Treatment Approaches to Molar Incisor Hypomineralization: A Systematic Review
Abstract
:1. Introduction
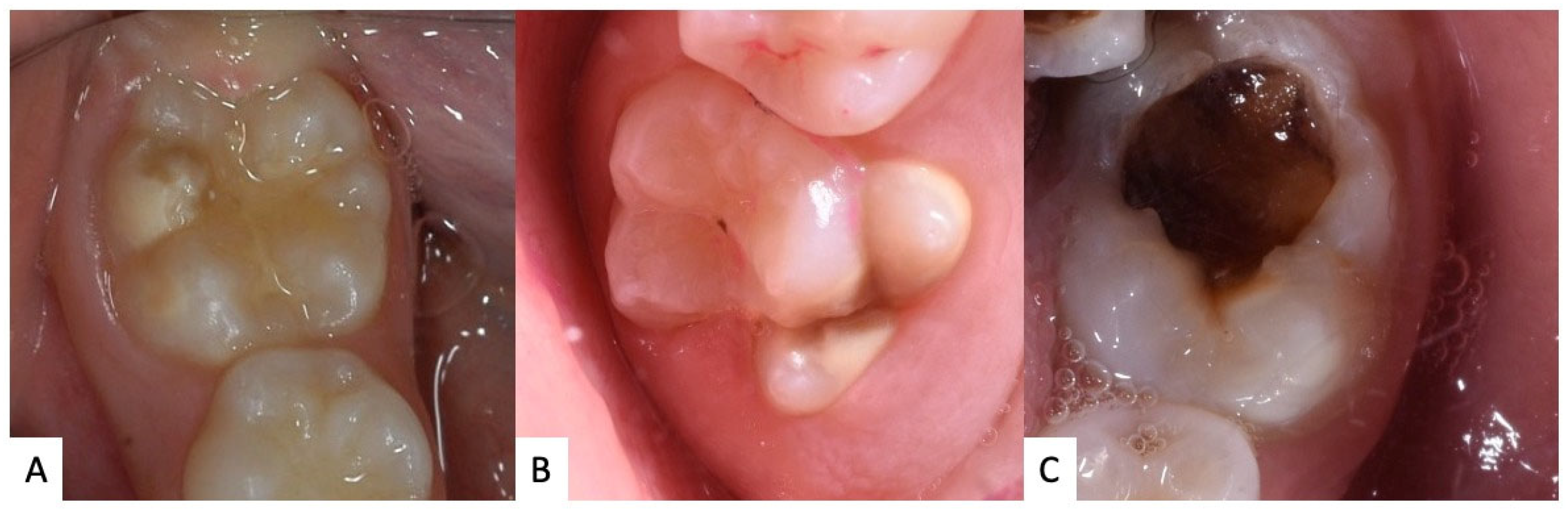
- ICDAS I: This grade refers to the earliest visible changes in enamel translucency after prolonged air drying. For MIH, it can manifest as slight changes in enamel opacity, indicating hypomineralization without any structural loss.
- ICDAS II: At this stage, distinct visual changes in enamel are evident even without air drying. The enamel might show white or yellowish opacities indicating a more pronounced hypomineralization, but there is still no cavitation or loss of enamel structure.
2. Materials and Methods
Quality Assessment
3. Results
Quality Assessment and Risk of Bias
4. Discussion
4.1. Therapy for Dental Hypersensitivity and Pulpotomy
4.2. Dental Sealants and Application of Fluoride Paints and Casein Products
4.3. Direct and Indirect Resin and Composite Restorations
4.4. Hydroxyapatite
4.5. Low-Level Laser Therapy
4.6. Fluorinated Silver Diamine Therapy
4.7. Biomimetic Mineralization
5. Limitations
- Limitation of the availability of long-term studies: Many of the studies included in the systematic review have a limited time duration (often 24 months or less). This limitation prevents long-term evaluation of the efficacy and stability of treatments for MIH, which may manifest different results over the years.
- Heterogeneity of treatment protocols: The studies included in the review use a variety of treatment protocols, including different product formulations and procedures. This heterogeneity may make it difficult to directly compare results between studies and determine the most effective treatment.
- Small sample of patients: Some studies involved a small number of participants, which may limit the ability to generalize results to a larger population of patients with MIH.
- Lack of standardization of assessment parameters: Studies have used a variety of assessment parameters, such as different caries indices or tooth sensitivity scales. The lack of standardization could complicate direct comparison of results between studies.
- Lack of long-term follow-up: some studies may not have provided long-term follow-up of treated patients, limiting understanding of the long-term effectiveness of treatments.
6. Conclusions
Author Contributions
Funding
Data Availability Statement
Conflicts of Interest
Abbreviations
| CaGP | calcium glycerophosphate |
| CPP-ACFP | casein phosphopeptide amorphous calcium fluoride phosphate |
| CPP-ACP | casein phosphopeptide-amorphous calcium phosphate |
| CS | case series |
| DCRR | direct composite resin restoration |
| DED | developmental enamel defects |
| EDI | enamel defects index |
| FPM | first permanent molars |
| FV | fluoride varnish |
| FV + etch | fluoride varnish with phosphoric acid pre-treatment |
| GH | glass hybrid |
| GIC | glass ionomer cement |
| ICDAS | International Caries Detection and Assessment System |
| ICRR | Indirect Composite Resin Restoration |
| LF | laser fluorescence |
| LLLT | low-level laser therapy |
| MIH | molar incisor hypomineralization |
| PEB | post-eruptive breakdown |
| PFMs | permanent first molars |
| QLF | quantitative light-induced fluorescence |
| RCCT | Randomized Controlled Clinical Trial |
| RCT | randomized control trial |
| RI | resin infiltration |
| SAI | Schiff Air Index |
| SDF | silver diamine fluoride |
| SEA | selfetching adhesive |
| SFRC | short-fiber-reinforced composite |
| SMART | silver-modified atraumatic restorative treatment |
| TEA | total-etching adhesive |
| TNI | Treatment Need Index |
References
- Lygidakis, N.A.; Garot, E.; Somani, C.; Taylor, G.D.; Rouas, P.; Wong, F.S.L. Best Clinical Practice Guidance for Clinicians Dealing with Children Presenting with Molar-Incisor-Hypomineralisation (MIH): An Updated European Academy of Paediatric Dentistry Policy Document. Eur. Arch. Paediatr. Dent. Off. J. Eur. Acad. Paediatr. Dent. 2022, 23, 3–21. [Google Scholar] [CrossRef]
- Weerheijm, K.L.; Duggal, M.; Mejàre, I.; Papagiannoulis, L.; Koch, G.; Martens, L.C.; Hallonsten, A.-L. Judgement Criteria for Molar Incisor Hypomineralisation (MIH) in Epidemiologic Studies: A Summary of the European Meeting on MIH Held in Athens, 2003. Eur. J. Paediatr. Dent. 2003, 4, 110–113. [Google Scholar] [PubMed]
- Sezer, B.; Kargul, B. Effect of Remineralization Agents on Molar-Incisor Hypomineralization-Affected Incisors: A Randomized Controlled Clinical Trial. J. Clin. Pediatr. Dent. 2022, 46, 192–198. [Google Scholar] [CrossRef] [PubMed]
- Krämer, N.; Bui Khac, N.-H.N.; Lücker, S.; Stachniss, V.; Frankenberger, R. Bonding Strategies for MIH-Affected Enamel and Dentin. Dent. Mater. Off. Publ. Acad. Dent. Mater. 2018, 34, 331–340. [Google Scholar] [CrossRef] [PubMed]
- Inchingolo, A.D.; Malcangi, G.; Semjonova, A.; Inchingolo, A.M.; Patano, A.; Coloccia, G.; Ceci, S.; Marinelli, G.; Di Pede, C.; Ciocia, A.M.; et al. Oralbiotica/Oralbiotics: The Impact of Oral Microbiota on Dental Health and Demineralization: A Systematic Review of the Literature. Children 2022, 9, 1014. [Google Scholar] [CrossRef] [PubMed]
- Marinelli, G.; Inchingolo, A.D.; Inchingolo, A.M.; Malcangi, G.; Limongelli, L.; Montenegro, V.; Coloccia, G.; Laudadio, C.; Patano, A.; Inchingolo, F.; et al. White Spot Lesions in Orthodontics: Prevention and Treatment. A Descriptive Review. J. Biol. Regul. Homeost. Agents 2021, 35, 227–240. [Google Scholar] [CrossRef] [PubMed]
- Minervini, G.; Lucchese, A.; Perillo, L.; Serpico, R.; Minervini, G. Unilateral Superior Condylar Neck Fracture with Dislocation in a Child Treated with an Acrylic Splint in the Upper Arch for Functional Repositioning of the Mandible. CRANIO® 2017, 35, 337–341. [Google Scholar] [CrossRef]
- Dulla, J.A.; Meyer-Lueckel, H. Molar-Incisor Hypomineralisation: Narrative Review on Etiology, Epidemiology, Diagnostics and Treatment Decision. Swiss Dent. J. 2021, 131. Epub ahead of print. [Google Scholar]
