Percutaneous Transluminal Renal Angioplasty for Fibromuscular Dysplasia and Prognostic Risk Factors: A Retrospective Chinese Cohort Study
Abstract
1. Introduction
2. Materials and Methods
2.1. Patients
2.2. Treatment
2.3. Definition and Outcomes
2.4. Data Collection
2.5. Follow-Up
2.6. Statistical Analysis
3. Results
3.1. Patient Characteristics
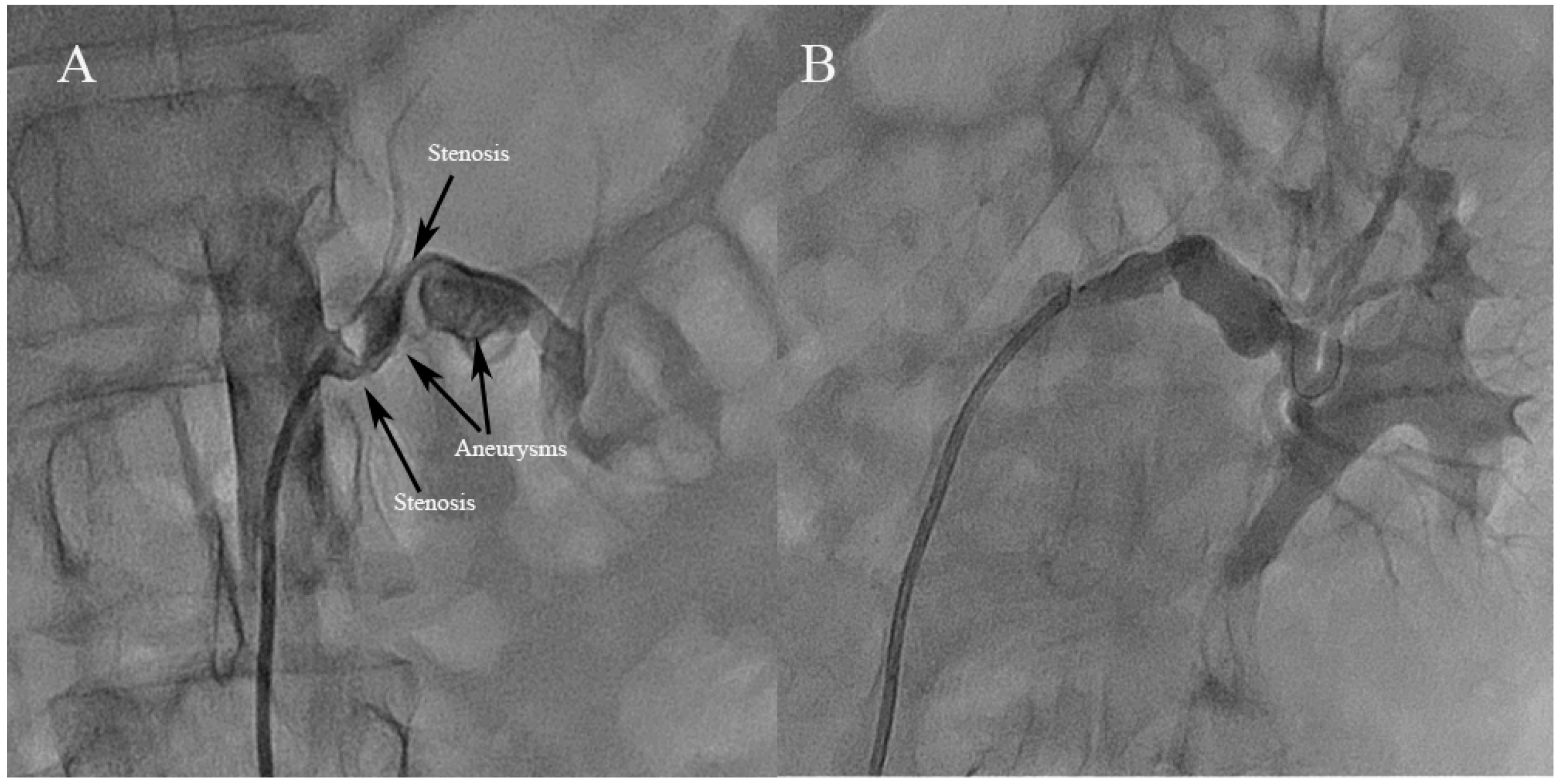
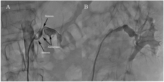
3.2. Angiographic Findings and Treatment
3.3. Follow-Up and Outcomes
4. Discussion
4.1. Comparison of Eastern and Western Patients
4.2. Technical Advantages of PTRA
4.3. PTRA Prognosis
5. Conclusions
Author Contributions
Funding
Institutional Review Board Statement
Informed Consent Statement
Data Availability Statement
Acknowledgments
Conflicts of Interest
References
- Gornik, H.L.; Persu, A.; Adlam, D.; Aparicio, L.S.; Azizi, M.; Boulanger, M.; Bruno, R.M.; De Leeuw, P.; Fendrikova-Mahlay, N.; Froehlich, J.; et al. First international consensus on the diagnosis and management of fibromuscular dysplasia. J. Hypertens. 2019, 37, 229–252. [Google Scholar] [CrossRef] [PubMed]
- Varennes, L.; Tahon, F.; Kastler, A.; Grand, S.; Thony, F.; Baguet, J.P.; Detante, O.; Touzé, E.; Krainik, A. Fibromuscular dysplasia: What the radiologist should know: A pictorial review. Insights Imaging 2015, 6, 295–307. [Google Scholar] [CrossRef] [PubMed]
- Di Monaco, S.; Georges, A.; Lengelé, J.P.; Vikkula, M.; Persu, A. Genomics of Fibromuscular Dysplasia. Int. J. Mol. Sci. 2018, 19, 1526. [Google Scholar] [CrossRef] [PubMed]
- Stanley, J.C.; Gewertz, B.L.; Bove, E.L.; Sottiurai, V.; Fry, W.J. Arterial fibrodysplasia. Histopathologic character and current etiologic concepts. Arch. Surg. 1975, 110, 561–566. [Google Scholar] [CrossRef]
- O’Connor, S.; Gornik, H.L.; Froehlich, J.B.; Gu, X.; Gray, B.H.; Mace, P.D.; Sharma, A.; Olin, J.W.; Kim, E.S. Smoking and Adverse Outcomes in Fibromuscular Dysplasia: U.S. Registry Report. J. Am. Coll. Cardiol. 2016, 67, 1750–1751. [Google Scholar] [CrossRef]
- Olin, J.W.; Froehlich, J.; Gu, X.; Bacharach, J.M.; Eagle, K.; Gray, B.H.; Jaff, M.R.; Kim, E.S.; Mace, P.; Matsumoto, A.H.; et al. The United States Registry for Fibromuscular Dysplasia: Results in the first 447 patients. Circulation 2012, 125, 3182–3190. [Google Scholar] [CrossRef]
- Kalinskaya, A.; Skrypnik, D.; Kostin, A.; Vasilieva, E.; Shpektor, A. Case Report of an Acute Myocardial Infarction as a Result of Spontaneous Coronary Artery Dissection in a Patient with Fibromuscular Dysplasia. Case Rep. Cardiol. 2019, 2019, 3051616. [Google Scholar] [CrossRef]
