Histological Scores in Patients with Inflammatory Bowel Diseases: The State of the Art
Abstract
:1. Introduction
2. Assessing Histological Disease Activity: A Guide for the Clinician
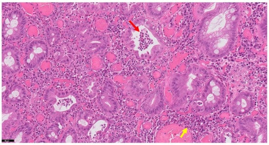
2.1. Neutrophils
2.2. Basal Plasmacytosis
2.3. Lamina Propria Chronic Inflammatory Cell Density
2.4. Eosinophils
2.5. Erosions and Ulcers
2.6. Crypt Architectural Distortion
2.7. Crypt Atrophy
2.8. Mucin Depletion
3. Histological Scores in IBD
3.1. Geboes Score
3.2. Robarts Histopatological Index
3.3. Nancy Index
3.4. IBD-DCA Score
4. Histologic Healing in IBD: Towards Disease Clearance?
5. Conclusions
Author Contributions
Funding
Institutional Review Board Statement
Informed Consent Statement
Data Availability Statement
Conflicts of Interest
References
- D’Amico, F.; Peyrin-Biroulet, L.; Danese, S.; Fiorino, G. New drugs in the pipeline for the treatment of inflammatory bowel diseases: What is coming? Curr. Opin. Pharmacol. 2020, 55, 141–150. [Google Scholar] [CrossRef]
- Peyrin-Biroulet, L.; Sandborn, W.; Sands, B.E.; Reinisch, W.; Bemelman, W.; Bryant, R.V.; D’Haens, G.; Dotan, I.; Dubinsky, M.; Feagan, B.; et al. Selecting Therapeutic Targets in Inflammatory Bowel Disease (STRIDE): Determining Therapeutic Goals for Treat-to-Target. Am. J. Gastroenterol. 2015, 110, 1324–1338. [Google Scholar] [CrossRef] [PubMed]
- Neurath, M.F.; Travis, S.P.L. Mucosal healing in inflammatory bowel diseases: A systematic review. Gut 2012, 61, 1619–1635. [Google Scholar] [CrossRef] [PubMed]
- Mosli, M.H.; Feagan, B.G.; Sandborn, W.J.; D’haens, G.; Behling, C.; Kaplan, K.; Driman, D.K.; Shackelton, L.M.; Baker, K.A.; Macdonald, J.K.; et al. Histologic evaluation of ulcerative colitis: A systematic review of disease activity indices. Inflamm. Bowel Dis. 2014, 20, 564–575. [Google Scholar] [CrossRef] [PubMed]
- Arkteg, C.B.; Wergeland Sørbye, S.; Buhl Riis, L.; Dalen, S.M.; Florholmen, J.; Goll, R. Real-life evaluation of histologic scores for Ulcerative Colitis in remission. PLoS ONE 2021, 16, e0248224. [Google Scholar] [CrossRef] [PubMed]
- Pai, R.K.; Jairath, V.; Vande Casteele, N.; Rieder, F.; Parker, C.E.; Lauwers, G.Y. The emerging role of histologic disease activity assessment in ulcerative colitis. Gastrointest. Endosc. 2018, 88, 887–898. [Google Scholar] [CrossRef] [Green Version]
- Chateau, T.; Feakins, R.; Marchal-Bressenot, A.; Magro, F.; Danese, S.; Peyrin-Biroulet, L. Histological Remission in Ulcerative Colitis: Under the Microscope Is the Cure. Am. J. Gastroenterol. 2020, 115, 179–189. [Google Scholar] [CrossRef]
- Peyrin-Biroulet, L.; Bressenot, A.; Kampman, W. Histologic remission: The ultimate therapeutic goal in ulcerative colitis? Clin. Gastroenterol. Hepatol. Off. Clin. Pract. J. Am. Gastroenterol. Assoc. 2014, 12, 929–934.e2. [Google Scholar] [CrossRef]
