Hybrid Treatment of Complex Diseases of the Aortic Arch and Descending Thoracic Aorta by Frozen Elephant Trunk Technique
Abstract
:1. Introduction
2. FET Technique: General Considerations
2.1. Stroke
2.2. Spinal Cord Injury (SCI)
2.3. Long-Term Outcomes
3. Aortic Dissection
3.1. Acute Aortic Dissection
3.2. Chronic Aortic Dissection
4. Surgical Refinements
4.1. Procedural Planning and Stent-Graft Selection
4.2. Stent-Graft Deployment
4.3. Distal Anastomosis
4.4. Neck Vessels and Management of the Left Subclavian Artery
4.5. Lower-Body Perfusion
4.6. Heart Protection
4.7. How to Do It: Step-by-Step Toulouse Technique
4.8. Perioperative Imaging
5. Follow-Up
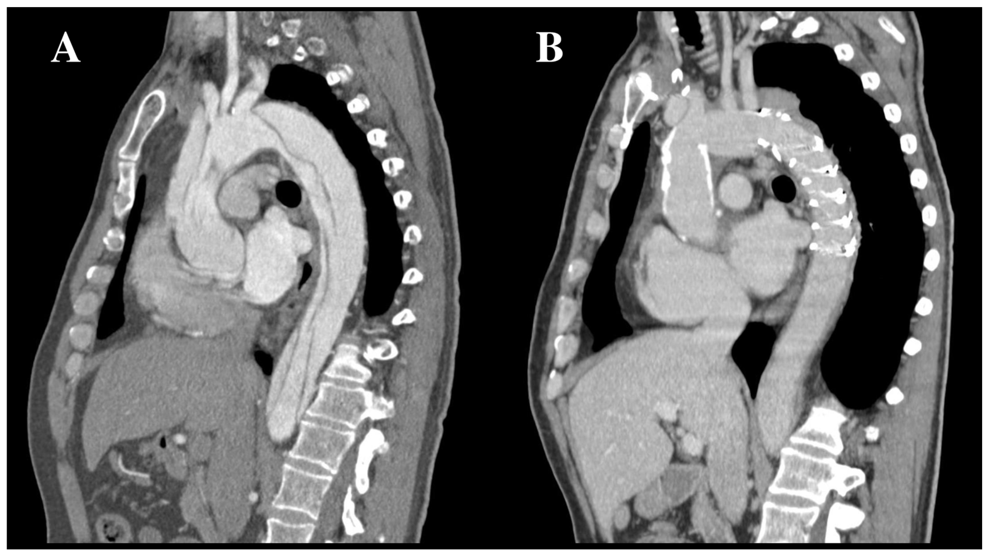
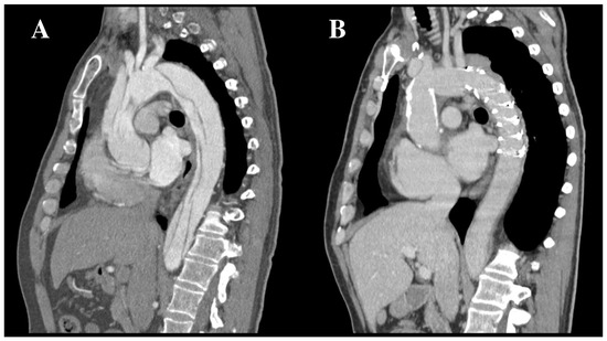
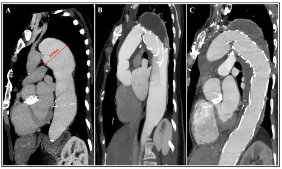
5.1. Follow-Up Imaging
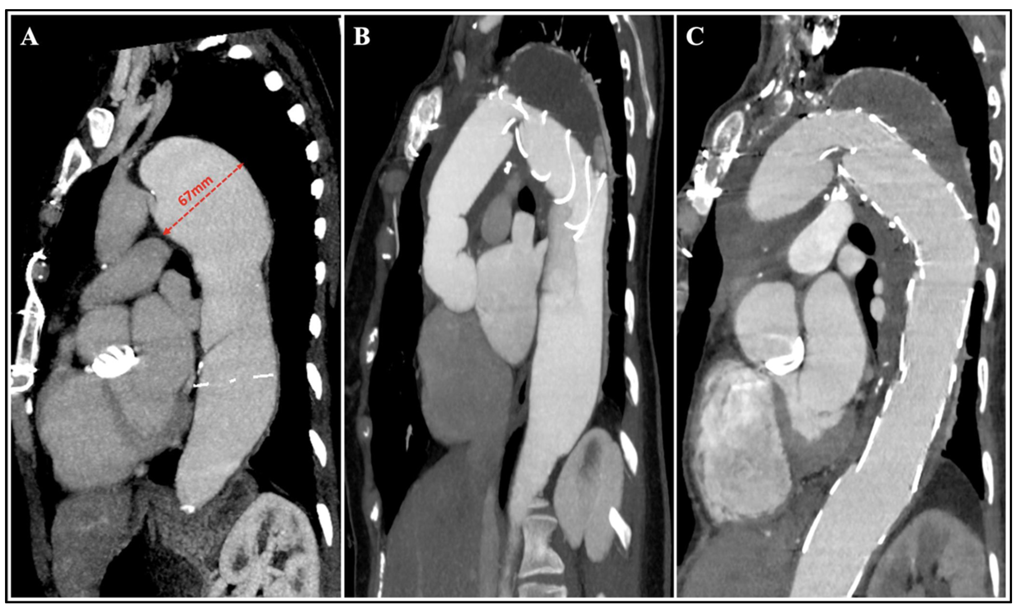
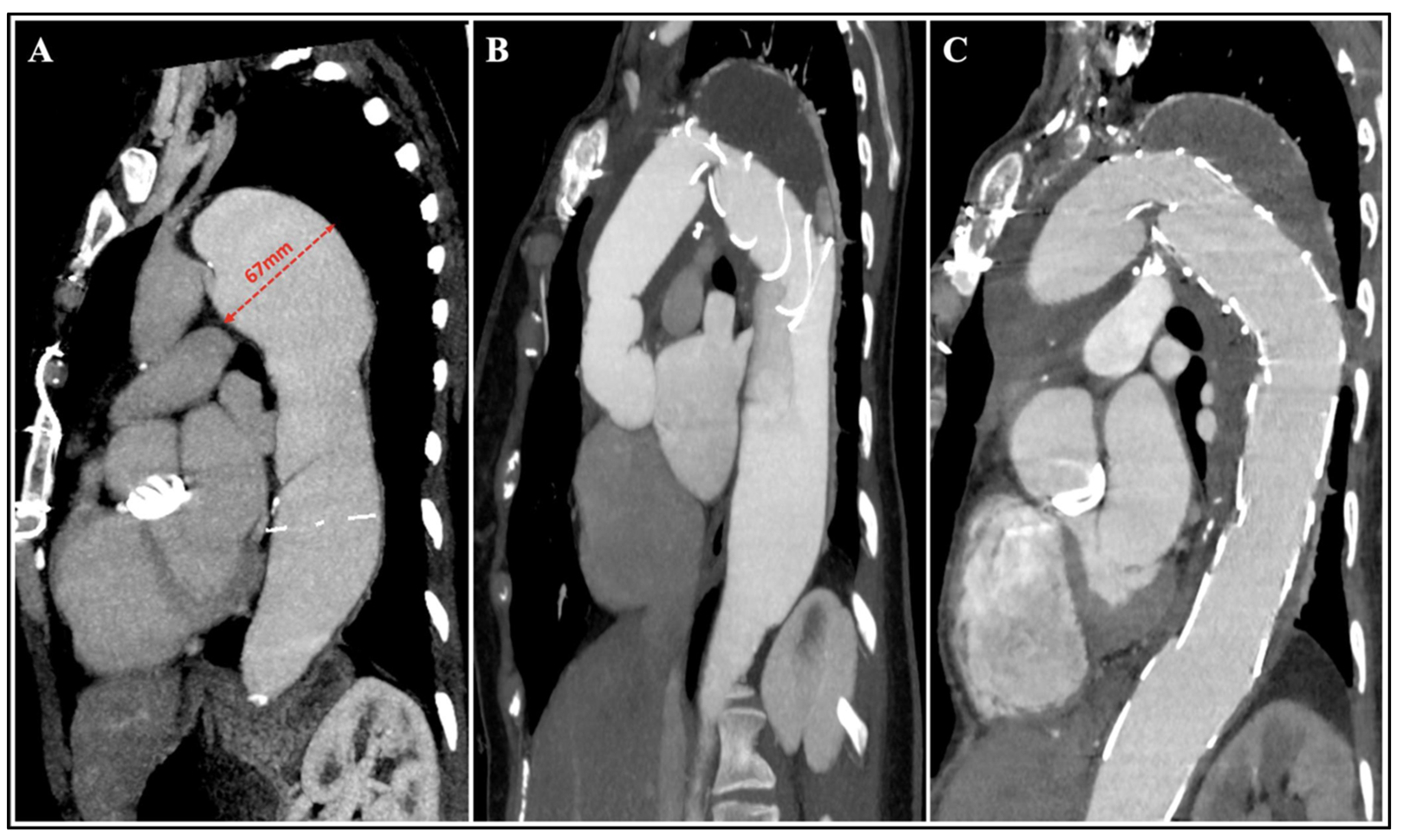
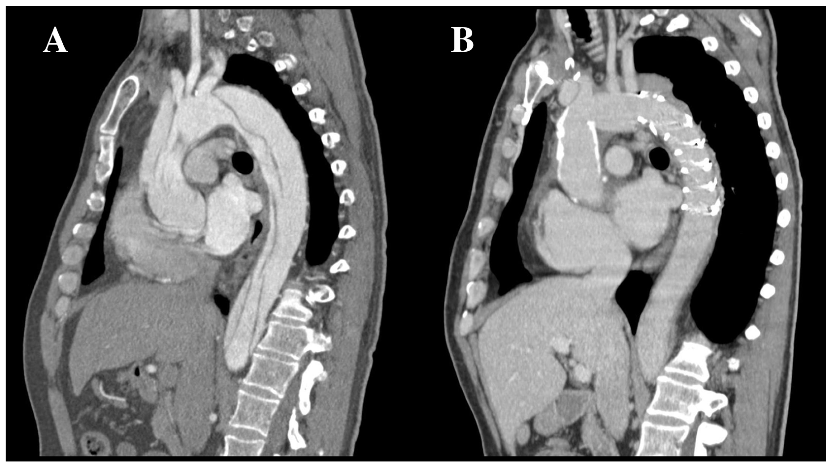
5.2. Distal Stent-Graft-Induced New Entry
5.3. Stent-Graft Kinking
5.4. Infections
6. Alternative Techniques
6.1. Transposition (Debranching) of Supra-Aortic Vessels and TEVAR
6.2. Fenestrated and Branched Endovascular Arch Repair
6.3. Other Options
7. Multidisciplinary Teams and Aortic Centers
8. Gaps in Evidence and Future Perspectives
9. Conclusions
Supplementary Materials
Author Contributions
Funding
Institutional Review Board Statement
Informed Consent Statement
Data Availability Statement
Conflicts of Interest
References
- Borst, H.; Walterbusch, G.; Schaps, D. Extensive Aortic Replacement using “Elephant Trunk” Prosthesis. Thorac. Cardiovasc. Surg. 1983, 31, 37–40. [Google Scholar] [CrossRef] [PubMed]
- Svensson, L.G.; Rushing, G.D.; Valenzuela, E.S.; Rafael, A.E.; Batizy, L.H.; Blackstone, E.H.; Roselli, E.E.; Gillinov, A.M.; Sabik, J.F.; Lytle, B.W. Modifications, Classification, and Outcomes of Elephant-Trunk Procedures. Ann. Thorac. Surg. 2013, 96, 548–558. [Google Scholar] [CrossRef] [PubMed]
- Castrovinci, S.; Murana, G.; de Maat, G.E.; Smith, T.; Schepens, M.A.A.M.; Heijmen, R.H.; Morshuis, W.J. The classic elephant trunk technique for staged thoracic and thoracoabdominal aortic repair: Long-term results. J. Thorac. Cardiovasc. Surg. 2015, 149, 416–422. [Google Scholar] [CrossRef] [PubMed]
- Erbel, R.; Aboyans, V.; Boileau, C.; Bossone, E.; Di Bartolomeo, R.; Eggebrecht, H.; Evangelista, A.; Falk, V.; Frank, H.; Gaemperli, O.; et al. 2014 ESC Guidelines on the diagnosis and treatment of aortic diseases: Document covering acute and chronic aortic diseases of the thoracic and abdominal aorta of the adult * The Task Force for the Diagnosis and Treatment of Aortic Diseases of the European. Eur. Heart J. 2014, 35, 2873–2926. [Google Scholar] [PubMed]
- Verscheure, D.; Haulon, S.; Tsilimparis, N.; Resch, T.; Wanhainen, A.; Mani, K.; Dias, N.; Sobocinski, J.; Eagleton, M.; Ferreira, M.; et al. Endovascular Treatment of Post Type A Chronic Aortic Arch Dissection With a Branched Endograft: Early Results From a Retrospective International Multicenter Study. Ann. Surg. 2021, 273, 997–1003. [Google Scholar] [CrossRef] [PubMed]
- Law, Y.; Kölbel, T.; Detter, C.; Rohlffs, F.; von Kodolitsch, Y.; Makaloski, V.; Debus, E.S.; Tsilimparis, N. Emergency Use of Branched Thoracic Endovascular Repair in the Treatment of Aortic Arch Pathologies. Ann. Thorac. Surg. 2019, 107, 1799–1806. [Google Scholar] [CrossRef] [PubMed]
- Suto, Y.; Yasuda, K.; Shiiya, N.; Murashita, T.; Kawasaki, M.; Imamura, M.; Takigami, K.; Sasaki, S.; Matsui, Y.; Sakuma, M. Stented elephant trunk procedure for an extensive aneurysm involving distal aortic arch and descending aorta. J. Thorac. Cardiovasc. Surg. 1996, 112, 1389–1390. [Google Scholar] [CrossRef] [PubMed]
- Leone, A.; Beckmann, E.; Aandreas, M.; Di Marco, L.; Pantaleo, A.; Reggiani, L.B.; Haverich, A.; Di Bartolomeo, R.; Pacini, D.; Sherestha, M. Total aortic arch replacement with frozen elephant trunk technique: Results from two European institutes. J. Thorac. Cardiovasc. Surg. 2020, 159, 1201–1211. [Google Scholar] [CrossRef]
