Quantification of Myocardial Contraction Fraction with Three-Dimensional Automated, Machine-Learning-Based Left-Heart-Chamber Metrics: Diagnostic Utility in Hypertrophic Phenotypes and Normal Ejection Fraction
Abstract
:1. Introduction
2. Materials and Methods
2.1. Study Subjects
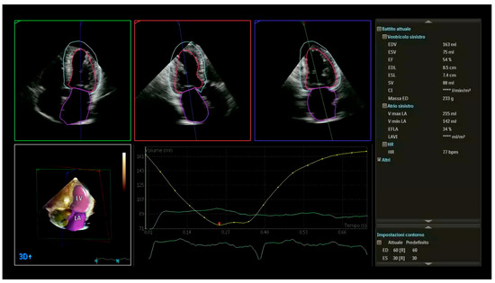
2.2. Echocardiographic Data
3. Statistical Analysis
4. Results
5. Discussion
6. Limitations
7. Conclusions
Author Contributions
Funding
Institutional Review Board Statement
Informed Consent Statement
Data Availability Statement
Conflicts of Interest
References
- Stokke, T.M.; Hasselberg, N.E.; Smedsrud, M.K.; Sarvari, S.I.; Haugaa, K.H.; Smiseth, O.A.; Edvardsen, T.; Remme, E.W. Geometry as a Confounder When Assessing Ventricular Systolic Function: Comparison Between Ejection Fraction and Strain. J. Am. Coll. Cardiol. 2017, 70, 942–954. [Google Scholar] [CrossRef]
- Knight, D.S.; Zumbo, G.; Barcella, W.; Steeden, J.A.; Muthurangu, V.; Martinez-Naharro, A.; Treibel, T.A.; Abdel-Gadir, A.; Bulluck, H.; Kotecha, T.; et al. Cardiac Structural and Functional Consequences of Amyloid Deposition by Cardiac Magnetic Resonance and Echocardiography and Their Prognostic Roles. JACC Cardiovasc. Imaging 2019, 12, 823–833. [Google Scholar] [CrossRef] [PubMed]
- Capasso, J.M.; Strobeck, J.E.; Sonnenblick, E.H. Myocardial mechanical alterations during gradual onset long-term hypertension in rats. Am. J. Physiol. 1981, 241, H435–H441. [Google Scholar] [CrossRef]
- Mann, D.L.; Urabe, Y.; Kent, R.L.; Vinciguerra, S.; Cooper, G. Cellular versus myocardial basis for the contractile dysfunction of hypertrophied myocardium. Circ. Res. 1991, 68, 402–415. [Google Scholar] [CrossRef] [PubMed]
- Maciver, D.H. The relative impact of circumferential and longitudinal shortening on left ventricular ejection fraction and stroke volume. Exp. Clin. Cardiol. 2012, 17, 5–11. [Google Scholar]
- Borlaug, B.A.; Sharma, K.; Shah, S.J.; Ho, J.E. Heart Failure with Preserved Ejection Fraction: JACC Scientific Statement. J. Am. Coll. Cardiol. 2023, 81, 1810–1834. [Google Scholar] [CrossRef]
- King, D.L.; El-Khoury Coffin, L.; Maurer, M.S. Myocardial contraction fraction: A volumetric index of myocardial shortening by freehand three-dimensional echocardiography. J. Am. Coll. Cardiol. 2002, 40, 325–329. [Google Scholar] [CrossRef]
- Matthews, S.D.; Rubin, J.; Cohen, L.P.; Maurer, M.S. Myocardial Contraction Fraction: A Volumetric Measure of Myocardial Shortening Analogous to Strain. J. Am. Coll. Cardiol. 2018, 71, 255–256. [Google Scholar] [CrossRef]
- Arenja, N.; Fritz, T.; Andre, F.; Riffel, J.H.; aus dem Siepen, F.; Ochs, M.; Paffhausen, J.; Hegenbart, U.; Schönland, S.; Müller-Hennessen, M.; et al. Myocardial contraction fraction derived from cardiovascular magnetic resonance cine images-reference values and performance in patients with heart failure and left ventricular hypertrophy. Eur. Heart J. Cardiovasc. Imaging 2017, 18, 1414–1422. [Google Scholar] [CrossRef]