- Hajbaoui, C.; Sakout, M. Hypomineralization of Molar Incisors: A Challenge for the Pedodontist (About a Clinical Case). Open Access Libr. J. 2023, 10, e10321. [Google Scholar] [CrossRef]
- Mazur, M.; Corridore, D.; Ndokaj, A.; Ardan, R.; Vozza, I.; Babajko, S.; Jedeon, K. MIH and Dental Caries in Children: A Systematic Review and Meta-Analysis. Healthcare Basel Switz. 2023, 11, 1795. [Google Scholar] [CrossRef]
- Patano, A.; Malcangi, G.; Sardano, R.; Mastrodonato, A.; Garofoli, G.; Mancini, A.; Inchingolo, A.D.; Di Venere, D.; Inchingolo, F.; Dipalma, G.; et al. White Spots: Prevention in Orthodontics-Systematic Review of the Literature. Int. J. Environ. Res. Public Health 2023, 20, 5608. [Google Scholar] [CrossRef] [PubMed]
- Fanali, S.; Tumedei, M.; Pignatelli, P.; Inchingolo, F.; Pennacchietti, P.; Pace, G.; Piattelli, A. Implant Primary Stability with an Osteocondensation Drilling Protocol in Different Density Polyurethane Blocks. Comput. Methods Biomech. Biomed. Engin 2021, 24, 14–20. [Google Scholar] [CrossRef] [PubMed]
- Scorzetti, L.; Marcattili, D.; Pasini, M.; Mattei, A.; Marchetti, E.; Marzo, G. Association between Obesity and Periodontal Disease in Children. Eur. J. Paediatr. Dent. 2013, 14, 181–184. [Google Scholar] [PubMed]
- Pasini, M.; Giuca, M.R.; Ligori, S.; Mummolo, S.; Fiasca, F.; Marzo, G.; Quinzi, V. Association between Anatomical Variations and Maxillary Canine Impaction: A Retrospective Study in Orthodontics. Appl. Sci. 2020, 10, 5638. [Google Scholar] [CrossRef]
- Tecco, S.; Mummolo, S.; Marchetti, E.; Tetè, S.; Campanella, V.; Gatto, R.; Gallusi, G.; Tagliabue, A.; Marzo, G. SEMG Activity of Masticatory, Neck, and Trunk Muscles during the Treatment of Scoliosis with Functional Braces. A Longitudinal Controlled Study. J. Electromyogr. Kinesiol. 2011, 21, 885–892. [Google Scholar] [CrossRef] [PubMed]
- Costa-Silva, C.M.D.; Ambrosano, G.M.B.; Jeremias, F.; Souza, J.F.D.; Mialhe, F.L. Increase in Severity of Molar-Incisor Hypomineralization and Its Relationship with the Colour of Enamel Opacity: A Prospective Cohort Study. Int. J. Paediatr. Dent. 2011, 21, 333. [Google Scholar] [CrossRef] [PubMed]
- Inchingolo, F.; Tatullo, M.; Pacifici, A.; Gargari, M.; Inchingolo, A.D.; Inchingolo, A.M.; Dipalma, G.; Marrelli, M.; Abenavoli, F.M.; Pacifici, L. Use of Dermal-Fat Grafts in the Post-Oncological Reconstructive Surgery of Atrophies in the Zygomatic Region: Clinical Evaluations in the Patients Undergone to Previous Radiation Therapy. Head Face Med. 2012, 8, 33. [Google Scholar] [CrossRef] [PubMed]
- Rodd, H.D.; Graham, A.; Tajmehr, N.; Timms, L.; Hasmun, N. Molar Incisor Hypomineralisation: Current Knowledge and Practice. Int. Dent. J. 2021, 71, 285–291. [Google Scholar] [CrossRef] [PubMed]
- Inchingolo, F.; Tatullo, M.; Abenavoli, F.M.; Marrelli, M.; Inchingolo, A.D.; Villabruna, B.; Inchingolo, A.M.; Dipalma, G. Severe Anisocoria after Oral Surgery under General Anesthesia. Int. J. Med. Sci. 2010, 7, 314–318. [Google Scholar] [CrossRef]
- Malcangi, G.; Patano, A.; Morolla, R.; De Santis, M.; Piras, F.; Settanni, V.; Mancini, A.; Di Venere, D.; Inchingolo, F.; Inchingolo, A.D.; et al. Analysis of Dental Enamel Remineralization: A Systematic Review of Technique Comparisons. Bioengineering 2023, 10, 472. [Google Scholar] [CrossRef]
- Rapone, B.; Inchingolo, A.D.; Trasarti, S.; Ferrara, E.; Qorri, E.; Mancini, A.; Montemurro, N.; Scarano, A.; Inchingolo, A.M.; Dipalma, G.; et al. Long-Term Outcomes of Implants Placed in Maxillary Sinus Floor Augmentation with Porous Fluorohydroxyapatite (Algipore® FRIOS®) in Comparison with Anorganic Bovine Bone (Bio-Oss®) and Platelet Rich Plasma (PRP): A Retrospective Study. J. Clin. Med. 2022, 11, 2491. [Google Scholar] [CrossRef] [PubMed]
- Bavetta, G.; Bavetta, G.; Randazzo, V.; Cavataio, A.; Paderni, C.; Grassia, V.; Dipalma, G.; Gargiulo Isacco, C.; Scarano, A.; De Vito, D.; et al. A Retrospective Study on Insertion Torque and Implant Stability Quotient (ISQ) as Stability Parameters for Immediate Loading of Implants in Fresh Extraction Sockets. Biomed. Res. Int. 2019, 2019, 1–10. [Google Scholar] [CrossRef] [PubMed]
- Dipalma, G.; Inchingolo, A.D.; Inchingolo, F.; Charitos, I.A.; Di Cosola, M.; Cazzolla, A.P. Focus on the Cariogenic Process: Microbial and Biochemical Interactions with Teeth and Oral Environment. J. Biol. Regul. Homeost. Agents 2021, 35. [Google Scholar] [CrossRef]
- Steffen, R.; Krämer, N.; Bekes, K. The Würzburg MIH Concept: The MIH Treatment Need Index (MIH TNI): A New Index to Assess and Plan Treatment in Patients with Molar Incisior Hypomineralisation (MIH). Eur. Arch. Paediatr. Dent. Off. J. Eur. Acad. Paediatr. Dent. 2017, 18, 355–361. [Google Scholar] [CrossRef] [PubMed]
- Ghanim, A.; Manton, D.; Mariño, R.; Morgan, M.; Bailey, D. Prevalence of Demarcated Hypomineralisation Defects in Second Primary Molars in Iraqi Children. Int. J. Paediatr. Dent. 2013, 23, 48–55. [Google Scholar] [CrossRef] [PubMed]
- Inchingolo, A.M.; Malcangi, G.; Ferrante, L.; Del Vecchio, G.; Viapiano, F.; Mancini, A.; Inchingolo, F.; Inchingolo, A.D.; Di Venere, D.; Dipalma, G.; et al. Damage from Carbonated Soft Drinks on Enamel: A Systematic Review. Nutrients 2023, 15, 1785. [Google Scholar] [CrossRef] [PubMed]
- Minetti, E.; Dipalma, G.; Palermo, A.; Patano, A.; Inchingolo, A.D.; Inchingolo, A.M.; Inchingolo, F. Biomolecular Mechanisms and Case Series Study of Socket Preservation with Tooth Grafts. J. Clin. Med. 2023, 12, 5611. [Google Scholar] [CrossRef] [PubMed]
- Inchingolo, A.M.; Patano, A.; Di Pede, C.; Inchingolo, A.D.; Palmieri, G.; de Ruvo, E.; Campanelli, M.; Buongiorno, S.; Carpentiere, V.; Piras, F.; et al. Autologous Tooth Graft: Innovative Biomaterial for Bone Regeneration. Tooth Transformer® and the Role of Microbiota in Regenerative Dentistry. A Systematic Review. J. Funct. Biomater. 2023, 14, 132. [Google Scholar] [CrossRef] [PubMed]
- Singh, S.K.; Goyal, A.; Gauba, K.; Bhandari, S.; Kaur, S. Full Coverage Crowns for Rehabilitation of MIH Affected Molars: 24 Month Randomized Clinical Trial. Eur. Arch. Paediatr. Dent. Off. J. Eur. Acad. Paediatr. Dent. 2022, 23, 147–158. [Google Scholar] [CrossRef]