- Dal Buono, A.; Roda, G.; Argollo, M.; Peyrin-Biroulet, L.; Danese, S. Histological healing: Should it be considered as a new outcome for ulcerative colitis? Expert Opin. Biol. Ther. 2020, 20, 407–412. [Google Scholar] [CrossRef]
- Wetwittayakhlang, P.; Lontai, L.; Gonczi, L.; Golovics, P.A.; Hahn, G.D.; Bessissow, T.; Lakatos, P.L. Treatment Targets in Ulcerative Colitis: Is It Time for All In, including Histology? J. Clin. Med. 2021, 10, 5551. [Google Scholar] [CrossRef]
- Gupta, A.; Yu, A.; Peyrin-Biroulet, L.; Ananthakrishnan, A.N. Treat to Target: The Role of Histologic Healing in Inflammatory Bowel Diseases: A Systematic Review and Meta-analysis. Clin. Gastroenterol. Hepatol. Off. Clin. Pract. J. Am. Gastroenterol. Assoc. 2021, 19, 1800–1813.e4. [Google Scholar] [CrossRef] [PubMed]
- Ma, C.; Sedano, R.; Almradi, A.; Vande Casteele, N.; Parker, C.E.; Guizzetti, L.; Schaeffer, D.F.; Riddell, R.H.; Pai, R.K.; Battat, R.; et al. An International Consensus to Standardize Integration of Histopathology in Ulcerative Colitis Clinical Trials. Gastroenterology 2021, 160, 2291–2302. [Google Scholar] [CrossRef] [PubMed]
- Almradi, A.; Ma, C.; D’Haens, G.R.; Sandborn, W.J.; Parker, C.E.; Guizzetti, L.; Borralho Nunes, P.; De Hertogh, G.; Feakins, R.M.; Khanna, R.; et al. An expert consensus to standardise the assessment of histological disease activity in Crohn’s disease clinical trials. Aliment. Pharmacol. Ther. 2021, 53, 784–793. [Google Scholar] [CrossRef] [PubMed]
- Turner, D.; Ricciuto, A.; Lewis, A.; D’Amico, F.; Dhaliwal, J.; Griffiths, A.M.; Bettenworth, D.; Sandborn, W.J.; Sands, B.E.; Reinisch, W.; et al. STRIDE-II: An Update on the Selecting Therapeutic Targets in Inflammatory Bowel Disease (STRIDE) Initiative of the International Organization for the Study of IBD (IOIBD): Determining Therapeutic Goals for Treat-to-Target strategies in IBD. Gastroenterology 2021, 160, 1570–1583. [Google Scholar] [CrossRef]
- Pai, R.K.; Lauwers, G.Y.; Pai, R.K. Measuring Histologic Activity in Inflammatory Bowel Disease: Why and How. Adv. Anat. Pathol. 2022, 29, 37–47. [Google Scholar] [CrossRef]
- Magro, F.; Doherty, G.; Peyrin-Biroulet, L.; Svrcek, M.; Borralho, P.; Walsh, A.; Carneiro, F.; Rosini, F.; de Hertogh, G.; Biedermann, L.; et al. ECCO Position Paper: Harmonization of the Approach to Ulcerative Colitis Histopathology. J. Crohn’s Colitis 2020, 14, 1503–1511. [Google Scholar] [CrossRef]
- Novak, G.; Stevens, T.; Van Viegen, T.; Bossuyt, P.; Štabuc, B.; Jeyarajah, J.; Zou, G.; Gaemers, I.C.; McKee, T.D.; Fu, F.; et al. Evaluation of optimal biopsy location for assessment of histological activity, transcriptomic and immunohistochemical analyses in patients with active Crohn’s disease. Aliment. Pharmacol. Ther. 2019, 49, 1401–1409. [Google Scholar] [CrossRef]
- Pouw, R.E.; Bisschops, R.; Gecse, K.B.; de Hertogh, G.; Iacucci, M.; Rutter, M.; Barret, M.; Biermann, K.; Czakó, L.; Hucl, T.; et al. Endoscopic tissue sampling—Part 2: Lower gastrointestinal tract. European Society of Gastrointestinal Endoscopy (ESGE) Guideline. Endoscopy 2021, 53, 1261–1273. [Google Scholar] [CrossRef]
