Do Individualized Patient-Specific Situations Predict the Progression Rate and Fate of Knee Osteoarthritis? Prediction of Knee Osteoarthritis
Abstract
1. Introduction
2. Materials and Methods
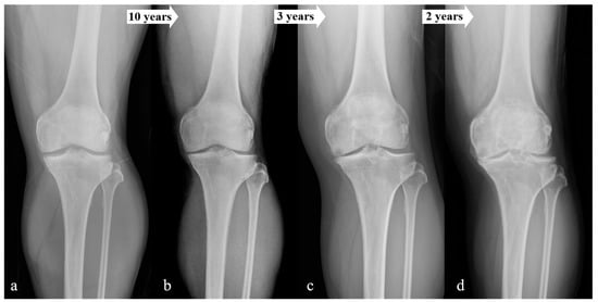
2.1. Classification
2.2. Affecting Factor Analysis
2.3. Statistical Analysis
| Total (Knees) | Time < 5 Years (Fast) | 5 years ≤ Time < 10 Years (Usual) | Time ≥ 10 Years (Slow) | p-Value |
|---|---|---|---|---|
| 100% (2152) | 36.0% (774) | 33.5% (721) | 30.5% (657) | |
| Age (Mean) | 62.2 ± 8.8 | 58.6 ± 9.2 | 58.9 ± 11.8 | <0.001 * |
| Age < 55 (553) | 24.2% (134) | 38.5% (213) | 37.3% (206) | <0.001 * |
| 55 ≤ Age < 65 (894) | 36.4% (325) | 36.7% (328) | 27.0% (241) | |
| Age ≥ 65 (705) | 44.7% (315) | 25.5% (180) | 29.8% (210) | |
| SEX (Male/Female) | 12.7%/87.3% (98/676) | 18.6%/81.4% (134/587) | 19.6%/80.4% (129/528) | |
| BMI | 23.8 ± 3.4 | 25.0 ± 3.2 | 25.4 ± 3.3 | <0.001 * |
| BMD | <0.001 * | |||
| Normal (134) | 39.6% (53) | 32.1% (43) | 28.4% (38) | |
| Osteopenia or Osteoporosis (553) | 43.6% (241) | 32.2% (178) | 24.2% (134) | |
| Total performed (687) | 42.8% (294) | 32.2% (221) | 25.0% (172) | |
| Initial K–L grade | <0.001 * | |||
| K–L grade 0 (1542) | 29.4% (453) | 37.7% (581) | 32.9% (508) | |
| K–L grade 1 (296) | 38.5% (114) | 27.4% (81) | 34.1% (101) | |
| K–L grade 2 (314) | 65.9% (207) | 18.8% (59) | 15.3% (48) | |
| Physical demand for occupation | <0.001 * | |||
| Low demand (719) | 32.0% (230) | 26.7% (192) | 41.3% (297) | |
| Mild demand (914) | 32.1% (293) | 38.7% (354) | 29.2% (267) | |
| High demand (519) | 48.4% (251) | 33.7% (175) | 17.9% (93) | |
| Metabolic disorders | ||||
| HTN (1091) | 40.8% (445) | 31.7% (346) | 27.5% (300) | <0.001 * |
| DM (405) | 39.8% (161) | 31.9% (129) | 28.4% (115) | 0.208 |
| Other disorders (one or more) (517) | 35.4% (183) | 35.0% (181) | 29.6% (153) | 0.699 |
| (Knees) | Time < 5 Years | Time ≥ 5 Years (Max: 15 Years) | Conservative Treatment | p-Value |
|---|---|---|---|---|
| Age (Mean) | 63.5 ± 7.0 | 59.6 ± 9.3 | 56.9 ± 11.9 | <0.001 * |
| SEX (Male/Female) | 13.5%/86.5% (42/270) | 12.8%/87.2% (56/383) | 21.0%/79.0% (366/1375) | <0.001 * |
| BMI | 23.9 ± 3.4 | 24.0 ± 3.2 | 25.2 ± 3.4 | <0.001 * |
| BMD | <0.001 * | |||
| Normal (159) | 9.4% (14) | 14.0% (25) | 27.8% (120) | |
| Osteopenia or osteoporosis (600) | 90.6% (135) | 86.0% (154) | 72.2% (311) | |
| Total performed (759) | 100% (149) | 100% (179) | 100% (431) | |
| Initial K–L grade | <0.001 * | |||
| K–L grade 0 (1850) | 27.5% (86) | 43.3% (190) | 86.6% (1507) | |
| K–L grade 1 (303) | 23.5% (73) | 18.9% (83) | 10.2% (178) | |
| K–L grade 2 (339) | 49.0% (153) | 37.8% (166) | 3.2% (56) | |
