BRAF K601E Mutation in Oncocytic Carcinoma of the Thyroid: A Case Report and Literature Review
Abstract
1. Introduction
2. Materials and Methods
2.1. Study Design and Search Strategy
2.2. Inclusion and Exclusion Criteria
2.3. Data Extraction
3. Results
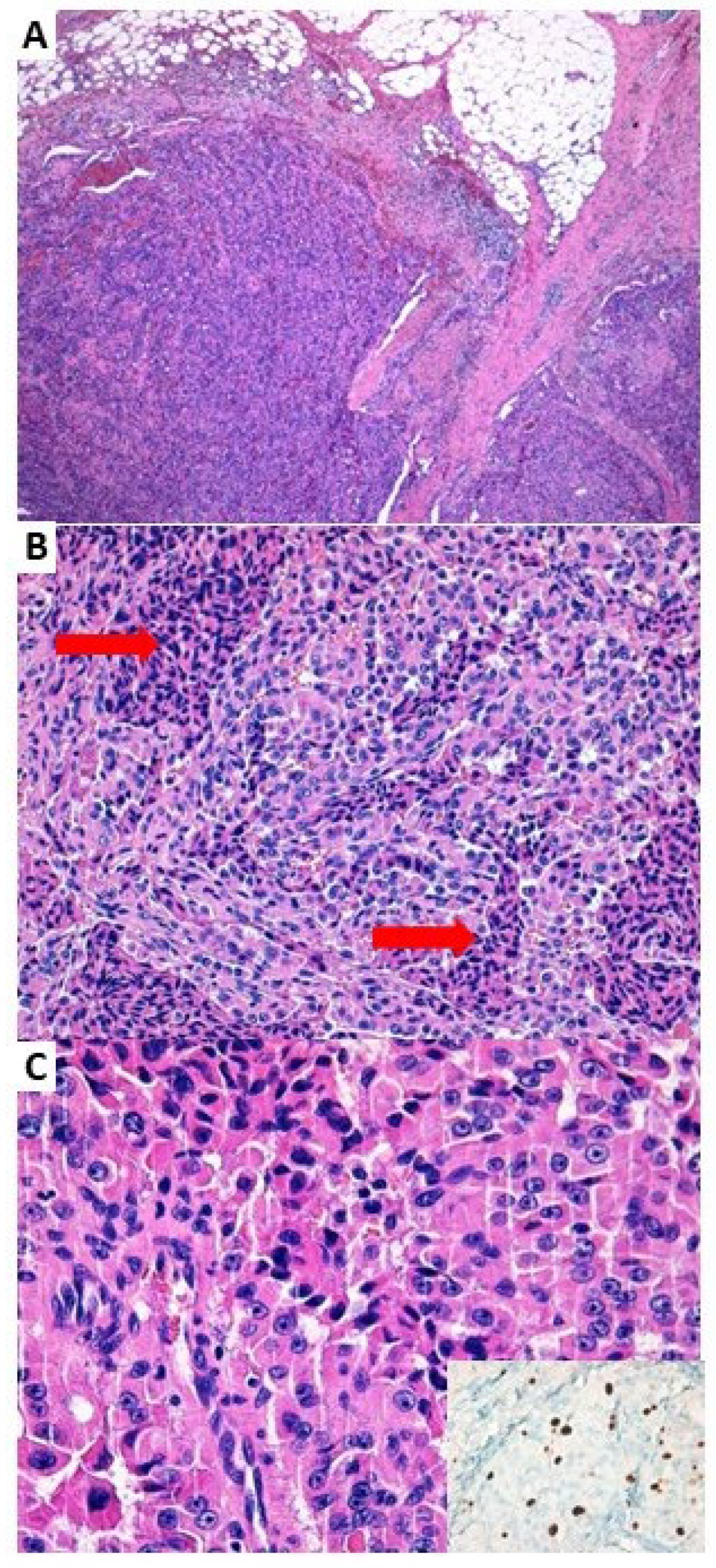
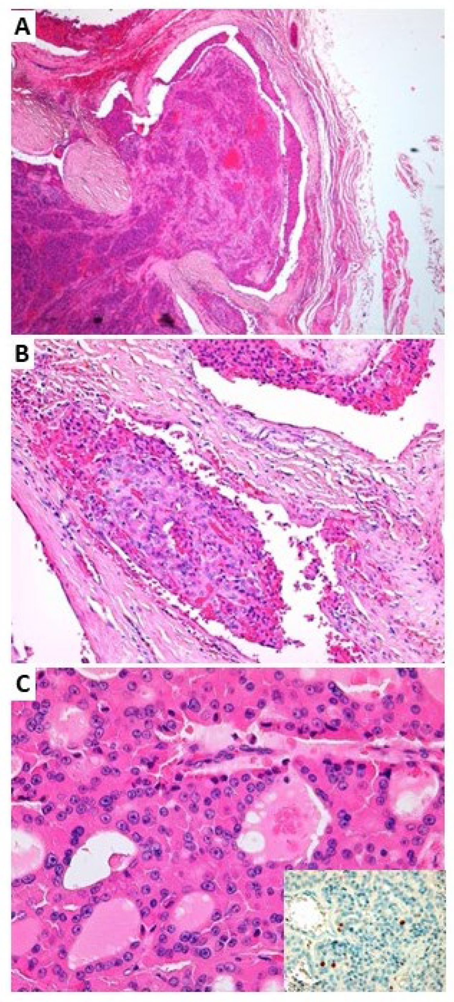
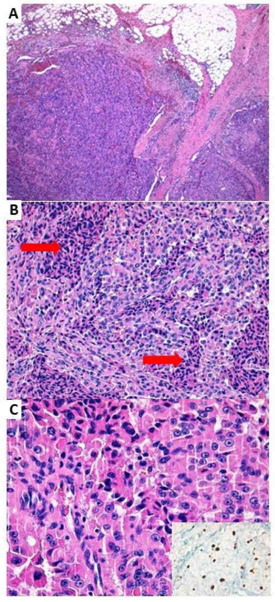
3.1. Case Report
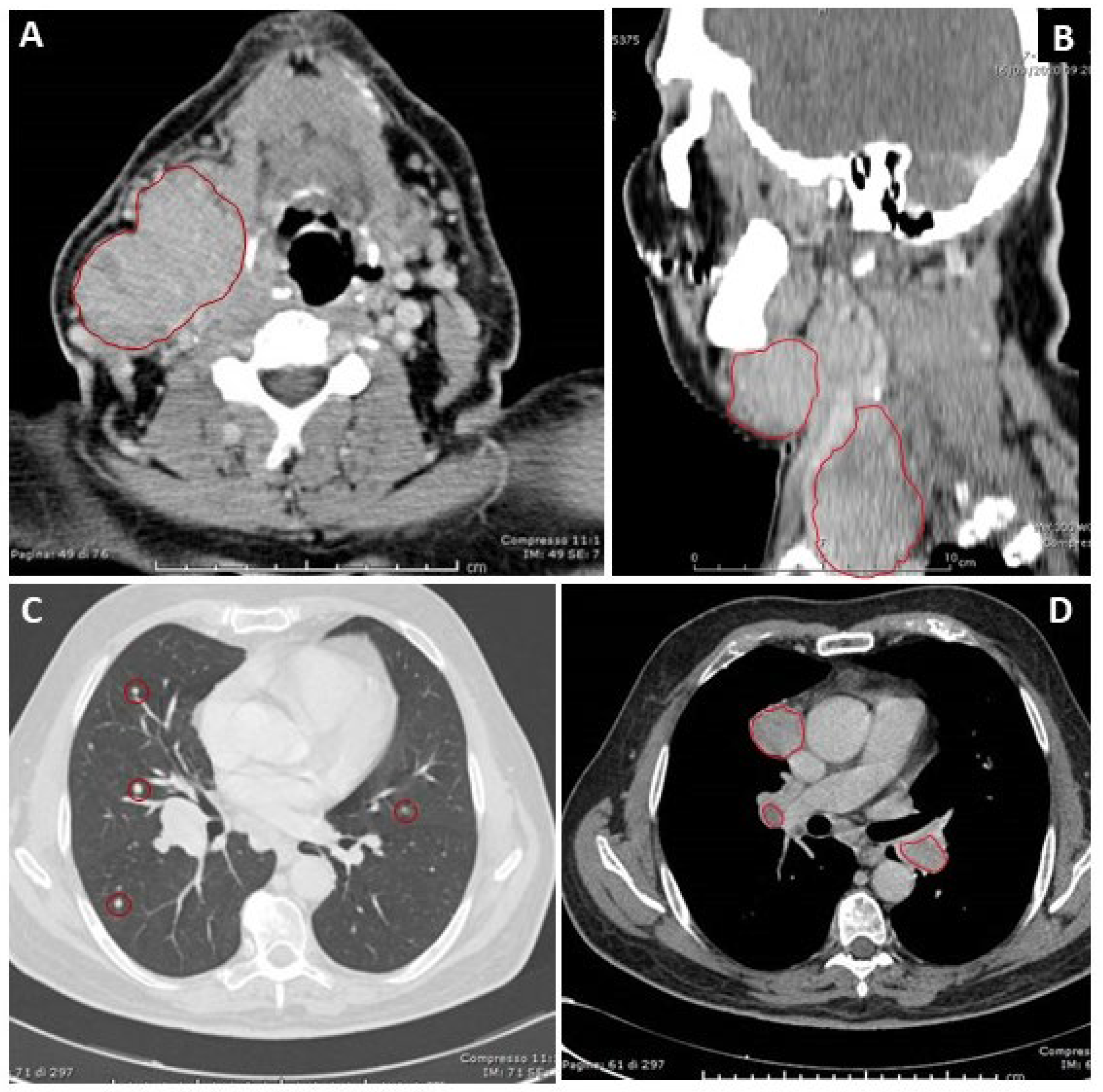
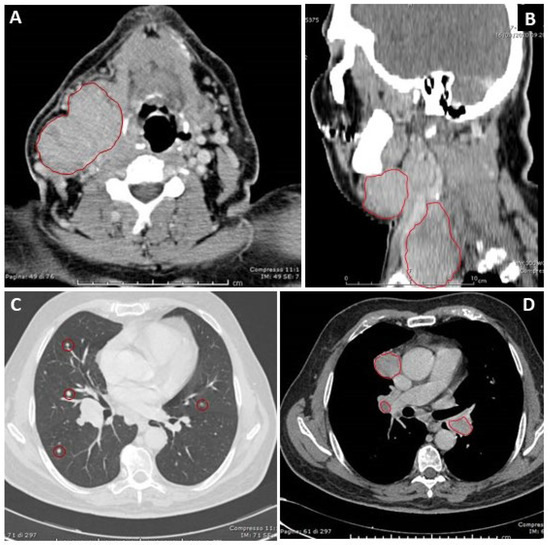
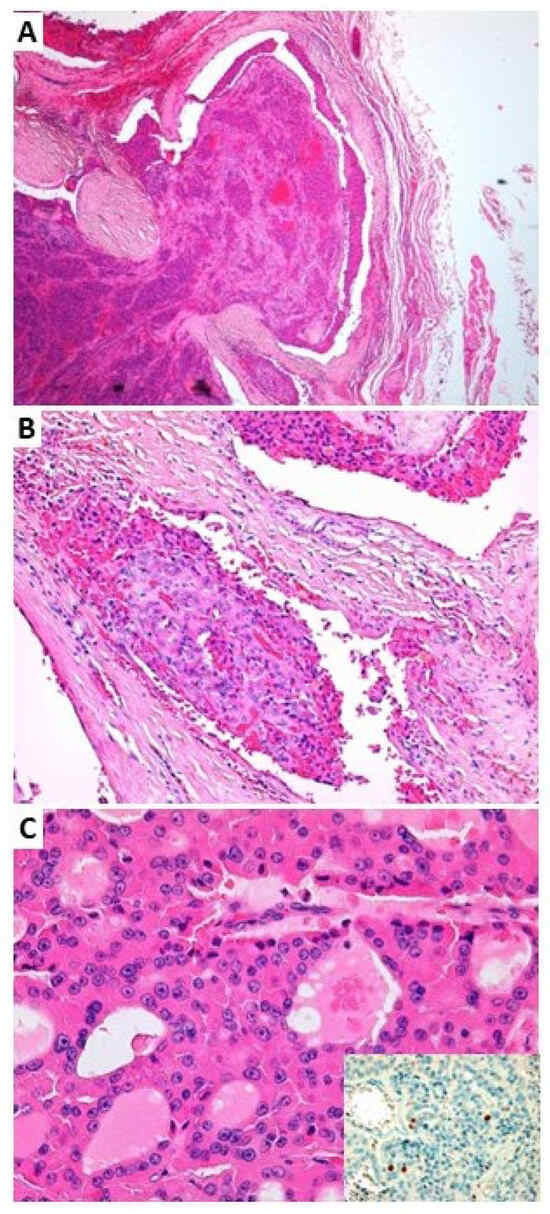
3.1.1. Clinical Presentation and Initial Treatments
3.1.2. Progression of Disease and Subsequent Treatments
3.1.3. Mutational Landscape
3.2. Review of the Literature
4. Discussion
5. Conclusions
Funding
Informed Consent Statement
Data Availability Statement
Conflicts of Interest
References
- SEER Stat Fact Sheets: Thyroid Cancer. Surveillance, Epidemiology, and End Results Program. Available online: http://seer.cancer.gov/statfacts/html/thyro.html (accessed on 22 March 2023).
- Matrone, A.; Campopiano, M.C.; Nervo, A.; Sapuppo, G.; Tavarelli, M.; De Leo, S. Differentiated Thyroid Cancer, From Active Surveillance to Advanced Therapy: Toward a Personalized Medicine. Front. Endocrinol. 2019, 10, 884. [Google Scholar] [CrossRef] [PubMed]
- Crescenzi, A.; Baloch, Z. Immunohistochemistry in the pathologic diagnosis and management of thyroid neoplasms. Front. Endocrinol. 2023, 14, 1198099. [Google Scholar] [CrossRef] [PubMed]
- Stanciu, M.; Ristea, R.P.; Popescu, M.; Vasile, C.M.; Popa, F.L. Thyroid Carcinoma Showing Thymus-like Differentiation (CASTLE): A Case Report. Life 2022, 12, 1314. [Google Scholar] [CrossRef]
- Matrone, A.; De Napoli, L.; Torregrossa, L.; Aghababyan, A.; Papini, P.; Ambrosini, C.E.; Cervelli, R.; Ugolini, C.; Basolo, F.; Molinaro, E.; et al. Core Needle Biopsy Can Early and Precisely Identify Large Thyroid Masses. Front. Oncol. 2022, 12, 854755. [Google Scholar] [CrossRef] [PubMed]