- Touzé, E.; Southerland, A.M.; Boulanger, M.; Labeyrie, P.E.; Azizi, M.; Bouatia-Naji, N.; Debette, S.; Gornik, H.L.; Hussain, S.M.; Jeunemaitre, X.; et al. Fibromuscular Dysplasia and Its Neurologic Manifestations: A Systematic Review. JAMA Neurol. 2019, 76, 217–226. [Google Scholar] [CrossRef]
- Elliott, W.J. Renovascular hypertension: An update. J. Clin. Hypertens. 2008, 10, 522–533. [Google Scholar] [CrossRef]
- Warchol-Celinska, E.; Prejbisz, A.; Dobrowolski, P.; Klisiewicz, A.; Kadziela, J.; Florczak, E.; Michalowska, I.; Jozwik-Plebanek, K.; Kabat, M.; Kwiatek, P.; et al. Systematic and Multidisciplinary Evaluation of Fibromuscular Dysplasia Patients Reveals High Prevalence of Previously Undetected Fibromuscular Dysplasia Lesions and Affects Clinical Decisions: The ARCADIA-POL Study. Hypertension 2020, 75, 1102–1109. [Google Scholar] [CrossRef]
- Persu, A.; Canning, C.; Prejbisz, A.; Dobrowolski, P.; Amar, L.; Chrysochou, C.; Kądziela, J.; Litwin, M.; van Twist, D.; Van der Niepen, P.; et al. Beyond Atherosclerosis and Fibromuscular Dysplasia: Rare Causes of Renovascular Hypertension. Hypertension 2021, 78, 898–911. [Google Scholar] [CrossRef] [PubMed]
- Yang, Y.K.; Zhang, Y.; Meng, X.; Yang, K.Q.; Jiang, X.J.; Wu, H.Y.; Zhang, H.M.; Song, L.; Wang, L.P.; Gao, L.G.; et al. Clinical characteristics and treatment of renal artery fibromuscular dysplasia with percutaneous transluminal angioplasty: A long-term follow-up study. Clin. Res. Cardiol. 2016, 105, 930–937. [Google Scholar] [CrossRef] [PubMed]
- Chen, Y.; Dong, H.; Jiang, X.; Deng, Y.; Zou, Y.; Che, W.; Xiong, H.; Xu, B.; Yang, Y.; Gao, R. Percutaneous transluminal angioplasty with selective stenting for the treatment of renal artery stenosis caused by fibromuscular dysplasia: 18 years’ experience from the China Center for Cardiovascular Disease. Catheter. Cardiovasc. Interv. 2020, 95 (Suppl. S1), 641–647. [Google Scholar] [CrossRef] [PubMed]
- Slovut, P.D.; Olin, J.W. Fibromuscular dysplasia. N. Engl. J. Med. 2004, 350, 1862–1871. [Google Scholar] [CrossRef]
- Olin, J.W.; Gornik, H.L.; Bacharach, J.M.; Biller, J.; Fine, L.J.; Gray, B.H.; Gray, W.A.; Gupta, R.; Hamburg, N.M.; Katzen, B.T.; et al. Fibromuscular dysplasia: State of the science and critical unanswered questions: A scientific statement from the American Heart Association. Circulation 2014, 129, 1048–1078. [Google Scholar] [CrossRef]