- Fumery, M.; Chatelain, D. Histological Scores in Inflammatory Bowel Disease: A New Kid in the Block. J. Crohn’s Colitis 2021, 15, 1603–1604. [Google Scholar] [CrossRef]
- Feagan, B.G.; Sandborn, W.J.; Danese, S.; Wolf, D.C.; Liu, W.J.; Hua, S.Y.; Minton, N.; Olson, A.; D’Haens, G. Ozanimod induction therapy for patients with moderate to severe Crohn’s disease: A single-arm, phase 2, prospective observer-blinded endpoint study. lancet. Gastroenterol. Hepatol. 2020, 5, 819–828. [Google Scholar] [CrossRef]
- Lang-Schwarz, C.; Angeloni, M.; Agaimy, A.; Atreya, R.; Becker, C.; Dregelies, T.; Danese, S.; Fléjou, J.-F.; Gaßler, N.; Grabsch, H.I.; et al. Validation of the “Inflammatory Bowel Disease-Distribution, Chronicity, Activity [IBD-DCA] Score” for Ulcerative Colitis and Crohn’s Disease. J. Crohn’s Colitis 2021, 15, 1621–1630. [Google Scholar] [CrossRef] [PubMed]
- Narula, N.; Wong, E.C.L.; Colombel, J.-F.; Riddell, R.; Marshall, J.K.; Reinisch, W.; Dulai, P.S. Early Change in Epithelial Neutrophilic Infiltrate Predicts Long-Term Response to Biologics in Ulcerative Colitis. Clin. Gastroenterol. Hepatol. Off. Clin. Pract. J. Am. Gastroenterol. Assoc. 2021, in press. [Google Scholar] [CrossRef]
- Polydorides, A.D.; Banner, B.F.; Hannaway, P.J.; Yantiss, R.K. Evaluation of site-specific and seasonal variation in colonic mucosal eosinophils. Hum. Pathol. 2008, 39, 832–836. [Google Scholar] [CrossRef] [PubMed]
- Conner, J.R.; Kirsch, R. The pathology and causes of tissue eosinophilia in the gastrointestinal tract. Histopathology 2017, 71, 177–199. [Google Scholar] [CrossRef]
- Kim, E.M.; Randall, C.; Betancourt, R.; Keene, S.; Lilly, A.; Fowler, M.; Dellon, E.S.; Herfarth, H.H. Mucosal Eosinophilia Is an Independent Predictor of Vedolizumab Efficacy in Inflammatory Bowel Diseases. Inflamm. Bowel Dis. 2020, 26, 1232–1238. [Google Scholar] [CrossRef]
- Ozaki, R.; Kobayashi, T.; Okabayashi, S.; Nakano, M.; Morinaga, S.; Hara, A.; Ohbu, M.; Matsuoka, K.; Toyonaga, T.; Saito, E.; et al. Histological Risk Factors to Predict Clinical Relapse in Ulcerative Colitis with Endoscopically Normal Mucosa. J. Crohn’s Colitis 2018, 12, 1288–1294. [Google Scholar] [CrossRef]
- TRUELOVE, S.C.; RICHARDS, W.C. Biopsy studies in ulcerative colitis. Br. Med. J. 1956, 1, 1315–1318. [Google Scholar] [CrossRef] [Green Version]
- Novak, G.; Parker, C.E.; Pai, R.K.; MacDonald, J.K.; Feagan, B.G.; Sandborn, W.J.; D’Haens, G.; Jairath, V.; Khanna, R. Histologic scoring indices for evaluation of disease activity in Crohn’s disease. Cochrane Database Syst. Rev. 2017, 7, CD012351. [Google Scholar] [CrossRef]
- Mosli, M.H.; Parker, C.E.; Nelson, S.A.; Baker, K.A.; MacDonald, J.K.; Zou, G.Y.; Feagan, B.G.; Khanna, R.; Levesque, B.G.; Jairath, V. Histologic scoring indices for evaluation of disease activity in ulcerative colitis. Cochrane Database Syst. Rev. 2017, 5, CD011256. [Google Scholar] [CrossRef]