- Baroni, C.; Marchionni, S. MIH Supplementation Strategies: Prospective Clinical and Laboratory Trial. J. Dent. Res. 2011, 90, 371–376. [Google Scholar] [CrossRef]
- Ilczuk-Rypuła, D.; Zalewska, M.; Pietraszewska, D.; Dybek, A.; Nitecka-Buchta, A.; Postek-Stefańska, L. Prevalence and Possible Etiological Factors of Molar-Incisor Hypomineralization (MIH) in Population of Silesian Children in Poland: A Pilot Retrospective Cohort Study. Int. J. Environ. Res. Public Health 2022, 19, 8697. [Google Scholar] [CrossRef] [PubMed]
- Martignon, S.; Bartlett, D.; Manton, D.J.; Martinez-Mier, E.A.; Splieth, C.; Avila, V. Epidemiology of Erosive Tooth Wear, Dental Fluorosis and Molar Incisor Hypomineralization in the American Continent. Caries Res. 2021, 55, 1–11. [Google Scholar] [CrossRef] [PubMed]
- Weerheijm, K.L.; Jälevik, B.; Alaluusua, S. Molar-Incisor Hypomineralisation. Caries Res. 2001, 35, 390–391. [Google Scholar] [CrossRef] [PubMed]
- Kaminski, V.d.L.; Michita, R.T.; Ellwanger, J.H.; Veit, T.D.; Schuch, J.B.; dos Riesgo, R.S.; Roman, T.; Chies, J.A.B. Exploring Potential Impacts of Pregnancy-Related Maternal Immune Activation and Extracellular Vesicles on Immune Alterations Observed in Autism Spectrum Disorder. Heliyon 2023, 9, e15593. [Google Scholar] [CrossRef] [PubMed]
- Kühnisch, J.; Heitmüller, D.; Thiering, E.; Brockow, I.; Hoffmann, U.; Neumann, C.; Heinrich-Weltzien, R.; Bauer, C.-P.; Koletzko, S.; Garcia-Godoy, F.; et al. Proportion and Extent of Manifestation of Molar-Incisor-Hypomineralizations According to Different Phenotypes. J. Public Health Dent. 2012, 74, 42–49. [Google Scholar] [CrossRef] [PubMed]
- Minetti, E.; Palermo, A.; Inchingolo, A.D.; Patano, A.; Viapiano, F.; Ciocia, A.M.; de Ruvo, E.; Mancini, A.; Inchingolo, F.; Sauro, S.; et al. Autologous Tooth for Bone Regeneration: Dimensional Examination of Tooth Transformer® Granules. Eur. Rev. Med. Pharmacol. Sci. 2023, 27, 5421–5430. [Google Scholar] [CrossRef] [PubMed]
- Minetti, E.; Palermo, A.; Malcangi, G.; Inchingolo, A.D.; Mancini, A.; Dipalma, G.; Inchingolo, F.; Patano, A.; Inchingolo, A.M. Dentin, Dentin Graft, and Bone Graft: Microscopic and Spectroscopic Analysis. J. Funct. Biomater. 2023, 14, 272. [Google Scholar] [CrossRef] [PubMed]
- Reddy, L.K.V.; Madithati, P.; Narapureddy, B.R.; Ravula, S.R.; Vaddamanu, S.K.; Alhamoudi, F.H.; Minervini, G.; Chaturvedi, S. Perception about Health Applications (Apps) in Smartphones towards Telemedicine during COVID-19: A Cross-Sectional Study. J. Pers. Med. 2022, 12, 1920. [Google Scholar] [CrossRef]
- Rathi, S.; Chaturvedi, S.; Abdullah, S.; Rajput, G.; Alqahtani, N.M.; Chaturvedi, M.; Gurumurthy, V.; Saini, R.; Bavabeedu, S.S.; Minervini, G. Clinical Trial to Assess Physiology and Activity of Masticatory Muscles of Complete Denture Wearer Following Vitamin D Intervention. Medicina 2023, 59, 410. [Google Scholar] [CrossRef]
- Mittal, R.; Chandak, S.; Chandwani, M.; Singh, P.; Pimpale, J. Assessment of Association between Molar Incisor Hypomineralization and Hypomineralized Second Primary Molar. J. Int. Soc. Prev. Community Dent. 2016, 6, 34–39. [Google Scholar] [CrossRef]
- Somani, C.; Taylor, G.D.; Garot, E.; Rouas, P.; Lygidakis, N.A.; Wong, F.S.L. An Update of Treatment Modalities in Children and Adolescents with Teeth Affected by Molar Incisor Hypomineralisation (MIH): A Systematic Review. Eur. Arch. Paediatr. Dent. Off. J. Eur. Acad. Paediatr. Dent. 2022, 23, 39–64. [Google Scholar] [CrossRef] [PubMed]
- Pitts, N.B.; Ekstrand, K.R.; ICDAS Foundation International Caries Detection and Assessment System (ICDAS) and Its International Caries Classification and Management System (ICCMS). Methods for Staging of the Caries Process and Enabling Dentists to Manage Caries. Community Dent. Oral Epidemiol. 2013, 41, e41–e52. [Google Scholar] [CrossRef] [PubMed]
- Abanto Alvarez, J.; Rezende, K.M.P.C.; Marocho, S.M.S.; Alves, F.B.T.; Celiberti, P.; Ciamponi, A.L. Dental Fluorosis: Exposure, Prevention and Management. Med. Oral Patol. Oral Cirugia Bucal 2009, 14, E103–E107. [Google Scholar]
- Almulhim, B. Molar and Incisor Hypomineralization. JNMA J. Nepal Med. Assoc. 2021, 59, 295–302. [Google Scholar] [CrossRef] [PubMed]
- Hazballa, D.; Inchingolo, A.D.; Inchingolo, A.M.; Malcangi, G.; Santacroce, L.; Minetti, E.; Di Venere, D.; Limongelli, L.; Bordea, I.R.; Scarano, A.; et al. The Effectiveness of Autologous Demineralized Tooth Graft for the Bone Ridge Preservation: A Systematic Review of the Literature. J. Biol. Regul. Homeost. Agents 2021, 35, 283–294. [Google Scholar] [CrossRef] [PubMed]
- Ekstrand, K.R.; Gimenez, T.; Ferreira, F.R.; Mendes, F.M.; Braga, M.M. The International Caries Detection and Assessment System—ICDAS: A Systematic Review. Caries Res. 2018, 52, 406–419. [Google Scholar] [CrossRef] [PubMed]
- Savadori, P.; Dalfino, S.; Piazzoni, M.; Inchingolo, F.; Del Fabbro, M.; Tartaglia, G.M.; Giardino, L. Arduino Automated Microwave Oven for Tissue Decalcification. Bioengineering 2023, 10, 79. [Google Scholar] [CrossRef]
- Kharouf, N.; Sauro, S.; Eid, A.; Zghal, J.; Jmal, H.; Seck, A.; Macaluso, V.; Addiego, F.; Inchingolo, F.; Affolter-Zbaraszczuk, C.; et al. Physicochemical and Mechanical Properties of Premixed Calcium Silicate and Resin Sealers. J. Funct. Biomater. 2022, 14, 9. [Google Scholar] [CrossRef]
- Kharouf, N.; Sauro, S.; Hardan, L.; Jmal, H.; Bachagha, G.; Macaluso, V.; Addiego, F.; Inchingolo, F.; Haikel, Y.; Mancino, D. Compressive Strength and Porosity Evaluation of Innovative Bidirectional Spiral Winding Fiber Reinforced Composites. J. Clin. Med. 2022, 11, 6754. [Google Scholar] [CrossRef]
- Mast, P.; Rodrigueztapia, M.T.; Daeniker, L.; Krejci, I. Understanding MIH: Definition, Epidemiology, Differential Diagnosis and New Treatment Guidelines. Eur. J. Paediatr. Dent. 2013, 14, 204–208. [Google Scholar]
