Pleural Effusions on MRI in Autosomal Dominant Polycystic Kidney Disease
Abstract
1. Introduction
2. Materials and Methods
2.1. Patients
2.2. Extraction of Data
2.3. Image Acquisition
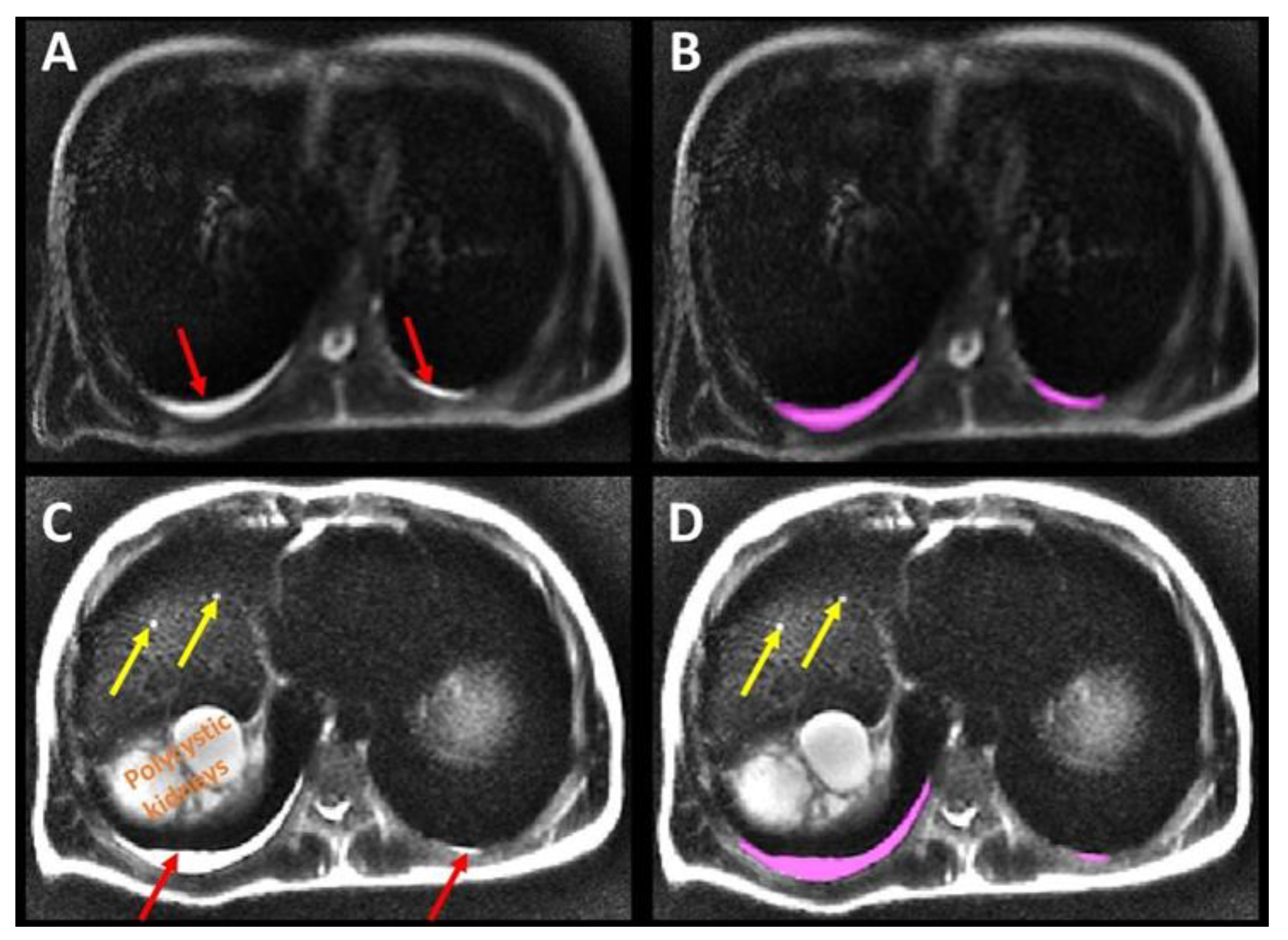
2.4. Image Analysis
2.5. Descriptive Statistics
2.6. Regression Models
3. Results
3.1. Interobserver Variability
3.2. Prevalence and Volume of Pleural Fluid in ADPKD and Control Groups
3.3. Genotype
3.4. Correlation with Laboratory and Imaging Parameters
3.5. Clinical Effects and Duration of Pleural Effusion
4. Discussion
5. Conclusions
Supplementary Materials
Author Contributions
Funding
Institutional Review Board Statement
Informed Consent Statement
Data Availability Statement
Conflicts of Interest
References
- Raptis, V.; Loutradis, C.; Sarafidis, P.A. Renal injury progression in autosomal dominant polycystic kidney disease: A look beyond the cysts. Nephrol. Dial. Transplant. 2018, 33, 1887–1895. [Google Scholar] [CrossRef] [PubMed]
- Lai, X.; Bacallao, R.L.; Blazer-Yost, B.L.; Hong, D.; Mason, S.B.; Witzmann, F.A. Characterization of the renal cyst fluid proteome in autosomal dominant polycystic kidney disease (ADPKD) patients. Proteom. Clin. Appl. 2008, 2, 1140–1152. [Google Scholar] [CrossRef] [PubMed]
- Thimmappa, N.D.; Blumenfeld, J.D.; Cerilles, M.A.; Dunning, A.; Donahue, S.L.; Bobb, W.O.; Zhang, H.L.; Prince, M.R. Cisterna chyli in autosomal dominant polycystic kidney disease. J. Magn. Reson. Imaging 2015, 41, 142–148. [Google Scholar] [CrossRef] [PubMed]
- Irazabal, M.V.; Rangel, L.J.; Bergstralh, E.J.; Osborn, S.L.; Harmon, A.J.; Sundsbak, J.L.; Bae, K.T.; Chapman, A.B.; Grantham, J.J.; Mrug, M.; et al. Imaging Classification of Autosomal Dominant Polycystic Kidney Disease: A Simple Model for Selecting Patients for Clinical Trials. J. Am. Soc. Nephrol. 2015, 26, 160–172. [Google Scholar] [CrossRef]
- Liu, J.; Fujikura, K.; Dev, H.; Riyahi, S.; Blumenfeld, J.; Kim, J.; Rennert, H.; Prince, M.R. Pericardial Effusion on MRI in Autosomal Dominant Polycystic Kidney Disease. J. Clin. Med. 2022, 11, 1127. [Google Scholar] [CrossRef]
- Asik, M.; Tufan, F.; Akpinar, T.S.; Akalin, N.; Ceyhan, E.; Tunc, N.; Hasiloglu, Z.I.; Altiparmak, M.R.; Ecder, T.; Albayram, S. Frequency of Nerve Root Sleeve Cysts in Autosomal Dominant Polycystic Kidney Disease. Balk. Med. J. 2016, 33, 652–656. [Google Scholar] [CrossRef]
