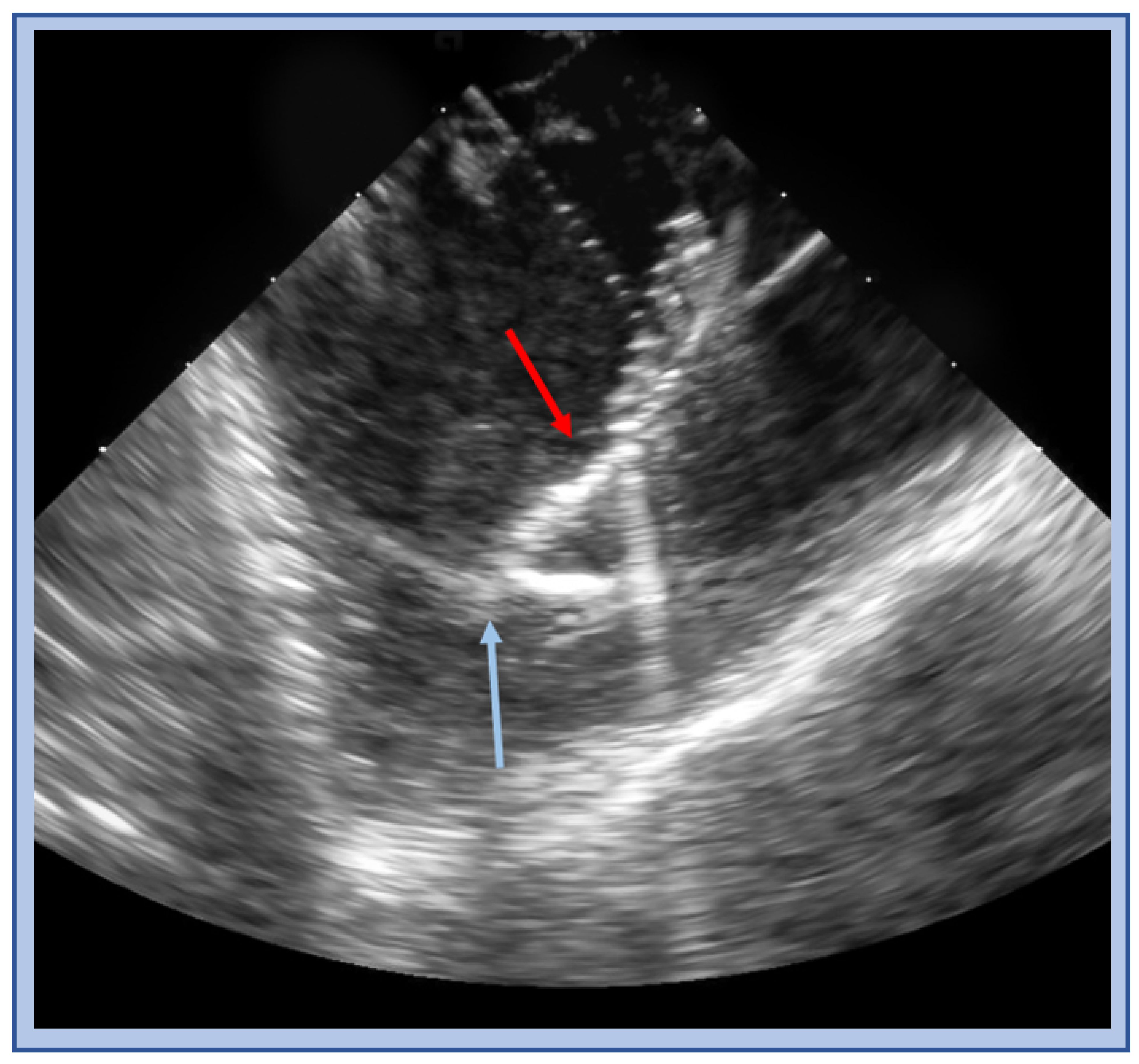
6. Moderator Band VT
6.1. ECG Signatures
6.2. Catheter Ablation
7. Summary
Author Contributions
Funding
Institutional Review Board Statement
Informed Consent Statement
Data Availability Statement
Acknowledgments
Conflicts of Interest
References
- Koplan, B.A.; Stevenson, W.G. Ventricular tachycardia and sudden cardiac death. Mayo Clin. Proc. 2009, 84, 289–297. [Google Scholar] [CrossRef]
- Brooks, R.; Burgess, J.H. Idiopathic ventricular tachycardia. A review. Medicine 1988, 67, 271–294. [Google Scholar] [CrossRef]
- Sirichand, S.; Killu, A.M.; Padmanabhan, D.; Hodge, D.O.; Chamberlain, A.M.; Brady, P.A.; Kapa, S.; Noseworthy, P.A.; Packer, D.L.; Munger, T.M.; et al. Incidence of Idiopathic Ventricular Arrhythmias: A Population-Based Study. Circ. Arrhythmia Electrophysiol. 2017, 10, e004662. [Google Scholar] [CrossRef]
- Lemery, R.; Brugada, P.; Bella, P.D.; Dugernier, T.; Dool, A.V.D.; Wellens, H.J. Nonischemic ventricular tachycardia. Clinical course and long-term follow-up in patients without clinically overt heart disease. Circulation 1989, 79, 990–999. [Google Scholar] [CrossRef]
- Buxton, A.E.; Waxman, H.L.; Marchlinski, F.E.; Simson, M.B.; Cassidy, D.; Josephson, M.E. Right ventricular tachycardia: Clinical and electrophysiologic characteristics. Circulation 1983, 68, 917–927. [Google Scholar] [CrossRef]
- Mont, L.; Seixas, T.; Brugada, P.; Brugada, J.; Simonis, F.; Rodríguez, L.M.; Smeets, J.L.; Wellens, H.J. Clinical and electrophysiologic characteristics of exercise-related idiopathic ventricular tachycardia. Am. J. Cardiol. 1991, 68, 897–900. [Google Scholar] [CrossRef]
- Enriquez, A.; Baranchuk, A.; Briceno, D.; Saenz, L.; Garcia, F. How to use the 12-lead ECG to predict the site of origin of idiopathic ventricular arrhythmias. Hearth Rhythm. 2019, 16, 1538–1544. [Google Scholar] [CrossRef]
- Anderson, R.D.; Kumar, S.; Parameswaran, R.; Wong, G.; Voskoboinik, A.; Sugumar, H.; Watts, T.; Sparks, P.B.; Morton, J.B.; McLellan, A.; et al. Differentiating Right- and Left-Sided Outflow Tract Ventricular Arrhythmias. Circ. Arrhythmia Electrophysiol. 2019, 12, e007392. [Google Scholar] [CrossRef]
- Park, K.-M.; Kim, Y.-H.; Marchlinski, F. Using the Surface Electrocardiogram to Localize the Origin of Idiopathic Ventricular Tachycardia. Pacing Clin. Electrophysiol. 2012, 35, 1516–1527. [Google Scholar] [CrossRef]
- Hai, J.J.; Lachman, N.; Syed, F.F.; Desimone, C.V.; Asirvatham, S.J. The anatomic basis for ventricular arrhythmia in the normal heart: What the student of anatomy needs to know. Clin. Anat. 2014, 27, 885–893. [Google Scholar] [CrossRef]