- Yoshitake, A.; Tochii, M.; Tokunaga, C.; Hayashi, J.; Takazawa, A.; Yamashita, K.; Chubachi, F.; Hori, Y.; Nakajima, H.; Iguchi, A.; et al. Early and long-term results of total arch replacement with the frozen elephant trunk technique for acute type A aortic dissection. Eur. J. Cardio-Thoracic. Surg. 2020, 58, 707–713. [Google Scholar] [CrossRef]
- Ogino, H.; Okita, Y.; Uchida, N.; Kato, M.; Miyamoto, S.; Matsuda, H.; Nakai, M. Comparative study of Japanese frozen elephant trunk device for open aortic arch repairs. J. Thorac. Cardiovasc. Surg. 2022, 164, 1681–1692.e2. [Google Scholar] [CrossRef]
- Tian, D.H.; Ha, H.; Joshi, Y.; Yan, T.D. Long-term outcomes of the frozen elephant trunk procedure: A systematic review. Ann. Cardiothorac. Surg. 2020, 9, 144–151. [Google Scholar] [CrossRef] [PubMed]
- Shrestha, M.; Bachet, J.; Bavaria, J.; Carrel, T.P.; De Paulis, R.; Di Bartolomeo, R.; Etz, C.D.; Grabenwöger, M.; Grimm, M.; Haverich, A.; et al. Current status and recommendations for use of the frozen elephant trunk technique: A position paper by the Vascular Domain of EACTS. Eur. J. Cardio-Thoracic. Surg. 2015, 47, 759–769. [Google Scholar] [CrossRef] [PubMed]
- Czerny, M.; Schmidli, J.; Adler, S.; van den Berg, J.C.; Bertoglio, L.; Carrel, T.; Chiesa, R.; Clough, R.E.; Eberle, B.; Etz, C.; et al. Current options and recommendations for the treatment of thoracic aortic pathologies involving the aortic arch: An expert consensus document of the European Association for Cardio-Thoracic surgery (EACTS) and the European Society for Vascular Surgery (ESV). Eur. J. Cardio-Thoracic. Surg. 2019, 55, 133–162. [Google Scholar] [CrossRef] [PubMed]
- Malaisrie, S.C.; Szeto, W.Y.; Halas, M.; Girardi, L.N.; Coselli, J.S.; Sundt, T.M.; Chen, E.P.; Fischbein, M.P.; Gleason, T.G.; Okita, Y.; et al. 2021 The American Association for Thoracic Surgery expert consensus document: Surgical treatment of acute type A aortic dissection. J. Thorac. Cardiovasc. Surg. 2021, 162, 735–758.e2. [Google Scholar] [CrossRef] [PubMed]
- Preventza, O.; Liao, J.L.; Olive, J.K.; Simpson, K.; Critsinelis, A.C.; Price, M.D.; Galati, M.; Cornwell, L.D.; Orozco-Sevilla, V.; Omer, S.; et al. Neurologic complications after the frozen elephant trunk procedure: A meta-analysis of more than 3000 patients. J. Thorac. Cardiovasc. Surg. 2020, 160, 20–33.e4. [Google Scholar] [CrossRef]
- Hanif, H.; Dubois, L.; Ouzounian, M.; Peterson, M.D.; El-Hamamsy, I.; Dagenais, F.; Hassan, A.; Chu, M.W. Aortic Arch Reconstructive Surgery With Conventional Techniques vs Frozen Elephant Trunk: A Systematic Review and Meta-Analysis. Can. J. Cardiol. 2018, 34, 262–273. [Google Scholar] [CrossRef]
- Beckmann, E.; Martens, A.; Kaufeld, T.; Natanov, R.; Krueger, H.; Haverich, A.; Shrestha, M. Is total aortic arch replacement with the frozen elephant trunk procedure reasonable in elderly patients? Eur. J. Cardio-Thoracic. Surg. 2021, 60, 131–137. [Google Scholar] [CrossRef]
- Risteski, P.; Radacki, I.; Zierer, A.; Lenos, A.; Moritz, A.; Urbanski, P.P. Reoperative Aortic Arch Surgery under Mild Systemic Hypothermia: Two-Center Experience. AORTA 2021, 9, 060–066. [Google Scholar] [CrossRef]
- Demal, T.J.; Bax, L.; Brickwedel, J.; Kölbel, T.; Vettorazzi, E.; Sitzmann, F.; Reichenspurner, H.; Detter, C. Outcome of the frozen elephant trunk procedure as a redo operation. Interact. Cardiovasc. Thorac. Surg. 2021, 33, 85–92. [Google Scholar] [CrossRef]
- Dun, Y.; Shi, Y.; Guo, H.; Liu, Y.; Zhang, B.; Sun, X. Aortic balloon occlusion technique in total arch replacement with frozen elephant trunk after thoracic endovascular aortic repair. J. Thorac. Dis. 2020, 12, 2474–2481. [Google Scholar] [CrossRef]
- Cefarelli, M.; Murana, G.; Surace, G.G.; Castrovinci, S.; Jafrancesco, G.; Kelder, J.C.; Klein, P.; Sonker, U.; Morshuis, W.J.; Heijmen, R.H. Elective Aortic Arch Repair: Factors Influencing Neurologic Outcome in 791 Patients. Ann. Thorac. Surg. 2017, 104, 2016–2023. [Google Scholar] [CrossRef] [PubMed]
- Englum, B.R.; He, X.; Gulack, B.C.; Ganapathi, A.M.; Mathew, J.P.; Brennan, J.M.; Reece, T.B.; Keeling, W.B.; Leshnower, B.G.; Chen, E.P.; et al. Hypothermia and cerebral protection strategies in aortic arch surgery: A comparative effectiveness analysis from the STS Adult Cardiac Surgery Database. Eur. J. Cardio-Thoracic. Surg. 2017, 52, 492–498. [Google Scholar] [CrossRef] [PubMed]