| Total (2492) | 100% (312) | 100% (439) | 100% (1741) | |
| Physical demand for occupation | <0.001 * | |||
| Low demand (813) | 32.1% (100) | 23.2% (102) | 35.1% (611) | |
| Mild demand (1109) | 26.6% (83) | 41.7% (183) | 48.4% (843) | |
| High demand (570) | 41.3% (129) | 35.1% (154) | 16.5% (287) | |
| Total (2492) | 100% (312) | 100% (439) | 100% (1741) | |
| Rate of metabolic disorders | ||||
| HTN (1204) | 61.5% (192) | 57.2% (251) | 43.7% (761) | <0.001 * |
| DM (443) | 25.3% (79) | 18.7% (82) | 16.2% (282) | <0.001 * |
| Other disorders (one or more) (575) | 16.5% (95) | 19.7% (113) | 63.8% (367) | 0.001 * |
3. Results
4. Discussion
Limitations
5. Conclusions
Author Contributions
Funding
Institutional Review Board Statement
Informed Consent Statement
Data Availability Statement
Conflicts of Interest
Appendix A. A Detailed Explanation of Algorithms and Models
Appendix A.1. Model Explanation
- ⮚
- Logistic regression
- ⮚
- SoftMax (S)
- ⮚
- Cross-Entropy Loss (CE)
References
- Cross, M.; Smith, E.; Hoy, D.; Nolte, S.; Ackerman, I.; Fransen, M.; Bridgett, L.; Williams, S.; Guillemin, F.; Hill, C.L.; et al. The global burden of hip and knee osteoarthritis: Estimates from the global burden of disease 2010 study. Ann. Rheum. Dis. 2014, 73, 1323–1330. [Google Scholar] [CrossRef] [PubMed]
- Eyre, D.R. Collagens and cartilage matrix homeostasis. Clin. Orthop. Relat. Res. 2004, 427, S118–S122. [Google Scholar] [CrossRef] [PubMed]
- Guccione, A.A.; Felson, D.T.; Anderson, J.J.; Anthony, J.M.; Zhang, Y.; Wilson, P.W.; Kelly-Hayes, M.; Wolf, P.A.; Kreger, B.E.; Kannel, W.B. The effects of specific medical conditions on the functional limitations of elders in the Framingham Study. Am. J. Public Health 1994, 84, 351–358. [Google Scholar] [CrossRef] [PubMed]
- Felson, D.T.; Zhang, Y. An update on the epidemiology of knee and hip osteoarthritis with a view to prevention. Arthritis Rheum. 1998, 41, 1343–1355. [Google Scholar] [CrossRef]
- Cho, H.J.; Morey, V.; Kang, J.Y.; Kim, K.W.; Kim, T.K. Prevalence and Risk Factors of Spine, Shoulder, Hand, Hip, and Knee Osteoarthritis in Community-dwelling Koreans Older Than Age 65 Years. Clin. Orthop. Relat. Res. 2015, 473, 3307–3314. [Google Scholar] [CrossRef]
- Gardiner, B.S.; Woodhouse, F.G.; Besier, T.F.; Grodzinsky, A.J.; Lloyd, D.G.; Zhang, L.; Smith, D.W. Predicting Knee Osteoarthritis. Ann. Biomed. Eng. 2016, 44, 222–233. [Google Scholar] [CrossRef]
- Lee, S.H.; Lee, O.S.; Kim, S.T.; Lee, Y.S. Revisiting Arthroscopic Partial Meniscectomy for Degenerative Tears in Knees With Mild or No Osteoarthritis: A Systematic Review and Meta-Analysis of Randomized Controlled Trials. Clin. J. Sport. Med. 2020, 30, 195–202. [Google Scholar] [CrossRef]