- Agrawal, N.; Akbani, R.; Aksoy, B.A.; Ally, A.; Arachchi, H.; Asa, S.L.; Protopopov, A. The Cancer Genome Atlas Research Network. Integrated genomic characterization of papillary thyroid carcinoma. Cell 2014, 159, 676–690. [Google Scholar] [CrossRef] [PubMed]
- Pearson, G.; Robinson, F.; Beers Gibson, T.; Xu, B.E.; Karandikar, M.; Berman, K.; Cobb, M.H. Mitogen-activated protein (MAP) kinase pathways: Regulation and physiological functions. Endocr. Rev. 2001, 22, 153–183. [Google Scholar] [CrossRef] [PubMed]
- Liu, W.; Zhu, J.; Wu, Z.; Yin, Y.; Wu, Q.; Wu, Y.; Zheng, J.; Wang, C.; Chen, H.; Qazi, T.J.; et al. Insight of novel biomarkers for papillary thyroid carcinoma through multiomics. Front. Oncol. 2023, 13, 1269751. [Google Scholar] [CrossRef]
- Torregrossa, L.; Viola, D.; Sensi, E.; Giordano, M.; Piaggi, P.; Romei, C.; Materazzi, G.; Miccoli, P.; Elisei, R.; Basolo, F. Papillary Thyroid Carcinoma With Rare Exon 15 BRAF Mutation Has Indolent Behavior: A Single-Institution Experience. J. Clin. Endocrinol. Metab. 2016, 101, 4413–4420. [Google Scholar] [CrossRef]
- Monti, E.; Bovero, M.; Mortara, L.; Pera, G.; Zupo, S.; Gugiatti, E.; Dono, M.; Massa, B.; Ansaldo, G.L.; Massimo, G. BRAF Mutations in an Italian Regional Population: Implications for the Therapy of Thyroid Cancer. Int. J. Endocrinol. 2015, 2015, 138734. [Google Scholar] [CrossRef][Green Version]
- Parpounas, C.; Constantinides, V. Advances in Molecular Profiling and Their Potential Influence on the Extent of Surgery in Well-Differentiated Thyroid Carcinoma (WDTC). Life 2023, 13, 1382. [Google Scholar] [CrossRef]