- Zhang, W.; Stephens, C.J.; Blumenfeld, J.D.; Behzadi, A.H.; Donahue, S.; Bobb, W.O.; Newhouse, J.H.; Rennert, H.; Zhao, Y.; Prince, M.R. Relationship of Seminal Megavesicles, Prostate Median Cysts, and Genotype in Autosomal Dominant Polycystic Kidney Disease. J. Magn. Reson. Imaging 2019, 49, 894–903. [Google Scholar] [CrossRef]
- Reig, B.; Blumenfeld, J.; Donahue, S.; Prince, M.R. Seminal megavesicle in autosomal dominant polycystic kidney disease. Clin. Imaging 2015, 39, 289–292. [Google Scholar] [CrossRef]
- Mochizuki, T.; Makabe, S.; Aoyama, Y.; Kataoka, H.; Nitta, K. New Insights into Cystic Kidney Diseases. Contrib. Nephrol. 2018, 195, 31–41. [Google Scholar] [CrossRef]
- Driscoll, J.A.; Bhalla, S.; Liapis, H.; Ibricevic, A.; Brody, S.L. Autosomal dominant polycystic kidney disease is associated with an increased prevalence of radiographic bronchiectasis. Chest 2008, 133, 1181–1188. [Google Scholar] [CrossRef]
- Van Laecke, S.; Van Biesen, W. Novel non-cystic features of polycystic kidney disease: Having new eyes or seeking new landscapes. Clin. Kidney J. 2021, 14, 746–755. [Google Scholar] [CrossRef] [PubMed]
- Jouret, F.; Devuyst, O. Targeting chloride transport in autosomal dominant polycystic kidney disease. Cell. Signal. 2020, 73, 109703. [Google Scholar] [CrossRef] [PubMed]
- Pei, Y.; Obaji, J.; Dupuis, A.; Paterson, A.D.; Magistroni, R.; Dicks, E.; Parfrey, P.; Cramer, B.; Coto, E.; Torra, R.; et al. Unified criteria for ultrasonographic diagnosis of ADPKD. J. Am. Soc. Nephrol. 2009, 20, 205–212. [Google Scholar] [CrossRef] [PubMed]
- Casillas-Sagrado, E.; Burguera, V.; Rioja-Martín, M.E.; Rivera-Gorrín, M. Infected renal cyst presented with pleural effusion in a woman with autosomal dominant polycystic kidney disease. Clin. Kidney J. 2018, 11, 204–206. [Google Scholar] [CrossRef]
- Torres, V.E.; Chapman, A.B.; Devuyst, O.; Gansevoort, R.T.; Grantham, J.J.; Higashihara, E.; Perrone, R.D.; Krasa, H.B.; Ouyang, J.; Czerwiec, F.S.; et al. Tolvaptan in patients with autosomal dominant polycystic kidney disease. N. Engl. J. Med. 2012, 367, 2407–2418. [Google Scholar] [CrossRef]
- Flego, V.; Radojcić Badovinac, A.; Plese, V.; Kapović, M.; Beg-Zec, Z.; Zaputović, L. Malignancy risk in patient with neurofibromatosis and autosomal dominant polycystic kidney disease. Croat. Med. J. 2003, 44, 485–488. [Google Scholar]
- Peterson, M.; Aboudara, M. Hepatic cystopleural fistula. Am. J. Respir. Crit. Care Med. 2014, 189, e4–e6. [Google Scholar] [CrossRef]
- van Erpecum, K.J.; Janssens, A.R.; Terpstra, J.L.; Tjon, A.T.R.T. Highly symptomatic adult polycystic disease of the liver. A report of fifteen cases. J. Hepatol. 1987, 5, 109–117. [Google Scholar] [CrossRef]