- El-Sayed Ahmad, A.; Papadopoulos, N.; Risteski, P.; Moritz, A.; Zierer, A. The Standardized Concept of Moderate-to-Mild (≥28 °C) Systemic Hypothermia During Selective Antegrade Cerebral Perfusion for All-Comers in Aortic Arch Surgery: Single-Center Experience in 587 Consecutive Patients Over a 15-Year Period. Ann. Thorac. Surg. 2017, 104, 49–55. [Google Scholar] [CrossRef] [PubMed]
- Vallabhajosyula, P.; Jassar, A.S.; Menon, R.S.; Komlo, C.; Gutsche, J.; Desai, N.D.; Hargrove, W.C.; Bavaria, J.E.; Szeto, W.Y. Moderate Versus Deep Hypothermic Circulatory Arrest for Elective Aortic Transverse Hemiarch Reconstruction. Ann. Thorac. Surg. 2015, 99, 1511–1517. [Google Scholar] [CrossRef] [PubMed]
- Zierer, A.; Risteski, P.; El-Sayed Ahmad, A.; Moritz, A.; Diegeler, A.; Urbanski, P.P. The impact of unilateral versus bilateral antegrade cerebral perfusion on surgical outcomes after aortic arch replacement: A propensity-matched analysis. J. Thorac. Cardiovasc. Surg. 2014, 147, 1212–1218. [Google Scholar] [CrossRef] [PubMed]
- Angleitner, P.; Stelzmueller, M.-E.; Mahr, S.; Kaider, A.; Laufer, G.; Ehrlich, M. Bilateral or unilateral antegrade cerebral perfusion during surgery for acute type A dissection. J. Thorac. Cardiovasc. Surg. 2020, 159, 2159–2167.e2. [Google Scholar] [CrossRef] [PubMed]
- Smith, T.; Jafrancesco, G.; Surace, G.; Morshuis, W.J.; Tromp, S.C.; Heijmen, R.H. A functional assessment of the circle of Willis before aortic arch surgery using transcranial Doppler. J. Thorac. Cardiovasc. Surg. 2019, 158, 1298–1304. [Google Scholar] [CrossRef] [PubMed]
- Lewis, C.; Parulkar, S.D.; Bebawy, J.; Sherwani, S.; Hogue, C.W. Cerebral Neuromonitoring During Cardiac Surgery: A Critical Appraisal With an Emphasis on Near-Infrared Spectroscopy. J. Cardiothorac. Vasc. Anesth. 2018, 32, 2313–2322. [Google Scholar] [CrossRef]
- Deschamps, A.; Lambert, J.; Couture, P.; Rochon, A.; Lebon, J.-S.; Ayoub, C.; Cogan, J.; Denault, A. Reversal of Decreases in Cerebral Saturation in High-Risk Cardiac Surgery. J. Cardiothorac. Vasc. Anesth. 2013, 27, 1260–1266. [Google Scholar] [CrossRef]
- Etz, C.D.; Weigang, E.; Hartert, M.; Lonn, L.; Mestres, C.A.; Di Bartolomeo, R.; Bachet, J.E.; Carrel, T.P.; Grabenwöger, M.; Schepens, M.A.; et al. Contemporary spinal cord protection during thoracic and thoracoabdominal aortic surgery and endovascular aortic repair: A position paper of the vascular domain of the European Association for Cardio-Thoracic Surgery. Eur. J. Cardio-Thoracic. Surg. 2015, 47, 943–957. [Google Scholar] [CrossRef]
- Katayama, K.; Uchida, N.; Katayama, A.; Takahashi, S.; Takasaki, T.; Kurosaki, T.; Imai, K.; Sueda, T. Multiple factors predict the risk of spinal cord injury after the frozen elephant trunk technique for extended thoracic aortic disease. Eur. J. Cardio-Thoracic. Surg. 2015, 47, 616–620. [Google Scholar] [CrossRef] [PubMed]
- Etz, C.D.; Kari, F.A.; Mueller, C.S.; Brenner, R.M.; Lin, H.-M.; Griepp, R.B. The collateral network concept: Remodeling of the arterial collateral network after experimental segmental artery sacrifice. J. Thorac. Cardiovasc. Surg. 2011, 141, 1029–1036. [Google Scholar] [CrossRef] [PubMed]
- Czerny, M.; Eggebrecht, H.; Sodeck, G.; Verzini, F.; Cao, P.; Maritati, G.; Riambau, V.; Beyersdorf, F.; Rylski, B.; Funovics, M.; et al. Mechanisms of Symptomatic Spinal Cord Ischemia After TEVAR: Insights From the European Registry of Endovascular Aortic Repair Complications (EuREC). J. Endovasc. Ther. 2012, 19, 37–43. [Google Scholar] [CrossRef] [PubMed]
- Kreibich, M.; Siepe, M.; Berger, T.; Kondov, S.; Morlock, J.; Pingpoh, C.; Beyersdorf, F.; Rylski, B.; Czerny, M. The Frozen Elephant Trunk Technique for the Treatment of Type B and Type Non-A Non-B Aortic Dissection. Eur. J. Vasc. Endovasc. Surg. 2021, 61, 107–113. [Google Scholar] [CrossRef] [PubMed]
- Kreibich, M.; Berger, T.; Rylski, B.; Chen, Z.; Beyersdorf, F.; Siepe, M.; Czerny, M. Aortic reinterventions after the frozen elephant trunk procedure. J. Thorac. Cardiovasc. Surg. 2020, 159, 392–399.e1. [Google Scholar] [CrossRef]