- Censi, S.; Cavedon, E.; Bertazza, L.; Galuppini, F.; Watutantrige-Fernando, S.; De Lazzari, P.; Nacamulli, D.; Pennelli, G.; Fassina, A.; Iacobone, M.; et al. Frequency and Significance of Ras, Tert Promoter, and Braf Mutations in Cytologically Indeterminate Thyroid Nodules: A Monocentric Case Series at a Tertiary-Level Endocrinology Unit. Front. Endocrinol. 2017, 8, 273. [Google Scholar] [CrossRef] [PubMed]
- Macerola, E.; Torregrossa, L.; Ugolini, C.; Bakkar, S.; Vitti, P.; Fadda, G.; Basolo, F. BRAF(K601E) Mutation in a Follicular Thyroid Adenoma: A Case Report. Int. J. Surg. Pathol. 2017, 25, 348–351. [Google Scholar] [CrossRef] [PubMed]
- Giannini, R.; Ugolini, C.; Lupi, C.; Proietti, A.; Elisei, R.; Salvatore, G.; Berti, P.; Materazzi, G.; Miccoli, P.; Santoro, M.; et al. The heterogeneous distribution of BRAF mutation supports the independent clonal origin of distinct tumor foci in multifocal papillary thyroid carcinoma. J. Clin. Endocrinol. Metab. 2007, 92, 3511–3516. [Google Scholar] [CrossRef] [PubMed]
- Hwang, T.S.; Kim, W.Y.; Han, H.S.; Lim, S.D.; Kim, W.S.; Yoo, Y.B.; Park, K.S.; Oh, S.Y.; Kim, S.K.; Yang, J.H. Preoperative RAS mutational analysis is of great value in predicting follicular variant of papillary thyroid carcinoma. Biomed. Res. Int. 2015, 2015, 697068. [Google Scholar] [CrossRef] [PubMed]
- Kim, W.Y.; Ko, Y.S.; Hwang, T.S.; Han, H.S.; Lim, S.D.; Kim, W.S.; Oh, S.Y. A Case of Multifocal Papillary Thyroid Carcinoma Consisting of One Encapsulated Follicular Variant with BRAF K601E Mutation and Three Conventional Types with BRAF V600E Mutation. Korean J. Pathol. 2013, 47, 293–298. [Google Scholar] [CrossRef] [PubMed]
- Leboulleux, S.; Dupuy, C.; Lacroix, L.; Attard, M.; Grimaldi, S.; Corre, R.; Ricard, M.; Nasr, S.; Berdelou, A.; Hadoux, J.; et al. Redifferentiation of a BRAF(K601E)-Mutated Poorly Differentiated Thyroid Cancer Patient with Dabrafenib and Trametinib Treatment. Thyroid 2019, 29, 735–742. [Google Scholar] [CrossRef] [PubMed]