- Alzahrani, A.Y.; Alamoudi, N.M.H.; El Meligy, O.A.E.S. Contemporary Understanding of the Etiology and Management of Molar Incisor Hypomineralization: A Literature Review. Dent. J. 2023, 11, 157. [Google Scholar] [CrossRef] [PubMed]
- Allazzam, S.M.; Alaki, S.M.; El Meligy, O.A.S. Molar Incisor Hypomineralization, Prevalence, and Etiology. Int. J. Dent. 2014, 2014, 234508. [Google Scholar] [CrossRef] [PubMed]
- Campanella, V.; Gallusi, G.; Nardi, R.; Mea, A.; Di Taranto, V.; Montemurro, E.; Marzo, G.; Libonati, A. Dentinal Substrate Variability and Bonding Effectiveness: SEM Investigation. J. Biol. Regul. Homeost. Agents 2020, 34, 49–54. [Google Scholar] [PubMed]
- Minervini, G.; Franco, R.; Marrapodi, M.M.; Fiorillo, L.; Cervino, G.; Cicciù, M. Economic Inequalities and Temporomandibular Disorders: A Systematic Review with Meta-Analysis. J. Oral Rehabil. 2023, 50, 715–723. [Google Scholar] [CrossRef] [PubMed]
- Elhennawy, K.; Schwendicke, F. Managing Molar-Incisor Hypomineralization: A Systematic Review. J. Dent. 2016, 55, 16–24. [Google Scholar] [CrossRef] [PubMed]
- Mathu-Muju, K.; Wright, J.T. Diagnosis and Treatment of Molar Incisor Hypomineralization. Compend. Contin. Educ. Dent. 2006, 27, 604–610. [Google Scholar] [PubMed]
- Gatón-Hernandéz, P.; Serrano, C.R.; da Silva, L.A.B.; de Castañeda, E.R.; da Silva, R.A.B.; Pucinelli, C.M.; Manton, D.; Ustrell-Torrent, J.M.; Nelson-Filho, P. Minimally Interventive Restorative Care of Teeth with Molar Incisor Hypomineralization and Open Apex-A 24-Month Longitudinal Study. Int. J. Paediatr. Dent. 2020, 30, 4–10. [Google Scholar] [CrossRef]
- Paglia, L. Molar Incisor Hypomineralization: Paediatricians Should Be Involved as Well! Eur. J. Paediatr. Dent. 2018, 19, 173. [Google Scholar] [CrossRef]
- Khazaei, Y.; Harris, C.P.; Heinrich, J.; Standl, M.; Kühnisch, J. Association Study on Nutrition in the First Year of Life and Molar-Incisor Hypomineralization (MIH)-Results from the GINIplus and LISA Birth Cohort Studies. Int. J. Environ. Res. Public Health 2021, 18, 11411. [Google Scholar] [CrossRef]
- Kalkani, M.; Balmer, R.C.; Homer, R.M.; Day, P.F.; Duggal, M.S. Molar Incisor Hypomineralisation: Experience and Perceived Challenges among Dentists Specialising in Paediatric Dentistry and a Group of General Dental Practitioners in the UK. Eur. Arch. Paediatr. Dent. Off. J. Eur. Acad. Paediatr. Dent. 2016, 17, 81–88. [Google Scholar] [CrossRef]
- Altan, H.; Yilmaz, R.E. Clinical Evaluation of Resin Infiltration Treatment Masking Effect on Hypomineralised Enamel Surfaces. BMC Oral Health 2023, 23, 444. [Google Scholar] [CrossRef] [PubMed]
- Cavalheiro, J.P.; Souza, M.I.A.V.; Duque, C.C.O.; Bussaneli, D.G.; Zuanon, Â.C.C.; Jeremias, F. Esthetic Rehabilitation of Anterior Teeth with Molar-Incisor Hypomineralization and Dental Fluorosis: A Case Report. Gen. Dent. 2020, 68, 34–39. [Google Scholar] [PubMed]
- Rao, M.H.; Aluru, S.C.; Jayam, C.; Bandlapalli, A.; Patel, N. Molar Incisor Hypomineralization. J. Contemp. Dent. Pract. 2016, 17, 609–613. [Google Scholar] [PubMed]
- Fragelli, C.M.B.; Souza, J.F.d.; Jeremias, F.; de Cássia Loiola Cordeiro, R.; Santos-Pinto, L. Molar Incisor Hypomineralization (MIH): Conservative Treatment Management to Restore Affected Teeth. Braz. Oral Res. 2015, 29, 1–7. [Google Scholar] [CrossRef] [PubMed]
- Michaelis, L.; Ebel, M.; Bekes, K.; Klode, C.; Hirsch, C. Influence of Caries and Molar Incisor Hypomineralization on Oral Health-Related Quality of Life in Children. Clin. Oral Investig. 2021, 25, 5205–5216. [Google Scholar] [CrossRef] [PubMed]
- Goel, N.; Jha, S.; Bhol, S.; Dash, B.P.; Sarangal, H.; Namdev, R. Molar Incisor Hypomineralization: Clinical Characteristics with Special Emphasis on Etiological Criteria. J. Pharm. Bioallied Sci. 2021, 13, S651–S655. [Google Scholar] [CrossRef] [PubMed]
- Elfrink, M.E.C.; Schuller, A.A.; Weerheijm, K.L.; Veerkamp, J.S.J. Hypomineralized Second Primary Molars: Prevalence Data in Dutch 5-Year-Olds. Caries Res. 2008, 42, 282–285. [Google Scholar] [CrossRef] [PubMed]
- Almuallem, Z.; Busuttil-Naudi, A. Molar Incisor Hypomineralisation (MIH)—An Overview. Br. Dent. J. 2018, 225, 601–609. [Google Scholar] [CrossRef]
- Jimenez, D.F. 14—Multiple Suture Nonsyndromic Craniosynostosis. In Endoscopic Craniosynostosis Surgery; Jimenez, D.F., Ed.; Elsevier: Philadelphia, PA, USA, 2022; pp. 188–216. ISBN 978-0-323-72175-2. [Google Scholar]
- De Souza, J.F.; Fragelli, C.B.; Jeremias, F.; Paschoal, M.A.B.; Santos-Pinto, L.; de Cássia Loiola Cordeiro, R. Eighteen-Month Clinical Performance of Composite Resin Restorations with Two Different Adhesive Systems for Molars Affected by Molar Incisor Hypomineralization. Clin. Oral Investig. 2017, 21, 1725–1733. [Google Scholar] [CrossRef]
- Restrepo, M.; Jeremias, F.; Santos-Pinto, L.; Cordeiro, R.C.; Zuanon, A.C. Effect of Fluoride Varnish on Enamel Remineralization in Anterior Teeth with Molar Incisor Hypomineralization. J. Clin. Pediatr. Dent. 2016, 40, 207–210. [Google Scholar] [CrossRef]
- Biondi, A.M.; Cortese, S.G.; Babino, L.; Fridman, D.E. Comparison of Mineral Density in Molar Incisor Hypomineralization Applying Fluoride Varnishes and Casein Phosphopeptide-Amorphous Calcium Phosphate. Acta Odontol. Latinoam. AOL 2017, 30, 118–123. [Google Scholar] [PubMed]
- Sönmez, H.; Saat, S. A Clinical Evaluation of Deproteinization and Different Cavity Designs on Resin Restoration Performance in MIH-Affected Molars: Two-Year Results. J. Clin. Pediatr. Dent. 2017, 41, 336–342. [Google Scholar] [CrossRef] [PubMed]
- Muniz, R.S.C.; Carvalho, C.N.; Aranha, A.C.C.; Dias, F.M.C.S.; Ferreira, M.C. Efficacy of Low-Level Laser Therapy Associated with Fluoride Therapy for the Desensitisation of Molar-Incisor Hypomineralisation: Randomised Clinical Trial. Int. J. Paediatr. Dent. 2020, 30, 323–333. [Google Scholar] [CrossRef] [PubMed]
- Linner, T.; Khazaei, Y.; Bücher, K.; Pfisterer, J.; Hickel, R.; Kühnisch, J. Comparison of Four Different Treatment Strategies in Teeth with Molar-Incisor Hypomineralization-Related Enamel Breakdown—A Retrospective Cohort Study. Int. J. Paediatr. Dent. 2020, 30, 597–606. [Google Scholar] [CrossRef] [PubMed]