- Berger, T.; Graap, M.; Rylski, B.; Fagu, A.; Gottardi, R.; Walter, T.; Discher, P.; Hagar, M.T.; Kondov, S.; Czerny, M.; et al. Distal Aortic Failure Following the Frozen Elephant Trunk Procedure for Aortic Dissection. Front. Cardiovasc. Med. 2022, 9, 911548. [Google Scholar] [CrossRef] [PubMed]
- Kreibich, M.; Berger, T.; Walter, T.; Potratz, P.; Discher, P.; Kondov, S.; Beyersdorf, F.; Siepe, M.; Gottardi, R.; Czerny, M.; et al. Downstream thoracic endovascular aortic repair following the frozen elephant trunk procedure. Cardiovasc. Diagn. Ther. 2022, 12, 272–277. [Google Scholar] [CrossRef]
- Chakos, A.; Jbara, D.; Yan, T.D.; Tian, D.H. Long-term survival and related outcomes for hybrid versus traditional arch repair—A meta-analysis. Ann. Cardiothorac. Surg. 2018, 7, 319–327. [Google Scholar] [CrossRef]
- Shalan, A.; Tenorio, E.R.; Mascaro, J.G.; Juszczak, M.T.; Claridge, M.W.; Melloni, A.; Bertoglio, L.; Chiesa, R.; Oderich, G.S.; Adam, D.J. Fenestrated-branched endovascular repair for distal thoracoabdominal aortic pathology after total aortic arch replacement with frozen elephant trunk. J. Vasc. Surg. 2022, 76, 867–874. [Google Scholar] [CrossRef]
- Rustum, S.; Beckmann, E.; Wilhelmi, M.; Krueger, H.; Kaufeld, T.; Umminger, J.; Haverich, A.; Martens, A.; Shrestha, M. Is the frozen elephant trunk procedure superior to the conventional elephant trunk procedure for completion of the second stage? Eur. J. Cardio-Thoracic. Surg. 2017, 52, 725–732. [Google Scholar] [CrossRef]
- Preventza, O.; Cervera, R.; Cooley, D.A.; Bakaeen, F.G.; Mohamed, A.S.; Cheong, B.Y.C.; Cornwell, L.; Simpson, K.H.; Coselli, J.S. Acute type I aortic dissection: Traditional versus hybrid repair with antegrade stent delivery to the descending thoracic aorta. J. Thorac. Cardiovasc. Surg. 2014, 148, 119–125. [Google Scholar] [CrossRef]
- Okamura, H.; Kitada, Y.; Wada, Y.; Fujimori, T.; Adachi, H. Effects of a frozen elephant trunk on postoperative renal dysfunction in acute type A aortic dissection extending into the renal artery. J. Card. Surg. 2022, 37, 3101–3109. [Google Scholar] [CrossRef] [PubMed]
- Axtell, A.; Eagleton, M.; Conrad, M.; Isselbacher, E.; Sundt, T.; Jassar, A. Total Arch Replacement and Frozen Elephant Trunk for Acute Complicated Type B Dissection. Ann. Thorac. Surg. 2020, 110, e213–e216. [Google Scholar] [CrossRef] [PubMed]
- Lin, H.; Chang, Y.; Guo, H.; Qian, X.; Sun, X.; Yu, C. Prediction Nomogram for Postoperative 30-Day Mortality in Acute Type A Aortic Dissection Patients Receiving Total Aortic Arch Replacement With Frozen Elephant Trunk Technique. Front. Cardiovasc. Med. 2022, 9, 905908. [Google Scholar] [CrossRef] [PubMed]
- Xie, E.; Wu, J.; Qiu, J.; Dai, L.; Qiu, J.; Luo, Q.; Jiang, W.; Cao, F.; Zhao, R.; Fan, S.; et al. Early Outcomes of Three Total Arch Replacement Strategies for DeBakey Type I Aortic Dissection. Front. Cardiovasc. Med. 2021, 8, 638420. [Google Scholar] [CrossRef] [PubMed]
- Chivasso, P.; Mastrogiovanni, G.; Miele, M.; Bruno, V.D.; Rosciano, A.; Montella, A.P.; Triggiani, D.; Colombino, M.; Cafarelli, F.; Leone, R.; et al. Frozen Elephant Trunk Technique in Acute Type A Aortic Dissection: Is It for All? Medicina 2021, 57, 894. [Google Scholar] [CrossRef] [PubMed]
- Zhang, H.; Lang, X.; Lu, F.; Song, Z.; Wang, J.; Han, L.; Xu, Z. Acute type A dissection without intimal tear in arch: Proximal or extensive repair? J. Thorac. Cardiovasc. Surg. 2014, 147, 1251–1255. [Google Scholar] [CrossRef]
- Matt, P.; Banerjee, P.; Grapow, M.; Rueter, F.; Schurr, U.; Siegemund, M.; Fassl, J.; Reuthebuch, O.; Eckstein, F. Modified frozen elephant trunk for acute type A aortic dissection: A comparative study with standard repair technique. Eur. J. Cardio-Thoracic. Surg. 2017, 51, ezw412. [Google Scholar] [CrossRef]
- Di Marco, L.; Leone, A.; Murana, G.; Castelli, A.; Alfonsi, J.; Di Bartolomeo, R.; Pacini, D. Acute type A aortic dissection: Rationale and outcomes of extensive repair of the arch and distal aorta. Int. J. Cardiol. 2018, 267, 145–149. [Google Scholar] [CrossRef]
- Inoue, Y.; Matsuda, H.; Omura, A.; Seike, Y.; Uehara, K.; Sasaki, H.; Kobayashi, J. Comparative study of the frozen elephant trunk and classical elephant trunk techniques to supplement total arch replacement for acute type A aortic dissection. Eur. J. Cardio-Thoracic. Surg. 2019, 56, 579–586. [Google Scholar] [CrossRef]