- Baloch, Z.W.; Asa, S.L.; Barletta, J.A.; Ghossein, R.A.; Juhlin, C.C.; Jung, C.K.; LiVolsi, V.A.; Papotti, M.G.; Sobrinho-Simoes, M.; Tallini, G.; et al. Overview of the 2022 WHO Classification of Thyroid Neoplasms. Endocr. Pathol. 2022, 33, 27–63. [Google Scholar] [CrossRef] [PubMed]
- Ciampi, R.; Romei, C.; Ramone, T.; Prete, A.; Tacito, A.; Cappagli, V.; Bottici, V.; Viola, D.; Torregrossa, L.; Ugolini, C.; et al. Genetic Landscape of Somatic Mutations in a Large Cohort of Sporadic Medullary Thyroid Carcinomas Studied by Next-Generation Targeted Sequencing. iScience 2019, 20, 324–336. [Google Scholar] [CrossRef]
- Romei, C.; Tacito, A.; Molinaro, E.; Piaggi, P.; Cappagli, V.; Pieruzzi, L.; Matrone, A.; Viola, D.; Agate, L.; Torregrossa, L.; et al. Clinical, pathological and genetic features of anaplastic and poorly differentiated thyroid cancer: A single institute experience. Oncol. Lett. 2018, 15, 9174–9182. [Google Scholar] [CrossRef]
- Ganly, I.; Makarov, V.; Deraje, S.; Dong, Y.; Reznik, E.; Seshan, V.; Nanjangud, G.; Eng, S.; Bose, P.; Kuo, F.; et al. Integrated Genomic Analysis of Hurthle Cell Cancer Reveals Oncogenic Drivers, Recurrent Mitochondrial Mutations, and Unique Chromosomal Landscapes. Cancer Cell 2018, 34, 256–270.e255. [Google Scholar] [CrossRef]
- Pozdeyev, N.; Gay, L.M.; Sokol, E.S.; Hartmaier, R.; Deaver, K.E.; Davis, S.; French, J.D.; Borre, P.V.; LaBarbera, D.V.; Tan, A.C.; et al. Genetic Analysis of 779 Advanced Differentiated and Anaplastic Thyroid Cancers. Clin. Cancer Res. 2018, 24, 3059–3068. [Google Scholar] [CrossRef]
- Pennelli, G.; Vianello, F.; Barollo, S.; Pezzani, R.; Merante Boschin, I.; Pelizzo, M.R.; Mantero, F.; Rugge, M.; Mian, C. BRAF(K601E) mutation in a patient with a follicular thyroid carcinoma. Thyroid. Off. J. Am. Thyroid. Assoc. 2011, 21, 1393–1396. [Google Scholar] [CrossRef] [PubMed]