- Shimada, Y.J.; Hoeger, C.W.; Latif, F.; Takayama, H.; Ginns, J.; Maurer, M.S. Myocardial Contraction Fraction Predicts Cardiovascular Events in Patients with Hypertrophic Cardiomyopathy and Normal Ejection Fraction. J. Card. Fail. 2019, 25, 450–456. [Google Scholar] [CrossRef]
- Pagourelias, E.D.; Mirea, O.; Duchenne, J.; Van Cleemput, J.; Delforge, M.; Bogaert, J.; Kuznetsova, T.; Voigt, J.-U. Echo Parameters for Differential Diagnosis in Cardiac Amyloidosis: A Head-to-Head Comparison of Deformation and Nondeformation Parameters. Circ. Cardiovasc. Imaging 2017, 10, e005588. [Google Scholar] [CrossRef] [PubMed]
- Rubin, J.; Steidley, D.E.; Carlsson, M.; Ong, M.L.; Maurer, M.S. Myocardial Contraction Fraction by M-Mode Echocardiography Is Superior to Ejection Fraction in Predicting Mortality in Transthyretin Amyloidosis. J. Card. Fail. 2018, 24, 504–511. [Google Scholar] [CrossRef] [PubMed]
- Arenja, N.; Andre, F.; Riffel, J.H.; aus dem Siepen, F.; Hegenbart, U.; Schönland, S.; Kristen, A.V.; Katus, H.A.; Buss, S.J. Prognostic value of novel imaging parameters derived from standard cardiovascular magnetic resonance in high risk patients with systemic light chain amyloidosis. J. Cardiovasc. Magn. Reson. 2019, 21, 53. [Google Scholar] [CrossRef] [PubMed]
- Armstrong, A.C.; Gidding, S.; Gjesdal, O.; Wu, C.; Bluemke, D.A.; Lima, J.A. LV mass assessed by echocardiography and CMR, cardiovascular outcomes, and medical practice. JACC Cardiovasc. Imaging 2012, 5, 837–848. [Google Scholar] [CrossRef] [PubMed]
- Dorosz, J.L.; Lezotte, D.C.; Weitzenkamp, D.A.; Allen, L.A.; Salcedo, E.E. Performance of 3-dimensional echocardiography in measuring left ventricular volumes and ejection fraction: A systematic review and meta-analysis. J. Am. Coll. Cardiol. 2012, 59, 1799–1808. [Google Scholar] [CrossRef]
- Nolan, M.T.; Thavendiranathan, P. Automated Quantification in Echocardiography. JACC Cardiovasc. Imaging 2019, 12, 1073–1092. [Google Scholar] [CrossRef]
- Tsang, W.; Salgo, I.S.; Medvedofsky, D.; Takeuchi, M.; Prater, D.; Weinert, L.; Yamat, M.; Mor-Avi, V.; Patel, A.R.; Lang, R.M. Transthoracic 3D Echocardiographic Left Heart Chamber Quantification Using an Automated Adaptive Analytics Algorithm. JACC Cardiovasc. Imaging 2016, 9, 769–782. [Google Scholar] [CrossRef]
- Volpato, V.; Mor-Avi, V.; Narang, A.; Prater, D.; Gonçalves, A.; Tamborini, G.; Fusini, L.; Pepi, M.; Patel, A.R.; Lang, R.M. Automated, machine learning-based, 3D echocardiographic quantification of left ventricular mass. Echocardiography 2019, 36, 312–319. [Google Scholar] [CrossRef]
- Wu, V.C.; Kitano, T.; Chu, P.H.; Takeuchi, M. Left ventricular volume and ejection fraction measurements by fully automated 3D echocardiography left chamber quantification software versus CMR: A systematic review and meta-analysis. J. Cardiol. 2023, 81, 19–25. [Google Scholar] [CrossRef]