- Asirvatham, S.J. Correlative anatomy for the invasive electrophysiologist: Outflow tract and supravalvar arrhythmia. J. Cardiovasc. Electrophysiol 2009, 20, 955–968. [Google Scholar] [CrossRef]
- Fiala, M.; Heinc, P.; Bulava, A.; Lukl, J. Ventricular tachyarrhythmias in patients without structural heart disease. Clinical and electrophysiologic characteristics of the tachyarrhythmias and long-term results of catheter ablation. Vnitr. Lek. 2001, 47, 817–828. [Google Scholar]
- Kim, R.J.; Iwai, S.; Markowitz, S.M.; Shah, B.K.; Stein, K.M.; Lerman, B.B. Clinical and Electrophysiological Spectrum of Idiopathic Ventricular Outflow Tract Arrhythmias. J. Am. Coll. Cardiol. 2007, 49, 2035–2043. [Google Scholar] [CrossRef]
- Wilber, D.J.; Baerman, J.; Olshansky, B.; Kall, J.; Kopp, D. Adenosine-sensitive ventricular tachycardia. Clinical characteristics and response to catheter ablation. Circulation 1993, 87, 126–134. [Google Scholar] [CrossRef]
- Lerman, B.B.; Belardinelli, L.; West, G.A.; Berne, R.M.; DiMarco, J.P. Adenosine-sensitive ventricular tachycardia: Evidence suggesting cyclic AMP-mediated triggered activity. Circulation 1986, 74, 270–280. [Google Scholar] [CrossRef]
- Lerman, B.B. Mechanism of outflow tract tachycardia. Heart Rhythm. 2007, 4, 973–976. [Google Scholar] [CrossRef]
- Nakagawa, M.; Takahashi, N.; Nobe, S.; Ichinose, M.; Ooie, T.; Yufu, F.; Shigematsu, S.; Hara, M.; Yonemochi, H.; Saikawa, T. Gender Differences in Various Types of Idiopathic Ventricular Tachycardia. J. Cardiovasc. Electrophysiol. 2002, 13, 633–638. [Google Scholar] [CrossRef]
- Marchlinski, F.E.; Deely, M.P.; Zado, E.S. Sex-specific triggers for right ventricular outflow tract tachycardia. Am. Heart J. 2000, 139, 1009–1013. [Google Scholar] [CrossRef]
- Marcus, F.I.; McKenna, W.J.; Sherrill, D.; Basso, C.; Bauce, B.; Bluemke, D.A.; Calkins, H.; Corrado, D.; Cox, M.G.; Daubert, J.P.; et al. Diagnosis of arrhythmogenic right ventricular cardiomyopathy/dysplasia: Proposed Modification of the Task Force Criteria. Eur. Heart J. 2010, 121, 1533–1541. [Google Scholar] [CrossRef]
- Al-Khatib, S.M.; Stevenson, W.G.; Ackerman, M.J.; Bryant, W.J.; Callans, D.J.; Curtis, A.B.; Deal, B.J.; Dickfeld, T.; Field, M.E.; Fonarow, G.C.; et al. 2017 AHA/ACC/HRS Guideline for Management of Patients with Ventricular Arrhythmias and the Prevention of Sudden Cardiac Death: A Report of the American College of Cardiology/American Heart Association Task Force on Clinical Practice Guidelines and the Heart Rhythm Society. J. Am. Coll. Cardiol. 2018, 72, e91–e220. [Google Scholar]