- Murri Dello Diago, A.; Cadenaro, M.; Ricchiuto, R.; Banchelli, F.; Spinas, E.; Checchi, V.; Giannetti, L. Hypersensitivity in Molar Incisor Hypomineralization: Superficial Infiltration Treatment. Appl. Sci. 2021, 11, 1823. [Google Scholar] [CrossRef]
- Nogueira, V.K.C.; Mendes Soares, I.P.; Fragelli, C.M.B.; Boldieri, T.; Manton, D.J.; Bussaneli, D.G.; Cordeiro, R. de C.L. Structural Integrity of MIH-Affected Teeth after Treatment with Fluoride Varnish or Resin Infiltration: An 18-Month Randomized Clinical Trial. J. Dent. 2021, 105, 103570. [Google Scholar] [CrossRef] [PubMed]
- Rolim, T.Z.C.; da Costa, T.R.F.; Wambier, L.M.; Chibinski, A.C.; Wambier, D.S.; da Silva Assunção, L.R.; de Menezes, J.V.B.N.; Feltrin-Souza, J. Adhesive Restoration of Molars Affected by Molar Incisor Hypomineralization: A Randomized Clinical Trial. Clin. Oral Investig. 2021, 25, 1513–1524. [Google Scholar] [CrossRef]
- Sobral, A.P.T.; Santos, E.M.; Aranha, A.C.; Soares, P.V.; Moriyama, C.M.; Gonçalves, M.L.L.; Ribeiro, R.A.; Motta, L.J.; Horliana, A.C.R.T.; Fernandes, K.P.S.; et al. The Control of Pain Due to Dentin Hypersensitivity in Individuals with Molar-Incisor Hypomineralisation: A Protocol for a Randomised Controlled Clinical Trial. BMJ Open 2021, 11, e044653. [Google Scholar] [CrossRef]
- Al-Batayneh, O.B.; Abdelghani, I.M. Outcome of Vital Pulp Therapy in Deeply Carious Molars Affected with Molar Incisor Hypomineralisation (MIH) Defects: A Randomized Clinical Trial. Eur. Arch. Paediatr. Dent. Off. J. Eur. Acad. Paediatr. Dent. 2022, 23, 587–599. [Google Scholar] [CrossRef]
- Ballikaya, E.; Ünverdi, G.E.; Cehreli, Z.C. Management of Initial Carious Lesions of Hypomineralized Molars (MIH) with Silver Diamine Fluoride or Silver-Modified Atraumatic Restorative Treatment (SMART): 1-Year Results of a Prospective, Randomized Clinical Trial. Clin. Oral Investig. 2022, 26, 2197–2205. [Google Scholar] [CrossRef]
- Butera, A.; Pascadopoli, M.; Pellegrini, M.; Trapani, B.; Gallo, S.; Radu, M.; Scribante, A. Biomimetic Hydroxyapatite Paste for Molar-Incisor Hypomineralization: A Randomized Clinical Trial. Oral Dis. 2022, 29, 2789–2798. [Google Scholar] [CrossRef] [PubMed]
- Luppieri, V.; Porrelli, D.; Ronfani, L.; Turco, G.; Cadenaro, M. A Resin Infiltration Technique for Molar Hypomineralization Treatment: A Preliminary Study in a Pediatric Population. Pediatr. Dent. 2022, 44, 322–325. [Google Scholar] [PubMed]
- Mendonça, F.L.; Regnault, F.G.D.C.; Di Leone, C.C.L.; Grizzo, I.C.; Bisaia, A.; Fragelli, C.; Oliveira, T.M.; Magalhães, A.C.; Rios, D. Sensitivity Treatments for Teeth with Molar Incisor Hypomineralization: Protocol for a Randomized Controlled Trial. JMIR Res. Protoc. 2022, 11, e27843. [Google Scholar] [CrossRef] [PubMed]
- Olgen, I.C.; Sonmez, H.; Bezgin, T. Effects of Different Remineralization Agents on MIH Defects: A Randomized Clinical Study. Clin. Oral Investig. 2022, 26, 3227–3238. [Google Scholar] [CrossRef] [PubMed]
- Özgür, B.; Kargın, S.T.; Ölmez, M.S. Clinical Evaluation of Giomer- and Resin-Based Fissure Sealants on Permanent Molars Affected by Molar-Incisor Hypomineralization: A Randomized Clinical Trial. BMC Oral Health 2022, 22, 275. [Google Scholar] [CrossRef] [PubMed]
- Vicioni-Marques, F.; de Paula-Silva, F.W.G.; Carvalho, M.R.; de Queiroz, A.M.; de Freitas, O.; Duarte, M.P.F.; Manton, D.J.; de Carvalho, F.K. Preemptive Analgesia with Ibuprofen Increases Anesthetic Efficacy in Children with Severe Molar: A Triple-Blind Randomized Clinical Trial. J. Appl. Oral Sci. Rev. FOB 2022, 30, e20210538. [Google Scholar] [CrossRef] [PubMed]
- Fossati, A.L.; Sobral, A.P.T.; Hermida Bruno, M.L.L.; Viarengo, N.O.; Sertaje, M.R.F.; Santos, E.M.; Gonçalves, M.L.L.; Ferrari, R.A.M.; Fernandes, K.P.S.; Horliana, A.C.R.T.; et al. Photobiomodulation and Glass Ionomer Sealant as Complementary Treatment for Hypersensitivity in Molar Incisor Hypomineralisation in Children: Protocol for a Blinded Randomised Clinical Trial. BMJ Open 2023, 13, e068102. [Google Scholar] [CrossRef]
- Hakmi, A.; Dashash, M. Direct or Indirect Composite for Restoring Permanent First Molars Affected by Molar Incisor Hypomineralisation (MIH): A Randomized Clinical Controlled Trial. BDJ Open 2023, 9, 37. [Google Scholar] [CrossRef]
- Kaya, R.; Yavuz, B.Ş.E.; Dokumacıgil, N.K.; Kargül, B. A Randomized Clinical Trial of Short Fiber Reinforced Composite and Glass Hybrid Restoration for Molars Affected by Molar Hypomineralization. Pediatr. Dent. 2023, 45, 292–300. [Google Scholar]
- Bakkal, M.; Abbasoglu, Z.; Kargul, B. The Effect of Casein Phosphopeptide-Amorphous Calcium Phosphate on Molar-Incisor Hypomineralisation: A Pilot Study. Oral Health Prev. Dent. 2017, 15, 163–167. [Google Scholar] [CrossRef]
- Minervini, G.; Franco, R.; Marrapodi, M.M.; Ronsivalle, V.; Shapira, I.; Cicciù, M. Prevalence of Temporomandibular Disorders in Subjects Affected by Parkinson Disease: A Systematic Review and Metanalysis. J. Oral Rehabil. 2023, 50, 877–885. [Google Scholar] [CrossRef] [PubMed]
- Minervini, G.; Franco, R.; Marrapodi, M.M.; Fiorillo, L.; Cervino, G.; Cicciù, M. Prevalence of Temporomandibular Disorders (TMD) in Pregnancy: A Systematic Review with Meta—Analysis. J. Oral Rehabil. 2023, 50, 627–634. [Google Scholar] [CrossRef] [PubMed]
- Inchingolo, F.; Tatullo, M.; Abenavoli, F.M.; Marrelli, M.; Inchingolo, A.D.; Inchingolo, A.M.; Dipalma, G. Non-Hodgkin Lymphoma Affecting the Tongue: Unusual Intra-Oral Location. Head Neck Oncol. 2011, 3, 1. [Google Scholar] [CrossRef] [PubMed]
- Cantore, S.; Mirgaldi, R.; Ballini, A.; Coscia, M.F.; Scacco, S.; Papa, F.; Inchingolo, F.; Dipalma, G.; De Vito, D. Cytokine Gene Polymorphisms Associate with Microbiogical Agents in Periodontal Disease: Our Experience. Int. J. Med. Sci. 2014, 11, 674–679. [Google Scholar] [CrossRef] [PubMed]