- Zhang, Y.M.; Wang, J.; Liu, X.G. Association between hypertension and risk of knee osteoarthritis: A meta-analysis of observational studies. Medicine 2017, 96, e7584. [Google Scholar] [CrossRef]
- Louati, K.; Vidal, C.; Berenbaum, F.; Sellam, J. Association between diabetes mellitus and osteoarthritis: Systematic literature review and meta-analysis. RMD Open 2015, 1, e000077. [Google Scholar] [CrossRef]
- Srikanth, V.K.; Fryer, J.L.; Zhai, G.; Winzenberg, T.M.; Hosmer, D.; Jones, G. A meta-analysis of sex differences prevalence, incidence and severity of osteoarthritis. Osteoarthr. Cartil. 2005, 13, 769–781. [Google Scholar] [CrossRef]
- Cho, H.J.; Chang, C.B.; Kim, K.W.; Park, J.H.; Yoo, J.H.; Koh, I.J.; Kim, T.K. Gender and prevalence of knee osteoarthritis types in elderly Koreans. J Arthroplast. 2011, 26, 994–999. [Google Scholar] [CrossRef]
- Heidari, B. Knee osteoarthritis prevalence, risk factors, pathogenesis and features: Part I. Casp. J. Intern. Med. 2011, 2, 205–212. [Google Scholar]
- Moghimi, N.; Rahmani, K.; Delpisheh, A.; Saidi, A.; Azadi, N.A.; Afkhamzadeh, A. Risk factors of knee osteoarthritis: A case-control study. Pak. J. Med. Sci. 2019, 35, 636–640. [Google Scholar] [CrossRef]
- Reid, C.R.; Bush, P.M.; Cummings, N.H.; McMullin, D.L.; Durrani, S.K. A review of occupational knee disorders. J. Occup. Rehabil. 2010, 20, 489–501. [Google Scholar] [CrossRef]
- Tiulpin, A.; Klein, S.; Bierma-Zeinstra, S.M.A.; Thevenot, J.; Rahtu, E.; Meurs, J.V.; Oei, E.H.G.; Saarakkala, S. Multimodal Machine Learning-based Knee Osteoarthritis Progression Prediction from Plain Radiographs and Clinical Data. Sci. Rep. 2019, 9, 20038. [Google Scholar] [CrossRef]
- Palmer, K.T. Occupational activities and osteoarthritis of the knee. Br. Med. Bull. 2012, 102, 147–170. [Google Scholar] [CrossRef]
- Losina, E.; Daigle, M.E.; Suter, L.G.; Hunter, D.J.; Solomon, D.H.; Walensky, R.P.; Jordan, J.M.; Burbine, S.A.; Paltiel, A.D.; Katz, J.N. Disease-modifying drugs for knee osteoarthritis: Can they be cost-effective? Osteoarthr. Cartil. 2013, 21, 655–667. [Google Scholar] [CrossRef]
- Vaishya, R.; Pariyo, G.B.; Agarwal, A.K.; Vijay, V. Non-operative management of osteoarthritis of the knee joint. J. Clin. Orthop. Trauma 2016, 7, 170–176. [Google Scholar] [CrossRef]
- Nevitt, M.C.; Zhang, Y.; Javaid, M.K.; Neogi, T.; Curtis, J.R.; Niu, J.; McCulloch, C.E.; Segal, N.A.; Felson, D.T. High systemic bone mineral density increases the risk of incident knee OA and joint space narrowing, but not radiographic progression of existing knee OA: The MOST study. Ann. Rheum. Dis. 2010, 69, 163–168. [Google Scholar] [CrossRef]
