Lesser Tuberosity Osteotomy Healing in Stemmed and Stemless Anatomic Shoulder Arthroplasty Is Higher with a Tensionable Construct and Affected by Body Mass Index and Tobacco Use
Abstract
1. Introduction
2. Materials and Methods
2.1. Study Cohort
2.2. Surgical Technique
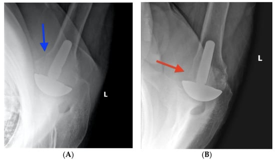
2.3. Radiographic Evaluation
2.4. Statistical Analysis
3. Results
3.1. Study Population
3.2. Healing Based on the Repair Technique
3.3. Healing Based on the Patient Characteristics
4. Discussion
5. Conclusions
Author Contributions
Funding
Institutional Review Board Statement
Informed Consent Statement
Conflicts of Interest
References
- Choate, W.S.; Kwapisz, A.; Momaya, A.M.; Hawkins, R.J.; Tokish, J.M. Outcomes for Subscapularis Management Techniques in Shoulder Arthroplasty: A Systematic Review. J. Shoulder Elb. Surg. 2018, 27, 363–370. [Google Scholar] [CrossRef] [PubMed]
- Del Core, M.A.; Cutler, H.S.; Ahn, J.; Khazzam, M. Systematic Review and Network Meta-Analysis of Subscapularis Management Techniques in Anatomic Total Shoulder Arthroplasty. J. Shoulder Elb. Surg. 2021, 30, 1714–1724. [Google Scholar] [CrossRef] [PubMed]
- Van Thiel, G.S.; Wang, V.M.; Wang, F.-C.; Nho, S.J.; Piasecki, D.P.; Bach, B.R., Jr.; Romeo, A.A. Biomechanical Similarities among Subscapularis Repairs after Shoulder Arthroplasty. J. Shoulder Elb. Surg. 2010, 19, 657–663. [Google Scholar] [CrossRef] [PubMed]
- Schrock, J.B.; Kraeutler, M.J.; Crellin, C.T.; McCarty, E.C.; Bravman, J.T. How Should I Fixate the Subscapularis in Total Shoulder Arthroplasty? A Systematic Review of Pertinent Subscapularis Repair Biomechanics. Shoulder Elb. 2017, 9, 153–159. [Google Scholar] [CrossRef]
- Denard, P.J.; Noyes, M.P.; Lädermann, A. A Tensionable Method for Subscapularis Repair after Shoulder Arthroplasty. JSES Open Access 2018, 2, 205–210. [Google Scholar] [CrossRef]
- Heckman, D.S.; Hoover, S.A.; Weinhold, P.S.; Spang, J.T.; Creighton, R.A. Repair of Lesser Tuberosity Osteotomy for Shoulder Arthroplasty: Biomechanical Evaluation of the Backpack and Dual Row Techniques. J. Shoulder Elb. Surg. 2011, 20, 491–496. [Google Scholar] [CrossRef]
- Schmidt, C.C.; Jarrett, C.D.; Brown, B.T.; DeGravelle, M., Jr.; Sawardeker, P.; Weir, D.M.; Latona, C.R.; Miller, M.C. Effect of Lesser Tuberosity Osteotomy Size and Repair Construct during Total Shoulder Arthroplasty. J. Shoulder Elb. Surg. 2014, 23, 117–127. [Google Scholar] [CrossRef]
- Griffin, J.W.; Werner, B.C.; Lederman, E.; Gobezie, R.; Mazzocca, A.D.; Romeo, A.A.; Denard, P.J. Lesser Tuberosity Osteotomy Does Not Appear to Compromise Fixation or Function Compared With Peel in Short-Stem Anatomic Shoulder Arthroplasty. Orthopedics 2022, 45, 151–155. [Google Scholar] [CrossRef]
- Erickson, B.J.; Chalmers, P.N.; Denard, P.J.; Gobezie, R.; Romeo, A.A.; Lederman, E.S. Current State of Short-Stem Implants in Total Shoulder Arthroplasty: A Systematic Review of the Literature. JSES Int. 2020, 4, 114–119. [Google Scholar] [CrossRef]