- Magro, F.; Sabino, J.; Rosini, F.; Tripathi, M.; Borralho, P.; Baldin, P.; Danese, S.; Driessen, A.; Gordon, I.O.; Iacucci, M.; et al. ECCO Position on harmonization of Crohn’s disease mucosal histopathology. J. Crohn’s Colitis. 2022, 11, jjac006. [Google Scholar] [CrossRef]
- Geboes, K.; Riddell, R.; Ost, A.; Jensfelt, B.; Persson, T.; Löfberg, R. A reproducible grading scale for histological assessment of inflammation in ulcerative colitis. Gut 2000, 47, 404–409. [Google Scholar] [CrossRef] [PubMed] [Green Version]
- Sands, B.E.; Peyrin-Biroulet, L.; Loftus, E.V.J.; Danese, S.; Colombel, J.-F.; Törüner, M.; Jonaitis, L.; Abhyankar, B.; Chen, J.; Rogers, R.; et al. Vedolizumab versus Adalimumab for Moderate-to-Severe Ulcerative Colitis. N. Engl. J. Med. 2019, 381, 1215–1226. [Google Scholar] [CrossRef] [PubMed]
- Sandborn, W.J.; Feagan, B.G.; D’Haens, G.; Wolf, D.C.; Jovanovic, I.; Hanauer, S.B.; Ghosh, S.; Petersen, A.; Hua, S.Y.; Lee, J.H.; et al. Ozanimod as Induction and Maintenance Therapy for Ulcerative Colitis. N. Engl. J. Med. 2021, 385, 1280–1291. [Google Scholar] [CrossRef] [PubMed]
- Jairath, V.; Peyrin-Biroulet, L.; Zou, G.; Mosli, M.; Vande Casteele, N.; Pai, R.K.; Valasek, M.A.; Marchal-Bressenot, A.; Stitt, L.W.; Shackelton, L.M.; et al. Responsiveness of histological disease activity indices in ulcerative colitis: A post hoc analysis using data from the TOUCHSTONE randomised controlled trial. Gut 2019, 68, 1162–1168. [Google Scholar] [CrossRef]
- Lemmens, B.; Arijs, I.; Van Assche, G.; Sagaert, X.; Geboes, K.; Ferrante, M.; Rutgeerts, P.; Vermeire, S.; De Hertogh, G. Correlation between the endoscopic and histologic score in assessing the activity of ulcerative colitis. Inflamm. Bowel Dis. 2013, 19, 1194–1201. [Google Scholar] [CrossRef]
- Jauregui-Amezaga, A.; Geerits, A.; Das, Y.; Lemmens, B.; Sagaert, X.; Bessissow, T.; Lobatón, T.; Ferrante, M.; Van Assche, G.; Bisschops, R.; et al. A Simplified Geboes Score for Ulcerative Colitis. J. Crohn’s Colitis 2017, 11, 305–313. [Google Scholar] [CrossRef] [Green Version]
- Mosli, M.H.; Feagan, B.G.; Zou, G.; Sandborn, W.J.; D’Haens, G.; Khanna, R.; Shackelton, L.M.; Walker, C.W.; Nelson, S.; Vandervoort, M.K.; et al. Development and validation of a histological index for UC. Gut 2017, 66, 50–58. [Google Scholar] [CrossRef]
- Magro, F.; Lopes, J.; Borralho, P.; Lopes, S.; Coelho, R.; Cotter, J.; Dias de Castro, F.; Tavares de Sousa, H.; Salgado, M.; Andrade, P.; et al. Comparing the Continuous Geboes Score with the Robarts Histopathology Index: Definitions of Histological Remission and Response and their Relation to Faecal Calprotectin Levels. J. Crohn’s Colitis 2020, 14, 169–175. [Google Scholar] [CrossRef]
