Novel Ultrasound Anatomical Measurement of the Deep Transverse Metatarsal Ligament: An Intra-Rater Reliability and Inter-Rater Concordance Study
Abstract
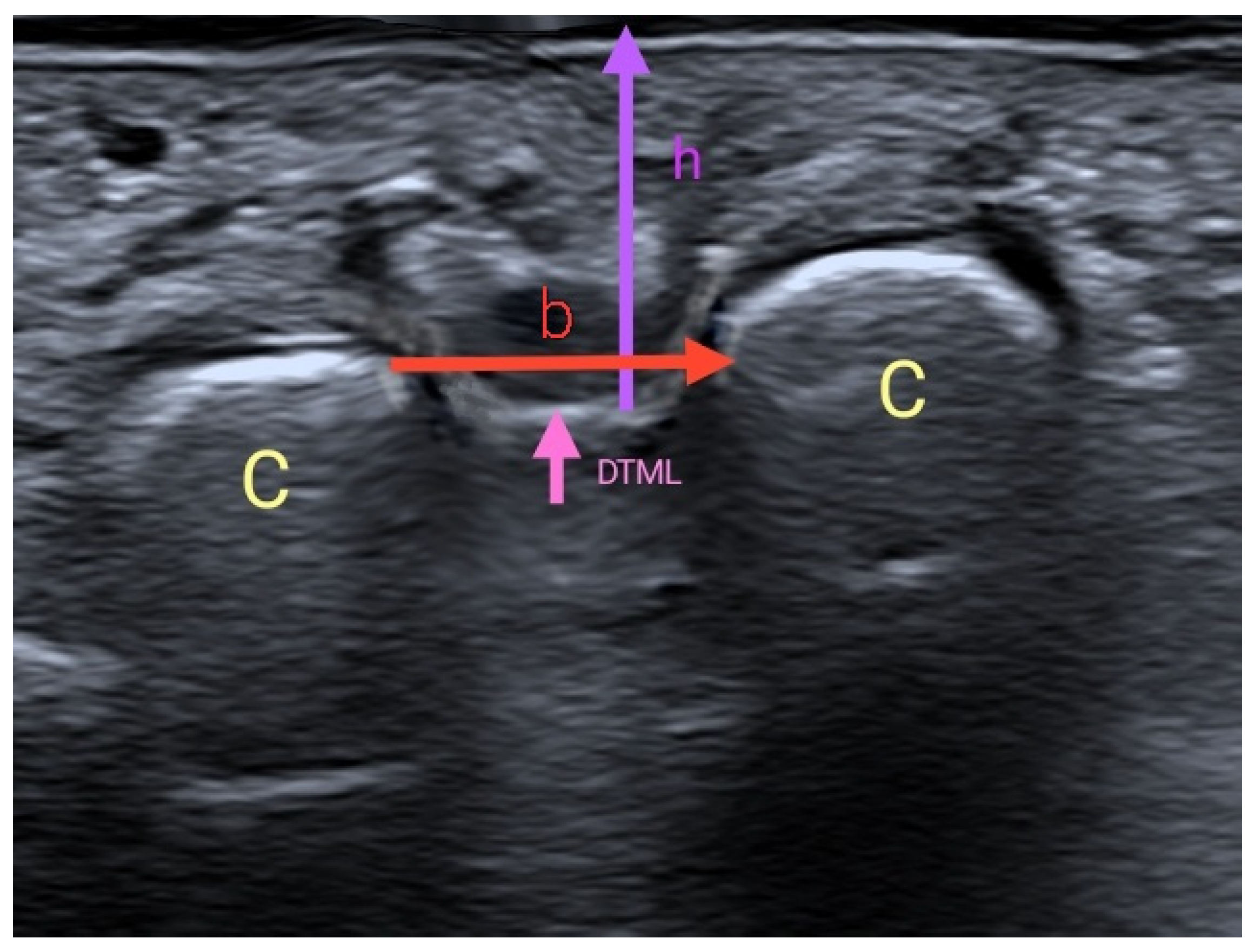
:1. Introduction
2. Materials and Methods
3. Results
4. Discussion
5. Conclusions
Author Contributions
Funding
Institutional Review Board Statement
Informed Consent Statement
Conflicts of Interest
References
- Park, Y.H.; Jeong, S.M.; Choi, G.W.; Kim, H.J. The role of the width of the forefoot in the development of Morton’s neuroma. Bone Jt. J. 2017, 99, 365–368. [Google Scholar] [CrossRef] [PubMed]
- Quinn, T.J.; Jacobson, J.A.; Craig, J.G.; Van Holsbeeck, M.T. Sonography of Morton’s neuromas. Am. J. Roentgenol. 2000, 174, 1723–1728. [Google Scholar] [CrossRef] [PubMed]
- Lee, K.; Hwang, I.Y.; Ryu, C.H.; Lee, J.W.; Kang, S.W. Ultrasound-Guided Hyaluronic Acid Injection for the Management of Morton’s Neuroma. Foot Ankle Int. 2018, 39, 201–204. [Google Scholar] [CrossRef] [PubMed]
- Santiago-Nuño, F.; Palomo-López, P.; Becerro-de-Bengoa-Vallejo, R.; Calvo-Lobo, C.; Losa-Iglesias, M.E.; Casado-Hernández, I.; López-López, D. Intra and Inter-rater Reliability between Ultrasound Imaging and Caliper Measures to determine Spring Ligament Dimensions in Cadavers. Sci. Rep. 2019, 9, 14808. [Google Scholar] [CrossRef] [PubMed] [Green Version]
- Kim, J.Y.; Jae, H.C.; Park, J.; Wang, J.; Lee, I. An anatomical study of Morton’s interdigital neuroma: The relationship between the occurring site and the Deep Transverse Metatarsal Ligament (DTML). Foot Ankle Int. 2007, 28, 1007–1010. [Google Scholar] [CrossRef] [PubMed]
- Bossuyt, P.M.; Reitsma, J.B.; Bruns, D.E.; Gatsonis, C.A.; Glasziou, P.P.; Irwig, L.M.; Moher, D.; Rennie, D.; de Vet, H.C.W.; Lijmer, J.G. The STARD Statement for Reporting Studies of Diagnostic Accuracy. Ann. Intern. Med. 2003, 138, W1–W12. [Google Scholar] [CrossRef] [PubMed]
- Pértegas Díaz, S.; Pita Fernández, S. Determinación del tamaño muestral para calcular la significación del coeficiente de correlación lineal. A Coruña Cad Aten Primaria 2002, 9, 209–211. [Google Scholar]
- Stecco, C.; Fantoni, I.; Macchi, V.; Del Borrello, M.; Porzionato, A.; Biz, C.; De Caro, R. The role of fasciae in Civinini-Morton’s syndrome. J. Anat. 2015, 227, 654–664. [Google Scholar] [CrossRef] [PubMed] [Green Version]
- Posadas, D.; Pérez, M.; Sosa, H.; Ticse, R. Variabilidad intra e inter examinador de la medición del índice tobillo braquial palpatorio utilizando un método estandarizado. Rev. Medica. Hered. 2013, 24, 199–203. [Google Scholar] [CrossRef]