- Berdajs, D.A.; Koechlin, L.; Reid, G.; Grob, F.; Gahl, B.; Schurr, U.; Reuthebuch, O.; Eckstein, F. Modified frozen elephant trunk procedure as standard approach in acute type A aortic dissection: A propensity-weighted analysis. J. Thorac. Cardiovasc. Surg. 2022, 163, 1754–1761. [Google Scholar] [CrossRef] [PubMed]
- Koechlin, L.; Kaufmann, J.; Macius, E.; Bremerich, J.; Sommer, G.; Gahl, B.; Schurr, U.; Grapow, M.; Reuthebuch, O.; Eckstein, F.; et al. Impact of Modified Frozen Elephant Trunk Procedure on Downstream Aorta Remodeling in Acute Aortic Dissection: CT Scan Follow-Up. World J. Surg. 2020, 44, 1648–1657. [Google Scholar] [CrossRef] [PubMed]
- Chen, Y.; Ma, W.-G.; Li, J.-R.; Zheng, J.; Liu, Y.-M.; Zhu, J.-M.; Sun, L.-Z. Is the frozen elephant trunk technique justified for chronic type A aortic dissection in Marfan syndrome? Ann. Cardiothorac. Surg. 2020, 9, 197–208. [Google Scholar] [CrossRef]
- Iafrancesco, M.; Goebel, N.; Mascaro, J.; Franke, U.F.W.; Pacini, D.; Di Bartolomeo, R.; Weiss, G.; Grabenwöger, M.; Leontyev, S.A.; Mohr, F.-W.; et al. Aortic diameter remodelling after the frozen elephant trunk technique in aortic dissection: Results from an international multicentre registry. Eur. J. Cardio-Thoracic. Surg. 2017, 52, 310–318. [Google Scholar] [CrossRef] [PubMed]
- Charchyan, E.; Breshenkov, D.; Belov, Y. Follow-up outcomes after the frozen elephant trunk technique in chronic type B dissection. Eur. J. Cardio-Thoracic. Surg. 2020, 57, 904–911. [Google Scholar] [CrossRef] [PubMed]
- Mariani, C.; Botta, L.; Leone, A.; Murana, G.; Berardi, M.; Coppola, G.; Amodio, C.; Buia, F.; Di Marco, L.; Pacini, D. Visceral malperfusion after Frozen Elephant Trunk in chronic aortic dissection: Post-operative predictors and outcomes. Int. J. Cardiol. 2021, 335, 26–31. [Google Scholar] [CrossRef] [PubMed]
- Tan, L.; Xiao, J.; Zhou, X.; Shen, K.; Li, F.; Luo, J.; Tang, H. Untreated distal intimal tears may be associated with paraplegia after total arch replacement and frozen elephant trunk treatment of acute Stanford type A aortic dissection. J. Thorac. Cardiovasc. Surg. 2019, 158, 343–350.e1. [Google Scholar] [CrossRef]
- Liebrich, M.; Charitos, E.I.; Schlereth, S.; Meißner, H.; Trabold, T.; Geisbüsch, P.; Hemmer, W.; Seeburger, J.; Voth, V. The zone 2 concept and distal stent graft positioning in TH 2–3 are associated with high rates of secondary aortic interventions in frozen elephant trunk surgery. Eur. J. Cardio-Thoracic. Surg. 2021, 60, 343–351. [Google Scholar] [CrossRef]
- Wang, C.; Zhang, W.; Peng, J.; He, J.; Wenliu, X.; Mm, G.C.; Fan, X. Outcomes of long versus short stent cronus hybrid prosthesis in type A aortic dissection: A single centre experience. J. Card. Surg. 2021, 36, 3261–3268. [Google Scholar] [CrossRef]
- Luthra, S.; Tsang, G.M. Intraoperative Open Aortoscopy—A New Emerging Technique in Hybrid Aortic Arch Surgery. Ann. Thorac. Surg. 2022, 114, e299–e301. [Google Scholar] [CrossRef]
- Takagi, D.; Wada, T.; Igarashi, W.; Kadohama, T.; Kiryu, K.; Arai, T.; Yamamoto, H. Endovascular rescue for malpositioned frozen elephant trunk into the false lumen. J. Card. Surg. 2021, 36, 3948–3951. [Google Scholar] [CrossRef] [PubMed]
- Witcher, A.C.; Meers, B.; Lewis, C.T.; Beck, A.W.; Eudailey, K.W. Rescue of False Lumen Frozen Elephant Trunk Deployment Intra-Operatively. Ann. Thorac. Surg. 2022, 116, e5–e7. [Google Scholar] [CrossRef] [PubMed]
- Choudhury, R.Y.; Basharat, K.; Zahra, S.A.; Tran, T.; Rimmer, L.; Harky, A.; Idhrees, M.; Bashir, M. “Proximalization is Advancement”—Zone 3 Frozen Elephant Trunk vs Zone 2 Frozen Elephant Trunk: A Literature Review. Vasc. Endovasc. Surg. 2021, 55, 612–618. [Google Scholar] [CrossRef]
- Mariani, C.; Murana, G.; Leone, A.; Di Marco, L.; Pacini, D. Frozen Elephant Trunk in Aortic Arch Disease: Different Devices for Different Pathologies. Medicina 2021, 57, 1090. [Google Scholar] [CrossRef]
- Tan, S.Z.C.P.; Lopuszko, A.; Munir, W.; Adams, B.; Bashir, M. Aortic proximalization—Zone 0 versus Zone 2: A concept or true challenge? J. Card. Surg. 2021, 36, 3319–3325. [Google Scholar] [CrossRef]