- Ommen, S.R.; Mital, S.; Burke, M.A.; Day, S.M.; Deswal, A.; Elliott, P.; Evanovich, L.L.; Hung, J.; Joglar, J.A.; Kantor, P.; et al. 2020 AHA/ACC Guideline for the Diagnosis and Treatment of Patients with Hypertrophic Cardiomyopathy: Executive Summary: A Report of the American College of Cardiology/American Heart Association Joint Committee on Clinical Practice Guidelines. Circulation 2020, 142, e533–e557. [Google Scholar] [CrossRef]
- Elliott, P.M.; Anastasakis, A.; Borger, M.A.; Borggrefe, M.; Cecchi, F.; Charron, P.; Hagege, A.A.; Lafont, A.; Limongelli, G.; Mahrholdt, H.; et al. 2014 ESC Guidelines on diagnosis and management of hypertrophic cardiomyopathy: The Task Force for the Diagnosis and Management of Hypertrophic Cardiomyopathy of the European Society of Cardiology (ESC). Eur. Heart J. 2014, 35, 2733–2779. [Google Scholar] [CrossRef] [PubMed]
- Garcia-Pavia, P.; Rapezzi, C.; Adler, Y.; Arad, M.; Basso, C.; Brucato, A.; Burazor, I.; Caforio, A.L.P.; Damy, T.; Eriksson, U.; et al. Diagnosis and treatment of cardiac amyloidosis. A position statement of the European Society of Cardiology Working Group on Myocardial and Pericardial Diseases. Eur. J. Heart Fail. 2021, 23, 512–526. [Google Scholar] [CrossRef]
- Lang, R.M.; Badano, L.P.; Mor-Avi, V.; Afilalo, J.; Armstrong, A.; Ernande, L.; Flachskampf, F.A.; Foster, E.; Goldstein, S.A.; Kuznetsova, T.; et al. Recommendations for cardiac chamber quantification by echocardiography in adults: An update from the American Society of Echocardiography and the European Association of Cardiovascular Imaging. J. Am. Soc. Echocardiogr. 2015, 28, 1–39.e14. [Google Scholar] [CrossRef] [PubMed]
- Mitchell, C.; Rahko, P.S.; Blauwet, L.A.; Canaday, B.; Finstuen, J.A.; Foster, M.C.; Horton, K.; Ogunyankin, K.O.; Palma, R.A.; Velazquez, E.J. Guidelines for Performing a Comprehensive Transthoracic Echocardiographic Examination in Adults: Recommendations from the American Society of Echocardiography. J. Am. Soc. Echocardiogr. 2019, 32, 1–64. [Google Scholar] [CrossRef]
- Barbieri, A.; Albini, A.; Chiusolo, S.; Forzati, N.; Laus, V.; Maisano, A.; Muto, F.; Passiatore, M.; Stuani, M.; Torlai Triglia, L.; et al. Three-Dimensional Automated, Machine-Learning-Based Left Heart Chamber Metrics: Associations with Prevalent Vascular Risk Factors and Cardiovascular Diseases. J. Clin. Med. 2022, 11, 7363. [Google Scholar] [CrossRef] [PubMed]
- King, D.L.; Coffin, L.E.-K.; Maurer, M.S. Noncompressibility of myocardium during systole with freehand three-dimensional echocardiography. J. Am. Soc. Echocardiogr. 2002, 15, 1503–1506. [Google Scholar] [CrossRef] [PubMed]