- Shoukri, M.M.; Asyali, M.H.; Donner, A. Sample size requirements for the design of reliability study: Review and new results. Stat. Methods Med. Res. 2004, 13, 251–271. [Google Scholar] [CrossRef]
- Garcia-Casasola, G.; Sánchez, F.J.G.; Luordo, D.; Zapata, D.F.; Frías, M.C.; Garrido, V.V.; Martínez, J.V.; de la Sotilla, A.F.; Rojo, J.M.C.; Macho, J.T. Basic abdominal point-of-care ultrasound training in the undergraduate: Students as mentors. J. Ultrasound Med. 2016, 35, 2483–2489. [Google Scholar] [CrossRef] [PubMed]
- Felipe, A.A.; García, J.D.; Los Arcos, I.S.; Luordo, D.; Sánchez, F.G.; Martínez, J.V.; de la Sotilla, A.F.; Macho, J.T.; de Casasola Sánchez, G.G. Teaching the basics of echocardiography in the undergraduate: Students as mentors. Rev. Clínica Española 2017, 217, 245–251. [Google Scholar] [CrossRef]
- Prieto, L.; Lamarca, R.; Casado, A. Assessment of the reliability of clinical findings: The intraclass correlation coefficient. Med. Clin. 1998, 110, 142–145. [Google Scholar]
- Bonett, D.G. Sample size requirements for estimating intraclass correlations with desired precision. Stat. Med. 2002, 21, 1331–1335. [Google Scholar] [CrossRef] [PubMed]
- Alshami, A.M.; Cairns, C.W.; Wylie, B.K.; Souvlis, T.; Coppieters, M.W. Reliability and Size of the Measurement Error when Determining the Cross-Sectional Area of the Tibial Nerve at the Tarsal Tunnel with Ultrasonography. Ultrasound Med. Biol. 2009, 35, 1098–1102. [Google Scholar] [CrossRef] [PubMed]
- Pita Fernández, S.; Pértegas Díaz, S. La fiabilidad de las mediciones clínicas: El análisis de concordancia para variables numéricas Pita. Aten Primaria en la Red. 2004, 10, 290–296. [Google Scholar]
- Kaminsky, S.; Griffin, L.; Milsap, J.; Page, D. Is ultrasonography a reliable way to confirm the diagnosis of Morton’s neuroma? Orthopedics 1997, 20, 37–39. [Google Scholar] [CrossRef] [PubMed]
- Park, Y.H.; Choi, W.S.; Choi, G.W.; Kim, H.J. Intra- and Interevaluator Reliability of Size Measurement of Morton Neuromas on Sonography. J. Ultrasound Med. 2019, 38, 2341–2345. [Google Scholar] [CrossRef] [PubMed]
- Radwan, A.; Wyland, M.; Applequist, L.; Bolowsky, E.; Klingensmith, H.; Virag, I. Ultrasonography, an Effective Tool in Diagnosing Plantar Fasciitis: A Systematic Review of Diagnostic Trials. Int. J. Sports Phys. Ther. 2016, 11, 663–671. [Google Scholar] [PubMed]



| Evaluator | Foot | Phase | Base | Height |
|---|---|---|---|---|
| 1 | Left | Pre | 4.4 ± 0.61 | 12.2 ± 1.29 |
| Right | 4.5 ± 0.70 | 12.3 ± 1.33 | ||
| Left | Post | 4.4 ± 0.61 | 12.2 ± 1.29 | |
| Right | 4.5 ± 0.70 | 12.3 ± 1.33 | ||