- Marchal-Bressenot, A.; Salleron, J.; Boulagnon-Rombi, C.; Bastien, C.; Cahn, V.; Cadiot, G.; Diebold, M.-D.; Danese, S.; Reinisch, W.; Schreiber, S.; et al. Development and validation of the Nancy histological index for UC. Gut 2017, 66, 43–49. [Google Scholar] [CrossRef]
- Magro, F.; Lopes, J.; Borralho, P.; Dias, C.C.; Afonso, J.; Ministro, P.; Santiago, M.; Geboes, K.; Carneiro, F. Comparison of the Nancy Index with Continuous Geboes Score: Histological Remission and Response in Ulcerative Colitis. J. Crohn’s Colitis 2020, 14, 1021–1025. [Google Scholar] [CrossRef]
- Bryant, R.V.; Burger, D.C.; Delo, J.; Walsh, A.J.; Thomas, S.; von Herbay, A.; Buchel, O.C.; White, L.; Brain, O.; Keshav, S.; et al. Beyond endoscopic mucosal healing in UC: Histological remission better predicts corticosteroid use and hospitalisation over 6 years of follow-up. Gut 2016, 65, 408–414. [Google Scholar] [CrossRef] [PubMed]
- Lobatón, T.; Bessissow, T.; Ruiz-Cerulla, A.; De Hertogh, G.; Bisschops, R.; Guardiola, J.; Van Assche, G.; Vermeire, S.; Ferrante, M. Prognostic value of histological activity in patients with ulcerative colitis in deep remission: A prospective multicenter study. United Eur. Gastroenterol. J. 2018, 6, 765–772. [Google Scholar] [CrossRef] [PubMed] [Green Version]
- Magro, F.; Alves, C.; Lopes, J.; Lopes, S.; Tavares de Sousa, H.; Cotter, J.; Macedo da Silva, V.; Lago, P.; Vieira, A.; Brito, M.; et al. Histologic Features of Colon Biopsies (Geboes Score) Associated with Progression of Ulcerative Colitis for the First 36 Months After Biopsy. Clin. Gastroenterol. Hepatol. Off. Clin. Pract. J. Am. Gastroenterol. Assoc. 2021, 19, 2567–2576.e9. [Google Scholar] [CrossRef] [PubMed]
- D’Amico, F.; Guillo, L.; Baumann, C.; Danese, S.; Peyrin-Biroulet, L. Histological Disease Activity Measured by the Nancy Index Is Associated with Long-term Outcomes in Patients with Ulcerative Colitis. J. Crohn’s Colitis 2021, 15, 1631–1640. [Google Scholar] [CrossRef]
- Christensen, B.; Erlich, J.; Gibson, P.R.; Turner, J.R.; Hart, J.; Rubin, D.T. Histologic Healing Is More Strongly Associated with Clinical Outcomes in Ileal Crohn’s Disease than Endoscopic Healing. Clin. Gastroenterol. Hepatol. Off. Clin. Pract. J. Am. Gastroenterol. Assoc. 2020, 18, 2518–2525.e1. [Google Scholar] [CrossRef]
- Yoon, H.; Jangi, S.; Dulai, P.S.; Boland, B.S.; Jairath, V.; Feagan, B.G.; Sandborn, W.J.; Singh, S. Histologic Remission Is Associated with Lower Risk of Treatment Failure in Patients with Crohn Disease in Endoscopic Remission. Inflamm. Bowel Dis. 2021, 27, 1277–1284. [Google Scholar] [CrossRef]
- Hu, A.B.; Tan, W.; Deshpande, V.; Ananthakrishnan, A.N. Ileal or Colonic Histologic Activity Is Not Associated with Clinical Relapse in Patients with Crohn’s Disease in Endoscopic Remission. Clin. Gastroenterol. Hepatol. Off. Clin. Pract. J. Am. Gastroenterol. Assoc. 2021, 19, 1226–1233.e1. [Google Scholar] [CrossRef]