- Italiano, G.; Tamborini, G.; Fusini, L.; Mantegazza, V.; Doldi, M.; Celeste, F.; Gripari, P.; Muratori, M.; Lang, R.M.; Pepi, M. Feasibility and Accuracy of the Automated Software for Dynamic Quantification of Left Ventricular and Atrial Volumes and Function in a Large Unselected Population. J Clin. Med. 2021, 10, 5030. [Google Scholar] [CrossRef]
- Chuang, M.L.; Gona, P.; Salton, C.J.; Yeon, S.B.; Kissinger, K.V.; Blease, S.J.; Levy, D.; O’Donnell, C.J.; Manning, W.J. Usefulness of the left ventricular myocardial contraction fraction in healthy men and women to predict cardiovascular morbidity and mortality. Am. J. Cardiol. 2012, 109, 1454–1458. [Google Scholar] [CrossRef] [PubMed]
- Abdalla, M.; Akwo, E.A.; Bluemke, D.A.; Lima, J.A.C.; Shimbo, D.; Maurer, M.S.; Bertoni, A.G. Association between reduced myocardial contraction fraction and cardiovascular disease outcomes: The Multi-Ethnic Study of Atherosclerosis. Int. J. Cardiol. 2019, 293, 10–16. [Google Scholar] [CrossRef]
- Hou, X.; Xiong, X.; Li, X.; Bi, J.; Xu, G.; Wang, Y.; Jiang, S. Predictive value of cardiac magnetic resonance mechanical parameters for myocardial fibrosis in hypertrophic cardiomyopathy with preserved left ventricular ejection fraction. Front. Cardiovasc. Med. 2022, 9, 1062258. [Google Scholar] [CrossRef]
- Maurer, M.S.; Packer, M. How Should Physicians Assess Myocardial Contraction?: Redefining Heart Failure With a Preserved Ejection Fraction. JACC Cardiovasc. Imaging 2020, 13, 873–878. [Google Scholar] [CrossRef] [PubMed]
- Patel, H.N.; Miyoshi, T.; Addetia, K.; Henry, M.P.; Citro, R.; Daimon, M.; Gutierrez Fajardo, P.; Kasliwal, R.R.; Kirkpatrick, J.N.; Monaghan, M.J.; et al. Normal Values of Cardiac Output and Stroke Volume According to Measurement Technique, Age, Sex, and Ethnicity: Results of the World Alliance of Societies of Echocardiography Study. J. Am. Soc. Echocardiogr. 2021, 34, 1077–1085.e1. [Google Scholar] [CrossRef] [PubMed]
- Addetia, K.; Miyoshi, T.; Amuthan, V.; Citro, R.; Daimon, M.; Gutierrez Fajardo, P.; Kasliwal, R.R.; Kirkpatrick, J.N.; Monaghan, M.J.; Muraru, D.; et al. Normal Values of Left Ventricular Size and Function on Three-Dimensional Echocardiography: Results of the World Alliance Societies of Echocardiography Study. J. Am. Soc. Echocardiogr. 2022, 35, 449–459. [Google Scholar] [CrossRef] [PubMed]
- Tendler, A.; Helmke, S.; Teruya, S.; Alvarez, J.; Maurer, M.S. The myocardial contraction fraction is superior to ejection fraction in predicting survival in patients with AL cardiac amyloidosis. Amyloid 2015, 22, 61–66. [Google Scholar] [CrossRef]
- Castaño, A.; Narotsky, D.L.; Hamid, N.; Khalique, O.K.; Morgenstern, R.; DeLuca, A.; Rubin, J.; Chiuzan, C.; Nazif, T.; Vahl, T.; et al. Unveiling transthyretin cardiac amyloidosis and its predictors among elderly patients with severe aortic stenosis undergoing transcatheter aortic valve replacement. Eur. Heart J. 2017, 38, 2879–2887. [Google Scholar] [CrossRef]