- Savard, S.; Steichen, O.; Azarine, A.; Azizi, M.; Jeunemaitre, X.; Plouin, P.F. Association between 2 angiographic subtypes of renal artery fibromuscular dysplasia and clinical characteristics. Circulation 2012, 126, 3062–3069. [Google Scholar] [CrossRef]
- Flynn, J.T.; Kaelber, D.C.; Baker-Smith, C.M.; Blowey, D.; Carroll, A.E.; Daniels, S.R.; de Ferranti, S.D.; Dionne, J.M.; Falkner, B.; Flinn, S.K.; et al. Clinical Practice Guideline for Screening and Management of High Blood Pressure in Children and Adolescents. Pediatrics 2017, 140, e20171904. [Google Scholar] [CrossRef]
- Rundback, J.H.; Sacks, D.; Kent, K.C.; Cooper, C.; Jones, D.; Murphy, T.; Rosenfield, K.; White, C.; Bettmann, M.; Cortell, S.; et al. Guidelines for the reporting of renal artery revascularization in clinical trials. Circulation 2002, 106, 1572–1585. [Google Scholar] [CrossRef]
- Parati, G.; Stergiou, G.S.; Asmar, R.; Bilo, G.; de Leeuw, P.; Imai, Y.; Kario, K.; Lurbe, E.; Manolis, A.; Mengden, T.; et al. European Society of Hypertension guidelines for blood pressure monitoring at home: A summary report of the Second International Consensus Conference on Home Blood Pressure Monitoring. J. Hypertens. 2008, 26, 1505–1526. [Google Scholar] [CrossRef]
- Williams, B.; Mancia, G.; Spiering, W.; Agabiti Rosei, E.; Azizi, M.; Burnier, M.; Clement, D.L.; Coca, A.; de Simone, G.; Dominiczak, A.; et al. 2018 ESC/ESH Guidelines for the management of arterial hypertension: The Task Force for the management of arterial hypertension of the European Society of Cardiology and the European Society of Hypertension: The Task Force for the management of arterial hypertension of the European Society of Cardiology and the European Society of Hypertension. J. Hypertens. 2018, 36, 1953–2041. [Google Scholar]
- Palubinskas, J.A.; Ripley, H.R. Fibromuscular Hyperplasia in Extrarenal Arteries. Radiology 1964, 82, 451–455. [Google Scholar] [CrossRef] [PubMed]
- Di Monaco, S.; Lengelé, J.P.; Heenaye, S.; Danse, E.; Hammer, F.; Lopez-Sublet, M.; Toubiana, L.; Rabbia, F.; Persu, A. Prevalence and characteristics of renal artery fibromuscular dysplasia in hypertensive women below 50 years old. Eur. J. Clin. Investig. 2019, 49, e13166. [Google Scholar] [CrossRef] [PubMed]
- Shivapour, M.D.; Erwin, P.; Kim, E. Epidemiology of fibromuscular dysplasia: A review of the literature. Vasc. Med. 2016, 21, 376–381. [Google Scholar] [CrossRef] [PubMed]