- Flores, B.M.; O’Connor, A.; Moss, A.C. Impact of mucosal inflammation on risk of colorectal neoplasia in patients with ulcerative colitis: A systematic review and meta-analysis. Gastrointest. Endosc. 2017, 86, 1006–1011.e8. [Google Scholar] [CrossRef]
- Choi, C.-H.R.; Al Bakir, I.; Ding, N.-S.J.; Lee, G.-H.; Askari, A.; Warusavitarne, J.; Moorghen, M.; Humphries, A.; Ignjatovic-Wilson, A.; Thomas-Gibson, S.; et al. Cumulative burden of inflammation predicts colorectal neoplasia risk in ulcerative colitis: A large single-centre study. Gut 2019, 68, 414–422. [Google Scholar] [CrossRef]
- Kirchgesner, J.; Svrcek, M.; Le Gall, G.; Landman, C.; Dray, X.; Bourrier, A.; Nion-Larmurier, I.; Hoyeau, N.; Sokol, H.; Seksik, P.; et al. Nancy Index Scores of Chronic Inflammatory Bowel Disease Activity Associate with Development of Colorectal Neoplasia. Clin. Gastroenterol. Hepatol. Off. Clin. Pract. J. Am. Gastroenterol. Assoc. 2020, 18, 150–157.e1. [Google Scholar] [CrossRef]
- Danese, S.; Roda, G.; Peyrin-Biroulet, L. Evolving therapeutic goals in ulcerative colitis: Towards disease clearance. Nat. Rev. Gastroenterol. Hepatol. 2020, 17, 1–2. [Google Scholar] [CrossRef] [PubMed]
- D’Amico, F.; Fiorino, G.; Massarini, E.; Solitano, V.; Guillo, L.; Allocca, M.; Furfaro, F.; Zilli, A.; Bonovas, S.; Peyrin-Biroulet, L.; et al. DOP87 Disease clearance as a new therapeutic target in patients with Ulcerative Colitis: A multi-center retrospective cohort study. J. Crohn’s Colitis 2021, 15 (Suppl. 1), S118–S119. [Google Scholar] [CrossRef]




| GS | Morphology | RHI |
|---|---|---|
| Grade 0: Architectural changes | 0.0 No abnormality | 0 |
| 0.1 Mild abnormality | 0 | |
| 0.2 Mild/moderate diffuse or multifocal abnormalities | 0 | |
| 0.3 Severe diffuse or multifocal abnormalities | 0 | |
| Grade 1: Chronic inflammatory infiltrate | 1.0 No increase | 0 |
| 1.1 Mild but unequivocal increase | 1 | |
| 1.2 Moderate increase | 2 | |
| 1.3 Marked increase | 3 | |
| Grade 2A: Eosinophils in lamina propria | 2A.0 No increase | 0 |
| 2A.1 Mild but unequivocal increase | 0 | |
| 2A.2 Moderate increase | 0 | |
| 2A.3 Marked increase | 0 | |
| Grade 2B: Neutrophils in lamina propria | 2B.0 No increase | 0 |
| 2B.1 Mild but unequivocal increase | 2 | |
| 2B.2 Moderate increase | 4 | |
| 2B.3 Marked increase | 6 | |
| Grade 3: Neutrophils in epithelium | 3.0 None | 0 |
| 3.1 <5% crypts involved | 3 | |
| 3.2 <50% crypts involved | 6 | |
| 3.3 >50% crypts involved | 9 | |
| Grade 4: Crypt destruction | 4.0 None | 0 |
| 4.1 Probable–Local excess of neutrophils in part of the crypts | 0 | |
| 4.2 Probable–Marked attenuation | 0 | |
| 4.3 Unequivocal crypt destruction | 0 | |
| Grade 5: Erosions and ulcerations | 5.0 No erosion, ulceration or granulation tissue | 0 |
| 5.1 Recovering epithelium + adjacent inflammation | 5 | |
| 5.2 Probable erosion—focally stripped | 5 | |
| 5.3 Unequivocal erosion | 10 | |
| 5.4 Ulcer or granulation tissue | 15 |
| Grade | Morphology |
|---|---|
| 0 | No or only mild increase in chronic inflammatory cells |