- Driver, K.; Chisholm, C.A.; Darby, A.E.; Malhotra, R.; DiMarco, J.P.; Ferguson, J.D. Catheter Ablation of Arrhythmia During Pregnancy. J. Cardiovasc. Electrophysiol. 2015, 26, 698–702. [Google Scholar] [CrossRef]
- Betensky, B.P.; Park, R.E.; Marchlinski, F.E.; Hutchinson, M.D.; Garcia, F.C.; Dixit, S.; Callans, D.J.; Cooper, J.M.; Bala, R.; Lin, D.; et al. The V2 Transition Ratio: A New Electrocardiographic Criterion for Distinguishing Left from Right Ventricular Outflow Tract Tachycardia Origin. J. Am. Coll. Cardiol. 2011, 57, 2255–2262. [Google Scholar] [CrossRef] [PubMed]
- De Vries, L.; Hendriks, A.; Szili-Torok, T. The “Dead-End Tract” and Its Role in Arrhythmogenesis. J. Cardiovasc. Dev. Dis. 2016, 3, 11. [Google Scholar] [CrossRef] [PubMed]
- Calvo, N.; Jongbloed, M.; Zeppenfeld, K. Radiofrequency Catheter Ablation of Idiopathic Right Ventricular Outflow Tract Arrhythmias. Indian Pacing Electrophysiol. J. 2013, 13, 14–33. [Google Scholar] [CrossRef] [PubMed]
- Latchamsetty, R.; Yokokawa, M.; Morady, F.; Kim, H.M.; Mathew, S.; Tilz, R.; Kuck, K.-H.; Nagashima, K.; Tedrow, U.; Stevenson, W.G.; et al. Multicenter Outcomes for Catheter Ablation of Idiopathic Premature Ventricular Complexes. JACC Clin. Electrophysiol. 2015, 1, 116–123. [Google Scholar] [CrossRef] [PubMed]
- Coggins, D.L.; Lee, R.J.; Sweeney, J.; Chein, W.W.; Van Hare, G.; Epstein, L.; Gonzalez, R.; Griffin, J.C.; Lesh, M.D.; Scheinman, M.M. Radiofrequency catheter ablation as a cure for idiopathic tachycardia of both left and right ventricular origin. J. Am. Coll. Cardiol. 1994, 23, 1333–1341. [Google Scholar] [CrossRef]
- Callans, D.J.; Menz, V.; Schwartzman, D.; Gottlieb, C.D.; Marchlinski, F.E. Repetitive Monomorphic Tachycardia from the Left Ventricular Outflow Tract: Electrocardiographic Patterns Consistent With a Left Ventricular Site of Origin. J. Am. Coll. Cardiol. 1997, 29, 1023–1027. [Google Scholar] [CrossRef]
- Shimoike, E.; Ohnishi, Y.; Ueda, N.; Maruyama, T.; Kaji, Y. Radiofrequency catheter ablation of left ventricular outflow tract tachycardia from the coronary cusp: A new approach to the tachycardia focus. J. Cardiovasc. Electrophysiol. 1999, 10, 1005–1009. [Google Scholar] [CrossRef]
- Ouyang, F.; Fotuhi, P.; Ho, S.Y.; Hebe, J.; Volkmer, M.; Goya, M.; Burns, M.; Antz, M.; Ernst, S.; Cappato, R.; et al. Repetitive monomorphic ventricular tachycardia originating from the aortic sinus cusp: Electrocardiographic characterization for guiding catheter ablation. J. Am. Coll. Cardiol. 2002, 39, 500–508. [Google Scholar] [CrossRef]