- Taylor, J.; Thomas, R.; Metherall, P.; Ong, A.; Simms, R. MO012: Development of an Accurate Automated Segmentation Algorithm to Measure Total Kidney Volume in ADPKD Suitable for Clinical Application (The Cystvas Study). Nephrol. Dial. Transplant. 2022, 37, gfac061.007. [Google Scholar] [CrossRef]
- Woolnough, K.; Palejwala, A.; Bramall, S. Polycystic liver disease presenting with an exudative pleural effusion: A case report. J. Med. Case. Rep. 2012, 6, 107. [Google Scholar] [CrossRef]
- Jung, D.H.; Hwang, S.; Ahn, C.S.; Moon, D.B.; Song, G.W.; Kim, K.H.; Ha, T.Y.; Park, G.C.; Lee, S.G. Fenestration of liver cysts in polycystic liver disease to improve quality of life: A case report and literature review. Korean J. Hepatobiliary Pancreat. Surg 2015, 19, 40–46. [Google Scholar] [CrossRef] [PubMed]
- Newman, K.D.; Torres, V.E.; Rakela, J.; Nagorney, D.M. Treatment of highly symptomatic polycystic liver disease. Preliminary experience with a combined hepatic resection-fenestration procedure. Ann. Surg. 1990, 212, 30–37. [Google Scholar] [CrossRef] [PubMed]
- Moua, T.; Zand, L.; Hartman, R.P.; Hartman, T.E.; Qin, D.; Peikert, T.; Qian, Q. Radiologic and clinical bronchiectasis associated with autosomal dominant polycystic kidney disease. PLoS ONE 2014, 9, e93674. [Google Scholar] [CrossRef] [PubMed][Green Version]
- Pfeferman, M.B.; Rocha, D.R.d.; Rodrigues, F.G.; Pfeferman, E.; Heilberg, I.P. Echocardiographic Abnormalities in Autosomal Dominant Polycystic Kidney Disease (ADPKD) Patients. J. Clin. Med. 2022, 11, 5982. [Google Scholar] [CrossRef]
- Hossack, K.F.; Leddy, C.L.; Johnson, A.M.; Schrier, R.W.; Gabow, P.A. Echocardiographic findings in autosomal dominant polycystic kidney disease. N. Engl. J. Med. 1988, 319, 907–912. [Google Scholar] [CrossRef]
- Ecder, T.; Schrier, R.W. Hypertension and left ventricular hypertrophy in autosomal dominant polycystic kidney disease. Expert Rev. Cardiovasc. Ther. 2004, 2, 369–374. [Google Scholar] [CrossRef]
- Nguyen, J.; Nicholson, B.T.; Patrie, J.T.; Harvey, J.A. Incidental pleural effusions detected on screening breast MRI. AJR. Am. J. Roentgenol. 2012, 199, W142–W145. [Google Scholar] [CrossRef]
- Kocijancic, I.; Kocijancic, K.; Cufer, T. Imaging of pleural fluid in healthy individuals. Clin. Radiol. 2004, 59, 826–829. [Google Scholar] [CrossRef]
- Kocijancic, K.; Kocijancic, I.; Vidmar, G. Sonography of pleural space in healthy individuals. J. Clin. Ultrasound 2005, 33, 386–389. [Google Scholar] [CrossRef]