- Afkhami, M.; Karunamurthy, A.; Chiosea, S.; Nikiforova, M.N.; Seethala, R.; Nikiforov, Y.E.; Coyne, C. Histopathologic and Clinical Characterization of Thyroid Tumors Carrying the BRAF(K601E) Mutation. Thyroid. Off. J. Am. Thyroid. Assoc. 2016, 26, 242–247. [Google Scholar] [CrossRef] [PubMed]
- Cho, U.; Oh, W.J.; Bae, J.S.; Lee, S.; Lee, Y.S.; Park, G.S.; Lee, Y.S.; Jung, C.K. Clinicopathological features of rare BRAF mutations in Korean thyroid cancer patients. J. Korean Med. Sci. 2014, 29, 1054–1060. [Google Scholar] [CrossRef] [PubMed]
- Jung, C.K.; Kim, Y.; Jeon, S.; Jo, K.; Lee, S.; Bae, J.S. Clinical utility of EZH1 mutations in the diagnosis of follicular-patterned thyroid tumors. Hum. Pathol. 2018, 81, 9–17. [Google Scholar] [CrossRef] [PubMed]
- McFadden, D.G.; Sadow, P.M. Genetics, Diagnosis, and Management of Hurthle Cell Thyroid Neoplasms. Front. Endocrinol. 2021, 12, 696386. [Google Scholar] [CrossRef] [PubMed]
- Christofer Juhlin, C.; Mete, O.; Baloch, Z.W. The 2022 WHO classification of thyroid tumors: Novel concepts in nomenclature and grading. Endocr. Relat. Cancer 2023, 30. [Google Scholar] [CrossRef]
- Stanciu, M.; Bera, L.G.; Popescu, M.; Grosu, F.; Popa, F.L. Hashimoto’s thyroiditis associated with thyroid adenoma with Hurthle cells—Case report. Rom. J. Morphol. Embryol. 2017, 58, 241–248. [Google Scholar]
- Gopal, R.K.; Kubler, K.; Calvo, S.E.; Polak, P.; Livitz, D.; Rosebrock, D.; Sadow, P.M.; Campbell, B.; Donovan, S.E.; Amin, S.; et al. Widespread Chromosomal Losses and Mitochondrial DNA Alterations as Genetic Drivers in Hurthle Cell Carcinoma. Cancer Cell 2018, 34, 242–255.e245. [Google Scholar] [CrossRef]