- Hendricks, N.J.; Matsumoto, A.H.; Angle, J.F.; Baheti, A.; Sabri, S.S.; Park, A.W.; Stone, J.R.; Patrie, J.T.; Dworkin, L.; Cooper, C.J.; et al. Is fibromuscular dysplasia underdiagnosed? A comparison of the prevalence of FMD seen in CORAL trial participants versus a single institution population of renal donor candidates. Vasc. Med. 2014, 19, 363–367. [Google Scholar] [CrossRef]
- Pappaccogli, M.; Di Monaco, S.; Warchoł-Celińska, E.; Lorthioir, A.; Amar, L.; Aparicio, L.S.; Beauloye, C.; Bruno, R.M.; Chenu, P.; de Leeuw, P.; et al. The European/International Fibromuscular Dysplasia Registry and Initiative (FEIRI)-clinical phenotypes and their predictors based on a cohort of 1000 patients. Cardiovasc. Res. 2021, 117, 950–959. [Google Scholar] [CrossRef]
- Li, K.; Cui, M.; Zhang, K.; Liang, K.; Zhai, S. Clinical characteristics and long-term outcomes of endovascular treatment of renal artery fibromuscular dysplasia with branch lesions. Pediatr. Nephrol. 2021, 36, 3169–3180. [Google Scholar] [CrossRef]
- Plouin, P.F.; Baguet, J.P.; Thony, F.; Ormezzano, O.; Azarine, A.; Silhol, F.; Oppenheim, C.; Bouhanick, B.; Boyer, L.; Persu, A.; et al. High Prevalence of Multiple Arterial Bed Lesions in Patients with Fibromuscular Dysplasia: The ARCADIA Registry (Assessment of Renal and Cervical Artery Dysplasia). Hypertension 2017, 70, 652–658. [Google Scholar] [CrossRef]
- Persu, A.; Van der Niepen, P.; Touzé, E.; Gevaert, S.; Berra, E.; Mace, P.; Plouin, P.F.; Jeunemaitre, X.; Working Group “Hypertension and the Kidney” of the European Society of Hypertension and the European Fibromuscular Dysplasia Initiative. Revisiting Fibromuscular Dysplasia: Rationale of the European Fibromuscular Dysplasia Initiative. Hypertension 2016, 68, 832–839. [Google Scholar] [CrossRef]
- Green, R.; Gu, X.; Kline-Rogers, E.; Froehlich, J.; Mace, P.; Gray, B.; Katzen, B.; Olin, J.; Gornik, H.L.; Cahill, A.M.; et al. Differences between the pediatric and adult presentation of fibromuscular dysplasia: Results from the US Registry. Pediatr. Nephrol. 2016, 31, 641–650. [Google Scholar] [CrossRef]
- Persu, A.; Giavarini, A.; Touzé, E.; Januszewicz, A.; Sapoval, M.; Azizi, M.; Barral, X.; Jeunemaitre, X.; Morganti, A.; Plouin, P.F.; et al. European consensus on the diagnosis and management of fibromuscular dysplasia. J. Hypertens. 2014, 32, 1367–1378. [Google Scholar] [CrossRef]
- O’Connor, C.S.; Poria, N.; Gornik, H.L. Fibromuscular dysplasia: An update for the headache clinician. Headache 2015, 55, 748–755. [Google Scholar] [CrossRef] [PubMed]