| 2 | Left | Pre | 4.4 ± 0.62 | 12.2 ± 1.29 |
| Right | 4.5 ± 0.70 | 12.3 ± 1.33 | ||
| Left | Post | 4.4 ± 0.61 | 12.2 ± 1.30 | |
| Right | 4.5 ± 0.70 | 12.3 ± 1.33 | ||
| 3 | Left | Pre | 4.4 ± 0.62 | 12.2 ± 1.29 |
| Right | 4.5 ± 0.70 | 12.3 ± 1.32 | ||
| Left | Post | 4.4 ± 0.61 | 12.2 ± 1.29 | |
| Right | 4.5 ± 0.70 | 12.3 ± 1.33 |
| Base | Height | |
|---|---|---|
| Weight | 0.637 | 0.629 |
| Height | 0.776 | 0.809 |
| Shoe size * | 0.870 | 0.903 |
Publisher’s Note: MDPI stays neutral with regard to jurisdictional claims in published maps and institutional affiliations. |
© 2022 by the authors. Licensee MDPI, Basel, Switzerland. This article is an open access article distributed under the terms and conditions of the Creative Commons Attribution (CC BY) license (https://creativecommons.org/licenses/by/4.0/).
Share and Cite
del Mar Ruiz-Herrera, M.; Marcos-Tejedor, F.; Aldana-Caballero, A.; Calvo-Lobo, C.; Rodriguez-Sanz, D.; Moroni, S.; Konschake, M.; Mohedano-Moriano, A.; Aceituno-Gómez, J.; Criado-Álvarez, J.J. Novel Ultrasound Anatomical Measurement of the Deep Transverse Metatarsal Ligament: An Intra-Rater Reliability and Inter-Rater Concordance Study. J. Clin. Med. 2022, 11, 2553. https://doi.org/10.3390/jcm11092553
del Mar Ruiz-Herrera M, Marcos-Tejedor F, Aldana-Caballero A, Calvo-Lobo C, Rodriguez-Sanz D, Moroni S, Konschake M, Mohedano-Moriano A, Aceituno-Gómez J, Criado-Álvarez JJ. Novel Ultrasound Anatomical Measurement of the Deep Transverse Metatarsal Ligament: An Intra-Rater Reliability and Inter-Rater Concordance Study. Journal of Clinical Medicine. 2022; 11(9):2553. https://doi.org/10.3390/jcm11092553
Chicago/Turabian Styledel Mar Ruiz-Herrera, María, Félix Marcos-Tejedor, Alberto Aldana-Caballero, César Calvo-Lobo, David Rodriguez-Sanz, Simone Moroni, Marko Konschake, Alicia Mohedano-Moriano, Javier Aceituno-Gómez, and Juan José Criado-Álvarez. 2022. "Novel Ultrasound Anatomical Measurement of the Deep Transverse Metatarsal Ligament: An Intra-Rater Reliability and Inter-Rater Concordance Study" Journal of Clinical Medicine 11, no. 9: 2553. https://doi.org/10.3390/jcm11092553
APA Styledel Mar Ruiz-Herrera, M., Marcos-Tejedor, F., Aldana-Caballero, A., Calvo-Lobo, C., Rodriguez-Sanz, D., Moroni, S., Konschake, M., Mohedano-Moriano, A., Aceituno-Gómez, J., & Criado-Álvarez, J. J. (2022). Novel Ultrasound Anatomical Measurement of the Deep Transverse Metatarsal Ligament: An Intra-Rater Reliability and Inter-Rater Concordance Study. Journal of Clinical Medicine, 11(9), 2553. https://doi.org/10.3390/jcm11092553