- Sinno, S.; Choucair, M.; Nasrallah, M.; Wadi, L.; Jabbour, M.N.; Nassif, S. Activating BRAF Mutations Detected in Mixed Hurthle Cell Carcinoma and Multifocal Papillary Carcinoma of the Thyroid Gland: Report of an Unusual Case and Review of the Literature. Int. J. Surg. Pathol. 2016, 24, 519–524. [Google Scholar] [CrossRef]
- Cabanillas, M.E.; Ryder, M.; Jimenez, C. Targeted Therapy for Advanced Thyroid Cancer: Kinase Inhibitors and Beyond. Endocr. Rev. 2019, 40, 1573–1604. [Google Scholar] [CrossRef] [PubMed]
- Yuan, X.; Yuan, H.; Zhang, N.; Liu, T.; Xu, D. Thyroid carcinoma-featured telomerase activation and telomere maintenance: Biology and translational/clinical significance. Clin. Transl. Med. 2022, 12, e1111. [Google Scholar] [CrossRef] [PubMed]
- Xing, M.; Liu, R.; Liu, X.; Murugan, A.K.; Zhu, G.; Zeiger, M.A.; Pai, S.; Bishop, J. BRAF V600E and TERT promoter mutations cooperatively identify the most aggressive papillary thyroid cancer with highest recurrence. J. Clin. Oncol. 2014, 32, 2718–2726. [Google Scholar] [CrossRef] [PubMed]
- Park, J.Y.; Kim, W.Y.; Hwang, T.S.; Lee, S.S.; Kim, H.; Han, H.S.; Lim, S.D.; Kim, W.S.; Yoo, Y.B.; Park, K.S. BRAF and RAS mutations in follicular variants of papillary thyroid carcinoma. Endocr. Pathol. 2013, 24, 69–76. [Google Scholar] [CrossRef]
- Jaber, T.; Waguespack, S.G.; Cabanillas, M.E.; Elbanan, M.; Vu, T.; Dadu, R.; Sherman, S.I.; Amit, M.; Santos, E.B.; Zafereo, M.; et al. Targeted Therapy iAdvanced Thyroid Cancer to Resensitize Tumors to Radioactive Iodine. J. Clin. Endocrinol. Metab. 2018, 103, 3698–3705. [Google Scholar] [CrossRef] [PubMed]
- Schulten, H.J.; Salama, S.; Al-Mansouri, Z.; Alotibi, R.; Al-Ghamdi, K.; Al-Hamour, O.A.; Sayadi, H.; Al-Aradati, H.; Al-Johari, A.; Huwait, E.; et al. BRAF mutations in thyroid tumors from an ethnically diverse group. Hered Cancer Clin. Pract. 2012, 10, 10. [Google Scholar] [CrossRef]