- Wells, B.J.; Modi, R.D.; Gu, X.; Bumpus, S.M.; Swan, K.; Froehlich, J.B.; Gray, B.H.; Southerland, A.M.; Kim, E.S.; Fendrikova Mahlay, N.; et al. Clinical associations of headaches among patients with fibromuscular dysplasia: A Report from the US Registry for Fibromuscular Dysplasia. Vasc. Med. 2020, 25, 348–350. [Google Scholar] [CrossRef] [PubMed]
- Van Twist, D.J.L.; de Heer, P.W.M.; Houben, A.J.H.M.; de Haan, M.W.; de Leeuw, P.W.; Kroon, A.A. Differences in renal hemodynamics and renin secretion between patients with unifocal and multifocal fibromuscular dysplasia. J. Hypertens. 2018, 36, 1729–1735. [Google Scholar] [CrossRef] [PubMed]
- Kadian-Dodov, D.; Gornik, H.L.; Gu, X.; Froehlich, J.; Bacharach, J.M.; Chi, Y.W.; Gray, B.H.; Jaff, M.R.; Kim, E.S.; Mace, P.; et al. Dissection and Aneurysm in Patients with Fibromuscular Dysplasia: Findings from the U.S. Registry for FMD. J. Am. Coll. Cardiol. 2016, 68, 176–185. [Google Scholar] [CrossRef]
- Kim, H.J.; Do, Y.S.; Shin, S.W.; Park, K.B.; Cho, S.K.; Choe, Y.H.; Choo, S.W.; Choo, I.W.; Kim, D.K. Percutaneous transluminal angioplasty of renal artery fibromuscular dysplasia: Mid-term results. Korean J. Radiol. 2008, 9, 38–44. [Google Scholar] [CrossRef][Green Version]
- Trinquart, L.; Mounier-Vehier, C.; Sapoval, M.; Gagnon, N.; Plouin, P.F. Efficacy of revascularization for renal artery stenosis caused by fibromuscular dysplasia: A systematic review and meta-analysis. Hypertension 2010, 56, 525–532. [Google Scholar] [CrossRef]
- Fujihara, M.; Fukata, M.; Higashimori, A.; Nakamura, H.; Odashiro, K.; Yokoi, Y. Short- and mid-term results of balloon angioplasty for renal artery fibromuscular dysplasia. Cardiovasc. Interv. Ther. 2014, 29, 293–299. [Google Scholar] [CrossRef]
- Alhadad, A.; Mattiasson, I.; Ivancev, K.; Gottsäter, A.; Lindblad, B. Revascularisation of renal artery stenosis caused by fibromuscular dysplasia: Effects on blood pressure during 7-year follow-up are influenced by duration of hypertension and branch artery stenosis. J. Hum. Hypertens. 2005, 19, 761–767. [Google Scholar] [CrossRef]
- Davies, M.G.; Saad, W.E.; Peden, E.K.; Mohiuddin, I.T.; Naoum, J.J.; Lumsden, A.B. The long-term outcomes of percutaneous therapy for renal artery fibromuscular dysplasia. J. Vasc. Surg. 2008, 48, 865–871. [Google Scholar] [CrossRef]
- Srinivasan, A.; Krishnamurthy, G.; Fontalvo-Herazo, L.; Nijs, E.; Meyers, K.; Kaplan, B.; Cahill, A.M. Spectrum of renal findings in pediatric fibromuscular dysplasia and neurofibromatosis type 1. Pediatr. Radiol. 2011, 41, 308–316. [Google Scholar] [CrossRef]
- Novick, A.C.; Straffon, R.A.; Stewart, B.H.; Benjamin, S. Surgical treatment of renovascular hypertension in the pediatric patient. J. Urol. 1978, 119, 794–799. [Google Scholar] [CrossRef] [PubMed]