| Coronal SSFSE 1 | Axial SSFSE | Axial 3D LAVA 2 | Axial DWI 3 | Axial SSFP 4 | |
|---|---|---|---|---|---|
| Image Weighting | T2 | T2 | T1 | diffusion | T2/T1 |
| Field of view | 40–48 | 30–42 | 30–42 | 30–42 | 30–42 |
| Matrix | 320 × 256 | 320 × 208 | 288 × 192 | 160 × 108 | 192 × 244 |
| Slice thickness | 5 mm | 5 mm | 3 mm | 5 mm | 4 mm |
| TR 5/TE 6/flip | 1200/91/130 | 1000/95/130 | 3.98/1.24/9 | 7500/90/90 | 3.9/1.7/60 |
| (A) | |||
|---|---|---|---|
| Demographic Data | ADPKD Subjects N = 268 | Matched Controls N = 268 | p-Value |
| Age | 47 ± 14 | 47 ± 15 | 0.89 |
| Male: Female (% Male) | 127:141 (47%) | 127:141 (47%) | 1 |
| Race | <0.01 * | ||
| White | 224 (84%) | 173 (65%) | |
| Black | 12 (4%) | 29 (11%) | |
| Asian | 20 (7%) | 10 (4%) | |
| Native American | 1 (1%) | 0 (0%) | |
| Unknown | 11 (4%) | 56 (21%) | |
| Weight (kg) | 75 (18–146) | 71 (37–156) | 0.33 |
| Body Mass Index (kg/m2) | 25.3 (18.0–49.7) | 25 (2–59) | 0.90 |
| Body Surface Area (m2) | 1.9 (1.4–2.6) | 0.8 (1.4–21.4) | 0.22 |
| Systolic Blood Pressure (mmHg) | 120 (90–180) | 120 (92–184) | 0.43 |
| Diastolic Blood Pressure (mmHg) | 79 ± 10 | 75 ± 9 | <0.001 * |
| Estimated Glomerular Filtration Rate (mL/min/1.73 m²) | 70 (5–132) | 92 (24–150) | <0.001 * |
| Blood Urea Nitrogen (mg/dL) | 20 (6–73) | 12 (3–71) | <0.001 * |
| Albumin (g/dL) | 4.3 (3.6–5.1) | 4.1 (1.5–5.3) | <0.001 * |
| Aspartate Transaminase (U/L) | 23 (15–113) | 22 (11–125) | 0.02 * |
| Alanine Transaminase (U/L) | 21 (10–138) | 22 (6–153) | 0.74 |
| Height-Adjusted Total Kidney Volume (mL/m) | 782 (157–10,254) | 190 (47–400) | <0.001 * |
| Liver Volume (mL) | 1750 (854–15,563) | 189 (47–400) | <0.001 * |
| Spleen Volume (mL) | 236 (56–761) | 182 (50–599) | <0.001 * |
| Pleural Fluid Present | 56 (21%) | 21 (8%) | <0.001 * |
| Unilateral Right Pleural Fluid | 2 (3.6%) | 2 (9.5%) | 0.33 |
| Unilateral Left Pleural Fluid | 2 (3.6%) | 1 (4.8%) | 0.82 |
| (B) | |||
| Demographic Data | ADPKD Subjects N = 110 | Matched Controls N = 110 | p-Value |
| Age | 44 ± 15 | 44 ± 15 | 1 |
| Male: Female (% Male) | 52:58 (53%) | 52:58 (53%) | 1 |
| Race | <0.01 * | ||
| White | 92 (84%) | 72 (65%) | |
| Black | 6 (5%) | 5 (5%) | |
| Asian | 7 (6%) | 3 (3%) | |
| Unknown | 5 (4%) | 30 (27%) | |
| Weight (kg) | 76 (61–87) | 78 (63–87) | 0.46 |
| Body Mass Index (kg/m2) | 26 (22–28) | 26 (22–28) | 0.47 |
| Body Surface Area (m2) | 1.9 (1.7–2.1) | 1.9 (1.7–2.1) | 0.85 |