- Inchingolo, F.; Tatullo, M.; Marrelli, M.; Inchingolo, A.M.; Picciariello, V.; Inchingolo, A.D.; Dipalma, G.; Vermesan, D.; Cagiano, R. Clinical Trial with Bromelain in Third Molar Exodontia. Eur. Rev. Med. Pharmacol. Sci. 2010, 14, 771–774. [Google Scholar] [PubMed]
- Vermesan, D.; Inchingolo, F.; Patrascu, J.M.; Trocan, I.; Prejbeanu, R.; Florescu, S.; Damian, G.; Benagiano, V.; Abbinante, A.; Caprio, M.; et al. Anterior Cruciate Ligament Reconstruction and Determination of Tunnel Size and Graft Obliquity. Eur. Rev. Med. Pharmacol. Sci. 2015, 19, 357–364. [Google Scholar] [PubMed]
- Zafar, M.S.; Amin, F.; Fareed, M.A.; Ghabbani, H.; Riaz, S.; Khurshid, Z.; Kumar, N. Biomimetic Aspects of Restorative Dentistry Biomaterials. Biomimetics Basel Switz. 2020, 5, 34. [Google Scholar] [CrossRef] [PubMed]
- Shao, C.; Jin, B.; Mu, Z.; Lu, H.; Zhao, Y.; Wu, Z.; Yan, L.; Zhang, Z.; Zhou, Y.; Pan, H.; et al. Repair of Tooth Enamel by a Biomimetic Mineralization Frontier Ensuring Epitaxial Growth. Sci. Adv. 2019, 5, eaaw9569. [Google Scholar] [CrossRef]
- Seredin, P.; Goloshchapov, D.; Kashkarov, V.; Emelyanova, A.; Buylov, N.; Barkov, K.; Ippolitov, Y.; Khmelevskaia, T.; Mahdy, I.A.; Mahdy, M.A.; et al. Biomimetic Mineralization of Tooth Enamel Using Nanocrystalline Hydroxyapatite under Various Dental Surface Pretreatment Conditions. Biomimetics Basel Switz. 2022, 7, 111. [Google Scholar] [CrossRef]
- Fang, Z.; Guo, M.; Zhou, Q.; Li, Q.; Wong, H.M.; Cao, C.Y. Enamel-like Tissue Regeneration by Using Biomimetic Enamel Matrix Proteins. Int. J. Biol. Macromol. 2021, 183, 2131–2141. [Google Scholar] [CrossRef]
- Cao, C.Y.; Mei, M.L.; Li, Q.; Lo, E.C.M.; Chu, C.H. Methods for Biomimetic Mineralisation of Human Enamel: A Systematic Review. Materials 2015, 8, 2873–2886. [Google Scholar] [CrossRef]
- Liu, B.Y.; Li, X.; Wang, T.S.; Wang, T. Advances in researches on enamel biomimetic mineralization. Zhonghua Kou Qiang Yi Xue Za Zhi Zhonghua Kouqiang Yixue Zazhi Chin. J. Stomatol. 2022, 57, 307–313. [Google Scholar] [CrossRef]



| Author (Year) | Study Design | Number of Patients | Average Age | Gender | Severity of MIH | Treatment | Outcomes |
|---|---|---|---|---|---|---|---|
| Fragelli et al. (2015) [64] | RCT | 21 | 7.7 years old (ranging from 6.37 to 9.54 years old) | 12 males, 9 females | Mild, moderate, and Severe | Teeth affected by MIH were restored with glass ionomer cement (GIC). The treatment approach included conservative restoration without the complete removal of the MIH-affected area and control after 12 months | The chance of a repaired tooth remaining unaltered after a year was 78%, especially in single-surface tooth restorations. Invasive treatment should be postponed until the child is grown enough to cooperate with the therapy, which should be limited to teeth on just one surface |
| De Souza et al. (2016) [70] | RCT | 26 | 6–8 years old | 14 females, 12 males | A total of 41 PFMs were treated with direct composite resin restorations, which were randomized into two groups: self-etching adhesive (SEA) and total-etch adhesive (TEA). Control during 18 months | SEA and TEA both had acceptable clinical success rates in restoring molars affected by MIH, especially when the cavity preparation was conservative | |
| Restrepo et al. (2016) [71] | RCT | 51 | 9–12 years old | 35 males and 17 females. | Mild, moderate, and severe |
The fluoride varnish used was Duraphat®, Colgate Palmolive, Hamburg, Germany | The application of fluoride varnish on MIH lesions showed no significant changes in both mean levels of fluorescence and area of lesion over time. QLF method was used to monitor changes in fluorescence and extension of lesions. No favorable effect was observed on the remineralization of MIH lesions in anterior teeth after four applications of fluoride varnish |
| Biondi et al. (2017) [72] | RCT | 55 | 6–17 years old | n.d. | Mild to moderate, with loss of structure |
| Mineral density of 92 teeth with MIH was assessed using DIAGNOdent. Percentage of variation in the three studied products was analyzed in each group. Duraphat® showed the best results in moderate lesions, Clinpro® in mild lesions |
| Sonmez et al. (2017) [73] | RCT | 70 (126 teeth: 95 MIH PFMs; 31 caries but not MIH PFMs) | 8.88 years old | n.d. | Moderate, severe |
| Group I had a retention rate of 93.7%, Group II had a retention rate of 80.7%, Group III had a retention rate of 93.5%, and Group IV had a retention rate of 100%. Deproteinization of hypomineralized enamel was observed to improve CRR retention rates |
| Muniz et al. (2019) [74] | RCT | 66 | 8.89 years old | 31 males, 35 females | n.d. | The patients were randomly allocated to three treatment groups: (A) laser (LLLT) group: the participants in this group underwent two sessions of low-level laser therapy (LLLT) with an infrared laser diode (wavelength: 808 nm) applied to the teeth. (B) fluoride varnish (FV) group: this group received four applications of fluoride varnish (Duraphat®, 22,600 ppm F) at one-week intervals. (C) Laser + fluoride varnish (L + FV) group: this group underwent two sessions of LLLT and four applications of fluoride varnish, following the same procedures as the L and FV groups, respectively | Fluoride varnish and the combination of treatments (L + FV) had a greater desensitizing effect on teeth with MIH. Laser therapy (LLLT) demonstrated an immediate desensitizing effect, while fluoride varnish had a late-onset effect |
| Gatón-Hernandez et al. (2020) [57] | RCT | 326 patients | 6–8 years old | 172 males, 154 females | The severity of MIH was categorized as severe (with enamel breakdown and cavities) and was associated with sensitive teeth | The treatment involved minimally invasive procedures, including the selective removal of carious tissue, restoration with glass ionomer cement followed by resin composite, and preventive measures such as dietary counseling, oral hygiene instructions, plaque control, and topical fluoride application | The study measured clinical and radiographic outcomes, including success rates, the absence of sensitivity, integrity of restoration margins, absence of pathological radiographic alterations, and physiological apexogenesis |