- Kanagaratnam, L.; Tomassoni, G.; Schweikert, R.; Pavia, S.; Bash, D.; Beheiry, S.; Niebauer, M.; Saliba, W.; Chung, M.; Tchou, P.; et al. Ventricular tachycardias arising from the aortic sinus of valsalva: An under-recognized variant of left outflow tract ventricular tachycardia. J. Am. Coll. Cardiol. 2001, 37, 1408–1414. [Google Scholar] [CrossRef]
- Tada, H.; Nogami, A.; Naito, S.; Fukazawa, H.; Horie, Y.; Kubota, S.; Okamoto, Y.; Hoshizaki, H.; Oshima, S.; Taniguchi, K. Left ventricular epicardial outflow tract tachycardia: A new distinct subgroup of outflow tract tachycardia. Jpn. Circ. J. 2001, 65, 723–730. [Google Scholar] [CrossRef]
- Iwai, S.; Cantillon, D.J.; Kim, R.J.; Markowitz, S.M.; Mittal, S.; Stein, K.M.; Shah, B.K.; Yarlagadda, R.K.; Cheung, J.; Tan, V.R.; et al. Right and Left Ventricular Outflow Tract Tachycardias: Evidence for a Common Electrophysiologic Mechanism. J. Cardiovasc. Electrophysiol. 2006, 17, 1052–1058. [Google Scholar] [CrossRef]
- Steven, D.; Roberts-Thomson, K.C.; Seiler, J.; Inada, K.; Tedrow, U.B.; Mitchell, R.N.; Sobieszczyk, P.S.; Eisenhauer, A.C.; Couper, G.S.; Stevenson, W.G. Ventricular tachycardia arising from the aortomitral continuity in structural heart disease: Characteristics and therapeutic considerations for an anatomically challenging area of origin. Circ. Arrhythmia Electrophysiol. 2009, 2, 660–666. [Google Scholar] [CrossRef]
- Hayashi, T.; Santangeli, P.; Pathak, R.K.; Muser, D.; Liang, J.J.; Castro, S.A.; Garcia, F.C.; Hutchinson, M.D.; Supple, G.E.; Frankel, D.S.; et al. Outcomes of Catheter Ablation of Idiopathic Outflow Tract Ventricular Arrhythmias with an R Wave Pattern Break in Lead V2: A Distinct Clinical Entity. J. Cardiovasc. Electrophysiol. 2017, 28, 504–514. [Google Scholar] [CrossRef] [PubMed]
- McAlpine, W.A. Heart and Coronary Arteries: An Anatomical Atlas for Clinical Diagnosis, Radiological Investigation, and Surgical Treatment; Springer: Berlin, Germany; New York, NY, USA, 1975; 224p. [Google Scholar]
- Yamada, T.; McElderry, H.T.; Doppalapudi, H.; Okada, T.; Murakami, Y.; Yoshida, Y.; Yoshida, N.; Inden, Y.; Murohara, T.; Plumb, V.J.; et al. Idiopathic ventricular arrhythmias originating from the left ventricular summit: Anatomic concepts relevant to ablation. Circ. Arrhythmia Electrophysiol. 2010, 3, 616–623. [Google Scholar] [CrossRef]
- Kreidieh, B.; Rodríguez-Mañero, M.; Schurmann, P.A.; Ibarra-Cortez, S.H.; Dave, A.S.; Valderrábano, M. Retrograde Coronary Venous Ethanol Infusion for Ablation of Refractory Ventricular Tachycardia. Circ. Arrhythmia Electrophysiol. 2016, 9, e004352. [Google Scholar] [CrossRef]