| Blood Pressure | |||
| Systolic | 122 (110–130) | 122 (112–131) | 0.63 |
| Diastolic | 78 ± 10 | 76 ± 8 | 0.15 |
| Estimated Glomerular Filtration Rate (ml/min/173m2) | 89 (67–110) | 94 (77–115) | 0.20 |
| Blood Urea Nitrogen (mg/dL) | 18 (13–21) | 15 (10–18) | <0.01 * |
| Albumin (g/dL) | 4.4 (4.2–4.5) | 4 (3.7–4.4) | <0.001 * |
| Aspartate Transaminase (U/L) | 26 (20–28) | 26 (18–28) | 0.04 * |
| Alanine Transaminase (U/L) | 25 (17–28) | 26 (15–28) | 0.69 |
| Height-Adjusted Total Kidney Volume (mL/m) | 781 (353–948) | 196 (167–218) | <0.001 * |
| Liver Volume | 1973 (1403–2090) | 1707 (1305–1889) | 0.11 |
| Spleen Volume | 257 (173–306) | 248 (164–287) | 0.64 |
| Pleural Fluid Present | 28 (25%) | 5 (5%) | <0.001 * |
| Demographic Data | No Pleural Fluid N = 212 | Pleural Fluid N = 56 | p-Value |
|---|---|---|---|
| Age | 48 ± 14 | 43 ± 14 | 0.007 * |
| Male: Female (% Male) | 108:104 (51%) | 19:37 (34%) | 0.02 * |
| Race | 0.07 | ||
| White | 182 (86%) | 42 (75%) | |
| Black | 8 (4%) | 4 (7%) | |
| Asian | 14 (7%) | 10 (11%) | |
| Native American | 0 (0%) | 1 (2%) | |
| Unknown | 8 (3%) | 3 (5%) | |
| Weight (kg) | 70 (48–124) | 77 (43–146) | 0.02 * |
| Body Mass Index (kg/m2) | 24 (17–49) | 26 (18–44) | 0.007 * |
| Body Surface Area (m2) | 1.8 ± 0.2 | 1.9 (1.4–2.6) | 0.03 * |
| Blood Pressure | |||
| Systolic | 121 (94–171) | 120 (90–180) | 0.69 |
| Diastolic | 79 ± 8 | 79 ± 10 | 0.88 |
| Estimated Glomerular Filtration Rate (mL/min/1.73 m²) | 83 (5–130) | 69 (6–132) | 0.30 |
| Blood Urea Nitrogen (mg/dL) | 18 (6–57) | 20 (6–73) | 0.14 |
| Albumin (g/dL) | 4.3 (3.6–4.8) | 4.3 (3.6–5.1) | 0.22 |
| Aspartate Transaminase (U/L) | 23 (15–37) | 23 (15–113) | 0.28 |
| Alanine Transaminase (U/L) | 18 (10–44) | 21 (10–138) | 0.02 * |
| Total Kidney Volume/height (mL/m) | 653 (216–10,254) | 785 (153–6458) | 0.73 |
| Liver Volume (mL) | 1707 (1054–15,563) | 1762 (854–7589) | 0.55 |
| Spleen Volume (mL) | 247 (117–533) | 234 (56–761) | 0.34 |
| Genotype Data | |||
| Data Available | 180 (85%) | 47 (84%) | 0.86 |
| PKD1 Mutations | 133 (74%) | 38 (81%) | 0.32 |
| PKD 2 Mutation | 47 (26%) | 9 (19%) | 0.32 |
| Variables | Correlation Coefficient | p-Value |
|---|---|---|
| Age | −0.15 | 0.012 * |
| Gender (female =0, male = 1) | −0.14 | 0.023 * |
| Height | −0.06 | 0.336 |
| Weight | −0.14 | 0.021 * |
| Body Mass Index | −0.12 | 0.045 * |
| Body Surface Area | −0.13 | 0.032 * |
| Blood Pressure | ||
| Systolic | −0.02 | 0.747 |