| Histology | Age (Years) | Sex | Relevant Histologic Features | Tumor Dimension (cm) | Lymph Node Metastasis | Distant Metastasis | Treatment | Other Mutations Detected |
|---|---|---|---|---|---|---|---|---|
| FTC [22] | 78 | M | Angio-invasive FTC with poorly differentiated component | 8 | Absent | N/A | Total thyroidectomy with central compartment lymph node dissection. | Activating mutation in PIK3CA |
| PDTC [17] | 59 | F | Poorly differentiated thyroid cancer, with high mitotic count (Ki67:10%). Locally invasive with tracheal invasion | N/A | Absent | Lung, mediastinal and bone metastases | Dabrafenib and trametinib | Absent |
| Histology | Age (Years) | Sex | Relevant Histologic Features | Tumor Dimension (cm) | Lymph Node Metastasis | Distant Metastasis | Treatment | Other Mutations Detected |
|---|---|---|---|---|---|---|---|---|
| FTC [22] | N/A | N/A | N/A | N/A | N/A | N/A | N/A | N/A |
| FTC [22] | N/A | N/A | N/A | N/A | N/A | N/A | N/A | N/A |
| FTC [22] | N/A | N/A | N/A | N/A | N/A | N/A | N/A | N/A |
| FTC [24] | N/A | N/A | Thick capsule with one focus of capsular and vascular invasion | 2 | Absent | N/A | N/A | N/A |
| FTC [25] | 70 | M | Minimally invasive. No angioinvasion or extrathyroidal extension | 8 | N/A | N/A | N/A | N/A |
| FTC [37] | N/A | N/A | Minimally invasive | N/A | N/A | N/A | N/A | N/A |
| FTC [26] | N/A | N/A | Minimally Invasive | N/A | N/A | N/A | N/A | No |
| FTC [26] | N/A | N/A | Minimally Invasive | N/A | N/A | N/A | N/A | No |
| FTC [26] | N/A | N/A | Encapsulated angioinvasive | N/A | N/A | N/A | N/A | No |
| FTC [12] | N/A | N/A | Widely invasive (extensive vascular invasion) | N/A | N/A | N/A | N/A | TERT C250T |
| PDTC [14] | N/A | N/A | Multifocal PDTC associated with a focus of the tall cell subtype of PTC harboring the BRAFV600E mutation. | N/A | N/A | N/A | N/A | N/A |