- Im, G.I.; Kim, M.K. The relationship between osteoarthritis and osteoporosis. J. Bone Min. Metab. 2014, 32, 101–109. [Google Scholar] [CrossRef]
- Lee, J.Y.; Harvey, W.F.; Price, L.L.; Paulus, J.K.; Dawson-Hughes, B.; McAlindon, T.E. Relationship of bone mineral density to progression of knee osteoarthritis. Arthritis Rheum. 2013, 65, 1541–1546. [Google Scholar] [CrossRef] [PubMed]
- Hardcastle, S.A.; Dieppe, P.; Gregson, C.L.; Davey Smith, G.; Tobias, J.H. Osteoarthritis and bone mineral density: Are strong bones bad for joints? Bonekey Rep. 2015, 4, 624. [Google Scholar] [CrossRef] [PubMed]
- Makiev, K.G.; Vasios, I.S.; Georgoulas, P.; Tilkeridis, K.; Drosos, G.; Ververidis, A. Clinical significance and management of meniscal extrusion in different knee pathologies: A comprehensive review of the literature and treatment algorithm. Knee Surg. Relat. Res. 2022, 34, 35. [Google Scholar] [CrossRef]
- Dequeker, J.; Aerssens, J.; Luyten, F.P. Osteoarthritis and osteoporosis: Clinical and research evidence of inverse relationship. Aging Clin. Exp. Res. 2003, 15, 426–439. [Google Scholar] [CrossRef] [PubMed]
- Do, S.; Lee, C.G.; Kim, D.H.; Lee, G.; Kim, K.Y.; Ryu, S.Y.; Song, H. Factors related to femoral bowing among Korean female farmers: A cross-sectional study. Ann. Occup. Envrion. Med. 2020, 32, e23. [Google Scholar] [CrossRef]
- Georgiev, T.; Angelov, A.K. Modifiable risk factors in knee osteoarthritis: Treatment implications. Rheumatol. Int. 2019, 39, 1145–1157. [Google Scholar] [CrossRef]
- Primeau, C.A.; Birmingham, T.B.; Leitch, K.M.; Appleton, C.T.; Giffin, J.R. Degenerative Meniscal Tears and High Tibial Osteotomy: Do Current Treatment Algorithms Need to Be Realigned? Clin. Sport. Med. 2019, 38, 471–482. [Google Scholar] [CrossRef]
- Gelber, P.E.; Barenius, B.; Perelli, S. Role of Alignment and Osteotomy in Meniscal Injuries. Clin. Sport. Med. 2020, 39, 211–221. [Google Scholar] [CrossRef]
- Kraus, V.B.; Blanco, F.J.; Englund, M.; Karsdal, M.A.; Lohmander, L.S. Call for standardized definitions of osteoarthritis and risk stratification for clinical trials and clinical use. Osteoarthr. Cartil. 2015, 23, 1233–1241. [Google Scholar] [CrossRef]
- Zhang, Y.; Hunter, D.J.; Nevitt, M.C.; Xu, L.; Niu, J.; Lui, L.Y.; Yu, W.; Aliabadi, P.; Felson, D.T. Association of squatting with increased prevalence of radiographic tibiofemoral knee osteoarthritis: The Beijing Osteoarthritis Study. Arthritis Rheum. 2004, 50, 1187–1192. [Google Scholar] [CrossRef]
- Xie, D.X.; Wei, J.; Zeng, C.; Yang, T.; Li, H.; Wang, Y.L.; Long, H.Z.; Wu, Z.Y.; Qian, Y.X.; Li, K.H.; et al. Association between metabolic syndrome and knee osteoarthritis: A cross-sectional study. BMC Musculoskelet. Disord. 2017, 18, 533. [Google Scholar] [CrossRef]