- Tokuda, M.; Sobieszczyk, P.; Eisenhauer, A.C.; Kojodjojo, P.; Inada, K.; Koplan, B.A.; Michaud, G.F.; John, R.M.; Epstein, L.M.; Sacher, F.; et al. Transcoronary ethanol ablation for recurrent ventricular tachycardia after failed catheter ablation: An update. Circ. Arrhythmia Electrophysiol. 2011, 4, 889–896. [Google Scholar] [CrossRef]
- Mulpuru, S.K.; Feld, G.K.; Madani, M.; Sawhney, N.S. A Novel, Minimally-Invasive Surgical Approach for Ablation of Ventricular Tachycardia Originating Near the Proximal Left Anterior Descending Coronary Artery. Circ. Arrhythmia Electrophysiol. 2012, 5, e95–e97. [Google Scholar] [CrossRef]
- Kowlgi, G.N.; Arghami, A.; Crestanello, J.A.; François, C.J.; Friedman, P.A.; Killu, A.M. Direct Intramyocardial Ethanol Injection for Premature Ventricular Contraction Arising from the Inaccessible Left Ventricular Summit. JACC Clin. Electrophysiol. 2021, 7, 1647–1648. [Google Scholar] [CrossRef]
- Yamada, T.; Doppalapudi, H.; Litovsky, S.H.; McElderry, H.T.; Kay, G.N. Challenging Radiofrequency Catheter Ablation of Idiopathic Ventricular Arrhythmias Originating from the Left Ventricular Summit Near the Left Main Coronary Artery. Circ. Arrhythmia Electrophysiol. 2016, 9, e004202. [Google Scholar] [CrossRef]
- Zipes, D.; Foster, P.R.; Troup, P.J.; Pedersen, D.H. Atrial induction of ventricular tachycardia: Reentry versus triggered automaticity. Am. J. Cardiol. 1979, 44, 1–8. [Google Scholar] [CrossRef]
- Belhassen, B.; Rotmensch, H.H.; Laniado, S. Response of recurrent sustained ventricular tachycardia to verapamil. Heart 1981, 46, 679–682. [Google Scholar] [CrossRef]
- Gaita, F.; Giustetto, C.; Libero, L.; Riccardi, R.; Bocchiardo, M.; Scaglione, M.; Lamberti, F.; Richiardi, E.; Brusca, A.; Massa, R. Idiopathic ventricular tachycardia with onset in the verapamil-sensitive left ventricle: The clinical characteristics and long-term follow-up of 37 patients. G. Ital. Cardiol. 1995, 25, 695–706. [Google Scholar]
- Ohe, T.; Aihara, N.; Kamakura, S.; Kurita, T.; Shimizu, W.; Shimomura, K. Long-term outcome of verapamil-sensitive sustained left ventricular tachycardia in patients without structural heart disease. J. Am. Coll. Cardiol. 1995, 25, 54–58. [Google Scholar] [CrossRef]
- Ohe, T.; Shimomura, K.; Aihara, N.; Kamakura, S.; Matsuhisa, M.; Sato, I.; Nakagawa, H.; Shimizu, A. Idiopathic sustained left ventricular tachycardia: Clinical and electrophysiologic characteristics. Circulation 1988, 77, 560–568. [Google Scholar] [CrossRef]
- Nakagawa, H.; Beckman, K.J.; McClelland, J.H.; Wang, X.; Arruda, M.; Santoro, I.; Hazlitt, H.A.; Abdalla, I.; Singh, A.; Gossinger, H. Radiofrequency catheter ablation of idiopathic left ventricular tachycardia guided by a Purkinje potential. Circulation 1993, 88, 2607–2617. [Google Scholar] [CrossRef] [PubMed]
