Middle Ear Cholesteatoma and Vestibular Schwannoma Resection Followed by Cochlear Implant: Surgical Challenges and Audiological Outcomes
Abstract
:1. Introduction
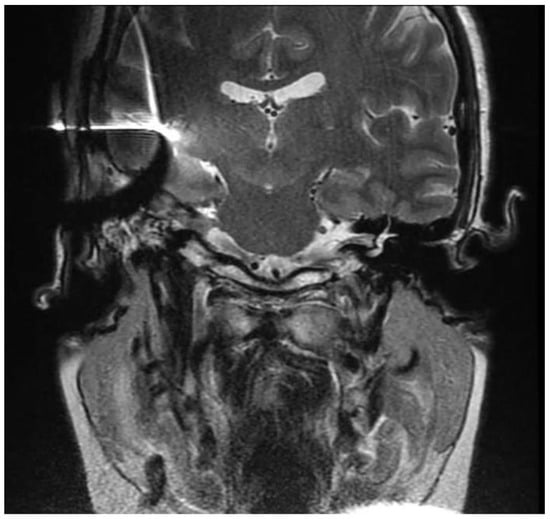
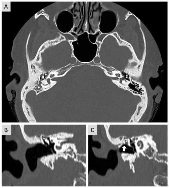
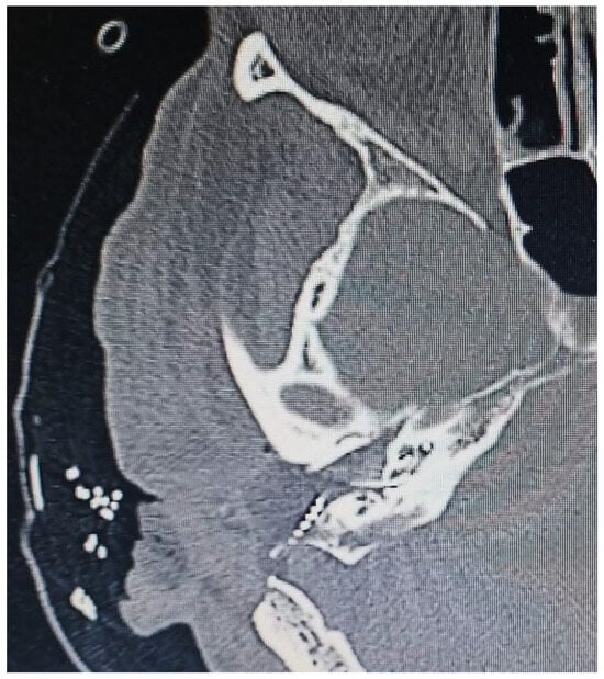
2. Case Report
3. Discussion
4. Conclusions
Supplementary Materials
Author Contributions
Funding
Institutional Review Board Statement
Informed Consent Statement
Data Availability Statement
Conflicts of Interest
References
- Tadokoro, K.; Bartindale, M.R.; El-Kouri, N.; Moore, D.; Britt, C.; Kircher, M. Cochlear Implantation in Vestibular Schwannoma: A Systematic Literature Review. J. Neurol. Surg. Part B Skull Base 2021, 82, 643–651. [Google Scholar] [CrossRef] [PubMed]
- Gupta, V.K.; Thakker, A.; Gupta, K.K. Vestibular Schwannoma: What We Know and Where We Are Heading. Head Neck Pathol. 2020, 14, 1058–1066. [Google Scholar] [CrossRef] [PubMed]
- Bennett, M.; Haynes, D.S. Surgical approaches and complications in the removal of vestibular schwannomas. Otolaryngol. Clin. N. Am. 2007, 40, 589–609. [Google Scholar] [CrossRef] [PubMed]
- Khandalavala, K.R.; Saba, E.S.; Kocharyan, A.; Daher, G.S.; Lohse, C.M.; Marinelli, J.P.; Carlson, M.L. Hearing Preservation in Observed Sporadic Vestibular Schwannoma: A Systematic Review. Otol. Neurotol. 2022, 43, 604–610. [Google Scholar] [CrossRef]
- Wick, C.C.; Butler, M.J.; Yeager, L.H.; Kallogjeri, D.; Durakovic, N.; McJunkin, J.L.; Shew, M.A.; Herzog, J.A.; Buchman, C.A. Cochlear Implant Outcomes Following Vestibular Schwannoma Resection: Systematic Review. Otol. Neurotol. 2020, 41, 1190–1197. [Google Scholar] [CrossRef] [PubMed]
- Rooth, M.A.; Dillon, M.T.; Brown, K.D. Prospective Evaluation of Patients Undergoing Translabyrinthine Excision of Vestibular Schwannoma with Concurrent Cochlear Implantation. Otol. Neurotol. 2017, 38, 1512–1516. [Google Scholar] [CrossRef]
- Sanna, M.; Piccirillo, E.; Kihlgren, C.; Cagliero, G.; Guidi, M.; Saleh, E. Simultaneous Cochlear Implantation After Translabyrinthine Vestibular Schwannoma Resection: A Report of 41 Cases. Otol. Neurotol. 2021, 42, 1414–1421. [Google Scholar] [CrossRef]
- Conway, R.M.; Tu, N.C.; Sioshansi, P.C.; Porps, S.L.; Schutt, C.A.; Hong, R.S.; Jacob, J.T.; Babu, S.C. Early outcomes of simultaneous translabyrinthine resection and cochlear implantation. Laryngoscope 2021, 131, E2312–E2317. [Google Scholar] [CrossRef]
- Amoodi, H.A.; Makki, F.M.; Cavanagh, J.; Maessen, H.; Bance, M. Cochlear Implant Rehabilitation for Patients with Vestibular Schwannoma: Report of Two Cases. Cochlear Implant. Int. 2012, 13, 124–127. [Google Scholar] [CrossRef]
- Castle, J.T. Cholesteatoma Pearls: Practical Points and Update. Head Neck Pathol. 2018, 12, 419–429. [Google Scholar] [CrossRef]