- Lo, K.; Au, M.; Ni, J.; Wen, C. Association between hypertension and osteoarthritis: A systematic review and meta-analysis of observational studies. J. Orthop. Transl. 2022, 32, 12–20. [Google Scholar] [CrossRef]
- Sanchez-Santos, M.T.; Judge, A.; Gulati, M.; Spector, T.D.; Hart, D.J.; Newton, J.L.; Arden, N.K.; Kluzek, S. Association of metabolic syndrome with knee and hand osteoarthritis: A community-based study of women. Semin. Arthritis Rheum. 2019, 48, 791–798. [Google Scholar] [CrossRef]
- Shi, X.; Schlenk, E.A. Association of Hypertension with Knee Pain Severity Among People with Knee Osteoarthritis. Pain Manag. Nurs. 2022, 23, 135–141. [Google Scholar] [CrossRef]
- Khor, A.; Ma, C.A.; Hong, C.; Hui, L.L.; Leung, Y.Y. Diabetes mellitus is not a risk factor for osteoarthritis. RMD Open 2020, 6, e001030. [Google Scholar] [CrossRef]
- Rogers-Soeder, T.S.; Lane, N.E.; Walimbe, M.; Schwartz, A.V.; Tolstykh, I.; Felson, D.T.; Lewis, C.E.; Segal, N.A.; Nevitt, M.C. Association of Diabetes Mellitus and Biomarkers of Abnormal Glucose Metabolism With Incident Radiographic Knee Osteoarthritis. Arthritis Care Res. 2020, 72, 98–106. [Google Scholar] [CrossRef]
- Kim, D.H.; Lee, K.J.; Choi, D.; Lee, J.I.; Choi, H.G.; Lee, Y.S. Can Additional Patient Information Improve the Diagnostic Performance of Deep Learning for the Interpretation of Knee Osteoarthritis Severity. J. Clin. Med. 2020, 9, 3341. [Google Scholar] [CrossRef]
- Lee, D.H.; Kim, S.J.; Kim, S.A.; Ju, G.-i. Past, present, and future of cartilage restoration: From localized defect to arthritis. Knee Surg. Relat. Res. 2022, 34, 1. [Google Scholar] [CrossRef]
- Boutefnouchet, T.; Puranik, G.; Holmes, E.; Bell, K.M. Hylan GF-20 Viscosupplementation in the Treatment of Symptomatic Osteoarthritis of the Knee: Clinical Effect Survivorship at 5 Years. Knee Surg. Relat. Res. 2017, 29, 129–136. [Google Scholar] [CrossRef]





| (Knees) | K–L Grade 0 | K–L Grade 1 | K–L Grade 2 | p-Value |
|---|---|---|---|---|
| Age (Mean) | 57.6 ± 11.9 | 59.7 ± 9.1 | 60.6 ± 8.1 | <0.001 * |
| Age < 55 | 38.6% (714) | 21.9% (66) | 14.7% (50) | <0.001 * |
| 55 ≤ Age < 65 | 31.9% (591) | 48.0% (145) | 60.2% (204) | |
| Age ≥ 65 | 29.5% (545) | 28.1% (85) | 27.1% (92) | |
| Total (2492) | 100% (1850) | 100% (303) | 100% (339) | |
| SEX (Male/Female) | 21.2%/78.8% (392/1458) | 14.5%/85.5% (44/259) | 8.3%/91.7% (28/311) | <0.001 * |
| BMI | 25.3 ± 3.4 | 24.2 ± 3.2 | 23.0 ± 2.8 | <0.001 * |
| BMD | 0.001 | |||
| Normal (159) | 22.9% (116) | 18.4% (21) | 15.8% (22) | |
| Osteopenia or Osteoporosis (600) | 77.1% (390) | 81.6% (93) | 85.2% (117) | |
| Total performed (759) | 100% (506) | 100% (114) | 100% (139) | |
| Physical demand for occupation | <0.001 * | |||