- Milani, P.; Dispenzieri, A.; Scott, C.G.; Gertz, M.A.; Perlini, S.; Mussinelli, R.; Lacy, M.Q.; Buadi, F.K.; Kumar, S.; Maurer, M.S.; et al. Independent Prognostic Value of Stroke Volume Index in Patients with Immunoglobulin Light Chain Amyloidosis. Circ. Cardiovasc. Imaging 2018, 11, e006588. [Google Scholar] [CrossRef]
- Siepen, F.A.D.; Bauer, R.; Voss, A.; Hein, S.; Aurich, M.; Riffel, J.; Mereles, D.; Röcken, C.; Buss, S.J.; Katus, H.A.; et al. Predictors of survival stratification in patients with wild-type cardiac amyloidosis. Clin. Res. Cardiol. 2018, 107, 158–169. [Google Scholar] [CrossRef]
- Barbieri, A.; Bursi, F.; Camaioni, G.; Maisano, A.; Imberti, J.F.; Albini, A.; De Mitri, G.; Mantovani, F.; Boriani, G. Echocardiographic Left Ventricular Mass Assessment: Correlation between 2D-Derived Linear Dimensions and 3-Dimensional Automated, Machine Learning-Based Methods in Unselected Patients. J. Clin. Med. 2021, 10, 1279. [Google Scholar] [CrossRef]




| MCF ≥ 50% (n = 141) | MCF < 50% (n = 46) | Total (n = 187) | p-Value | |
|---|---|---|---|---|
| Age, years | 57.00 (46.0–70.0) | 71.50 (59.0–81.0) | 61.00 (48.3–72.8) | <0.001 |
| Female | 76 (53.9) | 12 (26.1) | 88 (47.1) | <0.001 |
| Heart rate, bpm | 69.00 (62.0–77.0) | 67.50 (60.8–81.5) | 69.00 (62.0–78.0) | 0.791 |
| Hypertension | 78 (55.3) | 21 (45.7) | 99 (52.9) | 0.308 |
| Diabetes | 0.0 (0.0) | 2 (4.3) | 2 (1.1) | 0.060 |
| CAD | 1 (0.7) | 4 (8.7) | 5 (2.7) | 0.014 |
| ACS | 1 (0.7) | 2 (4.3) | 3 (1.6) | 0.150 |
| Stroke/TIA | 1 (0.7) | 1 (2.2) | 2 (1.1) | 0.432 |
| Heart failure | 0 (0.0) | 0 (0.0) | 0 (0.0) | NA |
| Atrial fibrillation | 1 (0.7) | 8 (17.4) | 9 (4.8) | <0.001 |
| CIED | 2 (1.4) | 5 (10.9) | 7 (3.7) | 0.004 |
| Pulmonary embolism | 0 (0.0) | 1 (2.2) | 1 (0.5) | 0.246 |
| Healthy adults | 49 (90.7) | 5 (9.3) | 54 (100) | <0.001 |
| Isolated hypertension | 76 (87.4) | 11 (12.6) | 87 (100) | |
| Hypertrophic cardiomyopathy | 15/36 (41.7) | 21/36 (58.3) | 36736 (100) | |
| Cardiac amyloidosis | 1 (10.0) | 9 (90.0) | 10 (100) |
| MCF ≥ 50% (n = 141) | MCF < 50% (n = 46) | Total (n = 187) | p-Value | |
|---|---|---|---|---|
| EDD, mm | 48.00 (44.00–51.00) | 44.00 (40.75–49.25) | 47.00 (44.00–51.00) | 0.006 |
| LV Mass-i (2D), g | 73.96 (62.60–90.81) | 114.49 (75.18–141.48) | 76.65 (63.17–99.92) | <0.001 |
| LV Mass-i, g/m2 | 73.81 (63.63–82.93) | 93.25 (84.11–109.14) | 77.37 (67.05–89.47) | <0.001 |
| LV EDVi (2D), mL/m2 | 53.99 (53.18–58.62) | 54.79 (50.27–60.47) | 53.99 (53.31–58.05) | 0.967 |
| LV EDVi, mL/m2 | 72.27 (62.88–81.78) | 68.20 (59.72–82.12) | 71.82 (62.32–81.66) | 0.469 |
| LV ESVi, mL/m2 | 28.60 (22.96–35.81) | 31.97 (24.60–38.70) | 28.71 (23.49–36.04) | 0.154 |
| SVi, g/m2 | 42.71 (37.46–48.87) | 39.69 (33.94–44.48) | 42.06 (36.66–48.32) | 0.006 |
| LVEF, % | 60.00 (56.00–63.50) | 56.00 (51.75–60.25) | 58.50 (55.00–63.00) | <0.001 |