- Aibinder, W.R.; Bicknell, R.T.; Bartsch, S.; Scheibel, M.; Athwal, G.S. Subscapularis Management in Stemless Total Shoulder Arthroplasty: Tenotomy versus Peel versus Lesser Tuberosity Osteotomy. J. Shoulder Elb. Surg. 2019, 28, 1942–1947. [Google Scholar] [CrossRef]
- Ponce, B.A.; Ahluwalia, R.S.; Mazzocca, A.D.; Gobezie, R.G.; Warner, J.J.P.; Millett, P.J. Biomechanical and Clinical Evaluation of a Novel Lesser Tuberosity Repair Technique in Total Shoulder Arthroplasty. J. Bone Jt. Surg. Am. 2005, 87 (Suppl. 2), 1–8. [Google Scholar]
- Kelly, J.D., 2nd; Vaishnav, S.; Saunders, B.M.; Schrumpf, M.A. Optimization of the Racking Hitch Knot: How Many Half Hitches and Which Suture Material Provide the Greatest Security? Clin. Orthop. Relat. Res. 2014, 472, 1930–1935. [Google Scholar] [CrossRef]
- Denard, P.J.; Lädermann, A. Immediate versus Delayed Passive Range of Motion Following Total Shoulder Arthroplasty. J. Shoulder Elb. Surg. 2016, 25, 1918–1924. [Google Scholar] [CrossRef]
- Small, K.M.; Siegel, E.J.; Miller, L.R.; Higgins, L.D. Imaging Characteristics of Lesser Tuberosity Osteotomy after Total Shoulder Replacement: A Study of 220 Patients. J. Shoulder Elb. Surg. 2014, 23, 1318–1326. [Google Scholar] [CrossRef]
- Levy, J.C.; DeVito, P.; Berglund, D.; Vakharia, R.; Moor, M.; Malarkey, A.; Polansky, S. Lesser Tuberosity Osteotomy in Total Shoulder Arthroplasty: Impact of Radiographic Healing on Outcomes. J. Shoulder Elb. Surg. 2019, 28, 1082–1090. [Google Scholar] [CrossRef]
- Schwartz, A.M.; Farley, K.X.; Boden, S.H.; Wilson, J.M.; Daly, C.A.; Gottschalk, M.B.; Wagner, E.R. The Use of Tobacco Is a Modifiable Risk Factor for Poor Outcomes and Readmissions after Shoulder Arthroplasty. Bone Jt. J. 2020, 102-B, 1549–1554. [Google Scholar] [CrossRef]
- Eichinger, J.K.; Rao, M.V.; Lin, J.J.; Goodloe, J.B.; Kothandaraman, V.; Barfield, W.R.; Parada, S.A.; Roche, C.; Friedman, R.J. The Effect of Body Mass Index on Internal Rotation and Function Following Anatomic and Reverse Total Shoulder Arthroplasty. J. Shoulder Elb. Surg. 2021, 30, 265–272. [Google Scholar] [CrossRef]
- Wells, D.B.; Holt, A.M.; Smith, R.A.; Brolin, T.J.; Azar, F.M.; Throckmorton, T.W. Tobacco Use Predicts a More Difficult Episode of Care after Anatomic Total Shoulder Arthroplasty. J. Shoulder Elb. Surg. 2018, 27, 23–28. [Google Scholar] [CrossRef]
- Dunn, R.; Joyce, C.D.; Bravman, J.T. Comparison of Subscapularis Management and Repair Techniques. J. Shoulder Elb. Arthroplast. 2019, 3, 2471549219848152. [Google Scholar] [CrossRef]
- Lederman, E.; Streit, J.; Idoine, J.; Shishani, Y.; Gobezie, R. Biomechanical Study of a Subscapularis Repair Technique for Total Shoulder Arthroplasty. Orthopedics 2016, 39, e937–e943. [Google Scholar] [CrossRef]