| Low demand (813) | 34.8% (643) | 36.6% (111) | 17.4% (59) | |
| Mild demand (1109) | 51.5% (952) | 23.4% (71) | 25.4% (86) | |
| High demand (570) | 13.8% (255) | 39.9% (121) | 57.2% (194) | |
| Total (2492) | 100% (1850) | 100% (303) | 100% (339) | |
| Rate of metabolic disorders | ||||
| HTN (1204) | 45.3% (838) | 56.1% (170) | 57.8% (196) | <0.001 * |
| DM (443) | 17.5% (324) | 21.1% (64) | 16.2% (55) | 0.227 |
| Other disorders (one or more) (575) | 21.8% (403) | 26.1% (79) | 27.4% (93) | 0.032 * |
| Fate | ||||
| Final K–L grade (Mean) | 2.3 ± 1.0 | 2.9 ± 0.9 | 3.8 ± 0.4 | <0.001 * |
| Surgical intervention | <0.001 * | |||
| Time < 5 years (312) | 8.3% (153) | 13.9% (42) | 34.5% (117) | |
| Time ≥ 5 years (439) (Max: 15 years) | 10.3% (190) | 27.4% (83) | 49.0% (166) | |
| Conservative treatment (1741) | 81.5% (1507) | 58.7% (178) | 16.5% (56) | |
| Total (2492) | 100% (1850) | 100% (303) | 100% (339) |
| Accuracy | Precision | Recall | F1-Score | Specificity | Error Rate | |
|---|---|---|---|---|---|---|
| Progression rate of OA | ||||||
| Time < 5 years (Fast) | 0.632 | 0.488 | 0.509 | 0.498 | 0.700 | 0.368 |
| 5 years ≤ Time < 10 years (Usual) | 0.616 | 0.432 | 0.452 | 0.441 | 0.699 | 0.384 |
| Time ≥ 10 years (Slow) | 0.644 | 0.407 | 0.365 | 0.385 | 0.766 | 0.356 |
| Fate of OA | ||||||
| 5 years > surgical intervention | 0.874 | 0.500 | 0.255 | 0.338 | 0.963 | 0.126 |
| 5 years ≤ surgical intervention (Max: 15 years) | 0.803 | 0.459 | 0.629 | 0.530 | 0.841 | 0.197 |
| Conservative | 0.876 | 0.913 | 0.908 | 0.911 | 0.801 | 0.124 |
| Coefficient (95% Confidence Interval) | Initial K–L Grade | Age | Sex | BMI | BMD | Physical Demand for Occupation | HTN | DM | Other Disorders (One or More) |
|---|---|---|---|---|---|---|---|---|---|
| Progression rate of OA (contribution) | Major * | Minor | Minor | Minor | Major * | Major * | Minor | Minor | Minor |
| Time < 5 years (Fast) | 0.610 (0.609 ~ 0.610) | 0.039 (0.039 ~ 0.039) | 0.262 (0.262 ~ 0.262) | −0.099 (−0.099 ~ −0.098) | 0.295 (0.294 ~ 0.295) | 0.405 (0.404 ~ 0.405) | 0.196 (0.196 ~ 0.197) | 0.079 (0.079 ~ 0.079) | 0.135 (0.135 ~ 0.136) |
| 5 years ≤ Time < 10 years (Usual) | −0.125 (−0.126 ~ −0.125) | −0.012 (−0.013 ~ −0.012) | −0.092 (−0.092 ~ −0.092) | 0.010 (0.010 ~ 0.011) | 0.145 (0.145 ~ 0.145) | 0.218 (0.217 ~ 0.218) | −0.075 (−0.075 ~ −0.075) | 0.127 (0.127 ~ 0.128) | 0.127 (0.126 ~ 0.127) |
| Time ≥ 10 years (Slow) | −0.667 (−0.668 ~ −0.667) | −0.027 (−0.027 ~ −0.027) | −0.178 (−0.179 ~ −0.178) | 0.074 (0.074 ~ 0.075) | −0.459 (−0.460 ~ −0.459) | −0.669 (−0.669 ~ −0.669) | −0.087 (−0.088 ~ −0.087) | −0.078 (−0.079 ~ −0.078) | −0.088 (−0.088 ~ −0.088) |