| Diastolic | −0.002 | 0.972 |
| Estimated Glomerular Filtration Rate | 0.07 | 0.281 |
| Blood Urea Nitrogen | −0.017 | 0.227 |
| Albumin | −0.09 | 0.129 |
| Aspartate Transaminase | −0.08 | 0.183 |
| Alanine Transaminase | −0.13 | 0.038 * |
| PKD Mutation Genotype | 0.01 | 0.814 |
| Total Kidney Volume/height | 0.02 | 0.744 |
| Liver Volume | 0.03 | 0.640 |
| Spleen Volume | 0.03 | 0.606 |
| Demographic Data | Coefficients | Standard Error | t-Stat | p-Value | Lower 95% | Upper 95% |
|---|---|---|---|---|---|---|
| Intercept | 0.62 | 0.14 | 4.36 | 0.00002 | 0.34 | 0.90 |
| Age | −0.004 | 0.002 | −2.32 | 0.02 * | −0.008 | −0.0006 |
| Gender | −0.07 | 0.07 | −0.91 | 0.36 | −0.21 | 0.08 |
| Weight | −0.0008 | 0.004 | −0.21 | 0.84 | −0.008 | 0.007 |
| Body Mass Index | −0.002 | 0.01 | −0.18 | 0.86 | −0.03 | 0.02 |
| Alanine Transaminase | −0.003 | 0.002 | −1.28 | 0.20 | −0.007 | 0.002 |
Disclaimer/Publisher’s Note: The statements, opinions and data contained in all publications are solely those of the individual author(s) and contributor(s) and not of MDPI and/or the editor(s). MDPI and/or the editor(s) disclaim responsibility for any injury to people or property resulting from any ideas, methods, instructions or products referred to in the content. |
© 2023 by the authors. Licensee MDPI, Basel, Switzerland. This article is an open access article distributed under the terms and conditions of the Creative Commons Attribution (CC BY) license (https://creativecommons.org/licenses/by/4.0/).
Share and Cite
Liu, J.; Yin, X.; Dev, H.; Luo, X.; Blumenfeld, J.D.; Rennert, H.; Prince, M.R. Pleural Effusions on MRI in Autosomal Dominant Polycystic Kidney Disease. J. Clin. Med. 2023, 12, 386. https://doi.org/10.3390/jcm12010386
Liu J, Yin X, Dev H, Luo X, Blumenfeld JD, Rennert H, Prince MR. Pleural Effusions on MRI in Autosomal Dominant Polycystic Kidney Disease. Journal of Clinical Medicine. 2023; 12(1):386. https://doi.org/10.3390/jcm12010386
Chicago/Turabian StyleLiu, Jin, Xiaorui Yin, Hreedi Dev, Xianfu Luo, Jon D. Blumenfeld, Hanna Rennert, and Martin R. Prince. 2023. "Pleural Effusions on MRI in Autosomal Dominant Polycystic Kidney Disease" Journal of Clinical Medicine 12, no. 1: 386. https://doi.org/10.3390/jcm12010386
APA StyleLiu, J., Yin, X., Dev, H., Luo, X., Blumenfeld, J. D., Rennert, H., & Prince, M. R. (2023). Pleural Effusions on MRI in Autosomal Dominant Polycystic Kidney Disease. Journal of Clinical Medicine, 12(1), 386. https://doi.org/10.3390/jcm12010386