- Pauna, H.F.; Monsanto, R.C.; Schachern, P.; Paparella, M.M.; Chole, R.A.; Cureoglu, S. Evidence against the Mucosal Traction Theory in Cholesteatoma: Ciliated Cells in the Middle Ear Cleft. Laryngoscope 2018, 128, 1663–1667. [Google Scholar] [CrossRef] [PubMed]
- Arístegui, I.; Aranguez, G.; Casqueiro, J.C.; Gutiérrez-Triguero, M.; Pozo, A.D.; Arístegui, M. Subtotal Petrosectomy (SP) in Cochlear Implantation (CI): A Report of 92 Cases. Audiol. Res. 2022, 12, 113–125. [Google Scholar] [CrossRef]
- Eliam, J.M.S.; Eliam, L.V.; Santos, V.M.; Bariani, C.; Maluf, F.C. Homem de 30 anos com neurofibromatose tipo 2. Brasília Méd. 2018, 55, 53–63. [Google Scholar] [CrossRef]
- Noh, H.E.; Lee, H.Y.; Na, G.; Moon, I.S. Simultaneous Treatment of Vestibular Schwannoma and Concurrent Middle Ear Disease Using the Enlarged Translabyrinthine Approach. Korean J. Otorhinolaryngol. Head Neck Surg. 2021, 64, 344–349. [Google Scholar] [CrossRef]
- Kucharski, A.; Szymański, M.; Szymańska, A.; Rola, R. Diagnosis and Management of Unilateral Cholesteatoma and Vestibular Schwannoma. Otolaryngol. Case Rep. 2020, 15, 100170. [Google Scholar] [CrossRef]
- Lloyd, L.L.; Kaplan, H. Audiometric Interpretation: A Manual of Basic Audiometry; Pearson: London, UK, 1978. [Google Scholar]
- Avan, P.; Giraudet, F.; Büki, B. Importance of Binaural Hearing. Audiol. Neurotol. 2015, 20 (Suppl. S1), 3–6. [Google Scholar] [CrossRef] [PubMed]
- Zeitler, D.; Dorman, M. Cochlear Implantation for Single-Sided Deafness: A New Treatment Paradigm. J. Neurol. Surg. Part B Skull Base 2019, 80, 178–186. [Google Scholar] [CrossRef]
- Snapp, H.A.; Ausili, S.A. Hearing with One Ear: Consequences and Treatments for Profound Unilateral Hearing Loss. J. Clin. Med. 2020, 9, 1010. [Google Scholar] [CrossRef]
- De Graaff, F.; Eikelboom, R.H.; Sucher, C.; Kramer, S.E.; Smits, C. Binaural Summation, Binaural Unmasking and Fluctuating Masker Benefit in Bimodal and Bilateral Adult Cochlear Implant Users. Cochlear Implant. Int. 2021, 22, 245–256. [Google Scholar] [CrossRef]
- Thompson, N.; O’Connell, B.; Brown, K. Translabyrinthine Excision of Vestibular Schwannoma with Concurrent Cochlear Implantation: Systematic Review. J. Neurol. Surg. Part B Skull Base 2019, 80, 187–195. [Google Scholar] [CrossRef]
- Klenzner, T.; Glaas, M.; Volpert, S.; Jansen, N.; Kristin, J.; Schipper, J. Cochlear Implantation in Patients with Single-Sided Deafness After the Translabyrinthine Resection of the Vestibular Schwannoma—Presented at the Annual Meeting of ADANO 2016 in Berlin. Otol. Neurotol. 2019, 40, e461–e466. [Google Scholar] [CrossRef]
- Peters, J.P.M.; Van Heteren, J.A.A.; Wendrich, A.W.; Van Zanten, G.A.; Grolman, W.; Stokroos, R.J.; Smit, A.L. Short-Term Outcomes of Cochlear Implantation for Single-Sided Deafness Compared to Bone Conduction Devices and Contralateral Routing of Sound Hearing Aids—Results of a Randomised Controlled Trial (CINGLE-Trial). PLoS ONE 2021, 16, e0257447. [Google Scholar] [CrossRef] [PubMed]