| Fate of OA (contribution) | Major * | Minor | Minor | Minor | Minor | Major * | Major * | Minor | Minor |
| 5 years > surgical intervention | 0.462 (0.462 ~ 0.463) | 0.131 (0.131 ~ 0.131) | 0.271 (0.270 ~ 0.271) | −0.103 (−0.104 ~ −0.103) | 0.225 (0.224 ~ 0.225) | 0.496 (0.496 ~ 0.496) | 0.290 (0.289 ~ 0.290) | 0.239 (0.239 ~ 0.239) | −0.092 (−0.093 ~ 0.091) |
| 5 years ≤ surgical intervention (Max: 15 years) | 0.111 (0.110 ~ 0.111) | 0.108 (0.108 ~ 0.108) | 0.016 (0.015 ~ 0.017) | −0.030 (−0.031 ~ −0.030) | 0.080 (0.079 ~ 0.080) | −0.156 (−0.156 ~ −0.156) | 0.038 (0.038 ~ 0.038) | 0.029 (0.029 ~ 0.029) | −0.085 (−0.086 ~ −0.085) |
| Conservative | −0.643 (−0.643 ~ −0.643) | −0.060 (−0.061 ~ −0.060) | −0.330 (−0.331 ~ −0.330) | 0.071 (0.071 ~ 0.072) | −0.324 (−0.324 ~ −0.324) | −0.592 (−0.593 ~ −0.592) | −0.379 (−0.380 ~ −0.379) | −0.310 (−0.311 ~ −0.310) | 0.339 (0.339 ~ 0.339) |
Disclaimer/Publisher’s Note: The statements, opinions and data contained in all publications are solely those of the individual author(s) and contributor(s) and not of MDPI and/or the editor(s). MDPI and/or the editor(s) disclaim responsibility for any injury to people or property resulting from any ideas, methods, instructions or products referred to in the content. |
© 2023 by the authors. Licensee MDPI, Basel, Switzerland. This article is an open access article distributed under the terms and conditions of the Creative Commons Attribution (CC BY) license (https://creativecommons.org/licenses/by/4.0/).
Share and Cite
Yoo, H.J.; Jeong, H.W.; Park, S.B.; Shim, S.J.; Nam, H.S.; Lee, Y.S. Do Individualized Patient-Specific Situations Predict the Progression Rate and Fate of Knee Osteoarthritis? Prediction of Knee Osteoarthritis. J. Clin. Med. 2023, 12, 1204. https://doi.org/10.3390/jcm12031204
Yoo HJ, Jeong HW, Park SB, Shim SJ, Nam HS, Lee YS. Do Individualized Patient-Specific Situations Predict the Progression Rate and Fate of Knee Osteoarthritis? Prediction of Knee Osteoarthritis. Journal of Clinical Medicine. 2023; 12(3):1204. https://doi.org/10.3390/jcm12031204
Chicago/Turabian StyleYoo, Hyun Jin, Ho Won Jeong, Sung Bae Park, Seung Jae Shim, Hee Seung Nam, and Yong Seuk Lee. 2023. "Do Individualized Patient-Specific Situations Predict the Progression Rate and Fate of Knee Osteoarthritis? Prediction of Knee Osteoarthritis" Journal of Clinical Medicine 12, no. 3: 1204. https://doi.org/10.3390/jcm12031204
APA StyleYoo, H. J., Jeong, H. W., Park, S. B., Shim, S. J., Nam, H. S., & Lee, Y. S. (2023). Do Individualized Patient-Specific Situations Predict the Progression Rate and Fate of Knee Osteoarthritis? Prediction of Knee Osteoarthritis. Journal of Clinical Medicine, 12(3), 1204. https://doi.org/10.3390/jcm12031204