- Wen, M.S.; Yeh, S.J.; Wang, C.C.; Lin, F.C.; Chen, I.C.; Wu, D. Radiofrequency ablation therapy in idiopathic left ventricular tachycardia with no obvious structural heart disease. Circulation 1994, 89, 1690–1696. [Google Scholar] [CrossRef]
- Kapa, S.; Gaba, P.; DeSimone, C.V.; Asirvatham, S.J. Fascicular Ventricular Arrhythmias: Pathophysiologic Mechanisms, Anatomical Constructs, and Advances in Approaches to Management. Circ. Arrhythmia Electrophysiol. 2017, 10, e002476. [Google Scholar] [CrossRef]
- Luetmer, P.H.; Edwards, W.D.; Seward, J.B.; Tajik, A.J. Incidence and distribution of left ventricular false tendons: An autopsy study of 483 normal human hearts. J. Am. Coll. Cardiol. 1986, 8, 179–183. [Google Scholar] [CrossRef] [PubMed]
- Good, E.; Desjardins, B.; Jongnarangsin, K.; Oral, H.; Chugh, A.; Ebinger, M.; Pelosi, F.; Morady, F.; Bogun, F. Ventricular arrhythmias originating from a papillary muscle in patients without prior infarction: A comparison with fascicular arrhythmias. Heart Rhythm. 2008, 5, 1530–1537. [Google Scholar] [CrossRef]
- Yamada, T.; Doppalapudi, H.; McElderry, H.T.; Okada, T.; Murakami, Y.; Inden, Y.; Yoshida, Y.; Yoshida, N.; Murohara, T.; Epstein, A.E.; et al. Electrocardiographic and electrophysiological characteristics in idiopathic ventricular arrhythmias originating from the papillary muscles in the left ventricle: Relevance for catheter ablation. Circ. Arrhythmia Electrophysiol. 2010, 3, 324–331. [Google Scholar] [CrossRef]
- Hashmath, Z.; Naniwadekar, A. Idiopathic ventricular fibrillation triggered by premature ventricular complexes originating from the false tendon of the left ventricle. HeartRhythm Case Rep. 2022, 8, 515–519. [Google Scholar] [CrossRef]
- Lin, D.; Hsia, H.H.; Gerstenfeld, E.P.; Dixit, S.; Callans, D.J.; Nayak, H.; Russo, A.; Marchlinski, F.E. Idiopathic fascicular left ventricular tachycardia: Linear ablation lesion strategy for noninducible or nonsustained tachycardia. Heart Rhythm. 2005, 2, 934–939. [Google Scholar] [CrossRef]
- Gopi, A.; Nair, S.G.; Shelke, A.; Saggu, D.K.; Yalagudri, S.; Reddy, P.; Narasimhan, C. A stepwise approach to the induction of idiopathic fascicular ventricular tachycardia. J. Interv. Card. Electrophysiol. 2015, 44, 17–22. [Google Scholar] [CrossRef]
- Chen, H.; Zhang, F.; Yang, B.; Shehata, M.; Ju, W.; Yang, G.; Gu, K.; Li, M.; Cao, K.; Chen, M.; et al. A novel method to identify the origin of ventricular tachycardia from the left fascicular system. Heart Rhythm. 2015, 13, 686–694. [Google Scholar] [CrossRef]