| Linner et al. (2020) [75] | RCT | 52 | 11.2 years old | 26 males, 26 females | Different degrees | The study examined various treatments, including GIC restorations, non-invasive composite restorations, conventional composite restorations, and CAD/CAM ceramic restorations. | Success rate after 36 months: GIC restorations, 7.0%; non-invasive adhesive composite restorations, 29.9%; conventional composite restorations, 76.2%; CAD/CAM ceramic restorations, 100.0% |
| Murri Dello Diago and Patricia Gatón-Hernandez et al. (2021) [76] | RCT | 67 | 6 to 14 years old | n.d. | enamel defects of molars due to MIH, according to diagnostic criteria proposed by the European Academy of Pediatric Dentistry (EAPD) in 2010 | Surface resin infiltration using ICON | Improvement in sensitivity, plaque accumulation, and gingival inflammation after treatment |
| Nogueira et al. (2021) [77] | RCT | 51 | 8.1 years old | 25 males, 26 females | Mild | FV (fluoride varnish): four applications with a one-week interval between applications. FV + etch (fluoride varnish + phosphoric acid pre-treatment): four applications with a one-week interval between applications. RI (resin infiltration): one application | After the 18-month assessments, the frequency of failure was 17.9% for FV, 17.3% for FV + etch, and 6.10% for RI. Failures mainly occurred in molars. Carious lesion development (CL) was only associated with PEB for molars treated with FV (2 teeth; 4.4%) or FV + etch (1 tooth, 2.3%). The survival of FV and FV + etch was significantly lower compared to RI at 6 months |
| Rolim et al. (2021) [78] | RCT | 35 | 10 years old | 19 males, 16 females | Severe | The FPMs were randomized into two groups: total-etch (TE) and self-etch (SE). They were restored with a universal adhesive and bulk-fill resin composites | The study evaluated the survival rates of the restorations according to modified USPHS criteria. Dental anxiety was assessed using the Venham picture test, and dental pain was evaluated using the Faces pain scale—revised before treatment and at 1, 6, and 12 months post-treatment. Both restorative protocols had similar longevity and reduced self-reported pain and anxiety levels |
| Sobral et al. (2021) [79] | RCT | 140 | 26.5 years old | n.d. | n.d. | The text describes four treatment groups: a control group (placebo), a group using PermaSeal, a group receiving low-level laser therapy (LLL), and a group combining LLL with PermaSeal. | The primary outcome is described as the change in pain/sensitivity assessed through a visual analog scale (VAS) at different time points (1 week, 1 month, 3 months, and 6 months after treatment) |
| Al-Batayneh et al. (2022) [80] | RCT | 50 | 11 years old | 26 females, 24 males | Moderate and severe | The study evaluated the success of different vital pulp treatment (VPT) procedures, including indirect pulp treatment (IPT), partial pulpotomy (PP), and cervical pulpotomy (CP) | PT: 96% success rate after 24 months. PP: 90% success rate after 24 months. CP: 82% success rate after 24 months. There were no significant differences in success rates between these treatment groups |
| Ballikaya et al. (2022) [81] | RCT | 48 | 8.8 years old | 18 females, 30 males | Mild and moderate | The study compared two treatments for MIH-affected molars: silver diamine fluoride (SDF) application alone and silver-modified atraumatic restorative treatment (SMART). SDF was applied to one group of molars, while SMART sealants were applied to another group. SMART involved treating the carious lesion with SDF and then sealing or restoring the tooth with a glass ionomer cement | SDF and SMART sealants showed favorable short-term prevention against dental caries, while providing effective desensitization in hypomineralized molars. Marginal discoloration was noted as the most common side effect of SMART sealants due to prior SDF application. The study suggested that both SDF and SMART sealants are effective in the short term for managing enamel caries and reducing hypersensitivity in hypomineralized molars |
| Butera et al. (2022) [82] | RCT | 25 | 8.6 years old | 6 males and 19 females. | Mild | The patients were provided with a domiciliary hydroxyapatite-based paste to be applied on MIH-affected teeth. | The biomimetic zinc-hydroxyapatite-based paste showed a desensitizing effect when used to treat MIH. The paste appeared to reduce dental sensitivity and led to a slight reduction in MIH-TNI scores in teeth with mild MIH defects |
| Luppieri et al. (2022) [83] | RCT | 15 | n.d. | n.d. | Severe | The study evaluated the effects of resin infiltration (RI) technique and the changes in PFM surfaces using profilometric and scanning electron microscope (SEM) analysis at different times: baseline (T0), right after treatment (T1), one-week follow up (T2), and one-, two-, and three-month follow up (T3, T4, and T5) | The resin infiltration resulted in smoother surfaces at T1, but there was a progressive increase in superficial roughness over time. Hypersensitivity improved at T1 and remained stable over time in severe MIH cases. Resin infiltration appears promising |
| Mendonça et al. (2022) [84] | RCT | 60 | 8 years old | n.d. | Mild and moderate | Three treatment groups: control group (sodium fluoride varnish), Experimental Group I (4% titanium tetrafluoride varnish), and Experimental Group II (surface pre-reacted glass ionomer filler-containing coating resin) | The primary outcome is the level of sensitivity measured at different time points using the Wong–Baker FACES pain rating scale, Schiff Cold Air Sensitivity Scale, and FLACC (Face, Legs, Activity, Cry, Consolability) scale. Secondary outcomes include parental satisfaction and self-reported discomfort by the child |
| Olgen et al. (2022) [85] | RCT | 49 | 6–9 years old | 23 females, 26 males | Mild and moderate | Fluoride varnish group: Applied 5% sodium fluoride varnish. CPP-ACP group CPP-ACFP group Control group: Given oral hygiene training. | Mild and Moderate MIH: all remineralization agents increased remineralization rates evaluated by DIAGNOdent Severe MIH: unsuccessful |