| MCF | 60.43 (55.28–66.44) | 44.99 (40.11–47.94) | 57.34 (50.06–64.88) | <0.001 |
| LAVi Max, mL/m2 | 34.37 (28.35–42.66) | 54.01 (41.25–65.25) | 37.13 (29.52–48.59) | <0.001 |
| LAVi Min, mL/m2 | 12.72 (9.43–17.06) | 30.25 (17.74–40.24) | 14.33 (10.10–23.34) | <0.001 |
| LAEF, % | 62.00 (56.00–68.00) | 45.00 (29.00–59.00) | 60.00 (51.00–66.00) | <0.001 |
Disclaimer/Publisher’s Note: The statements, opinions and data contained in all publications are solely those of the individual author(s) and contributor(s) and not of MDPI and/or the editor(s). MDPI and/or the editor(s) disclaim responsibility for any injury to people or property resulting from any ideas, methods, instructions or products referred to in the content. |
© 2023 by the authors. Licensee MDPI, Basel, Switzerland. This article is an open access article distributed under the terms and conditions of the Creative Commons Attribution (CC BY) license (https://creativecommons.org/licenses/by/4.0/).
Share and Cite
Barbieri, A.; Imberti, J.F.; Bartolomei, M.; Bonini, N.; Laus, V.; Torlai Triglia, L.; Chiusolo, S.; Stuani, M.; Mari, C.; Muto, F.; et al. Quantification of Myocardial Contraction Fraction with Three-Dimensional Automated, Machine-Learning-Based Left-Heart-Chamber Metrics: Diagnostic Utility in Hypertrophic Phenotypes and Normal Ejection Fraction. J. Clin. Med. 2023, 12, 5525. https://doi.org/10.3390/jcm12175525
Barbieri A, Imberti JF, Bartolomei M, Bonini N, Laus V, Torlai Triglia L, Chiusolo S, Stuani M, Mari C, Muto F, et al. Quantification of Myocardial Contraction Fraction with Three-Dimensional Automated, Machine-Learning-Based Left-Heart-Chamber Metrics: Diagnostic Utility in Hypertrophic Phenotypes and Normal Ejection Fraction. Journal of Clinical Medicine. 2023; 12(17):5525. https://doi.org/10.3390/jcm12175525
Chicago/Turabian StyleBarbieri, Andrea, Jacopo F. Imberti, Mario Bartolomei, Niccolò Bonini, Vera Laus, Laura Torlai Triglia, Simona Chiusolo, Marco Stuani, Chiara Mari, Federico Muto, and et al. 2023. "Quantification of Myocardial Contraction Fraction with Three-Dimensional Automated, Machine-Learning-Based Left-Heart-Chamber Metrics: Diagnostic Utility in Hypertrophic Phenotypes and Normal Ejection Fraction" Journal of Clinical Medicine 12, no. 17: 5525. https://doi.org/10.3390/jcm12175525
APA StyleBarbieri, A., Imberti, J. F., Bartolomei, M., Bonini, N., Laus, V., Torlai Triglia, L., Chiusolo, S., Stuani, M., Mari, C., Muto, F., Righelli, I., Gerra, L., Malaguti, M., Mei, D. A., Vitolo, M., & Boriani, G. (2023). Quantification of Myocardial Contraction Fraction with Three-Dimensional Automated, Machine-Learning-Based Left-Heart-Chamber Metrics: Diagnostic Utility in Hypertrophic Phenotypes and Normal Ejection Fraction. Journal of Clinical Medicine, 12(17), 5525. https://doi.org/10.3390/jcm12175525