- Sun, Y.; Dai, X.; Lv, P.; Dong, Z.; Ma, L.; Yan, Y.; Lin, J.; Jiang, L. Characteristics and Medium-term Outcomes of Takayasu Arteritis-related Renal Artery Stenosis: Analysis of a Large Chinese Cohort. J. Rheumatol. 2021, 48, 87–93. [Google Scholar] [CrossRef] [PubMed]
- Koivuviita, N.; Liukko, K.; Kudomi, N.; Oikonen, V.; Tertti, R.; Manner, I.; Vahlberg, T.; Nuutila, P.; Metsärinne, K. The effect of revascularization of renal artery stenosis on renal perfusion in patients with atherosclerotic renovascular disease. Nephrol. Dial. Transplant. 2012, 27, 3843–3848. [Google Scholar] [CrossRef] [PubMed]




| Variables | Total (N = 116) |
|---|---|
| Males, n (%) | 52 (44.8) |
| Age at FMD diagnose, median (IQR), years | 25.00 (19.00, 31.00) |
| Age at HT onset, median (IQR), years | 21.50 (17.00, 27.00) |
| BMI, median (IQR), kg/m2 | 20.70 (19.10, 24.76) |
| Signs, n (%) | |
| Headache | 37 (31.9) |
| Dizziness | 45 (38.8) |
| Hypertension | 116 (100.0) |
| Hyperlipidemia | 11 (9.5) |
| Stroke | 7 (6.0) |
| Family history of HT, n (%) | 47 (40.5) |
| History of smoking/current smoking, n (%) | 19 (16.4) |
| History of drinking/current drinking, n (%) | 9 (7.8) |
| Characteristics | Total (N = 116) | <30 Years Group (N = 78) | ≥30 Years Group (N = 38) | p Value |
|---|---|---|---|---|
| Age of hypertension onset, median (IQR), years | 21.50 (17.00, 31.00) | 18.75 (14.50, 22.00) | 29.85 (25.75, 33.25) | <0.001 |
| Type, n (%) | 0.61 | |||
| Unifocal | 85 (73.3) | 56 (73.7) | 29 (73.2) | |
| Multifocal | 31 (26.7) | 22 (28.2) | 9 (23.7) | |
| Aneurysm, n (%) | 20 (17.2) | 13 (16.7) | 7 (18.4) | 0.81 |
| Renal artery branch, n (%) | 35 (30.2) | 24 (30.8) | 11 (28.9) | 0.84 |
| Ostial or proximal lesion, n (%) | 37 (31.9) | 24 (30.8) | 13 (34.2) | 0.71 |
| Distal lesion, n (%) | 25 (21.6) | 15 (19.2) | 20 (26.3) | 0.38 |
| Degree of narrowing, median (IQR), % | 90 (80, 95) | 90 (80, 95) | 90 (80, 90) | 0.047 |
| Lesion length, mean ± SD, mm | 20.52 ± 15.06 | 19.62 ± 14.61 | 22.42 ± 15.99 | 0.35 |
| PTRA + stent, n (%) | 6 (5.2) | 3 (3.8) | 3 (7.9) | 0.39 |
| Duration of hypertension, mean ± SD, years | 3.10 ± 4.32 | 2.16 ± 2.81 | 5.04 ± 5.99 | 0.007 |
| Bilateral Renal Involvement, n (%) | 32 (27.6) | 21 (26.9) | 11 (28.9) | 0.82 |
| Pre-Intervention | Post-Intervention | p Value | |
|---|---|---|---|
| SBP, median (IQR), mmHg | 159.50 (146.50, 170.75) | 132.87 (120.75, 140.00) | <0.001 |