- Rezaei, Y.; Bashir, M.; Mousavizadeh, M.; Daliri, M.; Aljadayel, H.A.; Mohammed, I.; Hosseini, S. Frozen elephant trunk in total arch replacement: A systematic review and meta-analysis of outcomes and aortic proximalization. J. Card. Surg. 2021, 36, 1922–1934. [Google Scholar] [CrossRef]
- Detter, C.; Demal, T.J.; Bax, L.; Tsilimparis, N.; Kölbel, T.; von Kodolitsch, Y.; Vettorazzi, E.; Reichenspurner, H.; Brickwedel, J. Simplified frozen elephant trunk technique for combined open and endovascular treatment of extensive aortic diseases. Eur. J. Cardio-Thoracic. Surg. 2019, 56, 738–745. [Google Scholar] [CrossRef] [PubMed]
- Dai, L.; Qiu, J.; Zhao, R.; Cao, F.; Qiu, J.; Wang, D.; Fan, S.; Xie, E.; Song, J.; Yu, C. A Novel Sutureless Integrated Stented (SIS) Graft Prosthesis for Type A Aortic Dissection: A Pilot Study for a Prospective, Multicenter Clinical Trial. Front. Cardiovasc. Med. 2022, 8, 806104. [Google Scholar] [CrossRef]
- Tsagakis, K.; Osswald, A.; Weymann, A.; Demircioglu, A.; Schmack, B.; Wendt, D.; Jakob, H.; Ruhparwar, A. The frozen elephant trunk technique: Impact of proximalization and the four-sites perfusion technique. Eur. J. Cardio-Thoracic. Surg. 2021, 61, 195–203. [Google Scholar] [CrossRef]
- Bertoglio, L.; Fittipaldi, A.; Giambuzzi, I.; Redaelli, P.; Verzini, A.; Cambiaghi, T.; Bargagna, M.; Alfieri, O.; Chiesa, R.; Castiglioni, A. Preliminary Results of Debranch-First Technique in Frozen Elephant Trunk Procedures. Ann. Thorac. Surg. 2019, 108, 1345–1353. [Google Scholar] [CrossRef]
- Grabenwöger, M.; Mach, M.; Mächler, H.; Arnold, Z.; Pisarik, H.; Folkmann, S.; Harrer, M.-L.; Geisler, D.; Moidl, R.; Winkler, B.; et al. Taking the frozen elephant trunk technique to the next level by a stented side branch for a left subclavian artery connection: A feasibility study. Eur. J. Cardio-Thoracic. Surg. 2021, 59, 1247–1254. [Google Scholar] [CrossRef] [PubMed]
- Chen, L.-W.; Dai, X.-F.; Wu, X.-J.; Liao, D.-S.; Hu, Y.-N.; Zhang, H.; Dong, Y. Ascending Aorta and Hemiarch Replacement Combined With Modified Triple-Branched Stent Graft Implantation for Repair of Acute DeBakey Type I Aortic Dissection. Ann. Thorac. Surg. 2017, 103, 595–601. [Google Scholar] [CrossRef] [PubMed]
- Okamura, H.; Kitada, Y.; Miyagawa, A.; Arakawa, M.; Adachi, H. Clinical outcomes of a fenestrated frozen elephant trunk technique for acute type A aortic dissection. Eur. J. Cardio-Thoracic. Surg. 2021, 59, 765–772. [Google Scholar] [CrossRef] [PubMed]
- Xue, Y.; Cao, H.; Zhou, Q.; Pan, J.; Fan, F.; Zhang, B.; Wang, D. Modified “in situ” arch replacement with an integrative frozen elephant trunk device for acute type A aortic dissection. J. Thorac. Dis. 2021, 13, 5448–5457. [Google Scholar] [CrossRef] [PubMed]
- Jakob, H.; Shehada, S.-E.; Dohle, D.; Wendt, D.; El Gabry, M.; Schlosser, T.; Tsagakis, K. New 3-zone hybrid graft: First-in-man experience in acute type I dissection. J. Thorac. Cardiovasc. Surg. 2022, 163, 568–574.e1. [Google Scholar] [CrossRef]
- Wang, X.; Yang, F.; Zhu, J.; Liu, Y.; Sun, L.; Hou, X. Aortic arch surgery with hypothermic circulatory arrest and unilateral antegrade cerebral perfusion: Perioperative outcomes. J. Thorac. Cardiovasc. Surg. 2020, 159, 374–387.e4. [Google Scholar] [CrossRef] [PubMed]
- Cao, L.; Guo, X.; Jia, Y.; Yang, L.; Wang, H.; Yuan, S. Effect of Deep Hypothermic Circulatory Arrest Versus Moderate Hypothermic Circulatory Arrest in Aortic Arch Surgery on Postoperative Renal Function: A Systematic Review and Meta-Analysis. J. Am. Heart Assoc. 2020, 9, e017939. [Google Scholar] [CrossRef] [PubMed]
- Wang, L.; Cheng, Z.; Li, Y.; Li, J.; Guo, H.; Liang, S.; Sun, X. Improvement of Clinical Outcomes of Total Aortic Arch Replacement and Frozen Elephant Trunk Surgery With Aortic Balloon Occlusion. Front. Cardiovasc. Med. 2021, 8, 691615. [Google Scholar] [CrossRef]
- Liu, Y.; Shi, Y.; Guo, H.; Yu, C.; Qian, X.; Wang, W.; Sun, X. Aortic balloon occlusion technique versus moderate hypothermic circulatory arrest with antegrade cerebral perfusion in total arch replacement and frozen elephant trunk for acute type A aortic dissection. J. Thorac. Cardiovasc. Surg. 2021, 161, 25–33. [Google Scholar] [CrossRef]