| Özgür et al. (2022) [86] | RCT | 39 | 8.6 ± 1.4 years old | 13 females, 26 males | Mild and moderate | The treatment involved the application of two types of sealants: Group 1: resin sealant Group 2: giomer sealant | Over a 12-month trial period, conventional resin-based sealants outperformed giomer sealants that were applied with a self-etch primer. The color or extent of the MIH lesion had no influence on the survival of sealants |
| Sezer et al. (2022) [3] | RCT | 53 | 8–12 years old | 28 females, 25 males | Mild, moderate | CaGP: (R.O.C.S.® Medical Minerals Gel, Unicosmetic OU, Tallin, Estonia, includes CaGP, magnesium, and xylitol, R.O.C.S. Trading GmbH, Munich, Germany)—27 children CPP-ACFP: (10% CPP-ACP plus 0.2% NaF; GC MI Paste PlusTM, GC Europe)—16 children Control (routine dental home care with Colgate Toothpaste including 1450 ppm F, Colgate Oral Pharmaceuticals, New York, NY)—10 children | Remineralization was evaluated vis LF (DIAGNOdent™ Pen, KaVo Dental, Biberach an der Riss, Germany). Significant changes in LF scores in time or between the groups (p < 0.001). Remineralization was achieved over a three-month period in both experimental groups (p < 0.05). In the control group, remineralization was observed over time in lesions that scored less than 20 (p < 0.001), although no significant changes in lesions that scored greater than 20 over time (p > 0.05) |
| Vicioni-Marques et al. (2022) [87] | RCT | 23 | 8.4 years old | 15 males, 8 females | Moderate | The children received either ibuprofen (analgesic) or a placebo before undergoing restorative dental treatment | The study evaluated the effectiveness of preventive analgesia in alleviating hypersensitivity during and after restorative treatment of permanent molars affected by MIH with post-eruptive enamel breakdown (PEB). The outcomes included the assessment of hypersensitivity at different time points after analgesic or placebo administration |
| Fossati et al. (2023) [88] | RCT | 50 | 9 years old | n.d. | Grade 3 and grade 4 according to the MIH Treatment Need Index. | Two treatment groups are described: Group 1, which includes fluoride toothpaste, glass ionomer sealant, and simulated low-level laser (LLL), and Group 2, which includes fluoride toothpaste, glass ionomer sealant, and active LLL treatment | The outcomes to be assessed included MIH registration, Simplified Oral Hygiene Index (OHI), Cold Air Sensitivity Schiff Scale (SCASS), Visual Analog Scale (VAS) for sensitivity, and sealant retention. These assessments were carried out before the procedure, immediately after the procedure, at 48 h post procedure, and one month post procedure |
| Hakmi et al. (2023) [89] | Clinical trial | 20 (40 teeth) | 8.3 years old | 11 males, 9 females | Severe | The study compared two types of restorative treatments: direct composite resin restoration (DCRR) Indirect Composite Resin Restoration (ICRR) | ICRR demonstrated advantages in terms of child satisfaction due to shorter treatment sessions. The survival rate after 12 months was 85% for DCRR and 90% for ICRR |
| Kaya et al. (2023) [90] | RCT | 48 | 8.8 years old | 18 females, 30 males | Mild and moderate | The study compared two treatments for MIH-affected molars: silver diamine fluoride (SDF) application alone and silver-modified atraumatic restorative treatment (SMART). SDF was applied to one group of molars, while SMART sealants were applied to another group. SMART involved treating the carious lesion with SDF and then sealing or restoring the tooth with a glass ionomer cement | SDF and SMART sealants showed favorable short-term prevention against dental caries while providing effective desensitization in hypomineralized molars. Marginal discoloration was noted as the most common side effect of SMART sealants due to prior SDF application. The study suggested that both SDF and SMART sealants are effective in the short term for managing enamel caries and reducing hypersensitivity in hypomineralized molars |
Disclaimer/Publisher’s Note: The statements, opinions and data contained in all publications are solely those of the individual author(s) and contributor(s) and not of MDPI and/or the editor(s). MDPI and/or the editor(s) disclaim responsibility for any injury to people or property resulting from any ideas, methods, instructions or products referred to in the content. |
© 2023 by the authors. Licensee MDPI, Basel, Switzerland. This article is an open access article distributed under the terms and conditions of the Creative Commons Attribution (CC BY) license (https://creativecommons.org/licenses/by/4.0/).
Share and Cite
Inchingolo, A.M.; Inchingolo, A.D.; Viapiano, F.; Ciocia, A.M.; Ferrara, I.; Netti, A.; Dipalma, G.; Palermo, A.; Inchingolo, F. Treatment Approaches to Molar Incisor Hypomineralization: A Systematic Review. J. Clin. Med. 2023, 12, 7194. https://doi.org/10.3390/jcm12227194
Inchingolo AM, Inchingolo AD, Viapiano F, Ciocia AM, Ferrara I, Netti A, Dipalma G, Palermo A, Inchingolo F. Treatment Approaches to Molar Incisor Hypomineralization: A Systematic Review. Journal of Clinical Medicine. 2023; 12(22):7194. https://doi.org/10.3390/jcm12227194
Chicago/Turabian StyleInchingolo, Angelo Michele, Alessio Danilo Inchingolo, Fabio Viapiano, Anna Maria Ciocia, Irene Ferrara, Anna Netti, Gianna Dipalma, Andrea Palermo, and Francesco Inchingolo. 2023. "Treatment Approaches to Molar Incisor Hypomineralization: A Systematic Review" Journal of Clinical Medicine 12, no. 22: 7194. https://doi.org/10.3390/jcm12227194
APA StyleInchingolo, A. M., Inchingolo, A. D., Viapiano, F., Ciocia, A. M., Ferrara, I., Netti, A., Dipalma, G., Palermo, A., & Inchingolo, F. (2023). Treatment Approaches to Molar Incisor Hypomineralization: A Systematic Review. Journal of Clinical Medicine, 12(22), 7194. https://doi.org/10.3390/jcm12227194