Disclaimer/Publisher’s Note: The statements, opinions and data contained in all publications are solely those of the individual author(s) and contributor(s) and not of MDPI and/or the editor(s). MDPI and/or the editor(s) disclaim responsibility for any injury to people or property resulting from any ideas, methods, instructions or products referred to in the content. |
© 2023 by the authors. Licensee MDPI, Basel, Switzerland. This article is an open access article distributed under the terms and conditions of the Creative Commons Attribution (CC BY) license (https://creativecommons.org/licenses/by/4.0/).
Share and Cite
Matrone, A.; Citro, F.; Gambale, C.; Prete, A.; Minaldi, E.; Ciampi, R.; Ramone, T.; Materazzi, G.; Torregrossa, L.; Elisei, R. BRAF K601E Mutation in Oncocytic Carcinoma of the Thyroid: A Case Report and Literature Review. J. Clin. Med. 2023, 12, 6970. https://doi.org/10.3390/jcm12226970
Matrone A, Citro F, Gambale C, Prete A, Minaldi E, Ciampi R, Ramone T, Materazzi G, Torregrossa L, Elisei R. BRAF K601E Mutation in Oncocytic Carcinoma of the Thyroid: A Case Report and Literature Review. Journal of Clinical Medicine. 2023; 12(22):6970. https://doi.org/10.3390/jcm12226970
Chicago/Turabian StyleMatrone, Antonio, Fabrizia Citro, Carla Gambale, Alessandro Prete, Elisa Minaldi, Raffaele Ciampi, Teresa Ramone, Gabriele Materazzi, Liborio Torregrossa, and Rossella Elisei. 2023. "BRAF K601E Mutation in Oncocytic Carcinoma of the Thyroid: A Case Report and Literature Review" Journal of Clinical Medicine 12, no. 22: 6970. https://doi.org/10.3390/jcm12226970
APA StyleMatrone, A., Citro, F., Gambale, C., Prete, A., Minaldi, E., Ciampi, R., Ramone, T., Materazzi, G., Torregrossa, L., & Elisei, R. (2023). BRAF K601E Mutation in Oncocytic Carcinoma of the Thyroid: A Case Report and Literature Review. Journal of Clinical Medicine, 12(22), 6970. https://doi.org/10.3390/jcm12226970