- Liang, S.; Liu, Y.; Zhang, B.; Dun, Y.; Guo, H.; Qian, X.; Sun, X. Postoperative Hepatic Dysfunction After Frozen Elephant Trunk for Type A Aortic Dissection. Front. Cardiovasc. Med. 2021, 8, 739606. [Google Scholar] [CrossRef]
- Malvindi, P.G.; Alfonsi, J.; Berretta, P.; Cefarelli, M.; Gatta, E.; Di Eusanio, M. Normothermic frozen elephant trunk: Our experience and literature review. Cardiovasc. Diagn. Ther. 2022, 12, 262–271. [Google Scholar] [CrossRef] [PubMed]
- Martens, A.; Koigeldiyev, N.; Beckmann, E.; Fleissner, F.; Kaufeld, T.; Krueger, H.; Stanelle, D.; Puntigam, J.; Haverich, A.; Shrestha, M. Do not leave the heart arrested. Non-cardioplegic continuous myocardial perfusion during complex aortic arch repair improves cardiac outcome. Eur. J. Cardio-Thoracic. Surg. 2016, 49, 141–148. [Google Scholar] [CrossRef] [PubMed]
- Riambau, V.; Böckler, D.; Brunkwall, J.; Cao, P.; Chiesa, R.; Coppi, G.; Czerny, M.; Fraedrich, G.; Haulon, S.; Jacobs, M.J.; et al. Editor’s Choice—Management of Descending Thoracic Aorta Diseases. Eur. J. Vasc. Endovasc. Surg. 2017, 53, 4–52. [Google Scholar] [CrossRef] [PubMed]
- Jubouri, M.; Kayali, F.; Saha, P.; Ansari, D.M.; Rezaei, Y.; Tan, S.Z.C.P.; Mousavizadeh, M.; Hosseini, S.; Mohammed, I.; Bashir, M. Incidence of Distal Stent Graft Induced New Entry vs. Aortic Remodeling Associated With Frozen Elephant Trunk. Front. Cardiovasc. Med. 2022, 9, 875078. [Google Scholar] [CrossRef]
- Wada, T.; Yamamoto, H.; Kadohama, T.; Takagi, D. Aortic remodeling mismatch: A potential risk factor of late distal stent graft-induced new entry after frozen elephant trunk deployment. JTCVS Tech. 2021, 8, 46–48. [Google Scholar] [CrossRef] [PubMed]
- Okamura, H.; Kitada, Y.; Wada, Y.; Adachi, H. Covered frozen elephant trunk technique for prevention of distal stent graft-induced new entry. Interact. Cardiovasc. Thorac. Surg. 2022, 35, ivac033. [Google Scholar] [CrossRef] [PubMed]
- Nomura, Y.; Tonoki, S.; Kawashima, M.; Fujisue, J.; Uchino, G.; Miyahara, S.; Tanaka, H.; Honda, T.; Mukohara, N.; Murakami, H. Distal Stent Graft-Induced New Entry after Total Arch Replacement with Frozen Elephant Trunk for Aortic Dissection. Ann. Vasc. Dis. 2021, 14, 362–367. [Google Scholar] [CrossRef]
- Kayali, F.; Qutaishat, S.; Jubouri, M.; Chikhal, R.; Tan, S.Z.C.P.; Bashir, M. Kinking of Frozen Elephant Trunk Hybrid Prostheses: Incidence, Mechanism, and Management. Front. Cardiovasc. Med. 2022, 9, 912071. [Google Scholar] [CrossRef]
- Chakfé, N.; Diener, H.; Lejay, A.; Assadian, O.; Berard, X.; Caillon, J.; Fourneau, I.; Glaudemans, A.W.; Koncar, I.; Lindholt, J.; et al. Editor’s Choice—European Society for Vascular Surgery (ESVS) 2020 Clinical Practice Guidelines on the Management of Vascular Graft and Endograft Infections. Eur. J. Vasc. Endovasc. Surg. 2020, 59, 339–384. [Google Scholar] [CrossRef]
- Benedetto, U.; Melina, G.; Angeloni, E.; Codispoti, M.; Sinatra, R. Current results of open total arch replacement versus hybrid thoracic endovascular aortic repair for aortic arch aneurysm: A meta-analysis of comparative studies. J. Thorac. Cardiovasc. Surg. 2013, 145, 305–306. [Google Scholar] [CrossRef]
- Preventza, O.; Garcia, A.; Cooley, D.A.; Haywood-Watson, R.J.L.; Simpson, K.; Bakaeen, F.G.; Cornwell, L.D.; Omer, S.; de la Cruz, K.I.; Price, M.D.; et al. Total aortic arch replacement: A comparative study of zone 0 hybrid arch exclusion versus traditional open repair. J. Thorac. Cardiovasc. Surg. 2015, 150, 1591–1600. [Google Scholar] [CrossRef]
- Zhang, L.; Yu, C.; Yang, X.; Sun, X.; Qiu, J.; Jiang, W.; Wang, D. Hybrid and frozen elephant trunk for total arch replacement in DeBakey type I dissection. J. Thorac. Cardiovasc. Surg. 2019, 158, 1285–1292. [Google Scholar] [CrossRef]
- Blanco Amil, C.L.; Mestres Alomar, G.; Guarnaccia, G.; Luoni, G.; Yugueros Castellnou, X.; Vigliotti, R.C.; Ramses, R.; Riambau, V. The Initial Experience on Branched and Fenestrated Endografts in the Aortic Arch. A Systematic Review. Ann. Vasc. Surg. 2021, 75, 29–44. [Google Scholar] [CrossRef]