- Nogami, A.; Naito, S.; Tada, H.; Taniguchi, K.; Okamoto, Y.; Nishimura, S.; Yamauchi, Y.; Aonuma, K.; Goya, M.; Iesaka, Y.; et al. Demonstration of diastolic and presystolic purkinje potentials as critical potentials in a macroreentry circuit of verapamil-sensitive idiopathic left ventricular tachycardia. J. Am. Coll. Cardiol. 2000, 36, 811–823. [Google Scholar] [CrossRef]
- Thakur, R.K.; Klein, G.J.; Sivaram, C.A.; Zardini, M.; Schleinkofer, D.E.; Nakagawa, H.; Yee, R.; Jackman, W.M. Anatomic Substrate for Idiopathic Left Ventricular Tachycardia. Circulation 1996, 93, 497–501. [Google Scholar] [CrossRef]
- Al’Aref, S.J.; Ip, J.E.; Markowitz, S.M.; Liu, C.F.; Thomas, G.; Frenkel, D.; Panda, N.C.; Weinsaft, J.W.; Lerman, B.B.; Cheung, J.W. Differentiation of papillary muscle from fascicular and mitral annular ventricular arrhythmias in patients with and without structural heart disease. Circ. Arrhythmia Electrophysiol. 2015, 8, 616–624. [Google Scholar] [CrossRef]
- Yamada, T.; McElderry, H.T.; Okada, T.; Murakami, Y.; Inden, Y.; Doppalapudi, H.; Yoshida, N.; Tabereaux, P.B.; Allred, J.D.; Murohara, T.; et al. Idiopathic Focal Ventricular Arrhythmias Originating from the Anterior Papillary Muscle in the Left Ventricle. J. Cardiovasc. Electrophysiol. 2009, 20, 866–872. [Google Scholar] [CrossRef]
- Doppalapudi, H.; Yamada, T.; McElderry, H.T.; Plumb, V.J.; Epstein, A.E.; Kay, G.N. Ventricular Tachycardia Originating from the Posterior Papillary Muscle in the Left Ventricle. Circ. Arrhythmia Electrophysiol. 2008, 1, 23–29. [Google Scholar] [CrossRef]
- Donnelly, J.; Patel, A.; Beldner, S. Ventricular Arrhythmia Originating from the Left Ventricular Papillary Muscles: Clinical Features and Technical Aspects. J. Innov. Card. Rhythm. Manag. 2018, 9, 3006–3013. [Google Scholar] [CrossRef]
- Loukas, M.; Klaassen, Z.; Tubbs, R.S.; Derderian, T.; Paling, D.; Chow, D.; Patel, S.; Anderson, R.H. Anatomical observations of the moderator band. Clin. Anat. 2010, 23, 443–450. [Google Scholar] [CrossRef]
- Sadek, M.M.; Benhayon, D.; Sureddi, R.; Chik, W.; Santangeli, P.; Supple, G.E.; Hutchinson, M.D.; Bala, R.; Carballeira, L.; Zado, E.S.; et al. ventricular arrhythmias originating from the moderator band: Electrocardiographic characteristics and treatment by catheter ablation. Heart Rhythm. 2015, 12, 67–75. [Google Scholar] [CrossRef]
- Antzelevitch, C.; Sicouri, S. Clinical relevance of cardiac arrhythmias generated by afterdepolarizations: Role of M cells in the generation of U waves, triggered activity and torsade de pointes. J. Am. Coll. Cardiol. 1994, 23, 259–277. [Google Scholar] [CrossRef]