| DBP, median (IQR), mmHg | 97.00 (84.00, 106.00) | 80.00 (75.00, 89.00) | <0.001 |
| CREA, median (IQR), umol/L | 67.96 (61.13, 83.10) | 66.55 (58.53, 83.33) | 0.005 |
| BUN, median (IQR), mmol/L | 4.87 (4.10, 5.71) | 3.43 (2.90,4.26) | <0.001 |
| URIC, median (IQR), umol/L | 304.80 (254.94, 396.01) | 269.21 (198.15, 343.74) | <0.001 |
| Univariate Logistic Analysis | Multivariate Logistic Analysis | |||||
|---|---|---|---|---|---|---|
| OR | 95% CI | p Value | OR | 95% CI | p Value | |
| Bilateral renal artery | 2.528 | 1.098–5.823 | 0.029 | 2.610 | 1.107–6.153 | 0.028 |
| Age at HT onset | 0.935 | 0.884–0.989 | 0.019 | 0.932 | 0.880–0.988 | 0.018 |
Disclaimer/Publisher’s Note: The statements, opinions and data contained in all publications are solely those of the individual author(s) and contributor(s) and not of MDPI and/or the editor(s). MDPI and/or the editor(s) disclaim responsibility for any injury to people or property resulting from any ideas, methods, instructions or products referred to in the content. |
© 2022 by the authors. Licensee MDPI, Basel, Switzerland. This article is an open access article distributed under the terms and conditions of the Creative Commons Attribution (CC BY) license (https://creativecommons.org/licenses/by/4.0/).
Share and Cite
Lu, Y.-T.; Zhou, Z.-M.; Zhang, D.; Sun, L.; Liu, X.-C.; Yang, Y.-K.; Jiang, X.-J.; Zhou, X.-L. Percutaneous Transluminal Renal Angioplasty for Fibromuscular Dysplasia and Prognostic Risk Factors: A Retrospective Chinese Cohort Study. J. Clin. Med. 2023, 12, 23. https://doi.org/10.3390/jcm12010023
Lu Y-T, Zhou Z-M, Zhang D, Sun L, Liu X-C, Yang Y-K, Jiang X-J, Zhou X-L. Percutaneous Transluminal Renal Angioplasty for Fibromuscular Dysplasia and Prognostic Risk Factors: A Retrospective Chinese Cohort Study. Journal of Clinical Medicine. 2023; 12(1):23. https://doi.org/10.3390/jcm12010023
Chicago/Turabian StyleLu, Yi-Ting, Ze-Ming Zhou, Di Zhang, Lin Sun, Xin-Chang Liu, Yan-Kun Yang, Xiong-Jing Jiang, and Xian-Liang Zhou. 2023. "Percutaneous Transluminal Renal Angioplasty for Fibromuscular Dysplasia and Prognostic Risk Factors: A Retrospective Chinese Cohort Study" Journal of Clinical Medicine 12, no. 1: 23. https://doi.org/10.3390/jcm12010023
APA StyleLu, Y.-T., Zhou, Z.-M., Zhang, D., Sun, L., Liu, X.-C., Yang, Y.-K., Jiang, X.-J., & Zhou, X.-L. (2023). Percutaneous Transluminal Renal Angioplasty for Fibromuscular Dysplasia and Prognostic Risk Factors: A Retrospective Chinese Cohort Study. Journal of Clinical Medicine, 12(1), 23. https://doi.org/10.3390/jcm12010023