- Hill, F.C.E.; Grenness, A.; Withers, S.; Iseli, C.; Briggs, R. Cochlear Patency After Translabyrinthine Vestibular Schwannoma Surgery. Otol. Neurotol. 2018, 39, e575–e578. [Google Scholar] [CrossRef] [PubMed]
- Ahsan, S.F.; Huq, F.; Seidman, M.; Taylor, A. Long-term Hearing Preservation After Resection of Vestibular Schwannoma. Otol. Neurotol. 2017, 38, 1505–1511. [Google Scholar] [CrossRef] [PubMed]
- Lin, J.W.; Winters, R. Labyrinthectomy. In StatPearls; StatPearls Publishing: Treasure Island, FL, USA, 2023. [Google Scholar]









| Test Condition | Results | Visual Analogue Scale |
|---|---|---|
| SILENCE 65 dB | CI: 75.42% | 3 |
| FIXED NOISE 55 dB SNR: +10 dB | CI: 64.50% | 4 |
| ADAPTIVE NOISE 55 dB | CI: +3.5 dB | 4 |
Disclaimer/Publisher’s Note: The statements, opinions and data contained in all publications are solely those of the individual author(s) and contributor(s) and not of MDPI and/or the editor(s). MDPI and/or the editor(s) disclaim responsibility for any injury to people or property resulting from any ideas, methods, instructions or products referred to in the content. |
© 2023 by the authors. Licensee MDPI, Basel, Switzerland. This article is an open access article distributed under the terms and conditions of the Creative Commons Attribution (CC BY) license (https://creativecommons.org/licenses/by/4.0/).
Share and Cite
Carasek, N.; Cristovão, D.; Oliveira, L.A.T.; Caldas, F.F.; Correia, F.M.; Elias, T.G.A.; Amorim, R.; Bahmad Jr, F. Middle Ear Cholesteatoma and Vestibular Schwannoma Resection Followed by Cochlear Implant: Surgical Challenges and Audiological Outcomes. J. Clin. Med. 2023, 12, 7139. https://doi.org/10.3390/jcm12227139
Carasek N, Cristovão D, Oliveira LAT, Caldas FF, Correia FM, Elias TGA, Amorim R, Bahmad Jr F. Middle Ear Cholesteatoma and Vestibular Schwannoma Resection Followed by Cochlear Implant: Surgical Challenges and Audiological Outcomes. Journal of Clinical Medicine. 2023; 12(22):7139. https://doi.org/10.3390/jcm12227139
Chicago/Turabian StyleCarasek, Natalia, Danielle Cristovão, Lucas Alves Teixeira Oliveira, Fernanda Ferreira Caldas, Fernando Massa Correia, Thais Gomes Abrahão Elias, Rivadávio Amorim, and Fayez Bahmad Jr. 2023. "Middle Ear Cholesteatoma and Vestibular Schwannoma Resection Followed by Cochlear Implant: Surgical Challenges and Audiological Outcomes" Journal of Clinical Medicine 12, no. 22: 7139. https://doi.org/10.3390/jcm12227139
APA StyleCarasek, N., Cristovão, D., Oliveira, L. A. T., Caldas, F. F., Correia, F. M., Elias, T. G. A., Amorim, R., & Bahmad Jr, F. (2023). Middle Ear Cholesteatoma and Vestibular Schwannoma Resection Followed by Cochlear Implant: Surgical Challenges and Audiological Outcomes. Journal of Clinical Medicine, 12(22), 7139. https://doi.org/10.3390/jcm12227139