- Denard, P.J.; Noyes, M.P.; Walker, J.B.; Shishani, Y.; Gobezie, R.; Romeo, A.A.; Lederman, E. Proximal Stress Shielding Is Decreased with a Short Stem Compared with a Traditional-Length Stem in Total Shoulder Arthroplasty. J. Shoulder Elb. Surg. 2018, 27, 53–58. [Google Scholar] [CrossRef] [PubMed]
- Harmer, L.; Throckmorton, T.; Sperling, J.W. Total Shoulder Arthroplasty: Are the Humeral Components Getting Shorter? Curr. Rev. Musculoskelet. Med. 2016, 9, 17–22. [Google Scholar] [CrossRef]
- Romeo, A.A.; Thorsness, R.J.; Sumner, S.A.; Gobezie, R.; Lederman, E.S.; Denard, P.J. Short-Term Clinical Outcome of an Anatomic Short-Stem Humeral Component in Total Shoulder Arthroplasty. J. Shoulder Elb. Surg. 2018, 27, 70–74. [Google Scholar] [CrossRef]
- Wodarek, J.; Shields, E. Stemless Total Shoulder: A Review of Biomechanical Fixation and Recent Results. J Shoulder Elb. Arthroplast. 2021, 5, 24715492211008408. [Google Scholar] [CrossRef]
- Liu, E.Y.; Kord, D.; Horner, N.S.; Leroux, T.; Alolabi, B.; Khan, M. Stemless Anatomic Total Shoulder Arthroplasty: A Systematic Review and Meta-Analysis. J. Shoulder Elb. Surg. 2020, 29, 1928–1937. [Google Scholar] [CrossRef]
- Hawi, N.; Tauber, M.; Messina, M.J.; Habermeyer, P.; Martetschläger, F. Anatomic Stemless Shoulder Arthroplasty and Related Outcomes: A Systematic Review. BMC Musculoskelet. Disord. 2016, 17, 376. [Google Scholar] [CrossRef]
- Buckley, T.; Miller, R.; Nicandri, G.; Lewis, R.; Voloshin, I. Analysis of Subscapularis Integrity and Function after Lesser Tuberosity Osteotomy versus Subscapularis Tenotomy in Total Shoulder Arthroplasty Using Ultrasound and Validated Clinical Outcome Measures. J. Shoulder Elb. Surg. 2014, 23, 1309–1317. [Google Scholar] [CrossRef]
- Scalise, J.J.; Ciccone, J.; Iannotti, J.P. Clinical, Radiographic, and Ultrasonographic Comparison of Subscapularis Tenotomy and Lesser Tuberosity Osteotomy for Total Shoulder Arthroplasty. J. Bone Jt. Surg. Am. 2010, 92, 1627–1634. [Google Scholar] [CrossRef]








| Parameter | All Patients | LTO Repair Technique | |||
|---|---|---|---|---|---|
| Knot Tying with a Short Stem | TCB with a Short Stem | TCB with Stemless | p | ||
| Total † | 340 (100) | 168 (49.4) | 84 (24.7) | 88 (25.9) | |
| Age * (yr) | 68.6 ± 8.2 | 68.2 ± 8.0 | 69.7 ± 8.6 | 68.2 ± 8.1 | 0.326 |
| Sex † | |||||
| Female | 156 (45.9) | 73 (43.5) | 47 (56.0) | 36 (40.9) | 0.095 |
| Male | 184 (54.1) | 95 (56.5) | 37 (44.0) | 52 (59.1) | |
| BMI * | 30.8 ± 6.9 | 31.0 ± 7.1 | 29.7 ± 6.8 | 31.4 ± 6.5 | 0.297 |
| Tobacco use † | 10 (2.9) | 6 (3.6) | 0 | 4 (4.6) | 0.165 |
| Implant type † | |||||
| Stemless | 88 (25.9) | 0 | 0 | 88 (100) | |
| Short-stem | 252 (74.1) | 168 (100) | 84 (100) | 0 | |
| Parameter | LTO Repair Technique | |||
|---|---|---|---|---|
| Knot Tying with a Short Stem (n = 168) | TCB with a Short Stem (n = 84) | TCB with Stemless (n = 88) | p | |