| 1 | Moderate or severe increase in chronic inflammatory |
| cells (lymphocytes, plasma cells, and eosinophils) | |
| defined as presence of an increase in chronic | |
| inflammatory cells that is easily apparent | |
| 2 | Mild increase in neutrophils defined as few or rare |
| neutrophils in lamina propria or in the epithelium | |
| that are difficult to see | |
| 3 | Moderate or severe increase neutrophils defined as |
| presence of multiple clusters of neutrophils in lamina | |
| propria and/or in epithelium that are easily apparent | |
| 4 | Ulcers or erosions defined as loss of colonic crypts |
| replaced with “immature” granulation tissue (disorganized blood vessels with extravasated neutrophils) or the presence of fibrinopurulent exudate |
| Parameter | Morphology |
| Distribution [D] | 0 Normal |
| 1 <50% of tissue affected per same biopsy site | |
| 2 >50% of tissue affected per same biopsy | |
| Chronic features [C] | 0 Normal |
| 1 Crypt distortion and/or mild lymphoplasmacytosis | |
| 2 Marked lymphoplasmacytosis and/or basal plasmacytosis | |
| Activity features [A] | 0 Normal |
| 1 Two or more neutrophils in lamina propria in one high-power field [HPF] and/or intraepithelial neutrophils [any number] 2 Crypt abscesses, erosions, ulcers |
Publisher’s Note: MDPI stays neutral with regard to jurisdictional claims in published maps and institutional affiliations. |
© 2022 by the authors. Licensee MDPI, Basel, Switzerland. This article is an open access article distributed under the terms and conditions of the Creative Commons Attribution (CC BY) license (https://creativecommons.org/licenses/by/4.0/).
Share and Cite
Vespa, E.; D’Amico, F.; Sollai, M.; Allocca, M.; Furfaro, F.; Zilli, A.; Dal Buono, A.; Gabbiadini, R.; Danese, S.; Fiorino, G. Histological Scores in Patients with Inflammatory Bowel Diseases: The State of the Art. J. Clin. Med. 2022, 11, 939. https://doi.org/10.3390/jcm11040939
Vespa E, D’Amico F, Sollai M, Allocca M, Furfaro F, Zilli A, Dal Buono A, Gabbiadini R, Danese S, Fiorino G. Histological Scores in Patients with Inflammatory Bowel Diseases: The State of the Art. Journal of Clinical Medicine. 2022; 11(4):939. https://doi.org/10.3390/jcm11040939
Chicago/Turabian StyleVespa, Edoardo, Ferdinando D’Amico, Mauro Sollai, Mariangela Allocca, Federica Furfaro, Alessandra Zilli, Arianna Dal Buono, Roberto Gabbiadini, Silvio Danese, and Gionata Fiorino. 2022. "Histological Scores in Patients with Inflammatory Bowel Diseases: The State of the Art" Journal of Clinical Medicine 11, no. 4: 939. https://doi.org/10.3390/jcm11040939
APA StyleVespa, E., D’Amico, F., Sollai, M., Allocca, M., Furfaro, F., Zilli, A., Dal Buono, A., Gabbiadini, R., Danese, S., & Fiorino, G. (2022). Histological Scores in Patients with Inflammatory Bowel Diseases: The State of the Art. Journal of Clinical Medicine, 11(4), 939. https://doi.org/10.3390/jcm11040939