- Bosiers, M.J.; Donas, K.P.; Mangialardi, N.; Torsello, G.; Riambau, V.; Criado, F.J.; Veith, F.J.; Ronchey, S.; Fazzini, S.; Lachat, M. European Multicenter Registry for the Performance of the Chimney/Snorkel Technique in the Treatment of Aortic Arch Pathologic Conditions. Ann. Thorac. Surg. 2016, 101, 2224–2230. [Google Scholar] [CrossRef]




| Current Custom-Made Hybrid Devices for Fet Procedures | |||||||
|---|---|---|---|---|---|---|---|
| Devices | E-vita™ Open & Open Plus Jotec GmBH, Hechingen, Germany | E-vita™ Open Neo Jotec GmBH, Hechingen, Germany | E-Novia Jotec/CryoLife GmbH, Hechingen, Germany | Thoraflex™ Hybrid prosthesis Terumo Aortic, Inchinnan, Scotland, UK | Cronus MircoPort, Shanghai, China | J Graft Frozenix Japan Lifeline Co., Tokyo, Japan | Cook hybrid stent-graft Cook, Bloomington, IL |
![]() | ![]() | ![]() | ![]() | ![]() | ![]() | ![]() | |
| General considerations | The E-vita™ Open Plus is an updated iteration of the E-vita™ Open, obviating the need for pre-sealing with fibrin glue. | Double stent at the distal end for more apposition to the aortic wall. Revised delivery system, shorter and more ergonomic. | 3-zone stent-graft with an intermediate nitinol-braided, noncovered stent for arch coverage. | Proximal unstented graft and distal self-expanding endograft with an intermediate collar. | Extra centimeter of Dacron sewing cuff at the proximal and distal ends. | Unique interconnected double-layered oval-shaped nitinol stents, which may be the best design for conforming to the aortic curvature. | Available in standard off-the-shelf sizes for emergent cases; can also be customized for elective cases. |
| Stent-graft Diameter Lengths | Z-shaped nitinol 24–40 mm 13–16 cm | Z-shaped nitinol 20–40 mm 12–13 cm/17–18 cm | Z-shaped nitinol 24–36 mm 10 cm | Saddle-shaped nitinol 24–40 mm 10 cm/15 cm | Z-shaped conichrome 21–32 mm 4–15 cm | Oval-shaped nitinol 21–39 mm 6–12 cm | Z-shaped nitinol |
| Arch graft Diameter Length | Combined 24–40 mm 5 or 7 cm | Combined 26, 28 and 30 mm 10 cm | Nitinol noncovered stent | Combined 22–32 mm 15 cm | Separated | Combined 21–39 mm | Separated |
| Distal anastomosis Zone | 2–3 | 3 configurations:
| 0 | 2 configurations:
| 0–3 | 2–3 | 0–3 |
| Sewing collar | Open Plus | Yes | Yes | Yes | Yes | No | Yes |
| Neck vessels reimplantation | «En-bloc» technique |
| NA |
| En-bloc/End-to-end | En-bloc | En-bloc/End-to-end |
| Perfusion branch | No | Yes | No | Yes | No | No | No |
Disclaimer/Publisher’s Note: The statements, opinions and data contained in all publications are solely those of the individual author(s) and contributor(s) and not of MDPI and/or the editor(s). MDPI and/or the editor(s) disclaim responsibility for any injury to people or property resulting from any ideas, methods, instructions or products referred to in the content. |
© 2023 by the authors. Licensee MDPI, Basel, Switzerland. This article is an open access article distributed under the terms and conditions of the Creative Commons Attribution (CC BY) license (https://creativecommons.org/licenses/by/4.0/).
Share and Cite
Porterie, J.; Hostalrich, A.; Dagenais, F.; Marcheix, B.; Chaufour, X.; Ricco, J.-B. Hybrid Treatment of Complex Diseases of the Aortic Arch and Descending Thoracic Aorta by Frozen Elephant Trunk Technique. J. Clin. Med. 2023, 12, 5693. https://doi.org/10.3390/jcm12175693
Porterie J, Hostalrich A, Dagenais F, Marcheix B, Chaufour X, Ricco J-B. Hybrid Treatment of Complex Diseases of the Aortic Arch and Descending Thoracic Aorta by Frozen Elephant Trunk Technique. Journal of Clinical Medicine. 2023; 12(17):5693. https://doi.org/10.3390/jcm12175693
Chicago/Turabian StylePorterie, Jean, Aurélien Hostalrich, François Dagenais, Bertrand Marcheix, Xavier Chaufour, and Jean-Baptiste Ricco. 2023. "Hybrid Treatment of Complex Diseases of the Aortic Arch and Descending Thoracic Aorta by Frozen Elephant Trunk Technique" Journal of Clinical Medicine 12, no. 17: 5693. https://doi.org/10.3390/jcm12175693
APA StylePorterie, J., Hostalrich, A., Dagenais, F., Marcheix, B., Chaufour, X., & Ricco, J.-B. (2023). Hybrid Treatment of Complex Diseases of the Aortic Arch and Descending Thoracic Aorta by Frozen Elephant Trunk Technique. Journal of Clinical Medicine, 12(17), 5693. https://doi.org/10.3390/jcm12175693