| LTO † | ||||
| Displaced nonunion | 26 (15.5) | 4 (4.8) | 2 (2.3) | <0.001 * |
| Healed or nondisplaced nonunion | 142 (84.5) | 80 (95.2) | 86 (97.7) | |
| LTO † | ||||
| Displaced nonunion | 26 (15.5) | 4 (4.8) | 2 (2.3) | <0.001 |
| Nondisplaced nonunion | 26 (15.5) | 24 (28.6) | 16 (18.2) | |
| Healed | 116 (69.0) | 56 (66.7) | 70 (79.5) | |
| Parameter | LTO | |||
|---|---|---|---|---|
| Healed (n = 242) | Nondisplaced Nonunion (n = 66) | Displaced Nonunion (n = 32) | p | |
| Age * (yr) | 69.0 ± 7.9 | 67.1 ± 8.9 | 68.2 ± 9.1 | 0.233 |
| Sex † | ||||
| Female | 117 (48.3) | 28 (42.4) | 11 (34.4) | 0.270 |
| Male | 125 (51.7) | 38 (57.6) | 21 (65.6) | |
| BMI * | 30.8 ± 6.7 | 29.2 ± 6.7 | 33.1 ± 8.2 | 0.043 |
| Tobacco use † | 7 (2.9) | 0 | 3 (9.4) | 0.037 |
Disclaimer/Publisher’s Note: The statements, opinions and data contained in all publications are solely those of the individual author(s) and contributor(s) and not of MDPI and/or the editor(s). MDPI and/or the editor(s) disclaim responsibility for any injury to people or property resulting from any ideas, methods, instructions or products referred to in the content. |
© 2023 by the authors. Licensee MDPI, Basel, Switzerland. This article is an open access article distributed under the terms and conditions of the Creative Commons Attribution (CC BY) license (https://creativecommons.org/licenses/by/4.0/).
Share and Cite
Phillips, C.; Pasqualini, I.; Barros, H.; Menendez, M.E.; Horinek, J.L.; Ardebol, J.; Denard, P.J. Lesser Tuberosity Osteotomy Healing in Stemmed and Stemless Anatomic Shoulder Arthroplasty Is Higher with a Tensionable Construct and Affected by Body Mass Index and Tobacco Use. J. Clin. Med. 2023, 12, 834. https://doi.org/10.3390/jcm12030834
Phillips C, Pasqualini I, Barros H, Menendez ME, Horinek JL, Ardebol J, Denard PJ. Lesser Tuberosity Osteotomy Healing in Stemmed and Stemless Anatomic Shoulder Arthroplasty Is Higher with a Tensionable Construct and Affected by Body Mass Index and Tobacco Use. Journal of Clinical Medicine. 2023; 12(3):834. https://doi.org/10.3390/jcm12030834
Chicago/Turabian StylePhillips, Cameron, Ignacio Pasqualini, Hugo Barros, Mariano E. Menendez, Jeffrey L. Horinek, Javier Ardebol, and Patrick J. Denard. 2023. "Lesser Tuberosity Osteotomy Healing in Stemmed and Stemless Anatomic Shoulder Arthroplasty Is Higher with a Tensionable Construct and Affected by Body Mass Index and Tobacco Use" Journal of Clinical Medicine 12, no. 3: 834. https://doi.org/10.3390/jcm12030834
APA StylePhillips, C., Pasqualini, I., Barros, H., Menendez, M. E., Horinek, J. L., Ardebol, J., & Denard, P. J. (2023). Lesser Tuberosity Osteotomy Healing in Stemmed and Stemless Anatomic Shoulder Arthroplasty Is Higher with a Tensionable Construct and Affected by Body Mass Index and Tobacco Use. Journal of Clinical Medicine, 12(3), 834. https://doi.org/10.3390/jcm12030834