- Kamkin, A.; Kiseleva, I.; Isenberg, G. Stretch-activated currents in ventricular myocytes: Amplitude and arrhythmogenic effects increase with hypertrophy. Cardiovasc. Res. 2000, 48, 409–420. [Google Scholar] [CrossRef]
- Walton, R.D.; Pashaei, A.; Martinez, M.E.; Constantin, M.; Duchateau, J.; Bear, L.; Cros, C.; Pascarel-Auclerc, C.; Guo, Y.; Benoist, D.; et al. Compartmentalized Structure of the Moderator Band Provides a Unique Substrate for Macroreentrant Ventricular Tachycardia. Circ. Arrhythmia Electrophysiol. 2018, 11, e005913. [Google Scholar] [CrossRef]
- Enriquez, A.; Pathak, R.K.; Santangeli, P.; Liang, J.J.; Al Rawahi, M.; Hayashi, T.; Muser, D.; Frankel, D.S.; Supple, G.; Schaller, R.; et al. Inferior lead discordance in ventricular arrhythmias: A specific marker for certain arrhythmia locations. J. Cardiovasc. Electrophysiol. 2017, 28, 1179–1186. [Google Scholar] [CrossRef]













| Right Ventricular Outflow Tract Ablation Tips |
|---|
|
|
|
|
| Left Ventricular Outflow Tract Ablation Tips |
|---|
|
|
|
|
|
| Idiopathic Left Ventricular VT Ablation Tips |
|---|
|
|
|
|
|
| Papillary Muscle VT Ablation Tips |
|---|
|
|
|
|
| Moderator Band VT Ablation Tips |
|---|
|
|
|
|
Disclaimer/Publisher’s Note: The statements, opinions and data contained in all publications are solely those of the individual author(s) and contributor(s) and not of MDPI and/or the editor(s). MDPI and/or the editor(s) disclaim responsibility for any injury to people or property resulting from any ideas, methods, instructions or products referred to in the content. |
© 2023 by the authors. Licensee MDPI, Basel, Switzerland. This article is an open access article distributed under the terms and conditions of the Creative Commons Attribution (CC BY) license (https://creativecommons.org/licenses/by/4.0/).
Share and Cite
Ward, R.C.; van Zyl, M.; DeSimone, C.V. Idiopathic Ventricular Tachycardia. J. Clin. Med. 2023, 12, 930. https://doi.org/10.3390/jcm12030930
Ward RC, van Zyl M, DeSimone CV. Idiopathic Ventricular Tachycardia. Journal of Clinical Medicine. 2023; 12(3):930. https://doi.org/10.3390/jcm12030930
Chicago/Turabian StyleWard, Robert C., Martin van Zyl, and Christopher V. DeSimone. 2023. "Idiopathic Ventricular Tachycardia" Journal of Clinical Medicine 12, no. 3: 930. https://doi.org/10.3390/jcm12030930
APA StyleWard, R. C., van Zyl, M., & DeSimone, C. V. (2023). Idiopathic Ventricular Tachycardia. Journal of Clinical Medicine, 12(3), 930. https://doi.org/10.3390/jcm12030930

